JavaScript is disabled in your browser. Please enable JavaScript to view this website.
AB187407

Anti-GDF11 + GDF8/Myostatin 抗体 [EPR4567(2)] - BSA and Azide free

Anti-GDF11 + GDF8/Myostatin antibody [EPR4567(2)] - BSA and Azide free

Be the first to review this product! Submit a review

|

(1 Publication)

Rabbit Recombinant Monoclonal GDF11 antibody. Carrier free. Suitable for ICC/IF, Flow Cyt (Intra), IHC-P, WB and reacts with Human, Mouse, Rat samples. Cited in 1 publication.

別名を表示する

BMP11, GDF11, Growth/differentiation factor 11, GDF-11, Bone morphogenetic protein 11, BMP-11

6 Images
Immunocytochemistry/ Immunofluorescence - Anti-GDF11 + GDF8/Myostatin antibody [EPR4567(2)] - BSA and Azide free (AB187407)
  • ICC/IF

Lab

Immunocytochemistry/ Immunofluorescence - Anti-GDF11 + GDF8/Myostatin antibody [EPR4567(2)] - BSA and Azide free (AB187407)

Immunocytochemistry/Immunofluorescence analysis of A549 cells labelling BMP11 + GDF8/Myostatin with purified ab124721 at 1/250. Cells were fixed with 4% paraformaldehyde and permeabilized with 0.1% triton X-100. ab150078, an Alexa Fluor® 555-conjugated goat anti-rabbit IgG (1/500) was used as the secondary antibody. DAPI (blue) was used as the nuclear counterstain.

Control : primary antibody (1/250) and secondary antibody, ab150113, an Alexa Fluor® 488-conjugated goat anti-mouse IgG (1/500).

This data was developed using the same antibody clone in a different buffer formulation containing PBS, BSA, glycerol, and sodium azide (ab124721).

Flow Cytometry (Intracellular) - Anti-GDF11 + GDF8/Myostatin antibody [EPR4567(2)] - BSA and Azide free (AB187407)
  • Flow Cyt (Intra)

Lab

Flow Cytometry (Intracellular) - Anti-GDF11 + GDF8/Myostatin antibody [EPR4567(2)] - BSA and Azide free (AB187407)

ab124721 staining GDF11 + GDF8/Myostatin in the human cell line HeLa (human cervix adenocarcinoma) by intracellular flow cytometry. Cells were fixed with 4% paraformaldehyde, permabilised with 90% methanol and the sample was incubated with the primary antibody at a dilution of 1/250. A goat anti rabbit IgG (Alexa Fluor® 488) at a dilution of 1/2000 was used as the secondary antibody.

Isoytype control : Rabbit monoclonal IgG (Black)

Unlabelled control : Cell without incubation with primary antibody and secondary antibody (Blue)

This data was developed using the same antibody clone in a different buffer formulation containing PBS, BSA, glycerol, and sodium azide (ab124721).

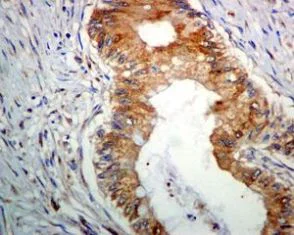
Immunohistochemistry (Formalin/PFA-fixed paraffin-embedded sections) - Anti-GDF11 + GDF8/Myostatin antibody [EPR4567(2)] - BSA and Azide free (AB187407)
  • IHC-P

Unknown

Immunohistochemistry (Formalin/PFA-fixed paraffin-embedded sections) - Anti-GDF11 + GDF8/Myostatin antibody [EPR4567(2)] - BSA and Azide free (AB187407)

Immunohistochemistry (Formalin/PFA-fixed paraffin-embedded sections) analysis of human colon adenocarcinoma tissue labelling BMP11 + GDF8/Myostatin with unpurified ab124721 at 1/500 dilution.

This data was developed using the same antibody clone in a different buffer formulation containing PBS, BSA, glycerol, and sodium azide (ab124721).

Perform heat mediated antigen retrieval with Tris/EDTA buffer pH 9.0 before commencing with IHC staining protocol.

Immunohistochemistry (Formalin/PFA-fixed paraffin-embedded sections) - Anti-GDF11 + GDF8/Myostatin antibody [EPR4567(2)] - BSA and Azide free (AB187407)
  • IHC-P

Lab

Immunohistochemistry (Formalin/PFA-fixed paraffin-embedded sections) - Anti-GDF11 + GDF8/Myostatin antibody [EPR4567(2)] - BSA and Azide free (AB187407)

Immunohistochemistry (Formalin/PFA-fixed paraffin-embedded sections) analysis of human cerebral cortex tissue labelling BMP11 + GDF8/Myostatin with purified ab124721 at 1/2500. Heat mediated antigen retrieval was performed using Tris/EDTA buffer pH 9. A prediluted HRP-polymer conjugated anti-rabbit IgG was used as the secondary antibody. Negative control using PBS instead of primary antibody. Counterstained with hematoxylin.

This data was developed using the same antibody clone in a different buffer formulation containing PBS, BSA, glycerol, and sodium azide (ab124721).

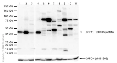
Western blot - Anti-GDF11 + GDF8/Myostatin antibody [EPR4567(2)] - BSA and Azide free (AB187407)
  • WB

Supplier Data

Western blot - Anti-GDF11 + GDF8/Myostatin antibody [EPR4567(2)] - BSA and Azide free (AB187407)

This data was developed using the same antibody clone in a different buffer formulation containing PBS, BSA, glycerol, and sodium azide (ab124721).  Blocking and diluting buffer : 5% NFDM/TBST This antibody is unsuitable to detect tissue samples.

All lanes:

Western blot - Anti-GDF11 + GDF8/Myostatin antibody [EPR4567(2)] (<a href='/products/primary-antibodies/gdf11-gdf8-myostatin-antibody-epr45672-ab124721'>ab124721</a>) at 1/1000 dilution

Lane 1:

HeLa (Human cervix adenocarcinoma epithelial cell) whole cell lysate at 20 µg

Lane 2:

HEK-293 (Human embryonic kidney epithelial cell) whole cell lysate at 20 µg

Lane 3:

C2C12 (Mouse myoblasts myoblast) whole cell lysate at 20 µg

Lane 4:

C6 (Rat glial tumor glial cell) whole cell lysate at 20 µg

Lane 5:

Rat liver lysate at 20 µg

Lane 6:

Rat heart lysate at 20 µg

Lane 7:

Rat kidney lysate at 20 µg

Lane 8:

Mouse brain lysate at 20 µg

Lane 9:

Mouse liver lysate at 20 µg

Lane 10:

Human liver lysate at 20 µg

Lane 11:

Human skeletal muscle lysate at 20 µg

Secondary

All lanes:

Goat Anti-Rabbit IgG (HRP) with minimal cross-reactivity with human IgG at 1/2000 dilution

Observed band size: 45 kDa

false

Exposure time: 5s

OI-RD Scanning - Anti-GDF11 + GDF8/Myostatin antibody [EPR4567(2)] - BSA and Azide free (AB187407)
  • OI-RD Scanning

Unknown

OI-RD Scanning - Anti-GDF11 + GDF8/Myostatin antibody [EPR4567(2)] - BSA and Azide free (AB187407)

We have systematically measured KD (the equilibrium dissociation constant between the antibody and its antigen), of more than 840 recombinant antibodies to assess not only their individual KD values but also to see the average affinity of antibody. Based on the comparison with published literature values for mouse monoclonal antibodies, Recombinant antibodies appear to be on average 1-2 order of magnitude higher affinity.

関連する標識済み抗体及び組成の異なる製品 (7)

  • Unconjugated

    Anti-GDF11 + GDF8/Myostatin antibody [EPR4567(2)]

  • 617 Alexa Fluor® 594

    Alexa Fluor® 594 Anti-GDF11 + GDF8/Myostatin antibody [EPR4567(2)]

  • 519 Alexa Fluor® 488

    Alexa Fluor® 488 Anti-GDF11 + GDF8/Myostatin antibody [EPR4567(2)]

  • 660 APC

    APC Anti-GDF11 + GDF8/Myostatin antibody [EPR4567(2)]

  • 565 Alexa Fluor® 555

    Alexa Fluor® 555 Anti-GDF11 + GDF8/Myostatin antibody [EPR4567(2)]

  • 578 PE

    PE Anti-GDF11 + GDF8/Myostatin antibody [EPR4567(2)]

  • 775 Alexa Fluor® 750

    Alexa Fluor® 750 Anti-GDF11 + GDF8/Myostatin antibody [EPR4567(2)]

Key facts

宿主種

Rabbit

クローン性

Monoclonal

クローン番号

EPR4567(2)

アイソタイプ

IgG

キャリアフリー

Yes

交差種

Mouse, Rat, Human

アプリケーション

WB, IHC-P, ICC/IF, Flow Cyt (Intra)

applications

免疫原

The exact immunogen used to generate this antibody is proprietary information.

Reactivity data

{ "title": "Reactivity Data", "filters": { "stats": ["", "Species", "Dilution Info", "Notes"], "tabs": { "all-applications": {"fullname" : "All Applications", "shortname": "All Applications"}, "ICCIF" : {"fullname" : "Immunocytochemistry/ Immunofluorescence", "shortname":"ICC/IF"}, "FlowCytIntra" : {"fullname" : "Flow Cytometry (Intracellular)", "shortname":"Flow Cyt (Intra)"}, "IHCP" : {"fullname" : "Immunohistochemistry (Formalin/PFA-fixed paraffin-embedded sections)", "shortname":"IHC-P"}, "WB" : {"fullname" : "Western blot", "shortname":"WB"} }, "product-promise": { "all": "all", "testedAndGuaranteed": "tested", "guaranteed": "expected", "predicted": "predicted", "notRecommended": "not-recommended" } }, "values": { "Human": { "ICCIF-species-checked": "testedAndGuaranteed", "ICCIF-species-dilution-info": "", "ICCIF-species-notes": "<p></p>", "FlowCytIntra-species-checked": "testedAndGuaranteed", "FlowCytIntra-species-dilution-info": "", "FlowCytIntra-species-notes": "<p></p>", "IHCP-species-checked": "testedAndGuaranteed", "IHCP-species-dilution-info": "", "IHCP-species-notes": "<p></p>", "WB-species-checked": "testedAndGuaranteed", "WB-species-dilution-info": "", "WB-species-notes": "<p></p>" }, "Mouse": { "ICCIF-species-checked": "guaranteed", "ICCIF-species-dilution-info": "", "ICCIF-species-notes": "", "FlowCytIntra-species-checked": "guaranteed", "FlowCytIntra-species-dilution-info": "", "FlowCytIntra-species-notes": "", "IHCP-species-checked": "guaranteed", "IHCP-species-dilution-info": "", "IHCP-species-notes": "", "WB-species-checked": "testedAndGuaranteed", "WB-species-dilution-info": "", "WB-species-notes": "<p></p>" }, "Rat": { "ICCIF-species-checked": "guaranteed", "ICCIF-species-dilution-info": "", "ICCIF-species-notes": "", "FlowCytIntra-species-checked": "guaranteed", "FlowCytIntra-species-dilution-info": "", "FlowCytIntra-species-notes": "", "IHCP-species-checked": "guaranteed", "IHCP-species-dilution-info": "", "IHCP-species-notes": "", "WB-species-checked": "testedAndGuaranteed", "WB-species-dilution-info": "", "WB-species-notes": "<p></p>" } } }

製品の詳細

ab187407 is the carrier-free version of ab124721.

Patented technology
Our RabMAb® technology is a patented hybridoma-based technology for making rabbit monoclonal antibodies. For details on our patents, please refer to RabMAb® patents.

What are the advantages of a recombinant monoclonal antibody?
This product is a recombinant monoclonal antibody, which offers several advantages including:

  • - High batch-to-batch consistency and reproducibility
  • - Improved sensitivity and specificity
  • - Long-term security of supply
  • - Animal-free batch production

For more information, read more on recombinant antibodies.

Conjugation ready
Our carrier-free antibodies are typically supplied in a PBS-only formulation, purified and free of BSA, sodium azide and glycerol. This conjugation-ready format is designed for use with fluorochromes, metal isotopes, oligonucleotides, and enzymes, which makes them ideal for antibody labelling, functional and cell-based assays, flow-based assays (e.g. mass cytometry) and Multiplex Imaging applications.

Use our conjugation kits for antibody conjugates that are ready-to-use in as little as 20 minutes with 1 minute hands-on-time and 100% antibody recovery: available for fluorescent dyes, HRP, biotin and gold.

Compatibility
This product is compatible with the Maxpar® Antibody Labeling Kit from Fluidigm, without the need for antibody preparation. Maxpar® is a trademark of Fluidigm Canada Inc.

出荷温度及び保存条件

製品の状態
Liquid
精製方法
Affinity purification Protein A
バッファー組成
pH: 7.2 - 7.4 Constituents: PBS
出荷温度
Blue Ice
短期保存温度
+4°C
長期保存温度
+4°C
保管に関する情報
Do Not Freeze

製品プロトコール

For this product, it's our understanding that no specific protocols are required. You can visit:

ターゲットの情報

Secreted signal that acts globally to regulate anterior/posterior axial patterning during development. May play critical roles in patterning both mesodermal and neural tissues (By similarity). It is required for proper vertebral patterning and orofacial development (PubMed : 31215115). Signals through activin receptors type-2, ACVR2A and ACVR2B, and activin receptors type-1, ACVR1B, ACVR1C and TGFBR1 leading to the phosphorylation of SMAD2 and SMAD3 (PubMed : 28257634).
See full target information GDF11

追加のターゲット

MSTN

文献 (1)

Recent publications for all applications. Explore the full list and refine your search

Journal of cellular and molecular medicine 25:3149-3159 PubMed33544460

2021

Deubiquitylation and stabilization of ARMC5 by ubiquitin-specific processing protease 7 (USP7) are critical for RCC proliferation.

Applications

Unspecified application

Species

Unspecified reactive species

Guobei Yan,Na Liu,Jun Tian,Yanli Fu,Wei Wei,Jingjing Zou,Suping Li,Qing Wang,Kai Li,Junhua Wang
View all publications

Abcam product promise

当社は、高品質な試薬を通じてお客様の研究を力強くサポートすることをお約束いたします。ご使用いただく各段階で、常にお客様をサポートできる体制を整えております。万が一、製品が期待通りに機能しない場合は、「Abcam Product Promise」による当社保証制度に基づき、安心してご利用いただけます。
保証に関する詳細については利用規約をご確認ください。

Please note: All products are 'FOR RESEARCH USE ONLY. NOT FOR USE IN DIAGNOSTIC OR THERAPEUTIC PROCEDURES'.

For licensing inquiries, please contact partnerships@abcam.com