JavaScript is disabled in your browser. Please enable JavaScript to view this website.
AB307507

Anti-GCH1 抗体 [EPR27331-30]

Anti-GCH1 antibody [EPR27331-30]

  • BOND RX™ Validated
  • 20ul selling size
  • RabMAb
  • Recombinant
  • 詳細を見る

Be the first to review this product! Submit a review

|

(4 Publications)

Rabbit Recombinant Monoclonal GCH1 antibody. Suitable for IP, IHC-P, WB and reacts with Mouse, Rat, Human samples. Cited in 4 publications.

別名を表示する

DYT5, GCH, GCH1, GTP cyclohydrolase 1, GTP cyclohydrolase I, GTP-CH-I

12 Images
Immunohistochemistry (Formalin/PFA-fixed paraffin-embedded sections) - Anti-GCH1 antibody [EPR27331-30] (AB307507)
  • IHC-P

Supplier Data

Immunohistochemistry (Formalin/PFA-fixed paraffin-embedded sections) - Anti-GCH1 antibody [EPR27331-30] (AB307507)

Immunohistochemical analysis of paraffin-embedded Human skeletal muscl tissue labeling GCH1 with ab307507 at 1/500 (1.044 ug/ml) followed by a ready to use LeicaDS9800 (Bond™ Polymer Refine Detection) was used. Negative control : No staining on human skeletal muscle.The section was incubated with ab307507 for 30 mins at room temperature.The immunostaining was performed on a Leica Biosystems BOND® RX instrument Counterstained with Hematoxylin. Secondary antibody only control : Secondary antibody is a ready to use LeicaDS9800 (Bond™ Polymer Refine Detection) was used. Heat mediated antigen retrieval was performed with Tris-EDTA buffer (pH 9.0, Epitope Retrieval Solution2) for 20 mins.

Immunohistochemistry (Formalin/PFA-fixed paraffin-embedded sections) - Anti-GCH1 antibody [EPR27331-30] (AB307507)
  • IHC-P

Supplier Data

Immunohistochemistry (Formalin/PFA-fixed paraffin-embedded sections) - Anti-GCH1 antibody [EPR27331-30] (AB307507)

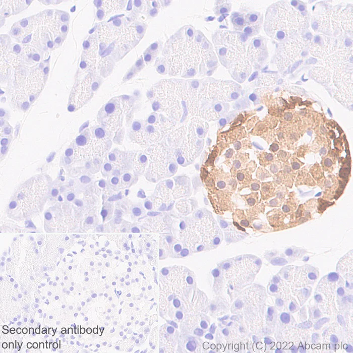
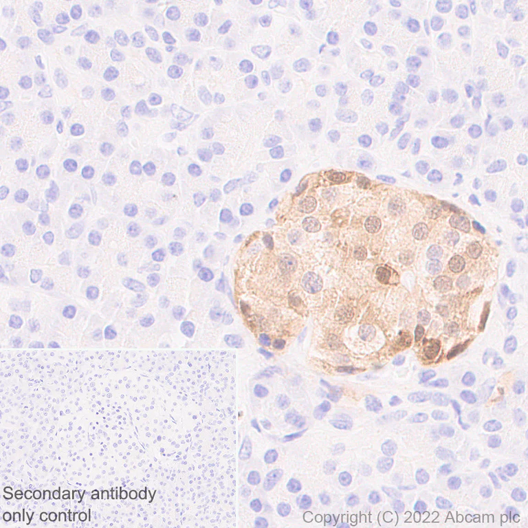
Immunohistochemical analysis of paraffin-embedded Human pancreas tissue labeling GCH1 with ab307507 at 1/500 (1.044 ug/ml) followed by a ready to use LeicaDS9800 (Bond™ Polymer Refine Detection) was used. Positive staining on human pancreatic islets.The section was incubated with ab307507 for 30 mins at room temperature.The immunostaining was performed on a Leica Biosystems BOND® RX instrument Counterstained with Hematoxylin. Secondary antibody only control : Secondary antibody is a ready to use LeicaDS9800 (Bond™ Polymer Refine Detection) was used. Heat mediated antigen retrieval was performed with Tris-EDTA buffer (pH 9.0, Epitope Retrieval Solution2) for 20 mins

Immunohistochemistry (Formalin/PFA-fixed paraffin-embedded sections) - Anti-GCH1 antibody [EPR27331-30] (AB307507)
  • IHC-P

Supplier Data

Immunohistochemistry (Formalin/PFA-fixed paraffin-embedded sections) - Anti-GCH1 antibody [EPR27331-30] (AB307507)

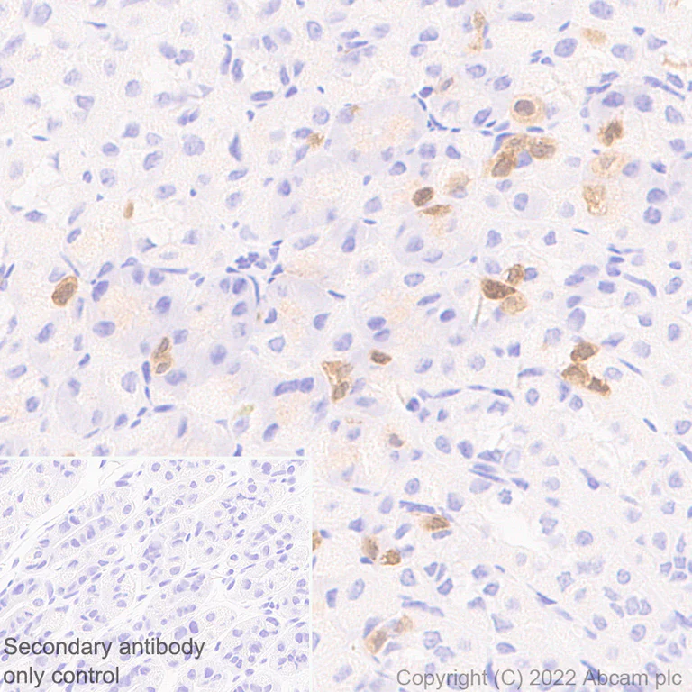
Immunohistochemical analysis of paraffin-embedded Human colon tissue labelling GCH1 with ab307507 at 1/500 (1.044 ug/ml) followed by a ready to use LeicaDS9800 (Bond™ Polymer Refine Detection) was used. Positive staining on scattered cells in human colon (PMID : 22753274). The section was incubated with ab307507 for 30 mins at room temperature. The immunostaining was performed on a Leica Biosystems BOND® RX instrument. Counterstained with Hematoxylin. Secondary antibody only control : Secondary antibody is a ready to use LeicaDS9800 (Bond™ Polymer Refine Detection) was used. Heat mediated antigen retrieval was performed with Tris-EDTA buffer (pH 9.0, Epitope Retrieval Solution2) for 20 mins

Immunohistochemistry (Formalin/PFA-fixed paraffin-embedded sections) - Anti-GCH1 antibody [EPR27331-30] (AB307507)
  • IHC-P

Supplier Data

Immunohistochemistry (Formalin/PFA-fixed paraffin-embedded sections) - Anti-GCH1 antibody [EPR27331-30] (AB307507)

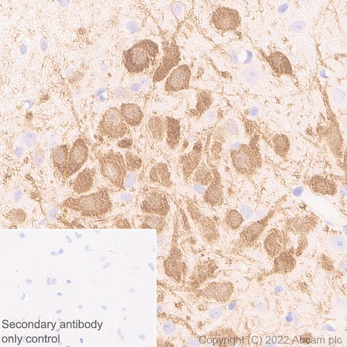
Immunohistochemical analysis of paraffin-embedded Mouse midbrain tissue labeling GCH1 with ab307507 at 1/1000 (0.522 ug/ml) followed by a ready to use LeicaDS9800 (Bond® Polymer Refine Detection) was used. Positive staining on neurons of mouse midbrain (PMID : 10907721). The section was incubated with ab307507 for 30 mins at room temperature.The immunostaining was performed on a Leica Biosystems BOND® RX instrument Counterstained with Hematoxylin. Secondary antibody only control : Secondary antibody is a ready to use LeicaDS9800 (Bond® Polymer Refine Detection) was used. Heat mediated antigen retrieval was performed with Tris-EDTA buffer (pH 9.0, Epitope Retrieval Solution2) for 20 mins

Immunohistochemistry (Formalin/PFA-fixed paraffin-embedded sections) - Anti-GCH1 antibody [EPR27331-30] (AB307507)
  • IHC-P

Supplier Data

Immunohistochemistry (Formalin/PFA-fixed paraffin-embedded sections) - Anti-GCH1 antibody [EPR27331-30] (AB307507)

Immunohistochemical analysis of paraffin-embedded Mouse stomach tissue labeling GCH1 with ab307507 at 1/1000 (0.522 ug/ml) followed by a ready to use LeicaDS9800 (Bond® Polymer Refine Detection) was used. Positive staining on scattered cells in mouse stomach.The section was incubated with ab307507 for 30 mins at room temperature.The immunostaining was performed on a Leica Biosystems BOND® RX instrument Counterstained with Hematoxylin. Secondary antibody only control : Secondary antibody is a ready to use LeicaDS9800 (Bond® Polymer Refine Detection) was used. Heat mediated antigen retrieval was performed with Tris-EDTA buffer (pH 9.0, Epitope Retrieval Solution2) for 20 mins

Immunohistochemistry (Formalin/PFA-fixed paraffin-embedded sections) - Anti-GCH1 antibody [EPR27331-30] (AB307507)
  • IHC-P

Supplier Data

Immunohistochemistry (Formalin/PFA-fixed paraffin-embedded sections) - Anti-GCH1 antibody [EPR27331-30] (AB307507)

Immunohistochemical analysis of paraffin-embedded Mouse skeletal muscl tissue lABeling GCH1 with ab307507 at 1/1000 (0.522 ug/ml) followed by a ready to use LeicaDS9800 (Bond® Polymer Refine Detection) was used. Negative control : No staining on mouse skeletal muscle.The section was incubated with ab307507 for 30 mins at room temperature.The immunostaining was performed on a Leica Biosystems BOND® RX instrument Counterstained with Hematoxylin. Secondary antibody only control : Secondary antibody is a ready to use LeicaDS9800 (Bond® Polymer Refine Detection) was used. Heat mediated antigen retrieval was performed with Tris-EDTA buffer (pH 9.0, Epitope Retrieval Solution2) for 20 mins

Immunohistochemistry (Formalin/PFA-fixed paraffin-embedded sections) - Anti-GCH1 antibody [EPR27331-30] (AB307507)
  • IHC-P

Supplier Data

Immunohistochemistry (Formalin/PFA-fixed paraffin-embedded sections) - Anti-GCH1 antibody [EPR27331-30] (AB307507)

Immunohistochemical analysis of paraffin-embedded Rat skeletal muscle tissue labeling GCH1 with ab307507 at 1/1000 (0.522 ug/ml) followed by a ready to use LeicaDS9800 (Bond™ Polymer Refine Detection) was used. Negative control : No staining on rat skeletal muscle.The section was incubated with ab307507 for 30 mins at room temperature.The immunostaining was performed on a Leica Biosystems BOND® RX instrument Counterstained with Hematoxylin. Secondary antibody only control : Secondary antibody is a ready to use LeicaDS9800 (Bond™ Polymer Refine Detection) was used. Heat mediated antigen retrieval was performed with Tris-EDTA buffer (pH 9.0, Epitope Retrieval Solution2) for 20 mins

Immunohistochemistry (Formalin/PFA-fixed paraffin-embedded sections) - Anti-GCH1 antibody [EPR27331-30] (AB307507)
  • IHC-P

Supplier Data

Immunohistochemistry (Formalin/PFA-fixed paraffin-embedded sections) - Anti-GCH1 antibody [EPR27331-30] (AB307507)

Immunohistochemical analysis of paraffin-embedded Rat pancreas tissue labeling GCH1 with ab307507 at 1/1000 (0.522 ug/ml) followed by a ready to use LeicaDS9800 (Bond™ Polymer Refine Detection) was used. Positive staining on rat pancreatic islets.The section was incubated with ab307507 for 30 mins at room temperature.The immunostaining was performed on a Leica Biosystems BOND® RX instrument Counterstained with Hematoxylin. Secondary antibody only control : Secondary antibody is a ready to use LeicaDS9800 (Bond™ Polymer Refine Detection) was used. Heat mediated antigen retrieval was performed with Tris-EDTA buffer (pH 9.0, Epitope Retrieval Solution2) for 20 mins

Immunohistochemistry (Formalin/PFA-fixed paraffin-embedded sections) - Anti-GCH1 antibody [EPR27331-30] (AB307507)
  • IHC-P

Supplier Data

Immunohistochemistry (Formalin/PFA-fixed paraffin-embedded sections) - Anti-GCH1 antibody [EPR27331-30] (AB307507)

Immunohistochemical analysis of paraffin-embedded Rat colon tissue labeling GCH1 with ab307507 at 1/1000 (0.522 ug/ml) followed by a ready to use LeicaDS9800 (Bond® Polymer Refine Detection) was used. Positive staining on scattered cells in rat colon.The section was incubated with ab307507 for 30 mins at room temperature.The immunostaining was performed on a Leica Biosystems BOND® RX instrument Counterstained with Hematoxylin. Secondary antibody only control : Secondary antibody is a ready to use LeicaDS9800 (Bond® Polymer Refine Detection) was used. Heat mediated antigen retrieval was performed with Tris-EDTA buffer (pH 9.0, Epitope Retrieval Solution2) for 20 mins

Immunoprecipitation - Anti-GCH1 antibody [EPR27331-30] (AB307507)
  • IP

Supplier Data

Immunoprecipitation - Anti-GCH1 antibody [EPR27331-30] (AB307507)

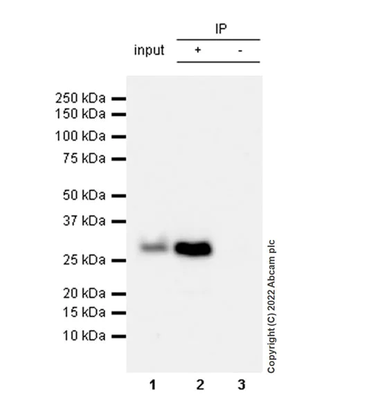
GCH1 was immunoprecipitated from 0.35 mg Neuro-2a (mouse neuroblastoma neuroblast) whole cell lysate 10 ug with ab307507 at 1/30 dilution (2ug in 0.35mg lysates). Western blot was performed on the immunoprecipitate using ab307507 at 1/1000 dilution. VeriBlot for IP secondary antibody(HRP)(ab131366) was used at 1/5000 dilution. Lane 1 : Neuro-2a (mouse neuroblastoma neuroblast) whole cell lysate 10 ug Lane 2 : ab307507 IP in Neuro-2a whole cell lysate Lane 3 : Rabbit monoclonal IgG (ab172730) instead of ab307507 in Neuro-2a whole cell lysate Blocking and dilution buffer and concentration : 5% NFDM/TBST. Exposure time : 6 seconds

All lanes:

Immunoprecipitation - Anti-GCH1 antibody [EPR27331-30] (ab307507) at 1/1000 dilution

Lane 1:

Neuro-2a (mouse neuroblastoma neuroblast) whole cell lysate 10 μg

Lane 2:

Neuro-2a whole cell lysate

Lane 3:

Rabbit monoclonal IgG (<a href='/products/primary-antibodies/rabbit-igg-monoclonal-epr25a-isotype-control-ab172730'>ab172730</a>) instead of ab307507 in Neuro-2a whole cell lysate

Secondary

All lanes:

Immunoprecipitation - VeriBlot for IP Detection Reagent (HRP) (<a href='/products/reagents/veriblot-for-ip-detection-reagent-hrp-ab131366'>ab131366</a>) at 1/5000 dilution

Observed band size: 27 kDa

false

Exposure time: 6s

Western blot - Anti-GCH1 antibody [EPR27331-30] (AB307507)
  • WB

Supplier Data

Western blot - Anti-GCH1 antibody [EPR27331-30] (AB307507)

Blocking and diluting buffer and concentration : 5% NFDM/TBSTNegative control : K562 (PMID : 32778843) Exposure time :

All lanes:

Western blot - Anti-GCH1 antibody [EPR27331-30] (ab307507) at 1/1000 dilution

Lane 1:

SH-SY5Y (human neuroblastoma epithelial cell) whole cell lysate 20 μg

Lane 2:

K562 (human chronic myelogenous leukemia lymphoblast) whole cell lysate 20 μg

Lane 3:

Neuro-2a (mouse neuroblastoma neuroblast) whole cell lysate 20 μg

Lane 4:

N9 (mouse microglia) whole cell lysate 20 μg

Lane 5:

PC-12 (rat adrenal gland pheochromocytoma) whole cell lysate 20 μg

Secondary

All lanes:

Western blot - Goat Anti-Rabbit IgG H&L (HRP) (<a href='/products/secondary-antibodies/goat-rabbit-igg-h-l-hrp-ab97051'>ab97051</a>) at 1/100000 dilution

Observed band size: 27 kDa

false

Exposure time: 37s

Western blot - Anti-GCH1 antibody [EPR27331-30] (AB307507)
  • WB

Supplier Data

Western blot - Anti-GCH1 antibody [EPR27331-30] (AB307507)

Blocking and diluting buffer and concentration : 5% NFDM/TBSTNegative control : skeletal muscle (PMID : 22798524) Exposure time : 180 seconds

All lanes:

Western blot - Anti-GCH1 antibody [EPR27331-30] (ab307507) at 1/1000 dilution

Lane 1:

Mouse liver tissue lysate 20 μg

Lane 2:

Mouse hypothalamus tissue lysate 20 μg

Lane 3:

Mouse skeletal muscle tissue lysate 20 μg

Lane 4:

Rat liver tissue lysate 20 μg

Lane 5:

Rat hypothalamus tissue lysate 20 μg

Lane 6:

Rat skeletal muscle tissue lysate 20 μg

Secondary

All lanes:

Western blot - Goat Anti-Rabbit IgG H&L (HRP) (<a href='/products/secondary-antibodies/goat-rabbit-igg-h-l-hrp-ab97051'>ab97051</a>) at 1/100000 dilution

Observed band size: 27 kDa

false

Exposure time: 180s

関連する標識済み抗体及び組成の異なる製品 (1)

  • Carrier free

    Anti-GCH1 antibody [EPR27331-30] - BSA and Azide free

Key facts

宿主種

Rabbit

クローン性

Monoclonal

クローン番号

EPR27331-30

アイソタイプ

IgG

キャリアフリー

No

交差種

Human, Mouse, Rat

アプリケーション

WB, IHC-P, IP

applications

免疫原

The exact immunogen used to generate this antibody is proprietary information.

Reactivity data

{ "title": "Reactivity Data", "filters": { "stats": ["", "Species", "Dilution Info", "Notes"], "tabs": { "all-applications": {"fullname" : "All Applications", "shortname": "All Applications"}, "IP" : {"fullname" : "Immunoprecipitation", "shortname":"IP"}, "FlowCytIntra" : {"fullname" : "Flow Cytometry (Intracellular)", "shortname":"Flow Cyt (Intra)"}, "ICCIF" : {"fullname" : "Immunocytochemistry/ Immunofluorescence", "shortname":"ICC/IF"}, "IHCFr" : {"fullname" : "Immunohistochemistry (Frozen sections)", "shortname":"IHC-Fr"}, "IHCP" : {"fullname" : "Immunohistochemistry (Formalin/PFA-fixed paraffin-embedded sections)", "shortname":"IHC-P"}, "WB" : {"fullname" : "Western blot", "shortname":"WB"} }, "product-promise": { "all": "all", "testedAndGuaranteed": "tested", "guaranteed": "expected", "predicted": "predicted", "notRecommended": "not-recommended" } }, "values": { "Human": { "IP-species-checked": "guaranteed", "IP-species-dilution-info": "", "IP-species-notes": "", "FlowCytIntra-species-checked": "notRecommended", "FlowCytIntra-species-dilution-info": "", "FlowCytIntra-species-notes": "<p></p>", "ICCIF-species-checked": "notRecommended", "ICCIF-species-dilution-info": "", "ICCIF-species-notes": "<p></p>", "IHCFr-species-checked": "notRecommended", "IHCFr-species-dilution-info": "", "IHCFr-species-notes": "", "IHCP-species-checked": "testedAndGuaranteed", "IHCP-species-dilution-info": "1/500 - 1/1000", "IHCP-species-notes": "<p></p> Perform heat-mediated antigen retrieval with Tris/EDTA buffer pH 9.0 before commencing with IHC staining protocol.", "WB-species-checked": "testedAndGuaranteed", "WB-species-dilution-info": "1/1000", "WB-species-notes": "<p></p>" }, "Mouse": { "IP-species-checked": "testedAndGuaranteed", "IP-species-dilution-info": "1/30", "IP-species-notes": "<p></p>", "FlowCytIntra-species-checked": "notRecommended", "FlowCytIntra-species-dilution-info": "", "FlowCytIntra-species-notes": "", "ICCIF-species-checked": "notRecommended", "ICCIF-species-dilution-info": "", "ICCIF-species-notes": "", "IHCFr-species-checked": "notRecommended", "IHCFr-species-dilution-info": "", "IHCFr-species-notes": "<p></p>", "IHCP-species-checked": "testedAndGuaranteed", "IHCP-species-dilution-info": "1/500 - 1/1000", "IHCP-species-notes": "<p></p> Perform heat-mediated antigen retrieval with Tris/EDTA buffer pH 9.0 before commencing with IHC staining protocol.", "WB-species-checked": "testedAndGuaranteed", "WB-species-dilution-info": "1/1000", "WB-species-notes": "<p></p>" }, "Rat": { "IP-species-checked": "guaranteed", "IP-species-dilution-info": "", "IP-species-notes": "", "FlowCytIntra-species-checked": "notRecommended", "FlowCytIntra-species-dilution-info": "", "FlowCytIntra-species-notes": "", "ICCIF-species-checked": "notRecommended", "ICCIF-species-dilution-info": "", "ICCIF-species-notes": "", "IHCFr-species-checked": "notRecommended", "IHCFr-species-dilution-info": "", "IHCFr-species-notes": "<p></p>", "IHCP-species-checked": "testedAndGuaranteed", "IHCP-species-dilution-info": "1/500 - 1/1000", "IHCP-species-notes": "<p></p> Perform heat-mediated antigen retrieval with Tris/EDTA buffer pH 9.0 before commencing with IHC staining protocol.", "WB-species-checked": "testedAndGuaranteed", "WB-species-dilution-info": "1/1000", "WB-species-notes": "<p></p>" } } }

製品の詳細

Patented technology
Our RabMAb® technology is a patented hybridoma-based technology for making rabbit monoclonal antibodies. For details on our patents, please refer to RabMAb® patents.

What are the advantages of a recombinant monoclonal antibody?
This product is a recombinant monoclonal antibody, which offers several advantages including:

  • - High batch-to-batch consistency and reproducibility
  • - Improved sensitivity and specificity
  • - Long-term security of supply
  • - Animal-free batch production

For more information, read more on recombinant antibodies.

出荷温度及び保存条件

製品の状態
Liquid
精製方法
Affinity purification Protein A
バッファー組成
pH: 7.2 - 7.4 Preservative: 0.01% Sodium azide Constituents: PBS, 40% Glycerol (glycerin, glycerine), 0.05% BSA
出荷温度
Blue Ice
短期保存期間
1-2 weeks
短期保存温度
+4°C
長期保存温度
-20°C
分注に関する情報
Upon delivery aliquot
保管に関する情報
Avoid freeze / thaw cycle

製品プロトコール

For this product, it's our understanding that no specific protocols are required. You can visit:

ターゲットの情報

Positively regulates nitric oxide synthesis in umbilical vein endothelial cells (HUVECs). May be involved in dopamine synthesis. May modify pain sensitivity and persistence. Isoform GCH-1 is the functional enzyme, the potential function of the enzymatically inactive isoforms remains unknown.
See full target information GCH1

文献 (4)

Recent publications for all applications. Explore the full list and refine your search

Translational pediatrics 14:658-670 PubMed40386354

2025

Screening for biomarkers of bronchopulmonary dysplasia: a bioinformatics analysis.

Applications

Unspecified application

Species

Unspecified reactive species

Xiaoqun Zhang,Linzhou Zhu,Huawei Wang,Jinhui Hu,Jie Huo,Shan He,Yueping Shen,Xueping Zhu

Antioxidants (Basel, Switzerland) 13: PubMed38790682

2024

Manipulates Host Cell Ferroptosis to Facilitate Its Intracellular Replication and Egress in RAW264.7 Macrophages.

Applications

Unspecified application

Species

Unspecified reactive species

Guangdong Zhang,Hai Hu,Yi Yin,Mingxing Tian,Zhigao Bu,Chan Ding,Shengqing Yu

Nature communications 15:2953 PubMed38580662

2024

Statins improve cardiac endothelial function to prevent heart failure with preserved ejection fraction through upregulating circRNA-RBCK1.

Applications

Unspecified application

Species

Unspecified reactive species

Bin Li,Wen-Wu Bai,Tao Guo,Zhen-Yu Tang,Xue-Jiao Jing,Ti-Chao Shan,Sen Yin,Ying Li,Fu Wang,Mo-Li Zhu,Jun-Xiu Lu,Yong-Ping Bai,Bo Dong,Peng Li,Shuang-Xi Wang

Redox biology 70:103056 PubMed38290383

2024

Nur77 mitigates endothelial dysfunction through activation of both nitric oxide production and anti-oxidant pathways.

Applications

Unspecified application

Species

Unspecified reactive species

Lin Lu,Soohwa Jang,Jiaqi Zhu,Qing Qin,Lijun Sun,Jianxin Sun
View all publications

Abcam product promise

当社は、高品質な試薬を通じてお客様の研究を力強くサポートすることをお約束いたします。ご使用いただく各段階で、常にお客様をサポートできる体制を整えております。万が一、製品が期待通りに機能しない場合は、「Abcam Product Promise」による当社保証制度に基づき、安心してご利用いただけます。
保証に関する詳細については利用規約をご確認ください。

Please note: All products are 'FOR RESEARCH USE ONLY. NOT FOR USE IN DIAGNOSTIC OR THERAPEUTIC PROCEDURES'.

For licensing inquiries, please contact partnerships@abcam.com