JavaScript is disabled in your browser. Please enable JavaScript to view this website.
AB37168

Anti-GAPDH 抗体 - Loading Control

Anti-GAPDH antibody - Loading Control

5

(2 Reviews)

|

(554 Publications)

Rabbit Polyclonal GAPDH antibody. Suitable for WB, IHC-P, ICC/IF and reacts with Mouse, Rat, Human samples. Cited in 554 publications. Immunogen corresponding to Synthetic Peptide within Human GAPDH aa 50-150.

別名を表示する

GAPD, CDABP0047, OK/SW-cl.12, GAPDH, Glyceraldehyde-3-phosphate dehydrogenase, Peptidyl-cysteine S-nitrosylase GAPDH

8 Images
Immunocytochemistry/ Immunofluorescence - Anti-GAPDH antibody - Loading Control (AB37168)
  • ICC/IF

Unknown

Immunocytochemistry/ Immunofluorescence - Anti-GAPDH antibody - Loading Control (AB37168)

ICC/IF image of ab37168 stained HeLa cells. The cells were 100% methanol fixed (5 min) and then incubated in 1%BSA / 10% normal goat serum / 0.3M glycine in 0.1% PBS-Tween for 1h to permeabilise the cells and block non-specific protein-protein interactions. The cells were then incubated with the antibody (ab37168, 1µg/ml) overnight at +4°C. The secondary antibody (green) was Alexa Fluor® 488 goat anti-rabbit IgG (H+L) used at a 1/1000 dilution for 1h. Alexa Fluor® 594 WGA was used to label plasma membranes (red) at a 1/200 dilution for 1h. DAPI was used to stain the cell nuclei (blue) at a concentration of 1.43µM.

Immunocytochemistry/ Immunofluorescence - Anti-GAPDH antibody - Loading Control (AB37168)
  • ICC/IF

Unknown

Immunocytochemistry/ Immunofluorescence - Anti-GAPDH antibody - Loading Control (AB37168)

ICC/IF image of ab37168 stained Hela cells. The cells were 100% methanol fixed (5 min) and then incubated in 1%BSA / 10% normal goat serum / 0.3M glycine in 0.1% PBS-Tween for 1h to permeabilise the cells and block non-specific protein-protein interactions. The cells were then incubated with the antibody (ab37168, 1μg/ml) overnight at +4°C. The secondary antibody (green) was anti-Rabbit DyLight® 488 pre-adsorbed (ab96899) used at a 1/250 dilution for 1h. Alexa Fluor® 594 WGA was used to label plasma membranes (red) at a 1/200 dilution for 1h. DAPI was used to stain the cell nuclei (blue) at a concentration of 1.43μM.

Immunohistochemistry (Formalin/PFA-fixed paraffin-embedded sections) - Anti-GAPDH antibody - Loading Control (AB37168)
  • IHC-P

Unknown

Immunohistochemistry (Formalin/PFA-fixed paraffin-embedded sections) - Anti-GAPDH antibody - Loading Control (AB37168)

ab37168 at 10μg/ml staining GAPDH in human liver tissue by IHC.

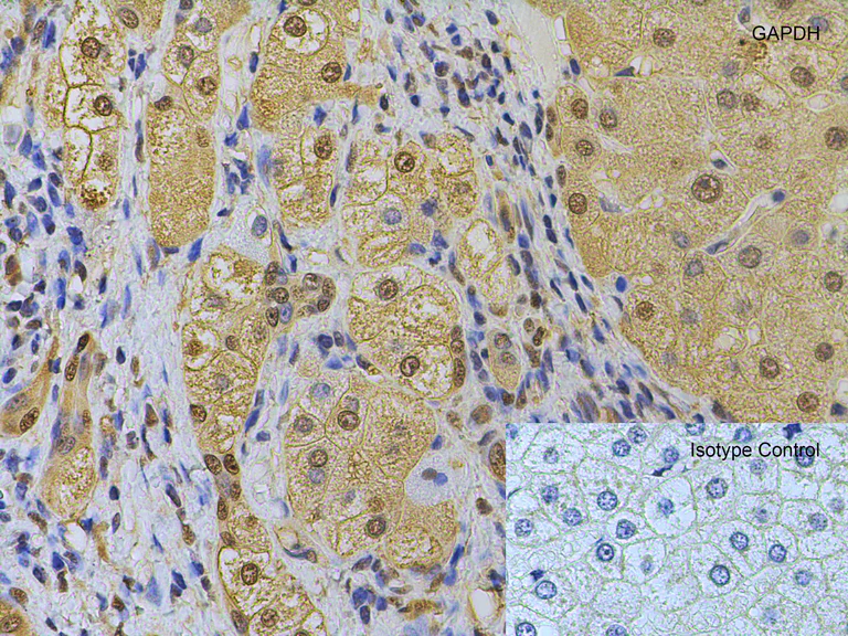
Immunohistochemistry (Formalin/PFA-fixed paraffin-embedded sections) - Anti-GAPDH antibody - Loading Control (AB37168)
  • IHC-P

Supplier Data

Immunohistochemistry (Formalin/PFA-fixed paraffin-embedded sections) - Anti-GAPDH antibody - Loading Control (AB37168)

Immunohistochemical analysis of paraffin-embedded human liver tissue using anti-GAPDH antibody (ab37168) at 2 µg/ml. Tissue was fixed with formaldehyde and blocked with 10% serum for 1 h at RT; antigen retrieval was by heat mediation with a citrate buffer (pH6). Samples were incubated with primary antibody overnight at 4°C. A goat anti-rabbit IgG H&L (HRP) at 1/250 dilution was used as secondary. Counter stained with Hematoxylin.

Western blot - Anti-GAPDH antibody - Loading Control (AB37168)
  • WB

Supplier Data

Western blot - Anti-GAPDH antibody - Loading Control (AB37168)

1 h incubation at RT in 5% NFDM/TBST.

All lanes:

Western blot - Anti-GAPDH antibody - Loading Control (ab37168) at 0.5 µg/mL

Lane 1:

293 cell lysates at 15 µg

Lane 2:

A549 cell lysates at 15 µg

Lane 3:

HeLa cell lysates at 15 µg

Lane 4:

HepG2 cell lysates at 15 µg

Lane 5:

K562 cell lysates at 15 µg

Lane 6:

MCF7 cell lysates at 15 µg

Lane 7:

SK-N-SH cell lysates at 15 µg

Secondary

All lanes:

Goat Anti-Rabbit IgG HRP conjugate at 1/10000 dilution

Predicted band size: 36 kDa

Observed band size: 36 kDa

false

Western blot - Anti-GAPDH antibody - Loading Control (AB37168)
  • WB

Supplier Data

Western blot - Anti-GAPDH antibody - Loading Control (AB37168)

1 h incubation at RT in 5% NFDM/TBST.

All lanes:

Western blot - Anti-GAPDH antibody - Loading Control (ab37168) at 1 µg/mL

Lane 1:

Rat skin at 15 µg

Lane 2:

Rat brain at 15 µg

Secondary

All lanes:

Goat Anti-Rabbit IgG HRP conjugate at 1/10000 dilution

Predicted band size: 36 kDa

Observed band size: 36 kDa

false

Western blot - Anti-GAPDH antibody - Loading Control (AB37168)
  • WB

Supplier Data

Western blot - Anti-GAPDH antibody - Loading Control (AB37168)

1 h incubation at RT in 5% NFDM/TBST.

All lanes:

Western blot - Anti-GAPDH antibody - Loading Control (ab37168) at 1 µg/mL

Lane 1:

Mouse brain at 15 µg

Lane 2:

Mouse thymus at 15 µg

Secondary

All lanes:

Goat Anti-Rabbit IgG HRP conjugate at 1/10000 dilution

Predicted band size: 36 kDa

Observed band size: 36 kDa

false

Western blot - Anti-GAPDH antibody - Loading Control (AB37168)
  • WB

Lab

Western blot - Anti-GAPDH antibody - Loading Control (AB37168)

All lanes:

Western blot - Anti-GAPDH antibody - Loading Control (ab37168) at 1 µg/mL

Lanes 1 and 3:

HeLa Whole Cell Lysate at 10 µg

Lanes 2 and 4:

Jurkat Whole Cell Lysate at 10 µg

Secondary

Lanes 1 - 2:

Western blot - Goat Anti-Rabbit IgG H&L (HRP) (<a href='/products/secondary-antibodies/goat-rabbit-igg-h-l-hrp-ab97051'>ab97051</a>) at 0.02 µg/mL

Lanes 3 - 4:

Western blot - VHH Single Domain Anti-Rabbit IgG Fc (HRP) (<a href='/products/secondary-antibodies/vhh-single-domain-rabbit-igg-fc-hrp-ab191866'>ab191866</a>) at 0.02 µg/mL

Predicted band size: 11 kDa,54 kDa

true

Key facts

宿主種

Rabbit

クローン性

Polyclonal

アイソタイプ

IgG

キャリアフリー

No

交差種

Human, Mouse, Rat

アプリケーション

IHC-P, ICC/IF, WB

applications

免疫原

Synthetic Peptide within Human GAPDH aa 50-150. The exact immunogen used to generate this antibody is proprietary information.

P04406

Reactivity data

{ "title": "Reactivity Data", "filters": { "stats": ["", "Species", "Dilution Info", "Notes"], "tabs": { "all-applications": {"fullname" : "All Applications", "shortname": "All Applications"}, "WB" : {"fullname" : "Western blot", "shortname":"WB"}, "IHCP" : {"fullname" : "Immunohistochemistry (Formalin/PFA-fixed paraffin-embedded sections)", "shortname":"IHC-P"}, "ICCIF" : {"fullname" : "Immunocytochemistry/ Immunofluorescence", "shortname":"ICC/IF"} }, "product-promise": { "all": "all", "testedAndGuaranteed": "tested", "guaranteed": "expected", "predicted": "predicted", "notRecommended": "not-recommended" } }, "values": { "Human": { "WB-species-checked": "testedAndGuaranteed", "WB-species-dilution-info": "0.5-2 µg/mL", "WB-species-notes": "<p></p>", "IHCP-species-checked": "testedAndGuaranteed", "IHCP-species-dilution-info": "1-2 µg/mL", "IHCP-species-notes": "<p></p>", "ICCIF-species-checked": "testedAndGuaranteed", "ICCIF-species-dilution-info": "0.1-1 µg/mL", "ICCIF-species-notes": "<p></p>" }, "Mouse": { "WB-species-checked": "testedAndGuaranteed", "WB-species-dilution-info": "0.5-2 µg/mL", "WB-species-notes": "<p></p>", "IHCP-species-checked": "guaranteed", "IHCP-species-dilution-info": "", "IHCP-species-notes": "", "ICCIF-species-checked": "guaranteed", "ICCIF-species-dilution-info": "", "ICCIF-species-notes": "" }, "Rat": { "WB-species-checked": "testedAndGuaranteed", "WB-species-dilution-info": "0.5-2 µg/mL", "WB-species-notes": "<p></p>", "IHCP-species-checked": "guaranteed", "IHCP-species-dilution-info": "", "IHCP-species-notes": "", "ICCIF-species-checked": "guaranteed", "ICCIF-species-dilution-info": "", "ICCIF-species-notes": "" } } }

出荷温度及び保存条件

製品の状態
Liquid
精製方法
Affinity purification Immunogen
精製に関する特記事項
GAPDH Antibody is affinity chromatography purified via peptide column.
バッファー組成
pH: 7.2 Preservative: 0.02% Sodium azide Constituents: PBS
出荷温度
Blue Ice
短期保存温度
+4°C
長期保存温度
+4°C

補足情報

This supplementary information is collated from multiple sources and compiled automatically.

Glyceraldehyde-3-phosphate dehydrogenase commonly known as GAPDH is an enzyme involved in glycolysis. Its molecular weight (MW) is approximately 36 kDa. The protein is expressed ubiquitously in almost all tissues reflecting its essential role in energy production. GAPDH catalyzes the sixth step of glycolysis converting glyceraldehyde-3-phosphate into 13-bisphosphoglycerate. Due to its stable expression researchers often use GAPDH as a loading control in western blot experiments.
Biological function summary

GAPDH serves important metabolic functions beyond its enzymatic role in glycolysis. It functions as part of a multi-enzyme complex within the cytoplasm which facilitates efficient substrate channeling during glycolysis. Additionally GAPDH has non-glycolytic roles including involvement in nuclear processes like RNA export and DNA repair. Its ubiquitous presence across different cellular compartments indicates its multiple functions beyond metabolic pathways.

Pathways

GAPDH integrates into significant cellular functions like the glycolytic pathway and apoptotic pathways. In glycolysis GAPDH collaborates with enzymes like phosphoglycerate kinase forming a cohesive link in the energy conversion chain. Its participation in apoptotic pathways highlights GAPDH's involvement in cellular death processes interacting with proteins like Bcl-2 to influence apoptosis progression. These roles reinforce its presence in central metabolic and regulatory pathways.

GAPDH has associations with neurodegenerative diseases and cancer. In neurodegenerative disorders such as Alzheimer's disease GAPDH’s altered enzymatic activity is frequently observed influencing cellular energy homeostasis. Moreover overexpression or aberrant regulation of GAPDH relates to cancer cell proliferation and metastasis implicating proteins like p53 in these pathways. The diverse functions and interactions of GAPDH emphasize its importance in both normal cellular function and disease states.

製品プロトコール

For this product, it's our understanding that no specific protocols are required. You can visit:

ターゲットの情報

Has both glyceraldehyde-3-phosphate dehydrogenase and nitrosylase activities, thereby playing a role in glycolysis and nuclear functions, respectively (PubMed : 11724794, PubMed : 3170585). Glyceraldehyde-3-phosphate dehydrogenase is a key enzyme in glycolysis that catalyzes the first step of the pathway by converting D-glyceraldehyde 3-phosphate (G3P) into 3-phospho-D-glyceroyl phosphate (PubMed : 11724794, PubMed : 3170585). Modulates the organization and assembly of the cytoskeleton (By similarity). Facilitates the CHP1-dependent microtubule and membrane associations through its ability to stimulate the binding of CHP1 to microtubules (By similarity). Component of the GAIT (gamma interferon-activated inhibitor of translation) complex which mediates interferon-gamma-induced transcript-selective translation inhibition in inflammation processes (PubMed : 23071094). Upon interferon-gamma treatment assembles into the GAIT complex which binds to stem loop-containing GAIT elements in the 3'-UTR of diverse inflammatory mRNAs (such as ceruplasmin) and suppresses their translation (PubMed : 23071094). Also plays a role in innate immunity by promoting TNF-induced NF-kappa-B activation and type I interferon production, via interaction with TRAF2 and TRAF3, respectively (PubMed : 23332158, PubMed : 27387501). Participates in nuclear events including transcription, RNA transport, DNA replication and apoptosis (By similarity). Nuclear functions are probably due to the nitrosylase activity that mediates cysteine S-nitrosylation of nuclear target proteins such as SIRT1, HDAC2 and PRKDC (By similarity).
See full target information GAPDH

文献 (554)

Recent publications for all applications. Explore the full list and refine your search

The Journal of neuroscience : the official journal of the Society for Neuroscience : PubMed41067921

2025

Muscle derived BMP4 regulates morphology and function of endplates on extrafusal and intrafusal muscle fibers in adult mice.

Applications

Unspecified application

Species

Unspecified reactive species

Julia M Harrison,Borbala Podor,Asal Yans,Victor F Rafuse

Biomedicines 13: PubMed41007776

2025

Attenuation of Pulmonary Fibrosis by the MyD88 Inhibitor TJ-M2010-5 Through Autophagy Induction in Mice.

Applications

Unspecified application

Species

Unspecified reactive species

Yang Yang,Zeyang Li,Minghui Zhao,Yuanyuan Zhao,Zhimiao Zou,Yalong Xie,Limin Zhang,Dunfeng Du,Ping Zhou

Frontiers in immunology 16:1633163 PubMed40837585

2025

miR-210 promotes the anti-inflammatory phenotype and M2 polarization in murine macrophages.

Applications

Unspecified application

Species

Unspecified reactive species

Carmen Alexandra Neculachi,Evelyn-Gabriela Nastase-Rusu,Laudy Cherry,Catalina Iolanda Marinescu-Colan,Spyros Tastsoglou,Bogdan Paul Cosman,Alina Madalina Popa,Cristina Panciuc,Germana Zaccagnini,Sergiu Bogdan Catrina,Maya Simionescu,Fabio Martelli,Mihai Bogdan Preda,Alexandrina Burlacu

Science advances 11:eadt0703 PubMed40737424

2025

LARGE protein drives activity-induced homeostatic resetting.

Applications

Unspecified application

Species

Unspecified reactive species

Bo Am Seo,Han-Byeol Kim,Chau Cat Tuong,Hong-Rae Kim,Fazliddin Dustov,Seung-Hyun Lee,Se-Young Choi,Myoung-Goo Kang

Allergologia et immunopathologia 53:88-97 PubMed40342118

2025

Dieckol ameliorates inflammatory response via inhibition of CHI3L1 expression in collagen-induced arthritis rats.

Applications

Unspecified application

Species

Unspecified reactive species

Weijiang Wang,Huijie Li

Journal of neuroimmune pharmacology : the official journal of the Society on NeuroImmune Pharmacology 20:35 PubMed40214929

2025

Yi-Nao-Jie-Yu Prescription Relieves Post-Stroke Depression by Mitigating Ferroptosis in Hippocampal Neurons Via Activating the Nrf2/GPX4/SLC7A11 Pathway.

Applications

Unspecified application

Species

Unspecified reactive species

Yuan Zhang,Qisheng Tang,Jin Yao,Hongwei Liu,Changmin Xu,Zechun Guo,Shuqing Liu,Ruizhen Zhao

Journal of translational medicine 23:309 PubMed40069829

2025

The FKBPL-based therapeutic peptide, AD-01, protects the endothelium from hypoxia-induced damage by stabilising hypoxia inducible factor-α and inflammation.

Applications

Unspecified application

Species

Unspecified reactive species

Sahar Ghorbanpour,Siân Peta Cartland,Hao Chen,Sanchit Seth,Rupert C Ecker,Claire Richards,Dunja Aksentijevic,Matthew P Padula,Louise Cole,Majid Ebrahimi Warkiani,Mary Meltem Kavurma,Lana McClements

Journal of orthopaedic surgery and research 20:79 PubMed39844325

2025

Mechanism of hyperbaric oxygen therapy downregulating H-type angiogenesis in subchondral bone of knee osteoarthritis through the PHD2/HIF-1α pathway.

Applications

Unspecified application

Species

Unspecified reactive species

Jianjian Wang,Wen Yu,Yuxin Zhang,Bo Chen,Zhaoxiang Meng

BMC cancer 25:32 PubMed39773456

2025

PRAF2 as a novel biomarker for breast cancer with machine learning and experimentation validation.

Applications

Unspecified application

Species

Unspecified reactive species

Zheng Wang,Zilin Bi,Hongguang Bo,Junyi Xu,Rui Sha,Zhaocai Yin,Changsheng Yu,Yufa Xu,Xiaomeng Shi,Wenbo Song,Bin Chen,Yabing Wang,Qian Zhang,Jianping Chen

Hereditas 161:54 PubMed39726023

2024

Atorvastatin inhibits glioma glycolysis and immune escape by modulating the miR-125a-5p/TXLNA axis.

Applications

Unspecified application

Species

Unspecified reactive species

Kang Gao,Tao Zhou,YingChun Yin,XiaoJie Sun,HePing Jiang,TangYue Li
View all publications

Abcam product promise

当社は、高品質な試薬を通じてお客様の研究を力強くサポートすることをお約束いたします。ご使用いただく各段階で、常にお客様をサポートできる体制を整えております。万が一、製品が期待通りに機能しない場合は、「Abcam Product Promise」による当社保証制度に基づき、安心してご利用いただけます。
保証に関する詳細については利用規約をご確認ください。

Please note: All products are 'FOR RESEARCH USE ONLY. NOT FOR USE IN DIAGNOSTIC OR THERAPEUTIC PROCEDURES'.

For licensing inquiries, please contact partnerships@abcam.com