JavaScript is disabled in your browser. Please enable JavaScript to view this website.
AB181602

Anti-GAPDH 抗体 [EPR16891] - Loading Control

Anti-GAPDH antibody [EPR16891] - Loading Control

5

(23 Reviews)

|

(3607 Publications)

Anti-GAPDH antibody [EPR16891] - Loading Control (ab181602) is a rabbit monoclonal antibody detecting GAPDH in Western Blot, Flow Cytometry (Intra), IP, IHC-P, ICC/IF. Suitable for African green monkey, Chicken, Human, Mouse, Rat, Xenopus tropicalis, Zebrafish.

- Biophysical QC for unrivalled batch-batch consistency
- Over 2470 publications

別名を表示する

GAPD, CDABP0047, OK/SW-cl.12, GAPDH, Glyceraldehyde-3-phosphate dehydrogenase, Peptidyl-cysteine S-nitrosylase GAPDH

41 Images
Immunohistochemistry (Formalin/PFA-fixed paraffin-embedded sections) - Anti-GAPDH antibody [EPR16891] - Loading Control (AB181602)
  • IHC-P

Supplier Data

Immunohistochemistry (Formalin/PFA-fixed paraffin-embedded sections) - Anti-GAPDH antibody [EPR16891] - Loading Control (AB181602)

Immunohistochemical analysis of paraffin-embedded rat spleen tissue labeling GAPDH with ab181602 at 1/2000 dilution, followed by prediluted HRP Polymer for Rabbit/Mouse IgG. Nucleus and cytoplasmic staining on lymphocyte of rat spleen is observed. Counter stained with Hematoxylin.

Negative control : Using PBS instead of primary ab, secondary ab is prediluted HRP Polymer for Rabbit/Mouse IgG.

Perform heat mediated antigen retrieval with Tris/EDTA buffer pH 9.0 before commencing with IHC staining protocol.

Flow Cytometry (Intracellular) - Anti-GAPDH antibody [EPR16891] - Loading Control (AB181602)
  • Flow Cyt (Intra)

Supplier Data

Flow Cytometry (Intracellular) - Anti-GAPDH antibody [EPR16891] - Loading Control (AB181602)

Intracellular flow cytometric analysis of 2% paraformaldehyde-fixed Jurkat (Human T cell leukemia cells from peripheral blood) cells labeling GAPDH with ab181602 at 1/180 dilution (red) compared with a rabbit monoclonal IgG isotype control (black) and an unlabeled control (cells without incubation with primary antibody and secondary antibody; blue). Goat anti rabbit IgG (FITC) at 1/150 dilution was used as the secondary antibody.

Immunocytochemistry/ Immunofluorescence - Anti-GAPDH antibody [EPR16891] - Loading Control (AB181602)
  • ICC/IF

Lab

Immunocytochemistry/ Immunofluorescence - Anti-GAPDH antibody [EPR16891] - Loading Control (AB181602)

Immunocytochemistry/immunofluorescence staining of 4% paraformaldehyde fixed; 0.1% triton X 100 permeabilized HeLa (human cervix adenocarcinoma) cells labeling GAPDH with ab181602 at dilution of 1/500. The secondary antibody used was Alexa Fluor® 488; goat anti-rabbit IgG (ab150077) at a dilution of 1/400. Nucleus was counter-stained with DAPI (blue). ab7291, a mouse anti-tubulin antibody (1/500) was used to stain tubulin along with ab150120 (AlexaFluor®594 goat anti-mouse secondary, 1/500). The negative controls are shown in the bottom middle and right hand panels- for negative control 1 primary antibody (ab181602; 1/500) and secondary antibody (ab150120; 1/500) was used. For negative control 2 primary antibody (ab7291; 1/500) and secondary antibody (ab150077; 1/400) was used.

Immunohistochemistry (Formalin/PFA-fixed paraffin-embedded sections) - Anti-GAPDH antibody [EPR16891] - Loading Control (AB181602)
  • IHC-P

Supplier Data

Immunohistochemistry (Formalin/PFA-fixed paraffin-embedded sections) - Anti-GAPDH antibody [EPR16891] - Loading Control (AB181602)

Immunohistochemical analysis of paraffin-embedded human transitional cell carcinoma of bladder tissue labeling GAPDH with ab181602 at 1/2000 dilution, followed by prediluted HRP Polymer for Rabbit/Mouse IgG. Cytoplasmic and nucleus staining on the tumor cells of transitional cell carcinoma of human bladder is observed. Counter stained with Hematoxylin.

Negative control : Using PBS instead of primary ab, secondary ab is prediluted HRP Polymer for Rabbit/Mouse IgG.

Perform heat mediated antigen retrieval with Tris/EDTA buffer pH 9.0 before commencing with IHC staining protocol.

Immunoprecipitation - Anti-GAPDH antibody [EPR16891] - Loading Control (AB181602)
  • IP

Lab

Immunoprecipitation - Anti-GAPDH antibody [EPR16891] - Loading Control (AB181602)

STT3A was immunoprecipitated from 0.35 mg HEK-293T (human embryonic kidney epithelial cell) whole cell lysate with ab320831 at 1/30 dilution (2ug in 0.35mg lysates). Western blot was performed on the immunoprecipitate using ab320831 at 1/1000 dilution. VeriBlot for IP secondary antibody(HRP)(ab131366) was used at 1/5000 dilution.

Blocking and diluting buffer and concentration : 5% NFDM/TBST.

In Immunoprecipitation, ab320831 was shown to bind specifically to STT3A. Target of interest was enriched at 60 kDa in wild-type HEK-293T cell lysates (lane 2) with no signal observed at this size in STT3A knockout cell line (lane 5) (lane 5, knockout cell line ab266320 / knockout cell lysate ab259164).
The bands above 60kDa are likely to be aggregation, and are absent in the KO samples. Unlike the Western Blot data, these samples have been boiled. ab181602 was used as a GAPDH loading control.

All lanes:

Immunoprecipitation - Anti-STT3A antibody [EPR29178-10] (<a href='/products/primary-antibodies/stt3a-antibody-epr29178-10-ab320831'>ab320831</a>) at 1/1000 dilution

Lane 1:

Parental HEK-293T (human embryonic kidney epithelial cell) whole cell lysate at 10 µg

Lane 2:

Parental HEK-293T (human embryonic kidney epithelial cell) whole cell lysate

Lane 3:

Rabbit monoclonal IgG (<a href='/products/primary-antibodies/rabbit-igg-monoclonal-epr25a-isotype-control-ab172730'>ab172730</a>) instead of <a href='/products/primary-antibodies/stt3a-antibody-epr29178-10-ab320831'>ab320831</a> in Parental HEK-293T whole cell lysate

Lane 4:

STT3A KO HEK-293T (human embryonic kidney epithelial cell) whole cell lysate at 10 µg

Lane 5:

Immunoprecipitation - Human STT3A knockout HEK-293T cell line (<a href='/products/cell-lines/human-stt3a-knockout-hek-293t-cell-line-ab266320'>ab266320</a>)

Lane 6:

Rabbit monoclonal IgG (<a href='/products/primary-antibodies/rabbit-igg-monoclonal-epr25a-isotype-control-ab172730'>ab172730</a>) instead of <a href='/products/primary-antibodies/stt3a-antibody-epr29178-10-ab320831'>ab320831</a> in STT3A KO HEK-293T whole cell lysate

Secondary

All lanes:

Immunoprecipitation - VeriBlot for IP Detection Reagent (HRP) (<a href='/products/reagents/veriblot-for-ip-detection-reagent-hrp-ab131366'>ab131366</a>) at 1/5000 dilution

Observed band size: 60 kDa

false

Exposure time: 84s

Immunoprecipitation - Anti-GAPDH antibody [EPR16891] - Loading Control (AB181602)
  • IP

Supplier Data

Immunoprecipitation - Anti-GAPDH antibody [EPR16891] - Loading Control (AB181602)

Dnmt3a was immunoprecipitated from 0.35 mg Wild-type HeLa (human cervical adenocarcinoma epithelial cell) whole cell lysate with ab323708 at 1/30 dilution (2ug in 0.35mg lysates). Western blot was performed on the immunoprecipitate using ab323708 at 1000 dilution.

Blocking and dilution buffer and concentration : 5% NFDM/TBST

All lanes:

Immunoprecipitation - Anti-Dnmt3a antibody [EPR29184-89] (<a href='/products/primary-antibodies/dnmt3a-antibody-epr29184-89-ab323708'>ab323708</a>) at 1/1000 dilution

Lane 1:

(Input) Wild-type HeLa (human cervical adenocarcinoma epithelial cell) whole cell lysate at 10 µg

Lane 2:

<a href='/products/primary-antibodies/dnmt3a-antibody-epr29184-89-ab323708'>ab323708</a> at 1/30 IP in Wild-type HeLa (human cervical adenocarcinoma epithelial cell) whole cell lysate at 10 µg

Lane 3:

Rabbit monoclonal IgG (<a href='/products/primary-antibodies/rabbit-igg-monoclonal-epr25a-isotype-control-ab172730'>ab172730</a>) instead of <a href='/products/primary-antibodies/dnmt3a-antibody-epr29184-89-ab323708'>ab323708</a> in parental HeLa whole cell lysate at 10 µg

Lane 4:

(Input) DNMT3A knockout HeLa whole cell lysate at 10 µg

Lane 5:

<a href='/products/primary-antibodies/dnmt3a-antibody-epr29184-89-ab323708'>ab323708</a> at 1/30 IP in DNMT3A knockout HeLa whole cell lysate at 10 µg

Lane 6:

Rabbit monoclonal IgG (<a href='/products/primary-antibodies/rabbit-igg-monoclonal-epr25a-isotype-control-ab172730'>ab172730</a>) instead of <a href='/products/primary-antibodies/dnmt3a-antibody-epr29184-89-ab323708'>ab323708</a> in DNMT3A knockout HeLa whole cell lysate at 10 µg

Secondary

All lanes:

Immunoprecipitation - VeriBlot for IP Detection Reagent (HRP) (<a href='/products/reagents/veriblot-for-ip-detection-reagent-hrp-ab131366'>ab131366</a>) at 1/5000 dilution

Observed band size: 130 kDa,36 kDa

false

Exposure time: 24s

Immunoprecipitation - Anti-GAPDH antibody [EPR16891] - Loading Control (AB181602)
  • IP

Supplier Data

Immunoprecipitation - Anti-GAPDH antibody [EPR16891] - Loading Control (AB181602)

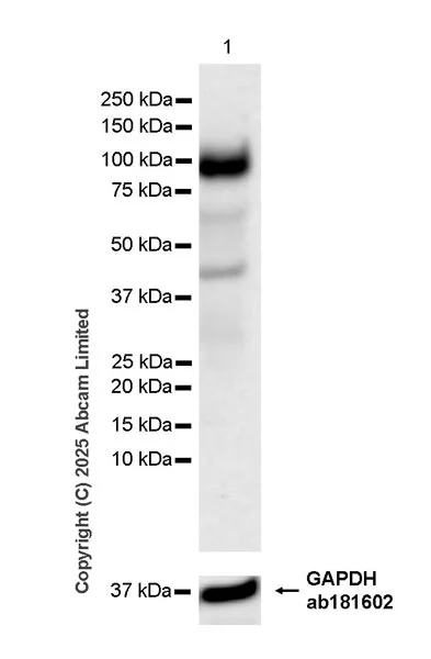
GAPDH was immunoprecipitated from 1mg of HeLa (Human epithelial cells from cervix adenocarcinoma) whole cell extract with ab181602 at 1/60 dilution. Western blot was performed from the immunoprecipitate using ab181602 at 1/5000 dilution. Anti-Rabbit IgG (HRP), specific to the non-reduced form of IgG, was used as secondary antibody at 1/1500 dilution. Lane 1 : HeLa whole cell extract.

Lane 2 : PBS instead of HeLa whole cell extract.

Blocking and dilution buffer and concentration : 5% NFDM/TBST.

All lanes:

Immunoprecipitation - Anti-GAPDH antibody [EPR16891] - Loading Control (ab181602)

Predicted band size: 36 kDa

Observed band size: 36 kDa

false

Immunohistochemistry (Formalin/PFA-fixed paraffin-embedded sections) - Anti-GAPDH antibody [EPR16891] - Loading Control (AB181602)
  • IHC-P

Supplier Data

Immunohistochemistry (Formalin/PFA-fixed paraffin-embedded sections) - Anti-GAPDH antibody [EPR16891] - Loading Control (AB181602)

Immunohistochemical analysis of paraffin-embedded mouse spleen tissue labeling GAPDH with ab181602 at 1/2000 dilution, followed by prediluted HRP Polymer for Rabbit/Mouse IgG. Nucleus and cytoplasmic staining on lymphocytes of mouse spleen is observed. Counter stained with Hematoxylin.

Negative control : Using PBS instead of primary ab, secondary ab is prediluted HRP Polymer for Rabbit/Mouse IgG.

Perform heat mediated antigen retrieval with Tris/EDTA buffer pH 9.0 before commencing with IHC staining protocol.

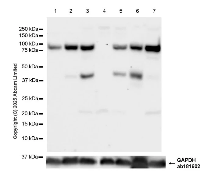
Western blot - Anti-GAPDH antibody [EPR16891] - Loading Control (AB181602)
  • WB

Lab

Western blot - Anti-GAPDH antibody [EPR16891] - Loading Control (AB181602)

Blocking and diluting buffer and concentration : 5% NFDM/TBST.

Low expression : MCF7, SK-BR-3 (PMID : 20563836), T-47D.

Samples are non-boiled as boiling may cause protein aggregation.

In Western blot, Anti-GAPDH antibody [EPR16891] - Loading Control (ab181602) (1 : 200000) (36KDa).

All lanes:

Western blot - Anti-PAR1/Thrombin Receptor antibody [EPR28399-240] (<a href='/products/primary-antibodies/par1-thrombin-receptor-antibody-epr28399-240-ab325686'>ab325686</a>) at 1/1000 dilution

Lane 1:

U-118 MG (human brain glioblastoma cell) whole cell lysate at 40 µg

Lane 2:

SK-N-SH (human neuroblastoma epithelial cell) whole cell lysate at 40 µg

Lane 3:

LN-229 (human brain glioblastoma epithelial cell) whole cell lysate at 40 µg

Lane 4:

NCI-H929 (human Bone B lymphocyte) whole cell lysate at 40 µg

Lane 5:

MCF7 (human breast adenocarcinoma epithelial cell) whole cell lysate at 40 µg

Lane 6:

T-47D (human ductal breast epithelial tumor epithelial cell) whole cell lysate at 40 µg

Lane 7:

SK-BR-3 (human breast adenocarcinoma epithelial cell) whole cell lysate at 40 µg

Secondary

All lanes:

Western blot - Goat Anti-Rabbit IgG H&L (HRP) (<a href='/products/secondary-antibodies/goat-rabbit-igg-h-l-hrp-ab97051'>ab97051</a>) at 1/20000 dilution

Observed band size: 47 kDa,70-100 kDa,36 kDa

false

Exposure time: 70s

Western blot - Anti-GAPDH antibody [EPR16891] - Loading Control (AB181602)
  • WB

Lab

Western blot - Anti-GAPDH antibody [EPR16891] - Loading Control (AB181602)

Blocking and diluting buffer and concentration : 5% NFDM/TBST.

This blot was developed using a high-sensitivity ECL substrate, allowing for the detection of proteins in the mid-femtogram range.

In Western blot, Anti-GAPDH antibody [EPR16891] - Loading Control (ab181602) (1 : 200000) (36KDa).

All lanes:

Western blot - Anti-POLR3A antibody [EPR30480-88] (<a href='/products/primary-antibodies/polr3a-antibody-epr30480-88-ab325791'>ab325791</a>) at 1/1000 dilution

Lane 1:

HeLa (human cervical adenocarcinoma epithelial cell) transfected with scrambled siRNA control whole cell lysate at 20 µg

Lane 2:

Hela transfected with siRNA specifically targeting POLR3A whole cell lysate at 20 µg

Secondary

All lanes:

Western blot - Goat Anti-Rabbit IgG H&L (HRP) (<a href='/products/secondary-antibodies/goat-rabbit-igg-h-l-hrp-ab97051'>ab97051</a>) at 1/20000 dilution

Observed band size: 155 kDa,36 kDa

true

Exposure time: 180s

Western blot - Anti-GAPDH antibody [EPR16891] - Loading Control (AB181602)
  • WB

Lab

Western blot - Anti-GAPDH antibody [EPR16891] - Loading Control (AB181602)

Blocking and diluting buffer and concentration : 5% NFDM/TBST.

Samples are non-boiled as boiling may cause protein aggregation.

In Western blot, Anti-GAPDH antibody [EPR16891] - Loading Control (ab181602) (1 : 200000) (36KDa).

All lanes:

Western blot - Anti-IL-12RB1 antibody [EPR28354-118] (<a href='/products/primary-antibodies/il-12rb1-antibody-epr28354-118-ab325502'>ab325502</a>)

All lanes:

Human tonsil tissue lysate at 50 µg

Secondary

All lanes:

Goat Anti-Rabbit IgG (HRP) with minimal cross-reactivity with human IgG at 1/2000 dilution

Observed band size: 100 kDa,36 kDa

false

Exposure time: 180s

Western blot - Anti-GAPDH antibody [EPR16891] - Loading Control (AB181602)
  • WB

Lab

Western blot - Anti-GAPDH antibody [EPR16891] - Loading Control (AB181602)

Western blot : Rev-erbβ Antibody (D-8) absc-398252 staining at 1/1000 dilution, shown in green; Rabbit anti GAPDH (ab181602) loading control staining at 1/20,000 dilution, shown in magenta. A band was observed at 70 kDa in Wild-type A549 cell lysates with no signal observed at this size in NR1D2 knockout A549 cell line (ab326030). To generate this image, samples were run on an SDS-PAGE gel then transferred onto a nitrocellulose membrane. Membranes were blocked in 3pc Milk in TBS-0.1 % Tween® 20 (TBS-T) before incubation with primary antibodies overnight at 4°C. Blots were washed four times in TBS-T, incubated with secondary antibodies for 1 h at room temperature, washed again four times then imaged. Secondary antibodies used were Goat anti-Mouse 800CW & Goat anti-Rabbit 680RD at 1/20,000 dilution.

All lanes:

Western blot at 1/1000 dilution

Lane 1:

Wild-type A549 at 20 µg

Lane 2:

Western blot - Human NR1D2 knockout A549 cell line (<a href='/products/cell-lines/human-nr1d2-knockout-a549-cell-line-ab326030'>ab326030</a>) at 20 µg

Lane 3:

U-87 MG at 20 µg

Lane 4:

RKO at 20 µg

Secondary

All lanes:

Goat anti-Mouse 800CW & Goat anti-Rabbit 680RD at 1/20000 dilution

false

Western blot - Anti-GAPDH antibody [EPR16891] - Loading Control (AB181602)
  • WB

Supplier Data

Western blot - Anti-GAPDH antibody [EPR16891] - Loading Control (AB181602)

Blocking and diluting buffer and concentration : 5% NFDM/TBST.

The identity of the bands higher than 100 kDa are unknown.

Lanes 1-2 are applied with Goat Anti-Rabbit IgG (HRP) with minimal cross reactivity with human IgG at 1/2000 and lanes 3-4 are applied with Goat Anti-Rabbit IgG, (H+L), Peroxidase conjugated (ab97051) at 1/20000

In Western blot, Anti-GAPDH antibody [EPR16891] - Loading Control (ab181602) staining at 1/200000 dilution.

All lanes:

Western blot - Anti-OMA1 antibody [EPR29198-78] (<a href='/products/primary-antibodies/oma1-antibody-epr29198-78-ab324586'>ab324586</a>) at 1/1000 dilution

Lanes 1 - 2:

Human heart tissue lysate at 20 µg

Lane 3:

HT-29 (human colorectal adenocarcinoma epithelial cell) whole cell lysate at 20 µg

Lane 4:

SK-MEL-28 (human malignant melanoma cell ) whole cell lysate at 20 µg

Secondary

All lanes:

Western blot - Goat Anti-Rabbit IgG H&L (HRP) (<a href='/products/secondary-antibodies/goat-rabbit-igg-h-l-hrp-ab97051'>ab97051</a>) at 1/20000 dilution

Observed band size: 36 kDa

false

Exposure time: 180s

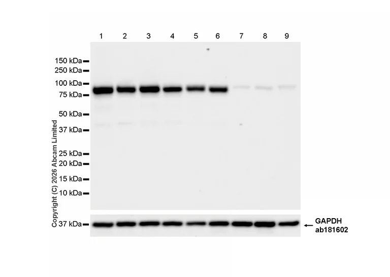
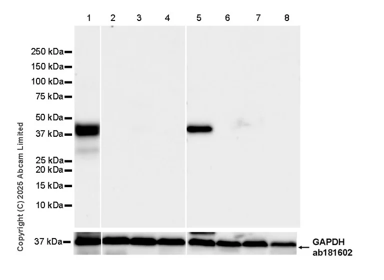
Western blot - Anti-GAPDH antibody [EPR16891] - Loading Control (AB181602)
  • WB

Lab

Western blot - Anti-GAPDH antibody [EPR16891] - Loading Control (AB181602)

Blocking and diluting buffer and concentration : 5% NFDM/TBST.

Low expression : HeLa, 293T, MCF7.

The identity of the bands lower than 75 kDa are unknown.

Lanes 1-2 are applied with Goat Anti-Rabbit IgG (HRP) with minimal cross reactivity with human IgG at 1/2000 and lanes 3-8 are applied with Goat Anti-Rabbit IgG, (H+L), Peroxidase conjugated (ab97051) at 1/100000.

In Western blot, Anti-GAPDH antibody [EPR16891] - Loading Control (ab181602) (1 : 200000) (36KDa).

Exposure time : Lanes 1-2 : 48 seconds; Lanes 3-4 : 59 seconds; Lanes 5-8 : 180 seconds.

All lanes:

Western blot - Anti-NFAT1 antibody [EPR30445-509] (ab325917) at 1/1000 dilution

Lane 1:

Human lymph node tissue lysate at 20 µg

Lane 2:

Human tonsil tissue lysate at 20 µg

Lane 3:

Jurkat (human t cell leukemia t lymphocyte from peripheral blood) whole cell lysate at 20 µg

Lane 4:

Ramos (human burkitt's lymphoma b lymphocyte) whole cell lysate at 20 µg

Lane 5:

Daudi (human burkitt's lymphoma lymphoblast) whole cell lysate at 20 µg

Lane 6:

HeLa (human cervical adenocarcinoma epithelial cell) whole cell lysate at 20 µg

Lane 7:

293T (human embryonic kidney epithelial cell) whole cell lysate at 20 µg

Lane 8:

MCF7 (human breast adenocarcinoma epithelial cell) whole cell lysate at 20 µg

Secondary

Lanes 1 - 2:

Goat Anti-Rabbit IgG (HRP) with minimal cross-reactivity with human IgG at 1/2000 dilution

Lanes 3 - 8:

Western blot - Goat Anti-Rabbit IgG H&L (HRP) (<a href='/products/secondary-antibodies/goat-rabbit-igg-h-l-hrp-ab97051'>ab97051</a>) at 1/100000 dilution

Observed band size: 100-140 kDa,36 kDa

false

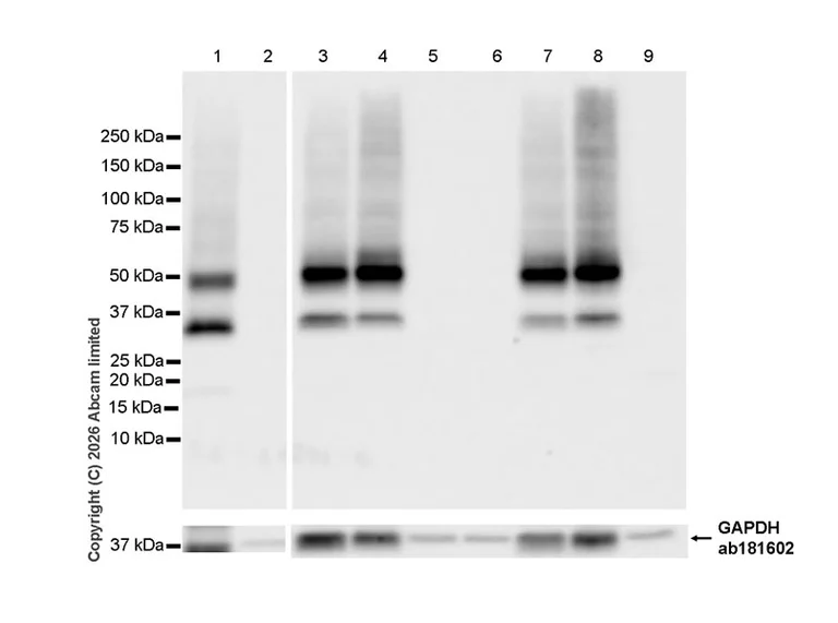
Western blot - Anti-GAPDH antibody [EPR16891] - Loading Control (AB181602)
  • WB

Lab

Western blot - Anti-GAPDH antibody [EPR16891] - Loading Control (AB181602)

Blocking and diluting buffer and concentration : 5% NFDM/TBST.

Performed under reducing conditions.

In Western blot, ab325539 was shown to bind specifically to BRD3. Target of interest was observed at 100 kDa in wild-type HEK-293 cell lysates (lane 1) with no signal observed at this size in BRD3 knockout cell line (lane 2) (lane 2, knockout cell line ab266793 / knockout cell lysate ab258335).

To minimize protein degradation, cells/tissues were lysed immediately after harvest and then applied to a gel and transfer membrane for Western blotting as soon as possible.

In Western blot, Anti-GAPDH antibody [EPR16891] - Loading Control (ab181602) (1 : 200000) (36KDa).

All lanes:

Western blot - Anti-BRD3 antibody [EPR30249-10] (<a href='/products/primary-antibodies/brd3-antibody-epr30249-10-ab325539'>ab325539</a>) at 1/1000 dilution

Lane 1:

Wild-type HEK-293 (human embryonic kidney epithelial cell) whole cell lysate at 20 µg

Lane 2:

Western blot - Human BRD3 knockout HEK-293T cell lysate (<a href='/products/cell-lysates/human-brd3-knockout-hek-293t-cell-lysate-ab258335'>ab258335</a>) at 20 µg

Secondary

All lanes:

Western blot - Goat Anti-Rabbit IgG H&L (HRP) (<a href='/products/secondary-antibodies/goat-rabbit-igg-h-l-hrp-ab97051'>ab97051</a>) at 1/100000 dilution

Observed band size: 100 kDa,36 kDa

false

Exposure time: 180s

Western blot - Anti-GAPDH antibody [EPR16891] - Loading Control (AB181602)
  • WB

Lab

Western blot - Anti-GAPDH antibody [EPR16891] - Loading Control (AB181602)

Blocking and diluting buffer and concentration : 5% NFDM/TBST.

The expression of CXCL3 is upregulated in response to LPS treatment (PMID : 35789398).

In Western blot, Anti-GAPDH antibody [EPR16891] - Loading Control (ab181602) (1 : 200000) (36KDa).

Exposure time : Lanes 1-2 : 180 senconds, Lanes 3-4 : 10 seconds

All lanes:

Western blot - Anti-GRO gamma antibody [EPR29736-526] (<a href='/products/primary-antibodies/gro-gamma-antibody-epr29736-526-ab325687'>ab325687</a>) at 1/1000 dilution

Lane 1:

Untreated THP-1 (human monocytic leukemia monocyte) whole cell lysate at 60 µg

Lane 2:

THP-1 treated first with 100ng/ml PMA for 24h, then replaced with 100ng/ml LPS for 4h, 1ug/ml BFA was then added for additional 3h, whole cell lysate at 60 µg

Lane 3:

Untreated HUVEC (human umbilical vein endothelial cell) whole cell lysate at 60 µg

Lane 4:

HUVEC treated with 0.5ug/ml LPS for 4h, 300ng/ml BFA was then added for additional 20h, whole cell lysate at 60 µg

Secondary

All lanes:

Western blot - Goat Anti-Rabbit IgG H&L (HRP) (<a href='/products/secondary-antibodies/goat-rabbit-igg-h-l-hrp-ab97051'>ab97051</a>) at 1/20000 dilution

Observed band size: 11 kDa,36 kDa

false

Western blot - Anti-GAPDH antibody [EPR16891] - Loading Control (AB181602)
  • WB

Lab

Western blot - Anti-GAPDH antibody [EPR16891] - Loading Control (AB181602)

Blocking and diluting buffer and concentration : 5% NFDM/TBST.

Low expression : Ramos, Raji and MCF7.

In Western blot, Anti-GAPDH antibody [EPR16891] - Loading Control (ab181602) (1 : 200000) (36KDa).

All lanes:

Western blot - Anti-Transglutaminase 2 antibody [RM1361] (<a href='/products/primary-antibodies/transglutaminase-2-antibody-rm1361-ab325401'>ab325401</a>) at 1/1000 dilution

Lane 1:

BxPC-3 (human pancreas adenocarcinoma epithelial cell) whole cell lysate at 20 µg

Lane 2:

HT-1080 (human fibrosarcoma epithelial cell) whole cell lysate at 20 µg

Lane 3:

DU 145 (human prostate carcinoma epithelial cell) whole cell lysate at 20 µg

Lane 4:

MG-63 (human osteosarcoma fibroblast) whole cell lysate at 20 µg

Lane 5:

PC-3 (human prostate adenocarcinoma epithelial cell) whole cell lysate at 20 µg

Lane 6:

786-O (human kidney epithelial cell) whole cell lysate at 20 µg

Lane 7:

Ramos (human Burkitt's lymphoma B lymphocyte) whole cell lysate at 20 µg

Lane 8:

Raji (human Burkitt's lymphoma B lymphocyte) whole cell lysate at 20 µg

Lane 9:

MCF7 (human breast adenocarcinoma epithelial cell) whole cell lysate at 20 µg

Secondary

All lanes:

Goat Anti-Rabbit IgG (HRP) with minimal cross-reactivity with human IgG at 1/2000 dilution

Observed band size: 75 kDa,36 kDa

false

Exposure time: 15s

Western blot - Anti-GAPDH antibody [EPR16891] - Loading Control (AB181602)
  • WB

Lab

Western blot - Anti-GAPDH antibody [EPR16891] - Loading Control (AB181602)

Blocking and diluting buffer and concentration : 5% NFDM/TBST.

In Western blot, Anti-GAPDH antibody [EPR16891] - Loading Control (ab181602) (1 : 200000) (36KDa).

All lanes:

Western blot - Anti-RAB43 antibody [EPR30492-530] (<a href='/products/primary-antibodies/rab43-antibody-epr30492-530-ab325751'>ab325751</a>) at 1/1000 dilution

Lane 1:

HepG2 (human hepatocellular carcinoma epithelial cell) transfected with scrambled siRNA control whole cell lysate at 20 µg

Lane 2:

HepG2 transfected with siRNA specifically targeting RAB43 whole cell lysate at 20 µg

Secondary

All lanes:

Western blot - Goat Anti-Rabbit IgG H&L (HRP) (<a href='/products/secondary-antibodies/goat-rabbit-igg-h-l-hrp-ab97051'>ab97051</a>) at 1/20000 dilution

Observed band size: 23 kDa,36 kDa

false

Exposure time: 180s

Western blot - Anti-GAPDH antibody [EPR16891] - Loading Control (AB181602)
  • WB

Lab

Western blot - Anti-GAPDH antibody [EPR16891] - Loading Control (AB181602)

Blocking and diluting buffer and concentration : 5% NFDM/TBST.

Samples are non-boiled as boiling may cause protein aggregation.

Lane 2 of this blot was developed using a high-sensitivity ECL substrate, allowing for the detection of proteins in the mid-femtogram range.

In Western blot, Anti-GAPDH antibody [EPR16891] - Loading Control (ab181602) (1 : 200000) (36KDa).

All lanes:

Western blot - Anti-DMT1 antibody [EPR29592-29] (<a href='/products/primary-antibodies/dmt1-antibody-epr29592-29-ab324349'>ab324349</a>) at 1/1000 dilution

Lane 1:

Human pancreas cancer tissue lysate at 20 µg

Lane 2:

Human small intestine tissue lysate at 20 µg

Secondary

All lanes:

Goat Anti-Rabbit IgG (HRP) with minimal cross-reactivity with human IgG at 1/2000 dilution

Observed band size: 75-100 kDa,36 kDa

true

Exposure time: 180s

Western blot - Anti-GAPDH antibody [EPR16891] - Loading Control (AB181602)
  • WB

Lab

Western blot - Anti-GAPDH antibody [EPR16891] - Loading Control (AB181602)

Blocking and diluting buffer and concentration : 5% NFDM/TBST.

Low expression : liver (PMID : 24614806).

In Western blot, Anti-GAPDH antibody [EPR16891] - Loading Control (ab181602) (1 : 200000) (36KDa).

Exposure time : Lanes 1-3 : 15 seconds, lanes 4-5 : 37 seconds, lanes 6-7 : 70 seconds

All lanes:

Western blot - Anti-BICD2 antibody [EPR30244-565] (<a href='/products/primary-antibodies/bicd2-antibody-epr30244-565-ab325398'>ab325398</a>) at 1/1000 dilution

Lane 1:

Mouse E14 brain tissue lysate at 20 µg

Lane 2:

Mouse skin tissue lysate at 20 µg

Lane 3:

Mouse liver tissue lysate at 20 µg

Lane 4:

Rat skin tissue lysate at 20 µg

Lane 5:

Rat liver tissue lysate at 20 µg

Lane 6:

Human cerebral cortex tissue lysate at 20 µg

Lane 7:

Human liver tissue lysate at 20 µg

Secondary

All lanes:

Goat Anti-Rabbit IgG (HRP) with minimal cross-reactivity with human IgG at 1/2000 dilution

Observed band size: 100 kDa,36 kDa

false

Western blot - Anti-GAPDH antibody [EPR16891] - Loading Control (AB181602)
  • WB

Lab

Western blot - Anti-GAPDH antibody [EPR16891] - Loading Control (AB181602)

Blocking and diluting buffer and concentration : 5% NFDM/TBST.

Performed under reducing conditions.

In Western blot, ab325401 was shown to bind specifically to TGM2. Target of interest was observed at 75 kDa in wild-type A549 cell lysates (lane 1) with no signal observed at this size in TGM2 knockout cell line (lane 2).

In Western blot, Anti-GAPDH antibody [EPR16891] - Loading Control (ab181602) (1 : 200000) (36KDa).

All lanes:

Western blot - Anti-Transglutaminase 2 antibody [RM1361] (<a href='/products/primary-antibodies/transglutaminase-2-antibody-rm1361-ab325401'>ab325401</a>) at 1/1000 dilution

Lane 1:

Wild-type A549 (human lung carcinoma epithelial cell) whole cell lysate at 40 µg

Lane 2:

TGM2 knockout A549 whole cell lysate at 40 µg

Secondary

All lanes:

Goat Anti-Rabbit IgG (HRP) with minimal cross-reactivity with human IgG at 1/2000 dilution

Observed band size: 75 kDa,36 kDa

false

Exposure time: 48s

Western blot - Anti-GAPDH antibody [EPR16891] - Loading Control (AB181602)
  • WB

Lab

Western blot - Anti-GAPDH antibody [EPR16891] - Loading Control (AB181602)

Blocking and diluting buffer and concentration : 5% NFDM/TBST.

In Western blot, Anti-GAPDH antibody [EPR16891] - Loading Control (ab181602) staining at 1/1000,000 dilution.

The full-length of E-cadherin is 120 kDa. The other bands are due to proteolytic cleavages in different Cadherin domains. (PMID : 14695147)

All lanes:

Western blot - Anti-E Cadherin antibody [EP700Y] - Intercellular Junction Marker (<a href='/products/primary-antibodies/e-cadherin-antibody-ep700y-intercellular-junction-marker-ab40772'>ab40772</a>) at 1/1000 dilution

All lanes:

U266B1 (human multiple myeloma B lymphocyte) whole cell lysate, at 20 µg

Secondary

All lanes:

Western blot - Goat Anti-Rabbit IgG H&L (HRP) (<a href='/products/secondary-antibodies/goat-rabbit-igg-h-l-hrp-ab97051'>ab97051</a>) at 1/20000 dilution

Predicted band size: 120 kDa

Observed band size: 80-120 kDa,36 kDa

false

Exposure time: 7s

Western blot - Anti-GAPDH antibody [EPR16891] - Loading Control (AB181602)
  • WB

Lab

Western blot - Anti-GAPDH antibody [EPR16891] - Loading Control (AB181602)

Blocking and diluting buffer and concentration : 5% NFDM/TBST.

Low expression : testis, liver (PMID : 37821487).

Samples are non-boiled as boiling may cause protein aggregation.

In Western blot, Anti-GAPDH antibody [EPR16891] - Loading Control (ab181602) (1 : 200000) (36KDa).

All lanes:

Western blot - Anti-NOX5 antibody [EPR29814-35] (<a href='/products/primary-antibodies/nox5-antibody-epr29814-35-ab325647'>ab325647</a>) at 1/1000 dilution

Lane 1:

Human spleen tissue lysate at 20 µg

Lane 2:

Human testis tissue lysate at 20 µg

Lane 3:

Human liver tissue lysate at 20 µg

Secondary

All lanes:

Goat Anti-Rabbit IgG (HRP) with minimal cross-reactivity with human IgG at 1/2000 dilution

Observed band size: 75 kDa,36 kDa

false

Exposure time: 1s

Western blot - Anti-GAPDH antibody [EPR16891] - Loading Control (AB181602)
  • WB

Lab

Western blot - Anti-GAPDH antibody [EPR16891] - Loading Control (AB181602)

Blocking and diluting buffer and concentration : 5% NFDM/TBST.

Samples are non-boiled as boiling may cause protein aggregation.

In Western blot, Anti-GAPDH antibody [EPR16891] - Loading Control (ab181602) (1 : 200000) (36KDa).

All lanes:

Western blot - Anti-NOX5 antibody [EPR29814-35] (<a href='/products/primary-antibodies/nox5-antibody-epr29814-35-ab325647'>ab325647</a>) at 1/1000 dilution

Lane 1:

HT-29 (human colorectal adenocarcinoma epithelial cell) whole cell lysate at 20 µg

Lane 2:

PC-3 (human prostate adenocarcinoma epithelial cell) whole cell lysate at 20 µg

Lane 3:

T-47D (human ductal breast epithelial tumor epithelial cell) at 20 µg

Secondary

All lanes:

Western blot - Goat Anti-Rabbit IgG H&L (HRP) (<a href='/products/secondary-antibodies/goat-rabbit-igg-h-l-hrp-ab97051'>ab97051</a>) at 1/100000 dilution

Observed band size: 75 kDa,36 kDa

false

Exposure time: 6s

Western blot - Anti-GAPDH antibody [EPR16891] - Loading Control (AB181602)
  • WB

Lab

Western blot - Anti-GAPDH antibody [EPR16891] - Loading Control (AB181602)

Blocking and diluting buffer and concentration : 5% NFDM/TBST.

In lanes 1-2 on the right, the lysates was stored at -80degC prior to Western Blotting. The bands beneath the target band (100 kDa) are likely to be degradation products. In lanes 1-2 on the left, to minimize protein degradation, cells were lysed immediately after harvest and then applied to a gel and transfer membrane for Western blotting as soon as possible.

In Western blot, Anti-GAPDH antibody [EPR16891] - Loading Control (ab181602) (1 : 200000) (36KDa).

All lanes:

Western blot - Anti-BRD3 antibody [EPR30249-10] (<a href='/products/primary-antibodies/brd3-antibody-epr30249-10-ab325539'>ab325539</a>) at 1/1000 dilution

Lane 1:

K-562 (human chronic myelogenous leukemia lymphoblast) whole cell lysate at 20 µg

Lane 2:

MEF (mouse embryo fibroblast) whole cell lysate at 20 µg

Secondary

All lanes:

Western blot - Goat Anti-Rabbit IgG H&L (HRP) (<a href='/products/secondary-antibodies/goat-rabbit-igg-h-l-hrp-ab97051'>ab97051</a>) at 1/100000 dilution

Observed band size: 100 kDa,36 kDa

false

Exposure time: 180s

Western blot - Anti-GAPDH antibody [EPR16891] - Loading Control (AB181602)
  • WB

Lab

Western blot - Anti-GAPDH antibody [EPR16891] - Loading Control (AB181602)

Blocking and diluting buffer and concentration : 5% NFDM/TBST.

Low expression : skeletal muscle.

The weak band observed at ~35KDa may represent the precursor form of GILT (PMID : 39273610).

In Western blot, Anti-GAPDH antibody [EPR16891] - Loading Control (ab181602) (1 : 200000) (36KDa).

All lanes:

Western blot - Anti-GILT antibody [EPR30714-572] (<a href='/products/primary-antibodies/gilt-antibody-epr30714-572-ab325920'>ab325920</a>) at 1/1000 dilution

Lane 1:

Human liver tissue lysate at 20 µg

Lane 2:

Human breast cancer tissue lysate at 20 µg

Lane 3:

Human lung tissue lysate at 20 µg

Lane 4:

Human spleen tissue lysate at 20 µg

Lane 5:

Human lymph node tissue lysate at 20 µg

Lane 6:

Human tonsil tissue lysate at 50 µg

Lane 7:

Human lung tissue lysate at 50 µg

Lane 8:

Human skeletal muscle tissue lysate at 50 µg

Secondary

All lanes:

Goat Anti-Rabbit IgG (HRP) with minimal cross-reactivity with human IgG at 1/2000 dilution

Observed band size: 28 kDa,35 kDa,36 kDa

false

Exposure time: 3s

Western blot - Anti-GAPDH antibody [EPR16891] - Loading Control (AB181602)
  • WB

Lab

Western blot - Anti-GAPDH antibody [EPR16891] - Loading Control (AB181602)

Blocking and diluting buffer and concentration : 5% NFDM/TBST.

Negative control : testis, lung, pancreas

Lanes 1-4 are applied with Goat Anti-Rabbit IgG (HRP) with minimal cross reactivity with human IgG at 1/2000 and lanes 5-8 are applied with Goat Anti-Rabbit IgG, (H+L), Peroxidase conjugated (ab97051) at 1/20000

In Western blot, Anti-GAPDH antibody [EPR16891] - Loading Control (ab181602) (1 : 200000) (36KDa).

All lanes:

Western blot - Anti-TDO2/TDO antibody [EPR29352-720] (<a href='/products/primary-antibodies/tdo2-tdo-antibody-epr29352-720-ab325323'>ab325323</a>) at 1/1000 dilution

Lane 1:

Human liver tissue lysate at 40 µg

Lane 2:

Human testis tissue lysate at 40 µg

Lane 3:

Human lung tissue lysate at 40 µg

Lane 4:

Human pancreas tissue lysate at 40 µg

Lane 5:

Mouse liver tissue lysate at 40 µg

Lane 6:

Mouse testis tissue lysate at 40 µg

Lane 7:

Mouse lung tissue lysate at 40 µg

Lane 8:

Mouse pancreas tissue lysate at 40 µg

Secondary

Lanes 1 - 4:

Goat Anti-Rabbit IgG (HRP) with minimal cross-reactivity with human IgG at 1/2000 dilution

Lanes 5 - 8:

Western blot - Goat Anti-Rabbit IgG H&L (HRP) (<a href='/products/secondary-antibodies/goat-rabbit-igg-h-l-hrp-ab97051'>ab97051</a>) at 1/20000 dilution

Observed band size: 43 kDa,36 kDa

false

Exposure time: 26s

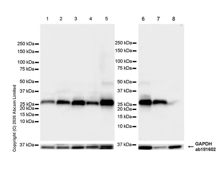
Western blot - Anti-GAPDH antibody [EPR16891] - Loading Control (AB181602)
  • WB

Lab

Western blot - Anti-GAPDH antibody [EPR16891] - Loading Control (AB181602)

Western blot : Mouse Monoclonal[4C6] to DMT1 ab55735 staining at 1/1000 dilution, shown in green; Rabbit anti GAPDH (ab181602) loading control staining at 1/20,000 dilution, shown in magenta. A band was observed at 80 kDa in Wild-type A549 cell lysates with no signal observed at this size in SLC11A2 knockout A549 cell line (ab326025). To generate this image, samples were run on an SDS-PAGE gel then transferred onto a nitrocellulose membrane. Membranes were blocked in 3pc Milk in TBS-0.1 % Tween® 20 (TBS-T) before incubation with primary antibodies overnight at 4 °C. Blots were washed four times in TBS-T, incubated with secondary antibodies for 1 h at room temperature, washed again four times then imaged. Secondary antibodies used were Goat anti-Mouse 800CW & Goat anti-Rabbit 680RD at 1/20,000 dilution.

All lanes:

Western blot - Anti-DMT1 antibody [4C6] (<a href='/products/primary-antibodies/dmt1-antibody-4c6-ab55735'>ab55735</a>) at 1/1000 dilution

Lane 1:

Wild-type A549 at 20 µg

Lane 2:

Western blot - Human SLC11A2 knockout A549 cell line (<a href='/products/cell-lines/human-slc11a2-knockout-a549-cell-line-ab326025'>ab326025</a>) at 20 µg

Secondary

All lanes:

Goat anti-Mouse 800CW & Goat anti-Rabbit 680RD at 1/20000 dilution

Predicted band size: 62 kDa

Observed band size: 80 kDa

false

Western blot - Anti-GAPDH antibody [EPR16891] - Loading Control (AB181602)
  • WB

Lab

Western blot - Anti-GAPDH antibody [EPR16891] - Loading Control (AB181602)

Blocking and diluting buffer and concentration : 5% NFDM/TBST.

Low expression : THP-1.

To minimize protein degradation, cells were lysed immediately after harvest and then applied to a gel and transfer membrane for Western blotting as soon as possible.

The identity of the lower MW band at approximately 60 kDa is unknown.

In Western blot, Anti-GAPDH antibody [EPR16891] - Loading Control (ab181602) (1 : 200000) (36KDa).

All lanes:

Western blot - Anti-INPP5F antibody [MJF-D29759-51] (<a href='/products/primary-antibodies/inpp5f-antibody-mjf-d29759-51-ab325711'>ab325711</a>) at 1/1000 dilution

Lane 1:

SK-MEL-28 (human malignant melanoma cell) whole cell lysate at 20 µg

Lane 2:

THP-1 (human monocytic leukemia monocyte) whole cell lysate at 20 µg

Secondary

All lanes:

Western blot - Goat Anti-Rabbit IgG H&L (HRP) (<a href='/products/secondary-antibodies/goat-rabbit-igg-h-l-hrp-ab97051'>ab97051</a>) at 1/20000 dilution

Observed band size: 140 kDa,36 kDa

false

Exposure time: 180s

Western blot - Anti-GAPDH antibody [EPR16891] - Loading Control (AB181602)
  • WB

Supplier Data

Western blot - Anti-GAPDH antibody [EPR16891] - Loading Control (AB181602)

In Western blot, Anti-GSDMD antibody [EPR20859] (ab219800) 1 : 1,000 dilution (0.582 ug/ml) and Anti-GAPDH antibody [EPR16891] - Loading Control (ab181602) 1 : 1,000,000 dilution.

Blocking and diluting buffer and concentration : 5% NFDM/TBST.

All lanes:

Western blot - Anti-GSDMD antibody [EPR20859] (<a href='/products/primary-antibodies/gsdmd-antibody-epr20859-ab219800'>ab219800</a>) at 1/1000 dilution

Lane 1:

HeLa (human cervix adenocarcinoma epithelial cell) whole cell lysate at 20 µg

Lane 2:

PC-3 (human prostate adenocarcinoma epithelial cell) whole cell lysate at 20 µg

Lane 3:

Jurkat (human T cell leukemia T lymphocyte) whole cell lysate at 20 µg

Secondary

All lanes:

Western blot - Goat Anti-Rabbit IgG H&L (HRP) (<a href='/products/secondary-antibodies/goat-rabbit-igg-h-l-hrp-ab97051'>ab97051</a>) at 1/20000 dilution

Predicted band size: 53 kDa

Observed band size: 53 kDa,37 kDa

false

Exposure time: 180s

Western blot - Anti-GAPDH antibody [EPR16891] - Loading Control (AB181602)
  • WB

Lab

Western blot - Anti-GAPDH antibody [EPR16891] - Loading Control (AB181602)

Blocking and diluting buffer and concentration : 5% NFDM/TBST.

Low expression : HeLa.

To minimize protein degradation, cells were lysed immediately after harvest and then applied to a gel and transfer membrane for Western blotting as soon as possible.

The identity of the lower MW band at approximately 60 kDa is unknown.

In Western blot, Anti-GAPDH antibody [EPR16891] - Loading Control (ab181602) (1 : 200000) (36KDa).

All lanes:

Western blot - Anti-INPP5F antibody [MJF-D29759-51] (<a href='/products/primary-antibodies/inpp5f-antibody-mjf-d29759-51-ab325711'>ab325711</a>) at 1/1000 dilution

Lane 1:

A375 (human malignant melanoma epithelial cell) whole cell lysate at 20 µg

Lane 2:

HeLa (human cervical adenocarcinoma epithelial cell) whole cell lysate at 20 µg

Secondary

All lanes:

Western blot - Goat Anti-Rabbit IgG H&L (HRP) (<a href='/products/secondary-antibodies/goat-rabbit-igg-h-l-hrp-ab97051'>ab97051</a>) at 1/20000 dilution

Observed band size: 140 kDa,36 kDa

false

Exposure time: 180s

Western blot - Anti-GAPDH antibody [EPR16891] - Loading Control (AB181602)
  • WB

Lab

Western blot - Anti-GAPDH antibody [EPR16891] - Loading Control (AB181602)

Blocking and diluting buffer and concentration : 5% NFDM/TBST.

In Western blot, Anti-GAPDH antibody [EPR16891] - Loading Control (ab181602) (1 : 200000) (36KDa).

All lanes:

Western blot - Anti-POLR3A antibody [EPR30480-88] (<a href='/products/primary-antibodies/polr3a-antibody-epr30480-88-ab325791'>ab325791</a>) at 1/1000 dilution

Lane 1:

HeLa (human cervical adenocarcinoma epithelial cell) whole cell lysate at 20 µg

Lane 2:

293T (human embryonic kidney epithelial cell) whole cell lysate at 20 µg

Lane 3:

SK-N-SH (human neuroblastoma epithelial cell) whole cell lysate at 20 µg

Lane 4:

PC-3 (human prostate adenocarcinoma epithelial cell) whole cell lysate at 20 µg

Lane 5:

MCF7 (human breast adenocarcinoma epithelial cell) whole cell lysate at 20 µg

Lane 6:

A431 (human epidermoid carcinoma epithelial cell) whole cell lysate at 20 µg

Lane 7:

RAW 264.7 (mouse Abelson murine leukemia virus-induced tumor macrophage) whole cell lysate at 20 µg

Lane 8:

NIH/3T3 (mouse embryonic fibroblast) whole cell lysate at 20 µg

Secondary

All lanes:

Western blot - Goat Anti-Rabbit IgG H&L (HRP) (<a href='/products/secondary-antibodies/goat-rabbit-igg-h-l-hrp-ab97051'>ab97051</a>) at 1/20000 dilution

Observed band size: 155 kDa,36 kDa

false

Exposure time: 180s

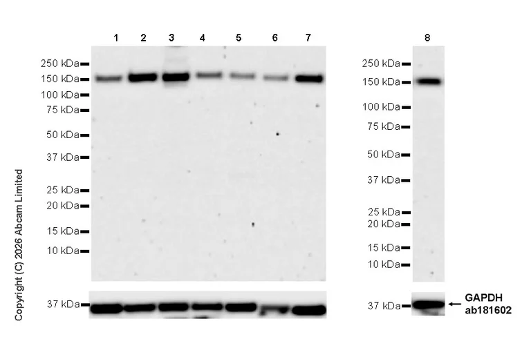
Western blot - Anti-GAPDH antibody [EPR16891] - Loading Control (AB181602)
  • WB

Lab

Western blot - Anti-GAPDH antibody [EPR16891] - Loading Control (AB181602)

Blocking and diluting buffer and concentration : 5% NFDM/TBST.

Performed under reducing conditions.

In Western blot, ab325397 was shown to bind specifically to UFL1. Target of interest was observed at 40, 80 kDa in wild-type HEK-293 cell lysates (lane 3) with no signal observed at this size in UFL1 knockout HEK-293 cell line (lane 4) (lane 4, knockout cell line ab266500 / knockout cell lysate ab258748).

In Western blot, Anti-GAPDH antibody [EPR16891] - Loading Control (ab181602) (1 : 200000) (36KDa).

All lanes:

Western blot - Anti-UFL1 antibody [EPR29684-84] (<a href='/products/primary-antibodies/ufl1-antibody-epr29684-84-ab325397'>ab325397</a>) at 1/1000 dilution

Lane 1:

EL4 (mouse lymphoma T lymphocyte) whole cell lysate at 50 µg

Lane 2:

B16-F10 (mouse skin melanoma cell) whole cell lysate at 50 µg

Lane 3:

Wild-type HEK-293 (human embryonic kidney epithelial cell) whole cell lysate at 50 µg

Lane 4:

Western blot - Human UFL1 knockout HEK-293T cell lysate (<a href='/products/cell-lysates/human-ufl1-knockout-hek-293t-cell-lysate-ab258748'>ab258748</a>) at 50 µg

Lane 5:

HeLa (human cervical adenocarcinoma epithelial cell) whole cell lysate at 50 µg

Lane 6:

HaCaT (human skin keratinocyte) whole cell lysate at 50 µg

Lane 7:

K-562 (human chronic myelogenous leukemia lymphoblast) whole cell lysate at 50 µg

Secondary

All lanes:

Western blot - Goat Anti-Rabbit IgG H&L (HRP) (<a href='/products/secondary-antibodies/goat-rabbit-igg-h-l-hrp-ab97051'>ab97051</a>) at 1/20000 dilution

Observed band size: 40 kDa,80 kDa,36 kDa

false

Exposure time: 15s

Western blot - Anti-GAPDH antibody [EPR16891] - Loading Control (AB181602)
  • WB

Lab

Western blot - Anti-GAPDH antibody [EPR16891] - Loading Control (AB181602)

Blocking and diluting buffer and concentration : 5% NFDM/TBST.

Low expression : kidney, liver(PMID : 25760323).

The samples are unboiled.

The band pattern observed is consistent with what has been described in the literature (PMID : 34833992).

In Western blot, Anti-GAPDH antibody [EPR16891] - Loading Control (ab181602) (1 : 200000) (36KDa).

All lanes:

Western blot - Anti-Cannabinoid Receptor I antibody [EPR30843-34] (<a href='/products/primary-antibodies/cannabinoid-receptor-i-antibody-epr30843-34-ab325797'>ab325797</a>) at 1/1000 dilution

Lane 1:

Human cerebellum tissue lysate at 40 µg

Lane 2:

Human kidney tissue lysate at 40 µg

Lane 3:

Mouse brain tissue lysate at 40 µg

Lane 4:

Mouse cerebellum tissue lysate at 40 µg

Lane 5:

Mouse kidney tissue lysate at 40 µg

Lane 6:

Mouse liver tissue lysate at 40 µg

Lane 7:

Rat brain tissue lysate at 40 µg

Lane 8:

Rat cerebellum tissue lysate at 40 µg

Lane 9:

Rat kidney tissue lysate at 40 µg

Secondary

All lanes:

Goat Anti-Rabbit IgG (HRP) with minimal cross-reactivity with human IgG at 1/2000 dilution

Observed band size: 37 kDa,50 kDa,36 kDa

false

Exposure time: 6s

Western blot - Anti-GAPDH antibody [EPR16891] - Loading Control (AB181602)
  • WB

Lab

Western blot - Anti-GAPDH antibody [EPR16891] - Loading Control (AB181602)

Blocking and diluting buffer and concentration : 5% NFDM/TBST.

Performed under reducing conditions.

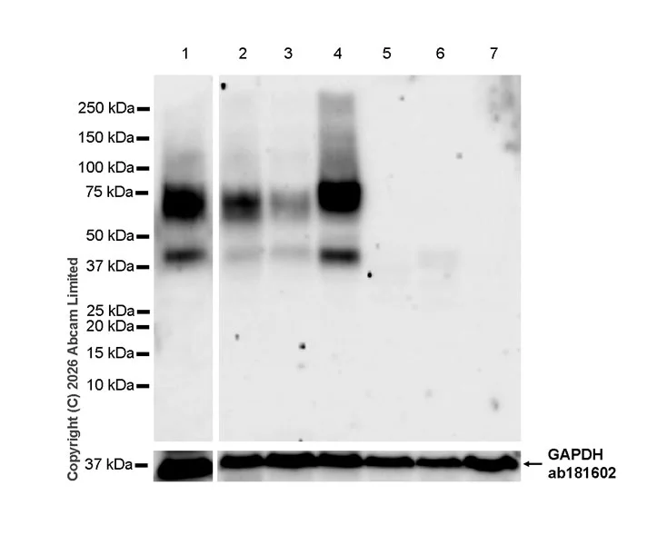
In Western blot ab325939 was shown to bind specifically to Dishevelled 2. Target of interest was observed at 95 kDa in wild-type A549 cell lysates (lane 3) with no signal observed at this size in Dishevelled 2 knockout cell line (lane 4) (knockout cell line ab277903 / knockout cell lysate ab288317).

Low expression : liver lung.

In Western blot Anti-GAPDH antibody [EPR16891] - Loading Control (ab181602) (1 : 200000) (36KDa).

Exposure time : Lanes 1-4 : 26 seconds; Lane 5 : 6 seconds; Lane 6 : 26 seconds.

All lanes:

Western blot - Anti-Dishevelled 2 antibody [EPR30298-74] (<a href='/products/primary-antibodies/dishevelled-2-antibody-epr30298-74-ab325939'>ab325939</a>) at 1/1000 dilution

Lane 1:

Human ovary tissue lysate at 20 µg

Lane 2:

Human testis tissue lysate at 20 µg

Lane 3:

Human liver tissue lysate at 20 µg

Lane 4:

Human lung tissue lysate at 20 µg

Lane 5:

A549 (human lung carcinoma epithelial cell) whole cell lysate at 20 µg

Lane 6:

Dishevelled 2 knockout A549 whole cell lysate at 20 µg

Lane 7:

HeLa (human cervical adenocarcinoma epithelial cell) whole cell lysate at 20 µg

Lane 8:

NCI-H1299 (human lung carcinoma epithelial cell) whole cell lysate at 20 µg

Secondary

All lanes:

Western blot - Goat Anti-Rabbit IgG H&L (HRP) (<a href='/products/secondary-antibodies/goat-rabbit-igg-h-l-hrp-ab97051'>ab97051</a>) at 1/20000 dilution

Observed band size: 95 kDa,36 kDa

false

Western blot - Anti-GAPDH antibody [EPR16891] - Loading Control (AB181602)
  • WB

Lab

Western blot - Anti-GAPDH antibody [EPR16891] - Loading Control (AB181602)

Blocking and diluting buffer and concentration : 5% NFDM/TBST.

To minimize protein degradation, lysates were made fresh.

In Western blot, Anti-GAPDH antibody [EPR16891] - Loading Control (ab181602) (1 : 200000) (36KDa).

Exposure time : Lanes 1-2 : 180 seconds, lanes 3-4 : 180 seconds

All lanes:

Western blot - Anti-Zfp281/ZNF281 antibody [EPR30593-518] (<a href='/products/primary-antibodies/zfp281-znf281-antibody-epr30593-518-ab325790'>ab325790</a>) at 1/1000 dilution

Lane 1:

U-2 OS (human bone osteosarcoma epithelial cell) transfected with scrambled siRNA control whole cell lysate at 20 µg

Lane 2:

U-2 OS transfected with siRNA specifically targeting ZNF281 whole cell lysate at 20 µg

Lane 3:

HeLa (human cervical adenocarcinoma epithelial cell) whole cell lysate at 20 µg

Lane 4:

293T (human embryonic kidney epithelial cell) whole cell lysate at 20 µg

Secondary

All lanes:

Western blot - Goat Anti-Rabbit IgG H&L (HRP) (<a href='/products/secondary-antibodies/goat-rabbit-igg-h-l-hrp-ab97051'>ab97051</a>) at 1/100000 dilution

Observed band size: 100 kDa,36 kDa

false

Western blot - Anti-GAPDH antibody [EPR16891] - Loading Control (AB181602)
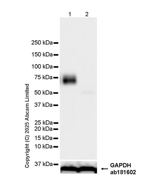
  • WB

Lab

Western blot - Anti-GAPDH antibody [EPR16891] - Loading Control (AB181602)

Blocking and diluting buffer and concentration : 5% NFDM/TBST.

Performed under reducing conditions.

In Western blot, ab324680 was shown to bind specifically to NUR77. Target of interest was observed at 65-75 kDa in wild-type HeLa cell lysates (lane 1) with no signal observed at this size in NR4A1 knockout cell line (lane 2) (lane 2, knockout cell line ab264021 / knockout cell lysate ab264509).

In Western blot, Anti-GAPDH antibody [EPR16891] - Loading Control (ab181602) (1 : 200000) (36KDa).

All lanes:

Western blot - Anti-NUR77 antibody [EPR29846-533] (<a href='/products/primary-antibodies/nur77-antibody-epr29846-533-ab324680'>ab324680</a>) at 1/1000 dilution

Lane 1:

Wild type HeLa (human cervical adenocarcinoma epithelial cell) whole cell lysate at 50 µg

Lane 2:

NR4A1 knockout HeLa whole cell lysate at 50 µg

Secondary

All lanes:

Western blot - Goat Anti-Rabbit IgG H&L (HRP) (<a href='/products/secondary-antibodies/goat-rabbit-igg-h-l-hrp-ab97051'>ab97051</a>) at 1/100000 dilution

Observed band size: 65-75 kDa,36 kDa

false

Exposure time: 15s

Western blot - Anti-GAPDH antibody [EPR16891] - Loading Control (AB181602)
  • WB

Lab

Western blot - Anti-GAPDH antibody [EPR16891] - Loading Control (AB181602)

Blocking and diluting buffer and concentration : 5% NFDM/TBST.

Negative control : HeLa.

This blot was developed using a high-sensitivity ECL substrate, allowing for the detection of proteins in the mid-femtogram range.

In Western blot, Anti-GAPDH antibody [EPR16891] - Loading Control (ab181602) (1 : 200000) (36KDa).

All lanes:

Western blot - Anti-TDO2/TDO antibody [EPR29352-720] (<a href='/products/primary-antibodies/tdo2-tdo-antibody-epr29352-720-ab325323'>ab325323</a>) at 1/1000 dilution

Lane 1:

HDLM-2 (human Hodgkin lymphoma cell) whole cell lysate at 48 µg

Lane 2:

LoVo (human colorectal adenocarcinoma epithelial cell) whole cell lysate at 48 µg

Lane 3:

HeLa (human cervical adenocarcinoma epithelial cell) whole cell lysate at 48 µg

Secondary

All lanes:

Western blot - Goat Anti-Rabbit IgG H&L (HRP) (<a href='/products/secondary-antibodies/goat-rabbit-igg-h-l-hrp-ab97051'>ab97051</a>) at 1/2000 dilution

Observed band size: 43 kDa,36 kDa

true

Exposure time: 180s

Western blot - Anti-GAPDH antibody [EPR16891] - Loading Control (AB181602)
  • WB

Lab

Western blot - Anti-GAPDH antibody [EPR16891] - Loading Control (AB181602)

Blocking and diluting buffer and concentration : 5% NFDM/TBST.

Performed under reducing conditions.

In Western blot, ab324349 was shown to bind specifically to DMT1/SLC11A2 . Target of interest was observed at 75-100 kDa in wild-type HeLa cell lysates (lane 1) with no signal observed at this size in DMT1/SLC11A2 knockout cell line (lane 2).

Samples are non-boiled as boiling may cause protein aggregation.

In Western blot, Anti-GAPDH antibody [EPR16891] - Loading Control (ab181602) (1 : 200000) (36KDa).

All lanes:

Western blot - Anti-DMT1 antibody [EPR29592-29] (<a href='/products/primary-antibodies/dmt1-antibody-epr29592-29-ab324349'>ab324349</a>) at 1/1000 dilution

Lane 1:

Wild-type HeLa (human cervical adenocarcinoma epithelial cell) whole cell lysate at 20 µg

Lane 2:

DMT1/SLC11A2 knockout HeLa whole cell lysate at 20 µg

Lane 3:

SK-MEL-2 (human skin malignant melanoma cell) whole cell lysate at 20 µg

Lane 4:

SK-MEL-28 (human malignant melanoma cell) whole cell lysate at 20 µg

Lane 5:

SH-SY5Y (human neuroblastoma epithelial cell) whole cell lysate at 20 µg

Lane 6:

HEK-293 (human embryonic kidney epithelial cell) whole cell lysate at 20 µg

Secondary

All lanes:

Western blot - Goat Anti-Rabbit IgG H&L (HRP) (<a href='/products/secondary-antibodies/goat-rabbit-igg-h-l-hrp-ab97051'>ab97051</a>) at 1/100000 dilution

Observed band size: 75-100 kDa,36 kDa

false

Exposure time: 92s

Western blot - Anti-GAPDH antibody [EPR16891] - Loading Control (AB181602)
  • WB

Lab

Western blot - Anti-GAPDH antibody [EPR16891] - Loading Control (AB181602)

Blocking and diluting buffer and concentration : 5% NFDM/TBST.

In lanes 1 and 4, the lysates were stored at -80degC prior to Western Blotting. The bands beneath the target band (95 kDa) are likely to be degradation products. In lanes 2-3, to minimize protein degradation, cells were lysed immediately after harvest and then applied to a gel and transfer membrane for Western blotting as soon as possible.

In Western blot, Anti-GAPDH antibody [EPR16891] - Loading Control (ab181602) (1 : 200000) (36KDa).

All lanes:

Western blot - Anti-Dishevelled 2 antibody [EPR30298-74] (<a href='/products/primary-antibodies/dishevelled-2-antibody-epr30298-74-ab325939'>ab325939</a>) at 1/1000 dilution

Lane 1:

HEK-293 (human embryonic kidney epithelial cell) frozen whole cell lysate at 20 µg

Lane 2:

HEK-293 (human embryonic kidney epithelial cell) fresh whole cell lysate at 20 µg

Lane 3:

NIH/3T3 (mouse embryonic fibroblast) fresh whole cell lysate at 20 µg

Lane 4:

NIH/3T3 (mouse embryonic fibroblast) frozen whole cell lysate at 20 µg

Secondary

All lanes:

Western blot - Goat Anti-Rabbit IgG H&L (HRP) (<a href='/products/secondary-antibodies/goat-rabbit-igg-h-l-hrp-ab97051'>ab97051</a>) at 1/20000 dilution

Observed band size: 95 kDa,36 kDa

false

Exposure time: 59s

Western blot - Anti-GAPDH antibody [EPR16891] - Loading Control (AB181602)
  • WB

Supplier Data

Western blot - Anti-GAPDH antibody [EPR16891] - Loading Control (AB181602)

Blocking and diluting buffer and concentration : 5% NFDM/TBST.

In Western blot, Anti-COX IV antibody [EPR9442 (ABC)] - Mitochondrial Loading Control (ab202554) staining at 1/1000 dilution.

All lanes:

Western blot - Anti-OMA1 antibody [EPR29198-78] (<a href='/products/primary-antibodies/oma1-antibody-epr29198-78-ab324586'>ab324586</a>) at 1/1000 dilution

Lane 1:

HeLa (human cervical adenocarcinoma epithelial cell) mitochondria fraction at 20 µg

Lane 2:

HeLa non-mitochondrial fraction at 20 µg

Secondary

All lanes:

Western blot - Goat Anti-Rabbit IgG H&L (HRP) (<a href='/products/secondary-antibodies/goat-rabbit-igg-h-l-hrp-ab97051'>ab97051</a>) at 1/20000 dilution

Observed band size: 36 kDa,16 kDa

false

Exposure time: 180s

関連する標識済み抗体及び組成の異なる製品 (8)

  • Carrier free

    Anti-GAPDH antibody [EPR16891] - BSA and Azide free

  • 421 Alexa Fluor® 405

    Alexa Fluor® 405 Anti-GAPDH antibody [EPR16891]

  • 578 PE

    PE Anti-GAPDH antibody [EPR16891]

  • 519 FITC

    FITC Anti-GAPDH antibody [EPR16891]

  • 665 Alexa Fluor® 647

    Alexa Fluor® 647 Anti-GAPDH antibody [EPR16891]

  • 617 Alexa Fluor® 594

    Alexa Fluor® 594 Anti-GAPDH antibody [EPR16891]

  • HRP

    HRP Anti-GAPDH antibody [EPR16891] - Loading Control

  • 519 Alexa Fluor® 488

    Alexa Fluor® 488 Anti-GAPDH antibody [EPR16891]

Key facts

宿主種

Rabbit

クローン性

Monoclonal

クローン番号

EPR16891

アイソタイプ

IgG

キャリアフリー

No

交差種

Chicken, Human, Zebrafish, African green monkey, Xenopus tropicalis, Mouse, Rat

アプリケーション

IHC-P, Flow Cyt (Intra), ICC/IF, WB, IP

applications

免疫原

The exact immunogen used to generate this antibody is proprietary information.

Reactivity data

{ "title": "Reactivity Data", "filters": { "stats": ["", "Species", "Dilution Info", "Notes"], "tabs": { "all-applications": {"fullname" : "All Applications", "shortname": "All Applications"}, "IP" : {"fullname" : "Immunoprecipitation", "shortname":"IP"}, "WB" : {"fullname" : "Western blot", "shortname":"WB"}, "ICCIF" : {"fullname" : "Immunocytochemistry/ Immunofluorescence", "shortname":"ICC/IF"}, "FlowCytIntra" : {"fullname" : "Flow Cytometry (Intracellular)", "shortname":"Flow Cyt (Intra)"}, "IHCP" : {"fullname" : "Immunohistochemistry (Formalin/PFA-fixed paraffin-embedded sections)", "shortname":"IHC-P"} }, "product-promise": { "all": "all", "testedAndGuaranteed": "tested", "guaranteed": "expected", "predicted": "predicted", "notRecommended": "not-recommended" } }, "values": { "Human": { "IP-species-checked": "testedAndGuaranteed", "IP-species-dilution-info": "1/60", "IP-species-notes": "<p></p>", "WB-species-checked": "testedAndGuaranteed", "WB-species-dilution-info": "1/10000", "WB-species-notes": "<p></p>", "ICCIF-species-checked": "testedAndGuaranteed", "ICCIF-species-dilution-info": "1/500", "ICCIF-species-notes": "<p></p>", "FlowCytIntra-species-checked": "testedAndGuaranteed", "FlowCytIntra-species-dilution-info": "1/180", "FlowCytIntra-species-notes": "<p><a href='/products/primary-antibodies/rabbit-igg-monoclonal-epr25a-isotype-control-ab172730'>ab172730</a> - Rabbit monoclonal IgG, is suitable for use as an isotype control with this antibody.</p>", "IHCP-species-checked": "testedAndGuaranteed", "IHCP-species-dilution-info": "1/2000", "IHCP-species-notes": "<p></p> Perform heat-mediated antigen retrieval with Tris/EDTA buffer pH 9.0 before commencing with IHC staining protocol." }, "Mouse": { "IP-species-checked": "guaranteed", "IP-species-dilution-info": "", "IP-species-notes": "", "WB-species-checked": "testedAndGuaranteed", "WB-species-dilution-info": "1/10000", "WB-species-notes": "<p></p>", "ICCIF-species-checked": "guaranteed", "ICCIF-species-dilution-info": "", "ICCIF-species-notes": "", "FlowCytIntra-species-checked": "guaranteed", "FlowCytIntra-species-dilution-info": "", "FlowCytIntra-species-notes": "", "IHCP-species-checked": "testedAndGuaranteed", "IHCP-species-dilution-info": "1/2000", "IHCP-species-notes": "<p></p> Perform heat-mediated antigen retrieval with Tris/EDTA buffer pH 9.0 before commencing with IHC staining protocol." }, "Rat": { "IP-species-checked": "guaranteed", "IP-species-dilution-info": "", "IP-species-notes": "", "WB-species-checked": "testedAndGuaranteed", "WB-species-dilution-info": "1/1000", "WB-species-notes": "<p></p>", "ICCIF-species-checked": "guaranteed", "ICCIF-species-dilution-info": "", "ICCIF-species-notes": "", "FlowCytIntra-species-checked": "guaranteed", "FlowCytIntra-species-dilution-info": "", "FlowCytIntra-species-notes": "", "IHCP-species-checked": "testedAndGuaranteed", "IHCP-species-dilution-info": "1/2000", "IHCP-species-notes": "<p></p> Perform heat-mediated antigen retrieval with Tris/EDTA buffer pH 9.0 before commencing with IHC staining protocol." }, "African green monkey": { "IP-species-checked": "guaranteed", "IP-species-dilution-info": "", "IP-species-notes": "", "WB-species-checked": "testedAndGuaranteed", "WB-species-dilution-info": "1/10000", "WB-species-notes": "<p></p>", "ICCIF-species-checked": "guaranteed", "ICCIF-species-dilution-info": "", "ICCIF-species-notes": "", "FlowCytIntra-species-checked": "guaranteed", "FlowCytIntra-species-dilution-info": "", "FlowCytIntra-species-notes": "", "IHCP-species-checked": "guaranteed", "IHCP-species-dilution-info": "", "IHCP-species-notes": "" }, "Chicken": { "IP-species-checked": "guaranteed", "IP-species-dilution-info": "", "IP-species-notes": "", "WB-species-checked": "testedAndGuaranteed", "WB-species-dilution-info": "1/10000", "WB-species-notes": "<p></p>", "ICCIF-species-checked": "guaranteed", "ICCIF-species-dilution-info": "", "ICCIF-species-notes": "", "FlowCytIntra-species-checked": "guaranteed", "FlowCytIntra-species-dilution-info": "", "FlowCytIntra-species-notes": "", "IHCP-species-checked": "guaranteed", "IHCP-species-dilution-info": "", "IHCP-species-notes": "" }, "Fish": { "IP-species-checked": "predicted", "IP-species-dilution-info": "", "IP-species-notes": "", "WB-species-checked": "predicted", "WB-species-dilution-info": "", "WB-species-notes": "", "ICCIF-species-checked": "predicted", "ICCIF-species-dilution-info": "", "ICCIF-species-notes": "", "FlowCytIntra-species-checked": "predicted", "FlowCytIntra-species-dilution-info": "", "FlowCytIntra-species-notes": "", "IHCP-species-checked": "predicted", "IHCP-species-dilution-info": "", "IHCP-species-notes": "" }, "Rabbit": { "IP-species-checked": "predicted", "IP-species-dilution-info": "", "IP-species-notes": "", "WB-species-checked": "predicted", "WB-species-dilution-info": "", "WB-species-notes": "", "ICCIF-species-checked": "predicted", "ICCIF-species-dilution-info": "", "ICCIF-species-notes": "", "FlowCytIntra-species-checked": "predicted", "FlowCytIntra-species-dilution-info": "", "FlowCytIntra-species-notes": "", "IHCP-species-checked": "predicted", "IHCP-species-dilution-info": "", "IHCP-species-notes": "" }, "Xenopus tropicalis": { "IP-species-checked": "guaranteed", "IP-species-dilution-info": "", "IP-species-notes": "", "WB-species-checked": "testedAndGuaranteed", "WB-species-dilution-info": "1/10000", "WB-species-notes": "<p></p>", "ICCIF-species-checked": "guaranteed", "ICCIF-species-dilution-info": "", "ICCIF-species-notes": "", "FlowCytIntra-species-checked": "guaranteed", "FlowCytIntra-species-dilution-info": "", "FlowCytIntra-species-notes": "", "IHCP-species-checked": "guaranteed", "IHCP-species-dilution-info": "", "IHCP-species-notes": "" }, "Zebrafish": { "IP-species-checked": "guaranteed", "IP-species-dilution-info": "", "IP-species-notes": "", "WB-species-checked": "testedAndGuaranteed", "WB-species-dilution-info": "1/10000", "WB-species-notes": "<p></p>", "ICCIF-species-checked": "guaranteed", "ICCIF-species-dilution-info": "", "ICCIF-species-notes": "", "FlowCytIntra-species-checked": "guaranteed", "FlowCytIntra-species-dilution-info": "", "FlowCytIntra-species-notes": "", "IHCP-species-checked": "guaranteed", "IHCP-species-dilution-info": "", "IHCP-species-notes": "" } } }

製品の詳細

Anti-GAPDH antibody [EPR16891] - Loading Control (ab181602) was developed by Abcam using patented rabbit monoclonal antibody technology and is validated for use in Flow Cyt (Intra), ICC/IF, IHC-P, IP and WB.

Anti-GAPDH antibody [EPR16891] - Loading Control (ab181602) was first used in a scientific publication in 1987 and has been cited over 2472 times in peer reviewed journals. It's performance in Western Blot in human, mouse and rat samples is trusted by the scientific community.

Abcam's high quality manufacturing and validation processes ensure Anti-GAPDH antibody [EPR16891] - Loading Control (ab181602) has high sensitivity and specificity alongside high lot-to-lot consistency and reproducibility.

Anti-GAPDH antibody [EPR16891] - Loading Control (ab181602) has 22 independent reviews from customers.

GAPDH antibodies are often used as loading controls in Western Blot. Anti-GAPDH antibody [EPR16891] - Loading Control has been verified in Western Blot samples and detects a band at 36kDa Molecular weight.

Anti-GAPDH antibody [EPR16891] - Loading Control (ab181602) specifically detects GAPDH (UniProt ID: P16858; Molecular weight: 36kDa) and is sold in 100 µL and 1 mL selling sizes.

Conjugation-ready, carrier free format available for antibody clone EPR16891 - ab199553.

Antibody clone EPR16891 is also available pre-conjugated to a variety of labels for your convenience - Alexa Fluor® 647, Alexa Fluor® 488, HRP, Alexa Fluor® 594, Alexa Fluor® 405, PE, FITC (ab201272, ab201768, ab201822, ab206371, ab206372, ab224004, ab224005).

One of the top cited clones in the market for GAPDH with >3000 citations. GAPDH is a key target involved in glycolysis and cell metabolism. It plays a crucial role as a housekeeping gene, particularly in understanding GAPDH expression and its function as a metabolic enzyme. GAPDH is widely analysed in GAPDH activity assays and studies of its role in various cellular processes. Additionally, GAPDH is commonly used as a loading control in western blotting, IHC and immunofluorescence experiments.

Patented technology
Our RabMAb® technology is a patented hybridoma-based technology for making rabbit monoclonal antibodies. For details on our patents, please refer to RabMAb® patents.

What are the advantages of a recombinant monoclonal antibody?
This product is a recombinant monoclonal antibody, which offers several advantages including:

  • - High batch-to-batch consistency and reproducibility
  • - Improved sensitivity and specificity
  • - Long-term security of supply
  • - Animal-free batch production

For more information, read more on recombinant antibodies.

出荷温度及び保存条件

製品の状態
Liquid
精製方法
Affinity purification Protein A
バッファー組成
Preservative: 0.01% Sodium azide Constituents: PBS, 40% Glycerol (glycerin, glycerine), 0.05% BSA
出荷温度
Blue Ice
短期保存期間
1-2 weeks
短期保存温度
+4°C
長期保存温度
-20°C
分注に関する情報
Upon delivery aliquot
保管に関する情報
Avoid freeze / thaw cycle

補足情報

This supplementary information is collated from multiple sources and compiled automatically.

Glyceraldehyde-3-phosphate dehydrogenase commonly known as GAPDH is an enzyme involved in glycolysis. Its molecular weight (MW) is approximately 36 kDa. The protein is expressed ubiquitously in almost all tissues reflecting its essential role in energy production. GAPDH catalyzes the sixth step of glycolysis converting glyceraldehyde-3-phosphate into 13-bisphosphoglycerate. Due to its stable expression researchers often use GAPDH as a loading control in western blot experiments.
Biological function summary

GAPDH serves important metabolic functions beyond its enzymatic role in glycolysis. It functions as part of a multi-enzyme complex within the cytoplasm which facilitates efficient substrate channeling during glycolysis. Additionally GAPDH has non-glycolytic roles including involvement in nuclear processes like RNA export and DNA repair. Its ubiquitous presence across different cellular compartments indicates its multiple functions beyond metabolic pathways.

Pathways

GAPDH integrates into significant cellular functions like the glycolytic pathway and apoptotic pathways. In glycolysis GAPDH collaborates with enzymes like phosphoglycerate kinase forming a cohesive link in the energy conversion chain. Its participation in apoptotic pathways highlights GAPDH's involvement in cellular death processes interacting with proteins like Bcl-2 to influence apoptosis progression. These roles reinforce its presence in central metabolic and regulatory pathways.

GAPDH has associations with neurodegenerative diseases and cancer. In neurodegenerative disorders such as Alzheimer's disease GAPDH's altered enzymatic activity is frequently observed influencing cellular energy homeostasis. Moreover overexpression or aberrant regulation of GAPDH relates to cancer cell proliferation and metastasis implicating proteins like p53 in these pathways. The diverse functions and interactions of GAPDH emphasize its importance in both normal cellular function and disease states.

製品プロトコール

For this product, it's our understanding that no specific protocols are required. You can visit:

ターゲットの情報

Catalyzes the conversion of D-glyceraldehyde 3-phosphate (G3P) into 3-phospho-D-glyceroyl phosphate in glycolysis and the reverse reaction in gluconeogenesis (PubMed : 11724794, PubMed : 3170585). Also shows nitrosylase activity, thereby playing a role in nuclear functions (PubMed : 11724794, PubMed : 3170585). Modulates the organization and assembly of the cytoskeleton (By similarity). Facilitates the CHP1-dependent microtubule and membrane associations through its ability to stimulate the binding of CHP1 to microtubules (By similarity). Component of the GAIT (gamma interferon-activated inhibitor of translation) complex which mediates interferon-gamma-induced transcript-selective translation inhibition in inflammation processes (PubMed : 23071094). Upon interferon-gamma treatment assembles into the GAIT complex which binds to stem loop-containing GAIT elements in the 3'-UTR of diverse inflammatory mRNAs (such as ceruplasmin) and suppresses their translation (PubMed : 23071094). Also plays a role in innate immunity by promoting TNF-induced NF-kappa-B activation and type I interferon production, via interaction with TRAF2 and TRAF3, respectively (PubMed : 23332158, PubMed : 27387501). Participates in nuclear events including transcription, RNA transport, DNA replication and apoptosis (By similarity). Nuclear functions are probably due to the nitrosylase activity that mediates cysteine S-nitrosylation of nuclear target proteins such as SIRT1, HDAC2 and PRKDC (By similarity).
See full target information GAPDH

文献 (3607)

Recent publications for all applications. Explore the full list and refine your search

BMC gastroenterology 25:715 PubMed41068605

2025

Melatonin alleviates diarrhea and visceral hypersensitivity in rats with diarrhea-predominant irritable bowel syndrome by modulating of the TLR4/MyD88/NF-κB pathway.

Applications

Unspecified application

Species

Unspecified reactive species

Zuohui Yuan,Xiaoping Yang,Xiaochun Wang,Xinlong Shi,Jia Chen,Lijun Huang,Jie Yang,Yuping Shi,Liping Zhang,Ping Mai

Frontiers in bioengineering and biotechnology 13:1641476 PubMed41069411

2025

CGRP-dependent molecular signaling drives bone marrow stem cell osteogenesis in distraction osteogenesis.

Applications

Unspecified application

Species

Unspecified reactive species

Yimurang Hamiti,Kai Liu,Sulong Wang,Xin Yang,Xiriaili Kadier,Aihemaitijiang Yusufu

eNeuro 12: PubMed41057266

2025

The PDGFBB-PDGFRβ Pathway and Laminins in Pericytes Are Involved in the Temporal Change of AQP4 Polarity during Temporal Lobe Epilepsy Pathogenesis.

Applications

Unspecified application

Species

Unspecified reactive species

Lin Lin,Hongxia Tang,Ke Cui,Zeyi Kang,Tengwei Pan,Changqiang Feng,Xiaohong Zhao,Jiewei Wang,Zhiyuan Chen,Zhengli Jiang,Gang Wu

Cell death & disease 16:706 PubMed41053124

2025

Cancer-associated fibroblasts expressing FSTL3 promote vasculogenic mimicry formation and drive colon cancer malignancy.

Applications

Unspecified application

Species

Unspecified reactive species

Leqian Ying,Yini Zhu,Lu Zhang,Min Ji,Meidan Wang,Lei Dong,Zhengcheng Yun,Yanping Chen,Jingyi Zhou,Chunchun Huang,Shengwei Zhang,Xuhong Yang,Hui Yang,Guichun Huang,Shukui Qin,Jinbing Xie,Lin Liu

International heart journal 66:862-873 PubMed41034031

2025

Mechanism of LncRNA NORAD/MiR-144-3p Axis in Promoting Myocardial Ischemia-Reperfusion Injury by Targeting TNRC6A.

Applications

Unspecified application

Species

Unspecified reactive species

Wei Wei,Ping Xie,Xuemei Wang

BMC complementary medicine and therapies 25:339 PubMed41029673

2025

Herb-drug interaction of Astragali Radix based on in vitro incubation and pharmacokinetic assessment.

Applications

Unspecified application

Species

Unspecified reactive species

Tianwang Wang,Tingting Zhang,Xiaofei Chen,Chonggang Huang,Pengfei Tu,Kai Wang,Feng Qiu

PloS one 20:e0329647 PubMed41032486

2025

LncRNA RP11-818O24.3 regulates proliferation and differentiation of hair follicle stem cells by targeting FGF2/PI3K/AKT pathway.

Applications

Unspecified application

Species

Unspecified reactive species

Linlin Bao,Haibo Zhao,Haiyue Ren,Chong Wang,Su Fang

Scientific reports 15:33763 PubMed41028834

2025

Icariin inhibits proliferation and migration of VSMCs via LncRNA H19 competitively binding to HuR.

Applications

Unspecified application

Species

Unspecified reactive species

Yibing Zhang,Peng Huang,Min Li,Zhimin Fan

Veterinary sciences 12: PubMed41012786

2025

Effects of Dietary and Bacteriophage Supplementation on Water Quality, Carcass Traits, and Muscle Growth in Magang Geese.

Applications

Unspecified application

Species

Unspecified reactive species

Yong Li,Yongquan Luo,Yuanhao Han,Zhiyuan Liu,Songchao Li,Xiujin Li,Zhongping Wu,Yunbo Tian,Yunmao Huang,Xumeng Zhang

Scientific reports 15:33159 PubMed41006814

2025

Pedunculoside alleviates lipopolysaccharide-induced acute lung injury/acute respiratory distress syndrome by inhibiting NF-κB pathway.

Applications

Unspecified application

Species

Unspecified reactive species

Yu Yang,Zhi Xu,Qi Li,Guansong Wang,Jiancheng Xu
View all publications

Abcam product promise

当社は、高品質な試薬を通じてお客様の研究を力強くサポートすることをお約束いたします。ご使用いただく各段階で、常にお客様をサポートできる体制を整えております。万が一、製品が期待通りに機能しない場合は、「Abcam Product Promise」による当社保証制度に基づき、安心してご利用いただけます。
保証に関する詳細については利用規約をご確認ください。

Please note: All products are 'FOR RESEARCH USE ONLY. NOT FOR USE IN DIAGNOSTIC OR THERAPEUTIC PROCEDURES'.

For licensing inquiries, please contact partnerships@abcam.com