JavaScript is disabled in your browser. Please enable JavaScript to view this website.
AB75810

Anti-GAP43 抗体 [EP890Y] - Neuronal Marker

Anti-GAP43 antibody [EP890Y] - Neuronal Marker

5

(8 Reviews)

|

(132 Publications)

Anti-GAP43 antibody [EP890Y] - Neuronal Marker (ab75810) is a rabbit monoclonal antibody detecting GAP43 in Western Blot, Flow Cytometry (Intra), IP, IHC-P, ICC/IF. Suitable for Human, Mouse, Rat.

- Biophysical QC for unrivalled batch-batch consistency
- Over 80 publications
- Trusted since 2009

別名を表示する

Neuromodulin, Axonal membrane protein GAP-43, Growth-associated protein 43, Neural phosphoprotein B-50, pp46, GAP43

13 Images
Flow Cytometry (Intracellular) - Anti-GAP43 antibody [EP890Y] - Neuronal Marker (AB75810)
  • Flow Cyt (Intra)

Unknown

Flow Cytometry (Intracellular) - Anti-GAP43 antibody [EP890Y] - Neuronal Marker (AB75810)

Intracellular Flow Cytometry analysis of SH-SY5Y (Human neuroblastoma epithelial cell) cells labeling GAP43 with Purified ab75810 at 1/20 dilution (10 μg/ml) (Red). Cells were fixed with 80% Methanol and permeabilised with 0.1% Tween-20. A Goat anti rabbit IgG (Alexa Fluor® 488, ab150077) secondary antibody was used at 1/2000. Isotype control - Rabbit monoclonal IgG (Black). Unlabeled control - Cell without incubation with primary antibody and secondary antibody (Blue).

Flow Cytometry (Intracellular) - Anti-GAP43 antibody [EP890Y] - Neuronal Marker (AB75810)
  • Flow Cyt (Intra)

Unknown

Flow Cytometry (Intracellular) - Anti-GAP43 antibody [EP890Y] - Neuronal Marker (AB75810)

Overlay histogram showing SH-SY5Y cells stained with ab75810 (unpurified) (red line). The cells were fixed with 4% paraformaldehyde (10 min) and then permeabilized with 0.1% PBS-Tween for 20 min. The cells were then incubated in 1x PBS / 10% normal goat serum / 0.3M glycine to block non-specific protein-protein interactions followed by the antibody (ab75810, 1/100 dilution) for 30 min at 22°C. The secondary antibody used was DyLight® 488 goat anti-rabbit IgG (H+L) (ab96899) at 1/500 dilution for 30 min at 22°C. Isotype control antibody (black line) was rabbit IgG (monoclonal) (1μg/1x106 cells) used under the same conditions. Acquisition of >5,000 events was performed. This antibody gave a positive signal in SH-SY5Y cells fixed with 80% methanol (5 min)/permeabilized with 0.1% PBS-Tween for 20 min used under the same conditions.

Immunohistochemistry (Formalin/PFA-fixed paraffin-embedded sections) - Anti-GAP43 antibody [EP890Y] - Neuronal Marker (AB75810)
  • IHC-P

Lab

Immunohistochemistry (Formalin/PFA-fixed paraffin-embedded sections) - Anti-GAP43 antibody [EP890Y] - Neuronal Marker (AB75810)

Immunohistochemical analysis of paraffin-embedded human Alzheimer's brain tissue* labelling GAP43 with ab75810 at 1ug/ml followed by a ready to use LeicaDS9800 (Bond Polymer Refine Detection).

Positive staining in human Alzheimer's brain.

The section was incubated with ab75810 for 30 mins at room temperature. The immunostaining was performed on a Leica Biosystems BOND® RX instrument. Counterstained with Hematoxylin.

Secondary antibody only control : Secondary antibody is a ready to use LeicaDS9800 (Bond Polymer Refine Detection).

Heat mediated antigen retrieval with sodium citrate buffer (pH 6.0 epitope retrieval solution1) for 20 mins.

*Tissue obtained from the Human Research Tissue Bank, supported by the NIHR Cambridge Biomedical Research Centre.

Immunohistochemistry (Formalin/PFA-fixed paraffin-embedded sections) - Anti-GAP43 antibody [EP890Y] - Neuronal Marker (AB75810)
  • IHC-P

Unknown

Immunohistochemistry (Formalin/PFA-fixed paraffin-embedded sections) - Anti-GAP43 antibody [EP890Y] - Neuronal Marker (AB75810)

Immunohistochemistry (Formalin/PFA-fixed paraffin-embedded sections) analysis of human cerebrum tissue sections labeling GAP43 with Purified ab75810 at 1 : 3000 dilution (0.07 µg/ml). Heat mediated antigen retrieval using Bond™ Epitope Retrieval Solution 2 (pH 9.0). Rabbit specific IHC polymer detection kit HRP/DAB (ab209101) was used for detection. Negative control : PBS instead of the primary antibody. Hematoxylin was used as a counterstain.

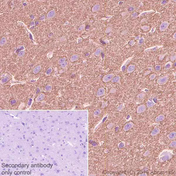
Immunohistochemistry (Formalin/PFA-fixed paraffin-embedded sections) - Anti-GAP43 antibody [EP890Y] - Neuronal Marker (AB75810)
  • IHC-P

Lab

Immunohistochemistry (Formalin/PFA-fixed paraffin-embedded sections) - Anti-GAP43 antibody [EP890Y] - Neuronal Marker (AB75810)

Immunohistochemical analysis of formalin fixed paraffin embedded human cerebrum labelling GAP43 with ab75810 at a concentration of 0.1µg/ml. The immunostaining was performed on a Ventana DISCOVERY ULTRA (Roche Tissue Diagnostics) instrument with a OptiView DAB IHC Detection Kit. Heat mediated antigen retrieval was performed with DISCOVERY cell conditioning solution (CC1) 100°C, pH8.5 for 32 mins. ab75810 anti-GAP43 antibody [EP890Y] was incubated for 16 mins at 37°C. Sections were counterstained with Hematoxylin II. Image inset shows absence of staining in secondary antibody only control.

Customers are encouraged to optimise antigen retrieval conditions, antibody concentration, incubation times and temperature for best results in their own IHC assay workflow (automated and manual).

Immunocytochemistry/ Immunofluorescence - Anti-GAP43 antibody [EP890Y] - Neuronal Marker (AB75810)
  • ICC/IF

Unknown

Immunocytochemistry/ Immunofluorescence - Anti-GAP43 antibody [EP890Y] - Neuronal Marker (AB75810)

ICC/IF image of ab75810 (unpurified) stained SKNSH cells. The cells were 100% methanol fixed (5 min) and then incubated in 1%BSA / 10% normal goat serum / 0.3M glycine in 0.1% PBS-Tween for 1h to permeabilise the cells and block non-specific protein-protein interactions. The cells were then incubated with the antibody (ab75810, 1/50 dilution) overnight at +4°C. The secondary antibody (green) was ab96899, DyLight® 488 goat anti-rabbit IgG(H+L) used at a 1/250 dilution for 1h. Alexa Fluor® 594 WGA was used to label plasma membranes (red) at a 1/200 dilution for 1h. DAPI was used to stain the cell nuclei (blue) at a concentration of 1.43μM.

Immunoprecipitation - Anti-GAP43 antibody [EP890Y] - Neuronal Marker (AB75810)
  • IP

Lab

Immunoprecipitation - Anti-GAP43 antibody [EP890Y] - Neuronal Marker (AB75810)

ab75810 (Purified) at 1 : 20 dilution (1 µg) immunoprecipitating GAP43 in SH-SY5Y whole cell lysate.
Lane 1 (input) : SH-SY5Y (Human neuroblastoma epithelial cell) whole cell lysate 10 µg
Lane 2 (+) : ab75810 & SH-SY5Y whole cell lysate
Lane 3 (-) : Rabbit monoclonal IgG (ab172730) instead of ab75810 in SH-SY5Y whole cell lysate
For western blotting, VeriBlot for IP Detection Reagent (HRP) (ab131366) was used at 1 : 1000 dilution.
Blocking and diluting buffer : 5% NFDM/TBST.
This data was developed using the same antibody clone in a different buffer formulation containing PBS, BSA, glycerol, and sodium azide (ab75810)

All lanes:

Immunoprecipitation - Anti-GAP43 antibody [EP890Y] - Neuronal Marker (ab75810)

Predicted band size: 24 kDa,45 kDa

false

Immunohistochemistry (Formalin/PFA-fixed paraffin-embedded sections) - Anti-GAP43 antibody [EP890Y] - Neuronal Marker (AB75810)
  • IHC-P

AbReview18768****

Immunohistochemistry (Formalin/PFA-fixed paraffin-embedded sections) - Anti-GAP43 antibody [EP890Y] - Neuronal Marker (AB75810)

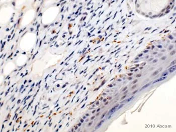
ab75810 (unpurified) staining GAP43 in Mouse ear tissue sections by Immunohistochemistry (Formalin/ PFA-fixed paraffin-embedded tissue sections). The sections were formaldehyde fixed, subjected to heat mediated antigen retrieval at pH 6 and blocked for 10 minutes at 25C. The primary antibody was diluted 1/500 and incubated with the sample for 1 hour at 25°C. An HRP polymer anti-rabbit IgG system was used undiluted, as the secondary antibody.

This image is a courtesy of anonymous Abreview.

Immunohistochemistry (Formalin/PFA-fixed paraffin-embedded sections) - Anti-GAP43 antibody [EP890Y] - Neuronal Marker (AB75810)
  • IHC-P

Unknown

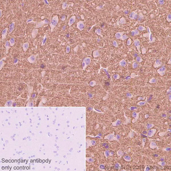
Immunohistochemistry (Formalin/PFA-fixed paraffin-embedded sections) - Anti-GAP43 antibody [EP890Y] - Neuronal Marker (AB75810)

Immunohistochemistry (Formalin/PFA-fixed paraffin-embedded sections) analysis of mouse cerebrum tissue sections labeling GAP43 with Purified ab75810 at 1 : 3000 dilution (0.07 µg/ml). Heat mediated antigen retrieval using Bond™ Epitope Retrieval Solution 2 (pH 9.0). Rabbit specific IHC polymer detection kit HRP/DAB (ab209101) was used for detection. Negative control : PBS instead of the primary antibody. Hematoxylin was used as a counterstain.

Immunohistochemistry (Formalin/PFA-fixed paraffin-embedded sections) - Anti-GAP43 antibody [EP890Y] - Neuronal Marker (AB75810)
  • IHC-P

Lab

Immunohistochemistry (Formalin/PFA-fixed paraffin-embedded sections) - Anti-GAP43 antibody [EP890Y] - Neuronal Marker (AB75810)

Immunohistochemistry (Formalin/PFA-fixed paraffin-embedded sections) analysis of rat cerebrum tissue sections labeling GAP43 with Purified ab75810 at 1 : 3000 dilution (0.07 μg/ml). Heat mediated antigen retrieval using Bond© Epitope Retrieval Solution 2 (pH 9.0). Rabbit specific IHC polymer detection kit HRP/DAB (ab209101) was used for detection. Negative control : PBS instead of the primary antibody. Hematoxylin was used as a counterstain.

Immunocytochemistry/ Immunofluorescence - Anti-GAP43 antibody [EP890Y] - Neuronal Marker (AB75810)
  • ICC/IF

Unknown

Immunocytochemistry/ Immunofluorescence - Anti-GAP43 antibody [EP890Y] - Neuronal Marker (AB75810)

Immunocytochemistry/ Immunofluorescence analysis of Neuro-2a (Mouse neuroblastoma neuroblast) cells labeling GAP43 with Purified ab75810 at 1 : 160 dilution (1.4 µg/ml). Cells were fixed in 100% Methanol and permeabilized with None. Cells were counterstained with ab195889 Anti-alpha Tubulin antibody [DM1A] - Microtubule Marker (Alexa Fluor® 594) 1 : 200 (2.5 µg/ml). Goat anti rabbit IgG (Alexa Fluor® 488, ab150077) was used as the secondary antibody at 1 : 1000 (2 µg/ml) dilution. DAPI (blue) was used as nuclear counterstain. PBS instead of the primary antibody was used as the secondary antibody only control.

Western blot - Anti-GAP43 antibody [EP890Y] - Neuronal Marker (AB75810)
  • WB

Lab

Western blot - Anti-GAP43 antibody [EP890Y] - Neuronal Marker (AB75810)

All lanes:

Western blot - Anti-GAP43 antibody [EP890Y] - Neuronal Marker (ab75810) at 1/50000 dilution

All lanes:

SH-SY5Y (Human neuroblastoma epithelial cell) whole cell lysates at 15 µg

Secondary

All lanes:

Western blot - Goat Anti-Rabbit IgG H&L (HRP) (<a href='/products/secondary-antibodies/goat-rabbit-igg-h-l-hrp-ab97051'>ab97051</a>) at 1/20000 dilution

Predicted band size: 24 kDa

Observed band size: 48 kDa

false

Western blot - Anti-GAP43 antibody [EP890Y] - Neuronal Marker (AB75810)
  • WB

Lab

Western blot - Anti-GAP43 antibody [EP890Y] - Neuronal Marker (AB75810)

This antibody fails to detect GAP43 in PC-12 cells which is positve as described in PMID : 21695168

All lanes:

Western blot - Anti-GAP43 antibody [EP890Y] - Neuronal Marker (ab75810)

Lane 1:

Human brain lysates at 20 µg

Lane 2:

Mouse brain lysates at 20 µg

Lane 4:

PC-12 (Rat adrenal gland pheochromocytoma) whole cell lysates at 20 µg

Secondary

All lanes:

Western blot - Goat Anti-Rabbit IgG H&L (HRP) (<a href='/products/secondary-antibodies/goat-rabbit-igg-h-l-hrp-ab97051'>ab97051</a>) at 1/20000 dilution

Predicted band size: 24 kDa

Observed band size: 48 kDa

false

関連する標識済み抗体及び組成の異なる製品 (5)

  • Carrier free

    Anti-GAP43 antibody [EP890Y] - BSA and Azide free

  • 578 PE

    PE Anti-GAP43 antibody [EP890Y] - Neuronal Marker

  • 665 Alexa Fluor® 647

    Alexa Fluor® 647 Anti-GAP43 antibody [EP890Y] - Neuronal Marker

  • 519 Alexa Fluor® 488

    Alexa Fluor® 488 Anti-GAP43 antibody [EP890Y] - Neuronal Marker

  • HRP

    HRP Anti-GAP43 antibody [EP890Y] - Neuronal Marker

Key facts

宿主種

Rabbit

クローン性

Monoclonal

クローン番号

EP890Y

アイソタイプ

IgG

キャリアフリー

No

交差種

Mouse, Rat, Human

アプリケーション

IHC-P, ICC/IF, WB, IP, Flow Cyt (Intra)

applications

免疫原

The exact immunogen used to generate this antibody is proprietary information.

Reactivity data

{ "title": "Reactivity Data", "filters": { "stats": ["", "Species", "Dilution Info", "Notes"], "tabs": { "all-applications": {"fullname" : "All Applications", "shortname": "All Applications"}, "IHCP" : {"fullname" : "Immunohistochemistry (Formalin/PFA-fixed paraffin-embedded sections)", "shortname":"IHC-P"}, "IP" : {"fullname" : "Immunoprecipitation", "shortname":"IP"}, "WB" : {"fullname" : "Western blot", "shortname":"WB"}, "ICCIF" : {"fullname" : "Immunocytochemistry/ Immunofluorescence", "shortname":"ICC/IF"}, "FlowCytIntra" : {"fullname" : "Flow Cytometry (Intracellular)", "shortname":"Flow Cyt (Intra)"} }, "product-promise": { "all": "all", "testedAndGuaranteed": "tested", "guaranteed": "expected", "predicted": "predicted", "notRecommended": "not-recommended" } }, "values": { "Human": { "IHCP-species-checked": "testedAndGuaranteed", "IHCP-species-dilution-info": "1/3000", "IHCP-species-notes": "<p><strong>For unpurified use at 1/500.</strong></p> Perform heat-mediated antigen retrieval with citrate buffer pH 6 before commencing with IHC staining protocol.", "IP-species-checked": "testedAndGuaranteed", "IP-species-dilution-info": "1/20 - 1/50", "IP-species-notes": "<p></p>", "WB-species-checked": "testedAndGuaranteed", "WB-species-dilution-info": "1/1000", "WB-species-notes": "<p><strong>For unpurified use at 1/100000 - 1/200000.</strong></p><p>The expression of GAP43 is undetectable in undifferentiated PC-12 cells in Western Blot (Ref: PMID: 2139463, PMID: 15969743)</p>", "ICCIF-species-checked": "testedAndGuaranteed", "ICCIF-species-dilution-info": "1/160", "ICCIF-species-notes": "<p><strong>For unpurified use at 1/500.</strong></p>", "FlowCytIntra-species-checked": "testedAndGuaranteed", "FlowCytIntra-species-dilution-info": "1/20", "FlowCytIntra-species-notes": "<p><a href='/products/primary-antibodies/rabbit-igg-monoclonal-epr25a-isotype-control-ab172730'>ab172730</a> - Rabbit monoclonal IgG, is suitable for use as an isotype control with this antibody.</p>" }, "Mouse": { "IHCP-species-checked": "testedAndGuaranteed", "IHCP-species-dilution-info": "1/3000", "IHCP-species-notes": "<p><strong>For unpurified use at 1/500.</strong></p> Perform heat-mediated antigen retrieval with citrate buffer pH 6 before commencing with IHC staining protocol.", "IP-species-checked": "guaranteed", "IP-species-dilution-info": "", "IP-species-notes": "", "WB-species-checked": "guaranteed", "WB-species-dilution-info": "", "WB-species-notes": "", "ICCIF-species-checked": "testedAndGuaranteed", "ICCIF-species-dilution-info": "1/160", "ICCIF-species-notes": "<p><strong>For unpurified use at 1/500.</strong></p>", "FlowCytIntra-species-checked": "guaranteed", "FlowCytIntra-species-dilution-info": "", "FlowCytIntra-species-notes": "" }, "Rat": { "IHCP-species-checked": "testedAndGuaranteed", "IHCP-species-dilution-info": "1/3000", "IHCP-species-notes": "<p><strong>For unpurified use at 1/500.</strong></p> Perform heat-mediated antigen retrieval with citrate buffer pH 6 before commencing with IHC staining protocol.", "IP-species-checked": "guaranteed", "IP-species-dilution-info": "", "IP-species-notes": "", "WB-species-checked": "testedAndGuaranteed", "WB-species-dilution-info": "1/1000", "WB-species-notes": "<p><strong>For unpurified use at 1/100000 - 1/200000.</strong></p><p>The expression of GAP43 is undetectable in undifferentiated PC-12 cells in Western Blot (Ref: PMID: 2139463, PMID: 15969743)</p>", "ICCIF-species-checked": "guaranteed", "ICCIF-species-dilution-info": "", "ICCIF-species-notes": "", "FlowCytIntra-species-checked": "guaranteed", "FlowCytIntra-species-dilution-info": "", "FlowCytIntra-species-notes": "" } } }

製品の詳細

What is this antibody validated in?
Anti-GAP43 antibody [EP890Y] - Neuronal Marker (ab75810) is a rabbit recombinant monoclonal antibody and is validated for use in Western Blot (WB), Flow Cytometry (Intra), Flow Cytometry (Flow Cyt), Immunoprecipitation (IP), Immunohistochemistry (IHC-P), Immunocytochemistry/immunofluorescence (ICC/IF) in Human, Mouse, Rat samples.

What is the molecular weight of GAP43?
Anti-GAP43 [EP890Y] - Neuronal Marker (ab75810) specifically detects a band for GAP43 (UniProt: P17677) at a molecular weight of 25kDa.

Trusted by the scientific community
Anti-GAP43 [EP890Y] - Neuronal Marker (ab75810) was first used in a scientific publication in 2009 and has been cited over 80 times in peer-reviewed journals.

Reviewed by scientists
Anti-GAP43 [EP890Y] - Neuronal Marker (ab75810) has over 5 independent reviews from customers.

Trial sizes available!
Test your antibody or perform pre-screening before committing to a larger quantity. Sold in 10µl. Discover our selection of trial-size antibodies.

Other related products
We have a range of other formats of antibody clone [EP890Y] also available for your convenience: ab75810, Alexa Fluor® 488 - ab196324, HRP - ab196325, Alexa Fluor® 647 - ab196540, PE - ab208745, Carrier free - ab219582

Patented technology
Our RabMAb® technology is a patented hybridoma-based technology for making rabbit monoclonal antibodies. For details on our patents, please refer to RabMAb® patents.

What are the advantages of a recombinant monoclonal antibody?
This product is a recombinant monoclonal antibody, which offers several advantages including:

  • - High batch-to-batch consistency and reproducibility
  • - Improved sensitivity and specificity
  • - Long-term security of supply
  • - Animal-free batch production

For more information, read more on recombinant antibodies.

出荷温度及び保存条件

製品の状態
Liquid
精製方法
Affinity purification Protein A
バッファー組成
pH: 7.2 - 7.4 Preservative: 0.01% Sodium azide Constituents: PBS, 40% Glycerol (glycerin, glycerine), 0.05% BSA
出荷温度
Blue Ice
短期保存期間
1-2 weeks
短期保存温度
+4°C
長期保存温度
-20°C
分注に関する情報
Upon delivery aliquot
保管に関する情報
Avoid freeze / thaw cycle

補足情報

This supplementary information is collated from multiple sources and compiled automatically.

GAP43 commonly called Growth Associated Protein 43 or neuronal marker is a protein with a molecular weight of approximately 25-50 kDa. Researchers identify it by various names including GAP-43 GAP43 anticuerpo or GAP43 neuronal marker. This protein exhibits a specific presence in the nervous system especially in axons of neurons. It has significant expression during neural development and regeneration indicating its role in growth and repair.
Biological function summary

GAP43 plays an important role in neurite outgrowth and synaptic plasticity. It functions as an important mediator of signal transduction in neurons. GAP43 does not act alone but integrates into a network of signaling pathways that guide axonal elongation and branching. It works closely with cytoskeletal elements influencing the structural dynamics needed for effective neuronal response and adaptation.

Pathways

GAP43 is vital in the regulation of the protein kinase C pathway and the cAMP pathway both essential for neuronal growth and differentiation. It closely interacts with proteins such as calmodulin which binds to GAP43 and impacts its function in those pathways. These interactions highlight its role in the modulation of neuronal growth and synaptic plasticity making it essential for neurons' response to environmental signals.

GAP43 associates with neurodegenerative diseases and cognitive disorders particularly Alzheimer's disease and schizophrenia. Changes in GAP43 expression levels correlate with the severity and progression of these conditions. Additionally GAP43 connects to other proteins implicated in such diseases like tau in Alzheimer's suggesting a multifaceted involvement in disease mechanisms. This makes it a target of interest for therapeutic research as modulating GAP43 activity might alter disease progression.

製品プロトコール

For this product, it's our understanding that no specific protocols are required. You can visit:

ターゲットの情報

This protein is associated with nerve growth. It is a major component of the motile 'growth cones' that form the tips of elongating axons. Plays a role in axonal and dendritic filopodia induction.
See full target information GAP43

文献 (132)

Recent publications for all applications. Explore the full list and refine your search

BMC complementary medicine and therapies 25:348 PubMed41034986

2025

Changji'an formula alleviates visceral hypersensitivity of a post-inflammatory IBS-D mouse model via NGF/TrkA signaling pathway.

Applications

Unspecified application

Species

Unspecified reactive species

Wei Ke,Siyu Huang,He Zhu,Qinglong Tan,Huaiguo Li,Dongwen Liu,Fanghao Zheng,Shuncong Zhang,Kaijun Lei,Hongmei Tang

Nature communications 16:7702 PubMed40830090

2025

Charting the spatial transcriptome of the human cerebral cortex at single-cell resolution.

Applications

Unspecified application

Species

Unspecified reactive species

Songren Wei,Meng Luo,Pingping Wang,Rui Chen,Xiyun Jin,Chang Xu,Chenyang Li,Xiaoyu Lin,Zhaochun Xu,Hongxin Liu,Rui Cheng,Wenyi Yang,Yideng Cai,Guangfu Xue,Peng Huang,Zhigang Liu,Haoxiu Sun,Jiangping Xu,Qinghua Jiang

BMC biotechnology 25:76 PubMed40702484

2025

The role of Genipin crosslinked extracellular matrix loaded bFGF in the repair of peripheral nerve injury.

Applications

Unspecified application

Species

Unspecified reactive species

Yijia Zhang,Gaobao Zhuo,Fangzheng Yu,Xiaodan Xu,Zejing Ruan,Xinyu Hu,Jian Wang,Junyi Zhu

Translational psychiatry 15:200 PubMed40514369

2025

Synergistic behavioral and neuroplastic effects of psilocybin-NMDAR modulator administration.

Applications

Unspecified application

Species

Unspecified reactive species

Tom Ben-Tal,Ilana Pogodin,Alexander Botvinnik,Tzuri Lifschytz,Uriel Heresco-Levy,Bernard Lerer

Frontiers in behavioral neuroscience 19:1551440 PubMed40463420

2025

Deletion of gene leads to autistic-like behavior in mice by inhibiting AMPK signal pathway.

Applications

Unspecified application

Species

Unspecified reactive species

Hui Cai,Chengping Zhang,Haonan Zhang,Yong Du,Kai Wang

Cell reports methods 5:101055 PubMed40441150

2025

Quiescent horizontal basal stem cells act as a niche for olfactory neurogenesis in a mouse 3D organoid model.

Applications

Unspecified application

Species

Unspecified reactive species

Juliana Gutschow Gameiro,Constantin A Hintschich,Agnès Dekeyser,Valérie Hox,James E Schwob,Eric H Holbrook,Marco Aurélio Fornazieri,Brian Lin

The European journal of neuroscience 61:e70146 PubMed40415344

2025

Intraperitoneal Single Injection of Dexamethasone Leads to Region-Specific Changes in the Profile of Neuron-Specific Proteins in the Rat Brain.

Applications

Unspecified application

Species

Unspecified reactive species

Tatiana Valentinovna Tiutiunnik,Valentina Mikhailovna Kudrinskaya,Daria Alexeevna Obukhova,Valeria Andreevna Vilnikova,Viktoria Olegovna Burdinskaya,Zamira Muruzheva,Marina Nikolaevna Karpenko

Hereditas 162:87 PubMed40413527

2025

BHLHE40-mediated RGS16 upregulation: a driver propelling gastric cancer progression via ferroptosis suppression.

Applications

Unspecified application

Species

Unspecified reactive species

Caiyun Guo,Hua Tang,Maifang Ren,Yongli Zhang

Molecular medicine (Cambridge, Mass.) 31:172 PubMed40329167

2025

Paclitaxel alleviates spinal cord injury via activation of the Wnt/β-catenin signaling pathway.

Applications

Unspecified application

Species

Unspecified reactive species

Zhifeng Chen,Da Wo,Celiang Wu,En Ma,Jinhui Peng,Weidong Zhu,Dan-Ni Ren

Molecular neurobiology 62:10006-10019 PubMed40180688

2025

α-Enolase and γ-Enolase Expression in Enriched S- and N-Type SH-SY5Y Cells: Regulatory Role of Cathepsin X.

Applications

Unspecified application

Species

Unspecified reactive species

Selena Horvat,Nace Zidar,Janko Kos,Anja Pišlar
View all publications

Abcam product promise

当社は、高品質な試薬を通じてお客様の研究を力強くサポートすることをお約束いたします。ご使用いただく各段階で、常にお客様をサポートできる体制を整えております。万が一、製品が期待通りに機能しない場合は、「Abcam Product Promise」による当社保証制度に基づき、安心してご利用いただけます。
保証に関する詳細については利用規約をご確認ください。

Please note: All products are 'FOR RESEARCH USE ONLY. NOT FOR USE IN DIAGNOSTIC OR THERAPEUTIC PROCEDURES'.

For licensing inquiries, please contact partnerships@abcam.com