JavaScript is disabled in your browser. Please enable JavaScript to view this website.
AB11174

Anti-gamma H2A.X (phospho S139) 抗体

Anti-gamma H2A.X (phospho S139) antibody

5

(28 Reviews)

|

(302 Publications)

Anti-gamma H2A.X (phospho S139) antibody (ab11174) is a rabbit polyclonal antibody detecting gamma H2A.X in Western Blot, IHC-P, ICC/IF. Suitable for Human, Mouse.

- Over 300 publications
- Trusted since 2004

別名を表示する

H2AFX, H2AX, Histone H2AX, H2a/x, Histone H2A.X, H2AS139p, H2AXS139p, H2A.XS139p

8 Images
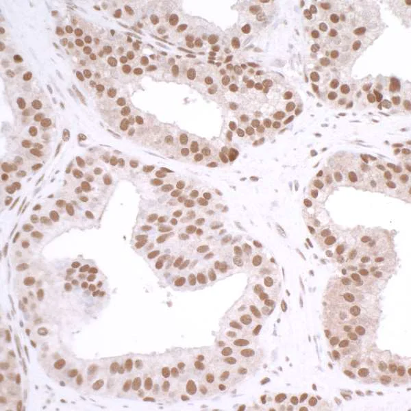
Immunohistochemistry (Formalin/PFA-fixed paraffin-embedded sections) - Anti-gamma H2A.X (phospho S139) antibody (AB11174)
  • IHC-P

Supplier Data

Immunohistochemistry (Formalin/PFA-fixed paraffin-embedded sections) - Anti-gamma H2A.X (phospho S139) antibody (AB11174)

Immunohistochemistry (Formalin/PFA-fixed paraffin-embedded sections) analysis of human prostate carcinoma tissue labeling gamma H2A.X (phospho S139) with ab11174 at 1/5000 dilution. Heat mediated antigen retrieval was performed using citrate buffer pH 6.

Western blot - Anti-gamma H2A.X (phospho S139) antibody (AB11174)
  • WB

Supplier Data

Western blot - Anti-gamma H2A.X (phospho S139) antibody (AB11174)

Lower Panel shows western blot for total H2AX using rabbit anti-H2AX recombinant monoclonal antibody.

All lanes:

Western blot - Anti-gamma H2A.X (phospho S139) antibody (ab11174) at 0.04 µg/mL

Lane 1:

Jurkat (human T cell leukemia cell line from peripheral blood) cells treated with 100 µM etoposide, whole cell lysate at 50 µg

Lane 2:

Jurkat cells mock treated, whole cell lysate at 50 µg

Secondary

All lanes:

Goat anti-rabbit IgG (HRP)

Predicted band size: 15 kDa

false

Exposure time: 10s

Western blot - Anti-gamma H2A.X (phospho S139) antibody (AB11174)
  • WB

Supplier Data

Western blot - Anti-gamma H2A.X (phospho S139) antibody (AB11174)

Lower Panel : Rabbit anti-GAPDH antibody.

All lanes:

Western blot - Anti-gamma H2A.X (phospho S139) antibody (ab11174) at 0.04 µg/mL

Lane 1:

NIH/3T3 (mouse embryo fibroblast cell line) cells treated with 100 µM etoposide, whole cell lysate at 50 µg

Lane 2:

NIH/3T3 cells mock treated, whole cell lysate at 50 µg

Secondary

All lanes:

Goat anti-rabbit IgG (HRP)

Predicted band size: 15 kDa

false

Exposure time: 3s

Western blot - Anti-gamma H2A.X (phospho S139) antibody (AB11174)
  • WB

AbReview41562****

Western blot - Anti-gamma H2A.X (phospho S139) antibody (AB11174)

All lanes:

Western blot - Anti-gamma H2A.X (phospho S139) antibody (ab11174) at 1/5000 dilution

Lane 1:

HeLa nuclear lysate - untreated at 40 µg

Lane 2:

HeLa nuclear lysate - IR treated at 40 µg

Secondary

All lanes:

HRP-conjugated donkey anti-rabbit IgG polyclonal

Predicted band size: 15 kDa

Observed band size: 17 kDa

true

Exposure time: 30s

This image is courtesy of an anonymous Abreview

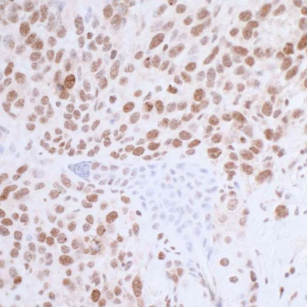
Immunohistochemistry (Formalin/PFA-fixed paraffin-embedded sections) - Anti-gamma H2A.X (phospho S139) antibody (AB11174)
  • IHC-P

Supplier Data

Immunohistochemistry (Formalin/PFA-fixed paraffin-embedded sections) - Anti-gamma H2A.X (phospho S139) antibody (AB11174)

Immunohistochemistry (Formalin/PFA-fixed paraffin-embedded sections) analysis of mouse CT26 colon carcinoma tissue labeling gamma H2A.X (phospho S139) with ab11174 at 1/5000 dilution. Heat mediated antigen retrieval was performed using citrate buffer pH 6.

Immunocytochemistry/ Immunofluorescence - Anti-gamma H2A.X (phospho S139) antibody (AB11174)
  • ICC/IF

Lab

Immunocytochemistry/ Immunofluorescence - Anti-gamma H2A.X (phospho S139) antibody (AB11174)

ab11174 staining gamma H2A.X (phospho S139) in HeLa UV cells. The cells were fixed with 100% methanol (5 min), permeabilized with 0.1% PBS-Triton X-100 for 5 minutes and then blocked with 1% BSA/10% normal goat serum/0.3M glycine in 0.1%PBS-Tween for 1h. The cells were then incubated overnight at 4°C with ab11174 at 0.1µg/ml and ab7291, Mouse monoclonal [DM1A] to alpha Tubulin - Loading Control. Cells were then incubated with ab150081, Goat polyclonal Secondary Antibody to Rabbit IgG - H&L (Alexa Fluor® 488), pre-adsorbed at 1/1000 dilution (shown in green) and ab150120, Goat polyclonal Secondary Antibody to Mouse IgG - H&L (Alexa Fluor® 594), pre-adsorbed at 1/1000 dilution (shown in pseudocolour red). Nuclear DNA was labelled with DAPI (shown in blue).

Image was acquired with a confocal microscope (Leica-Microsystems TCS SP8) and a single confocal section is shown.

Immunocytochemistry/ Immunofluorescence - Anti-gamma H2A.X (phospho S139) antibody (AB11174)
  • ICC/IF

AbReview7135****

Immunocytochemistry/ Immunofluorescence - Anti-gamma H2A.X (phospho S139) antibody (AB11174)

ab11174 at 1/1000 staining human HeLa cells by ICC/IF. These cells express a gene that causes a DNA damage response, leading to H2AX phosphorylation. The cells were paraformaldehyde fixed and blocked with BSA prior to incubation with the antibody for 45 minutes. An Alexa-Fluor ® 488 conjugated goat anti-rabbit was used as the secondary.

This image is courtesy of an anonymous Abreview

Immunocytochemistry/ Immunofluorescence - Anti-gamma H2A.X (phospho S139) antibody (AB11174)
  • ICC/IF

Unknown

Immunocytochemistry/ Immunofluorescence - Anti-gamma H2A.X (phospho S139) antibody (AB11174)

Immunocytochemistry/Immunofluorescence analysis of neocarzinostatin treated asynchronous HeLa cells (left) and untreated asynchronous HeLa cells (right) labelling H2A.X (phospho S139 with ab11174 at 1/5000 (0.2µg/ml). A DyLight® 594-conjugated anti-rabbit IgG (1/100) was used as the secondary antibody.

Key facts

宿主種

Rabbit

クローン性

Polyclonal

アイソタイプ

IgG

キャリアフリー

No

交差種

Mouse, Human

アプリケーション

IHC-P, ICC/IF, WB

applications

免疫原

Synthetic Peptide within Human H2AX phospho S139. The exact immunogen used to generate this antibody is proprietary information.

P16104

特異性

Using IF, this antibody was shown to bind to a non-nuclear location in Hela cells.

Reactivity data

{ "title": "Reactivity Data", "filters": { "stats": ["", "Species", "Dilution Info", "Notes"], "tabs": { "all-applications": {"fullname" : "All Applications", "shortname": "All Applications"}, "WB" : {"fullname" : "Western blot", "shortname":"WB"}, "IHCP" : {"fullname" : "Immunohistochemistry (Formalin/PFA-fixed paraffin-embedded sections)", "shortname":"IHC-P"}, "ICCIF" : {"fullname" : "Immunocytochemistry/ Immunofluorescence", "shortname":"ICC/IF"} }, "product-promise": { "all": "all", "testedAndGuaranteed": "tested", "guaranteed": "expected", "predicted": "predicted", "notRecommended": "not-recommended" } }, "values": { "Human": { "WB-species-checked": "testedAndGuaranteed", "WB-species-dilution-info": "1/2000 - 1/10000", "WB-species-notes": "<p></p>", "IHCP-species-checked": "testedAndGuaranteed", "IHCP-species-dilution-info": "1/1000 - 1/5000", "IHCP-species-notes": "<p></p>", "ICCIF-species-checked": "testedAndGuaranteed", "ICCIF-species-dilution-info": "1/500 - 1/5000", "ICCIF-species-notes": "<p></p>" }, "Mouse": { "WB-species-checked": "guaranteed", "WB-species-dilution-info": "", "WB-species-notes": "", "IHCP-species-checked": "testedAndGuaranteed", "IHCP-species-dilution-info": "1/1000 - 1/5000", "IHCP-species-notes": "<p></p>", "ICCIF-species-checked": "testedAndGuaranteed", "ICCIF-species-dilution-info": "1/500 - 1/5000", "ICCIF-species-notes": "<p></p>" }, "Bat": { "WB-species-checked": "predicted", "WB-species-dilution-info": "", "WB-species-notes": "", "IHCP-species-checked": "predicted", "IHCP-species-dilution-info": "", "IHCP-species-notes": "", "ICCIF-species-checked": "predicted", "ICCIF-species-dilution-info": "", "ICCIF-species-notes": "" }, "Chinese hamster": { "WB-species-checked": "predicted", "WB-species-dilution-info": "", "WB-species-notes": "", "IHCP-species-checked": "predicted", "IHCP-species-dilution-info": "", "IHCP-species-notes": "", "ICCIF-species-checked": "predicted", "ICCIF-species-dilution-info": "", "ICCIF-species-notes": "" }, "Cow": { "WB-species-checked": "predicted", "WB-species-dilution-info": "", "WB-species-notes": "", "IHCP-species-checked": "predicted", "IHCP-species-dilution-info": "", "IHCP-species-notes": "", "ICCIF-species-checked": "predicted", "ICCIF-species-dilution-info": "", "ICCIF-species-notes": "" }, "Dog": { "WB-species-checked": "predicted", "WB-species-dilution-info": "", "WB-species-notes": "", "IHCP-species-checked": "predicted", "IHCP-species-dilution-info": "", "IHCP-species-notes": "", "ICCIF-species-checked": "predicted", "ICCIF-species-dilution-info": "", "ICCIF-species-notes": "" }, "Gorilla": { "WB-species-checked": "predicted", "WB-species-dilution-info": "", "WB-species-notes": "", "IHCP-species-checked": "predicted", "IHCP-species-dilution-info": "", "IHCP-species-notes": "", "ICCIF-species-checked": "predicted", "ICCIF-species-dilution-info": "", "ICCIF-species-notes": "" }, "Guinea pig": { "WB-species-checked": "predicted", "WB-species-dilution-info": "", "WB-species-notes": "", "IHCP-species-checked": "predicted", "IHCP-species-dilution-info": "", "IHCP-species-notes": "", "ICCIF-species-checked": "predicted", "ICCIF-species-dilution-info": "", "ICCIF-species-notes": "" }, "Pig": { "WB-species-checked": "predicted", "WB-species-dilution-info": "", "WB-species-notes": "", "IHCP-species-checked": "predicted", "IHCP-species-dilution-info": "", "IHCP-species-notes": "", "ICCIF-species-checked": "predicted", "ICCIF-species-dilution-info": "", "ICCIF-species-notes": "" }, "Rabbit": { "WB-species-checked": "predicted", "WB-species-dilution-info": "", "WB-species-notes": "", "IHCP-species-checked": "predicted", "IHCP-species-dilution-info": "", "IHCP-species-notes": "", "ICCIF-species-checked": "predicted", "ICCIF-species-dilution-info": "", "ICCIF-species-notes": "" }, "Rhesus monkey": { "WB-species-checked": "predicted", "WB-species-dilution-info": "", "WB-species-notes": "", "IHCP-species-checked": "predicted", "IHCP-species-dilution-info": "", "IHCP-species-notes": "", "ICCIF-species-checked": "predicted", "ICCIF-species-dilution-info": "", "ICCIF-species-notes": "" } } }

下記製品もご検討ください

AB81299

Anti-gamma H2A.X (phospho S139) antibody [EP854(2)Y]

4
17 Reviews
製品ページを見る
こちらの製品も推奨する理由

私たちは、より高品質な製品をお届けするために、製品構成を常に改善しています。今回ご紹介する代替製品は、性能の向上、使いやすさや利便性の向上、またはより早くお届けできる点などを踏まえて選定しています。

製品の詳細

Anti-gamma H2A.X (phospho S139) antibody (ab11174) is a rabbit polyclonal antibody and is validated for use in ICC/IF, IHC-P, WB in human, mouse, rat samples.

Anti-gamma H2A.X (phospho S139) antibody (ab11174) has been cited over 303 times in peer reviewed journals and is trusted by the scientific community.

Abcam's high quality validation processes ensure Anti-gamma H2A.X (phospho S139) antibody (ab11174) has high sensitivity and specificity.

Anti-gamma H2A.X (phospho S139) antibody (ab11174) has 26 independent reviews from customers.

Anti-gamma H2A.X (phospho S139) antibody (ab11174) specifically detects gamma H2A.X Phospho-S139 (UniProt ID: P16104; Molecular weight: 15kDa) and is sold in 50 µg selling sizes.

出荷温度及び保存条件

製品の状態
Liquid
精製方法
Affinity purification Immunogen
精製に関する特記事項
Antibodies were affinity purified using the peptide immobilized on solid support.
バッファー組成
pH: 7 - 8 Preservative: 0.1% Sodium azide Constituents: 1.815% Tris, 1.764% Sodium citrate, 0.021% PBS
出荷温度
Blue Ice
短期保存温度
+4°C
長期保存温度
-20°C
分注に関する情報
Upon delivery aliquot
保管に関する情報
Avoid freeze / thaw cycle

補足情報

This supplementary information is collated from multiple sources and compiled automatically.

Gamma H2A.X also known as phospho H2A.X or γH2A.X is a phosphorylated form of the histone variant H2A.X. It has a molecular weight of about 14 kilodaltons and occurs primarily in they nucleus. When DNA double-strand breaks (DSBs) occur serine 139 in H2A.X undergoes rapid phosphorylation resulting in gamma H2A.X. This modification happens swiftly at the site of damage and gamma H2A.X spreads over a large chromatin area facilitating the recruitment of DNA repair proteins. Gamma H2A.X staining typically evaluated using gamma H2A.X immunofluorescence techniques aids in identifying the presence and extent of DNA damage.
Biological function summary

Gamma H2A.X plays a role in DNA damage response and repair. It does not operate alone; it acts as part of a complex with other repair proteins. The formation of gamma H2A.X foci at DNA damage sites creates a signal attracting repair factors that help maintain genome stability. Its interaction with MDC1 and ATM proteins exemplifies its significant role in orchestrating an effective response to DNA damage. Beyond DNA repair gamma H2A.X influences cell cycle checkpoints permitting cells to pause and repair before proceeding with division.

Pathways

Gamma H2A.X plays a pivotal role in the DNA damage response (DDR) pathway. This pathway is essential for detecting and repairing DNA lesions to uphold genomic integrity. Within the DDR pathway gamma H2A.X is closely associated with proteins such as NBS1 and BRCA1 which assist in repairing double-strand breaks. In addition gamma H2A.X is integral to the ATM-ATR signaling pathway where its activation promotes cell survival following genotoxic stress by signaling for damage repair or triggering apoptosis.

Gamma H2A.X has connections to cancer and neurodegeneration. Aberrant DNA repair pathways often indicated by persistent gamma H2A.X signals correlate with tumor formation and progression. For instance a failure to repair DNA damage effectively can lead to mutations that drive cancer development. Gamma H2A.X also links to neurodegenerative diseases where dysregulated DNA repair contributes to neuronal cell death. Proteins like p53 which regulate cell cycle and apoptosis further connect to gamma H2A.X bridging its role in disease pathogenesis.

製品プロトコール

For this product, it's our understanding that no specific protocols are required. You can visit:

ターゲットの情報

The protein expressed by the H2AX gene is a variant histone H2A that replaces conventional H2A in certain nucleosomes, which are responsible for wrapping and compacting DNA into chromatin. This compaction limits DNA accessibility to cellular machineries that require DNA as a template, placing histones at the center of transcription regulation, DNA repair, DNA replication, and chromosomal stability. DNA accessibility is controlled through a complex array of post-translational histone modifications, known as the histone code, and nucleosome remodeling. The H2AX protein is essential for the checkpoint-mediated arrest of cell cycle progression in response to low doses of ionizing radiation and for the efficient repair of DNA double strand breaks (DSBs), particularly when it undergoes C-terminal phosphorylation. This supplementary information is collated from multiple sources and compiled automatically.
See full target information H2AX phospho S139

文献 (302)

Recent publications for all applications. Explore the full list and refine your search

Oncology reports 51: PubMed38099414

2023

Inhibitor of Wnt receptor 1 suppresses the effects of Wnt1, Wnt3a and β‑catenin on the proliferation and migration of C6 GSCs induced by low‑dose radiation.

Applications

Unspecified application

Species

Unspecified reactive species

Yu Yan,Ying-Ying Cheng,Yan-Ru Li,Xu-Wen Jiao,Yin-Ming Liu,Hai-Yan Cai,Yin-Xiu Ding

Heliyon 9:e22970 PubMed38144278

2023

Parishin treatment alleviates cardiac aging in naturally aged mice.

Applications

Unspecified application

Species

Unspecified reactive species

Shixian Zhou,Xinxiu Zhao,Li Wu,Ren Yan,Linlin Sun,Qin Zhang,Caixia Gong,Yang Liu,Lan Xiang,Shumin Li,Peixia Wang,Yichen Yang,Wen Ren,JingJin Jiang,Yunmei Yang

Biomedicines 11: PubMed38002016

2023

The Ultraviolet Irradiation of Keratinocytes Induces Ectopic Expression of LINE-1 Retrotransposon Machinery and Leads to Cellular Senescence.

Applications

Unspecified application

Species

Unspecified reactive species

Fadi Touma,Marine Lambert,Amelia Martínez Villarreal,Jennifer Gantchev,Brandon Ramchatesingh,Ivan V Litvinov

Scientific reports 13:19602 PubMed37950047

2023

Identification of DNA damage response-related genes as biomarkers for castration-resistant prostate cancer.

Applications

Unspecified application

Species

Unspecified reactive species

Masashi Oshima,Ken-Ichi Takayama,Yuta Yamada,Naoki Kimura,Haruki Kume,Tetsuya Fujimura,Satoshi Inoue

Acta neuropathologica communications 11:167 PubMed37858263

2023

Myopathologic trajectory in Duchenne muscular dystrophy (DMD) reveals lack of regeneration due to senescence in satellite cells.

Applications

Unspecified application

Species

Unspecified reactive species

Nastasia Cardone,Valentina Taglietti,Serena Baratto,Kaouthar Kefi,Baptiste Periou,Ciryl Gitiaux,Christine Barnerias,Peggy Lafuste,France Leturcq Pharm,Juliette Nectoux Pharm,Chiara Panicucci,Isabelle Desguerre,Claudio Bruno,François-Jerome Authier,Chiara Fiorillo,Frederic Relaix,Edoardo Malfatti

Aging cell 22:e13977 PubMed37675802

2023

Iron overload induces cerebral endothelial senescence in aged mice and in primary culture in a sex-dependent manner.

Applications

Unspecified application

Species

Unspecified reactive species

Brian Noh,Maria Pilar Blasco-Conesa,Syed Mushfiqur Rahman,Sheelu Monga,Rodney Ritzel,Gary Guzman,Yun-Ju Lai,Bhanu Priya Ganesh,Akihiko Urayama,Louise D McCullough,Jose Felix Moruno-Manchon

Nature communications 14:5003 PubMed37591890

2023

C16orf72/HAPSTR1/TAPR1 functions with BRCA1/Senataxin to modulate replication-associated R-loops and confer resistance to PARP disruption.

Applications

Unspecified application

Species

Unspecified reactive species

Abhishek Bharadwaj Sharma,Muhammad Khairul Ramlee,Joel Kosmin,Martin R Higgs,Amy Wolstenholme,George E Ronson,Dylan Jones,Daniel Ebner,Noor Shamkhi,David Sims,Paul W G Wijnhoven,Josep V Forment,Ian Gibbs-Seymour,Nicholas D Lakin

Cell death discovery 9:253 PubMed37468464

2023

circRNF13, a novel N-methyladenosine-modified circular RNA, enhances radioresistance in cervical cancer by increasing CXCL1 mRNA stability.

Applications

Unspecified application

Species

Unspecified reactive species

Junyu Shi,Xiaohui Rui,Chunxiao Han,Chaoping Wang,Lei Xu,Xiping Jiang

Scientific reports 13:11640 PubMed37468581

2023

Cisplatin exhibits superiority over MMC as a perfusion agent in a peritoneal mesothelioma patient specific organoid HIPEC platform.

Applications

Unspecified application

Species

Unspecified reactive species

Steven D Forsythe,Richard A Erali,Nicholas Edenhoffer,William Meeker,Nadeem Wajih,Cecilia R Schaaf,Preston Laney,Cristian D Vanezuela,Wencheng Li,Edward A Levine,Shay Soker,Konstantinos I Votanopoulos

PLoS pathogens 19:e1011203 PubMed37253065

2023

Genomes of the autonomous parvovirus minute virus of mice induce replication stress through RPA exhaustion.

Applications

Unspecified application

Species

Unspecified reactive species

MegAnn K Haubold,Jessica N Pita Aquino,Sarah R Rubin,Isabella K Jones,Clairine I S Larsen,Edward Pham,Kinjal Majumder
View all publications

Abcam product promise

当社は、高品質な試薬を通じてお客様の研究を力強くサポートすることをお約束いたします。ご使用いただく各段階で、常にお客様をサポートできる体制を整えております。万が一、製品が期待通りに機能しない場合は、「Abcam Product Promise」による当社保証制度に基づき、安心してご利用いただけます。
保証に関する詳細については利用規約をご確認ください。

関連製品

Select an associated product type
Alternative Product
Primary Antibodies

AB206898

Alexa Fluor® 594 Anti-gamma H2A.X (phospho S139) antibody [EP854(2)Y]

primary-antibodies

alexa-fluor-594-gamma-h2ax-phospho-s139-antibody-ep8542y-ab206898

4

(1 reviews)

Alternative Product
Primary Antibodies

AB215967

Anti-gamma H2A.X (phospho S139) antibody [EP854(2)Y] - BSA and Azide free

primary-antibodies

gamma-h2ax-phospho-s139-antibody-ep8542y-bsa-and-azide-free-ab215967

0

(0 reviews)

Alternative Product
Primary Antibodies

AB195188

Alexa Fluor® 488 Anti-gamma H2A.X (phospho S139) antibody [EP854(2)Y]

primary-antibodies

alexa-fluor-488-gamma-h2ax-phospho-s139-antibody-ep8542y-ab195188

5

(1 reviews)

Alternative Product
Primary Antibodies

AB195189

Alexa Fluor® 647 Anti-gamma H2A.X (phospho S139) antibody [EP854(2)Y]

primary-antibodies

alexa-fluor-647-gamma-h2ax-phospho-s139-antibody-ep8542y-ab195189

1

(1 reviews)

Alternative Product
Primary Antibodies

AB195190

HRP Anti-gamma H2A.X (phospho S139) antibody [EP854(2)Y]

primary-antibodies

hrp-gamma-h2ax-phospho-s139-antibody-ep8542y-ab195190

0

(0 reviews)

Please note: All products are 'FOR RESEARCH USE ONLY. NOT FOR USE IN DIAGNOSTIC OR THERAPEUTIC PROCEDURES'.

For licensing inquiries, please contact partnerships@abcam.com