JavaScript is disabled in your browser. Please enable JavaScript to view this website.
AB22551

Anti-gamma H2A.X (phospho S139) 抗体 [3F2]

Anti-gamma H2A.X (phospho S139) antibody [3F2]

4

(13 Reviews)

|

(161 Publications)

Anti-gamma H2A.X (phospho S139) antibody [3F2] (ab22551) is a mouse monoclonal antibody detecting gamma H2A.X in Western Blot, Flow Cytometry, IHC-P, ICC/IF. Suitable for Human, Mouse.

- Over 160 publications
- Trusted since 2005

別名を表示する

H2AFX, H2AX, Histone H2AX, H2a/x, Histone H2A.X, H2AS139p, H2AXS139p, H2A.XS139p

8 Images
Immunohistochemistry (Formalin/PFA-fixed paraffin-embedded sections) - Anti-gamma H2A.X (phospho S139) antibody [3F2] (AB22551)
  • IHC-P

Unknown

Immunohistochemistry (Formalin/PFA-fixed paraffin-embedded sections) - Anti-gamma H2A.X (phospho S139) antibody [3F2] (AB22551)

IHC image of ab22551 staining in Human breast formalin fixed paraffin embedded tissue section, performed on a Leica BondTM system using the standard protocol F. The section was pre-treated using heat mediated antigen retrieval with sodium citrate buffer (pH6, epitope retrieval solution 1) for 20 mins. The section was then incubated with ab22551, 5μg/ml, for 15 mins at room temperature and detected using an HRP conjugated compact polymer system. DAB was used as the chromogen. The section was then counterstained with haematoxylin and mounted with DPX.

For other IHC staining systems (automated and non-automated) customers should optimize variable parameters such as antigen retrieval conditions, primary antibody concentration and antibody incubation times.

Immunocytochemistry/ Immunofluorescence - Anti-gamma H2A.X (phospho S139) antibody [3F2] (AB22551)
  • ICC/IF

Supplier Data

Immunocytochemistry/ Immunofluorescence - Anti-gamma H2A.X (phospho S139) antibody [3F2] (AB22551)

Immunofluorescence staining of Phospho-H2AX with ab22551 at 4 ug/ml in A549 cells. Cells were treated with vehicle (control; 0.1% DMSO in media) (right) or with 50 μM etoposide for 1 hour (left).

Immunocytochemistry/ Immunofluorescence - Anti-gamma H2A.X (phospho S139) antibody [3F2] (AB22551)
  • ICC/IF

Unknown

Immunocytochemistry/ Immunofluorescence - Anti-gamma H2A.X (phospho S139) antibody [3F2] (AB22551)

ICC/IF image of ab22551 stained HepG2 cells. The cells were 100% methanol fixed (5 min) and then incubated in 1%BSA / 10% normal goat serum / 0.3M glycine in 0.1% PBS-Tween for 1h to permeabilise the cells and block non-specific protein-protein interactions. The cells were then incubated with the antibody (ab22551, 10μg/ml) overnight at +4°C. The secondary antibody (green) was DyLight® 488 goat anti-mouse IgG - H&L, pre-adsorbed (ab96879) used at a 1/250 dilution for 1h. Alexa Fluor® 594 WGA was used to label plasma membranes (red) at a 1/200 dilution for 1h. DAPI was used to stain the cell nuclei (blue) at a concentration of 1.43μM.

Immunocytochemistry/ Immunofluorescence - Anti-gamma H2A.X (phospho S139) antibody [3F2] (AB22551)
  • ICC/IF

PubMed

Immunocytochemistry/ Immunofluorescence - Anti-gamma H2A.X (phospho S139) antibody [3F2] (AB22551)

A431 cell nucleus (DAPI signal) showing three gamma-H2AX foci structures.
Primary anitibody H2A.X (phospho S139) antibody [3F2], ab22551, 100ug.
Secondary antibody Mouse IgG-Fc (FITC), ab97264, 1mg.

This image is courtesy of Jorge E. Gonzalez (CPHR, La Habana, Cuba), Joan F. Barquinero(UAB, Barcelona,Spain) and Jessica Martinez (UAB, Universitat Autònoma de Barcelona, Spain).

Immunocytochemistry/ Immunofluorescence - Anti-gamma H2A.X (phospho S139) antibody [3F2] (AB22551)
  • ICC/IF

Supplier Data

Immunocytochemistry/ Immunofluorescence - Anti-gamma H2A.X (phospho S139) antibody [3F2] (AB22551)

ab22551 labelling gamma H2A.X (phospho S139) in gamma irradiated HeLa cells by immunocytochemistry/immunofluorescence.

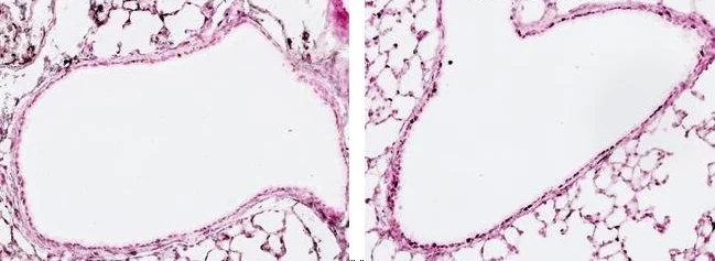
Immunohistochemistry (Formalin/PFA-fixed paraffin-embedded sections) - Anti-gamma H2A.X (phospho S139) antibody [3F2] (AB22551)
  • IHC-P

Supplier Data

Immunohistochemistry (Formalin/PFA-fixed paraffin-embedded sections) - Anti-gamma H2A.X (phospho S139) antibody [3F2] (AB22551)

Immunohistochemistry analysis of phospho-Histone H2A.X pSer140 labelled with ab22551 in postnatal mouse (PN19) lung sections. Antigen retrieval from 4% PFA, paraffin embedded sections was performed using heat induced epitope retrieval (HIER) method with sodium citrate buffer (pH 6.0). Following antigen retrieval, tissues were blocked and probed withab22551 at a dilution of 1 : 400. Increased staining intensity was observed in a genetic mouse model with DNA damage in airway cells.

Left : Control; Right : A genetic model with DNA damage in airway cells

Flow Cytometry - Anti-gamma H2A.X (phospho S139) antibody [3F2] (AB22551)
  • Flow Cyt

Unknown

Flow Cytometry - Anti-gamma H2A.X (phospho S139) antibody [3F2] (AB22551)

Overlay histogram showing HeLa cells stained with ab22551 (red line). The cells were fixed with 100% methanol (5 min) and then permeabilized with 0.1% PBS-Tween for 20 min. The cells were then incubated in 1x PBS / 10% normal goat serum / 0.3M glycine to block non-specific protein-protein interactions followed by the antibody (ab22551, 1μg/1x106 cells) for 30 min at 22°C. The secondary antibody used was DyLight® 488 goat anti-mouse IgG (H+L) (ab96879) at 1/500 dilution for 30 min at 22°C. Isotype control antibody (black line) was Mouse IgG1 [ICIGG1] (ab91353, 2μg/1x106 cells) used under the same conditions. Acquisition of >5,000 events was performed.

Western blot - Anti-gamma H2A.X (phospho S139) antibody [3F2] (AB22551)
  • WB

Unknown

Western blot - Anti-gamma H2A.X (phospho S139) antibody [3F2] (AB22551)

Western blot analysis of Phospho-H2A.X (phospho S139) (ab22551) at a concentration of 1 μg/mL on Jurkat cell untreated (Lane 1) and Jurkat cell stimulated with staurosporine (Lane 2) followed by HRP conjugated goat anti-mouse lgG (H+L) Secondary Antibody.

All lanes:

Western blot - Anti-gamma H2A.X (phospho S139) antibody [3F2] (ab22551)

Predicted band size: 15 kDa

false

Key facts

宿主種

Mouse

クローン性

Monoclonal

クローン番号

3F2

アイソタイプ

IgG1

軽鎖のタイプ

kappa

キャリアフリー

No

交差種

Human, Mouse

アプリケーション

IHC-P, Flow Cyt, WB, ICC/IF

applications

免疫原

Synthetic Peptide within Human H2AX phospho S139. The exact immunogen used to generate this antibody is proprietary information.

P16104

Reactivity data

{ "title": "Reactivity Data", "filters": { "stats": ["", "Species", "Dilution Info", "Notes"], "tabs": { "all-applications": {"fullname" : "All Applications", "shortname": "All Applications"}, "ICCIF" : {"fullname" : "Immunocytochemistry/ Immunofluorescence", "shortname":"ICC/IF"}, "FlowCyt" : {"fullname" : "Flow Cytometry", "shortname":"Flow Cyt"}, "WB" : {"fullname" : "Western blot", "shortname":"WB"}, "IHCP" : {"fullname" : "Immunohistochemistry (Formalin/PFA-fixed paraffin-embedded sections)", "shortname":"IHC-P"} }, "product-promise": { "all": "all", "testedAndGuaranteed": "tested", "guaranteed": "expected", "predicted": "predicted", "notRecommended": "not-recommended" } }, "values": { "Human": { "ICCIF-species-checked": "testedAndGuaranteed", "ICCIF-species-dilution-info": "2.00000-4.00000 µg/mL", "ICCIF-species-notes": "<p></p>", "FlowCyt-species-checked": "testedAndGuaranteed", "FlowCyt-species-dilution-info": "1 µg for 10^6 Cells", "FlowCyt-species-notes": "<p><a href='/products/primary-antibodies/mouse-igg1-kappa-monoclonal-15-6e10a7-isotype-control-ab170190'>ab170190</a> - Mouse monoclonal IgG1, is suitable for use as an isotype control with this antibody.</p>", "WB-species-checked": "testedAndGuaranteed", "WB-species-dilution-info": "1 µg/mL", "WB-species-notes": "<p></p>", "IHCP-species-checked": "testedAndGuaranteed", "IHCP-species-dilution-info": "", "IHCP-species-notes": "<p></p>" }, "Mouse": { "ICCIF-species-checked": "guaranteed", "ICCIF-species-dilution-info": "", "ICCIF-species-notes": "", "FlowCyt-species-checked": "guaranteed", "FlowCyt-species-dilution-info": "", "FlowCyt-species-notes": "", "WB-species-checked": "guaranteed", "WB-species-dilution-info": "", "WB-species-notes": "", "IHCP-species-checked": "testedAndGuaranteed", "IHCP-species-dilution-info": "", "IHCP-species-notes": "<p></p>" } } }

下記製品にもご興味をお持ちいただけるかもしれません:

AB279816

Phospho-gamma H2A.X (S139) ELISA Kit

0

0 Reviews

製品ページを見る
こちらの製品も推奨する理由

この製品は、同様の実験や関連する研究で広く使用されていることから推奨させていただいております。

お客様の実験に適するかご確認いただくため、必ず製品データシートをご確認いただくことをお勧めいたします。ご不明点等ございましたら、テクニカルサポートチームまでお問い合わせください。

製品の詳細

出荷温度及び保存条件

製品の状態
Liquid
精製方法
Affinity purification Protein G
バッファー組成
Preservative: 0.05% Sodium azide Constituents: PBS, 0.1% BSA
出荷温度
Blue Ice
短期保存温度
+4°C
長期保存温度
-20°C
分注に関する情報
Upon delivery aliquot
保管に関する情報
Avoid freeze / thaw cycle

補足情報

This supplementary information is collated from multiple sources and compiled automatically.

Gamma H2A.X also known as phospho H2A.X or γH2A.X is a phosphorylated form of the histone variant H2A.X. It has a molecular weight of about 14 kilodaltons and occurs primarily in they nucleus. When DNA double-strand breaks (DSBs) occur serine 139 in H2A.X undergoes rapid phosphorylation resulting in gamma H2A.X. This modification happens swiftly at the site of damage and gamma H2A.X spreads over a large chromatin area facilitating the recruitment of DNA repair proteins. Gamma H2A.X staining typically evaluated using gamma H2A.X immunofluorescence techniques aids in identifying the presence and extent of DNA damage.
Biological function summary

Gamma H2A.X plays a role in DNA damage response and repair. It does not operate alone; it acts as part of a complex with other repair proteins. The formation of gamma H2A.X foci at DNA damage sites creates a signal attracting repair factors that help maintain genome stability. Its interaction with MDC1 and ATM proteins exemplifies its significant role in orchestrating an effective response to DNA damage. Beyond DNA repair gamma H2A.X influences cell cycle checkpoints permitting cells to pause and repair before proceeding with division.

Pathways

Gamma H2A.X plays a pivotal role in the DNA damage response (DDR) pathway. This pathway is essential for detecting and repairing DNA lesions to uphold genomic integrity. Within the DDR pathway gamma H2A.X is closely associated with proteins such as NBS1 and BRCA1 which assist in repairing double-strand breaks. In addition gamma H2A.X is integral to the ATM-ATR signaling pathway where its activation promotes cell survival following genotoxic stress by signaling for damage repair or triggering apoptosis.

Gamma H2A.X has connections to cancer and neurodegeneration. Aberrant DNA repair pathways often indicated by persistent gamma H2A.X signals correlate with tumor formation and progression. For instance a failure to repair DNA damage effectively can lead to mutations that drive cancer development. Gamma H2A.X also links to neurodegenerative diseases where dysregulated DNA repair contributes to neuronal cell death. Proteins like p53 which regulate cell cycle and apoptosis further connect to gamma H2A.X bridging its role in disease pathogenesis.

製品プロトコール

For this product, it's our understanding that no specific protocols are required. You can visit:

ターゲットの情報

The protein expressed by the H2AX gene is a variant histone H2A that replaces conventional H2A in certain nucleosomes, which are responsible for wrapping and compacting DNA into chromatin. This compaction limits DNA accessibility to cellular machineries that require DNA as a template, placing histones at the center of transcription regulation, DNA repair, DNA replication, and chromosomal stability. DNA accessibility is controlled through a complex array of post-translational histone modifications, known as the histone code, and nucleosome remodeling. The H2AX protein is essential for the checkpoint-mediated arrest of cell cycle progression in response to low doses of ionizing radiation and for the efficient repair of DNA double strand breaks (DSBs), particularly when it undergoes C-terminal phosphorylation. This supplementary information is collated from multiple sources and compiled automatically.
See full target information H2AX phospho S139

文献 (161)

Recent publications for all applications. Explore the full list and refine your search

Nature cell biology 25:1774-1786 PubMed37957325

2023

NAD regulates nucleotide metabolism and genomic DNA replication.

Applications

Unspecified application

Species

Unspecified reactive species

Sebastian Howen Nesgaard Munk,Joanna Maria Merchut-Maya,Alba Adelantado Rubio,Arnaldur Hall,George Pappas,Giacomo Milletti,MyungHee Lee,Lea Giørtz Johnsen,Per Guldberg,Jiri Bartek,Apolinar Maya-Mendoza

International journal of nanomedicine 18:3825-3850 PubMed37457801

2023

Methodological and Cellular Factors Affecting the Magnitude of Breast Cancer and Normal Cell Radiosensitization Using Gold Nanoparticles.

Applications

Unspecified application

Species

Unspecified reactive species

Marika Musielak,Agnieszka Boś-Liedke,Oliwia Piwocka,Katarzyna Kowalska,Roksana Markiewicz,Aleksandra Lorenz,Paweł Bakun,Wiktoria Suchorska

Oncology letters 26:313 PubMed37332337

2023

Fenofibrate attenuates the cytotoxic effect of cisplatin on lung cancer cells by enhancing the antioxidant defense system .

Applications

Unspecified application

Species

Unspecified reactive species

Mariko Kogami,Shinji Abe,Hiroyuki Nakamura,Kazutetsu Aoshiba

Nature communications 14:3024 PubMed37230987

2023

Bre1/RNF20 promotes Rad51-mediated strand exchange and antagonizes the Srs2/FBH1 helicases.

Applications

Unspecified application

Species

Unspecified reactive species

Guangxue Liu,Jimin Li,Boxue He,Jiaqi Yan,Jingyu Zhao,Xuejie Wang,Xiaocong Zhao,Jingyan Xu,Yeyao Wu,Simin Zhang,Xiaoli Gan,Chun Zhou,Xiangpan Li,Xinghua Zhang,Xuefeng Chen

International journal of molecular sciences 24: PubMed37239999

2023

Nuclear DJ-1 Regulates DNA Damage Repair via the Regulation of PARP1 Activity.

Applications

Unspecified application

Species

Unspecified reactive species

Zhong-Xuan Wang,Yi Liu,Yao-Lin Li,Qiao Wei,Rong-Rong Lin,Ruiqing Kang,Yang Ruan,Zhi-Hao Lin,Nai-Jia Xue,Bao-Rong Zhang,Jia-Li Pu

Redox biology 63:102721 PubMed37163872

2023

Deficiency of S100 calcium binding protein A9 attenuates vascular dysfunction in aged mice.

Applications

Unspecified application

Species

Unspecified reactive species

Boying Zhao,Jiang Yu,Yuan Luo,Ming Xie,Can Qu,Qiong Shi,Xiaowen Wang,Xingji Zhao,Lingwen Kong,Yu Zhao,Yongzheng Guo

Biomaterials science 11:2912-2923 PubMed36883517

2023

Melatonin loaded PLGA nanoparticles effectively ameliorate the maturation of deteriorated oocytes and the cryoprotective abilities during vitrification process.

Applications

Unspecified application

Species

Unspecified reactive species

Sujin Lee,Hye Jin Kim,Hui Bang Cho,Hye-Ryoung Kim,Sujeong Lee,Ji-In Park,Keun-Hong Park

International journal of molecular sciences 24: PubMed36674426

2023

Higher Oxidative Stress in Endometriotic Lesions Upregulates Senescence-Associated p16 and β-Galactosidase in Stromal Cells.

Applications

Unspecified application

Species

Unspecified reactive species

Helena Malvezzi,Bruna Azevedo Cestari,Juliana Meola,Sérgio Podgaec

Cell proliferation 56:e13384 PubMed36564861

2022

Selective utilization of non-homologous end-joining and homologous recombination for DNA repair during meiotic maturation in mouse oocytes.

Applications

Unspecified application

Species

Unspecified reactive species

Crystal Lee,Jiyeon Leem,Jeong Su Oh

Cancers 14: PubMed36291870

2022

Biological Response of Human Cancer Cells to Ionizing Radiation in Combination with Gold Nanoparticles.

Applications

Unspecified application

Species

Unspecified reactive species

Ioanna Tremi,Sophia Havaki,Sofia Georgitsopoulou,Georgia Terzoudi,Ioannis N Lykakis,George Iliakis,Vasilios Georgakilas,Vassilis G Gorgoulis,Alexandros G Georgakilas
View all publications

Abcam product promise

当社は、高品質な試薬を通じてお客様の研究を力強くサポートすることをお約束いたします。ご使用いただく各段階で、常にお客様をサポートできる体制を整えております。万が一、製品が期待通りに機能しない場合は、「Abcam Product Promise」による当社保証制度に基づき、安心してご利用いただけます。
保証に関する詳細については利用規約をご確認ください。

関連製品

Select an associated product type
Alternative Product
Primary Antibodies

AB81299

Anti-gamma H2A.X (phospho S139) antibody [EP854(2)Y]

primary-antibodies

gamma-h2ax-phospho-s139-antibody-ep8542y-ab81299

4

(17 reviews)

Alternative Product
Primary Antibodies

AB206898

Alexa Fluor® 594 Anti-gamma H2A.X (phospho S139) antibody [EP854(2)Y]

primary-antibodies

alexa-fluor-594-gamma-h2ax-phospho-s139-antibody-ep8542y-ab206898

4

(1 reviews)

Alternative Product
Primary Antibodies

AB215967

Anti-gamma H2A.X (phospho S139) antibody [EP854(2)Y] - BSA and Azide free

primary-antibodies

gamma-h2ax-phospho-s139-antibody-ep8542y-bsa-and-azide-free-ab215967

0

(0 reviews)

Alternative Product
Primary Antibodies

AB195188

Alexa Fluor® 488 Anti-gamma H2A.X (phospho S139) antibody [EP854(2)Y]

primary-antibodies

alexa-fluor-488-gamma-h2ax-phospho-s139-antibody-ep8542y-ab195188

5

(1 reviews)

Alternative Product
Primary Antibodies

AB195189

Alexa Fluor® 647 Anti-gamma H2A.X (phospho S139) antibody [EP854(2)Y]

primary-antibodies

alexa-fluor-647-gamma-h2ax-phospho-s139-antibody-ep8542y-ab195189

1

(1 reviews)

Alternative Product
Primary Antibodies

AB195190

HRP Anti-gamma H2A.X (phospho S139) antibody [EP854(2)Y]

primary-antibodies

hrp-gamma-h2ax-phospho-s139-antibody-ep8542y-ab195190

0

(0 reviews)

Please note: All products are 'FOR RESEARCH USE ONLY. NOT FOR USE IN DIAGNOSTIC OR THERAPEUTIC PROCEDURES'.

For licensing inquiries, please contact partnerships@abcam.com