JavaScript is disabled in your browser. Please enable JavaScript to view this website.
AB2785

Anti-Galectin 3 抗体 [A3A12]

Anti-Galectin 3 antibody [A3A12]

5

(17 Reviews)

|

(74 Publications)

Anti-Galectin 3 antibody [A3A12] (ab2785) is a mouse monoclonal antibody detecting Galectin 3 in Western Blot, IHC-P, ICC/IF. Suitable for Human, Mouse.

- Over 70 publications
- Trusted since 2003

別名を表示する

MAC2, LGALS3, Galectin-3, Gal-3, 35 kDa lectin, Carbohydrate-binding protein 35, Galactose-specific lectin 3, Galactoside-binding protein, IgE-binding protein, L-31, Laminin-binding protein, Lectin L-29, Mac-2 antigen, CBP 35, GALBP

9 Images
Western blot - Anti-Galectin 3 antibody [A3A12] (AB2785)
  • WB

Supplier Data

Western blot - Anti-Galectin 3 antibody [A3A12] (AB2785)

Whole cell extracts were electrophoresed using a 4-12% Bis-Tris Protein Gel. Resolved proteins were then transferred onto a Nitrocellulose membrane using a dry blotting system.

All lanes:

Western blot - Anti-Galectin 3 antibody [A3A12] (ab2785) at 1/1000 dilution

Lane 1:

HeLa (human epithelial cell line from cervix adenocarcinoma) whole cell lysate at 30 µg

Lane 2:

MDA-MB-231 (human breast adenocarcinoma cell line) whole cell lysate at 30 µg

Lane 3:

A549 (human lung carcinoma cell line) whole cell lysate at 30 µg

Lane 4:

PC-3 (human prostate adenocarcinoma cell line) whole cell lysate at 30 µg

Lane 5:

U-87 MG (human glioblastoma-astrocytoma epithelial cell line) whole cell lysate at 30 µg

Lane 6:

A431 (human epidermoid carcinoma cell line) whole cell lysate at 30 µg

Secondary

All lanes:

Goat anti-Mouse IgG (H+L) (HRP) at 1/4000 dilution

Predicted band size: 26 kDa

Observed band size: 30 kDa,70 kDa

true

Western blot - Anti-Galectin 3 antibody [A3A12] (AB2785)
  • WB

Supplier Data

Western blot - Anti-Galectin 3 antibody [A3A12] (AB2785)

All lanes:

Western blot - Anti-Galectin 3 antibody [A3A12] (ab2785) at 1/1000 dilution

Lane 1:

MCF7 (Human breast adenocarcinoma cell line) whole cell lysate at 25 µg/mL

Lane 2:

HeLa (Human epithelial cell line from cervix adenocarcinoma) whole cell lysate at 25 µg/mL

Lane 3:

NIH/3T3 (Mouse embryo fibroblast cell line) whole cell lysate at 25 µg/mL

Predicted band size: 26 kDa

Observed band size: 30 kDa

false

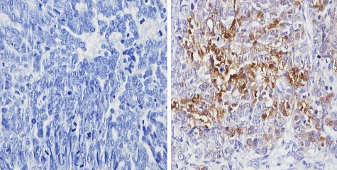
Immunohistochemistry (Formalin/PFA-fixed paraffin-embedded sections) - Anti-Galectin 3 antibody [A3A12] (AB2785)
  • IHC-P

Supplier Data

Immunohistochemistry (Formalin/PFA-fixed paraffin-embedded sections) - Anti-Galectin 3 antibody [A3A12] (AB2785)

Immunohistochemical analysis of human ovarian carcinoma tissue (right) labeling Galectin 3 in the nucleus and cytoplasm with ab2785, compared with a negative control (left) by Immunohistochemistry (formalin/PFA-fixed paraffin-embedded sections). To expose target proteins, antigen retrieval method was performed using 10mM sodium citrate (pH 6.0) microwaved for 8-15 min. Following antigen retrieval, tissues were blocked in 3% H2O2-methanol for 15 min at room temperature. Tissue sections were incubated with the primary antibody (1 : 100 in 3% BSA-PBS) overnight at 4°C. A HRP-conjugated anti-mouse IgG was used as the secondary antibody, followed by colorimetric detection using a DAB kit. Tissues were counterstained with hematoxylin and dehydrated with ethanol and xylene to prep for mounting.

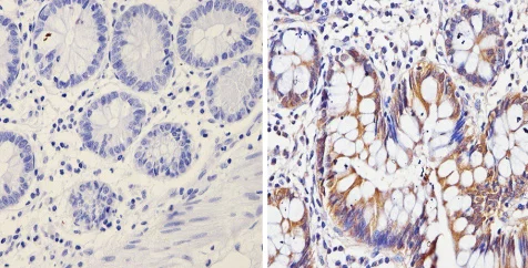
Immunohistochemistry (Formalin/PFA-fixed paraffin-embedded sections) - Anti-Galectin 3 antibody [A3A12] (AB2785)
  • IHC-P

Supplier Data

Immunohistochemistry (Formalin/PFA-fixed paraffin-embedded sections) - Anti-Galectin 3 antibody [A3A12] (AB2785)

Immunohistochemical analysis of (formalin/PFA-fixed paraffin-embedded sections) mouse colon tissue (right) labelling Galectin 3 in the nucleus and cytoplasm with ab2785, compared with a negative control (left) by . To expose target proteins, antigen retrieval method was performed using 10mM sodium citrate (pH 6.0) microwaved for 8-15 min. Following antigen retrieval, tissues were blocked in 3% H2O2-methanol for 15 min at room temperature. Tissue sections were incubated with the primary antibody (1 : 20 in 3% BSA-PBS) overnight at 4°C. A HRP-conjugated anti-mouse IgG was used as the secondary antibody, followed by colorimetric detection using a DAB kit. Tissues were counterstained with hematoxylin and dehydrated with ethanol and xylene to prep for mounting.

Immunocytochemistry/ Immunofluorescence - Anti-Galectin 3 antibody [A3A12] (AB2785)
  • ICC/IF

Supplier Data

Immunocytochemistry/ Immunofluorescence - Anti-Galectin 3 antibody [A3A12] (AB2785)

Immunofluorescent analysis of HeLa (Human epithelial cell line from cervix adenocarcinoma) cells labeling Galectin 3 (green) in the cytoplasm and nucleus with ab2785. Formalin-fixed cells were permeabilized with 0.1% Triton X-100 in TBS for 5-10 minutes and blocked with 3% BSA-PBS for 30 minutes at room temperature. Cells were probed with a Galectin 3 monoclonal antibody (Product # MA1-940) in 3% BSA-PBS at a dilution of 1 : 100 and incubated overnight at 4 °C in a humidified chamber. Cells were washed with PBST and incubated with a DyLight-conjugated secondary antibody in PBS at room temperature in the dark. F-actin (red) was stained with a fluorescent red phalloidin and nuclei (blue) were stained with Hoechst or DAPI. Images were taken at a magnification of 60x

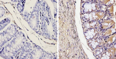
Immunohistochemistry (Formalin/PFA-fixed paraffin-embedded sections) - Anti-Galectin 3 antibody [A3A12] (AB2785)
  • IHC-P

Supplier Data

Immunohistochemistry (Formalin/PFA-fixed paraffin-embedded sections) - Anti-Galectin 3 antibody [A3A12] (AB2785)

Immunohistochemical analysis (formalin/PFA-fixed paraffin-embedded sections) human colon tissue (right) labelling Galectin 3 in the nucleus and cytoplasm with ab2785, compared with a negative control (left). To expose target proteins, antigen retrieval method was performed using 10mM sodium citrate (pH 6.0) microwaved for 8-15 min. Following antigen retrieval, tissues were blocked in 3% H2O2-methanol for 15 min at room temperature. Tissue sections were incubated with the primary antibody (1 : 100 in 3% BSA-PBS) overnight at 4°C. A HRP-conjugated anti-mouse IgG was used as the secondary antibody, followed by colorimetric detection using a DAB kit. Tissues were counterstained with hematoxylin and dehydrated with ethanol and xylene to prep for mounting.

Immunocytochemistry/ Immunofluorescence - Anti-Galectin 3 antibody [A3A12] (AB2785)
  • ICC/IF

Supplier Data

Immunocytochemistry/ Immunofluorescence - Anti-Galectin 3 antibody [A3A12] (AB2785)

Immunofluorescent analysis of NIH/3T3 (Mouse embryo fibroblast cell line) cells labelling Galectin 3 (green) in the cytoplasm and nucleus with ab2785. Formalin-fixed cells were permeabilized with 0.1% Triton X-100 in TBS for 5-10 minutes and blocked with 3% BSA-PBS for 30 minutes at room temperature. Cells were incubated with the primary antibody (1 : 100 in 3% BSA-PBS) overnight at 4 °C. A DyLight-conjugated anti-mouse was used as the secondary antibody. Red (phalloidin) - F-actin, Blue - nuclei. Images were taken at a magnification of 60x.

Immunocytochemistry/ Immunofluorescence - Anti-Galectin 3 antibody [A3A12] (AB2785)
  • ICC/IF

Supplier Data

Immunocytochemistry/ Immunofluorescence - Anti-Galectin 3 antibody [A3A12] (AB2785)

Immunofluorescent analysis of MCF7 (Human breast adenocarcinoma cell line) cells labelling Galectin 3 (green) in the cytoplasm and nucleus with ab2785. Formalin-fixed cells were permeabilized with 0.1% Triton X-100 in TBS for 5-10 minutes and blocked with 3% BSA-PBS for 30 minutes at room temperature. Cells were incubated with the primary antibody (1 : 100 in 3% BSA-PBS) overnight at 4 °C. A DyLight-conjugated anti-mouse was used as the secondary antibody. Red (phalloidin) - F-actin, Blue - nuclei. Images were taken at a magnification of 60x.

Western blot - Anti-Galectin 3 antibody [A3A12] (AB2785)
  • WB

Supplier Data

Western blot - Anti-Galectin 3 antibody [A3A12] (AB2785)

Knockout of LGALS3 was achieved by CRISPR-Cas9 genome editing using Lentiviral sgRNA and Cas9 Lentivirus. The samples were electrophoresed using 4-12% Bis-Tris Protein Gel. Resolved proteins were then transferred onto a nitrocellulose membrane using a dry blotting system.

All lanes:

Western blot - Anti-Galectin 3 antibody [A3A12] (ab2785) at 1/1000 dilution

Lane 1:

Wild-Type HeLa (human epithelial cell line from cervix adenocarcinoma) membrane extract at 30 µg

Lane 2:

HeLa CAS9 membrane extract at 30 µg

Lane 3:

HeLa LGALS3 knockout membrane extract at 30 µg

Secondary

All lanes:

Goat anti-Mouse IgG (H+L) (HRP) at 1/4000 dilution

Predicted band size: 26 kDa

true

Key facts

宿主種

Mouse

クローン性

Monoclonal

クローン番号

A3A12

アイソタイプ

IgG1

キャリアフリー

No

交差種

Mouse, Human

アプリケーション

ICC/IF, WB, IHC-P

applications

免疫原

Recombinant Full Length Protein corresponding to Human LGALS3.

P17931

エピトープ

The epitope for this antibody has been mapped to the first 58 amino acids of Galectin 3.

特異性

By Western blot, this antibody detects an ~30 kDa protein representing Galectin 3 from Jurkat cells transfected with human Galectin 3. Immunohistochemical staining of Galectin 3 in rat olfactory bulb yields a pattern consistent with nuclear and plasma membrane staining.

Reactivity data

{ "title": "Reactivity Data", "filters": { "stats": ["", "Species", "Dilution Info", "Notes"], "tabs": { "all-applications": {"fullname" : "All Applications", "shortname": "All Applications"}, "WB" : {"fullname" : "Western blot", "shortname":"WB"}, "IHCP" : {"fullname" : "Immunohistochemistry (Formalin/PFA-fixed paraffin-embedded sections)", "shortname":"IHC-P"}, "ICCIF" : {"fullname" : "Immunocytochemistry/ Immunofluorescence", "shortname":"ICC/IF"} }, "product-promise": { "all": "all", "testedAndGuaranteed": "tested", "guaranteed": "expected", "predicted": "predicted", "notRecommended": "not-recommended" } }, "values": { "Human": { "WB-species-checked": "testedAndGuaranteed", "WB-species-dilution-info": "1 µg/mL", "WB-species-notes": "<p></p>", "IHCP-species-checked": "testedAndGuaranteed", "IHCP-species-dilution-info": "1/20 - 1/200", "IHCP-species-notes": "<p></p>", "ICCIF-species-checked": "testedAndGuaranteed", "ICCIF-species-dilution-info": "1/100 - 1/200", "ICCIF-species-notes": "<p></p>" }, "Mouse": { "WB-species-checked": "guaranteed", "WB-species-dilution-info": "", "WB-species-notes": "", "IHCP-species-checked": "testedAndGuaranteed", "IHCP-species-dilution-info": "1/20 - 1/200", "IHCP-species-notes": "<p></p>", "ICCIF-species-checked": "testedAndGuaranteed", "ICCIF-species-dilution-info": "1/100 - 1/200", "ICCIF-species-notes": "<p></p>" } } }

下記製品にもご興味をお持ちいただけるかもしれません:

AB269555

Human Galectin-3 ELISA Kit (LGALS3)

5

2 Reviews

製品ページを見る
こちらの製品も推奨する理由

この製品は、同様の実験や関連する研究で広く使用されていることから推奨させていただいております。

お客様の実験に適するかご確認いただくため、必ず製品データシートをご確認いただくことをお勧めいたします。ご不明点等ございましたら、テクニカルサポートチームまでお問い合わせください。

製品の詳細

出荷温度及び保存条件

製品の状態
Liquid
精製方法
Affinity purification
バッファー組成
Preservative: 0.05% Sodium azide Constituents: 99% PBS
出荷温度
Blue Ice
短期保存期間
1-2 weeks
短期保存温度
+4°C
長期保存温度
-20°C
分注に関する情報
Upon delivery aliquot
保管に関する情報
Avoid freeze / thaw cycle

補足情報

This supplementary information is collated from multiple sources and compiled automatically.

Galectin-3 also known as LGALS3 is a protein belonging to the galectin family which are beta-galactoside-binding lectins. This protein has a molecular weight of about 30 kDa. It shows expression in various tissues including the heart liver and gastrointestinal tract. Galectin-3 plays a mechanical role in cell-cell adhesion cell-matrix interactions and modulating immune responses. Researchers often use galectin-3 ELISA kits to quantify its presence in different biological samples.
Biological function summary

Galectin-3 participates in cell growth regulation apoptosis and immune system modulation. Galectin-3 does not typically integrate into larger molecular complexes but it interacts with a variety of cell surface and extracellular matrix molecules. Its function influences processes like cell differentiation and angiogenesis where it can act as a regulator leveraging its ability to bind glycans on cell surfaces and matrix components.

Pathways

Galectin-3 contributes to the regulation of pathways such as the MAPK signaling pathway and the Wnt signaling pathway. In the MAPK pathway it influences cell proliferation and survival. Galectin-3 interacts with proteins like Β-catenin in the Wnt pathway assisting in transcriptional regulation and cell fate determination. These pathways are vital for maintaining cellular homeostasis and responding to extracellular signals.

Galectin-3 has a strong connection to cancer and fibrosis. Its role in cancer involves promoting tumor cell survival metastasis and angiogenesis where it interacts with proteins like integrins to facilitate tumor progression. In fibrosis galectin-3 contributes to fibrotic tissue formation especially in conditions like idiopathic pulmonary fibrosis and cardiac fibrosis often associated with proteins such as TGF-Β. Understanding these interactions helps in developing therapeutic strategies targeting galectin-3 in these diseases.

製品プロトコール

For this product, it's our understanding that no specific protocols are required. You can visit:

ターゲットの情報

Galactose-specific lectin which binds IgE. May mediate with the alpha-3, beta-1 integrin the stimulation by CSPG4 of endothelial cells migration. Together with DMBT1, required for terminal differentiation of columnar epithelial cells during early embryogenesis (By similarity). In the nucleus : acts as a pre-mRNA splicing factor. Involved in acute inflammatory responses including neutrophil activation and adhesion, chemoattraction of monocytes macrophages, opsonization of apoptotic neutrophils, and activation of mast cells. Together with TRIM16, coordinates the recognition of membrane damage with mobilization of the core autophagy regulators ATG16L1 and BECN1 in response to damaged endomembranes.
See full target information LGALS3

文献 (74)

Recent publications for all applications. Explore the full list and refine your search

International journal of molecular sciences 24: PubMed38139347

2023

Abnormal Cholesterol Metabolism and Lysosomal Dysfunction Induce Age-Related Hearing Loss by Inhibiting mTORC1-TFEB-Dependent Autophagy.

Applications

Unspecified application

Species

Unspecified reactive species

Yun Yeong Lee,Jungho Ha,Young Sun Kim,Sivasubramanian Ramani,Siung Sung,Eun Sol Gil,Oak-Sung Choo,Jeong Hun Jang,Yun-Hoon Choung

Environmental toxicology 39:421-434 PubMed37792549

2023

Spleen tyrosine kinase facilitates the progression of papillary thyroid cancer regulated by the hsa_circ_0006417/miR-377-3p axis.

Applications

Unspecified application

Species

Unspecified reactive species

Guangmou Tan,Shiyang Zheng,Boxuan Zhou,Zhaohong Mo,Qiong Zhang,Donghui Zhang,Aimin Li,Xinhui Liu

Molecular medicine (Cambridge, Mass.) 29:115 PubMed37626284

2023

Elevated galectin-3 levels detected in women with hyperglycemia during early and mid-pregnancy antagonizes high glucose - induced trophoblast cells apoptosis via galectin-3/foxc1 pathway.

Applications

Unspecified application

Species

Unspecified reactive species

Yu Deng,Hongyan Jin,Jie Ning,Dong Cui,Muqiu Zhang,Huixia Yang

Arthritis & rheumatology (Hoboken, N.J.) 75:1586-1598 PubMed37096570

2023

Lysosome-Associated Membrane Protein 3 Induces Lysosome-Dependent Cell Death by Impairing Autophagic Caspase 8 Degradation in the Salivary Glands of Individuals With Sjögren's Disease.

Applications

Unspecified application

Species

Unspecified reactive species

Hiroyuki Nakamura,Tsutomu Tanaka,Changyu Zheng,Sandra A Afione,Blake M Warner,Masayuki Noguchi,Tatsuya Atsumi,John A Chiorini

The Journal of cell biology 222: PubMed36880731

2023

Proteolytic regulation of a galectin-3/Lrp1 axis controls osteoclast-mediated bone resorption.

Applications

Unspecified application

Species

Unspecified reactive species

Lingxin Zhu,Yi Tang,Xiao-Yan Li,Samuel A Kerk,Costas A Lyssiotis,Xiaoyue Sun,Zijun Wang,Jung-Sun Cho,Jun Ma,Stephen J Weiss

PloS one 18:e0282227 PubMed36821638

2023

Salivary gland LAMP3 mRNA expression is a possible predictive marker in the response to hydroxychloroquine in Sjögren's disease.

Applications

Unspecified application

Species

Unspecified reactive species

Hiroyuki Nakamura,Tsutomu Tanaka,Youngmi Ji,Changyu Zheng,Sandra A Afione,Blake M Warner,Fabiola Reis Oliveira,Ana Carolina F Motta,Eduardo M Rocha,Masayuki Noguchi,Tatsuya Atsumi,John A Chiorini

Journal of neurochemistry 165:722-740 PubMed36718947

2023

Antiretroviral treatment reveals a novel role for lysosomes in oligodendrocyte maturation.

Applications

Unspecified application

Species

Unspecified reactive species

Lindsay K Festa,Abigail E Clyde,Caela C Long,Lindsay M Roth,Judith B Grinspan,Kelly L Jordan-Sciutto

Cells 12: PubMed36611953

2022

Sleep-Disturbance-Induced Microglial Activation Involves CRH-Mediated Galectin 3 and Autophagy Dysregulation.

Applications

Unspecified application

Species

Unspecified reactive species

Liyang Guo,Kirstin M Reed,Ashley Carter,Yan Cheng,Soheil Kazemi Roodsari,Damian Martinez Pineda,Laurie L Wellman,Larry D Sanford,Ming-Lei Guo

Journal of bone and mineral research : the official journal of the American Society for Bone and Mineral Research 38:335-353 PubMed36502520

2022

STAT3/Mitophagy Axis Coordinates Macrophage NLRP3 Inflammasome Activation and Inflammatory Bone Loss.

Applications

Unspecified application

Species

Unspecified reactive species

Lingxin Zhu,Zijun Wang,Xiaoyue Sun,Jingjing Yu,Ting Li,Huan Zhao,Yaoting Ji,Bin Peng,Minquan Du

Journal of clinical medicine 11: PubMed36498769

2022

Protective Effects of Orexin A in a Murine Model of Cisplatin-Induced Acute Kidney Injury.

Applications

Unspecified application

Species

Unspecified reactive species

Jungmin Jo,Jung-Yeon Kim,Jaechan Leem
View all publications

Abcam product promise

当社は、高品質な試薬を通じてお客様の研究を力強くサポートすることをお約束いたします。ご使用いただく各段階で、常にお客様をサポートできる体制を整えております。万が一、製品が期待通りに機能しない場合は、「Abcam Product Promise」による当社保証制度に基づき、安心してご利用いただけます。
保証に関する詳細については利用規約をご確認ください。

関連製品

Select an associated product type
Alternative Product
Primary Antibodies

AB207358

Alexa Fluor® 647 Anti-Galectin 3 antibody [EPR2774]

primary-antibodies

alexa-fluor-647-galectin-3-antibody-epr2774-ab207358

0

(0 reviews)

Alternative Product
Primary Antibodies

AB202553

HRP Anti-Galectin 3 antibody [EP2775Y]

primary-antibodies

hrp-galectin-3-antibody-ep2775y-ab202553

0

(0 reviews)

Alternative Product
Primary Antibodies

AB76245

Anti-Galectin 3 antibody [EP2775Y]

primary-antibodies

galectin-3-antibody-ep2775y-ab76245

5

(6 reviews)

Alternative Product
Primary Antibodies

AB76466

Anti-Galectin 3 antibody [EPR2774]

primary-antibodies

galectin-3-antibody-epr2774-ab76466

5

(1 reviews)

Alternative Product
Primary Antibodies

AB207357

Alexa Fluor® 488 Anti-Galectin 3 antibody [EPR2774]

primary-antibodies

alexa-fluor-488-galectin-3-antibody-epr2774-ab207357

0

(0 reviews)

Alternative Product
Primary Antibodies

AB209344

Anti-Galectin 3 antibody [EPR19244]

primary-antibodies

galectin-3-antibody-epr19244-ab209344

5

(4 reviews)

Alternative Product
Primary Antibodies

AB197544

Anti-Galectin 3 antibody [EP2775Y] - BSA and Azide free

primary-antibodies

galectin-3-antibody-ep2775y-bsa-and-azide-free-ab197544

0

(0 reviews)

Please note: All products are 'FOR RESEARCH USE ONLY. NOT FOR USE IN DIAGNOSTIC OR THERAPEUTIC PROCEDURES'.

For licensing inquiries, please contact partnerships@abcam.com