JavaScript is disabled in your browser. Please enable JavaScript to view this website.
AB259880

Anti-GABA A Receptor alpha 5/GABRA5 抗体 [EPR24003-118]

Anti-GABA A Receptor alpha 5/GABRA5 antibody [EPR24003-118]

  • BOND RX™ Validated
  • 20ul selling size
  • RabMAb
  • Recombinant
  • 詳細を見る

Be the first to review this product! Submit a review

|

(7 Publications)

Rabbit Recombinant Monoclonal GABA A Receptor alpha 5/GABRA5 antibody. Suitable for IP, WB, IHC-P and reacts with Mouse, Rat samples. Cited in 7 publications.

別名を表示する

Gamma-aminobutyric acid receptor subunit alpha-5, GABA(A) receptor subunit alpha-5, GABAAR subunit alpha-5, Gabra5

7 Images
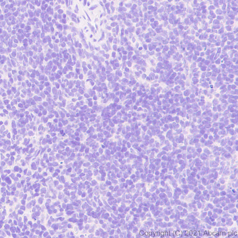
Immunohistochemistry (Formalin/PFA-fixed paraffin-embedded sections) - Anti-GABA A Receptor alpha 5/GABRA5 antibody [EPR24003-118] (AB259880)
  • IHC-P

Supplier Data

Immunohistochemistry (Formalin/PFA-fixed paraffin-embedded sections) - Anti-GABA A Receptor alpha 5/GABRA5 antibody [EPR24003-118] (AB259880)

Immunohistochemical analysis of paraffin-embedded Mouse spleen tissue labelling GABA A Receptor alpha 5/GABRA5 with ab259880 at 1/50 (11.4 ug/ml) dilution followed by a ready to use LeicaDS9800 (Bond™ Polymer Refine Detection). Negative control : almost no staining on mouse spleen. The section was incubated with ab259880 for 30 mins at room temperature. The immunostaining was performed on a Leica Biosystems BOND® RX instrument Counterstained with Hematoxylin.

Secondary antibody only control : Secondary antibody is a ready to use LeicaDS9800 (Bond™ Polymer Refine Detection).

Heat mediated antigen retrieval with Tris-EDTA buffer (pH 9.0, epitope retrieval solution2) for 20 mins.

Immunohistochemistry (Formalin/PFA-fixed paraffin-embedded sections) - Anti-GABA A Receptor alpha 5/GABRA5 antibody [EPR24003-118] (AB259880)
  • IHC-P

Supplier Data

Immunohistochemistry (Formalin/PFA-fixed paraffin-embedded sections) - Anti-GABA A Receptor alpha 5/GABRA5 antibody [EPR24003-118] (AB259880)

Immunohistochemical analysis of paraffin-embedded Rat hippocampus tissue labelling GABA A Receptor alpha 5/GABRA5 with ab259880 at 1/50 (11.4 ug/ml) dilution followed by a ready to use LeicaDS9800 (Bond™ Polymer Refine Detection). Positive staining on rat hippocampus. The section was incubated with ab259880 for 30 mins at room temperature. The immunostaining was performed on a Leica Biosystems BOND® RX instrument. Counterstained with Hematoxylin.

Secondary antibody only control : Secondary antibody is a ready to use LeicaDS9800 (Bond™ Polymer Refine Detection).

Heat mediated antigen retrieval with Tris-EDTA buffer (pH 9.0, epitope retrieval solution2) for 20 mins.

Immunohistochemistry (Formalin/PFA-fixed paraffin-embedded sections) - Anti-GABA A Receptor alpha 5/GABRA5 antibody [EPR24003-118] (AB259880)
  • IHC-P

Supplier Data

Immunohistochemistry (Formalin/PFA-fixed paraffin-embedded sections) - Anti-GABA A Receptor alpha 5/GABRA5 antibody [EPR24003-118] (AB259880)

Immunohistochemical analysis of paraffin-embedded Mouse hippocampus tissue labelling GABA A Receptor alpha 5/GABRA5 with ab259880 at 1/50 (11.4 ug/ml) dilution followed by a ready to use LeicaDS9800 (Bond™ Polymer Refine Detection). Positive staining on mouse hippocampus (PMID : 27364953). The section was incubated with ab259880 for 30 mins at room temperature. The immunostaining was performed on a Leica Biosystems BOND® RX instrument. Counterstained with Hematoxylin.

Secondary antibody only control : Secondary antibody is a ready to use LeicaDS9800 (Bond™ Polymer Refine Detection).

Heat mediated antigen retrieval with Tris-EDTA buffer (pH 9.0, epitope retrieval solution2) for 20 mins.

Immunoprecipitation - Anti-GABA A Receptor alpha 5/GABRA5 antibody [EPR24003-118] (AB259880)
  • IP

Supplier Data

Immunoprecipitation - Anti-GABA A Receptor alpha 5/GABRA5 antibody [EPR24003-118] (AB259880)

GABA A Receptor alpha 5/GABRA5 was immunoprecipitated from 0.35 mg Mouse brain tissue lysate with ab259880 at 1/30 dilution (2ug in 0.35mg lysates). Western blot was performed on the immunoprecipitate using ab259880 at 1/1000 dilution. VeriBlot for IP Detection Reagent (HRP)(ab131366) was used at 1/5000 dilution.

Lane 1 : Mouse brain tissue lysate 10 ug

Lane 2 : ab259880 IP in Mouse brain tissue lysate

Lane 3 : Rabbit monoclonal IgG (ab172730) instead of ab259880 in mouse brain tissue lysate

Blocking and dilution buffer and concentration : 5% NFDM/TBST.

Exposure time : 93 seconds.

This blot was developed using a higher sensitivity ECL substrate.

All lanes:

Immunoprecipitation - Anti-GABA A Receptor alpha 5/GABRA5 antibody [EPR24003-118] (ab259880)

Predicted band size: 52 kDa

Observed band size: 55 kDa

false

Immunoprecipitation - Anti-GABA A Receptor alpha 5/GABRA5 antibody [EPR24003-118] (AB259880)
  • IP

Supplier Data

Immunoprecipitation - Anti-GABA A Receptor alpha 5/GABRA5 antibody [EPR24003-118] (AB259880)

GABA A Receptor alpha 5/GABRA5 was immunoprecipitated from 0.35 mg Rat brain tissue lysate with ab259880 at 1/30 dilution (2ug in 0.35mg lysates). Western blot was performed on the immunoprecipitate using ab259880 at 1/1000 dilution. VeriBlot for IP Detection Reagent (HRP)(ab131366) was used at 1/5000 dilution.

Lane 1 : Rat brain tissue lysate 10 ug

Lane 2 : ab259880 IP in rat brain tissue lysate

Lane 3 : Rabbit monoclonal IgG (ab172730) instead of ab259880 in rat brain tissue lysate

Blocking and dilution buffer and concentration : 5% NFDM/TBST.

Exposure time : 93 seconds.

This blot was developed using a higher sensitivity ECL substrate.

All lanes:

Immunoprecipitation - Anti-GABA A Receptor alpha 5/GABRA5 antibody [EPR24003-118] (ab259880)

Predicted band size: 52 kDa

Observed band size: 55 kDa

false

Western blot - Anti-GABA A Receptor alpha 5/GABRA5 antibody [EPR24003-118] (AB259880)
  • WB

Lab

Western blot - Anti-GABA A Receptor alpha 5/GABRA5 antibody [EPR24003-118] (AB259880)

Blocking and diluting buffer and concentration : 5% NFDM/TBST.

Exposure time : 3 minutes.

All lanes:

Western blot - Anti-GABA A Receptor alpha 5/GABRA5 antibody [EPR24003-118] (ab259880) at 1/1000 dilution

Lane 1:

Mouse brain tissue lysate at 20 µg

Lane 2:

Mouse hippocampus tissue lysate at 20 µg

Secondary

All lanes:

Western blot - Goat Anti-Rabbit IgG H&L (HRP) (<a href='/products/secondary-antibodies/goat-rabbit-igg-h-l-hrp-ab97051'>ab97051</a>) at 1/100000 dilution

Predicted band size: 52 kDa

Observed band size: 55 kDa

false

Western blot - Anti-GABA A Receptor alpha 5/GABRA5 antibody [EPR24003-118] (AB259880)
  • WB

Lab

Western blot - Anti-GABA A Receptor alpha 5/GABRA5 antibody [EPR24003-118] (AB259880)

Blocking and diluting buffer and concentration : 5% NFDM/TBST.

This blot was developed using a higher sensitivity ECL substrate.

Exposure time : 3 minutes.

All lanes:

Western blot - Anti-GABA A Receptor alpha 5/GABRA5 antibody [EPR24003-118] (ab259880) at 1/1000 dilution

All lanes:

Rat hippocampus tissue lysate at 20 µg

Secondary

All lanes:

Western blot - Goat Anti-Rabbit IgG H&L (HRP) (<a href='/products/secondary-antibodies/goat-rabbit-igg-h-l-hrp-ab97051'>ab97051</a>) at 1/100000 dilution

Predicted band size: 52 kDa

Observed band size: 55 kDa

false

関連する標識済み抗体及び組成の異なる製品 (1)

  • Carrier free

    Anti-GABA A Receptor alpha 5/GABRA5 antibody [EPR24003-118] - BSA and Azide free

Key facts

宿主種

Rabbit

クローン性

Monoclonal

クローン番号

EPR24003-118

アイソタイプ

IgG

キャリアフリー

No

交差種

Mouse, Rat

アプリケーション

IP, IHC-P, WB

applications

免疫原

The exact immunogen used to generate this antibody is proprietary information.

Reactivity data

{ "title": "Reactivity Data", "filters": { "stats": ["", "Species", "Dilution Info", "Notes"], "tabs": { "all-applications": {"fullname" : "All Applications", "shortname": "All Applications"}, "ICCIF" : {"fullname" : "Immunocytochemistry/ Immunofluorescence", "shortname":"ICC/IF"}, "IP" : {"fullname" : "Immunoprecipitation", "shortname":"IP"}, "WB" : {"fullname" : "Western blot", "shortname":"WB"}, "IHCFr" : {"fullname" : "Immunohistochemistry (Frozen sections)", "shortname":"IHC-Fr"}, "IHCP" : {"fullname" : "Immunohistochemistry (Formalin/PFA-fixed paraffin-embedded sections)", "shortname":"IHC-P"} }, "product-promise": { "all": "all", "testedAndGuaranteed": "tested", "guaranteed": "expected", "predicted": "predicted", "notRecommended": "not-recommended" } }, "values": { "Human": { "ICCIF-species-checked": "notRecommended", "ICCIF-species-dilution-info": "", "ICCIF-species-notes": "", "IP-species-checked": "notRecommended", "IP-species-dilution-info": "", "IP-species-notes": "", "WB-species-checked": "notRecommended", "WB-species-dilution-info": "1/1000", "WB-species-notes": "<p></p>", "IHCFr-species-checked": "notRecommended", "IHCFr-species-dilution-info": "", "IHCFr-species-notes": "", "IHCP-species-checked": "notRecommended", "IHCP-species-dilution-info": "1/50", "IHCP-species-notes": "<p></p>" }, "Mouse": { "ICCIF-species-checked": "notRecommended", "ICCIF-species-dilution-info": "", "ICCIF-species-notes": "<p></p>", "IP-species-checked": "testedAndGuaranteed", "IP-species-dilution-info": "1/30", "IP-species-notes": "<p></p>", "WB-species-checked": "testedAndGuaranteed", "WB-species-dilution-info": "1/1000", "WB-species-notes": "<p></p>", "IHCFr-species-checked": "notRecommended", "IHCFr-species-dilution-info": "", "IHCFr-species-notes": "<p></p>", "IHCP-species-checked": "testedAndGuaranteed", "IHCP-species-dilution-info": "1/50", "IHCP-species-notes": "<p></p>" }, "Rat": { "ICCIF-species-checked": "notRecommended", "ICCIF-species-dilution-info": "", "ICCIF-species-notes": "<p></p>", "IP-species-checked": "testedAndGuaranteed", "IP-species-dilution-info": "1/30", "IP-species-notes": "<p></p>", "WB-species-checked": "testedAndGuaranteed", "WB-species-dilution-info": "1/1000", "WB-species-notes": "<p></p>", "IHCFr-species-checked": "notRecommended", "IHCFr-species-dilution-info": "", "IHCFr-species-notes": "<p></p>", "IHCP-species-checked": "testedAndGuaranteed", "IHCP-species-dilution-info": "1/50", "IHCP-species-notes": "<p></p>" } } }

製品の詳細

Patented technology
Our RabMAb® technology is a patented hybridoma-based technology for making rabbit monoclonal antibodies. For details on our patents, please refer to RabMAb® patents.

What are the advantages of a recombinant monoclonal antibody?
This product is a recombinant monoclonal antibody, which offers several advantages including:

  • - High batch-to-batch consistency and reproducibility
  • - Improved sensitivity and specificity
  • - Long-term security of supply
  • - Animal-free batch production

For more information, read more on recombinant antibodies.

出荷温度及び保存条件

製品の状態
Liquid
精製方法
Affinity purification Protein A
バッファー組成
Preservative: 0.01% Sodium azide Constituents: PBS, 40% Glycerol (glycerin, glycerine), 0.05% BSA
出荷温度
Blue Ice
短期保存期間
1-2 weeks
短期保存温度
+4°C
長期保存温度
-20°C
分注に関する情報
Upon delivery aliquot
保管に関する情報
Avoid freeze / thaw cycle

製品プロトコール

For this product, it's our understanding that no specific protocols are required. You can visit:

ターゲットの情報

Alpha subunit of the heteropentameric ligand-gated chloride channel gated by gamma-aminobutyric acid (GABA), a major inhibitory neurotransmitter in the brain (PubMed : 14993607). GABA-gated chloride channels, also named GABA(A) receptors (GABAAR), consist of five subunits arranged around a central pore and contain GABA active binding site(s) located at the alpha and beta subunit interface(s) (By similarity). When activated by GABA, GABAARs selectively allow the flow of chloride anions across the cell membrane down their electrochemical gradient (By similarity). GABAARs containing alpha-5/GABRA5 are mainly extrasynaptic and contribute to the tonic GABAergic inhibition of the hippocampus (PubMed : 14993607). Extrasynaptic alpha-5-containing GABAARs in CA1 pyramidal neurons play a role in learning and memory processes (PubMed : 14993607).
See full target information Gabra5

文献 (7)

Recent publications for all applications. Explore the full list and refine your search

Acta pharmaceutica Sinica. B 15:4872-4885 PubMed41049747

2025

The toxic components, toxicological mechanism and effective antidote for poisoning.

Applications

Unspecified application

Species

Unspecified reactive species

Niping Li,Yaorong Yang,Shengyuan Zhang,Bin Jiang,Wei Zhang,Haibo Wang,Lixin Chen,Liwei Wang,Yiyi Li,Lei Shi,Wencai Ye,Lei Wang

CNS neuroscience & therapeutics 31:e70197 PubMed39749638

2025

N-Demethylsinomenine Relieves Neuropathic Pain in Male Mice Mainly via Regulating α2-Subtype GABA Receptors.

Applications

Unspecified application

Species

Unspecified reactive species

Weiwei Rong,Xunjia Qian,Yujian Yin,Yipeng Gu,Weiyi Su,Jie-Jia Li,Yue Xu,Hongyan Zhu,Junxu Li,Qing Zhu

CNS neuroscience & therapeutics 30:e70098 PubMed39491498

2024

Fasudil Alleviates Postoperative Neurocognitive Disorders in Mice by Downregulating the Surface Expression of α5GABAAR in Hippocampus.

Applications

Unspecified application

Species

Unspecified reactive species

Jinpeng Dong,Zhun Wang,Lixuan Li,Mengxue Zhang,Sixuan Wang,Yuan Luo,Ying Dong,Xiaokun Wang,Yongan Wang,Kaiyuan Wang,Yiqing Yin

CNS neuroscience & therapeutics 30:e14379 PubMed37545014

2023

Sub-dose anesthetics combined with chloride regulators protect the brain against chronic ischemia-hypoxia injury.

Applications

Unspecified application

Species

Unspecified reactive species

Chenyi Yang,Ye Wang,Yun Li,Xinyi Wang,Wei Hua,Zhuo Yang,Haiyun Wang

Journal of neurochemistry 164:786-812 PubMed36695027

2023

Translational patterns of ionotropic glutamate and GABA receptors during brain development and behavioral stimuli revealed by polysome profiling.

Applications

Unspecified application

Species

Unspecified reactive species

Yinghui Peng,Miaoqi Huang,Jiaoyan Xie,Beiyi Shu,Xiaojun Wang,Yumei Liao,Junyu Xu,Lei Shi

Frontiers in molecular neuroscience 15:961995 PubMed36117908

2022

Differential synaptic mechanism underlying the neuronal modulation of prefrontal cortex, amygdala, and hippocampus in response to chronic postsurgical pain with or without cognitive deficits in rats.

Applications

Unspecified application

Species

Unspecified reactive species

Zhen Li,Zhigang He,Zhixiao Li,Tianning Sun,Wencui Zhang,Hongbing Xiang

Frontiers in pharmacology 12:702218 PubMed34385921

2021

Neuropathic Injury-Induced Plasticity of GABAergic System in Peripheral Sensory Ganglia.

Applications

Unspecified application

Species

Unspecified reactive species

Caixue Wang,Han Hao,Kaitong He,Yating An,Zeyao Pu,Nikita Gamper,Hailin Zhang,Xiaona Du
View all publications

Abcam product promise

当社は、高品質な試薬を通じてお客様の研究を力強くサポートすることをお約束いたします。ご使用いただく各段階で、常にお客様をサポートできる体制を整えております。万が一、製品が期待通りに機能しない場合は、「Abcam Product Promise」による当社保証制度に基づき、安心してご利用いただけます。
保証に関する詳細については利用規約をご確認ください。

Please note: All products are 'FOR RESEARCH USE ONLY. NOT FOR USE IN DIAGNOSTIC OR THERAPEUTIC PROCEDURES'.

For licensing inquiries, please contact partnerships@abcam.com