JavaScript is disabled in your browser. Please enable JavaScript to view this website.
AB184276

Anti-Fyn 抗体 [EPR19636]

Anti-Fyn antibody [EPR19636]

Be the first to review this product! Submit a review

|

(10 Publications)

Rabbit Recombinant Monoclonal FYN antibody. Suitable for IP, WB, Flow Cyt (Intra), IHC-P and reacts with Mouse, Rat, Human samples. Cited in 10 publications.

別名を表示する

Tyrosine-protein kinase Fyn, Proto-oncogene Syn, Proto-oncogene c-Fyn, Src-like kinase, p59-Fyn, SLK, FYN

11 Images
Flow Cytometry (Intracellular) - Anti-Fyn antibody [EPR19636] (AB184276)
  • Flow Cyt (Intra)

Supplier Data

Flow Cytometry (Intracellular) - Anti-Fyn antibody [EPR19636] (AB184276)

Intracellular flow cytometric analysis of 4% paraformaldehyde-fixed RAW 264.7 (mouse macrophage cell line transformed with Abelson murine leukemia virus) cell line labeling Fyn with ab184276 at 1/50 dilution (red) compared with a Rabbit IgG, monoclonal [EPR25A] - Isotype Control (ab172730) (black) and an unlabeled control (cells without incubation with primary antibody and secondary antibody) (blue). Goat Anti-Rabbit IgG H&L (Alexa Fluor® 488) at 1/2000 dilution was used as the secondary antibody.

Immunohistochemistry (Formalin/PFA-fixed paraffin-embedded sections) - Anti-Fyn antibody [EPR19636] (AB184276)
  • IHC-P

Supplier Data

Immunohistochemistry (Formalin/PFA-fixed paraffin-embedded sections) - Anti-Fyn antibody [EPR19636] (AB184276)

Immunohistochemical analysis of paraffin-embedded human cerebral cortex tissue labeling Fyn with ab184276 at 1/500 dilution, followed by Goat Anti-Rabbit IgG H&L (HRP) Ready to use. Cytoplasmic staining on human cerebral cortex (PMID : 7544314). Counter stained with Hematoxylin.

Secondary antibody only control : Used PBS instead of primary antibody, secondary antibody is Goat Anti-Rabbit IgG H&L (HRP) Ready to use.

Perform heat mediated antigen retrieval with Tris/EDTA buffer pH 9.0 before commencing with IHC staining protocol.

Immunohistochemistry (Formalin/PFA-fixed paraffin-embedded sections) - Anti-Fyn antibody [EPR19636] (AB184276)
  • IHC-P

Supplier Data

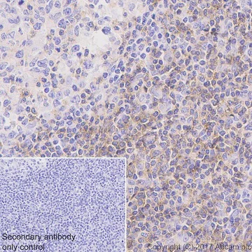
Immunohistochemistry (Formalin/PFA-fixed paraffin-embedded sections) - Anti-Fyn antibody [EPR19636] (AB184276)

Immunohistochemical analysis of paraffin-embedded human tonsil tissue labeling Fyn with ab184276 at 1/500 dilution, followed by Goat Anti-Rabbit IgG H&L (HRP) Ready to use. Cytoplasmic staining on T cells of human tonsil (PMID : 10523617). Counter stained with Hematoxylin.

Secondary antibody only control : Used PBS instead of primary antibody, secondary antibody is Goat Anti-Rabbit IgG H&L (HRP) Ready to use.

Perform heat mediated antigen retrieval with Tris/EDTA buffer pH 9.0 before commencing with IHC staining protocol.

Immunohistochemistry (Formalin/PFA-fixed paraffin-embedded sections) - Anti-Fyn antibody [EPR19636] (AB184276)
  • IHC-P

Supplier Data

Immunohistochemistry (Formalin/PFA-fixed paraffin-embedded sections) - Anti-Fyn antibody [EPR19636] (AB184276)

Immunohistochemical analysis of paraffin-embedded rat testis tissue labeling Fyn with ab184276 at 1/500 dilution, followed by Goat Anti-Rabbit IgG H&L (HRP) Ready to use. Membranous staining on rat testis (PMID : 7544314). Counter stained with Hematoxylin.

Secondary antibody only control : Used PBS instead of primary antibody, secondary antibody is Goat Anti-Rabbit IgG H&L (HRP) Ready to use.

Perform heat mediated antigen retrieval with Tris/EDTA buffer pH 9.0 before commencing with IHC staining protocol.

Immunohistochemistry (Formalin/PFA-fixed paraffin-embedded sections) - Anti-Fyn antibody [EPR19636] (AB184276)
  • IHC-P

Supplier Data

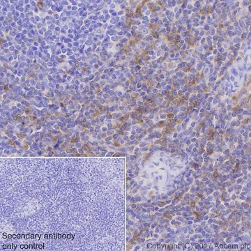
Immunohistochemistry (Formalin/PFA-fixed paraffin-embedded sections) - Anti-Fyn antibody [EPR19636] (AB184276)

Immunohistochemical analysis of paraffin-embedded mouse spleen tissue labeling Fyn with ab184276 at 1/500 dilution, followed by Goat Anti-Rabbit IgG H&L (HRP) Ready to use. Cytoplasmic staining on T cells of mouse spleen (PMID : 7544314, PMID : 10523617). Counter stained with Hematoxylin.

Secondary antibody only control : Used PBS instead of primary antibody, secondary antibody is Goat Anti-Rabbit IgG H&L (HRP) Ready to use.

Perform heat mediated antigen retrieval with Tris/EDTA buffer pH 9.0 before commencing with IHC staining protocol.

Immunoprecipitation - Anti-Fyn antibody [EPR19636] (AB184276)
  • IP

Supplier Data

Immunoprecipitation - Anti-Fyn antibody [EPR19636] (AB184276)

Fyn was immunoprecipitated from 0.35 mg of P0 mouse brain lysate with ab184276 at 1/40 dilution. Western blot was performed from the immunoprecipitate using ab184276 at 1/1000 dilution. VeriBlot for IP Detection Reagent (HRP) (ab131366), was used for detection at 1/10000 dilution.

Lane 1 : P0 mouse brain lysate 10 μg (Input).

Lane 2 : ab184276 IP in P0 mouse brain lysate.

Lane 3 : Rabbit monoclonal IgG (ab172730) instead of ab184276 in P0 mouse brain lysate.

Blocking and dilution buffer and concentration : 5% NFDM/TBST.

Exposure time : 3 minutes.

All lanes:

Immunoprecipitation - Anti-Fyn antibody [EPR19636] (ab184276)

Predicted band size: 60 kDa

false

Western blot - Anti-Fyn antibody [EPR19636] (AB184276)
  • WB

Supplier Data

Western blot - Anti-Fyn antibody [EPR19636] (AB184276)

Blocking/Dilution buffer : 5% NFDM/TBST.

Exposure time : Lanes 1 and 2 : 3 minutes; Lanes 3,4 and 5 : 8 seconds.

All lanes:

Western blot - Anti-Fyn antibody [EPR19636] (ab184276) at 1/1000 dilution

Lane 1:

Human brain lysate at 20 µg

Lane 2:

Ramos (human Burkitt's lymphoma cell line) whole cell lysate at 20 µg

Lane 3:

HEK-293 (human epithelial cell line from embryonic kidney) whole cell lysate at 20 µg

Lane 4:

P0 mouse brain lysate at 20 µg

Lane 5:

P0 rat brain lysate at 20 µg

Secondary

Lane 1:

Western blot - VeriBlot for IP Detection Reagent (HRP) (<a href='/products/reagents/veriblot-for-ip-detection-reagent-hrp-ab131366'>ab131366</a>) at 1/4000 dilution

Lanes 2 - 5:

Western blot - Goat Anti-Rabbit IgG H&L (HRP) (<a href='/products/secondary-antibodies/goat-rabbit-igg-h-l-hrp-ab97051'>ab97051</a>) at 1/100000 dilution

Predicted band size: 60 kDa

Observed band size: 60 kDa

true

Western blot - Anti-Fyn antibody [EPR19636] (AB184276)
  • WB

Unknown

Western blot - Anti-Fyn antibody [EPR19636] (AB184276)

Lanes 1-3 : Merged signal (red and green). Green - ab184276 observed at 60 kDa. Red - loading control, ab8245 observed at 37 kDa.

ab184276 Anti-Fyn antibody [EPR19636] was shown to specifically react with Fyn in wild-type HEK293T cells. Loss of signal was observed when knockout cell line ab266133 (knockout cell lysate ab257071) was used. Wild-type and Fyn knockout samples were subjected to SDS-PAGE. ab184276 and Anti-GAPDH antibody [6C5] - Loading Control (ab8245) were incubated overnight at 4°C at 1 in 1000 dilution and 1 in 20000 dilution respectively. Blots were developed with Goat anti-Rabbit IgG H&L (IRDye® 800CW) preadsorbed (ab216773) and Goat anti-Mouse IgG H&L (IRDye® 680RD) preadsorbed (ab216776) secondary antibodies at 1 in 10000 dilution for 1 hour at room temperature before imaging.

All lanes:

Western blot - Anti-Fyn antibody [EPR19636] (ab184276) at 1/1000 dilution

Lane 1:

Wild-type HEK293T cell lysate at 20 µg

Lane 2:

FYN knockout HEK293T cell lysate at 20 µg

Lane 3:

Human brain tissue lysate at 20 µg

Predicted band size: 60 kDa

Observed band size: 60 kDa

false

Western blot - Anti-Fyn antibody [EPR19636] (AB184276)
  • WB

Lab

Western blot - Anti-Fyn antibody [EPR19636] (AB184276)

False colour image of Western blot : Anti-Fyn antibody [EPR19636] staining at 1/1000 dilution, shown in green; Mouse anti-GAPDH antibody [6C5] (ab8245) loading control staining at 1/20000 dilution, shown in red. In Western blot, ab184276 was shown to bind specifically to Fyn. A band was observed at 60 kDa in wild-type HEK-293 cell lysates with no signal observed at this size in FYN knockout cell line ab269630 (knockout cell lysate ab272440). To generate this image, wild-type and FYN knockout HEK-293 cell lysates were analysed. First, samples were run on an SDS-PAGE gel then transferred onto a nitrocellulose membrane. Membranes were blocked in 3% milk in TBS-0.1 % Tween® 20 (TBS-T) before incubation with primary antibodies overnight at 4°C. Blots were washed four times in TBS-T, incubated with secondary antibodies for 1 h at room temperature, washed again four times then imaged. Secondary antibodies used were Goat anti-Rabbit IgG H&L (IRDye® 800CW) preabsorbed (ab216773) and Goat anti-Mouse IgG H&L (IRDye® 680RD) preabsorbed (ab216776) at 1/20000 dilution.

All lanes:

Western blot - Anti-Fyn antibody [EPR19636] (ab184276) at 1/1000 dilution

Lane 1:

Wild-type HEK-293 cell lysate at 20 µg

Lane 2:

FYN knockout HEK-293 cell lysate at 20 µg

Lane 2:

Western blot - Human FYN knockout HEK-293 cell line (<a href='/products/cell-lines/human-fyn-knockout-hek-293-cell-line-ab269630'>ab269630</a>)

Predicted band size: 60 kDa

Observed band size: 60 kDa

false

Western blot - Anti-Fyn antibody [EPR19636] (AB184276)
  • WB

Supplier Data

Western blot - Anti-Fyn antibody [EPR19636] (AB184276)

Blocking/Dilution buffer : 5% NFDM/TBST.

All lanes:

Western blot - Anti-Fyn antibody [EPR19636] (ab184276) at 1/1000 dilution

Lane 1:

RAW 264.7 (mouse macrophage cell line transformed with Abelson murine leukemia virus) whole cell lysate at 10 µg

Lane 2:

PC-12 (rat adrenal gland pheochromocytoma cell line) whole cell lysate at 10 µg

Lane 3:

NIH/3T3 (mouse embyro fibroblast cell line) whole cell lysate at 10 µg

Lane 4:

Rat spleen lysate at 10 µg

Secondary

All lanes:

Western blot - Goat Anti-Rabbit IgG H&L (HRP) (<a href='/products/secondary-antibodies/goat-rabbit-igg-h-l-hrp-ab97051'>ab97051</a>) at 1/100000 dilution

Predicted band size: 60 kDa,88 kDa

Observed band size: 60 kDa,90 kDa

true

Exposure time: 3min

Western blot - Anti-Fyn antibody [EPR19636] (AB184276)
  • WB

Lab

Western blot - Anti-Fyn antibody [EPR19636] (AB184276)

Lanes 1-3 : Merged signal (red and green). Green - ab184276 observed at 60 kDa. Red - loading control, ab8245 observed at 37 kDa.

ab184276 Anti-Fyn antibody [EPR19636] was shown to specifically react with Fyn in wild-type HEK293T cells. Loss of signal was observed when knockout cell line ab266133 (knockout cell lysate ab257071) was used. Wild-type and Fyn knockout samples were subjected to SDS-PAGE. ab184276 and Anti-GAPDH antibody [6C5] - Loading Control (ab8245) were incubated overnight at 4°C at 1 in 1000 dilution and 1 in 20000 dilution respectively. Blots were developed with Goat anti-Rabbit IgG H&L (IRDye® 800CW) preadsorbed (ab216773) and Goat anti-Mouse IgG H&L (IRDye® 680RD) preadsorbed (ab216776) secondary antibodies at 1 in 10000 dilution for 1 hour at room temperature before imaging.

All lanes:

Western blot - Anti-Fyn antibody [EPR19636] (ab184276) at 1/1000 dilution

Lane 1:

Wild-type HEK-293T cell lysate at 20 µg

Lane 2:

FYN knockout HEK-293T cell lysate at 20 µg

Lane 2:

Western blot - Human FYN knockout HEK-293T cell line (<a href='/products/cell-lines/human-fyn-knockout-hek-293t-cell-line-ab266133'>ab266133</a>)

Lane 3:

Human brain tissue lysate at 20 µg

Predicted band size: 60 kDa

Observed band size: 159 kDa

false

関連する標識済み抗体及び組成の異なる製品 (10)

Key facts

宿主種

Rabbit

クローン性

Monoclonal

クローン番号

EPR19636

アイソタイプ

IgG

キャリアフリー

No

交差種

Mouse, Rat, Human

アプリケーション

WB, IP, Flow Cyt (Intra), IHC-P

applications

免疫原

The exact immunogen used to generate this antibody is proprietary information.

Reactivity data

{ "title": "Reactivity Data", "filters": { "stats": ["", "Species", "Dilution Info", "Notes"], "tabs": { "all-applications": {"fullname" : "All Applications", "shortname": "All Applications"}, "IP" : {"fullname" : "Immunoprecipitation", "shortname":"IP"}, "WB" : {"fullname" : "Western blot", "shortname":"WB"}, "FlowCytIntra" : {"fullname" : "Flow Cytometry (Intracellular)", "shortname":"Flow Cyt (Intra)"}, "IHCP" : {"fullname" : "Immunohistochemistry (Formalin/PFA-fixed paraffin-embedded sections)", "shortname":"IHC-P"} }, "product-promise": { "all": "all", "testedAndGuaranteed": "tested", "guaranteed": "expected", "predicted": "predicted", "notRecommended": "not-recommended" } }, "values": { "Human": { "IP-species-checked": "guaranteed", "IP-species-dilution-info": "", "IP-species-notes": "", "WB-species-checked": "testedAndGuaranteed", "WB-species-dilution-info": "1/1000", "WB-species-notes": "<p></p>", "FlowCytIntra-species-checked": "guaranteed", "FlowCytIntra-species-dilution-info": "", "FlowCytIntra-species-notes": "", "IHCP-species-checked": "testedAndGuaranteed", "IHCP-species-dilution-info": "1/500", "IHCP-species-notes": "<p></p> Perform heat-mediated antigen retrieval with Tris/EDTA buffer pH 9.0 before commencing with IHC staining protocol." }, "Mouse": { "IP-species-checked": "testedAndGuaranteed", "IP-species-dilution-info": "1/40", "IP-species-notes": "<p></p> Perform heat-mediated antigen retrieval with Tris/EDTA buffer pH 9.0 before commencing with IHC staining protocol.", "WB-species-checked": "testedAndGuaranteed", "WB-species-dilution-info": "1/1000", "WB-species-notes": "<p></p> Perform heat-mediated antigen retrieval with Tris/EDTA buffer pH 9.0 before commencing with IHC staining protocol.", "FlowCytIntra-species-checked": "testedAndGuaranteed", "FlowCytIntra-species-dilution-info": "1/50", "FlowCytIntra-species-notes": "<p></p>", "IHCP-species-checked": "testedAndGuaranteed", "IHCP-species-dilution-info": "1/500", "IHCP-species-notes": "<p></p> Perform heat-mediated antigen retrieval with Tris/EDTA buffer pH 9.0 before commencing with IHC staining protocol." }, "Rat": { "IP-species-checked": "guaranteed", "IP-species-dilution-info": "", "IP-species-notes": "", "WB-species-checked": "testedAndGuaranteed", "WB-species-dilution-info": "1/1000", "WB-species-notes": "<p></p> Perform heat-mediated antigen retrieval with Tris/EDTA buffer pH 9.0 before commencing with IHC staining protocol.", "FlowCytIntra-species-checked": "guaranteed", "FlowCytIntra-species-dilution-info": "", "FlowCytIntra-species-notes": "", "IHCP-species-checked": "testedAndGuaranteed", "IHCP-species-dilution-info": "1/500", "IHCP-species-notes": "<p></p> Perform heat-mediated antigen retrieval with Tris/EDTA buffer pH 9.0 before commencing with IHC staining protocol." } } }

製品の詳細

Patented technology
Our RabMAb® technology is a patented hybridoma-based technology for making rabbit monoclonal antibodies. For details on our patents, please refer to RabMAb® patents.

What are the advantages of a recombinant monoclonal antibody?
This product is a recombinant monoclonal antibody, which offers several advantages including:

  • - High batch-to-batch consistency and reproducibility
  • - Improved sensitivity and specificity
  • - Long-term security of supply
  • - Animal-free batch production

For more information, read more on recombinant antibodies.

出荷温度及び保存条件

製品の状態
Liquid
精製方法
Affinity purification Protein A
バッファー組成
pH: 7.2 Preservative: 0.01% Sodium azide Constituents: PBS, 40% Glycerol (glycerin, glycerine), 0.05% BSA
出荷温度
Blue Ice
短期保存期間
1-2 weeks
短期保存温度
+4°C
長期保存温度
-20°C
分注に関する情報
Upon delivery aliquot
保管に関する情報
Avoid freeze / thaw cycle

補足情報

This supplementary information is collated from multiple sources and compiled automatically.

Fyn is a Src family tyrosine kinase with a molecular weight of approximately 59 kDa. It is often referred to as Fyn kinase and plays a significant role in signal transduction processes. This protein is observed in various tissues with high expression in the brain T cells and platelets. Fyn kinase is known for its function in cell communication and regulates different cellular processes in these tissues.
Biological function summary

Fyn kinase influences cell growth differentiation and survival. It is a part of larger signaling complexes including those accountable for the development and function of the central nervous system. The protein's activity is important for neural plasticity and supports synaptic communication particularly within the brain. Fyn can interact with other proteins in these complexes to help direct cellular responses to external signals.

Pathways

Fyn kinase is central to several intracellular signaling pathways such as the T cell receptor (TCR) signaling pathway and the integrin signaling pathway. The TCR signaling pathway involves the regulation of immune responses while the integrin signaling pathway contributes to cell adhesion and migration. Other proteins like Lck and Yes interact with Fyn within these pathways adding another layer of regulation and response in various cell types.

Fyn kinase has associations with Alzheimer's disease and certain types of cancer. In Alzheimer's dysregulation of Fyn activity contributes to synaptic dysfunction and neuronal damage. In cancer aberrant Fyn signaling can affect cellular proliferation and metastasis. Proteins such as Tau in Alzheimer's disease and Src in cancer relate to Fyn through their respective pathological processes.

製品プロトコール

For this product, it's our understanding that no specific protocols are required. You can visit:

ターゲットの情報

Non-receptor tyrosine-protein kinase that plays a role in many biological processes including regulation of cell growth and survival, cell adhesion, integrin-mediated signaling, cytoskeletal remodeling, cell motility, immune response and axon guidance (PubMed : 11536198, PubMed : 15489916, PubMed : 15557120, PubMed : 16387660, PubMed : 20100835, PubMed : 7568038, PubMed : 7822789). Inactive FYN is phosphorylated on its C-terminal tail within the catalytic domain (PubMed : 15489916). Following activation by PKA, the protein subsequently associates with PTK2/FAK1, allowing PTK2/FAK1 phosphorylation, activation and targeting to focal adhesions (PubMed : 15489916). Involved in the regulation of cell adhesion and motility through phosphorylation of CTNNB1 (beta-catenin) and CTNND1 (delta-catenin) (PubMed : 17194753). Regulates cytoskeletal remodeling by phosphorylating several proteins including the actin regulator WAS and the microtubule-associated proteins MAP2 and MAPT (PubMed : 14707117, PubMed : 15536091). Promotes cell survival by phosphorylating AGAP2/PIKE-A and preventing its apoptotic cleavage (PubMed : 16841086). Participates in signal transduction pathways that regulate the integrity of the glomerular slit diaphragm (an essential part of the glomerular filter of the kidney) by phosphorylating several slit diaphragm components including NPHS1, KIRREL1 and TRPC6 (PubMed : 14761972, PubMed : 18258597, PubMed : 19179337). Plays a role in neural processes by phosphorylating DPYSL2, a multifunctional adapter protein within the central nervous system, ARHGAP32, a regulator for Rho family GTPases implicated in various neural functions, and SNCA, a small pre-synaptic protein (PubMed : 11162638, PubMed : 12788081, PubMed : 19652227). Involved in reelin signaling by mediating phosphorylation of DAB1 following reelin (RELN)-binding to its receptor (By similarity). Participates in the downstream signaling pathways that lead to T-cell differentiation and proliferation following T-cell receptor (TCR) stimulation (PubMed : 22080863). Phosphorylates PTK2B/PYK2 in response to T-cell receptor activation (PubMed : 20028775). Also participates in negative feedback regulation of TCR signaling through phosphorylation of PAG1, thereby promoting interaction between PAG1 and CSK and recruitment of CSK to lipid rafts (PubMed : 18056706). CSK maintains LCK and FYN in an inactive form (By similarity). Promotes CD28-induced phosphorylation of VAV1 (PubMed : 11005864). In mast cells, phosphorylates CLNK after activation of immunoglobulin epsilon receptor signaling (By similarity). Can also promote CD244-mediated NK cell activation (PubMed : 15713798).
See full target information Tyrosine-protein kinase Fyn

文献 (10)

Recent publications for all applications. Explore the full list and refine your search

Journal of experimental & clinical cancer research : CR 42:80 PubMed37016377

2023

FYN/TOPK/HSPB1 axis facilitates the proliferation and metastasis of gastric cancer.

Applications

Unspecified application

Species

Unspecified reactive species

SanFei Peng,YuHan Yin,YiZheng Zhang,Feng Zhu,Ge Yang,Yang Fu

iScience 26:106524 PubMed37123238

2023

CD36 regulates diurnal glucose metabolism and hepatic clock to maintain glucose homeostasis in mice.

Applications

Unspecified application

Species

Unspecified reactive species

Mengyue Chen,Yang Zhang,Shu Zeng,Danyang Li,Mengyue You,Mingyang Zhang,Zhenyu Wang,Li Wei,Yaxi Chen,Xiong Z Ruan

Cell & bioscience 13:42 PubMed36855057

2023

ANGPTL2 binds MAG to efficiently enhance oligodendrocyte differentiation.

Applications

Unspecified application

Species

Unspecified reactive species

Lu Chen,Zhuo Yu,Li Xie,Xiaoxiao He,Xingmei Mu,Chiqi Chen,Wenqian Yang,Xiaoping Tong,Junling Liu,Zhengliang Gao,Suya Sun,NanJie Xu,Zhigang Lu,Junke Zheng,Yaping Zhang

Scientific reports 13:276 PubMed36609626

2023

Proteomics analysis in myocardium of spontaneously hypertensive rats.

Applications

Unspecified application

Species

Unspecified reactive species

Tingjun Wang,Xiaoqi Cai,Jinze Li,Liangdi Xie

Frontiers in immunology 13:915274 PubMed36016954

2022

FYN regulates cell adhesion at the blood-testis barrier and the apical ectoplasmic specialization its effect on Arp3 in the mouse testis.

Applications

Unspecified application

Species

Unspecified reactive species

Yue Yang,Mingxia Yao,Jie Zeng,Dongwang Zheng,Qin Li,Ya Ni,Xiang Xiao

BMC molecular and cell biology 22:58 PubMed34863087

2021

Fyn kinase regulates dopaminergic neuronal apoptosis in animal and cell models of high glucose (HG) treatment.

Applications

Unspecified application

Species

Unspecified reactive species

Changhong Tan,Xi Liu,Xiaoshuai Zhang,Wuxue Peng,Hui Wang,Wen Zhou,Jin Jiang,Lijuan Mo,Yangmei Chen,Lifen Chen

The Journal of clinical investigation 131: PubMed34491908

2021

CD146 bound to LCK promotes T cell receptor signaling and antitumor immune responses in mice.

Applications

Unspecified application

Species

Unspecified reactive species

Hongxia Duan,Lin Jing,Xiaoqing Jiang,Yanbin Ma,Daji Wang,Jianquan Xiang,Xuehui Chen,Zhenzhen Wu,Huiwen Yan,Junying Jia,Zheng Liu,Jing Feng,Mingzhao Zhu,Xiyun Yan

Artificial cells, nanomedicine, and biotechnology 48:298-304 PubMed31852295

2019

Fyn gene silencing reduces oligodendrocytes apoptosis through inhibiting ERK1/2 phosphorylation in epilepsy.

Applications

Unspecified application

Species

Unspecified reactive species

Xinming Luo,Zhengyu Li,Jing Zhao,Yan Deng,Yuqin Zhong,Ming Zhang

Journal of the American Society of Nephrology : JA 30:1573-1586 PubMed31285284

2019

GPRC5b Modulates Inflammatory Response in Glomerular Diseases NF-B Pathway.

Applications

Unspecified application

Species

Unspecified reactive species

Sonia Zambrano,Katja Möller-Hackbarth,Xidan Li,Patricia Q Rodriguez,Emmanuelle Charrin,Angelina Schwarz,Jenny Nyström,Annika Östman Wernerson,Mark Lal,Jaakko Patrakka

Biomedicine & pharmacotherapy = Biomedecine & phar 116:108984 PubMed31129512

2019

Bioinformatic analysis of differentially expressed genes and identification of key genes in EBV-transformed lymphoblasts.

Applications

Unspecified application

Species

Unspecified reactive species

Yunlian Tang,Yating Zhong,Ting Fu,Yang Zhang,Ailan Cheng,Yongming Dai,Jiani Qu,Runliang Gan
View all publications

Abcam product promise

当社は、高品質な試薬を通じてお客様の研究を力強くサポートすることをお約束いたします。ご使用いただく各段階で、常にお客様をサポートできる体制を整えております。万が一、製品が期待通りに機能しない場合は、「Abcam Product Promise」による当社保証制度に基づき、安心してご利用いただけます。
保証に関する詳細については利用規約をご確認ください。

関連製品

Select an associated product type
Alternative Product
Primary Antibodies

AB1881

Anti-Fyn antibody [FYN-01]

primary-antibodies

fyn-antibody-fyn-01-ab1881

5

(4 reviews)

Alternative Product
Primary Antibodies

AB119855

Anti-Fyn antibody [2A10]

primary-antibodies

fyn-antibody-2a10-ab119855

0

(0 reviews)

Alternative Product
Primary Antibodies

AB182661

Anti-Fyn (phospho Y530) antibody

primary-antibodies

fyn-phospho-y530-antibody-ab182661

0

(0 reviews)

Alternative Product
Primary Antibodies

AB208391

Alexa Fluor® 488 Anti-Fyn antibody [EPR5500]

primary-antibodies

alexa-fluor-488-fyn-antibody-epr5500-ab208391

5

(2 reviews)

Alternative Product
Primary Antibodies

AB207534

Alexa Fluor® 647 Anti-Fyn antibody [EPR5500]

primary-antibodies

alexa-fluor-647-fyn-antibody-epr5500-ab207534

0

(0 reviews)

Alternative Product
Primary Antibodies

AB125016

Anti-Fyn antibody [EPR5500]

primary-antibodies

fyn-antibody-epr5500-ab125016

4

(2 reviews)

Alternative Product
Primary Antibodies

AB240015

Anti-Fyn antibody [EPR5500] - BSA and Azide free

primary-antibodies

fyn-antibody-epr5500-bsa-and-azide-free-ab240015

0

(0 reviews)

Please note: All products are 'FOR RESEARCH USE ONLY. NOT FOR USE IN DIAGNOSTIC OR THERAPEUTIC PROCEDURES'.

For licensing inquiries, please contact partnerships@abcam.com