JavaScript is disabled in your browser. Please enable JavaScript to view this website.
AB320728

Anti-FRS2 抗体 [EPR28714-126] - BSA and Azide free

Anti-FRS2 antibody [EPR28714-126] - BSA and Azide free

Be the first to review this product! Submit a review

|

(0 Publication)

Rabbit Recombinant Monoclonal FRS2 antibody. Carrier free. Suitable for WB and reacts with Mouse samples.

別名を表示する

Frs2a, Fibroblast growth factor receptor substrate 2, FGFR substrate 2, FGFR-signaling adaptor SNT, FRS2-alpha, Suc1-associated neurotrophic factor target 1, SNT-1

2 Images
Western blot - Anti-FRS2 antibody [EPR28714-126] - BSA and Azide free (AB320728)
  • WB

Supplier Data

Western blot - Anti-FRS2 antibody [EPR28714-126] - BSA and Azide free (AB320728)

This data was developed using ab320727, the same antibody clone in a different buffer formulation.

Blocking and diluting buffer and concentration : 5% NFDM/TBST.

The identity of the bands higher than 150 kDa and lower than 50 kDa are unknown.

In Western blot, Anti-Integrin alpha V antibody [EPR16800] (ab179475) staining at 1/5000 dilution.

All lanes:

Western blot - Anti-FRS2 antibody [EPR28714-126] (<a href='/products/primary-antibodies/frs2-antibody-epr28714-126-ab320727'>ab320727</a>) at 1/1000 dilution

Lane 1:

F9 (mouse embryonal carcinoma epithelial cell) non-membrane fraction at 20 µg

Lane 2:

F9 (mouse embryonal carcinoma epithelial cell) membrane fraction at 20 µg

Secondary

All lanes:

Western blot - Goat Anti-Rabbit IgG H&L (HRP) (<a href='/products/secondary-antibodies/goat-rabbit-igg-h-l-hrp-ab97051'>ab97051</a>) at 1/20000 dilution

Observed band size: 74 kDa,116 kDa,135 kDa

false

Exposure time: 180s

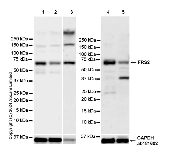
Western blot - Anti-FRS2 antibody [EPR28714-126] - BSA and Azide free (AB320728)
  • WB

Supplier Data

Western blot - Anti-FRS2 antibody [EPR28714-126] - BSA and Azide free (AB320728)

This data was developed using ab320727, the same antibody clone in a different buffer formulation.

Blocking and diluting buffer and concentration : 5% NFDM/TBST.

The identity of the bands higher than 150 kDa and lower than 50 kDa are unknown.

In Western blot, Anti-GAPDH antibody [EPR16891] - Loading Control (ab181602) staining at 1/200000 dilution.

Exposure time : Lanes 1-2 : 15 seconds, lanes 3-5 : 180 seconds

All lanes:

Western blot - Anti-FRS2 antibody [EPR28714-126] (<a href='/products/primary-antibodies/frs2-antibody-epr28714-126-ab320727'>ab320727</a>) at 1/1000 dilution

Lane 1:

NIH/3T3 (mouse embryonic fibroblast) transfected with scrambled siRNA control whole cell lysate at 20 µg

Lane 2:

NIH/3T3 transfected with siRNA specifically targeting FRS2 whole cell lysate at 20 µg

Lane 3:

4T1 (mouse mammary gland carcinoma epithelial cell) whole cell lysate at 20 µg

Lane 4:

Mouse brain tissue lysate at 20 µg

Lane 5:

Mouse liver tissue lysate at 20 µg

Secondary

All lanes:

Western blot - Goat Anti-Rabbit IgG H&L (HRP) (<a href='/products/secondary-antibodies/goat-rabbit-igg-h-l-hrp-ab97051'>ab97051</a>) at 1/20000 dilution

Observed band size: 74 kDa,36 kDa

false

Key facts

宿主種

Rabbit

クローン性

Monoclonal

クローン番号

EPR28714-126

アイソタイプ

IgG

キャリアフリー

Yes

交差種

Mouse

アプリケーション

WB

applications

免疫原

The exact immunogen used to generate this antibody is proprietary information.

Reactivity data

{ "title": "Reactivity Data", "filters": { "stats": ["", "Species", "Dilution Info", "Notes"], "tabs": { "all-applications": {"fullname" : "All Applications", "shortname": "All Applications"}, "WB" : {"fullname" : "Western blot", "shortname":"WB"}, "IHCP" : {"fullname" : "Immunohistochemistry (Formalin/PFA-fixed paraffin-embedded sections)", "shortname":"IHC-P"} }, "product-promise": { "all": "all", "testedAndGuaranteed": "tested", "guaranteed": "expected", "predicted": "predicted", "notRecommended": "not-recommended" } }, "values": { "Human": { "WB-species-checked": "notRecommended", "WB-species-dilution-info": "", "WB-species-notes": "", "IHCP-species-checked": "notRecommended", "IHCP-species-dilution-info": "", "IHCP-species-notes": "<p></p>" }, "Mouse": { "WB-species-checked": "testedAndGuaranteed", "WB-species-dilution-info": "", "WB-species-notes": "<p></p>", "IHCP-species-checked": "notRecommended", "IHCP-species-dilution-info": "", "IHCP-species-notes": "<p></p>" } } }

製品の詳細

ab320728 is the carrier-free version of ab320727.

Patented technology
Our RabMAb® technology is a patented hybridoma-based technology for making rabbit monoclonal antibodies. For details on our patents, please refer to RabMAb® patents.

What are the advantages of a recombinant monoclonal antibody?
This product is a recombinant monoclonal antibody, which offers several advantages including:

  • - High batch-to-batch consistency and reproducibility
  • - Improved sensitivity and specificity
  • - Long-term security of supply
  • - Animal-free batch production

For more information, read more on recombinant antibodies.

Conjugation ready
Our carrier-free antibodies are typically supplied in a PBS-only formulation, purified and free of BSA, sodium azide and glycerol. This conjugation-ready format is designed for use with fluorochromes, metal isotopes, oligonucleotides, and enzymes, which makes them ideal for antibody labelling, functional and cell-based assays, flow-based assays (e.g. mass cytometry) and Multiplex Imaging applications.

Use our conjugation kits for antibody conjugates that are ready-to-use in as little as 20 minutes with 1 minute hands-on-time and 100% antibody recovery: available for fluorescent dyes, HRP, biotin and gold.

Compatibility
This product is compatible with the Maxpar® Antibody Labeling Kit from Fluidigm, without the need for antibody preparation. Maxpar® is a trademark of Fluidigm Canada Inc.

出荷温度及び保存条件

製品の状態
Liquid
精製方法
Affinity purification Protein A
バッファー組成
pH: 7.2 - 7.4 Constituents: PBS
出荷温度
Blue Ice
短期保存温度
+4°C
長期保存温度
+4°C

補足情報

This supplementary information is collated from multiple sources and compiled automatically.

FRS2 also known as Fibroblast growth factor receptor substrate 2 functions as an adaptor protein in cellular signal transduction. This protein with a molecular mass of approximately 60 kDa plays a critical role in linking receptor tyrosine kinases specifically FGFR (Fibroblast Growth Factor Receptor) to downstream signaling pathways. FRS2 primarily expresses in various tissues with notable expression in neural and epithelial cells. Its function involves phosphorylation and the recruitment of downstream signaling molecules which propagate cellular response signals.
Biological function summary

FRS2 integrates into several signaling complexes that regulate key cellular processes. It acts as a scaffold protein creating platforms for the assembly of signaling complexes such as those involving Grb2 (Growth factor receptor-bound protein 2) and Sos (Son of Sevenless). These complexes mediate processes related to cell differentiation proliferation and survival. The protein's ability to anchor and direct these signaling molecules highlights its importance within cellular mechanisms where it influences signaling cascades leading to specific cellular outcomes.

Pathways

The role of FRS2 is essential in the FGFR and MAPK/ERK pathways. Within these pathways FRS2 interacts closely with proteins like FGFR facilitating their activation and consequent downstream signaling events. Through these interactions the protein influences pathways involved in developmental processes and cellular maintenance. FRS2 by enabling FGFR signal transduction significantly impacts cellular responses to external growth stimuli making it an important player in normal cellular function and development.

Abnormalities in FRS2 function or expression link to certain pathologies including cancer and neurological disorders. For instance overactivation of FRS2-mediated signaling pathways can contribute to oncogenic processes leading to uncontrolled cell growth and proliferation. Furthermore mutations affecting FRS2 interaction with FGFR have implications in developmental disorders characterized by neural defects. Understanding FRS2 connections in these diseases helps in identifying potential therapeutic targets for treatment interventions.

製品プロトコール

For this product, it's our understanding that no specific protocols are required. You can visit:

ターゲットの情報

Adapter protein that links activated FGR and NGF receptors to downstream signaling pathways. Plays an important role in the activation of MAP kinases and in the phosphorylation of PIK3R1, the regulatory subunit of phosphatidylinositol 3-kinase, in response to ligand-mediated activation of FGFR1. Modulates signaling via SHC1 by competing for a common binding site on NTRK1.
See full target information Frs2

Abcam product promise

当社は、高品質な試薬を通じてお客様の研究を力強くサポートすることをお約束いたします。ご使用いただく各段階で、常にお客様をサポートできる体制を整えております。万が一、製品が期待通りに機能しない場合は、「Abcam Product Promise」による当社保証制度に基づき、安心してご利用いただけます。
保証に関する詳細については利用規約をご確認ください。

Please note: All products are 'FOR RESEARCH USE ONLY. NOT FOR USE IN DIAGNOSTIC OR THERAPEUTIC PROCEDURES'.

For licensing inquiries, please contact partnerships@abcam.com