JavaScript is disabled in your browser. Please enable JavaScript to view this website.
AB64914

Anti-FRK 抗体

Anti-FRK antibody

4

(1 Review)

|

(3 Publications)

Rabbit Polyclonal FRK antibody. Suitable for WB, IHC-P, ICC/IF and reacts with Human samples. Cited in 3 publications. Immunogen corresponding to Synthetic Peptide within Human FRK.

別名を表示する

PTK5, RAK, FRK, Tyrosine-protein kinase FRK, FYN-related kinase, Nuclear tyrosine protein kinase RAK, Protein-tyrosine kinase 5

3 Images
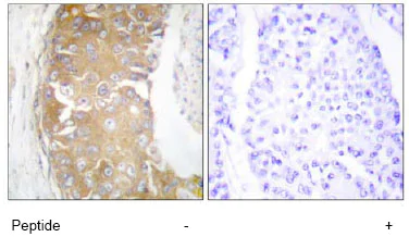
Immunohistochemistry (Formalin/PFA-fixed paraffin-embedded sections) - Anti-FRK antibody (AB64914)
  • IHC-P

Unknown

Immunohistochemistry (Formalin/PFA-fixed paraffin-embedded sections) - Anti-FRK antibody (AB64914)

ab64914, at a 1/50 dilution, staining Human FRK in paraffin embedded breast carcinoma tissue, by Immunohistochemistry, with (+) or without (-) immunising peptide.

Immunocytochemistry/ Immunofluorescence - Anti-FRK antibody (AB64914)
  • ICC/IF

Unknown

Immunocytochemistry/ Immunofluorescence - Anti-FRK antibody (AB64914)

ab64914, at a 1/500 dilution, staining Human FRK in HUVEC cells, by Immunofluorescence, with (+) or without (-) immunising peptide.

Western blot - Anti-FRK antibody (AB64914)
  • WB

Unknown

Western blot - Anti-FRK antibody (AB64914)

All lanes:

Western blot - Anti-FRK antibody (ab64914) at 1/500 dilution

Lane 1:

Extracts from Jurkat cells at 5 µg

Lane 2:

Extracts from Jurkat cells at 5 µg with immunising peptide

Predicted band size: 58 kDa

Observed band size: 49 kDa

false

Key facts

宿主種

Rabbit

クローン性

Polyclonal

アイソタイプ

IgG

キャリアフリー

No

交差種

Human

アプリケーション

WB, ICC/IF, IHC-P

applications

免疫原

Synthetic Peptide within Human FRK. The exact immunogen used to generate this antibody is proprietary information.

P42685

Reactivity data

{ "title": "Reactivity Data", "filters": { "stats": ["", "Species", "Dilution Info", "Notes"], "tabs": { "all-applications": {"fullname" : "All Applications", "shortname": "All Applications"}, "WB" : {"fullname" : "Western blot", "shortname":"WB"}, "IHCP" : {"fullname" : "Immunohistochemistry (Formalin/PFA-fixed paraffin-embedded sections)", "shortname":"IHC-P"}, "ICCIF" : {"fullname" : "Immunocytochemistry/ Immunofluorescence", "shortname":"ICC/IF"} }, "product-promise": { "all": "all", "testedAndGuaranteed": "tested", "guaranteed": "expected", "predicted": "predicted", "notRecommended": "not-recommended" } }, "values": { "Human": { "WB-species-checked": "testedAndGuaranteed", "WB-species-dilution-info": "1/500 - 1/1000", "WB-species-notes": "<p></p>", "IHCP-species-checked": "testedAndGuaranteed", "IHCP-species-dilution-info": "1/50 - 1/100", "IHCP-species-notes": "<p></p>", "ICCIF-species-checked": "testedAndGuaranteed", "ICCIF-species-dilution-info": "1/500 - 1/1000", "ICCIF-species-notes": "<p></p>" }, "Mouse": { "WB-species-checked": "predicted", "WB-species-dilution-info": "", "WB-species-notes": "", "IHCP-species-checked": "predicted", "IHCP-species-dilution-info": "", "IHCP-species-notes": "", "ICCIF-species-checked": "predicted", "ICCIF-species-dilution-info": "", "ICCIF-species-notes": "" }, "Rat": { "WB-species-checked": "predicted", "WB-species-dilution-info": "", "WB-species-notes": "", "IHCP-species-checked": "predicted", "IHCP-species-dilution-info": "", "IHCP-species-notes": "", "ICCIF-species-checked": "predicted", "ICCIF-species-dilution-info": "", "ICCIF-species-notes": "" } } }

出荷温度及び保存条件

製品の状態
Liquid
精製方法
Affinity purification Immunogen
バッファー組成
pH: 7.4 Preservative: 0.02% Sodium azide Constituents: PBS, 50% Glycerol (glycerin, glycerine), 0.87% Sodium chloride
出荷温度
Blue Ice
短期保存温度
+4°C
長期保存温度
-20°C
保管に関する情報
Stable for 12 months at -20°C

補足情報

This supplementary information is collated from multiple sources and compiled automatically.

FRK also known as FYN-related kinase or RAK is a non-receptor tyrosine kinase with a molecular mass of approximately 56 kDa. This protein is predominantly expressed in epithelial tissues including those of the breast kidney and liver. FRK displays substrate specificity and catalytic function by phosphorylating specific tyrosine residues on target proteins which influences cellular processes such as proliferation and differentiation.
Biological function summary

This kinase contributes to the regulation of cell cycle progression and apoptosis. FRK acts solo as well as part of larger signal transduction complexes. It plays a vital role in limiting uncontrolled cellular growth which is particularly significant in maintaining tissue homeostasis. FRK regulates various molecular interactions essential for cell adhesion and communication adding another layer of control over cell physiology.

Pathways

FRK integrates into signaling pathways like the PI3K/AKT and MAPK pathways. These pathways are critical for mediating responses to growth signals and stress conditions. FRK's activity modulates protein interactions with key molecules such as p53 and PTEN influencing downstream effects that control cell cycle checkpoints and apoptosis. By interacting with these pathways FRK helps to balance cell proliferation and survival in response to extracellular cues.

FRK has implications in cancer development particularly in breast cancer. Altered FRK expression or activity has been associated with tumor progression and resistance to treatment. FRK interacts with proteins such as BRCA1 contributing to its role in DNA damage response and tumor suppression. Additionally FRK's aberrant activity links to certain forms of renal disorders where it impacts cellular responses in renal tissue often through modulation of E-cadherin and β-catenin in epithelial cells.

製品プロトコール

For this product, it's our understanding that no specific protocols are required. You can visit:

ターゲットの情報

Non-receptor tyrosine-protein kinase that negatively regulates cell proliferation. Positively regulates PTEN protein stability through phosphorylation of PTEN on 'Tyr-336', which in turn prevents its ubiquitination and degradation, possibly by reducing its binding to NEDD4. May function as a tumor suppressor.
See full target information FRK

文献 (3)

Recent publications for all applications. Explore the full list and refine your search

iScience 28:112858 PubMed40678515

2025

CircYAP1 inhibits osteosarcoma progression through the miR-135b-5p/FRK axis.

Applications

Unspecified application

Species

Unspecified reactive species

Mingrui Du,Xuesan Zhang,Menglin Cong,Chengkui Cai,Qingxiang Zhang,Haixia Xin,Lanbo Yang,Qingqing Geng,Mingfu Shang,Zheng Zhang,Le Shen,Shusen Tan,Kang Han

Neoplasma 68:751-759 PubMed34034495

2021

TRIM44 facilitates ovarian cancer proliferation, migration, and invasion by inhibiting FRK.

Applications

Unspecified application

Species

Unspecified reactive species

Xiu-Zhang Yu,Jia-Ling Yuan,Hui Ye,Ke Yi,Ming-Rong Qie,Min-Min Hou

Molecular medicine reports 16:5386-5392 PubMed28849065

2017

Proteomic profiling of human HepG2 cells treated with hesperidin using antibody array.

Applications

Unspecified application

Species

Unspecified reactive species

Silvia Yumnam,Venu Venkatarame Gowda Saralamma,Suchismita Raha,Ho Jeong Lee,Won Sup Lee,Eun Kim Kim,Sang Joon Lee,Jeong Doo Heo,Gon Sup Kim
View all publications

Abcam product promise

当社は、高品質な試薬を通じてお客様の研究を力強くサポートすることをお約束いたします。ご使用いただく各段階で、常にお客様をサポートできる体制を整えております。万が一、製品が期待通りに機能しない場合は、「Abcam Product Promise」による当社保証制度に基づき、安心してご利用いただけます。
保証に関する詳細については利用規約をご確認ください。

Please note: All products are 'FOR RESEARCH USE ONLY. NOT FOR USE IN DIAGNOSTIC OR THERAPEUTIC PROCEDURES'.

For licensing inquiries, please contact partnerships@abcam.com