JavaScript is disabled in your browser. Please enable JavaScript to view this website.
AB22510

Anti-FOXP3 抗体 [mAbcam 22510]

Anti-FOXP3 antibody [mAbcam 22510]

3

(8 Reviews)

|

(129 Publications)

Mouse Monoclonal FOXP3 antibody. Suitable for WB, IHC-Fr, IHC-P and reacts with Human samples. Cited in 129 publications.

別名を表示する

IPEX, JM2, FOXP3, Forkhead box protein P3, Scurfin

5 Images
Immunohistochemistry (Frozen sections) - Anti-FOXP3 antibody [mAbcam 22510] (AB22510)
  • IHC-Fr

Supplier Data

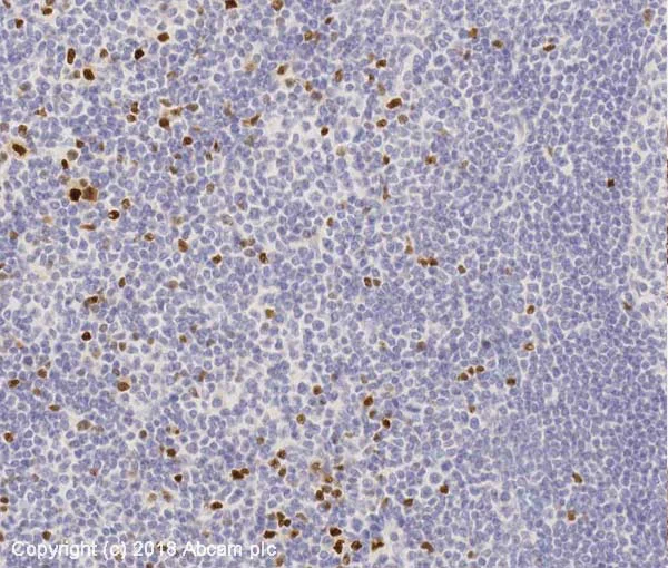
Immunohistochemistry (Frozen sections) - Anti-FOXP3 antibody [mAbcam 22510] (AB22510)

IHC image of FOXP3 staining in a section of formalin-fixed frozen normal human tonsil* performed on a Leica BONDTM system using the standard protocol F. The section was then incubated with ab22510, 10ug/ml, for 15 mins at room temperature and detected using an HRP conjugated compact polymer system. DAB was used as the chromogen. The section was then counterstained with haematoxylin and mounted with DPX.

For other IHC staining systems (automated and non-automated) customers should optimize variable parameters such as antigen retrieval conditions, primary antibody concentration and antibody incubation times.

*Tissue obtained from the Human Research Tissue Bank, supported by the NIHR Cambridge Biomedical Research Centre

Immunohistochemistry (Formalin/PFA-fixed paraffin-embedded sections) - Anti-FOXP3 antibody [mAbcam 22510] (AB22510)
  • IHC-P

Collaborator

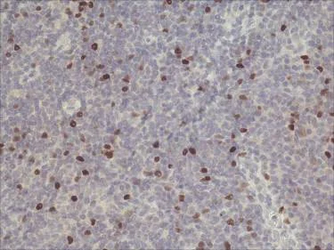
Immunohistochemistry (Formalin/PFA-fixed paraffin-embedded sections) - Anti-FOXP3 antibody [mAbcam 22510] (AB22510)

Clone mAbcam 22510 used to stain formalin-fixed paraffin-embedded sections of human tonsil. Antigens were heat retrieved with pH9 Tris-EDTA buffer.

These images were produced with neat supernatant produced with this clone (the stock of this antibody is purified from supernatant).

This image is courtesy of Alison Banham and Bridget Fox, University of Oxford

Immunohistochemistry (Formalin/PFA-fixed paraffin-embedded sections) - Anti-FOXP3 antibody [mAbcam 22510] (AB22510)
  • IHC-P

Supplier Data

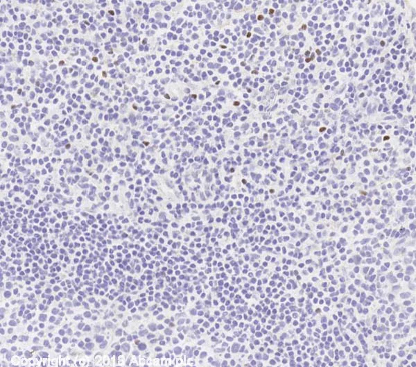
Immunohistochemistry (Formalin/PFA-fixed paraffin-embedded sections) - Anti-FOXP3 antibody [mAbcam 22510] (AB22510)

IHC image of FOXP3 staining in a section of formalin-fixed paraffin-embedded normal human spleen* performed on a Leica BONDTM system using the standard protocol F. The section was pre-treated using heat mediated antigen retrieval with EDTA buffer (pH9, epitope retrieval solution 2) for 20mins. The section was then incubated with ab22510, 10ug/ml, for 15 mins at room temperature and detected using an HRP conjugated compact polymer system. DAB was used as the chromogen. The section was then counterstained with haematoxylin and mounted with DPX.

For other IHC staining systems (automated and non-automated) customers should optimize variable parameters such as antigen retrieval conditions, primary antibody concentration and antibody incubation times.

*Tissue obtained from the Human Research Tissue Bank, supported by the NIHR Cambridge Biomedical Research Centre

Immunohistochemistry (Formalin/PFA-fixed paraffin-embedded sections) - Anti-FOXP3 antibody [mAbcam 22510] (AB22510)
  • IHC-P

Supplier Data

Immunohistochemistry (Formalin/PFA-fixed paraffin-embedded sections) - Anti-FOXP3 antibody [mAbcam 22510] (AB22510)

IHC image of FOXP3 staining in a section of formalin-fixed paraffin-embedded normal human tonsil* performed on a Leica BONDTM system using the standard protocol F. The section was pre-treated using heat mediated antigen retrieval with EDTA buffer (pH9, epitope retrieval solution 2) for 20mins. The section was then incubated with ab22510, 10ug/ml, for 15 mins at room temperature and detected using an HRP conjugated compact polymer system. DAB was used as the chromogen. The section was then counterstained with haematoxylin and mounted with DPX.

For other IHC staining systems (automated and non-automated) customers should optimize variable parameters such as antigen retrieval conditions, primary antibody concentration and antibody incubation times.

*Tissue obtained from the Human Research Tissue Bank, supported by the NIHR Cambridge Biomedical Research Centre

Immunohistochemistry (Formalin/PFA-fixed paraffin-embedded sections) - Anti-FOXP3 antibody [mAbcam 22510] (AB22510)
  • IHC-P

Supplier Data

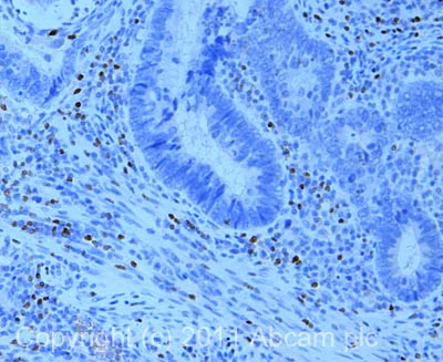
Immunohistochemistry (Formalin/PFA-fixed paraffin-embedded sections) - Anti-FOXP3 antibody [mAbcam 22510] (AB22510)

IHC image of ab22510 staining in human colon carcinoma formalin fixed paraffin embedded tissue section, performed on a Leica BondTM system using the standard protocol F. The section was pre-treated using heat mediated antigen retrieval with sodium citrate buffer (pH6, epitope retrieval solution 1) for 20 mins. The section was then incubated with ab22510, 20µg/ml, for 15 mins at room temperature and detected using an HRP conjugated compact polymer system. DAB was used as the chromogen. The section was then counterstained with haematoxylin and mounted with DPX.

For other IHC staining systems (automated and non-automated) customers should optimize variable parameters such as antigen retrieval conditions, primary antibody concentration and antibody incubation times.

関連する標識済み抗体及び組成の異なる製品 (1)

  • HRP

    HRP Anti-FOXP3 antibody [mAbcam 22510]

Key facts

宿主種

Mouse

クローン性

Monoclonal

クローン番号

mAbcam 22510

アイソタイプ

IgG1

軽鎖のタイプ

kappa

キャリアフリー

No

交差種

Human

アプリケーション

IHC-Fr, IHC-P, WB

applications

免疫原

The exact immunogen used to generate this antibody is proprietary information.

特異性

This product detects an epitope near the C-terminus of the FOXP3 protein and is expected to detect full length FOXP3. It is not expected to detect the cleaved forms of FOXP3.

Reactivity data

{ "title": "Reactivity Data", "filters": { "stats": ["", "Species", "Dilution Info", "Notes"], "tabs": { "all-applications": {"fullname" : "All Applications", "shortname": "All Applications"}, "FlowCyt" : {"fullname" : "Flow Cytometry", "shortname":"Flow Cyt"}, "WB" : {"fullname" : "Western blot", "shortname":"WB"}, "IHCFr" : {"fullname" : "Immunohistochemistry (Frozen sections)", "shortname":"IHC-Fr"}, "IHCP" : {"fullname" : "Immunohistochemistry (Formalin/PFA-fixed paraffin-embedded sections)", "shortname":"IHC-P"} }, "product-promise": { "all": "all", "testedAndGuaranteed": "tested", "guaranteed": "expected", "predicted": "predicted", "notRecommended": "not-recommended" } }, "values": { "Human": { "FlowCyt-species-checked": "notRecommended", "FlowCyt-species-dilution-info": "", "FlowCyt-species-notes": "<p></p>", "WB-species-checked": "testedAndGuaranteed", "WB-species-dilution-info": "1 µg/mL", "WB-species-notes": "<p></p>", "IHCFr-species-checked": "testedAndGuaranteed", "IHCFr-species-dilution-info": "10 µg/mL", "IHCFr-species-notes": "<p></p>", "IHCP-species-checked": "testedAndGuaranteed", "IHCP-species-dilution-info": "10 µg/mL", "IHCP-species-notes": "<p></p> Perform heat-mediated antigen retrieval with Tris/EDTA buffer pH 9.0 before commencing with IHC staining protocol." }, "Mouse": { "FlowCyt-species-checked": "notRecommended", "FlowCyt-species-dilution-info": "", "FlowCyt-species-notes": "", "WB-species-checked": "notRecommended", "WB-species-dilution-info": "1 µg/mL", "WB-species-notes": "<p></p>", "IHCFr-species-checked": "notRecommended", "IHCFr-species-dilution-info": "", "IHCFr-species-notes": "", "IHCP-species-checked": "notRecommended", "IHCP-species-dilution-info": "10 µg/mL", "IHCP-species-notes": "<p></p> Perform heat-mediated antigen retrieval with Tris/EDTA buffer pH 9.0 before commencing with IHC staining protocol." }, "Rat": { "FlowCyt-species-checked": "notRecommended", "FlowCyt-species-dilution-info": "", "FlowCyt-species-notes": "", "WB-species-checked": "notRecommended", "WB-species-dilution-info": "1 µg/mL", "WB-species-notes": "<p></p>", "IHCFr-species-checked": "predicted", "IHCFr-species-dilution-info": "", "IHCFr-species-notes": "", "IHCP-species-checked": "notRecommended", "IHCP-species-dilution-info": "10 µg/mL", "IHCP-species-notes": "<p></p> Perform heat-mediated antigen retrieval with Tris/EDTA buffer pH 9.0 before commencing with IHC staining protocol." } } }

製品の詳細

Want a custom formulation?
This antibody clone is manufactured by Abcam. If you require a custom buffer formulation or conjugation for your experiments, please contact orders@abcam.com

出荷温度及び保存条件

製品の状態
Liquid
精製度
IgG fraction
バッファー組成
Preservative: 0.02% Sodium azide Constituents: PBS, 6.97% L-Arginine
出荷温度
Blue Ice
短期保存期間
1-2 weeks
短期保存温度
+4°C
長期保存温度
-20°C
分注に関する情報
Upon delivery aliquot
保管に関する情報
Avoid freeze / thaw cycle

補足情報

This supplementary information is collated from multiple sources and compiled automatically.

FOXP3 also recognized as Forkhead box P3 is a transcription factor critical for immune system function. It weighs approximately 47 kDa. FOXP3 is mainly expressed in regulatory T cells (Tregs) which play a role in maintaining immune tolerance. Scientists primarily identify its presence in the nucleus where it facilitates transcriptional regulation. Methods like 'FOXP3 IHC' and 'FOXP3 IHC mouse' are useful for detecting this protein in tissue samples while 'FOXP3 antibodies' aid in research on this target. Techniques like 'FOXP3 staining' and 'FOXP3 flow cytometry' further allow for the analysis of its expression and function.
Biological function summary

This transcription factor operates by regulating the expression of a variety of genes involved in Treg cell development and function. FOXP3 can interact with other proteins to form complexes that modulate gene expression. Its role is essential in enabling Tregs to suppress immune responses a process necessary for preventing autoimmunity. The interaction extends to other key regulators within Tregs such as the protein complex 221D which may have overlapping functional responsibilities. 'FOXP3 236a/E7' reflects its genetic variants detectable in different studies providing insights into its biological functions.

Pathways

FOXP3 is a significant player within the immune regulation pathway. It integrates into the TGF-beta signaling pathway in which it controls the expression of genes important for Treg functions. The protein recruits other transcription factors like NF-kB coordinating intricate network regulations within immune cells. FOXP3's activity orchestrates the balance between immune activation and suppression ensuring a well-functioning immune response that prevents overreactions leading to autoimmune conditions.

FOXP3 mutations or dysregulation can link to autoimmune diseases like immune dysregulation polyendocrinopathy enteropathy X-linked syndrome (IPEX). This transcription factor's malfunction implicates cancer where inadequate Treg function can either suppress antitumor immunity or result in tumor progression. Proteins such as CTLA-4 which is also involved in immune regulation connect to FOXP3 in these contexts emphasizing FOXP3’s significant role in maintaining immune homeostasis and its impact on disease development.

製品プロトコール

For this product, it's our understanding that no specific protocols are required. You can visit:

ターゲットの情報

The protein expressed by the FOXP3 gene is a transcriptional regulator critical for the development and inhibitory function of regulatory T-cells (Treg). It plays an essential role in immune system homeostasis by ensuring the suppressive function and stability of Treg cells and directly influencing conventional T-cells' expansion and function. FOXP3 can function as either a transcriptional repressor or activator, depending on its interactions with other factors, such as transcription factors, histone acetylases, and deacetylases. It co-activates genes like CTLA4 and TNFRSF18 and represses cytokine genes, including interleukin-2 (IL2) and interferon-gamma (IFNG), and inhibits cytokine production by repressing the activity of transcription factors RELA and NFATC2. FOXP3's association with histone acetylase KAT5 and deacetylase HDAC7 mediates IL2 repression, while its interaction with transcription factor RUNX1 modulates the expression of TNFRSF18, IL2RA, CTLA4, IL2, and IFNG. It also antagonizes RORC to inhibit the differentiation of IL17 producing helper T-cells (Th17), leading to reduced IL17 expression and promoting Treg development, while inhibiting the transcriptional activator activity of RORA. This supplementary information is collated from multiple sources and compiled automatically.
See full target information FOXP3

文献 (129)

Recent publications for all applications. Explore the full list and refine your search

Nature communications 14:7709 PubMed38001101

2023

Low-dose radiotherapy combined with dual PD-L1 and VEGFA blockade elicits antitumor response in hepatocellular carcinoma mediated by activated intratumoral CD8 exhausted-like T cells.

Applications

Unspecified application

Species

Unspecified reactive species

Siqi Li,Kun Li,Kang Wang,Haoyuan Yu,Xiangyang Wang,Mengchen Shi,Zhixing Liang,Zhou Yang,Yongwei Hu,Yang Li,Wei Liu,Hua Li,Shuqun Cheng,Linsen Ye,Yang Yang

Cell transplantation 32:9636897231207177 PubMed37950374

2023

Timing of Mesenchymal Stromal Cell Therapy Defines its Immunosuppressive Effects in a Rat Lung Transplantation Model.

Applications

Unspecified application

Species

Unspecified reactive species

Yukinori Tanoue,Tomoshi Tsuchiya,Takuro Miyazaki,Mayumi Iwatake,Hironosuke Watanabe,Hiroshi Yukawa,Kazuhide Sato,Go Hatachi,Koichiro Shimoyama,Keitaro Matsumoto,Ryoichiro Doi,Koichi Tomoshige,Takeshi Nagayasu

Frontiers in immunology 14:1220129 PubMed37965317

2023

The oesophageal adenocarcinoma tumour immune microenvironment dictates outcomes with different modalities of neoadjuvant therapy - results from the AGITG DOCTOR trial and the cancer evolution biobank.

Applications

Unspecified application

Species

Unspecified reactive species

James M Lonie,Sandra Brosda,Vanessa F Bonazzi,Lauren G Aoude,Kalpana Patel,Ian Brown,Sowmya Sharma,Guy Lampe,Venkateswar Addala,Lambros T Koufariotis,Scott Wood,Nicola Waddell,Riccardo Dolcetti,Andrew P Barbour

International journal of molecular sciences 24: PubMed37686454

2023

HLA Class I Expression Is Associated with DNA Damage and Immune Cell Infiltration into Dysplastic and Neoplastic Lesions in Ulcerative Colitis.

Applications

Unspecified application

Species

Unspecified reactive species

Haruka Okami,Naoya Ozawa,Makoto Sohda,Takehiko Yokobori,Katsuya Osone,Bilguun Erkhem-Ochir,Gendensuren Dorjkhorloo,Takuya Shiraishi,Takuhisa Okada,Akihiko Sano,Makoto Sakai,Tatsuya Miyazaki,Hiroomi Ogawa,Takashi Yao,Takahiro Oike,Hiro Sato,Ken Shirabe,Atsushi Shibata,Hiroshi Saeki

Pathology international 73:490-496 PubMed37589439

2023

Lowered IL-37 gene expression and elevated IL-37-producing tissue-resident immune cells in psoriasis lesional biopsies.

Applications

Unspecified application

Species

Unspecified reactive species

Aini Wulamujiang,Seyma Ozkanli,Ender Coskunpinar,Halime Tuba Canbaz,Gamze Yesilay,Muhammetnur Tekayev,Kubra Sevgin

Aging 15:7533-7550 PubMed37531206

2023

HBx promotes hepatocellular carcinoma progression by repressing the transcription level of miR-187-5p.

Applications

Unspecified application

Species

Unspecified reactive species

Yang Deng,La Wang,Yingjie Zhang,Dandan Sun,Hang Min,Hao Zhou,Chengchen Xu,Na Xu,Fengwu Qiu,Jingjiao Zhou,Jun Zhou

Nature 619:606-615 PubMed37438521

2023

Co-transplantation of autologous T cells in a cell therapy for Parkinson's disease.

Applications

Unspecified application

Species

Unspecified reactive species

Tae-Yoon Park,Jeha Jeon,Nayeon Lee,Jisun Kim,Bin Song,Jung-Ho Kim,Sang-Kyou Lee,Dongxin Liu,Young Cha,Minseon Kim,Pierre Leblanc,Todd M Herrington,Bob S Carter,Jeffrey S Schweitzer,Kwang-Soo Kim

Frontiers in immunology 14:1172768 PubMed37383237

2023

Prognostic impact of intra- and peritumoral immune cell subpopulations in head and neck squamous cell carcinomas - comprehensive analysis of the TCGA-HNSC cohort and immunohistochemical validation on 101 patients.

Applications

Unspecified application

Species

Unspecified reactive species

Moritz Knebel,Sandrina Körner,Jan Philipp Kühn,Silke Wemmert,Lukas Brust,Sigrun Smola,Mathias Wagner,Rainer M Bohle,Luc G T Morris,Abhinav Pandey,Bernhard Schick,Maximilian Linxweiler

Cell death discovery 9:81 PubMed36872341

2023

Iron supplementation enhances RSL3-induced ferroptosis to treat naïve and prevent castration-resistant prostate cancer.

Applications

Unspecified application

Species

Unspecified reactive species

Federica Maccarinelli,Daniela Coltrini,Silvia Mussi,Mattia Bugatti,Marta Turati,Paola Chiodelli,Arianna Giacomini,Floriana De Cillis,Nadia Cattane,Annamaria Cattaneo,Alessia Ligresti,Michela Asperti,Maura Poli,William Vermi,Marco Presta,Roberto Ronca

Nature communications 14:892 PubMed36807354

2023

Tracking the evolution of esophageal squamous cell carcinoma under dynamic immune selection by multi-omics sequencing.

Applications

Unspecified application

Species

Unspecified reactive species

Sijia Cui,Nicholas McGranahan,Jing Gao,Peng Chen,Wei Jiang,Lingrong Yang,Li Ma,Junfang Liao,Tian Xie,Congying Xie,Tariq Enver,Shixiu Wu
View all publications

Abcam product promise

当社は、高品質な試薬を通じてお客様の研究を力強くサポートすることをお約束いたします。ご使用いただく各段階で、常にお客様をサポートできる体制を整えております。万が一、製品が期待通りに機能しない場合は、「Abcam Product Promise」による当社保証制度に基づき、安心してご利用いただけます。
保証に関する詳細については利用規約をご確認ください。

Please note: All products are 'FOR RESEARCH USE ONLY. NOT FOR USE IN DIAGNOSTIC OR THERAPEUTIC PROCEDURES'.

For licensing inquiries, please contact partnerships@abcam.com