JavaScript is disabled in your browser. Please enable JavaScript to view this website.
AB227649

Anti-FOXP1 抗体 [SP133] - C-terminal

Anti-FOXP1 antibody [SP133] - C-terminal

Be the first to review this product! Submit a review

|

(5 Publications)

Rabbit Recombinant Monoclonal FOXP1 antibody. C-terminal. Suitable for IHC-P, Flow Cyt (Intra), WB, IHC-Fr and reacts with Mouse, Rat, Human samples. Cited in 5 publications.

別名を表示する

HSPC215, FOXP1, Forkhead box protein P1, Mac-1-regulated forkhead, MFH

10 Images
Flow Cytometry (Intracellular) - Anti-FOXP1 antibody [SP133] - C-terminal (AB227649)
  • Flow Cyt (Intra)

Lab

Flow Cytometry (Intracellular) - Anti-FOXP1 antibody [SP133] - C-terminal (AB227649)

Flow cytometry staining of human peripheral blood mononuclear cells (PBMCs) with ab227649 (right) or Recombinant Rabbit IgG, monoclonal [EPR25A] - Isotype Control (left). Cells were fixed and permeabilised with BD Cytofix/Cytoperm™ for 20 min. PBMCs were incubated for 30 min at 4°C in 1x PBS containing 10 μg/ml human IgG and 10 % normal goat serum to block FC receptors and non-specific protein-protein interaction followed by the antibody ab227649 or Recombinant Rabbit IgG, monoclonal [EPR25A] - Isotype Control (1x 106 in 100 μl at 0.2 μg/ml (1/10050)) for 30 min at 4°C . The cells were simultaneously stained with CD4.

The secondary antibody Goat Anti-Rabbit IgG H&L (Alexa Fluor® 488) preadsorbed was incubated at 1/4000 for 30min at 4°C

Acquisition of >30000 events were collected using a 50 mW Blue laser (488nm) and 525/40 bandpass filter. Events were gated on viable cells.

Immunohistochemistry (Formalin/PFA-fixed paraffin-embedded sections) - Anti-FOXP1 antibody [SP133] - C-terminal (AB227649)
  • IHC-P

Supplier Data

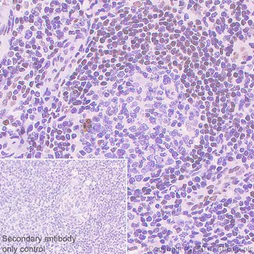
Immunohistochemistry (Formalin/PFA-fixed paraffin-embedded sections) - Anti-FOXP1 antibody [SP133] - C-terminal (AB227649)

Formalin-fixed, paraffin-embedded human tonsil tissue stained for FOXP1 using ab227649 at 1/100 dilution in immunohistochemical analysis.

Flow Cytometry (Intracellular) - Anti-FOXP1 antibody [SP133] - C-terminal (AB227649)
  • Flow Cyt (Intra)

Supplier Data

Flow Cytometry (Intracellular) - Anti-FOXP1 antibody [SP133] - C-terminal (AB227649)

Flow cytometric analysis of MOLT-4 (human lymphoblastic leukemia cell line) cell line labeling FOXP1 with ab227649 at 1/100 dilution (green) compared with a negative control of rabbit IgG (blue).

Immunohistochemistry (Formalin/PFA-fixed paraffin-embedded sections) - Anti-FOXP1 antibody [SP133] - C-terminal (AB227649)
  • IHC-P

Unknown

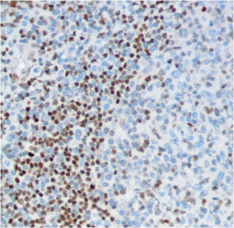
Immunohistochemistry (Formalin/PFA-fixed paraffin-embedded sections) - Anti-FOXP1 antibody [SP133] - C-terminal (AB227649)

Immunohistochemistry (Formalin/PFA-fixed paraffin-embedded sections) analysis of Human tonsil tissue sections labeling FOXP1 with ab227649 at 1/100 dilution (2.40 µg/ml). Heat mediated antigen retrieval was performed Heat mediated antigen retrieval with sodium citrate buffer (pH 6.0, epitope retrieval solution 1) for 20 mins. Rabbit specific IHC polymer detection kit HRP/DAB (ab209101) was used as the secondary antibody. Negative control : PBS instead of the primary antibody. Hematoxylin was used as a counterstain.

Flow Cytometry (Intracellular) - Anti-FOXP1 antibody [SP133] - C-terminal (AB227649)
  • Flow Cyt (Intra)

Unknown

Flow Cytometry (Intracellular) - Anti-FOXP1 antibody [SP133] - C-terminal (AB227649)

Flow cytometry analysis of HepG2 (Human hepatocellular carcinoma epithelial cell) labeling FOXP1 with purified ab227649 at 1/20 dilution (12 μg/ml) (red). Cells were fixed with 4% paraformaldehyde and permeabilised with 90% methanol. Goat anti rabbit IgG (Alexa Fluor® 488, ab150077) at 1/2000 dilution was used as a secondary antibody. Isotype control -Rabbit monoclonal IgG (ab172730) / Black. Unlableled control -Unlabelled cells / blue.

Immunohistochemistry (Formalin/PFA-fixed paraffin-embedded sections) - Anti-FOXP1 antibody [SP133] - C-terminal (AB227649)
  • IHC-P

Unknown

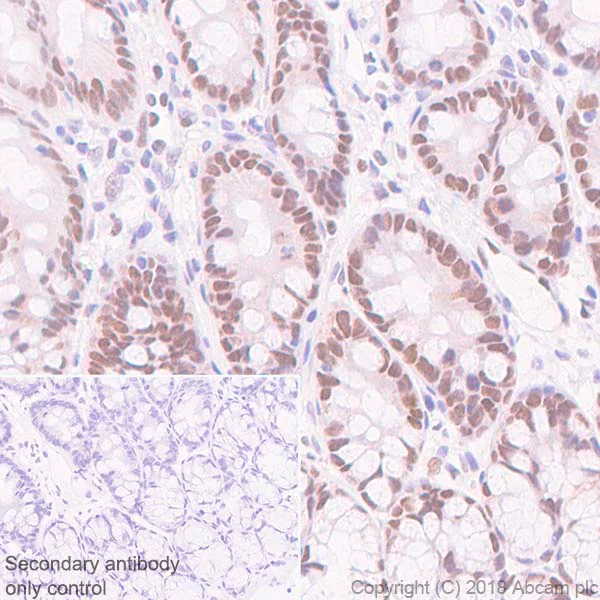
Immunohistochemistry (Formalin/PFA-fixed paraffin-embedded sections) - Anti-FOXP1 antibody [SP133] - C-terminal (AB227649)

Immunohistochemistry (Formalin/PFA-fixed paraffin-embedded sections) analysis of Mouse colon tissue sections labeling FOXP1 with ab227649 at 1/400 dilution (0.60 µg/ml). Heat mediated antigen retrieval was performed Heat mediated antigen retrieval with sodium citrate buffer (pH 6.0, epitope retrieval solution 1) for 20 mins. Rabbit specific IHC polymer detection kit HRP/DAB (ab209101) was used as the secondary antibody. Negative control : PBS instead of the primary antibody. Hematoxylin was used as a counterstain.

Immunohistochemistry (Formalin/PFA-fixed paraffin-embedded sections) - Anti-FOXP1 antibody [SP133] - C-terminal (AB227649)
  • IHC-P

Unknown

Immunohistochemistry (Formalin/PFA-fixed paraffin-embedded sections) - Anti-FOXP1 antibody [SP133] - C-terminal (AB227649)

Immunohistochemistry (Formalin/PFA-fixed paraffin-embedded sections) analysis of Rat colon tissue sections labeling FOXP1 with ab227649 at 1/400 dilution (0.60 µg/ml). Heat mediated antigen retrieval was performed Heat mediated antigen retrieval with sodium citrate buffer (pH 6.0, epitope retrieval solution 1) for 20 mins. Rabbit specific IHC polymer detection kit HRP/DAB (ab209101) was used as the secondary antibody. Negative control : PBS instead of the primary antibody. Hematoxylin was used as a counterstain.

Immunohistochemistry (Frozen sections) - Anti-FOXP1 antibody [SP133] - C-terminal (AB227649)
  • IHC-Fr

Unknown

Immunohistochemistry (Frozen sections) - Anti-FOXP1 antibody [SP133] - C-terminal (AB227649)

Immunohistochemistry (Frozen) analysis of rat cerebrum tissue section labeling FOXP1 with purified ab227649 at 1/25 (9.6 μg/ml). Sections were fixed in 4% paraformaldehyde and permeabilized with 0.2% Triton X-100. Antigen retrieval was Heat mediated antigen retrieval using sodium citrate buffer (10mM citrate pH 6.0 + 0.05% Tween-20). Goat anti rabbit IgG (Alexa Fluor ®488, ab150077) was used as the secondary antibody at 1/1000 (2 μg/ml) dilution. DAPI was used as nuclear counterstain. PBS instead of the primary antibody was used as the secondary antibody only control.

Immunohistochemistry (Frozen sections) - Anti-FOXP1 antibody [SP133] - C-terminal (AB227649)
  • IHC-Fr

Unknown

Immunohistochemistry (Frozen sections) - Anti-FOXP1 antibody [SP133] - C-terminal (AB227649)

Immunohistochemistry (Frozen) analysis of rat cerebral cortex tissue section labeling FOXP1 with purified ab227649 at 1/25 (9.6 μg/ml). Sections were fixed in 4% paraformaldehyde and permeabilized with 0.2% Triton X-100. Antigen retrieval was Heat mediated antigen retrieval using sodium citrate buffer (10mM citrate pH 6.0 + 0.05% Tween-20). Goat anti rabbit IgG (Alexa Fluor® 488, ab150077) was used as the secondary antibody at 1/1000 (2 μg/ml) dilution. DAPI was used as nuclear counterstain. PBS instead of the primary antibody was used as the secondary antibody only control.

Western blot - Anti-FOXP1 antibody [SP133] - C-terminal (AB227649)
  • WB

Supplier Data

Western blot - Anti-FOXP1 antibody [SP133] - C-terminal (AB227649)

All lanes:

Western blot - Anti-FOXP1 antibody [SP133] - C-terminal (ab227649) at 1/25 dilution

All lanes:

MCF7 (human breast adenocarcinoma cell line) cell lysate

Predicted band size: 75 kDa

false

関連する標識済み抗体及び組成の異なる製品 (2)

Key facts

宿主種

Rabbit

クローン性

Monoclonal

クローン番号

SP133

アイソタイプ

IgG

キャリアフリー

No

交差種

Mouse, Rat, Human

アプリケーション

IHC-Fr, WB, IHC-P, Flow Cyt (Intra)

applications

免疫原

The exact immunogen used to generate this antibody is proprietary information.

Reactivity data

{ "title": "Reactivity Data", "filters": { "stats": ["", "Species", "Dilution Info", "Notes"], "tabs": { "all-applications": {"fullname" : "All Applications", "shortname": "All Applications"}, "IHCP" : {"fullname" : "Immunohistochemistry (Formalin/PFA-fixed paraffin-embedded sections)", "shortname":"IHC-P"}, "FlowCytIntra" : {"fullname" : "Flow Cytometry (Intracellular)", "shortname":"Flow Cyt (Intra)"}, "WB" : {"fullname" : "Western blot", "shortname":"WB"}, "IHCFr" : {"fullname" : "Immunohistochemistry (Frozen sections)", "shortname":"IHC-Fr"} }, "product-promise": { "all": "all", "testedAndGuaranteed": "tested", "guaranteed": "expected", "predicted": "predicted", "notRecommended": "not-recommended" } }, "values": { "Human": { "IHCP-species-checked": "testedAndGuaranteed", "IHCP-species-dilution-info": "1/100", "IHCP-species-notes": "<p>Primary antibody incubation for 10 minutes at room temperature.</p>", "FlowCytIntra-species-checked": "testedAndGuaranteed", "FlowCytIntra-species-dilution-info": "1/100", "FlowCytIntra-species-notes": "<p>Primary antibody incubation for 30 minutes at 4°C.</p>", "WB-species-checked": "testedAndGuaranteed", "WB-species-dilution-info": "1/25", "WB-species-notes": "<p>Primary antibody incubation for 1 hour at room temperature.</p>", "IHCFr-species-checked": "guaranteed", "IHCFr-species-dilution-info": "", "IHCFr-species-notes": "" }, "Mouse": { "IHCP-species-checked": "testedAndGuaranteed", "IHCP-species-dilution-info": "1/100", "IHCP-species-notes": "<p>Primary antibody incubation for 10 minutes at room temperature.</p>", "FlowCytIntra-species-checked": "guaranteed", "FlowCytIntra-species-dilution-info": "", "FlowCytIntra-species-notes": "", "WB-species-checked": "guaranteed", "WB-species-dilution-info": "", "WB-species-notes": "", "IHCFr-species-checked": "guaranteed", "IHCFr-species-dilution-info": "", "IHCFr-species-notes": "" }, "Rat": { "IHCP-species-checked": "testedAndGuaranteed", "IHCP-species-dilution-info": "1/100", "IHCP-species-notes": "<p>Primary antibody incubation for 10 minutes at room temperature.</p>", "FlowCytIntra-species-checked": "guaranteed", "FlowCytIntra-species-dilution-info": "", "FlowCytIntra-species-notes": "", "WB-species-checked": "guaranteed", "WB-species-dilution-info": "", "WB-species-notes": "", "IHCFr-species-checked": "testedAndGuaranteed", "IHCFr-species-dilution-info": "1/25", "IHCFr-species-notes": "<p></p>" } } }

製品の詳細

What are the advantages of a recombinant monoclonal antibody?
This product is a recombinant monoclonal antibody, which offers several advantages including:

  • - High batch-to-batch consistency and reproducibility
  • - Improved sensitivity and specificity
  • - Long-term security of supply
  • - Animal-free batch production

For more information, read more on recombinant antibodies.

出荷温度及び保存条件

製品の状態
Liquid
精製方法
Affinity purification Protein A/G
精製に関する特記事項
Purified from TCS by protein A/G.
バッファー組成
pH: 7.6 Preservative: 0.1% Sodium azide Constituents: PBS, 1% BSA
出荷温度
Blue Ice
短期保存期間
1-2 weeks
短期保存温度
+4°C
長期保存温度
-20°C
分注に関する情報
Upon delivery aliquot
保管に関する情報
Avoid freeze / thaw cycle

補足情報

This supplementary information is collated from multiple sources and compiled automatically.

FOXP1 also known as forkhead box P1 is a transcription factor that belongs to the forkhead box (FOX) family. This protein weighs approximately 75-80 kDa and is expressed in a variety of tissues including the brain heart and lung. It plays a role in regulating gene expression acting as a transcriptional repressor or activator depending on the context. FOXP1 modulates several developmental processes through its interaction with DNA influencing cellular differentiation and proliferation. Its activity is vital in embryonic development and in maintaining the function of certain adult tissues.
Biological function summary

This transcription factor functions in the regulation of gene expression associated with neurodevelopment cardiac growth and immune responses. FOXP1 often forms a complex with other transcription factors such as FOXP2 and FOXP4 which enhances its regulatory roles. These interactions allow it to control various genetic programs that are important in the maturation and specification of different cell types. Moreover FOXP1 contributes to the modulation of B-cell development and function highlighting its importance in immune system regulation.

Pathways

FOXP1 takes part in several key signaling pathways including the Wnt signaling pathway and the TGF-beta pathway. The Wnt signaling pathway relates FOXP1 to β-catenin influencing the expression of genes involved in cell proliferation and differentiation. In the TGF-beta pathway its interactions with SMAD proteins underline its function in cellular processes such as apoptosis and epithelial–mesenchymal transition. These pathways emphasize FOXP1's contribution to controlling cell growth and development across different biological contexts.

Disruptions in the function of this transcription factor have been linked to conditions like intellectual disability and certain types of cancer including lymphoma. The relationship between FOXP1 and proteins such as BCL2 in lymphoma highlights its role in tumorigenesis and progression. Additionally mutations affecting FOXP1 can disturb its interaction with other forkhead family proteins leading to neurodevelopmental disorders that impact cognitive abilities and behavior. Understanding these connections provides insights into how FOXP1's altered activity can contribute to disease pathology.

製品プロトコール

For this product, it's our understanding that no specific protocols are required. You can visit:

ターゲットの情報

Transcriptional repressor (PubMed : 18347093, PubMed : 26647308). Can act with CTBP1 to synergistically repress transcription but CTPBP1 is not essential (By similarity). Plays an important role in the specification and differentiation of lung epithelium. Acts cooperatively with FOXP4 to regulate lung secretory epithelial cell fate and regeneration by restricting the goblet cell lineage program; the function may involve regulation of AGR2. Essential transcriptional regulator of B-cell development. Involved in regulation of cardiac muscle cell proliferation. Involved in the columnar organization of spinal motor neurons. Promotes the formation of the lateral motor neuron column (LMC) and the preganglionic motor column (PGC) and is required for respective appropriate motor axon projections. The segment-appropriate generation of spinal cord motor columns requires cooperation with other Hox proteins. Can regulate PITX3 promoter activity; may promote midbrain identity in embryonic stem cell-derived dopamine neurons by regulating PITX3. Negatively regulates the differentiation of T follicular helper cells T(FH)s. Involved in maintenance of hair follicle stem cell quiescence; the function probably involves regulation of FGF18 (By similarity). Represses transcription of various pro-apoptotic genes and cooperates with NF-kappa B-signaling in promoting B-cell expansion by inhibition of caspase-dependent apoptosis (PubMed : 25267198). Binds to CSF1R promoter elements and is involved in regulation of monocyte differentiation and macrophage functions; repression of CSF1R in monocytes seems to involve NCOR2 as corepressor (PubMed : 15286807, PubMed : 18347093, PubMed : 18799727). Involved in endothelial cell proliferation, tube formation and migration indicative for a role in angiogenesis; the role in neovascularization seems to implicate suppression of SEMA5B (PubMed : 24023716). Can negatively regulate androgen receptor signaling (PubMed : 18640093). Acts as a transcriptional activator of the FBXL7 promoter; this activity is regulated by AURKA (PubMed : 28218735).. Isoform 8. Involved in transcriptional regulation in embryonic stem cells (ESCs). Stimulates expression of transcription factors that are required for pluripotency and decreases expression of differentiation-associated genes. Has distinct DNA-binding specifities as compared to the canonical form and preferentially binds DNA with the sequence 5'-CGATACAA-3' (or closely related sequences) (PubMed : 21924763). Promotes ESC self-renewal and pluripotency (By similarity).
See full target information FOXP1

文献 (5)

Recent publications for all applications. Explore the full list and refine your search

Translational oncology 49:102104 PubMed39197387

2024

The role of deubiquitinase USP2 in driving bladder cancer progression by stabilizing EZH2 to epigenetically silence SOX1 expression.

Applications

Unspecified application

Species

Unspecified reactive species

Fanghua Xu,Xiangda Xu,Huanhuan Deng,Zhaojun Yu,Jianbiao Huang,Leihong Deng,Haichao Chao

Diabetic medicine : a journal of the British Diabetic Association 41:e15386 PubMed38887963

2024

Bone marrow mesenchymal stem cell-derived exosomal miR-221-3p promotes angiogenesis and wound healing in diabetes via the downregulation of forkhead box P1.

Applications

Unspecified application

Species

Unspecified reactive species

Zhi-Yang Qiu,Wei-Cheng Xu,Zun-Hong Liang

Molecular autism 14:34 PubMed37691105

2023

Cortex-restricted deletion of Foxp1 impairs barrel formation and induces aberrant tactile responses in a mouse model of autism.

Applications

Unspecified application

Species

Unspecified reactive species

Xue Li,Shishuai Hao,Shimin Zou,Xiaomeng Tu,Weixi Kong,Tian Jiang,Jie-Guang Chen

Eye and vision (London, England) 9:10 PubMed35248156

2022

Transcription factor Foxp1 is essential for the induction of choroidal neovascularization.

Applications

Unspecified application

Species

Unspecified reactive species

Meifang Yan,Junjian Li,Li Yan,Xue Li,Jie-Guang Chen

Frontiers in cell and developmental biology 9:742319 PubMed34746136

2021

An E2F5-TFDP1-BRG1 Complex Mediates Transcriptional Activation of MYCN in Hepatocytes.

Applications

Unspecified application

Species

Unspecified reactive species

Zhiwen Fan,Ming Kong,Xiulian Miao,Yan Guo,Haozhen Ren,Jinglin Wang,Shuai Wang,Ning Tang,Longcheng Shang,Zhengyi Zhu,Hanyi Liu,Wei Zhu,Xiaolei Shi
View all publications

Abcam product promise

当社は、高品質な試薬を通じてお客様の研究を力強くサポートすることをお約束いたします。ご使用いただく各段階で、常にお客様をサポートできる体制を整えております。万が一、製品が期待通りに機能しない場合は、「Abcam Product Promise」による当社保証制度に基づき、安心してご利用いただけます。
保証に関する詳細については利用規約をご確認ください。

Please note: All products are 'FOR RESEARCH USE ONLY. NOT FOR USE IN DIAGNOSTIC OR THERAPEUTIC PROCEDURES'.

For licensing inquiries, please contact partnerships@abcam.com