JavaScript is disabled in your browser. Please enable JavaScript to view this website.
AB32010

Anti-FOXP1 抗体 [JC12]

Anti-FOXP1 antibody [JC12]

4

(5 Reviews)

|

(45 Publications)

Mouse Monoclonal FOXP1 antibody. Suitable for IHC-P, WB and reacts with Human samples. Cited in 45 publications.

別名を表示する

HSPC215, FOXP1, Forkhead box protein P1, Mac-1-regulated forkhead, MFH

5 Images
Immunohistochemistry (Formalin/PFA-fixed paraffin-embedded sections) - Anti-FOXP1 antibody [JC12] (AB32010)
  • IHC-P

Supplier Data

Immunohistochemistry (Formalin/PFA-fixed paraffin-embedded sections) - Anti-FOXP1 antibody [JC12] (AB32010)

IHC image of FOXP1 staining in a section of formalin-fixed paraffin-embedded normal human colon*. The section was pre-treated using heat mediated antigen retrieval with sodium citrate buffer (pH6, epitope retrieval solution 1) for 20 mins. The section was then incubated with ab32010, 0.1ug/ml, for 15 mins at room temperature and detected using an HRP conjugated compact polymer system. DAB was used as the chromogen. The section was then counterstained with haematoxylin and mounted with DPX.

The inset negative control image is taken from an identical assay without primary antibody.

For other IHC staining systems (automated and non-automated) customers should optimize variable parameters such as antigen retrieval conditions, primary antibody concentration and antibody incubation times.

*Tissue obtained from the Human Research Tissue Bank, supported by the NIHR Cambridge Biomedical Research Centre

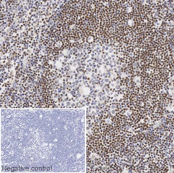
Immunohistochemistry (Formalin/PFA-fixed paraffin-embedded sections) - Anti-FOXP1 antibody [JC12] (AB32010)
  • IHC-P

Supplier Data

Immunohistochemistry (Formalin/PFA-fixed paraffin-embedded sections) - Anti-FOXP1 antibody [JC12] (AB32010)

IHC image of FOXP1 staining in a section of formalin-fixed paraffin-embedded normal human Hodgkin's lymphoma (CD30+)*, showing positive staining in the mantle zone and negative staining in the Hodgkin's cells and germinal centre. The section was pre-treated using heat mediated antigen retrieval with sodium citrate buffer (pH6, epitope retrieval solution 1) for 20 mins. The section was then incubated with ab32010, 0.1ug/ml, for 15 mins at room temperature and detected using an HRP conjugated compact polymer system. DAB was used as the chromogen. The section was then counterstained with haematoxylin and mounted with DPX.

The inset negative control image is taken from an identical assay without primary antibody.

For other IHC staining systems (automated and non-automated) customers should optimize variable parameters such as antigen retrieval conditions, primary antibody concentration and antibody incubation times.

*Tissue obtained from the Human Research Tissue Bank, supported by the NIHR Cambridge Biomedical Research Centre

Western blot - Anti-FOXP1 antibody [JC12] (AB32010)
  • WB

Unknown

Western blot - Anti-FOXP1 antibody [JC12] (AB32010)

This antibody recognizes a long form and two short forms of human FOXP1 as described in Blood. 2008. Mar 1; 111(5) : 2816-24.

Image kindly provided by H. Hu.

All lanes:

Western blot - Anti-FOXP1 antibody [JC12] (ab32010) at 1/500 dilution

Lane 1:

BCBL1 human cell line

Lane 2:

Mutul human cell line

Predicted band size: 75 kDa

Observed band size: 60 kDa,65 kDa,80 kDa

false

Western blot - Anti-FOXP1 antibody [JC12] (AB32010)
  • WB

Unknown

Western blot - Anti-FOXP1 antibody [JC12] (AB32010)

All lanes:

Western blot - Anti-FOXP1 antibody [JC12] (ab32010) at 10 µg/mL

Lane 1:

HEK293 (Human embryonic kidney cell line) Whole Cell Lysate at 10 µg

Lane 2:

HEK293 Whole Cell Lysate Overexpressing FOXP1 at 10 µg

Secondary

All lanes:

Goat polyclonal to Mouse IgG - H&L - Pre-Adsorbed (HRP) (ab65485) at 1/3000 dilution

Predicted band size: 75 kDa

Observed band size: 100 kDa,80 kDa

false

Western blot - Anti-FOXP1 antibody [JC12] (AB32010)
  • WB

CiteAb

Western blot - Anti-FOXP1 antibody [JC12] (AB32010)

FOXP1 western blot using anti-FOXP1 antibody [JC12] ab32010. Publication image and figure legend from Mendoza, E. & Scharff, C., 2017, Front Mol Neurosci, PubMed 28507505.

ab32010 was used in this publication in western blot. This may not be the same as the application(s) guaranteed by Abcam. For a full list of applications guaranteed by Abcam for ab32010 please see the product overview.

Western blots demonstrating the specificity of the different FoxP antibodies by detecting only one FoxP protein in extracts of HeK293 cells transfected with an over-expression vector carrying either empty vector (E.V.), or the three FLAG-tagged FoxP proteins. Proteins were resolved by SDS-PAGE, transferred to nitrocellulose, and first detected (top panels) with anti-FoxP1 (A), or anti-FoxP2 (B), or anti FoxP4 (C) and sequentially detected FLAG/b-actin antibodies as loading controls (middle panels) (A–C). Bottom panels show detection of actin in the samples as a loading control. In all cases, the specificity of the antibody is evident from a single band in the expected lane (*).

false

関連する標識済み抗体及び組成の異なる製品 (1)

  • Carrier free

    Anti-FOXP1 antibody [JC12] - BSA and Azide free

Key facts

宿主種

Mouse

クローン性

Monoclonal

クローン番号

JC12

アイソタイプ

IgG2a

キャリアフリー

No

交差種

Human

アプリケーション

IHC-P, WB

applications

免疫原

The exact immunogen used to generate this antibody is proprietary information.

Reactivity data

{ "title": "Reactivity Data", "filters": { "stats": ["", "Species", "Dilution Info", "Notes"], "tabs": { "all-applications": {"fullname" : "All Applications", "shortname": "All Applications"}, "IHCP" : {"fullname" : "Immunohistochemistry (Formalin/PFA-fixed paraffin-embedded sections)", "shortname":"IHC-P"}, "WB" : {"fullname" : "Western blot", "shortname":"WB"} }, "product-promise": { "all": "all", "testedAndGuaranteed": "tested", "guaranteed": "expected", "predicted": "predicted", "notRecommended": "not-recommended" } }, "values": { "Human": { "IHCP-species-checked": "testedAndGuaranteed", "IHCP-species-dilution-info": "0.1 µg/mL", "IHCP-species-notes": "<p></p> Perform heat-mediated antigen retrieval with citrate buffer pH 6 before commencing with IHC staining protocol.", "WB-species-checked": "testedAndGuaranteed", "WB-species-dilution-info": "1/500", "WB-species-notes": "<p></p>" }, "Mouse": { "IHCP-species-checked": "predicted", "IHCP-species-dilution-info": "", "IHCP-species-notes": "", "WB-species-checked": "predicted", "WB-species-dilution-info": "", "WB-species-notes": "" }, "Zebra finch": { "IHCP-species-checked": "predicted", "IHCP-species-dilution-info": "", "IHCP-species-notes": "", "WB-species-checked": "predicted", "WB-species-dilution-info": "", "WB-species-notes": "" } } }

製品の詳細

Want a custom formulation?
This antibody clone is manufactured by Abcam. If you require a custom buffer formulation or conjugation for your experiments, please contact orders@abcam.com

出荷温度及び保存条件

製品の状態
Liquid
精製方法
Affinity purification
バッファー組成
pH: 7.4 Preservative: 0.02% Sodium azide Constituents: PBS, 6.97% L-Arginine
出荷温度
Blue Ice
短期保存期間
1-2 weeks
短期保存温度
+4°C
長期保存温度
-20°C
分注に関する情報
Upon delivery aliquot
保管に関する情報
Avoid freeze / thaw cycle

補足情報

This supplementary information is collated from multiple sources and compiled automatically.

FOXP1 also known as forkhead box P1 is a transcription factor that belongs to the forkhead box (FOX) family. This protein weighs approximately 75-80 kDa and is expressed in a variety of tissues including the brain heart and lung. It plays a role in regulating gene expression acting as a transcriptional repressor or activator depending on the context. FOXP1 modulates several developmental processes through its interaction with DNA influencing cellular differentiation and proliferation. Its activity is vital in embryonic development and in maintaining the function of certain adult tissues.
Biological function summary

This transcription factor functions in the regulation of gene expression associated with neurodevelopment cardiac growth and immune responses. FOXP1 often forms a complex with other transcription factors such as FOXP2 and FOXP4 which enhances its regulatory roles. These interactions allow it to control various genetic programs that are important in the maturation and specification of different cell types. Moreover FOXP1 contributes to the modulation of B-cell development and function highlighting its importance in immune system regulation.

Pathways

FOXP1 takes part in several key signaling pathways including the Wnt signaling pathway and the TGF-beta pathway. The Wnt signaling pathway relates FOXP1 to β-catenin influencing the expression of genes involved in cell proliferation and differentiation. In the TGF-beta pathway its interactions with SMAD proteins underline its function in cellular processes such as apoptosis and epithelial–mesenchymal transition. These pathways emphasize FOXP1's contribution to controlling cell growth and development across different biological contexts.

Disruptions in the function of this transcription factor have been linked to conditions like intellectual disability and certain types of cancer including lymphoma. The relationship between FOXP1 and proteins such as BCL2 in lymphoma highlights its role in tumorigenesis and progression. Additionally mutations affecting FOXP1 can disturb its interaction with other forkhead family proteins leading to neurodevelopmental disorders that impact cognitive abilities and behavior. Understanding these connections provides insights into how FOXP1's altered activity can contribute to disease pathology.

製品プロトコール

For this product, it's our understanding that no specific protocols are required. You can visit:

ターゲットの情報

Transcriptional repressor (PubMed : 18347093, PubMed : 26647308). Can act with CTBP1 to synergistically repress transcription but CTPBP1 is not essential (By similarity). Plays an important role in the specification and differentiation of lung epithelium. Acts cooperatively with FOXP4 to regulate lung secretory epithelial cell fate and regeneration by restricting the goblet cell lineage program; the function may involve regulation of AGR2. Essential transcriptional regulator of B-cell development. Involved in regulation of cardiac muscle cell proliferation. Involved in the columnar organization of spinal motor neurons. Promotes the formation of the lateral motor neuron column (LMC) and the preganglionic motor column (PGC) and is required for respective appropriate motor axon projections. The segment-appropriate generation of spinal cord motor columns requires cooperation with other Hox proteins. Can regulate PITX3 promoter activity; may promote midbrain identity in embryonic stem cell-derived dopamine neurons by regulating PITX3. Negatively regulates the differentiation of T follicular helper cells T(FH)s. Involved in maintenance of hair follicle stem cell quiescence; the function probably involves regulation of FGF18 (By similarity). Represses transcription of various pro-apoptotic genes and cooperates with NF-kappa B-signaling in promoting B-cell expansion by inhibition of caspase-dependent apoptosis (PubMed : 25267198). Binds to CSF1R promoter elements and is involved in regulation of monocyte differentiation and macrophage functions; repression of CSF1R in monocytes seems to involve NCOR2 as corepressor (PubMed : 15286807, PubMed : 18347093, PubMed : 18799727). Involved in endothelial cell proliferation, tube formation and migration indicative for a role in angiogenesis; the role in neovascularization seems to implicate suppression of SEMA5B (PubMed : 24023716). Can negatively regulate androgen receptor signaling (PubMed : 18640093). Acts as a transcriptional activator of the FBXL7 promoter; this activity is regulated by AURKA (PubMed : 28218735).. Isoform 8. Involved in transcriptional regulation in embryonic stem cells (ESCs). Stimulates expression of transcription factors that are required for pluripotency and decreases expression of differentiation-associated genes. Has distinct DNA-binding specifities as compared to the canonical form and preferentially binds DNA with the sequence 5'-CGATACAA-3' (or closely related sequences) (PubMed : 21924763). Promotes ESC self-renewal and pluripotency (By similarity).
See full target information FOXP1

文献 (45)

Recent publications for all applications. Explore the full list and refine your search

Communications biology 8:431 PubMed40082538

2025

Targeting FOXP1 phase separation in small cell lung cancer mechanisms of chemotherapy resistance.

Applications

Unspecified application

Species

Unspecified reactive species

Yichun Tang,Yuchun Niu,Yi Chen,Xuyang Zhou,Yueyang Hu,Lei Sun,Yan Xiong,Yue Xu,Qiongyao Wang,Yu Wang,Linlang Guo

Scientific reports 14:29057 PubMed39580495

2024

Expression and regulation of SETBP1 in the song system of male zebra finches (Taeniopygia guttata) during singing.

Applications

Unspecified application

Species

Unspecified reactive species

Dana Jenny Grönberg,Sara Luisa Pinto de Carvalho,Nikola Dernerova,Phillip Norton,Maggie Mei-Ki Wong,Ezequiel Mendoza

Cell reports 42:112198 PubMed36867535

2023

Tumor suppressor p53 regulates heat shock factor 1 protein degradation in Huntington's disease.

Applications

Unspecified application

Species

Unspecified reactive species

Rachel H Mansky,Erin A Greguske,Dahyun Yu,Nicole Zarate,Taylor A Intihar,Wei Tsai,Taylor G Brown,Mackenzie N Thayer,Kompal Kumar,Rocio Gomez-Pastor

Nature communications 13:27 PubMed35031607

2022

Transcriptional programs regulating neuronal differentiation are disrupted in DLG2 knockout human embryonic stem cells and enriched for schizophrenia and related disorders risk variants.

Applications

Unspecified application

Species

Unspecified reactive species

Bret Sanders,Daniel D'Andrea,Mark O Collins,Elliott Rees,Tom G J Steward,Ying Zhu,Gareth Chapman,Sophie E Legge,Antonio F Pardiñas,Adrian J Harwood,William P Gray,Michael C O'Donovan,Michael J Owen,Adam C Errington,Derek J Blake,Daniel J Whitcomb,Andrew J Pocklington,Eunju Shin

Science advances 7: PubMed33536209

2021

Autism-linked gene FoxP1 selectively regulates the cultural transmission of learned vocalizations.

Applications

Unspecified application

Species

Unspecified reactive species

F Garcia-Oscos,T M I Koch,H Pancholi,M Trusel,V Daliparthi,M Co,S E Park,F Ayhan,D H Alam,J E Holdway,G Konopka,T F Roberts

Journal of cachexia, sarcopenia and muscle 12:421-442 PubMed33527776

2021

FoxP1 is a transcriptional repressor associated with cancer cachexia that induces skeletal muscle wasting and weakness.

Applications

Unspecified application

Species

Unspecified reactive species

Daria Neyroud,Rachel L Nosacka,Chandler S Callaway,Jose G Trevino,Hui Hu,Sarah M Judge,Andrew R Judge

Cell reports 33:108268 PubMed33053343

2020

Molecular Fingerprint and Developmental Regulation of the Tegmental GABAergic and Glutamatergic Neurons Derived from the Anterior Hindbrain.

Applications

Unspecified application

Species

Unspecified reactive species

Francesca Morello,Daniel Borshagovski,Mantas Survila,Laura Tikker,Samir Sadik-Ogli,Anna Kirjavainen,Nuri Estartús,Laura Knaapi,Laura Lahti,Petri Törönen,Linas Mazutis,Alessio Delogu,Marjo Salminen,Kaia Achim,Juha Partanen

The Journal of neuroscience : the official journal of the Society for Neuroscience 40:8669-8682 PubMed33046550

2020

Inactivation of the GATA Cofactor ZFPM1 Results in Abnormal Development of Dorsal Raphe Serotonergic Neuron Subtypes and Increased Anxiety-Like Behavior.

Applications

Unspecified application

Species

Unspecified reactive species

Laura Tikker,Plinio Casarotto,Parul Singh,Caroline Biojone,T Petteri Piepponen,Nuri Estartús,Anna Seelbach,Ravindran Sridharan,Liina Laukkanen,Eero Castrén,Juha Partanen

Neuronal signaling 4:NS20200004 PubMed32714602

2020

A role for TGFβ signalling in medium spiny neuron differentiation of human pluripotent stem cells.

Applications

Unspecified application

Species

Unspecified reactive species

Marija Fjodorova,Zoe Noakes,Meng Li

Cell reports 30:3051-3066.e7 PubMed32130906

2020

Single-Cell Analysis of Foxp1-Driven Mechanisms Essential for Striatal Development.

Applications

Unspecified application

Species

Unspecified reactive species

Ashley G Anderson,Ashwinikumar Kulkarni,Matthew Harper,Genevieve Konopka
View all publications

Abcam product promise

当社は、高品質な試薬を通じてお客様の研究を力強くサポートすることをお約束いたします。ご使用いただく各段階で、常にお客様をサポートできる体制を整えております。万が一、製品が期待通りに機能しない場合は、「Abcam Product Promise」による当社保証制度に基づき、安心してご利用いただけます。
保証に関する詳細については利用規約をご確認ください。

Please note: All products are 'FOR RESEARCH USE ONLY. NOT FOR USE IN DIAGNOSTIC OR THERAPEUTIC PROCEDURES'.

For licensing inquiries, please contact partnerships@abcam.com