JavaScript is disabled in your browser. Please enable JavaScript to view this website.
AB47285

Anti-FOXO3A (phospho S253) 抗体

Anti-FOXO3A (phospho S253) antibody

5

(8 Reviews)

|

(58 Publications)

Rabbit Polyclonal FOXO3A phospho S253 antibody. Suitable for ELISA, WB, IHC-P, ICC/IF, IHC-Fr and reacts with Mouse, Rat, Human samples. Cited in 58 publications. Immunogen corresponding to Synthetic Peptide within Human FOXO3 phospho S253.

別名を表示する

FKHRL1, FOXO3A, FOXO3, Forkhead box protein O3, AF6q21 protein, Forkhead in rhabdomyosarcoma-like 1

4 Images
Immunocytochemistry/ Immunofluorescence - Anti-FOXO3A (phospho S253) antibody (AB47285)
  • ICC/IF

AbReview17250****

Immunocytochemistry/ Immunofluorescence - Anti-FOXO3A (phospho S253) antibody (AB47285)

ab47285 at 1/200 dilution staining FOXO3A in human 293FT cells by Immunocytochemistry/ Immunofluorescence. Cells were fixed in formaldehyde, permebilized in 0.5% Triton X-100 and then blocked in 5% BSA for 1 hour at 25°C. The primary antibody was used at 1/200 dilution in PBS and incubated with sample at 4°C for 12 hours. An Alexa Fluor® 488 conjugated Goat polyclonal to rabbit IgG was used as secondary at 1/500 dilution. Image show green staining with ab47285 and blue with DAPI.

This image is courtesy of an anonymous Abreview.

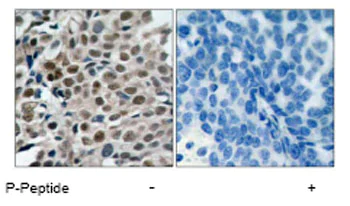
Immunohistochemistry (Formalin/PFA-fixed paraffin-embedded sections) - Anti-FOXO3A (phospho S253) antibody (AB47285)
  • IHC-P

Unknown

Immunohistochemistry (Formalin/PFA-fixed paraffin-embedded sections) - Anti-FOXO3A (phospho S253) antibody (AB47285)

Immunohistochemical analysis of paraffin-embedded human breast carcinoma tissue using ab47285 at a 1/50 dilution.

Left image : Untreated

Right image : Treated with P-Peptide

Immunocytochemistry/ Immunofluorescence - Anti-FOXO3A (phospho S253) antibody (AB47285)
  • ICC/IF

Unknown

Immunocytochemistry/ Immunofluorescence - Anti-FOXO3A (phospho S253) antibody (AB47285)

ICC/IF image of ab47285 stained HeLa cells. The cells were 4% PFA fixed (10 min) and then incubated in 1%BSA / 10% normal goat serum / 0.3M glycine in 0.1% PBS-Tween for 1h to permeabilise the cells and block non-specific protein-protein interactions. The cells were then incubated with the antibody (ab47285, 1µg/ml) overnight at +4°C. The secondary antibody (green) was Alexa Fluor® 488 goat anti-rabbit IgG (H+L) used at a 1/1000 dilution for 1h. Alexa Fluor® 594 WGA was used to label plasma membranes (red) at a 1/200 dilution for 1h. DAPI was used to stain the cell nuclei (blue) at a concentration of 1.43µM.

Western blot - Anti-FOXO3A (phospho S253) antibody (AB47285)
  • WB

Unknown

Western blot - Anti-FOXO3A (phospho S253) antibody (AB47285)

Serum treatment :

  1. 1. Add fresh basic medium to the vessels and starve the cells for 18-24 hours.
  1. 2. Drain the cultured medium, add growth medium and basic medium containing 10% serum to the vessels.

All lanes:

Western blot - Anti-FOXO3A (phospho S253) antibody (ab47285) at 1/500 dilution

Lane 1:

extracts from NIH/3T3 cells untreated at 30 µg

Lane 2:

extracts from NIH/3T3 cells treated with serum at 30 µg

Predicted band size: 71 kDa

Observed band size: 105 kDa,67 kDa

false

Key facts

宿主種

Rabbit

クローン性

Polyclonal

アイソタイプ

IgG

キャリアフリー

No

交差種

Mouse, Human, Rat

アプリケーション

IHC-Fr, ELISA, IHC-P, WB, ICC/IF

applications

免疫原

Synthetic Peptide within Human FOXO3 phospho S253. The exact immunogen used to generate this antibody is proprietary information.

O43524

Reactivity data

{ "title": "Reactivity Data", "filters": { "stats": ["", "Species", "Dilution Info", "Notes"], "tabs": { "all-applications": {"fullname" : "All Applications", "shortname": "All Applications"}, "ELISA" : {"fullname" : "ELISA", "shortname":"ELISA"}, "WB" : {"fullname" : "Western blot", "shortname":"WB"}, "IHCP" : {"fullname" : "Immunohistochemistry (Formalin/PFA-fixed paraffin-embedded sections)", "shortname":"IHC-P"}, "ICCIF" : {"fullname" : "Immunocytochemistry/ Immunofluorescence", "shortname":"ICC/IF"}, "IHCFr" : {"fullname" : "Immunohistochemistry (Frozen sections)", "shortname":"IHC-Fr"} }, "product-promise": { "all": "all", "testedAndGuaranteed": "tested", "guaranteed": "expected", "predicted": "predicted", "notRecommended": "not-recommended" } }, "values": { "Human": { "ELISA-species-checked": "guaranteed", "ELISA-species-dilution-info": "", "ELISA-species-notes": "<p></p>", "WB-species-checked": "guaranteed", "WB-species-dilution-info": "", "WB-species-notes": "", "IHCP-species-checked": "testedAndGuaranteed", "IHCP-species-dilution-info": "", "IHCP-species-notes": "<p></p>", "ICCIF-species-checked": "testedAndGuaranteed", "ICCIF-species-dilution-info": "1 µg/mL", "ICCIF-species-notes": "<p></p>", "IHCFr-species-checked": "guaranteed", "IHCFr-species-dilution-info": "", "IHCFr-species-notes": "<p>See Abreview.</p>" }, "Mouse": { "ELISA-species-checked": "guaranteed", "ELISA-species-dilution-info": "", "ELISA-species-notes": "<p></p>", "WB-species-checked": "testedAndGuaranteed", "WB-species-dilution-info": "1/500 - 1/1000", "WB-species-notes": "<p></p>", "IHCP-species-checked": "guaranteed", "IHCP-species-dilution-info": "", "IHCP-species-notes": "", "ICCIF-species-checked": "guaranteed", "ICCIF-species-dilution-info": "", "ICCIF-species-notes": "", "IHCFr-species-checked": "guaranteed", "IHCFr-species-dilution-info": "", "IHCFr-species-notes": "<p>See Abreview.</p>" }, "Rat": { "ELISA-species-checked": "guaranteed", "ELISA-species-dilution-info": "", "ELISA-species-notes": "<p></p>", "WB-species-checked": "predicted", "WB-species-dilution-info": "", "WB-species-notes": "", "IHCP-species-checked": "predicted", "IHCP-species-dilution-info": "", "IHCP-species-notes": "", "ICCIF-species-checked": "predicted", "ICCIF-species-dilution-info": "", "ICCIF-species-notes": "", "IHCFr-species-checked": "guaranteed", "IHCFr-species-dilution-info": "", "IHCFr-species-notes": "<p>See Abreview.</p>" } } }

下記製品もご検討ください

AB154786

Anti-FOXO3A (phospho S253) antibody [EPR1951(2)]

5
2 Reviews
製品ページを見る
こちらの製品も推奨する理由

私たちは、より高品質な製品をお届けするために、製品構成を常に改善しています。今回ご紹介する代替製品は、性能の向上、使いやすさや利便性の向上、またはより早くお届けできる点などを踏まえて選定しています。

出荷温度及び保存条件

製品の状態
Liquid
精製方法
Affinity purification Immunogen
精製に関する特記事項
The antibody was affinity-purified from rabbit antiserum by affinity-chromatography using epitope-specific phosphopeptide. The antibody against non-phosphopeptide was removed by chromatography using non-phosphopeptide corresponding to the phosphorylation site.
バッファー組成
pH: 7 Preservative: 0.02% Sodium azide Constituents: PBS, 50% Glycerol (glycerin, glycerine), 0.87% Sodium chloride
出荷温度
Blue Ice
短期保存温度
+4°C
長期保存温度
-20°C
分注に関する情報
Upon delivery aliquot
保管に関する情報
Avoid freeze / thaw cycle

補足情報

This supplementary information is collated from multiple sources and compiled automatically.

FOXO3A also known as FOXO3 or 1e2 is a transcription factor with a molecular weight of approximately 71 kDa. It belongs to the Forkhead box O family of proteins. This protein plays an important role in the regulation of transcription in response to oxidative stress and growth stimuli. FOXO3A is expressed in a variety of tissues including liver muscle and brain where it contributes to a wide range of cellular processes related to stress resistance and metabolism. Scientists frequently study FOXO3A using techniques like FOXO3A ELISA and apply FOXO3A anticuerpos in research to understand its function more intricately.
Biological function summary

FOXO3A acts as a regulator of genes involved in cell cycle arrest apoptosis and DNA repair. It is not part of a simple protein complex but works closely with multiple factors to influence cellular homeostasis. Significantly FOXO3A controls the expression of Bcl-2 a protein important for cell survival and the protein p27 which is important for cell cycle control. FOXO3A's activity modulates cellular longevity and impacts stress responses highlighting its abundant biological functions.

Pathways

FOXO3A integrates into the PI3K/AKT and the insulin signaling pathways both essential for cellular metabolism and proliferation control. In the PI3K/AKT pathway FOXO3A functionally links with proteins such as AKT and PTEN where its activity can be inhibited by AKT-mediated phosphorylation. In doing so it supports a balance between cell survival and apoptosis allowing the cell to adjust to growth conditions and external stressors effectively.

FOXO3A is linked to cancer and neurodegenerative diseases. In cancer alterations in FOXO3A activity or expression can affect tumor growth and resistance to oxidative stress often involving interactions with proteins like MDM2. Similarly in neurodegenerative disorders such as Alzheimer's disease FOXO3A modifies responses to oxidative damage potentially tied to proteins like Tau. Both instances highlight the role of FOXO3A as a versatile modulator that can influence the progression and management of various diseases.

製品プロトコール

For this product, it's our understanding that no specific protocols are required. You can visit:

ターゲットの情報

Transcriptional activator that recognizes and binds to the DNA sequence 5'-[AG]TAAA[TC]A-3' and regulates different processes, such as apoptosis and autophagy (PubMed : 10102273, PubMed : 16751106, PubMed : 21329882, PubMed : 30513302). Acts as a positive regulator of autophagy in skeletal muscle : in starved cells, enters the nucleus following dephosphorylation and binds the promoters of autophagy genes, such as GABARAP1L, MAP1LC3B and ATG12, thereby activating their expression, resulting in proteolysis of skeletal muscle proteins (By similarity). Triggers apoptosis in the absence of survival factors, including neuronal cell death upon oxidative stress (PubMed : 10102273, PubMed : 16751106). Participates in post-transcriptional regulation of MYC : following phosphorylation by MAPKAPK5, promotes induction of miR-34b and miR-34c expression, 2 post-transcriptional regulators of MYC that bind to the 3'UTR of MYC transcript and prevent its translation (PubMed : 21329882). In response to metabolic stress, translocates into the mitochondria where it promotes mtDNA transcription (PubMed : 23283301). In response to metabolic stress, translocates into the mitochondria where it promotes mtDNA transcription. Also acts as a key regulator of chondrogenic commitment of skeletal progenitor cells in response to lipid availability : when lipids levels are low, translocates to the nucleus and promotes expression of SOX9, which induces chondrogenic commitment and suppresses fatty acid oxidation (By similarity). Also acts as a key regulator of regulatory T-cells (Treg) differentiation by activating expression of FOXP3 (PubMed : 30513302).
See full target information FOXO3 phospho S253

文献 (58)

Recent publications for all applications. Explore the full list and refine your search

Scientific reports 13:18217 PubMed37880374

2023

HPV16E1 downregulation altered the cell characteristics involved in cervical cancer development.

Applications

Unspecified application

Species

Unspecified reactive species

Thanayod Sasivimolrattana,Arkom Chaiwongkot,Parvapan Bhattarakosol

The Korean journal of internal medicine 38:393-405 PubMed37157174

2023

CTLA4-Ig protects tacrolimus-induced oxidative stress via inhibiting the AKT/FOXO3 signaling pathway in rats.

Applications

Unspecified application

Species

Unspecified reactive species

Long Jin,Nan Shen,Xinyu Wen,Weidong Wang,Sun Woo Lim,Chul Woo Yang

FASEB journal : official publication of the Federation of American Societies for Experimental Biology 37:e22931 PubMed37086099

2023

The novel peptide PFAP1 promotes primordial follicle activation by binding to MCM5.

Applications

Unspecified application

Species

Unspecified reactive species

Yan Zhang,Hanbin Wang,Ye Zhu,Xiaojing Hou,Xing Li,Xiaomei Zhou,Lili Ge,Juan Xu,Yiping Su

Journal of cardiovascular pharmacology 81:150-164 PubMed36607630

2023

HDAC Inhibitors Alleviate Uric Acid-Induced Vascular Endothelial Cell Injury by Way of the HDAC6/FGF21/PI3K/AKT Pathway.

Applications

Unspecified application

Species

Unspecified reactive species

Kaihao Wang,Youhong Zhang,Min Zhou,Yipeng Du,Peixin Li,Chang Guan,Zheng Huang

Brain and behavior 13:e2867 PubMed36585899

2023

The combination of Astragalus membranaceus and ligustrazine mitigates cerebral ischemia-reperfusion injury via regulating NR2B-ERK/CREB signaling.

Applications

Unspecified application

Species

Unspecified reactive species

Xialing Tang,Shanshan Xie,Huajun Wang,Yingbin Li,Zhiyu Lai,Shuangxi Sun,Ruanhuan Pan,Yan Huang,Jun Cai

Molecular reproduction and development 89:485-497 PubMed35943024

2022

Immunolocalization of melatonin receptor type 1 in the sheep ovary and involvement of the PI3K/Akt/FOXO3a signaling pathway in the effects of melatonin on survival and in vitro activation of primordial follicles.

Applications

Unspecified application

Species

Unspecified reactive species

Ricássio S Barberino,Taís J S Macedo,Thae Lanne B G Lins,Vanúzia G Menezes,Regina L S Silva,Alane P O Monte,Raimundo C Palheta,Johan E J Smitz,Maria Helena T Matos

International journal of molecular sciences 23: PubMed35806364

2022

Tumor-Suppressor Role of the α1-Na/K-ATPase Signalosome in NASH Related Hepatocellular Carcinoma.

Applications

Unspecified application

Species

Unspecified reactive species

Utibe-Abasi S Udoh,Moumita Banerjee,Pradeep K Rajan,Juan D Sanabria,Gary Smith,Mathew Schade,Jacqueline A Sanabria,Yuto Nakafuku,Komal Sodhi,Sandrine V Pierre,Joseph I Shapiro,Juan R Sanabria

International journal of oncology 60: PubMed35348189

2022

Isoforms of the orphan nuclear receptor COUP‑TFII differentially modulate pancreatic cancer progression.

Applications

Unspecified application

Species

Unspecified reactive species

Simone Polvani,Sara Pepe,Sara Tempesti,Mirko Tarocchi,Giada Marroncini,Lapo Bencini,Elisabetta Ceni,Tommaso Mello,Lucia Picariello,Irene Simeone,Cecilia Grappone,Gabriele Dragoni,Lorenzo Antonuzzo,Elisa Giommoni,Stefano Milani,Andrea Galli

Genes & nutrition 17:3 PubMed35164673

2022

Programmed death-ligand 1 signaling and expression are reversible by lycopene via PI3K/AKT and Raf/MEK/ERK pathways in tongue squamous cell carcinoma.

Applications

Unspecified application

Species

Unspecified reactive species

Mingjing Peng,Songqing Fan,Junjun Li,Xiao Zhou,Qianjin Liao,Faqing Tang,Wei Liu

Molecular medicine reports 25: PubMed34913071

2021

Phytochemical‑rich herbal formula ATG‑125 protects against sucrose‑induced gastrocnemius muscle atrophy by rescuing Akt signaling and improving mitochondrial dysfunction in young adult mice.

Applications

Unspecified application

Species

Unspecified reactive species

Ching-Chuan Yeh,Hsuan-Miao Liu,Ming-Chung Lee,Yann-Lii Leu,Wei-Han Chiang,Hen-Hong Chang,Tzung-Yan Lee
View all publications

Abcam product promise

当社は、高品質な試薬を通じてお客様の研究を力強くサポートすることをお約束いたします。ご使用いただく各段階で、常にお客様をサポートできる体制を整えております。万が一、製品が期待通りに機能しない場合は、「Abcam Product Promise」による当社保証制度に基づき、安心してご利用いただけます。
保証に関する詳細については利用規約をご確認ください。

関連製品

Select an associated product type
Alternative Product
Primary Antibodies

AB109629

Anti-FOXO3A antibody [EPR1950]

primary-antibodies

foxo3a-antibody-epr1950-ab109629

0

(1 reviews)

Alternative Product
Primary Antibodies

AB240127

Anti-FOXO3A (phospho S253) antibody [EPR1951(2)] - BSA and Azide free

primary-antibodies

foxo3a-phospho-s253-antibody-epr19512-bsa-and-azide-free-ab240127

0

(0 reviews)

Please note: All products are 'FOR RESEARCH USE ONLY. NOT FOR USE IN DIAGNOSTIC OR THERAPEUTIC PROCEDURES'.

For licensing inquiries, please contact partnerships@abcam.com