JavaScript is disabled in your browser. Please enable JavaScript to view this website.
AB312326

Anti-FOXO1A (pT24)+FOXO3A (pT32)+FOXO4 (pT28)+FOXO6 (pT26) 抗体 [EPR28359-78]

Anti-FOXO1A (pT24)+FOXO3A (pT32)+FOXO4 (pT28)+FOXO6 (pT26) antibody [EPR28359-78]

Be the first to review this product! Submit a review

|

(1 Publication)

Rabbit Recombinant Monoclonal FOXO1A phospho T24 antibody. Suitable for WB, Dot, Flow Cyt (Intra) and reacts with Transfected cell lysate - Mouse, Human, Mouse, Synthetic peptide samples. Cited in 1 publication.

別名を表示する

Fkhr, Foxo1a, Foxo1, Forkhead box protein O1, Forkhead box protein O1A, Forkhead in rhabdomyosarcoma

7 Images
Flow Cytometry (Intracellular) - Anti-FOXO1A (pT24)+FOXO3A (pT32)+FOXO4 (pT28)+FOXO6 (pT26) antibody [EPR28359-78] (AB312326)
  • Flow Cyt (Intra)

Supplier Data

Flow Cytometry (Intracellular) - Anti-FOXO1A (pT24)+FOXO3A (pT32)+FOXO4 (pT28)+FOXO6 (pT26) antibody [EPR28359-78] (AB312326)

Flow cytometric analysis of 4% paraformaldehyde fixed 90% methanol permeabilized Isotype (Left) / NIH/3T3 (mouse embryonic fibroblast) treated with 100nM Calyculin A for 30min (Middle) / Untreated NIH/3T3 (Right) cells labelling FOXO1A (phospho T24) + FOXO3A (phospho T32) + FOXO4/AFX (phospho T28) + FOXO6 (phospho T26) with ab312326 at 1/500 dilution (0.1 ug)/Right (Red) compared with a Rabbit monoclonal IgG (ab172730) / Left isotype control and an unlabelled control (cells without incubation with primary antibody and secondary antibody) (Blue). A Goat Anti-Rabbit IgG (Alexa Fluor® 488, ab150081) at 1/5000 dilution was used as the secondary antibody.

Western blot - Anti-FOXO1A (pT24)+FOXO3A (pT32)+FOXO4 (pT28)+FOXO6 (pT26) antibody [EPR28359-78] (AB312326)
  • WB

Supplier Data

Western blot - Anti-FOXO1A (pT24)+FOXO3A (pT32)+FOXO4 (pT28)+FOXO6 (pT26) antibody [EPR28359-78] (AB312326)

Blocking and diluting buffer and concentration : 5% NFDM/TBST The bands above 100 kDa are unknown. In Western blot, anti-FOXO4 antibody (ab128908) staining at 1/1000 dilution. Exposure time : 59 seconds.

All lanes:

Western blot - Anti-FOXO1A (pT24)+FOXO3A (pT32)+FOXO4 (pT28)+FOXO6 (pT26) antibody [EPR28359-78] (ab312326) at 1/1000 dilution

Lane 1:

Jurkat (human t cell leukemia t lymphocyte from peripheral blood) starved overnight, then treated with 50 uM LY294092 for 30min whole cell lysate (untreated membrane) at 20 µg

Lane 2:

Jurkat starved overnight, then treated with 20% serum and 100nM Calycin A for 30min whole cell lysate (untreated membrane) at 20 µg

Lane 3:

Jurkat starved overnight, then treated with 20% serum and 100nM Calycin A for 30min whole cell lysate (phosphatase treated membrane) at 20 µg

Secondary

All lanes:

Western blot - Goat Anti-Rabbit IgG H&L (HRP) (<a href='/products/secondary-antibodies/goat-rabbit-igg-h-l-hrp-ab97051'>ab97051</a>) at 1/20000 dilution

Observed band size: 75-80 kDa

false

Exposure time: 59s

Western blot - Anti-FOXO1A (pT24)+FOXO3A (pT32)+FOXO4 (pT28)+FOXO6 (pT26) antibody [EPR28359-78] (AB312326)
  • WB

Supplier Data

Western blot - Anti-FOXO1A (pT24)+FOXO3A (pT32)+FOXO4 (pT28)+FOXO6 (pT26) antibody [EPR28359-78] (AB312326)

Blocking and diluting buffer and concentration : 5% NFDM/TBST In Western blot, anti-GAPDH antibody (ab181602) loading control staining at 1/200000 dilution. Exposure time : 81 seconds.

All lanes:

Western blot - Anti-FOXO1A (pT24)+FOXO3A (pT32)+FOXO4 (pT28)+FOXO6 (pT26) antibody [EPR28359-78] (ab312326) at 1/1000 dilution

Lane 1:

Untreated NIH/3T3 (mouse embryonic fibroblast) whole cell lysate (untreated membrane) at 20 µg

Lane 2:

NIH/3T3 treated with 100nM Calycin A for 30min whole cell lysate (untreated membrane) at 20 µg

Lane 3:

NIH/3T3 treated with 100nM Calycin A for 30min whole cell lysate (phosphatase treated membrane) at 20 µg

Secondary

All lanes:

Western blot - Goat Anti-Rabbit IgG H&L (HRP) (<a href='/products/secondary-antibodies/goat-rabbit-igg-h-l-hrp-ab97051'>ab97051</a>) at 1/20000 dilution

Observed band size: 75 kDa

false

Exposure time: 81s

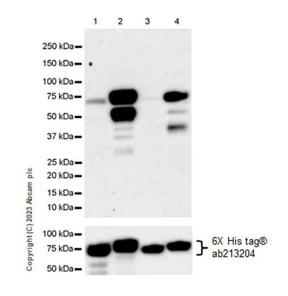
Western blot - Anti-FOXO1A (pT24)+FOXO3A (pT32)+FOXO4 (pT28)+FOXO6 (pT26) antibody [EPR28359-78] (AB312326)
  • WB

Supplier Data

Western blot - Anti-FOXO1A (pT24)+FOXO3A (pT32)+FOXO4 (pT28)+FOXO6 (pT26) antibody [EPR28359-78] (AB312326)

Blocking and diluting buffer and concentration : 5% NFDM/TBST.

In Western blot, anti-His antibody (ab213204) staining at 1/5000 dilution.

All lanes:

Western blot - Anti-FOXO1A (pT24)+FOXO3A (pT32)+FOXO4 (pT28)+FOXO6 (pT26) antibody [EPR28359-78] (ab312326) at 1/1000 dilution

Lane 1:

Untreated 293T (human embryonic kidney epithelial cell) transfected with mouse FOXO4/AFX (WT) expression vector containi a myc-His-tag® whole cell lysate at 20 µg

Lane 2:

293T transfected with mouse FOXO4/AFX (WT) expression vector containi a myc-His-tag®, then treated with 100nM Calyculin A for 30min whole cell lysate at 20 µg

Lane 3:

Untreated 293T transfected with mouse FOXO6 (WT) expression vector containi a myc-His-tag® whole cell lysate at 20 µg

Lane 4:

293T transfected with mouse FOXO6 (WT) expression vector containi a myc-His-tag®, then treated with 100nM Calyculin A for 30min whole cell lysate at 20 µg

Secondary

All lanes:

Western blot - Goat Anti-Rabbit IgG H&L (HRP) (<a href='/products/secondary-antibodies/goat-rabbit-igg-h-l-hrp-ab97051'>ab97051</a>) at 1/100000 dilution

Observed band size: 50 kDa,75 kDa

false

Exposure time: 180s

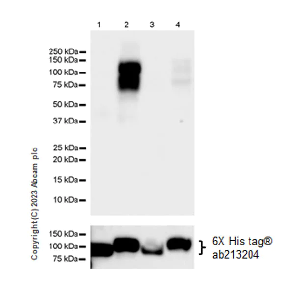
Western blot - Anti-FOXO1A (pT24)+FOXO3A (pT32)+FOXO4 (pT28)+FOXO6 (pT26) antibody [EPR28359-78] (AB312326)
  • WB

Supplier Data

Western blot - Anti-FOXO1A (pT24)+FOXO3A (pT32)+FOXO4 (pT28)+FOXO6 (pT26) antibody [EPR28359-78] (AB312326)

Blocking and diluting buffer and concentration : 5% NFDM/TBST In Western blot, anti-His antibody (ab213204) staining at 1/5000 dilution. Exposure time : 6 seconds.

All lanes:

Western blot - Anti-FOXO1A (pT24)+FOXO3A (pT32)+FOXO4 (pT28)+FOXO6 (pT26) antibody [EPR28359-78] (ab312326) at 1/1000 dilution

Lane 1:

Untreated 293T (human embryonic kidney epithelial cell) transfected with mouse FOXO3A (WT) expression vector containi a myc-His-tag® whole cell lysate at 20 µg

Lane 2:

293T transfected with mouse FOXO3A (WT) expression vector containi a myc-His-tag®, then treated with 100nM Calyculin A for 30min whole cell lysate at 20 µg

Lane 3:

Untreated 293T transfected with mouse FOXO3A (Mutant T32A) expression vector containi a myc-His-tag® whole cell lysate at 20 µg

Lane 4:

293T transfected with mouse FOXO3A (Mutant T32A) expression vector containi a myc-His-tag®, then treated with 100nM Calyculin A for 30min whole cell lysate at 20 µg

Secondary

All lanes:

Western blot - Goat Anti-Rabbit IgG H&L (HRP) (<a href='/products/secondary-antibodies/goat-rabbit-igg-h-l-hrp-ab97051'>ab97051</a>) at 1/100000 dilution

Observed band size: 78-140 kDa

false

Exposure time: 6s

Western blot - Anti-FOXO1A (pT24)+FOXO3A (pT32)+FOXO4 (pT28)+FOXO6 (pT26) antibody [EPR28359-78] (AB312326)
  • WB

Supplier Data

Western blot - Anti-FOXO1A (pT24)+FOXO3A (pT32)+FOXO4 (pT28)+FOXO6 (pT26) antibody [EPR28359-78] (AB312326)

Blocking and diluting buffer and concentration : 5% NFDM/TBST In Western blot, anti-FOXO1A antibody (ab179450) staining at 1/1000 dilution. In Western blot, anti-His antibody (ab213204) staining at 1/5000 dilution. Exposure time : 3 minutes.

All lanes:

Western blot - Anti-FOXO1A (pT24)+FOXO3A (pT32)+FOXO4 (pT28)+FOXO6 (pT26) antibody [EPR28359-78] (ab312326) at 1/1000 dilution

Lane 1:

Untreated 293T (human embryonic kidney epithelial cell) transfected with mouse FOXO1A (WT) expression vector containi a myc-His-tag® whole cell lysate at 20 µg

Lane 2:

293T transfected with mouse FOXO1A (WT) expression vector containi a myc-His-tag®, then treated with 100nM Calyculin A for 30min whole cell lysate at 20 µg

Lane 3:

Untreated 293T transfected with mouse FOXO1A (Mutant T24A) expression vector containi a myc-His-tag® whole cell lysate at 20 µg

Lane 4:

293T transfected with mouse FOXO1A (Mutant T24A) expression vector containi a myc-His-tag®, then treated with 100nM Calyculin A for 30min whole cell lysate at 20 µg

Secondary

All lanes:

Western blot - Goat Anti-Rabbit IgG H&L (HRP) (<a href='/products/secondary-antibodies/goat-rabbit-igg-h-l-hrp-ab97051'>ab97051</a>) at 1/100000 dilution

Observed band size: 78-82 kDa

false

Exposure time: 3min

Dot Blot - Anti-FOXO1A (pT24)+FOXO3A (pT32)+FOXO4 (pT28)+FOXO6 (pT26) antibody [EPR28359-78] (AB312326)
  • Dot

Supplier Data

Dot Blot - Anti-FOXO1A (pT24)+FOXO3A (pT32)+FOXO4 (pT28)+FOXO6 (pT26) antibody [EPR28359-78] (AB312326)

Dot blot analysis of FOXO1A (phospho T24) + FOXO3A (phospho T32) + FOXO4/AFX (phospho T28) + FOXO6 (phospho T26) using ab312326 at 1 : 1000 (0.5 ug/ml) followed by a Goat Anti-Rabbit IgG, (H+L), Peroxidase conjugated (ab97051) at 1 : 100,000 dilution. Lane 1 : FOXO1A (phospho T24) peptide 1 Lane 2 : FOXO1A (phospho T24) peptide 2 Lane 3 : FOXO1A (phospho T24) peptide 3 Lane 4 : FOXO1A non-phospho peptide Lane 5 : FOXO3 (phospho T32) peptide Lane 6 : FOXO3 non-phospho peptide Lane 7 : FOXO4 (phospho T28) peptide Lane 8 : FOXO4 non-phospho peptide Lane 9 : FOXO6 (phospho T26) peptide Lane 10 : FOXO6 non-phospho peptide Exposure time : 180 seconds Blocking and diluting buffer and concentration : 5% NFDM/TBST

Key facts

宿主種

Rabbit

クローン性

Monoclonal

クローン番号

EPR28359-78

アイソタイプ

IgG

キャリアフリー

No

交差種

Mouse, Human

アプリケーション

Dot, Flow Cyt (Intra), WB

applications

免疫原

This product was produced with the following immunogens:

The exact immunogen used to generate this antibody is proprietary information.

The exact immunogen used to generate this antibody is proprietary information.

特異性

Annotation of the FOXO4 protein has changed since the protein's discovery. Updated residue numbering affects this product: FOXO4 pT28 is now FOXO4 pT32, these positions correspond to the same modified threonine residue. Due to historical publications and to support customers we are maintaining the publication name of this antibody.

Reactivity data

{ "title": "Reactivity Data", "filters": { "stats": ["", "Species", "Dilution Info", "Notes"], "tabs": { "all-applications": {"fullname" : "All Applications", "shortname": "All Applications"}, "WB" : {"fullname" : "Western blot", "shortname":"WB"}, "Dot" : {"fullname" : "Dot Blot", "shortname":"Dot"}, "FlowCytIntra" : {"fullname" : "Flow Cytometry (Intracellular)", "shortname":"Flow Cyt (Intra)"}, "ICCIF" : {"fullname" : "Immunocytochemistry/ Immunofluorescence", "shortname":"ICC/IF"}, "IHCP" : {"fullname" : "Immunohistochemistry (Formalin/PFA-fixed paraffin-embedded sections)", "shortname":"IHC-P"}, "IP" : {"fullname" : "Immunoprecipitation", "shortname":"IP"} }, "product-promise": { "all": "all", "testedAndGuaranteed": "tested", "guaranteed": "expected", "predicted": "predicted", "notRecommended": "not-recommended" } }, "values": { "Human": { "WB-species-checked": "testedAndGuaranteed", "WB-species-dilution-info": "1/1000", "WB-species-notes": "<p></p>", "Dot-species-checked": "guaranteed", "Dot-species-dilution-info": "", "Dot-species-notes": "", "FlowCytIntra-species-checked": "guaranteed", "FlowCytIntra-species-dilution-info": "", "FlowCytIntra-species-notes": "", "ICCIF-species-checked": "notRecommended", "ICCIF-species-dilution-info": "", "ICCIF-species-notes": "", "IHCP-species-checked": "notRecommended", "IHCP-species-dilution-info": "", "IHCP-species-notes": "<p></p>", "IP-species-checked": "notRecommended", "IP-species-dilution-info": "", "IP-species-notes": "" }, "Mouse": { "WB-species-checked": "testedAndGuaranteed", "WB-species-dilution-info": "1/1000", "WB-species-notes": "<p></p>", "Dot-species-checked": "guaranteed", "Dot-species-dilution-info": "", "Dot-species-notes": "", "FlowCytIntra-species-checked": "testedAndGuaranteed", "FlowCytIntra-species-dilution-info": "1/500", "FlowCytIntra-species-notes": "<p></p>", "ICCIF-species-checked": "notRecommended", "ICCIF-species-dilution-info": "", "ICCIF-species-notes": "<p></p>", "IHCP-species-checked": "notRecommended", "IHCP-species-dilution-info": "", "IHCP-species-notes": "<p></p>", "IP-species-checked": "notRecommended", "IP-species-dilution-info": "", "IP-species-notes": "<p></p>" }, "Rat": { "WB-species-checked": "notRecommended", "WB-species-dilution-info": "", "WB-species-notes": "", "Dot-species-checked": "notRecommended", "Dot-species-dilution-info": "", "Dot-species-notes": "", "FlowCytIntra-species-checked": "notRecommended", "FlowCytIntra-species-dilution-info": "", "FlowCytIntra-species-notes": "", "ICCIF-species-checked": "notRecommended", "ICCIF-species-dilution-info": "", "ICCIF-species-notes": "", "IHCP-species-checked": "notRecommended", "IHCP-species-dilution-info": "", "IHCP-species-notes": "<p></p>", "IP-species-checked": "notRecommended", "IP-species-dilution-info": "", "IP-species-notes": "" }, "Synthetic peptide": { "WB-species-checked": "notRecommended", "WB-species-dilution-info": "", "WB-species-notes": "", "Dot-species-checked": "testedAndGuaranteed", "Dot-species-dilution-info": "1/1000", "Dot-species-notes": "<p></p>", "FlowCytIntra-species-checked": "notRecommended", "FlowCytIntra-species-dilution-info": "", "FlowCytIntra-species-notes": "", "ICCIF-species-checked": "notRecommended", "ICCIF-species-dilution-info": "", "ICCIF-species-notes": "", "IHCP-species-checked": "notRecommended", "IHCP-species-dilution-info": "", "IHCP-species-notes": "", "IP-species-checked": "notRecommended", "IP-species-dilution-info": "", "IP-species-notes": "" }, "Transfected cell lysate - Mouse": { "WB-species-checked": "testedAndGuaranteed", "WB-species-dilution-info": "1/1000", "WB-species-notes": "<p></p>", "Dot-species-checked": "notRecommended", "Dot-species-dilution-info": "", "Dot-species-notes": "", "FlowCytIntra-species-checked": "notRecommended", "FlowCytIntra-species-dilution-info": "", "FlowCytIntra-species-notes": "", "ICCIF-species-checked": "notRecommended", "ICCIF-species-dilution-info": "", "ICCIF-species-notes": "", "IHCP-species-checked": "notRecommended", "IHCP-species-dilution-info": "", "IHCP-species-notes": "", "IP-species-checked": "notRecommended", "IP-species-dilution-info": "", "IP-species-notes": "" } } }

製品の詳細

Patented technology
Our RabMAb® technology is a patented hybridoma-based technology for making rabbit monoclonal antibodies. For details on our patents, please refer to RabMAb® patents.

What are the advantages of a recombinant monoclonal antibody?
This product is a recombinant monoclonal antibody, which offers several advantages including:

  • - High batch-to-batch consistency and reproducibility
  • - Improved sensitivity and specificity
  • - Long-term security of supply
  • - Animal-free batch production

For more information, read more on recombinant antibodies.

出荷温度及び保存条件

製品の状態
Liquid
精製方法
Affinity purification Protein A
バッファー組成
pH: 7.2 - 7.4 Preservative: 0.01% Sodium azide Constituents: PBS, 40% Glycerol (glycerin, glycerine), 0.05% BSA
出荷温度
Blue Ice
短期保存期間
1-2 weeks
短期保存温度
+4°C
長期保存温度
-20°C
分注に関する情報
Upon delivery aliquot
保管に関する情報
Avoid freeze / thaw cycle

補足情報

This supplementary information is collated from multiple sources and compiled automatically.

FOXO1A FOXO4/AFX FOXO3A and Foxo6 are proteins that belong to the Forkhead box O (FOXO) transcription factors family known for their role in regulating gene expression linked to various cellular processes. These proteins including FOXO3A with a molecular weight of approximately 71 kDa are primarily expressed in multiple tissues such as the brain liver and adipose tissue. These transcription factors act mechanically by binding to specific DNA sequences to control the expression of genes involved in metabolism cell cycle and apoptosis.
Biological function summary

FOXO proteins influence numerous cellular functions through their role in gene transcription. They are often considered part of larger complexes interacting with various cofactors and other proteins to modulate gene expression. FOXO3A for example plays a role in cellular antioxidant defense energy metabolism and maintenance of cellular homeostasis. Their activity can be modulated by post-translational modifications such as phosphorylation which influences their localization between the cytoplasm and nucleus affecting their function.

Pathways

FOXO proteins are integral components of the insulin-signaling pathway and the PI3K/Akt pathway. Through these pathways they interact closely with proteins such as Akt and PI3K which regulate their activity and subcellular localization. The insulin pathway modulates metabolic processes and glucose homeostasis while the PI3K/Akt pathway is involved in cell survival and growth. Their regulatory functions highlight their adaptive response to environmental and internal cellular signals.

FOXO proteins link to conditions like cancer and diabetes. In cancer FOXO3A is often implicated in tumor suppression where its inactivation can lead to an increase in cell proliferation and survival. The loss or mutation of FOXO function may contribute to tumorigenesis. In diabetes FOXO proteins relate to insulin regulation and resistance impacting metabolic syndrome and glucose intolerance. The interplay with proteins like Akt during these diseases can alter their transcriptional activity highlighting their significance in disease progression and potential therapeutic targets.

製品プロトコール

For this product, it's our understanding that no specific protocols are required. You can visit:

ターゲットの情報

Transcription factor that is the main target of insulin signaling and regulates metabolic homeostasis in response to oxidative stress (PubMed : 12219087, PubMed : 12754525, PubMed : 15184386, PubMed : 15220471, PubMed : 16917544, PubMed : 17090532, PubMed : 17627282, PubMed : 17681146, PubMed : 20519497, PubMed : 20668652, PubMed : 21196578, PubMed : 21335550, PubMed : 21471200, PubMed : 22298775, PubMed : 22417654, PubMed : 22510882, PubMed : 27457971, PubMed : 34914893). Binds to the insulin response element (IRE) with consensus sequence 5'-TT[G/A]TTTTG-3' and the related Daf-16 family binding element (DBE) with consensus sequence 5'-TT[G/A]TTTAC-3' (PubMed : 17090532, PubMed : 21335550). Activity suppressed by insulin (PubMed : 12754525, PubMed : 17627282). Main regulator of redox balance and osteoblast numbers and controls bone mass (PubMed : 21471200, PubMed : 22298775). Orchestrates the endocrine function of the skeleton in regulating glucose metabolism (PubMed : 21471200, PubMed : 22298775). Also acts as a key regulator of chondrogenic commitment of skeletal progenitor cells in response to lipid availability : when lipids levels are low, translocates to the nucleus and promotes expression of SOX9, which induces chondrogenic commitment and suppresses fatty acid oxidation (PubMed : 32103177). Acts synergistically with ATF4 to suppress osteocalcin/BGLAP activity, increasing glucose levels and triggering glucose intolerance and insulin insensitivity (PubMed : 22298775). Also suppresses the transcriptional activity of RUNX2, an upstream activator of osteocalcin/BGLAP (PubMed : 21471200). Acts as an inhibitor of glucose sensing in pancreatic beta cells by acting as a transcription repressor and suppressing expression of PDX1 (PubMed : 12219087, PubMed : 27457971). In hepatocytes, promotes gluconeogenesis by acting together with PPARGC1A and CEBPA to activate the expression of genes such as IGFBP1, G6PC1 and PCK1 (PubMed : 12754525, PubMed : 25009184). Also promotes gluconeogenesis by directly promoting expression of PPARGC1A and G6PC1 (By similarity). Important regulator of cell death acting downstream of CDK1, PKB/AKT1 and STK4/MST1 (By similarity). Promotes neural cell death (By similarity). Mediates insulin action on adipose tissue (By similarity). Regulates the expression of adipogenic genes such as PPARG during preadipocyte differentiation and, adipocyte size and adipose tissue-specific gene expression in response to excessive calorie intake (By similarity). Regulates the transcriptional activity of GADD45A and repair of nitric oxide-damaged DNA in beta-cells (PubMed : 21196578). Required for the autophagic cell death induction in response to starvation or oxidative stress in a transcription-independent manner (By similarity). Mediates the function of MLIP in cardiomyocytes hypertrophy and cardiac remodeling (By similarity). Positive regulator of apoptosis in cardiac smooth muscle cells as a result of its transcriptional activation of pro-apoptotic genes (By similarity). Regulates endothelial cell (EC) viability and apoptosis in a PPIA/CYPA-dependent manner via transcription of CCL2 and BCL2L11 which are involved in EC chemotaxis and apoptosis (By similarity).
See full target information Foxo1 phospho T24

追加のターゲット

,FOXO4 phospho T28,

文献 (1)

Recent publications for all applications. Explore the full list and refine your search

Translational andrology and urology 13:1991-2004 PubMed39434735

2024

TRIM47 promotes the Warburg effect and reduces ferroptosis in prostate cancer by FBP1 and FOXO1.

Applications

Unspecified application

Species

Unspecified reactive species

Chubiao Zhao,Zengqin Liu,Junming Peng,Jiansheng Huang,Jinan Guo
View all publications

Abcam product promise

当社は、高品質な試薬を通じてお客様の研究を力強くサポートすることをお約束いたします。ご使用いただく各段階で、常にお客様をサポートできる体制を整えております。万が一、製品が期待通りに機能しない場合は、「Abcam Product Promise」による当社保証制度に基づき、安心してご利用いただけます。
保証に関する詳細については利用規約をご確認ください。

Please note: All products are 'FOR RESEARCH USE ONLY. NOT FOR USE IN DIAGNOSTIC OR THERAPEUTIC PROCEDURES'.

For licensing inquiries, please contact partnerships@abcam.com