JavaScript is disabled in your browser. Please enable JavaScript to view this website.
AB196868

Anti-FOXG1 抗体 [EPR18987]

Anti-FOXG1 antibody [EPR18987]

4

(1 Review)

|

(35 Publications)

Anti-FOXG1 antibody [EPR18987] (ab196868) is a rabbit monoclonal antibody detecting FOXG1 in Western Blot, Flow Cytometry (Intra), Flow Cytometry, IP, IHC-P, IHC-Fr, ICC/IF, ChIP-Sequencing. Suitable for Human, Mouse, Rat.

- Biophysical QC for unrivalled batch-batch consistency
- Over 10 publications

別名を表示する

FKH2, FKHL1, FKHL2, FKHL3, FKHL4, FOXG1A, FOXG1B, FOXG1C, FOXG1, Forkhead box protein G1, Brain factor 1, Brain factor 2, Forkhead box protein G1A, Forkhead box protein G1B, Forkhead box protein G1C, Forkhead-related protein FKHL1, Forkhead-related protein FKHL2, Forkhead-related protein FKHL3, BF-1, BF1, BF-2, BF2, hBF-2, HFK1, HFK2, HFK3

18 Images
Immunohistochemistry (Formalin/PFA-fixed paraffin-embedded sections) - Anti-FOXG1 antibody [EPR18987] (AB196868)
  • IHC-P

Supplier Data

Immunohistochemistry (Formalin/PFA-fixed paraffin-embedded sections) - Anti-FOXG1 antibody [EPR18987] (AB196868)

Immunohistochemical analysis of paraffin-embedded rat E14 tissue labeling FOXG1 with ab196868 at 1/2000 dilution, followed by Goat Anti-Rabbit IgG H&L (HRP) Ready to use. Nuclear staining on cerebrum and olfactory epithelium of E14 rat is observed. Counter stained with hematoxylin.

Secondary antibody only control : Used PBS instead of primary antibody, secondary antibody is Goat Anti-Rabbit IgG H&L (HRP) Ready to use.

Perform heat mediated antigen retrieval with Tris/EDTA buffer pH 9.0 before commencing with IHC staining protocol.

Immunohistochemistry (Formalin/PFA-fixed paraffin-embedded sections) - Anti-FOXG1 antibody [EPR18987] (AB196868)
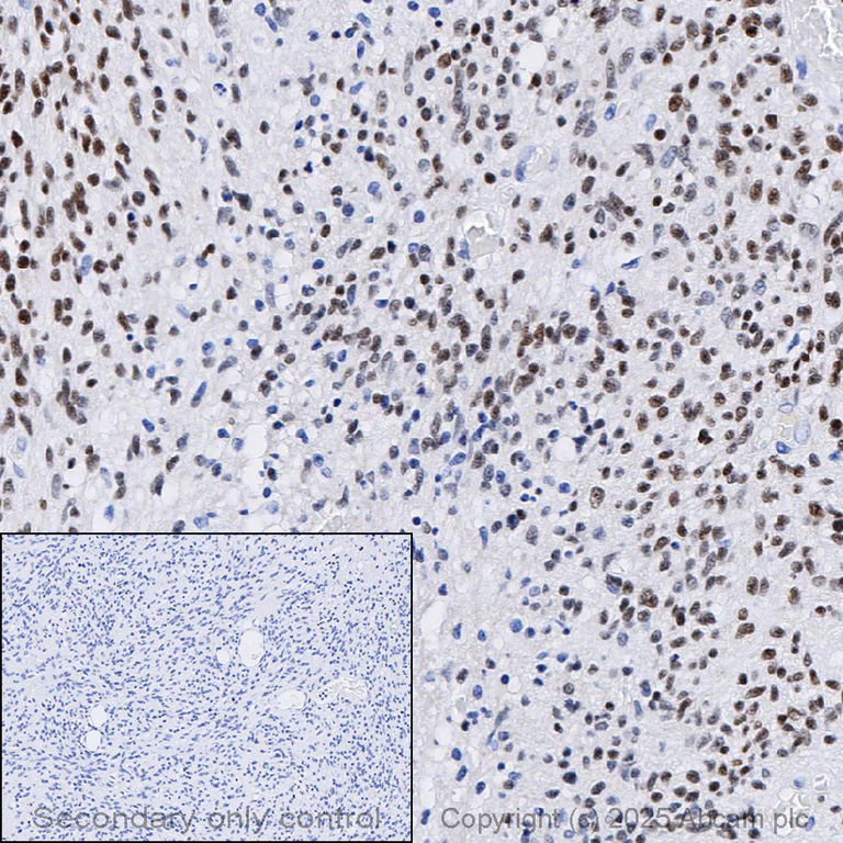
  • IHC-P

Lab

Immunohistochemistry (Formalin/PFA-fixed paraffin-embedded sections) - Anti-FOXG1 antibody [EPR18987] (AB196868)

Immunohistochemical analysis of formalin fixed paraffin embedded human glioma labelling FOXG1 with ab196868 at a concentration of 0.5µg/ml. The immunostaining was performed on a Ventana DISCOVERY ULTRA (Roche Tissue Diagnostics) instrument with a OptiView DAB IHC Detection Kit. Heat mediated antigen retrieval was performed with DISCOVERY cell conditioning solution (CC1) 100°C, pH8.5 for 32mins. ab196868 Anti-FOXG1 antibody [EPR18987] was incubated for 16mins at 37°C. Sections were counterstained with Hematoxylin II. Image inset shows absence of staining in secondary antibody only control.

Customers are encouraged to optimise antigen retrieval conditions, antibody concentration, incubation times and temperature for best results in their own IHC assay workflow (automated and manual).

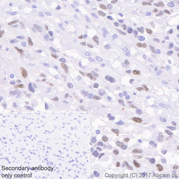
Immunohistochemistry (Formalin/PFA-fixed paraffin-embedded sections) - Anti-FOXG1 antibody [EPR18987] (AB196868)
  • IHC-P

Supplier Data

Immunohistochemistry (Formalin/PFA-fixed paraffin-embedded sections) - Anti-FOXG1 antibody [EPR18987] (AB196868)

Immunohistochemical analysis of paraffin-embedded human glioma tissue labeling FOXG1 with ab196868 at 1/500 dilution, followed by Goat Anti-Rabbit IgG H&L (HRP) Ready to use. Nuclear staining in cells from a human glioma (PMID : 28465359) is observed. Counter stained with hematoxylin.

Secondary antibody only control : Used PBS instead of primary antibody, secondary antibody is Goat Anti-Rabbit IgG H&L (HRP) Ready to use.

Perform heat mediated antigen retrieval with Tris/EDTA buffer pH 9.0 before commencing with IHC staining protocol.

Immunoprecipitation - Anti-FOXG1 antibody [EPR18987] (AB196868)
  • IP

Lab

Immunoprecipitation - Anti-FOXG1 antibody [EPR18987] (AB196868)

FOXG1 was immunoprecipitated from 0.35 mg U-87 MG (human glioblastoma-astrocytoma epithelial cell) whole cell lysate with ab196868 at 1/30 dilution (2µg in 0.35mg lysates). Western blot was performed on the immunoprecipitate using ab196868 at 1/1000 dilution.

Blocking and dilution buffer and concentration : 5% NFDM/TBST.

This blot was developed using a high-sensitivity ECL substrate, allowing for the detection of proteins in the mid-femtogram range.

All lanes:

Immunoprecipitation - Anti-FOXG1 antibody [EPR18987] (ab196868) at 1/30 dilution

Lane 1:

U-87 MG (human glioblastoma-astrocytoma epithelial cell) whole cell lysate at 10 µg

Lane 2:

U-87 MG (human glioblastoma-astrocytoma epithelial cell) whole cell lysate

Lane 3:

Rabbit monoclonal IgG (<a href='/products/primary-antibodies/rabbit-igg-monoclonal-epr25a-isotype-control-ab172730'>ab172730</a>) instead of ab196868 in U-87 MG lysate

Secondary

All lanes:

Immunoprecipitation - VeriBlot for IP Detection Reagent (HRP) (<a href='/products/reagents/veriblot-for-ip-detection-reagent-hrp-ab131366'>ab131366</a>) at 1/5000 dilution

Observed band size: 55 kDa

true

Exposure time: 180s

ChIP-sequencing - Anti-FOXG1 antibody [EPR18987] (AB196868)
  • ChIP-seq

Lab

ChIP-sequencing - Anti-FOXG1 antibody [EPR18987] (AB196868)

Chromatin was prepared from U-87 MG cells. Cells were fixed with 1% formaldehyde for 10 minutes. ChIP was performed with 10^7 cells and 8 µg of ab196868 [EPR18987]. ChIP DNA was sequenced on the Illumina NovaSeq 6000 to a depth of 30 million reads. The Input control is also shown.

ChIP-sequencing - Anti-FOXG1 antibody [EPR18987] (AB196868)
  • ChIP-seq

Lab

ChIP-sequencing - Anti-FOXG1 antibody [EPR18987] (AB196868)

Chromatin was prepared from U-87 MG cells. Cells were fixed with 1% formaldehyde for 10 minutes. ChIP was performed with 10^7 cells and 8 µg of ab196868 [EPR18987]. ChIP DNA was sequenced on the Illumina NovaSeq 6000 to a depth of 30 million reads. The Input control is also shown.

ChIP-sequencing - Anti-FOXG1 antibody [EPR18987] (AB196868)
  • ChIP-seq

Lab

ChIP-sequencing - Anti-FOXG1 antibody [EPR18987] (AB196868)

Chromatin was prepared from U-87 MG cells. Cells were fixed with 1% formaldehyde for 10 minutes. ChIP was performed with 10^7 cells and 8 µg of ab196868 [EPR18987]. ChIP DNA was sequenced on the Illumina NovaSeq 6000 to a depth of 30 million reads. The Input control is also shown.

Immunohistochemistry (Frozen sections) - Anti-FOXG1 antibody [EPR18987] (AB196868)
  • IHC-Fr

Supplier Data

Immunohistochemistry (Frozen sections) - Anti-FOXG1 antibody [EPR18987] (AB196868)

Immunohistochemical analysis of 4% paraformaldehyde fixed, 0.2% Triton X-100 permeabilized frozen mouse embryo E14.5 tissue labeling FOXG1 with ab196868 at 1/500 dilution, followed by Goat Anti-Rabbit IgG H&L (Alexa Fluor® 488) (ab150077) secondary antibody at 1/1000 dilution (green). Positive nuclear staining in the cortical plate of the telencephalon (LV : lateral ventricle; PMID : 14704420) is observed. Counter stained with DAPI.

Secondary antibody only control : Used PBS instead of primary antibody, secondary antibody is Goat Anti-Rabbit IgG H&L (Alexa Fluor® 488) (ab150077) secondary antibody at 1/1000 dilution (green).

Flow Cytometry (Intracellular) - Anti-FOXG1 antibody [EPR18987] (AB196868)
  • Flow Cyt (Intra)

Supplier Data

Flow Cytometry (Intracellular) - Anti-FOXG1 antibody [EPR18987] (AB196868)

Intracellular flow cytometric analysis of4% paraformaldehyde fixed, 90% methanol permeabilized C6 (rat glial tumor cell line)cell line labeling FOXG1 with ab196868 at 1/60 dilution (red) compared with a Rabbit IgG, monoclonal [EPR25A] - Isotype Control (ab172730) (black) and an unlabeled control (cells without incubation with primary antibody and secondary antibody) (blue). Goat Anti-Rabbit IgG H&L (Alexa Fluorr® 488) (ab150077) at 1/2000 dilution was used as the secondary antibody.

Immunohistochemistry (Formalin/PFA-fixed paraffin-embedded sections) - Anti-FOXG1 antibody [EPR18987] (AB196868)
  • IHC-P

Supplier Data

Immunohistochemistry (Formalin/PFA-fixed paraffin-embedded sections) - Anti-FOXG1 antibody [EPR18987] (AB196868)

Immunohistochemical analysis of paraffin-embedded mouse E14 tissue labeling FOXG1 with ab196868 at 1/2000 dilution, followed by Goat Anti-Rabbit IgG H&L (HRP) Ready to use. Nuclear staining on cerebrum and olfactory epithelium of E14 mouse is observed. Counter stained with hematoxylin.

Secondary antibody only control : Used PBS instead of primary antibody, secondary antibody is Goat Anti-Rabbit IgG H&L (HRP) Ready to use.

Perform heat mediated antigen retrieval with Tris/EDTA buffer pH 9.0 before commencing with IHC staining protocol.

Immunocytochemistry/ Immunofluorescence - Anti-FOXG1 antibody [EPR18987] (AB196868)
  • ICC/IF

Supplier Data

Immunocytochemistry/ Immunofluorescence - Anti-FOXG1 antibody [EPR18987] (AB196868)

Immunofluorescent analysis of 4% paraformaldehyde fixed, 0.1% Triton X-100 permeabilized C6 (rat glial tumor cell line) cells labeling FOXG1 with ab196868 at 1/100 dilution, followed by Goat Anti-Rabbit IgG H&L (Alexa Fluor® 488) (ab150077) secondary antibody at 1/1000 dilution (green). Nuclear staining on C6 cell line.

The nuclear counter stain is DAPI (blue). Tubulin is detected with Anti-alpha Tubulin antibody [DM1A] - Microtubule Marker (Alexa Fluor® 594) (ab195889) (red) at 1/200 dilution.

Secondary antibody only control : Used PBS instead of primary antibody, secondary antibody is Goat Anti-Rabbit IgG H&L (Alexa Fluor® 488) (ab150077) secondary antibody at 1/1000 dilution.

Immunohistochemistry (Frozen sections) - Anti-FOXG1 antibody [EPR18987] (AB196868)
  • IHC-Fr

Supplier Data

Immunohistochemistry (Frozen sections) - Anti-FOXG1 antibody [EPR18987] (AB196868)

Immunohistochemical analysis of 4% paraformaldehyde fixed, 0.2% Triton X-100 permeabilized frozen rat embryo E14.5 tissue labeling FOXG1 with ab196868 at 1/500 dilution, followed by Goat Anti-Rabbit IgG H&L (Alexa Fluor® 488) (ab150077) secondary antibody at 1/1000 dilution (green). Positive nuclear staining in the cortical plate of the telencephalon (LV : lateral ventricle; PMID : 14704420) is observed. Counter stained with DAPI.

Secondary antibody only control : Used PBS instead of primary antibody, secondary antibody is Goat Anti-Rabbit IgG H&L (Alexa Fluor® 488) (ab150077) secondary antibody at 1/1000 dilution (green).

ChIP-sequencing - Anti-FOXG1 antibody [EPR18987] (AB196868)
  • ChIP-seq

Lab

ChIP-sequencing - Anti-FOXG1 antibody [EPR18987] (AB196868)

Chromatin was prepared from Neuro-2a cells. Cells were fixed with 1% formaldehyde for 10 minutes. ChIP was performed with 10^7 cells and 8 µg of ab196868 [EPR18987]. ChIP DNA was sequenced on the Illumina NovaSeq 6000 to a depth of 30 million reads. The Input control is also shown.

Immunoprecipitation - Anti-FOXG1 antibody [EPR18987] (AB196868)
  • IP

Unknown

Immunoprecipitation - Anti-FOXG1 antibody [EPR18987] (AB196868)

FOXG1 was immunoprecipitated from 0.35 mg mouse brain lysate 10 μg with ab196868 at 1/30 dilution (2μg in 0.35mg lysates). Western blot was performed on the immunoprecipitate using ab196868 at 1/1000 dilution. VeriBlot for IP Detection Reagent (HRP)(ab131366) was used at 1/5000 dilution.

Lane 1 : mouse brain lysate 10 μg

Lane 2 : ab196868 IP in mouse brain cell lysate

Lane 3 : Rabbit monoclonal IgG (ab172730) instead of ab196868 in mouse brain lysate

Blocking and dilution buffer and concentration : 5% NFDM/TBST.

Exposure time : 32s

All lanes:

Immunoprecipitation - Anti-FOXG1 antibody [EPR18987] (ab196868)

Predicted band size: 52 kDa

false

ChIP-sequencing - Anti-FOXG1 antibody [EPR18987] (AB196868)
  • ChIP-seq

Lab

ChIP-sequencing - Anti-FOXG1 antibody [EPR18987] (AB196868)

Chromatin was prepared from Neuro-2a cells. Cells were fixed with 1% formaldehyde for 10 minutes. ChIP was performed with 10^7 cells and 8 µg of ab196868 [EPR18987]. ChIP DNA was sequenced on the Illumina NovaSeq 6000 to a depth of 30 million reads. The Input control is also shown.

ChIP-sequencing - Anti-FOXG1 antibody [EPR18987] (AB196868)
  • ChIP-seq

Lab

ChIP-sequencing - Anti-FOXG1 antibody [EPR18987] (AB196868)

Chromatin was prepared from Neuro-2a cells. Cells were fixed with 1% formaldehyde for 10 minutes. ChIP was performed with 10^7 cells and 8 µg of ab196868 [EPR18987]. ChIP DNA was sequenced on the Illumina NovaSeq 6000 to a depth of 30 million reads. The Input control is also shown.

Western blot - Anti-FOXG1 antibody [EPR18987] (AB196868)
  • WB

Supplier Data

Western blot - Anti-FOXG1 antibody [EPR18987] (AB196868)

Blocking/Dilution buffer : 5% NFDM/TBST.

Exposure time : Lanes 1-4 : 15 seconds; Lanes 5-12 : 3 minutes.

This target is expressed during brain development (PMID : 26896590, PMID : 7959731). The blot was developed on a BIO-RAD® ChemiDoc™ MP instrument.

All lanes:

Western blot - Anti-FOXG1 antibody [EPR18987] (ab196868) at 1/1000 dilution

Lane 1:

Human fetal brain lysate at 10 µg

Lane 2:

Human fetal heart lysate at 10 µg

Lane 3:

Human fetal kidney lysate at 10 µg

Lane 4:

Human fetal spleen lysate at 10 µg

Lane 5:

Mouse brain lysate at 10 µg

Lane 6:

Mouse heart lysate at 10 µg

Lane 7:

Mouse kidney lysate at 10 µg

Lane 8:

Mouse spleen lysate at 10 µg

Lane 9:

Rat brain lysate at 10 µg

Lane 10:

Rat heart lysate at 10 µg

Lane 11:

Rat liver lysate at 10 µg

Lane 12:

Rat spleen lysate at 10 µg

Secondary

All lanes:

Western blot - Goat Anti-Rabbit IgG H&L (HRP) (<a href='/products/secondary-antibodies/goat-rabbit-igg-h-l-hrp-ab97051'>ab97051</a>) at 1/100000 dilution

Predicted band size: 52 kDa

Observed band size: 58 kDa

true

Western blot - Anti-FOXG1 antibody [EPR18987] (AB196868)
  • WB

Supplier Data

Western blot - Anti-FOXG1 antibody [EPR18987] (AB196868)

Blocking/Dilution buffer : 5% NFDM/TBST.

The molecular mass observed is consistent with the literature (PMID : 26508630). The blot was developed on a BIO-RAD® ChemiDoc™ MP instrument.

All lanes:

Western blot - Anti-FOXG1 antibody [EPR18987] (ab196868) at 1/1000 dilution

Lane 1:

Rat E18 brain lysate at 20 µg

Lane 2:

Mouse E12.5 brain lysate at 20 µg

Secondary

All lanes:

Western blot - Goat Anti-Rabbit IgG H&L (HRP) (<a href='/products/secondary-antibodies/goat-rabbit-igg-h-l-hrp-ab97051'>ab97051</a>) at 1/20000 dilution

Predicted band size: 52 kDa

Observed band size: 58 kDa

true

Exposure time: 3s

関連する標識済み抗体及び組成の異なる製品 (10)

  • 665 Alexa Fluor® 647

    Alexa Fluor® 647 Anti-FOXG1 antibody [EPR18987]

  • 578 PE

    PE Anti-FOXG1 antibody [EPR18987]

  • 660 APC

    APC Anti-FOXG1 antibody [EPR18987]

  • HRP

    HRP Anti-FOXG1 antibody [EPR18987]

  • 617 Alexa Fluor® 594

    Alexa Fluor® 594 Anti-FOXG1 antibody [EPR18987]

  • 603 Alexa Fluor® 568

    Alexa Fluor® 568 Anti-FOXG1 antibody [EPR18987]

  • Carrier free

    Anti-FOXG1 antibody [EPR18987] - BSA and Azide free

  • 519 Alexa Fluor® 488

    Alexa Fluor® 488 Anti-FOXG1 antibody [EPR18987]

  • 565 Alexa Fluor® 555

    Alexa Fluor® 555 Anti-FOXG1 antibody [EPR18987]

  • 775 Alexa Fluor® 750

    Alexa Fluor® 750 Anti-FOXG1 antibody [EPR18987]

Key facts

宿主種

Rabbit

クローン性

Monoclonal

クローン番号

EPR18987

アイソタイプ

IgG

キャリアフリー

No

交差種

Mouse, Rat, Human

アプリケーション

WB, ChIP-seq, IHC-Fr, Flow Cyt (Intra), IHC-P, ICC/IF, IP

applications

免疫原

The exact immunogen used to generate this antibody is proprietary information.

Reactivity data

{ "title": "Reactivity Data", "filters": { "stats": ["", "Species", "Dilution Info", "Notes"], "tabs": { "all-applications": {"fullname" : "All Applications", "shortname": "All Applications"}, "IP" : {"fullname" : "Immunoprecipitation", "shortname":"IP"}, "ChIPseq" : {"fullname" : "ChIP-sequencing", "shortname":"ChIP-seq"}, "WB" : {"fullname" : "Western blot", "shortname":"WB"}, "ICCIF" : {"fullname" : "Immunocytochemistry/ Immunofluorescence", "shortname":"ICC/IF"}, "IHCFr" : {"fullname" : "Immunohistochemistry (Frozen sections)", "shortname":"IHC-Fr"}, "FlowCytIntra" : {"fullname" : "Flow Cytometry (Intracellular)", "shortname":"Flow Cyt (Intra)"}, "IHCP" : {"fullname" : "Immunohistochemistry (Formalin/PFA-fixed paraffin-embedded sections)", "shortname":"IHC-P"} }, "product-promise": { "all": "all", "testedAndGuaranteed": "tested", "guaranteed": "expected", "predicted": "predicted", "notRecommended": "not-recommended" } }, "values": { "Human": { "IP-species-checked": "testedAndGuaranteed", "IP-species-dilution-info": "1/30", "IP-species-notes": "<p></p>", "ChIPseq-species-checked": "testedAndGuaranteed", "ChIPseq-species-dilution-info": "8 µg for 10^7 Cells", "ChIPseq-species-notes": "<p></p>", "WB-species-checked": "testedAndGuaranteed", "WB-species-dilution-info": "1/1000", "WB-species-notes": "<p></p>", "ICCIF-species-checked": "guaranteed", "ICCIF-species-dilution-info": "", "ICCIF-species-notes": "", "IHCFr-species-checked": "guaranteed", "IHCFr-species-dilution-info": "", "IHCFr-species-notes": "", "FlowCytIntra-species-checked": "guaranteed", "FlowCytIntra-species-dilution-info": "", "FlowCytIntra-species-notes": "", "IHCP-species-checked": "testedAndGuaranteed", "IHCP-species-dilution-info": "1/500", "IHCP-species-notes": "<p>For mouse and rat samples we recommend a dilution of 1/2000.</p> Perform heat-mediated antigen retrieval with Tris/EDTA buffer pH 9.0 before commencing with IHC staining protocol." }, "Mouse": { "IP-species-checked": "testedAndGuaranteed", "IP-species-dilution-info": "1/30", "IP-species-notes": "<p></p>", "ChIPseq-species-checked": "testedAndGuaranteed", "ChIPseq-species-dilution-info": "8 µg for 10^7 Cells", "ChIPseq-species-notes": "<p></p>", "WB-species-checked": "testedAndGuaranteed", "WB-species-dilution-info": "1/1000", "WB-species-notes": "<p></p>", "ICCIF-species-checked": "guaranteed", "ICCIF-species-dilution-info": "", "ICCIF-species-notes": "", "IHCFr-species-checked": "testedAndGuaranteed", "IHCFr-species-dilution-info": "1/500", "IHCFr-species-notes": "<p></p>", "FlowCytIntra-species-checked": "guaranteed", "FlowCytIntra-species-dilution-info": "", "FlowCytIntra-species-notes": "", "IHCP-species-checked": "testedAndGuaranteed", "IHCP-species-dilution-info": "1/500", "IHCP-species-notes": "<p>For mouse and rat samples we recommend a dilution of 1/2000.</p> Perform heat-mediated antigen retrieval with Tris/EDTA buffer pH 9.0 before commencing with IHC staining protocol." }, "Rat": { "IP-species-checked": "guaranteed", "IP-species-dilution-info": "", "IP-species-notes": "", "ChIPseq-species-checked": "guaranteed", "ChIPseq-species-dilution-info": "", "ChIPseq-species-notes": "", "WB-species-checked": "testedAndGuaranteed", "WB-species-dilution-info": "1/1000", "WB-species-notes": "<p></p>", "ICCIF-species-checked": "testedAndGuaranteed", "ICCIF-species-dilution-info": "1/100", "ICCIF-species-notes": "<p></p>", "IHCFr-species-checked": "testedAndGuaranteed", "IHCFr-species-dilution-info": "1/500", "IHCFr-species-notes": "<p></p>", "FlowCytIntra-species-checked": "testedAndGuaranteed", "FlowCytIntra-species-dilution-info": "1/60", "FlowCytIntra-species-notes": "<p></p>", "IHCP-species-checked": "testedAndGuaranteed", "IHCP-species-dilution-info": "1/500", "IHCP-species-notes": "<p>For mouse and rat samples we recommend a dilution of 1/2000.</p> Perform heat-mediated antigen retrieval with Tris/EDTA buffer pH 9.0 before commencing with IHC staining protocol." } } }

製品の詳細

Product Specifications
Anti-FOXG1 antibody [EPR18987] (ab196868) is a rabbit recombinant monoclonal antibody and is validated for use in Flow Cyt (Intra), ICC/IF, IHC-Fr, IHC-P, IP, WB, ChIP-Sequencing in human, mouse and rat samples.
Anti-FOXG1 antibody [EPR18987] (ab196868) specifically detects FOXG1 (UniProt ID: P55316; Molecular weight: 52kDa) and is sold in 100 µL and 1 mL selling sizes.

Quality and Validation
Abcam's high quality manufacturing and validation processes ensure Anti-FOXG1 antibody [EPR18987] (ab196868) has high sensitivity and specificity alongside high lot-to-lot consistency and reproducibility.
Anti-FOXG1 antibody [EPR18987] (ab196868) has been cited over 16 times in peer reviewed journals and is trusted by the scientific community.

Related Products
Conjugation-ready, carrier free format available for antibody clone EPR18987 - ab227888.
Antibody clone EPR18987 is also available pre-conjugated to a variety of labels for your convenience - Alexa Fluor® 647, PE, APC, HRP, Alkaline Phosphatase, Alexa Fluor® 488, Alexa Fluor® 594, Alexa Fluor® 555, Alexa Fluor® 568, Alexa Fluor® 750 (ab270103, ab305686, ab305687, ab305688, ab308686, ab309659, ab310394, ab311920, ab312391, ab321338).

Patented technology
Our RabMAb® technology is a patented hybridoma-based technology for making rabbit monoclonal antibodies. For details on our patents, please refer to RabMAb® patents.

What are the advantages of a recombinant monoclonal antibody?
This product is a recombinant monoclonal antibody, which offers several advantages including:

  • - High batch-to-batch consistency and reproducibility
  • - Improved sensitivity and specificity
  • - Long-term security of supply
  • - Animal-free batch production

For more information, read more on recombinant antibodies.

出荷温度及び保存条件

製品の状態
Liquid
精製方法
Affinity purification Protein A
バッファー組成
pH: 7.2 - 7.4 Preservative: 0.01% Sodium azide Constituents: PBS, 40% Glycerol (glycerin, glycerine), 0.05% BSA
出荷温度
Blue Ice
短期保存期間
1-2 weeks
短期保存温度
+4°C
長期保存温度
-20°C
分注に関する情報
Upon delivery aliquot
保管に関する情報
Avoid freeze / thaw cycle

補足情報

This supplementary information is collated from multiple sources and compiled automatically.

FOXG1 also known as Brain Factor 1 (BF-1) is a transcription factor with a molecular weight of approximately 52 kDa. This protein plays an important role in the modulation of gene expression. FOXG1 is found mainly in the developing brain and other tissues of the central nervous system. In adult brains its expression levels significantly decrease although some residual expression persists in areas such as the hippocampus.
Biological function summary

FOXG1 regulates processes of neural development and brain function. It is not known to be part of a protein complex but FOXG1 binds to DNA influencing the transcriptional activity of genes involved in neurogenesis. The protein contributes to the development of structures such as the telencephalon and regulates transitions between different stages of neuronal cell development. Its role extends to maintaining the balance between proliferation and differentiation of neural progenitor cells.

Pathways

FOXG1 participates in the Notch and Wnt signaling pathways. These pathways are critical for cell fate determination and embryonic development. FOXG1 interacts with proteins like those in the Notch pathway to maintain neural progenitors in a proliferative state. In the Wnt signaling pathway FOXG1 helps in modulating the signaling that controls brain patterning working in concert with other transcription factors and signaling molecules.

FOXG1 mutations can lead to congenital conditions such as FOXG1 syndrome and Rett syndrome. In such disorders abnormalities in FOXG1 disrupt normal neural development leading to cognitive and developmental impairments. The involvement of FOXG1 with the MeCP2 protein in Rett syndrome highlights its importance in maintaining normal neurological function. Understanding FOXG1's interactions and functions provides insights into potential therapeutic approaches for these disorders.

製品プロトコール

For this product, it's our understanding that no specific protocols are required. You can visit:

ターゲットの情報

Transcription repression factor which plays an important role in the establishment of the regional subdivision of the developing brain and in the development of the telencephalon.
See full target information FOXG1

文献 (35)

Recent publications for all applications. Explore the full list and refine your search

Nucleic acids research 53: PubMed40548942

2025

The lincRNA Pantr1 is a FOXG1 target gene conferring site-specific chromatin binding of FOXG1.

Applications

Unspecified application

Species

Unspecified reactive species

Fabian Gather,Tudor Rauleac,Ipek Akol,Ganeshkumar Arumugam,Camila L Fullio,Teresa Müller,Dimitrios Kleidonas,Ruth Geiss-Friedlander,Andre Fischer,Andreas Vlachos,Rolf Backofen,Tanja Vogel

Communications biology 8:916 PubMed40527961

2025

Drug treatment alters performance in a neural microphysiological system of information processing.

Applications

Unspecified application

Species

Unspecified reactive species

Bradley Watmuff,Forough Habibollahi,Candice Desouza,Moein Khajehnejad,Alon Loeffler,Koby Baranes,Noah Poulin,Mark Kotter,Brett J Kagan

Molecular therapy. Methods & clinical development 33:101415 PubMed39995448

2025

Human striatal progenitor cells that contain inducible safeguards and overexpress BDNF rescue Huntington's disease phenotypes.

Applications

Unspecified application

Species

Unspecified reactive species

Danielle A Simmons,Sridhar Selvaraj,Tingshuo Chen,Gloria Cao,Talita Souto Camelo,Tyne L M McHugh,Selena Gonzalez,Renata M Martin,Juste Simanauskaite,Nobuko Uchida,Matthew H Porteus,Frank M Longo

International journal of molecular sciences 25: PubMed39684410

2024

Molecular Characterization of Subdomain Specification of Cochlear Duct Based on Foxg1 and Gata3.

Applications

Unspecified application

Species

Unspecified reactive species

Yongjin Gil,Jiho Ryu,Hayoung Yang,Yechan Ma,Ki-Hoan Nam,Sung-Wuk Jang,Sungbo Shim

Annals of medicine 56:2399967 PubMed39624968

2024

FOXG1 interaction with SATB2 promotes autophagy to alleviate neuroinflammation and mechanical abnormal pain in rats with lumbar disc herniation.

Applications

Unspecified application

Species

Unspecified reactive species

Zhanchao Wang,Yifei Gu,Hui Wang,Yu Chen,Huajiang Chen,Xinwei Wang,Wen Yuan

Aging 16:13132-13144 PubMed39475791

2024

OSBPL2 inhibition leads to apoptosis of cochlea hair cells in age-related hearing loss by inhibiting the AKT/FOXG1 signaling pathway.

Applications

Unspecified application

Species

Unspecified reactive species

Meina Li-Yang,Chao Ma,Xiaoye Wang,Jianqiang You

Proceedings of the National Academy of Sciences of the United States of America 121:e2404841121 PubMed39348545

2024

TCA metabolism regulates DNA hypermethylation in LPS and -induced immune tolerance.

Applications

Unspecified application

Species

Unspecified reactive species

Abhimanyu,Santiago Carrero Longlax,Tomoki Nishiguchi,Malik Ladki,Daanish Sheikh,Amera L Martinez,Emily M Mace,Sandra L Grimm,Thaleia Caldwell,Alexandra Portillo Varela,Rajagopal V Sekhar,Anna M Mandalakas,Mandla Mlotshwa,Sibuse Ginidza,Jeffrey D Cirillo,Robert S Wallis,Mihai G Netea,Reinout van Crevel,Cristian Coarfa,Andrew R DiNardo

Molecular therapy. Methods & clinical development 32:101275 PubMed39022742

2024

The postnatal injection of AAV9-FOXG1 rescues corpus callosum agenesis and other brain deficits in the mouse model of FOXG1 syndrome.

Applications

Unspecified application

Species

Unspecified reactive species

Shin Jeon,Jaein Park,Shibi Likhite,Ji Hwan Moon,Dongjun Shin,Liwen Li,Kathrin C Meyer,Jae W Lee,Soo-Kyung Lee

Advanced science (Weinheim, Baden-Wurttemberg, Germany) 11:e2307953 PubMed38582517

2024

Menin Deficiency Induces Autism-Like Behaviors by Regulating Foxg1 Transcription and Participates in Foxg1-Related Encephalopathy.

Applications

Unspecified application

Species

Unspecified reactive species

Kai Zhuang,Lige Leng,Xiao Su,Shuzhong Wang,Yuemin Su,Yanbing Chen,Ziqi Yuan,Liu Zi,Jieyin Li,Wenting Xie,Sihan Yan,Yujun Xia,Han Wang,Huifang Li,Zhenyi Chen,Tifei Yuan,Jie Zhang

Cell stem cell 31:421-432.e8 PubMed38382530

2024

Thalamocortical organoids enable in vitro modeling of 22q11.2 microdeletion associated with neuropsychiatric disorders.

Applications

Unspecified application

Species

Unspecified reactive species

David Shin,Chang N Kim,Jayden Ross,Kelsey M Hennick,Sih-Rong Wu,Neha Paranjape,Rachel Leonard,Jerrick C Wang,Matthew G Keefe,Bryan J Pavlovic,Kevin C Donohue,Clara Moreau,Emilie M Wigdor,H Hanh Larson,Denise E Allen,Cathryn R Cadwell,Aparna Bhaduri,Galina Popova,Carrie E Bearden,Alex A Pollen,Sebastien Jacquemont,Stephan J Sanders,David Haussler,Arun P Wiita,Nicholas A Frost,Vikaas S Sohal,Tomasz J Nowakowski
View all publications

Abcam product promise

当社は、高品質な試薬を通じてお客様の研究を力強くサポートすることをお約束いたします。ご使用いただく各段階で、常にお客様をサポートできる体制を整えております。万が一、製品が期待通りに機能しない場合は、「Abcam Product Promise」による当社保証制度に基づき、安心してご利用いただけます。
保証に関する詳細については利用規約をご確認ください。

Please note: All products are 'FOR RESEARCH USE ONLY. NOT FOR USE IN DIAGNOSTIC OR THERAPEUTIC PROCEDURES'.

For licensing inquiries, please contact partnerships@abcam.com