JavaScript is disabled in your browser. Please enable JavaScript to view this website.
AB308634

Anti-FOXF1 抗体 [EPR27368-79] - BSA and Azide free

Anti-FOXF1 antibody [EPR27368-79] - BSA and Azide free

Be the first to review this product! Submit a review

|

(0 Publication)

Rabbit Recombinant Monoclonal FOXF1 antibody. Carrier free. Suitable for WB, IHC-P, IP and reacts with Human, Mouse, Rat samples.

別名を表示する

FKHL5, FREAC1, FOXF1, Forkhead box protein F1, Forkhead-related activator 1, Forkhead-related protein FKHL5, Forkhead-related transcription factor 1, FREAC-1

8 Images
Immunohistochemistry (Formalin/PFA-fixed paraffin-embedded sections) - Anti-FOXF1 antibody [EPR27368-79] - BSA and Azide free (AB308634)
  • IHC-P

Supplier Data

Immunohistochemistry (Formalin/PFA-fixed paraffin-embedded sections) - Anti-FOXF1 antibody [EPR27368-79] - BSA and Azide free (AB308634)

Immunohistochemical analysis of paraffin-embedded Rat cardiac muscle tissue labelling FOXF1 with ab308633 at 1/1000 (0.52 ug/ml) followed by a ready to use LeicaDS9800 (Bond™ Polymer Refine Detection). Low expression tissue : no staining on rat cardiac muscle. The section was incubated with ab308633 for 30 mins at room temperature. The immunostaining was performed on a Leica Biosystems BOND® RX instrument Counterstained with Hematoxylin. Secondary antibody only control : Secondary antibody is a ready to use LeicaDS9800 (Bond™ Polymer Refine Detection). Heat mediated antigen retrieval was performed with Tris-EDTA buffer (pH 9.0, Epitope Retrieval Solution2) for 20 mins

Immunohistochemistry (Formalin/PFA-fixed paraffin-embedded sections) - Anti-FOXF1 antibody [EPR27368-79] - BSA and Azide free (AB308634)
  • IHC-P

Supplier Data

Immunohistochemistry (Formalin/PFA-fixed paraffin-embedded sections) - Anti-FOXF1 antibody [EPR27368-79] - BSA and Azide free (AB308634)

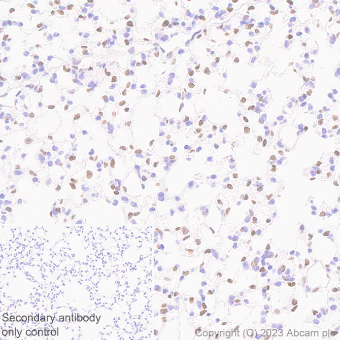
Immunohistochemical analysis of paraffin-embedded Rat lung tissue labelling FOXF1 with ab308633 at 1/1000 (0.52 ug/ml) followed by a ready to use LeicaDS9800 (Bond™ Polymer Refine Detection). Positive staining on rat lung. The section was incubated with ab308633 for 30 mins at room temperature. The immunostaining was performed on a Leica Biosystems BOND® RX instrument Counterstained with Hematoxylin. Secondary antibody only control : Secondary antibody is a ready to use LeicaDS9800 (Bond™ Polymer Refine Detection). Heat mediated antigen retrieval was performed with Tris-EDTA buffer (pH 9.0, Epitope Retrieval Solution2) for 20 mins

Immunohistochemistry (Formalin/PFA-fixed paraffin-embedded sections) - Anti-FOXF1 antibody [EPR27368-79] - BSA and Azide free (AB308634)
  • IHC-P

Supplier Data

Immunohistochemistry (Formalin/PFA-fixed paraffin-embedded sections) - Anti-FOXF1 antibody [EPR27368-79] - BSA and Azide free (AB308634)

Immunohistochemical analysis of paraffin-embedded Mouse lung tissue labelling FOXF1 with ab308633 at 1/1000 (0.52 ug/ml) followed by a ready to use LeicaDS9800 (Bond™ Polymer Refine Detection). Positive staining on mouse lung (PMID : 11313147). The section was incubated with ab308633 for 30 mins at room temperature. The immunostaining was performed on a Leica Biosystems BOND® RX instrument Counterstained with Hematoxylin. Secondary antibody only control : Secondary antibody is a ready to use LeicaDS9800 (Bond™ Polymer Refine Detection). Heat mediated antigen retrieval was performed with Tris-EDTA buffer (pH 9.0, Epitope Retrieval Solution2) for 20 mins

Immunohistochemistry (Formalin/PFA-fixed paraffin-embedded sections) - Anti-FOXF1 antibody [EPR27368-79] - BSA and Azide free (AB308634)
  • IHC-P

Supplier Data

Immunohistochemistry (Formalin/PFA-fixed paraffin-embedded sections) - Anti-FOXF1 antibody [EPR27368-79] - BSA and Azide free (AB308634)

Immunohistochemical analysis of paraffin-embedded Mouse cardiac muscle tissue labelling FOXF1 with ab308633 at 1/1000 (0.52 ug/ml) followed by a ready to use LeicaDS9800 (Bond™ Polymer Refine Detection). Low expression tissue : no staining on mouse cardiac muscle (PMID : 11313147). The section was incubated with ab308633 for 30 mins at room temperature. The immunostaining was performed on a Leica Biosystems BOND® RX instrument Counterstained with Hematoxylin. Secondary antibody only control : Secondary antibody is a ready to use LeicaDS9800 (Bond™ Polymer Refine Detection). Heat mediated antigen retrieval was performed with Tris-EDTA buffer (pH 9.0, Epitope Retrieval Solution2) for 20 mins

Immunoprecipitation - Anti-FOXF1 antibody [EPR27368-79] - BSA and Azide free (AB308634)
  • IP

Supplier Data

Immunoprecipitation - Anti-FOXF1 antibody [EPR27368-79] - BSA and Azide free (AB308634)

This data was developed using ab308633, the same antibody clone in a different buffer formulation.

FOXF1 was immunoprecipitated from 0.35 mg Mouse lung tissue lysate with ab308633 at 1/30 dilution (2ug in 0.35mg lysates). Western blot was performed on the immunoprecipitate using ab308633 at 1/1000 dilution. VeriBlot for IP secondary antibody (HRP) (ab131366) was used at 1/5000 dilution.

Lane 1 : Mouse lung tissue lysate
Lane 2 : ab308633 IP in Mouse lung tissue lysate
Lane 3 : Rabbit monoclonal IgG (ab172730) instead of ab308633 in mouse lung tissue lysate

Blocking and dilution buffer and concentration : 5% NFDM/TBST.

Exposure time : 180 seconds

All lanes:

Immunoprecipitation - Anti-FOXF1 antibody [EPR27368-79] (<a href='/products/primary-antibodies/foxf1-antibody-epr27368-79-ab308633'>ab308633</a>) at 1/1000 dilution

All lanes:

Mouse lung tissue lysate at 10 µg

Secondary

All lanes:

Immunoprecipitation - VeriBlot for IP Detection Reagent (HRP) (<a href='/products/reagents/veriblot-for-ip-detection-reagent-hrp-ab131366'>ab131366</a>) at 1/5000 dilution

Observed band size: 40 kDa

false

Exposure time: 180s

Western blot - Anti-FOXF1 antibody [EPR27368-79] - BSA and Azide free (AB308634)
  • WB

Supplier Data

Western blot - Anti-FOXF1 antibody [EPR27368-79] - BSA and Azide free (AB308634)

This data was developed using 308633, the same antibody clone in a different buffer formulation.  Blocking and diluting buffer and concentration : 5% NFDM/TBST. Low expression : A375 (PMID : 29162563). The expression profile/ molecular weight observed is consistent with what has been described in the literature (PMID : 29162563, 11313147). In lane 1, the lysate was stored at -80C°C prior to Western Blotting.  The bands beneath the target band (40 kDa) are likey to be degradation products. In lane 3, the lysate was freshly made and used for Western Blotting immediately to minimize protein degradation. In Western blot, anti-GAPDH antibody (ab181602) loading control staining at 1/200000 dilution. Exposure time : 37 seconds

All lanes:

Western blot - Anti-FOXF1 antibody [EPR27368-79] (<a href='/products/primary-antibodies/foxf1-antibody-epr27368-79-ab308633'>ab308633</a>) at 1/1000 dilution

Lane 1:

HeLa (human cervix adenocarcinoma epithelial cell) whole cell lysate at 20 µg

Lane 2:

A375 (human malignant melanoma epithelial cell) whole cell lysate at 20 µg

Lane 3:

HeLa whole cell lysate at 20 µg

Secondary

All lanes:

Western blot - Goat Anti-Rabbit IgG H&L (HRP) (<a href='/products/secondary-antibodies/goat-rabbit-igg-h-l-hrp-ab97051'>ab97051</a>) at 1/20000 dilution

Predicted band size: 39 kDa

Observed band size: 40 kDa

false

Exposure time: 37s

Western blot - Anti-FOXF1 antibody [EPR27368-79] - BSA and Azide free (AB308634)
  • WB

Supplier Data

Western blot - Anti-FOXF1 antibody [EPR27368-79] - BSA and Azide free (AB308634)

Blocking and diluting buffer and concentration : 5% NFDM/TBST. The expression profile/ molecular weight observed is consistent with what has been described in the literature (PMID : 29162563, 11313147). In Western blot, anti- Vinculin antibody (ab129002) loading control staining at 1/10000 dilution. Exposure time : 103 seconds

All lanes:

Western blot - Anti-FOXF1 antibody [EPR27368-79] (<a href='/products/primary-antibodies/foxf1-antibody-epr27368-79-ab308633'>ab308633</a>) at 1/1000 dilution

All lanes:

Rat lung tissue lysate at 20 µg

Secondary

All lanes:

Western blot - Goat Anti-Rabbit IgG H&L (HRP) (<a href='/products/secondary-antibodies/goat-rabbit-igg-h-l-hrp-ab97051'>ab97051</a>) at 1/20000 dilution

Predicted band size: 39 kDa

Observed band size: 40 kDa

false

Exposure time: 103s

Western blot - Anti-FOXF1 antibody [EPR27368-79] - BSA and Azide free (AB308634)
  • WB

Supplier Data

Western blot - Anti-FOXF1 antibody [EPR27368-79] - BSA and Azide free (AB308634)

This data was developed using 308633, the same antibody clone in a different buffer formulation.  Blocking and diluting buffer and concentration : 5% NFDM/TBST. Low expression : colon (PMID : 11313147, 7957066), heart (PMID : 11313147, 7957066). The expression profile/ molecular weight observed is consistent with what has been described in the literature (PMID : 29162563, 11313147). In Western blot, anti- Vinculin antibody (ab129002) loading control staining at 1/10000 dilution. Exposure time : 37 seconds

All lanes:

Western blot - Anti-FOXF1 antibody [EPR27368-79] (<a href='/products/primary-antibodies/foxf1-antibody-epr27368-79-ab308633'>ab308633</a>) at 1/1000 dilution

Lane 1:

Mouse lung tissue lysate at 20 µg

Lane 2:

Mouse colon tissue lysate at 20 µg

Lane 3:

Mouse heart tissue lysate at 20 µg

Secondary

All lanes:

Western blot - Goat Anti-Rabbit IgG H&L (HRP) (<a href='/products/secondary-antibodies/goat-rabbit-igg-h-l-hrp-ab97051'>ab97051</a>) at 1/20000 dilution

Predicted band size: 39 kDa

Observed band size: 40 kDa

false

Exposure time: 37s

関連する標識済み抗体及び組成の異なる製品 (2)

Key facts

宿主種

Rabbit

クローン性

Monoclonal

クローン番号

EPR27368-79

アイソタイプ

IgG

キャリアフリー

Yes

交差種

Rat, Human, Mouse

アプリケーション

IP, WB, IHC-P

applications

免疫原

The exact immunogen used to generate this antibody is proprietary information.

Reactivity data

{ "title": "Reactivity Data", "filters": { "stats": ["", "Species", "Dilution Info", "Notes"], "tabs": { "all-applications": {"fullname" : "All Applications", "shortname": "All Applications"}, "ChIP" : {"fullname" : "ChIP", "shortname":"ChIP"}, "WB" : {"fullname" : "Western blot", "shortname":"WB"}, "IHCP" : {"fullname" : "Immunohistochemistry (Formalin/PFA-fixed paraffin-embedded sections)", "shortname":"IHC-P"}, "IP" : {"fullname" : "Immunoprecipitation", "shortname":"IP"} }, "product-promise": { "all": "all", "testedAndGuaranteed": "tested", "guaranteed": "expected", "predicted": "predicted", "notRecommended": "not-recommended" } }, "values": { "Human": { "ChIP-species-checked": "notRecommended", "ChIP-species-dilution-info": "", "ChIP-species-notes": "", "WB-species-checked": "testedAndGuaranteed", "WB-species-dilution-info": "", "WB-species-notes": "<p></p>", "IHCP-species-checked": "notRecommended", "IHCP-species-dilution-info": "", "IHCP-species-notes": "<p></p>", "IP-species-checked": "notRecommended", "IP-species-dilution-info": "", "IP-species-notes": "<p></p>" }, "Mouse": { "ChIP-species-checked": "notRecommended", "ChIP-species-dilution-info": "", "ChIP-species-notes": "<p></p>", "WB-species-checked": "testedAndGuaranteed", "WB-species-dilution-info": "", "WB-species-notes": "<p></p>", "IHCP-species-checked": "testedAndGuaranteed", "IHCP-species-dilution-info": "", "IHCP-species-notes": "<p></p>", "IP-species-checked": "testedAndGuaranteed", "IP-species-dilution-info": "", "IP-species-notes": "<p></p>" }, "Rat": { "ChIP-species-checked": "notRecommended", "ChIP-species-dilution-info": "", "ChIP-species-notes": "", "WB-species-checked": "testedAndGuaranteed", "WB-species-dilution-info": "", "WB-species-notes": "<p></p>", "IHCP-species-checked": "testedAndGuaranteed", "IHCP-species-dilution-info": "", "IHCP-species-notes": "<p></p>", "IP-species-checked": "guaranteed", "IP-species-dilution-info": "", "IP-species-notes": "" } } }

製品の詳細

Patented technology
Our RabMAb® technology is a patented hybridoma-based technology for making rabbit monoclonal antibodies. For details on our patents, please refer to RabMAb® patents.

What are the advantages of a recombinant monoclonal antibody?
This product is a recombinant monoclonal antibody, which offers several advantages including:

  • - High batch-to-batch consistency and reproducibility
  • - Improved sensitivity and specificity
  • - Long-term security of supply
  • - Animal-free batch production

For more information, read more on recombinant antibodies.

Conjugation ready
Our carrier-free antibodies are typically supplied in a PBS-only formulation, purified and free of BSA, sodium azide and glycerol. This conjugation-ready format is designed for use with fluorochromes, metal isotopes, oligonucleotides, and enzymes, which makes them ideal for antibody labelling, functional and cell-based assays, flow-based assays (e.g. mass cytometry) and Multiplex Imaging applications.

Use our conjugation kits for antibody conjugates that are ready-to-use in as little as 20 minutes with 1 minute hands-on-time and 100% antibody recovery: available for fluorescent dyes, HRP, biotin and gold.

Compatibility
This product is compatible with the Maxpar® Antibody Labeling Kit from Fluidigm, without the need for antibody preparation. Maxpar® is a trademark of Fluidigm Canada Inc.

出荷温度及び保存条件

製品の状態
Liquid
精製方法
Affinity purification Protein A
バッファー組成
pH: 7.2 - 7.4 Constituents: PBS
出荷温度
Blue Ice
短期保存温度
+4°C
長期保存温度
+4°C

補足情報

This supplementary information is collated from multiple sources and compiled automatically.

FOXF1 also known as Forkhead Box F1 is a transcription factor with a molecular mass of approximately 47 kDa. This protein belongs to the forkhead family which is characterized by a distinct forkhead DNA-binding domain. FOXF1 is expressed mainly in the mesenchyme of developing organs such as the lung and gut where it plays an essential role in organogenesis and development.
Biological function summary

FOXF1 regulates gene expression involved in cellular differentiation and embryonic development. It acts as a transcriptional activator binding specific DNA sequences to initiate transcription. FOXF1 does not function in isolation; it forms part of transcriptional complexes by interacting with other regulatory proteins enhancing its role as a transcription factor in specific tissue types. Through these interactions FOXF1 influences the development of organs and tissues.

Pathways

FOXF1 actively participates in the Wnt and Hedgehog signaling pathways both critical for embryonic development and cellular proliferation. In the Wnt pathway FOXF1 interacts with β-catenin a central protein in the pathway to regulate target gene expression that controls cell differentiation and proliferation. In the Hedgehog pathway FOXF1 modulates gene expression alongside transcription factors such as GLI proteins controlling various developmental processes.

FOXF1 mutations or dysregulation have strong associations with congenital diaphragmatic hernia and alveolar capillary dysplasia both of which are severe developmental conditions. FOXF1 dysregulation disrupts normal lung and diaphragm development linking it to these disorders. Additionally the Hedgehog pathway where FOXF1 plays a role involves GLI proteins tying FOXF1 indirectly to certain developmental syndromes when mutations are present.

製品プロトコール

For this product, it's our understanding that no specific protocols are required. You can visit:

ターゲットの情報

Probable transcription activator for a number of lung-specific genes.
See full target information FOXF1

Abcam product promise

当社は、高品質な試薬を通じてお客様の研究を力強くサポートすることをお約束いたします。ご使用いただく各段階で、常にお客様をサポートできる体制を整えております。万が一、製品が期待通りに機能しない場合は、「Abcam Product Promise」による当社保証制度に基づき、安心してご利用いただけます。
保証に関する詳細については利用規約をご確認ください。

Please note: All products are 'FOR RESEARCH USE ONLY. NOT FOR USE IN DIAGNOSTIC OR THERAPEUTIC PROCEDURES'.

For licensing inquiries, please contact partnerships@abcam.com