JavaScript is disabled in your browser. Please enable JavaScript to view this website.
AB259335

Anti-FMRP 抗体 [EPR23852-90]

Anti-FMRP antibody [EPR23852-90]

  • BOND RX™ Validated
  • 20ul selling size
  • Recombinant
  • Advanced Validation
  • RabMAb
  • 詳細を見る

Be the first to review this product! Submit a review

|

(3 Publications)

Rabbit Recombinant Monoclonal FMRP antibody. Suitable for IHC-Fr, mIHC, IHC-P, ICC/IF, IP, WB, Flow Cyt (Intra) and reacts with Mouse, Rat, Human samples. Cited in 3 publications.

別名を表示する

Fragile X messenger ribonucleoprotein 1, Fragile X messenger ribonucleoprotein, Protein FMR-1, FMRP, FMR1

33 Images
Multiplex immunohistochemistry - Anti-FMRP antibody [EPR23852-90] (AB259335)
  • mIHC

Lab

Multiplex immunohistochemistry - Anti-FMRP antibody [EPR23852-90] (AB259335)

Fluorescence multiplex immunohistochemical analysis of formalin/PFA-fixed paraffin-embedded mouse spinal cord tissue.

Panel A : merged staining of anti-GPR17 (magenta; Opal™690), anti-P2RY12 (green; Opal™520) and anti-FMR1 (gray; Opal™570) on mouse spinal cord.
Panel B : anti-GPR17 staining oligodendrocytes in mouse spinal cord.
Panel C : anti-P2RY12 staining microglia in mouse spinal cord.
Panel D : anti-FMR1 staining neurons in mouse spinal cord.
Nuclear DNA was labeled with DAPI (shown in blue).

The section was incubated in three rounds of staining : in the order of ab316105 at a 1/500 dilution, ab300140 at a 1/40000 dilution, and ab259335 at a 1/10000 dilution for 30 mins at room temperature. Each round was followed by a separate fluorescent tyramide signal amplification system.

Heat mediated antigen retrieval with Tris-EDTA buffer (pH 9.0, epitope retrieval solution2) for 20 mins.

The immunostaining was performed on a Leica Biosystems BOND® RX instrument with an Opal™ 4-color kit. Image acquisition was performed with Leica SP8 confocal microscope.

Multiplex immunohistochemistry - Anti-FMRP antibody [EPR23852-90] (AB259335)
  • mIHC

Lab

Multiplex immunohistochemistry - Anti-FMRP antibody [EPR23852-90] (AB259335)

Multiplex immunohistochemistry analysis of formalin/PFA-fixed paraffin-embedded Mouse cerebrum tissue staining TRIM46 with ab307967 at a 1 : 5000 (0.102 ug/ml) dilution, FMRP with ab259335 at 1 : 10000 (0.04 ug/ml) dilution and Serotonin transporter with ab308443 at a 1 : 500 (0.052 ug/ml) dilution followed by secondary antibody Opal Polymer HRP Ms + Rb.

Panel A : merged staining of anti-TRIM46 (green; Opal520), anti-FMRP (magenta; Opal690) and anti-Serotonin transporter (yellow; Opal570) on mouse cerebrum.
Panel B : anti-TRIM46 staining the proximal part of the axon in mouse cerebrum.
Panel C : anti-FMRP staining neurons in mouse cerebrum.
Panel D : anti-Serotonin transporter staining dendrites in mouse cerebrum.
Nuclear DNA was labeled with DAPI (shown in blue).

The section was incubated in three rounds of staining : in the order of ab307967, ab259335 and ab308443 for 30 mins at room temperature. Each round was followed by a separate fluorescent tyramide signal amplification system.

The immunostaining was performed on a Leica Biosystems BOND® RX instrument with an Opal 4-color kit. Image acquisition was performed with Leica SP8 confocal microscope.

Heat mediated antigen retrieval with Tris-EDTA buffer (pH 9.0, epitope retrieval solution2) for 20 mins

Multiplex immunohistochemistry - Anti-FMRP antibody [EPR23852-90] (AB259335)
  • mIHC

Lab

Multiplex immunohistochemistry - Anti-FMRP antibody [EPR23852-90] (AB259335)

Multiplex immunohistochemistry analysis of formalin/PFA-fixed paraffin-embedded Rat spinal cord tissue staining TRIM46 with ab307967 at a 1 : 5000 (0.102 ug/ml) dilution, FMRP with ab259335 at 1 : 10000 (0.04 ug/ml) dilution and Serotonin transporter with ab308443 at a 1 : 500 (0.052 ug/ml) dilution followed by secondary antibody Opal Polymer HRP Ms + Rb.

Panel A : merged staining of anti-TRIM46 (green; Opal520), anti-FMRP (magenta; Opal690) and anti-Serotonin transporter (yellow; Opal570) on rat spinal cord.
Panel B : anti-TRIM46 staining the proximal part of the axon in rat spinal cord.
Panel C : anti-FMRP staining neurons in rat spinal cord.
Panel D : anti-Serotonin transporter staining dendrites in rat spinal cord.
Nuclear DNA was labeled with DAPI (shown in blue).

The section was incubated in three rounds of staining : in the order of ab307967, ab259335 and ab308443 for 30 mins at room temperature. Each round was followed by a separate fluorescent tyramide signal amplification system.

The immunostaining was performed on a Leica Biosystems BOND® RX instrument with an Opal 4-color kit. Image acquisition was performed with Leica SP8 confocal microscope.

Heat mediated antigen retrieval with Tris-EDTA buffer (pH 9.0, epitope retrieval solution2) for 20 mins

Multiplex immunohistochemistry - Anti-FMRP antibody [EPR23852-90] (AB259335)
  • mIHC

Lab

Multiplex immunohistochemistry - Anti-FMRP antibody [EPR23852-90] (AB259335)

Multiplex immunohistochemistry analysis of formalin/PFA-fixed paraffin-embedded Rat hippocampus tissue staining TRIM46 with ab307967 at a 1 : 5000 (0.102 ug/ml) dilution, FMRP with ab259335 at 1 : 10000 (0.04 ug/ml) dilution and Serotonin transporter with ab308443 at a 1 : 500 (0.052 ug/ml) dilution followed by secondary antibody Opal Polymer HRP Ms + Rb.

Panel A : merged staining of anti-TRIM46 (green; Opal520), anti-FMRP (magenta; Opal690) and anti-Serotonin transporter (yellow; Opal570) on rat hippocampus.
Panel B : anti-TRIM46 staining the proximal part of the axon in rat hippocampus.
Panel C : anti-FMRP staining neurons in rat hippocampus.
Panel D : anti-Serotonin transporter staining dendrites in rat hippocampus..
Nuclear DNA was labeled with DAPI (shown in blue).

The section was incubated in three rounds of staining : in the order of ab307967, ab259335 and ab308443 for 30 mins at room temperature. Each round was followed by a separate fluorescent tyramide signal amplification system.

The immunostaining was performed on a Leica Biosystems BOND® RX instrument with an Opal 4-color kit. Image acquisition was performed with Leica SP8 confocal microscope.

Heat mediated antigen retrieval with Tris-EDTA buffer (pH 9.0, epitope retrieval solution2) for 20 mins

Multiplex immunohistochemistry - Anti-FMRP antibody [EPR23852-90] (AB259335)
  • mIHC

Lab

Multiplex immunohistochemistry - Anti-FMRP antibody [EPR23852-90] (AB259335)

Multiplex immunohistochemistry analysis of formalin/PFA-fixed paraffin-embedded Mouse hippocampus tissue staining TRIM46 with ab307967 at a 1 : 5000 (0.102 ug/ml) dilution, FMRP with ab259335 at 1 : 10000 ( 0.04 µg/ml) dilution and Serotonin transporter with ab308443 at a 1 : 500 (0.052 ug/ml) dilution followed by secondary antibody Opal Polymer HRP Ms + Rb.

Panel A : merged staining of anti-TRIM46 (green; Opal520), anti-FMRP (magenta; Opal690) and anti-Serotonin transporter (yellow; Opal570) on mouse hippocampus.
Panel B : anti-TRIM46 staining the proximal part of the axon in mouse hippocampus.
Panel C : anti-FMRP staining neurons in mouse hippocampus.
Panel D : anti-Serotonin transporter staining dendrites in mouse hippocampus.
Nuclear DNA was labeled with DAPI (shown in blue).

The section was incubated in three rounds of staining : in the order of ab307967, ab259335 and ab308443 for 30 mins at room temperature. Each round was followed by a separate fluorescent tyramide signal amplification system.

The immunostaining was performed on a Leica Biosystems BOND® RX instrument with an Opal 4-color kit. Image acquisition was performed with Leica SP8 confocal microscope.

Heat mediated antigen retrieval with Tris-EDTA buffer (pH 9.0, epitope retrieval solution2) for 20 mins

Immunohistochemistry (Frozen sections) - Anti-FMRP antibody [EPR23852-90] (AB259335)
  • IHC-Fr

Lab

Immunohistochemistry (Frozen sections) - Anti-FMRP antibody [EPR23852-90] (AB259335)

IHC image of ab259335 staining FMRP in rat testis frozen tissue sections, performed on a Leica Biosystems BOND® RX instrument. The section was incubated with ab259335 at 0.5μg/ml for 30 mins at room temperature and detected using an HRP conjugated compact polymer system (Bond™ Polymer Refine Detection). DAB was used as the chromogen. Positive staining was seen in cytoplasm and membrane in rat testis. The section was then counterstained with haematoxylin and mounted with DPX. No primary antibody was used in the secondary only control (shown on the inset).

For other IHC staining systems (automated and non-automated) customers should optimize variable parameters such as antigen retrieval conditions, primary antibody concentration and antibody incubation times.

Immunohistochemistry (Formalin/PFA-fixed paraffin-embedded sections) - Anti-FMRP antibody [EPR23852-90] (AB259335)
  • IHC-P

Unknown

Immunohistochemistry (Formalin/PFA-fixed paraffin-embedded sections) - Anti-FMRP antibody [EPR23852-90] (AB259335)

Immunohistochemical analysis of paraffin-embedded Rat testis tissue labeling FMRP with ab259335 at 1/10000 (0.04 ug/ml) followed by a ready to use Rabbit specific IHC polymer detection kit HRP/DAB (ab209101). Positive staining on rat testis. The section was incubated with ab259335 for 10 mins at room temperature. The immunostaining was performed on a Leica Biosystems BOND® RX instrument. Counterstained with Hematoxylin.

Secondary antibody only control : Secondary antibody is a ready to use Rabbit specific IHC polymer detection kit HRP/DAB (ab209101).

Heat mediated antigen retrieval with Citrate buffer (pH 6.0, epitope retrieval solution 1) for 20 mins.

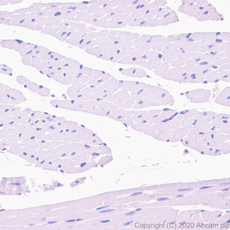
Immunohistochemistry (Formalin/PFA-fixed paraffin-embedded sections) - Anti-FMRP antibody [EPR23852-90] (AB259335)
  • IHC-P

Supplier Data

Immunohistochemistry (Formalin/PFA-fixed paraffin-embedded sections) - Anti-FMRP antibody [EPR23852-90] (AB259335)

Immunohistochemical analysis of paraffin-embedded mouse cardiac muscle tissue labeling FMRP with ab259335 at 1/10000 (0.04 ug/ml) followed by a ready to use Rabbit specific IHC polymer detection kit HRP/DAB (ab209101). Negative control : No staining on mouse cardiac muscle (PMID : 7633436). The section was incubated with ab259335 for 10 mins at room temperature. The immunostaining was performed on a Leica Biosystems BOND® RX instrument. Counterstained with Hematoxylin.

Secondary antibody only control : Secondary antibody is a ready to use Rabbit specific IHC polymer detection kit HRP/DAB (ab209101).

Heat mediated antigen retrieval with Citrate buffer (pH 6.0, epitope retrieval solution 1) for 20 mins.

Immunohistochemistry (Frozen sections) - Anti-FMRP antibody [EPR23852-90] (AB259335)
  • IHC-Fr

Lab

Immunohistochemistry (Frozen sections) - Anti-FMRP antibody [EPR23852-90] (AB259335)

IHC image of ab259335 staining FMRP in mouse testis frozen tissue sections, performed on a Leica Biosystems BOND® RX instrument. The section was incubated with ab259335 at 0.5μg/ml for 30 mins at room temperature and detected using an HRP conjugated compact polymer system (Bond™ Polymer Refine Detection). DAB was used as the chromogen. Positive staining was seen in cytoplasm and membrane in mouse testis. The section was then counterstained with haematoxylin and mounted with DPX. No primary antibody was used in the secondary only control (shown on the inset).

For other IHC staining systems (automated and non-automated) customers should optimize variable parameters such as antigen retrieval conditions, primary antibody concentration and antibody incubation times.

Immunohistochemistry (Formalin/PFA-fixed paraffin-embedded sections) - Anti-FMRP antibody [EPR23852-90] (AB259335)
  • IHC-P

Unknown

Immunohistochemistry (Formalin/PFA-fixed paraffin-embedded sections) - Anti-FMRP antibody [EPR23852-90] (AB259335)

Immunohistochemical analysis of paraffin-embedded Rat cerebrum tissue labeling FMRP with ab259335 at 1/10000 (0.04 ug/ml) followed by a ready to use Rabbit specific IHC polymer detection kit HRP/DAB (ab209101). Positive staining on rat cerebrum. The section was incubated with ab259335 for 10 mins at room temperature. The immunostaining was performed on a Leica Biosystems BOND® RX instrument. Counterstained with Hematoxylin.

Secondary antibody only control : Secondary antibody is a ready to use Rabbit specific IHC polymer detection kit HRP/DAB (ab209101).

Heat mediated antigen retrieval with Citrate buffer (pH 6.0, epitope retrieval solution 1) for 20 mins.

Immunohistochemistry (Formalin/PFA-fixed paraffin-embedded sections) - Anti-FMRP antibody [EPR23852-90] (AB259335)
  • IHC-P

Unknown

Immunohistochemistry (Formalin/PFA-fixed paraffin-embedded sections) - Anti-FMRP antibody [EPR23852-90] (AB259335)

Immunohistochemical analysis of paraffin-embedded mouse cerebrum tissue labeling FMRP with ab259335 at 1/10000 (0.04 ug/ml) followed by a ready to use Rabbit specific IHC polymer detection kit HRP/DAB (ab209101). Positive staining on mouse cerebrum (PMID : 24463622). The section was incubated with ab259335 for 10 mins at room temperature. The immunostaining was performed on a Leica Biosystems BOND® RX instrument. Counterstained with Hematoxylin.

Secondary antibody only control : Secondary antibody is a ready to use Rabbit specific IHC polymer detection kit HRP/DAB (ab209101).

Heat mediated antigen retrieval with Citrate buffer (pH 6.0, epitope retrieval solution 1) for 20 mins.

Multiplex immunohistochemistry - Anti-FMRP antibody [EPR23852-90] (AB259335)
  • mIHC

Lab

Multiplex immunohistochemistry - Anti-FMRP antibody [EPR23852-90] (AB259335)

Fluorescence multiplex immunohistochemical analysis of formalin/PFA-fixed paraffin-embedded mouse cerebrum tissue sections.

Panel A : merged staining of anti-GPR17 (magenta; Opal™690), anti-P2RY12 (green; Opal™520) and anti-FMR1 (gray; Opal™570) on mouse cerebrum.

Panel B : anti-GPR17 staining oligodendrocytes in mouse cerebrum.

Panel C : anti-P2RY12 staining microglia in mouse cerebrum.

Panel D : anti-FMR1 staining neurons in mouse cerebrum.

Nuclear DNA was labeled with DAPI (shown in blue).

The section was incubated in three rounds of staining : in the order of ab316105 at a 1/500 dilution, ab300140 at a 1/40000 dilution, and ab259335 at a 1/10000 dilution for 30 mins at room temperature. Each round was followed by a separate fluorescent tyramide signal amplification system.

Heat mediated antigen retrieval with Tris-EDTA buffer (pH 9.0, epitope retrieval solution2) for 20 mins.

The immunostaining was performed on a Leica Biosystems BOND® RX instrument with an Opal™ 4-color kit. Image acquisition was performed with Leica SP8 confocal microscope.

Multiplex immunohistochemistry - Anti-FMRP antibody [EPR23852-90] (AB259335)
  • mIHC

Lab

Multiplex immunohistochemistry - Anti-FMRP antibody [EPR23852-90] (AB259335)

Fluorescence multiplex immunohistochemical analysis of formalin/PFA-fixed paraffin-embedded rat hippocampus tissue sections.

Panel A : merged staining of anti-GPR17 (magenta; Opal™690), anti-P2RY12 (green; Opal™520) and anti-FMR1 (gray; Opal™570) on rat hippocampus.

Panel B : anti-GPR17 staining oligodendrocytes in rat hippocampus.

Panel C : anti-P2RY12 staining microglia in rat hippocampus.

Panel D : anti-FMR1 staining neurons in rat hippocampus.

Nuclear DNA was labeled with DAPI (shown in blue).

The section was incubated in three rounds of staining : in the order of ab316105 at a 1/500 dilution, ab300140 at a 1/40000 dilution, and ab259335 at a 1/10000 dilution for 30 mins at room temperature. Each round was followed by a separate fluorescent tyramide signal amplification system. Nuclear counterstaining with DAPI.

Heat mediated antigen retrieval with Tris-EDTA buffer (pH 9.0, epitope retrieval solution2) for 20 mins.

The immunostaining was performed on a Leica Biosystems BOND® RX instrument with an Opal™ 4-color kit. Image acquisition was performed with Leica SP8 confocal microscope.

Multiplex immunohistochemistry - Anti-FMRP antibody [EPR23852-90] (AB259335)
  • mIHC

Lab

Multiplex immunohistochemistry - Anti-FMRP antibody [EPR23852-90] (AB259335)

Fluorescence multiplex immunohistochemical analysis of formalin/PFA-fixed paraffin-embedded mouse cerebellum tissue sections.

Panel A : merged staining of anti-GPR17 (magenta; Opal™690), anti-P2RY12 (green; Opal™520) and anti-FMR1 (gray; Opal™570) on mouse cerebellum.

Panel B : anti-GPR17 staining oligodendrocytes in mouse cerebellum.

Panel C : anti-P2RY12 staining microglia in mouse cerebellum.

Panel D : anti-FMR1 staining neurons and Purkinje cells in mouse cerebellum.

Nuclear DNA was labeled with DAPI (shown in blue).

The section was incubated in three rounds of staining : in the order of ab316105 at a 1/500 dilution, ab300140 at a 1/40000 dilution and ab259335 at a 1/10000 dilution for 30 mins at room temperature. Each round was followed by a separate fluorescent tyramide signal amplification system.

Heat mediated antigen retrieval with Tris-EDTA buffer (pH 9.0, epitope retrieval solution2) for 20 mins.

The immunostaining was performed on a Leica Biosystems BOND® RX instrument with an Opal™ 4-color kit. Image acquisition was performed with Leica SP8 confocal microscope.

Multiplex immunohistochemistry - Anti-FMRP antibody [EPR23852-90] (AB259335)
  • mIHC

Lab

Multiplex immunohistochemistry - Anti-FMRP antibody [EPR23852-90] (AB259335)

Multiplex immunohistochemistry analysis of formalin/PFA-fixed paraffin-embedded Rat cerebrum tissue staining TRIM46 with ab307967 at a 1 : 5000 (0.102 ug/ml) dilution, FMRP with ab259335 at 1 : 10000 (0.04 ug/ml) dilution and Serotonin transporter with ab308443 at a 1 : 500 (0.052 ug/ml) dilution followed by secondary antibody Opal Polymer HRP Ms + Rb.

Panel A : merged staining of anti-TRIM46 (green; Opal520), anti-FMRP (magenta; Opal690) and anti-Serotonin transporter (yellow; Opal570) on rat cerebrum.
Panel B : anti-TRIM46 staining the proximal part of the axon in rat cerebrum.
Panel C : anti-FMRP staining neurons in rat cerebrum.
Panel D : anti-Serotonin transporter staining dendrites in rat cerebrum.
Nuclear DNA was labeled with DAPI (shown in blue).

The section was incubated in three rounds of staining : in the order of ab307967, ab259335 and ab308443 for 30 mins at room temperature. Each round was followed by a separate fluorescent tyramide signal amplification system.

The immunostaining was performed on a Leica Biosystems BOND® RX instrument with an Opal 4-color kit. Image acquisition was performed with Leica SP8 confocal microscope.

Heat mediated antigen retrieval with Tris-EDTA buffer (pH 9.0, epitope retrieval solution2) for 20 mins

Multiplex immunohistochemistry - Anti-FMRP antibody [EPR23852-90] (AB259335)
  • mIHC

Lab

Multiplex immunohistochemistry - Anti-FMRP antibody [EPR23852-90] (AB259335)

Fluorescence multiplex immunohistochemical analysis of formalin/PFA-fixed paraffin-embedded rat cerebrum tissue sections.

Panel A : merged staining of anti-GPR17 (magenta; Opal™690), anti-P2RY12 (green; Opal™520) and anti-FMR1 (gray; Opal™570) on rat cerebrum.

Panel B : anti-GPR17 staining oligodendrocytes in rat cerebrum.

Panel C : anti-P2RY12 staining microglia in rat cerebrum.

Panel D : anti-FMR1 staining neurons in rat cerebrum.

Nuclear DNA was labeled with DAPI (shown in blue).

The section was incubated in three rounds of staining : in the order of ab316105 at a 1/500 dilution, ab300140 at a 1/40000 dilution, and ab259335 at a 1/10000 dilution for 30 mins at room temperature. Each round was followed by a separate fluorescent tyramide signal amplification system. Heat mediated antigen retrieval with Tris-EDTA buffer (pH 9.0, epitope retrieval solution2) for 20 mins. Nuclear counterstaining with DAPI.

The immunostaining was performed on a Leica Biosystems BOND® RX instrument with an Opal™ 4-color kit. Image acquisition was performed with Leica SP8 confocal microscope.

Multiplex immunohistochemistry - Anti-FMRP antibody [EPR23852-90] (AB259335)
  • mIHC

Lab

Multiplex immunohistochemistry - Anti-FMRP antibody [EPR23852-90] (AB259335)

Fluorescence multiplex immunohistochemical analysis of formalin/PFA-fixed paraffin-embedded mouse hippocampus tissue sections.

Panel A : merged staining of anti-GPR17 (magenta; Opal™690), anti-P2RY12 (green; Opal™520) and anti-FMR1 (gray; Opal™570) on mouse hippocampus.

Panel B : anti-GPR17 staining oligodendrocytes in mouse hippocampus.

Panel C : anti-P2RY12 staining microglia in mouse hippocampus.

Panel D : anti-FMR1 staining neurons in mouse hippocampus.

Nuclear DNA was labeled with DAPI (shown in blue).

The section was incubated in three rounds of staining : in the order of ab316105 at a 1/500 dilution, ab300140 at a 1/40000 dilution, and ab259335 at a 1/10000 dilution for 30 mins at room temperature. Each round was followed by a separate fluorescent tyramide signal amplification system.

Heat mediated antigen retrieval with Tris-EDTA buffer (pH 9.0, epitope retrieval solution2) for 20 mins. Nuclear counterstaining with DAPI.

The immunostaining was performed on a Leica Biosystems BOND® RX instrument with an Opal™ 4-color kit. Image acquisition was performed with Leica SP8 confocal microscope.

Multiplex immunohistochemistry - Anti-FMRP antibody [EPR23852-90] (AB259335)
  • mIHC

Supplier Data

Multiplex immunohistochemistry - Anti-FMRP antibody [EPR23852-90] (AB259335)

Immunohistochemistry (Formalin/PFA-fixed paraffin-embedded sections) analysis of mouse cerebellum labelling Noradrenaline transporter with ab254361 at 1/100 (B), GPCR GPR17 with ab314307 at 1/2000 dilution (C) and FMRP with ab259335 at 1/10000 dilution (D). Opal Polymer HRP Ms + Rb was used as a secondary antibody, and Nuclear DNA was labeled with DAPI (shown in blue). Heat mediated antigen retrieval with Tris-EDTA buffer (pH 9.0, epitope retrieval solution2) for 20 mins.

Panel A : merged staining of anti-Noradrenaline transporter (magenta; Opal™690), anti-GPCR GPR17 (green; Opal™520) and anti-FMRP (gray; Opal™570) on mouse cerebellum.

Panel B : anti-Noradrenaline transporter staining nerves in mouse cerebellum.

Panel C : anti-GPCR GPR17 staining oligodendrocytes in mouse cerebellum.

Panel D : anti-FMRP staining neurons in mouse cerebellum.

The section was incubated in three rounds of staining : in the order of ab254361, ab314307 and ab259335 for 30 mins at room temperature. Each round was followed by a separate fluorescent tyramide signal amplification system.
The immunostaining was performed on a Leica Biosystems BOND® RX instrument with an Opal™ 4-color kit. Image acquisition was performed with Leica SP8 confocal microscope.

Multiplex immunohistochemistry - Anti-FMRP antibody [EPR23852-90] (AB259335)
  • mIHC

Supplier Data

Multiplex immunohistochemistry - Anti-FMRP antibody [EPR23852-90] (AB259335)

Immunohistochemistry (Formalin/PFA-fixed paraffin-embedded sections) analysis of mouse cerebrum labelling Noradrenaline transporter with ab254361 at 1/100 (B), GPCR GPR17 with ab314307 at 1/2000 dilution (C) and FMRP with ab259335 at 1/10000 dilution (D). Opal Polymer HRP Ms + Rb was used as a secondary antibody, and Nuclear DNA was labeled with DAPI (shown in blue). Heat mediated antigen retrieval with Tris-EDTA buffer (pH 9.0, epitope retrieval solution2) for 20 mins.

Panel A : merged staining of anti-Noradrenaline transporter (magenta; Opal™690), anti-GPCR GPR17 (green; Opal™520) and anti-FMRP (gray; Opal™570) on mouse cerebrum.

Panel B : anti-Noradrenaline transporter staining nerves in mouse cerebrum.

Panel C : anti-GPCR GPR17 staining oligodendrocytes in mouse cerebrum.

Panel D : anti-FMRP staining neurons in mouse cerebrum.

The section was incubated in three rounds of staining : in the order of ab254361, ab314307 and ab259335 for 30 mins at room temperature. Each round was followed by a separate fluorescent tyramide signal amplification system.

The immunostaining was performed on a Leica Biosystems BOND® RX instrument with an Opal™ 4-color kit. Image acquisition was performed with Leica SP8 confocal microscope.

Multiplex immunohistochemistry - Anti-FMRP antibody [EPR23852-90] (AB259335)
  • mIHC

Supplier Data

Multiplex immunohistochemistry - Anti-FMRP antibody [EPR23852-90] (AB259335)

Immunohistochemistry (Formalin/PFA-fixed paraffin-embedded sections) analysis of rat cerebellum labelling Noradrenaline transporter with ab254361 at 1/100 (B), GPCR GPR17 with ab314307 at 1/2000 dilution (C) and FMRP with ab259335 at 1/10000 dilution (D). Opal Polymer HRP Ms + Rb was used as a secondary antibody, and Nuclear DNA was labeled with DAPI (shown in blue). Heat mediated antigen retrieval with Tris-EDTA buffer (pH 9.0, epitope retrieval solution2) for 20 mins.

Panel A : merged staining of anti-Noradrenaline transporter (magenta; Opal™690), anti-GPCR GPR17 (green; Opal™520) and anti-FMRP (gray; Opal™570) on rat cerebellum.

Panel B : anti-Noradrenaline transporter staining nerves in rat cerebellum.

Panel C : anti-GPCR GPR17 staining oligodendrocytes in rat cerebellum.

Panel D : anti-FMRP staining neurons in rat cerebellum.

The section was incubated in three rounds of staining : in the order of ab254361, ab314307 and ab259335 for 30 mins at room temperature. Each round was followed by a separate fluorescent tyramide signal amplification system.

The immunostaining was performed on a Leica Biosystems BOND® RX instrument with an Opal™ 4-color kit. Image acquisition was performed with Leica SP8 confocal microscope.

Multiplex immunohistochemistry - Anti-FMRP antibody [EPR23852-90] (AB259335)
  • mIHC

Supplier Data

Multiplex immunohistochemistry - Anti-FMRP antibody [EPR23852-90] (AB259335)

Immunohistochemistry (Formalin/PFA-fixed paraffin-embedded sections) analysis of rat cerebrum labelling Noradrenaline transporter with ab254361 at 1/100 (B), GPCR GPR17 with ab314307 at 1/2000 dilution (C) and FMRP with ab259335 at 1/10000 dilution (D). Opal Polymer HRP Ms + Rb was used as a secondary antibody, and Nuclear DNA was labeled with DAPI (shown in blue). Heat mediated antigen retrieval with Tris-EDTA buffer (pH 9.0, epitope retrieval solution2) for 20 mins.

Panel A : merged staining of anti-Noradrenaline transporter (magenta; Opal™690), anti-GPCR GPR17 (green; Opal™520) and anti-FMRP (gray; Opal™570) on rat cerebrum.
Panel B : anti-Noradrenaline transporter staining nerves in rat cerebrum.
Panel C : anti-GPCR GPR17 staining oligodendrocytes in rat cerebrum.
Panel D : anti-FMRP staining neurons in rat cerebrum.

The section was incubated in three rounds of staining : in the order of ab254361, ab314307 and ab259335 for 30 mins at room temperature. Each round was followed by a separate fluorescent tyramide signal amplification system.

The immunostaining was performed on a Leica Biosystems BOND® RX instrument with an Opal™ 4-color kit. Image acquisition was performed with Leica SP8 confocal microscope.

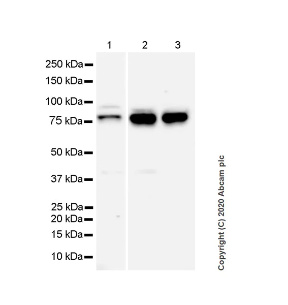
Western blot - Anti-FMRP antibody [EPR23852-90] (AB259335)
  • WB

Supplier Data

Western blot - Anti-FMRP antibody [EPR23852-90] (AB259335)

Blocking and dilution buffer : 5% NFDM/TBST.

Exposure time : 81 seconds.

Negative control : Mouse heart(PMID : 7633436).

Multiple bands could be seen due to alternative splicing of FMRP

All lanes:

Western blot - Anti-FMRP antibody [EPR23852-90] (ab259335) at 1/1000 dilution

Lane 1:

Mouse brain tissue lysate at 20 µg

Lane 2:

Mouse heart tissue lysate at 20 µg

Secondary

All lanes:

Goat Anti-Rabbit IgG, (H+L), Peroxidase conjugated (<a href='/products/secondary-antibodies/goat-rabbit-igg-h-l-hrp-ab97051'>ab97051</a>) at 1/100000 dilution

Predicted band size: 71 kDa

Observed band size: 75 kDa,80 kDa

false

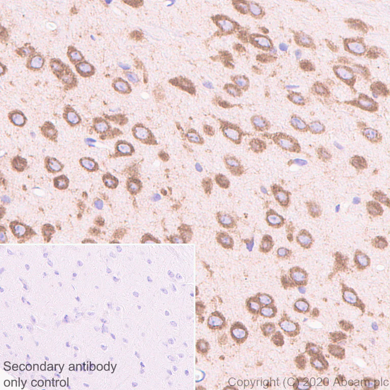
Immunohistochemistry (Frozen sections) - Anti-FMRP antibody [EPR23852-90] (AB259335)
  • IHC-Fr

Lab

Immunohistochemistry (Frozen sections) - Anti-FMRP antibody [EPR23852-90] (AB259335)

IHC image of ab259335 staining FMRP in rat brain frozen tissue sections, performed on a Leica Biosystems BOND® RX instrument. The section was incubated with ab259335 at 0.5μg/ml for 30 mins at room temperature and detected using an HRP conjugated compact polymer system (Bond™ Polymer Refine Detection). DAB was used as the chromogen. Positive staining was seen in cytoplasm and membrane in rat brain. The section was then counterstained with haematoxylin and mounted with DPX. No primary antibody was used in the secondary only control (shown on the inset).

For other IHC staining systems (automated and non-automated) customers should optimize variable parameters such as antigen retrieval conditions, primary antibody concentration and antibody incubation times.

Immunohistochemistry (Frozen sections) - Anti-FMRP antibody [EPR23852-90] (AB259335)
  • IHC-Fr

Lab

Immunohistochemistry (Frozen sections) - Anti-FMRP antibody [EPR23852-90] (AB259335)

IHC image of ab259335 staining FMRP in mouse brain frozen tissue sections, performed on a Leica Biosystems BOND® RX instrument. The section was incubated with ab259335 at 0.5μg/ml for 30 mins at room temperature and detected using an HRP conjugated compact polymer system (Bond™ Polymer Refine Detection). DAB was used as the chromogen. Positive staining was seen in cytoplasm and membrane in mouse brain. The section was then counterstained with haematoxylin and mounted with DPX. No primary antibody was used in the secondary only control (shown on the inset).

For other IHC staining systems (automated and non-automated) customers should optimize variable parameters such as antigen retrieval conditions, primary antibody concentration and antibody incubation times.

Flow Cytometry (Intracellular) - Anti-FMRP antibody [EPR23852-90] (AB259335)
  • Flow Cyt (Intra)

Unknown

Flow Cytometry (Intracellular) - Anti-FMRP antibody [EPR23852-90] (AB259335)

Intracellular flow cytometric analysis of 4% paraformaldehyde-fixed, 90% methanol-permeabilized C2C12 (Mouse myoblast) cells labelling FMRP with ab259335 at 1/500 dilution (Red) compared with a Rabbit monoclonal IgG (ab172730) isotype control (Black) and an unlabelled control (cells without incubation with primary antibody and secondary antibody) (Blue).

A Goat anti rabbit IgG (Alexa Fluor®488, ab150077) at 1/2000 dilution was used as the secondary antibody.

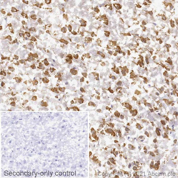
Immunohistochemistry (Formalin/PFA-fixed paraffin-embedded sections) - Anti-FMRP antibody [EPR23852-90] (AB259335)
  • IHC-P

Unknown

Immunohistochemistry (Formalin/PFA-fixed paraffin-embedded sections) - Anti-FMRP antibody [EPR23852-90] (AB259335)

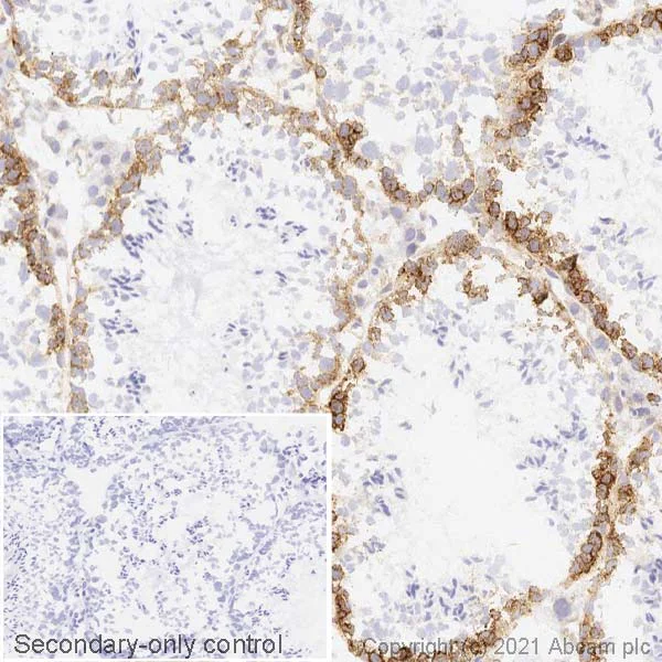
Immunohistochemical analysis of paraffin-embedded Mouse testis tissue labeling FMRP with ab259335 at 1/10000 (0.04 ug/ml) followed by a ready to use Rabbit specific IHC polymer detection kit HRP/DAB (ab209101). Positive staining on mouse testis (PMID : 16790844). The section was incubated with ab259335 for 10 mins at room temperature. The immunostaining was performed on a Leica Biosystems BOND® RX instrument. Counterstained with Hematoxylin.

Secondary antibody only control : Secondary antibody is a ready to use Rabbit specific IHC polymer detection kit HRP/DAB (ab209101).

Heat mediated antigen retrieval with Citrate buffer (pH 6.0, epitope retrieval solution 1) for 20 mins

Immunocytochemistry/ Immunofluorescence - Anti-FMRP antibody [EPR23852-90] (AB259335)
  • ICC/IF

Unknown

Immunocytochemistry/ Immunofluorescence - Anti-FMRP antibody [EPR23852-90] (AB259335)

Immunofluorescent analysis of 4% Paraformaldehyde-fixed, 0.1% Triton X-100 permeabilized C2C12 cells labelling FMRP with ab259335 at 1/50 dilution, followed by ab150077 Goat Anti-Rabbit IgG H&L (Alexa Fluor® 488) antibody at 1/1000 dilution (Green). Confocal image showing strong cytoplasmic and weak nuclear staining in C2C12 cells. ab195889 Anti-alpha Tubulin mouse monoclonal antibody - Microtubule Marker (Alexa Fluor® 594) was used to counterstain tubulin at 1/200 dilution (Red). The Nuclear counterstain was DAPI (Blue).

Secondary antibody only control : Secondary antibody is ab150077 Goat Anti-Rabbit IgG H&L (Alexa Fluor® 488) at 1/1000 dilution.

Immunoprecipitation - Anti-FMRP antibody [EPR23852-90] (AB259335)
  • IP

Unknown

Immunoprecipitation - Anti-FMRP antibody [EPR23852-90] (AB259335)

FMRP was immunoprecipitated from 0.35 mg HeLa (human cervix adenocarcinoma epithelial cell ) whole cell lysate with ab259335 at 1/30 dilution (2ug in 0.35mg lysates). Western blot was performed on the immunoprecipitate using ab259335 at 1/1000 dilution. VeriBlot for IP Detection Reagent (HRP)(ab131366) was used at 1/5000 dilution.

Lane 1 : HeLa (human cervix adenocarcinoma epithelial cell ) whole cell lysate 10ug

Lane 2 : ab259335 IP in HeLa whole cell lysate

Lane 3 : Rabbit monoclonal IgG (ab172730) instead of ab259335 in HeLa whole cell lysate

Blocking and dilution buffer and concentration : 5% NFDM/TBST.

Exposure time : 10 seconds.

All lanes:

Immunoprecipitation - Anti-FMRP antibody [EPR23852-90] (ab259335)

Predicted band size: 71 kDa

Observed band size: 80 kDa

false

Immunoprecipitation - Anti-FMRP antibody [EPR23852-90] (AB259335)
  • IP

Unknown

Immunoprecipitation - Anti-FMRP antibody [EPR23852-90] (AB259335)

FMRP was immunoprecipitated from 0.35 mg C2C12 (Mouse myoblast) whole cell lysate 10ug with ab259335 at 1/30 dilution (2ug in 0.35mg lysates). Western blot was performed on the immunoprecipitate using ab259335 at 1/1000 dilution. VeriBlot for IP Detection Reagent (HRP)(ab131366) was used at 1/5000 dilution.

Lane 1 : C2C12 (Mouse myoblast) whole cell lysate 10ug

Lane 2 : ab259335 IP in C2C12 whole cell lysate

Lane 3 : Rabbit monoclonal IgG (ab172730) instead of ab259335 in C2C12 whole cell lysate

Blocking and dilution buffer and concentration : 5% NFDM/TBST.

Exposure time : 10 seconds.

All lanes:

Immunoprecipitation - Anti-FMRP antibody [EPR23852-90] (ab259335)

Predicted band size: 71 kDa

Observed band size: 80 kDa

false

Western blot - Anti-FMRP antibody [EPR23852-90] (AB259335)
  • WB

Lab

Western blot - Anti-FMRP antibody [EPR23852-90] (AB259335)

Blocking and diluting buffer and concentration : 5% NFDM/TBST.

Exposure time : 26 seconds.

All lanes:

Western blot - Anti-FMRP antibody [EPR23852-90] (ab259335) at 1/1000 dilution

Lane 1:

HeLa (human cervix adenocarcinoma epithelial cell) whole cell lysate at 20 µg

Lane 2:

NIH/3T3 (mouse embryonic fibroblast), whole cell lysate at 20 µg

Lane 3:

PC-12 (rat adrenal gland pheochromocytoma), whole cell lysate at 20 µg

Secondary

All lanes:

Western blot - Goat Anti-Rabbit IgG H&L (HRP) (<a href='/products/secondary-antibodies/goat-rabbit-igg-h-l-hrp-ab97051'>ab97051</a>) at 1/100000 dilution

Predicted band size: 71 kDa

Observed band size: 80 kDa

false

Western blot - Anti-FMRP antibody [EPR23852-90] (AB259335)
  • WB

Lab

Western blot - Anti-FMRP antibody [EPR23852-90] (AB259335)

Lanes 1 - 4 : Merged signal (red and green). Green - ab259335 observed at 77 kDa. Red - loading control, ab8245 (Mouse anti-GAPDH antibody [6C5]) observed at 37 kDa.

ab259335 was shown to react with FMRP in western blot. The band observed in the CRISPR/Cas9 edited lysate lane below 77 kDa is likely to represent a truncated form. This has not been investigated further. Membranes were blocked in 3 % milk in TBS-T (0.1 % Tween®) before incubation with ab259335 and ab8245 (Mouse anti-GAPDH antibody [6C5]) overnight at 4°C at a 1 in 1000 dilution and a 1 in 20000 dilution respectively. Blots were incubated with Goat anti-Rabbit IgG H&L (IRDye® 800CW) preabsorbed (ab216773) and Goat anti-Mouse IgG H&L (IRDye® 680RD) preabsorbed (ab216776) secondary antibodies at 1 in 20000 dilution for 1 h at room temperature before imaging.

All lanes:

Western blot - Anti-FMRP antibody [EPR23852-90] (ab259335) at 1/1000 dilution

Lane 1:

Wild-type HAP1 cell lysate at 20 µg

Lane 2:

FMRP CRISPR/Cas9 edited HAP1 cell lysate at 20 µg

Lane 3:

HeLa cell lysate at 20 µg

Lane 4:

Human brain cell lysate at 20 µg

Predicted band size: 71 kDa

Observed band size: 77 kDa

false

Western blot - Anti-FMRP antibody [EPR23852-90] (AB259335)
  • WB

Lab

Western blot - Anti-FMRP antibody [EPR23852-90] (AB259335)

False colour image of Western blot : Anti-FMRP antibody [EPR23852-90] staining at 1/1000 dilution, shown in green; Mouse anti-GAPDH antibody [6C5] (ab8245) loading control staining at 1/20000 dilution, shown in red. In Western blot, ab259335 was shown to bind specifically to FMRP. A band was observed at 70-77 kDa in wild-type A549 cell lysates with no signal observed at this size in Fmr1 knockout cell line ab288956. To generate this image, wild-type and Fmr1 knockout A549 cell lysates were analysed. First, samples were run on an SDS-PAGE gel then transferred onto a nitrocellulose membrane. Membranes were blocked in 5 % milk in TBS-0.1 % Tween® 20 (TBS-T) before incubation with primary antibodies overnight at 4 °C. Blots were washed four times in TBS-T, incubated with secondary antibodies for 1 h at room temperature, washed again four times then imaged. Secondary antibodies used were Goat anti-Rabbit IgG H&L 800CW and Goat anti-Mouse IgG H&L 680RD at 1/20000 dilution.

All lanes:

Western blot - Anti-FMRP antibody [EPR23852-90] (ab259335) at 1/1000 dilution

Lane 1:

Wild-type A549 cell lysate at 20 µg

Lane 2:

Fmr1 knockout A549 cell lysate at 20 µg

Lane 3:

HeLa cell lysate at 20 µg

Lane 4:

Human Brain cell lysate at 20 µg

Observed band size: 70-77 kDa

false

Western blot - Anti-FMRP antibody [EPR23852-90] (AB259335)
  • WB

Lab

Western blot - Anti-FMRP antibody [EPR23852-90] (AB259335)

Blocking and diluting buffer and concentration : 5% NFDM/TBST. Multiple bands could be seen due to alternative splicing of FMRP. Exposure time : 180 seconds.

All lanes:

Western blot - Anti-FMRP antibody [EPR23852-90] (ab259335) at 1/1000 dilution

Lane 1:

Mouse brain tissue lysate at 20 µg

Lane 2:

Mouse hippocampus tissue lysate at 20 µg

Lane 3:

Rat hippocampus tissue lysate at 20 µg

Secondary

All lanes:

Goat Anti-Rabbit IgG, (H+L), Peroxidase conjugated (<a href='/products/secondary-antibodies/goat-rabbit-igg-h-l-hrp-ab97051'>ab97051</a>) at 1/100000 dilution

Predicted band size: 71 kDa

Observed band size: 75 kDa,80 kDa

false

関連する標識済み抗体及び組成の異なる製品 (8)

  • Carrier free

    Anti-FMRP antibody [EPR23852-90] - BSA and Azide free

  • 660 APC

    APC Anti-FMRP antibody [EPR23852-90]

  • 665 Alexa Fluor® 647

    Alexa Fluor® 647 Anti-FMRP antibody [EPR23852-90]

  • 578 PE

    PE Anti-FMRP antibody [EPR23852-90]

  • 519 Alexa Fluor® 488

    Alexa Fluor® 488 Anti-FMRP antibody [EPR23852-90]

  • 617 Alexa Fluor® 594

    Alexa Fluor® 594 Anti-FMRP antibody [EPR23852-90]

  • 565 Alexa Fluor® 555

    Alexa Fluor® 555 Anti-FMRP antibody [EPR23852-90]

  • 775 Alexa Fluor® 750

    Alexa Fluor® 750 Anti-FMRP antibody [EPR23852-90]

Key facts

宿主種

Rabbit

クローン性

Monoclonal

クローン番号

EPR23852-90

アイソタイプ

IgG

キャリアフリー

No

交差種

Mouse, Rat, Human

アプリケーション

mIHC, ICC/IF, IHC-Fr, IP, IHC-P, Flow Cyt (Intra), WB

applications

免疫原

The exact immunogen used to generate this antibody is proprietary information.

Reactivity data

{ "title": "Reactivity Data", "filters": { "stats": ["", "Species", "Dilution Info", "Notes"], "tabs": { "all-applications": {"fullname" : "All Applications", "shortname": "All Applications"}, "IHCFr" : {"fullname" : "Immunohistochemistry (Frozen sections)", "shortname":"IHC-Fr"}, "mIHC" : {"fullname" : "Multiplex immunohistochemistry", "shortname":"mIHC"}, "IHCP" : {"fullname" : "Immunohistochemistry (Formalin/PFA-fixed paraffin-embedded sections)", "shortname":"IHC-P"}, "ICCIF" : {"fullname" : "Immunocytochemistry/ Immunofluorescence", "shortname":"ICC/IF"}, "IP" : {"fullname" : "Immunoprecipitation", "shortname":"IP"}, "WB" : {"fullname" : "Western blot", "shortname":"WB"}, "FlowCytIntra" : {"fullname" : "Flow Cytometry (Intracellular)", "shortname":"Flow Cyt (Intra)"} }, "product-promise": { "all": "all", "testedAndGuaranteed": "tested", "guaranteed": "expected", "predicted": "predicted", "notRecommended": "not-recommended" } }, "values": { "Human": { "IHCFr-species-checked": "guaranteed", "IHCFr-species-dilution-info": "", "IHCFr-species-notes": "", "mIHC-species-checked": "guaranteed", "mIHC-species-dilution-info": "", "mIHC-species-notes": "", "IHCP-species-checked": "notRecommended", "IHCP-species-dilution-info": "1/10000", "IHCP-species-notes": "<p></p> Perform heat-mediated antigen retrieval with Tris/EDTA buffer pH 9.0 before commencing with IHC staining protocol.", "ICCIF-species-checked": "notRecommended", "ICCIF-species-dilution-info": "1/50", "ICCIF-species-notes": "<p></p>", "IP-species-checked": "testedAndGuaranteed", "IP-species-dilution-info": "1/30", "IP-species-notes": "<p></p>", "WB-species-checked": "testedAndGuaranteed", "WB-species-dilution-info": "1/1000", "WB-species-notes": "<p></p>", "FlowCytIntra-species-checked": "guaranteed", "FlowCytIntra-species-dilution-info": "", "FlowCytIntra-species-notes": "" }, "Mouse": { "IHCFr-species-checked": "testedAndGuaranteed", "IHCFr-species-dilution-info": "", "IHCFr-species-notes": "<p></p>", "mIHC-species-checked": "testedAndGuaranteed", "mIHC-species-dilution-info": "1/10000", "mIHC-species-notes": "<p></p>", "IHCP-species-checked": "testedAndGuaranteed", "IHCP-species-dilution-info": "1/10000", "IHCP-species-notes": "<p></p> Perform heat-mediated antigen retrieval with citrate buffer pH 6 before commencing with IHC staining protocol.", "ICCIF-species-checked": "testedAndGuaranteed", "ICCIF-species-dilution-info": "1/50", "ICCIF-species-notes": "<p></p>", "IP-species-checked": "testedAndGuaranteed", "IP-species-dilution-info": "1/30", "IP-species-notes": "<p></p>", "WB-species-checked": "testedAndGuaranteed", "WB-species-dilution-info": "1/1000", "WB-species-notes": "<p></p>", "FlowCytIntra-species-checked": "testedAndGuaranteed", "FlowCytIntra-species-dilution-info": "1/500", "FlowCytIntra-species-notes": "<p></p>" }, "Rat": { "IHCFr-species-checked": "testedAndGuaranteed", "IHCFr-species-dilution-info": "0.5 µg/mL", "IHCFr-species-notes": "<p></p> Perform heat-mediated antigen retrieval with citrate buffer pH 6 before commencing with IHC staining protocol.", "mIHC-species-checked": "testedAndGuaranteed", "mIHC-species-dilution-info": "1/10000", "mIHC-species-notes": "<p></p>", "IHCP-species-checked": "testedAndGuaranteed", "IHCP-species-dilution-info": "1/10000", "IHCP-species-notes": "<p></p> Perform heat-mediated antigen retrieval with citrate buffer pH 6 before commencing with IHC staining protocol.", "ICCIF-species-checked": "guaranteed", "ICCIF-species-dilution-info": "", "ICCIF-species-notes": "", "IP-species-checked": "guaranteed", "IP-species-dilution-info": "", "IP-species-notes": "", "WB-species-checked": "testedAndGuaranteed", "WB-species-dilution-info": "1/1000", "WB-species-notes": "<p></p>", "FlowCytIntra-species-checked": "guaranteed", "FlowCytIntra-species-dilution-info": "", "FlowCytIntra-species-notes": "" } } }

製品の詳細

Patented technology
Our RabMAb® technology is a patented hybridoma-based technology for making rabbit monoclonal antibodies. For details on our patents, please refer to RabMAb® patents.

What are the advantages of a recombinant monoclonal antibody?
This product is a recombinant monoclonal antibody, which offers several advantages including:

  • - High batch-to-batch consistency and reproducibility
  • - Improved sensitivity and specificity
  • - Long-term security of supply
  • - Animal-free batch production

For more information, read more on recombinant antibodies.

出荷温度及び保存条件

製品の状態
Liquid
精製方法
Affinity purification Protein A
バッファー組成
Preservative: 0.01% Sodium azide Constituents: 59.94% PBS, 40% Glycerol (glycerin, glycerine), 0.05% BSA
出荷温度
Blue Ice
短期保存期間
1-2 weeks
短期保存温度
+4°C
長期保存温度
-20°C
分注に関する情報
Upon delivery aliquot
保管に関する情報
Avoid freeze / thaw cycle

製品プロトコール

For this product, it's our understanding that no specific protocols are required. You can visit:

ターゲットの情報

Multifunctional polyribosome-associated RNA-binding protein that plays a central role in neuronal development and synaptic plasticity through the regulation of alternative mRNA splicing, mRNA stability, mRNA dendritic transport and postsynaptic local protein synthesis of target mRNAs (PubMed : 12417522, PubMed : 16631377, PubMed : 18653529, PubMed : 19166269, PubMed : 23235829, PubMed : 25464849). Acts as an mRNA regulator by mediating formation of some phase-separated membraneless compartment : undergoes liquid-liquid phase separation upon binding to target mRNAs, leading to assemble mRNAs into cytoplasmic ribonucleoprotein granules that concentrate mRNAs with associated regulatory factors (PubMed : 12417522, PubMed : 30765518, PubMed : 31439799). Plays a role in the alternative splicing of its own mRNA (PubMed : 18653529). Stabilizes the scaffolding postsynaptic density protein DLG4/PSD-95 and the myelin basic protein (MBP) mRNAs in hippocampal neurons and glial cells, respectively; this stabilization is further increased in response to metabotropic glutamate receptor (mGluR) stimulation (By similarity). Plays a role in selective delivery of a subset of dendritic mRNAs to synaptic sites in response to mGluR activation in a kinesin-dependent manner (By similarity). Undergoes liquid-liquid phase separation following phosphorylation and interaction with CAPRIN1, promoting formation of cytoplasmic ribonucleoprotein granules that concentrate mRNAs with factors that inhibit translation and mediate deadenylation of target mRNAs (PubMed : 31439799). Acts as a repressor of mRNA translation in synaptic regions by mediating formation of neuronal ribonucleoprotein granules and promoting recruitmtent of EIF4EBP2 (PubMed : 30765518). Plays a role as a repressor of mRNA translation during the transport of dendritic mRNAs to postsynaptic dendritic spines (PubMed : 11157796, PubMed : 11532944, PubMed : 12594214, PubMed : 23235829). Component of the CYFIP1-EIF4E-FMR1 complex which blocks cap-dependent mRNA translation initiation (By similarity). Represses mRNA translation by stalling ribosomal translocation during elongation (By similarity). Reports are contradictory with regards to its ability to mediate translation inhibition of MBP mRNA in oligodendrocytes (PubMed : 23891804). Also involved in the recruitment of the RNA helicase MOV10 to a subset of mRNAs and hence regulates microRNA (miRNA)-mediated translational repression by AGO2 (PubMed : 14703574, PubMed : 17057366, PubMed : 25464849). Facilitates the assembly of miRNAs on specific target mRNAs (PubMed : 17057366). Also plays a role as an activator of mRNA translation of a subset of dendritic mRNAs at synapses (PubMed : 19097999, PubMed : 19166269). In response to mGluR stimulation, FMR1-target mRNAs are rapidly derepressed, allowing for local translation at synapses (By similarity). Binds to a large subset of dendritic mRNAs that encode a myriad of proteins involved in pre- and postsynaptic functions (PubMed : 11157796, PubMed : 11719189, PubMed : 12594214, PubMed : 17417632, PubMed : 23235829, PubMed : 24448548, PubMed : 7692601). Binds to 5'-ACU[GU]-3' and/or 5'-[AU]GGA-3' RNA consensus sequences within mRNA targets, mainly at coding sequence (CDS) and 3'-untranslated region (UTR) and less frequently at 5'-UTR (PubMed : 23235829). Binds to intramolecular G-quadruplex structures in the 5'- or 3'-UTRs of mRNA targets (PubMed : 11719189, PubMed : 18579868, PubMed : 25464849, PubMed : 25692235). Binds to G-quadruplex structures in the 3'-UTR of its own mRNA (PubMed : 11532944, PubMed : 12594214, PubMed : 15282548, PubMed : 18653529, PubMed : 7692601). Binds also to RNA ligands harboring a kissing complex (kc) structure; this binding may mediate the association of FMR1 with polyribosomes (PubMed : 15805463). Binds mRNAs containing U-rich target sequences (PubMed : 12927206). Binds to a triple stem-loop RNA structure, called Sod1 stem loop interacting with FMRP (SoSLIP), in the 5'-UTR region of superoxide dismutase SOD1 mRNA (PubMed : 19166269). Binds to the dendritic, small non-coding brain cytoplasmic RNA 1 (BC1); which may increase the association of the CYFIP1-EIF4E-FMR1 complex to FMR1 target mRNAs at synapses (By similarity). Plays a role in mRNA nuclear export (PubMed : 31753916). Specifically recognizes and binds a subset of N6-methyladenosine (m6A)-containing mRNAs, promoting their nuclear export in a XPO1/CRM1-dependent manner (PubMed : 31753916). Together with export factor NXF2, is involved in the regulation of the NXF1 mRNA stability in neurons (By similarity). Associates with export factor NXF1 mRNA-containing ribonucleoprotein particles (mRNPs) in a NXF2-dependent manner (By similarity). Binds to a subset of miRNAs in the brain (PubMed : 14703574, PubMed : 17057366). May associate with nascent transcripts in a nuclear protein NXF1-dependent manner (PubMed : 18936162). In vitro, binds to RNA homomer; preferentially on poly(G) and to a lesser extent on poly(U), but not on poly(A) or poly(C) (PubMed : 12950170, PubMed : 15381419, PubMed : 7688265, PubMed : 7781595, PubMed : 8156595). Moreover, plays a role in the modulation of the sodium-activated potassium channel KCNT1 gating activity (PubMed : 20512134). Negatively regulates the voltage-dependent calcium channel current density in soma and presynaptic terminals of dorsal root ganglion (DRG) neurons, and hence regulates synaptic vesicle exocytosis (By similarity). Modulates the voltage-dependent calcium channel CACNA1B expression at the plasma membrane by targeting the channels for proteasomal degradation (By similarity). Plays a role in regulation of MAP1B-dependent microtubule dynamics during neuronal development (By similarity). Has been shown to play a translation-independent role in the modulation of presynaptic action potential (AP) duration and neurotransmitter release via large-conductance calcium-activated potassium (BK) channels in hippocampal and cortical excitatory neurons (PubMed : 25561520). May be involved in the control of DNA damage response (DDR) mechanisms through the regulation of ATR-dependent signaling pathways such as histone H2AX/H2A.x and BRCA1 phosphorylations (PubMed : 24813610). Forms a cytoplasmic messenger ribonucleoprotein (mRNP) network by packaging long mRNAs, serving as a scaffold that recruits proteins and signaling molecules. This network facilitates signaling reactions by maintaining proximity between kinases and substrates (PubMed : 39106863).. Isoform 10. Binds to RNA homomer; preferentially on poly(G) and to a lesser extent on poly(U), but not on poly(A) or poly(C) (PubMed : 24204304). May bind to RNA in Cajal bodies (PubMed : 24204304).. Isoform 6. Binds to RNA homomer; preferentially on poly(G) and to a lesser extent on poly(U), but not on poly(A) or poly(C) (PubMed : 24204304). May bind to RNA in Cajal bodies (PubMed : 24204304).. (Microbial infection) Acts as a positive regulator of influenza A virus (IAV) replication. Required for the assembly and nuclear export of the viral ribonucleoprotein (vRNP) components.
See full target information FMR1

文献 (3)

Recent publications for all applications. Explore the full list and refine your search

Cell biology and toxicology 40:3 PubMed38267746

2024

POU6F1 promotes ferroptosis by increasing lncRNA-CASC2 transcription to regulate SOCS2/SLC7A11 signaling in gastric cancer.

Applications

Unspecified application

Species

Unspecified reactive species

Jingyun Wang,Qiaoyu Jia,Shuqin Jiang,Wenquan Lu,Hanbing Ning

Proceedings of the National Academy of Sciences of the United States of America 120:e2220148120 PubMed37216506

2023

ARL6IP1 mediates small-molecule-induced alleviation of Alzheimer pathology through FXR1-dependent BACE1 translation initiation.

Applications

Unspecified application

Species

Unspecified reactive species

Gui-Feng Zhou,Jing Tang,Yuan-Lin Ma,Xian Fu,Jun-Yan Liu,Ren-Zhi Yang,Hong-Sheng Zhang,Xiang-Hai Cai,Jing-Wen Wang,Xiao-Yong Xie,Li Song,Biao Luo,Jian Chen,Long Chen,Xiao-Juan Deng,Guo-Jun Chen

Molecular brain 16:33 PubMed37020302

2023

FMRP binds Per1 mRNA and downregulates its protein expression in mice.

Applications

Unspecified application

Species

Unspecified reactive species

Xiangrong Tang,Jing Zhang,Xin Li,Ying Hu,Dengfeng Liu,Jia-Da Li,Renbin Lu
View all publications

Abcam product promise

当社は、高品質な試薬を通じてお客様の研究を力強くサポートすることをお約束いたします。ご使用いただく各段階で、常にお客様をサポートできる体制を整えております。万が一、製品が期待通りに機能しない場合は、「Abcam Product Promise」による当社保証制度に基づき、安心してご利用いただけます。
保証に関する詳細については利用規約をご確認ください。

Please note: All products are 'FOR RESEARCH USE ONLY. NOT FOR USE IN DIAGNOSTIC OR THERAPEUTIC PROCEDURES'.

For licensing inquiries, please contact partnerships@abcam.com