JavaScript is disabled in your browser. Please enable JavaScript to view this website.
AB17722

Anti-FMRP 抗体

Anti-FMRP antibody

4

(8 Reviews)

|

(118 Publications)

Anti-FMRP antibody (ab17722) is a rabbit polyclonal antibody detecting FMRP in Western Blot, IP, IHC-P, ICC/IF. Suitable for Human, Mouse, Rat.

- KO validated for confirmed specificity
- Over 80 publications
- Trusted since 2006

別名を表示する

Fragile X messenger ribonucleoprotein 1, Fragile X messenger ribonucleoprotein, Protein FMR-1, FMRP, FMR1

17 Images
Western blot - Anti-FMRP antibody (AB17722)
  • WB

Lab

Western blot - Anti-FMRP antibody (AB17722)

Lanes 1 - 4 : Merged signal (red and green). Green - ab17722 observed at 80 kDa. Red - loading control, ab8245 (Mouse anti-GAPDH antibody [6C5]) observed at 37kDa.

ab17722 was shown to react with FMR1 in HAP1 wild-type cells in western blot. Loss of signal was observed when FMR1 knockout sample was used. HAP1 wild-type and FMR1 knockout cell lysates were subjected to SDS-PAGE. Membranes were blocked in 3% milk in TBS-T (0.1% Tween®) before incubation with ab17722 and ab8245 (Mouse anti-GAPDH antibody [6C5]) overnight at 4°C at 1 μg/ml and a 1 in 20000 dilution respectively. Blots were incubated with Goat anti-Rabbit IgG H&L (IRDye® 800CW) preabsorbed (ab216773) and Goat anti-Mouse IgG H&L (IRDye® 680RD) preabsorbed (ab216776) secondary antibodies at 1 in 20000 dilution for 1 hour at room temperature before imaging.

All lanes:

Western blot - Anti-FMRP antibody (ab17722) at 1 µg/mL

Lane 1:

Wild-type HAP1 cell lysate at 20 µg

Lane 2:

FMR1 knockout HAP1 cell lysate at 20 µg

Lane 3:

HeLa cell lysate at 20 µg

Lane 4:

Human Brain cell lysate at 20 µg

Predicted band size: 71 kDa

Observed band size: 80 kDa

false

Immunohistochemistry (Formalin/PFA-fixed paraffin-embedded sections) - Anti-FMRP antibody (AB17722)
  • IHC-P

Lab

Immunohistochemistry (Formalin/PFA-fixed paraffin-embedded sections) - Anti-FMRP antibody (AB17722)

Immunohistochemical analysis of formalin fixed paraffin embedded human cortex labelling FMRP with ab17722 at a concentration of 1µg/ml. The immunostaining was performed on a Ventana DISCOVERY ULTRA (Roche Tissue Diagnostics) instrument with a OptiView DAB IHC Detection Kit. Heat mediated antigen retrieval was performed with DISCOVERY cell conditioning solution (CC1) 100°C, pH8.5 for 32mins. ab17722 Anti-FMRP antibody was incubated for 16mins at 37°C. Sections were counterstained with Hematoxylin II. Image inset shows absence of staining in secondary antibody only control.

Customers are encouraged to optimise antigen retrieval conditions, antibody concentration, incubation times and temperature for best results in their own IHC assay workflow (automated and manual).

Immunocytochemistry/ Immunofluorescence - Anti-FMRP antibody (AB17722)
  • ICC/IF

Unknown

Immunocytochemistry/ Immunofluorescence - Anti-FMRP antibody (AB17722)

ab17722 staining FMRP in SK-N-SH (Human neuroblastoma cell line) cells treated with (R,S)-MCPG sodium salt (ab120252), by ICC/IF. Decrease of FMRP expression correlates with increased concentration of (R,S)-MCPG sodium salt, as described in literature.
The cells were incubated at 37°C for 2h in media containing different concentrations of ab120252 ((R,S)-MCPG sodium salt) in DMSO, fixed with 4% formaldehyde for 10 minutes at room temperature and blocked with PBS containing 10% goat serum, 0.3 M glycine, 1% BSA and 0.1% tween for 2h at room temperature. Staining of the treated cells with ab17722 (5 μg/ml) was performed overnight at 4°C in PBS containing 1% BSA and 0.1% tween. A DyLight® 488 anti-rabbit polyclonal antibody (ab96899) at 1/250 dilution was used as the secondary antibody. Nuclei were counterstained with DAPI and are shown in blue.

Immunocytochemistry/ Immunofluorescence - Anti-FMRP antibody (AB17722)
  • ICC/IF

Unknown

Immunocytochemistry/ Immunofluorescence - Anti-FMRP antibody (AB17722)

ab17722 staining FMRP in SK-N-SH (Human neuroblastoma cell line) cells treated with (R,S)-3,5-DHPG (ab120020), by ICC/IF. Increase in FMRP expression correlates with increased concentration of (R,S)-3,5-DHPG, as described in literature.
The cells were incubated at 37°C for 1h in media containing different concentrations of ab120020 ((R,S)-3,5-DHPG) in DMSO, fixed with 4% formaldehyde for 10 minutes at room temperature and blocked with PBS containing 10% goat serum, 0.3 M glycine, 1% BSA and 0.1% tween for 2h at room temperature. Staining of the treated cells with ab17722 (5 μg/ml) was performed overnight at 4°C in PBS containing 1% BSA and 0.1% tween. A DyLight® 488 goat anti-rabbit polyclonal antibody (ab96899) at 1/250 dilution was used as the secondary antibody. Nuclei were counterstained with DAPI and are shown in blue.

Immunocytochemistry/ Immunofluorescence - Anti-FMRP antibody (AB17722)
  • ICC/IF

Lab

Immunocytochemistry/ Immunofluorescence - Anti-FMRP antibody (AB17722)

ab17722 stained in SK-N-SH (Human neuroblastoma cell line) cells.

Cells were fixed with 100% methanol (5 min) at room temperature and incubated with PBS containing 10% goat serum, 0.3 M glycine, 1% BSA and 0.1% triton for 1h at room temperature to permeabilize the cells and block non-specific protein-protein interactions. The cells were then incubated with the antibody ab17722 at 5 μg/ml and ab7291 (Mouse monoclonal [DM1A] to alpha Tubulin - Loading Control) at 1/1000 dilution overnight at +4°C. The secondary antibodies were ab150120 (pseudo-colored red) and ab150081 (colored green) used at 1 μg/ml for 1hour at room temperature. DAPI was used to stain the cell nuclei (colored blue) at a concentration of 1.43μM for 1hour at room temperature.

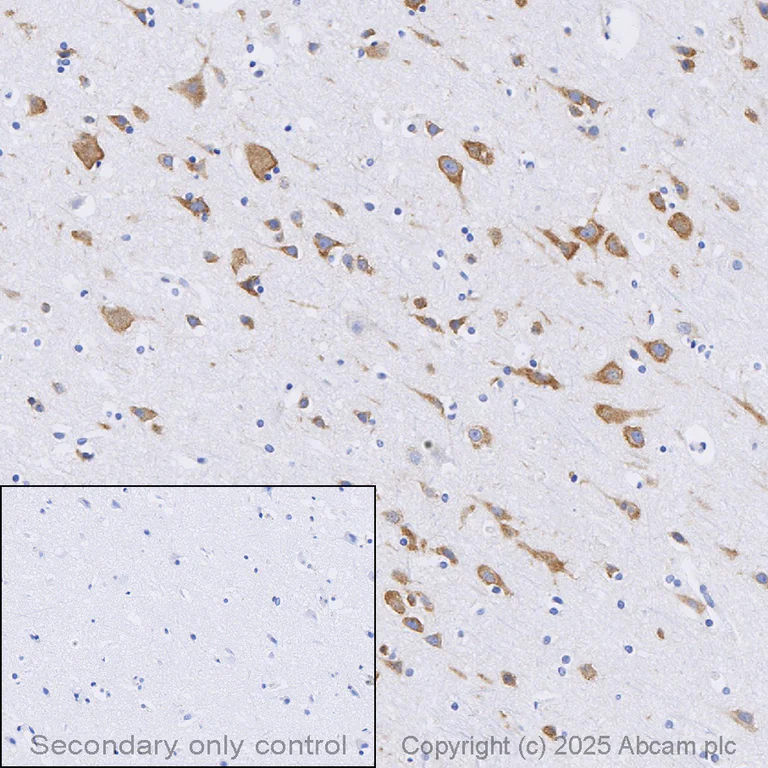
Immunohistochemistry (Formalin/PFA-fixed paraffin-embedded sections) - Anti-FMRP antibody (AB17722)
  • IHC-P

Supplier Data

Immunohistochemistry (Formalin/PFA-fixed paraffin-embedded sections) - Anti-FMRP antibody (AB17722)

IHC image of FMRP staining in a section of formalin-fixed paraffin-embedded human normal cerebral cortex* performed on a Leica Biosystems BOND® RX instrument. The section was pre-treated using heat mediated antigen retrieval with sodium citrate buffer (pH6, epitope retrieval solution 1) for 20mins. The section was then incubated with ab17722, 5ug/ml, for 15 mins at room temperature and detected using an HRP conjugated compact polymer system. DAB was used as the chromogen. The section was then counterstained with haematoxylin and mounted with DPX. The inset secondary-only control image is taken from an identical assay without primary antibody. For other IHC staining systems (automated and non-automated) customers should optimize variable parameters such as antigen retrieval conditions, primary antibody concentration and antibody incubation times. *Tissue obtained from the Human Research Tissue Bank, supported by the NIHR Cambridge Biomedical Research Centre."

Lab

Immunocytochemistry/ Immunofluorescence - Anti-FMRP antibody (AB17722)
  • ICC/IF

Unknown

Immunocytochemistry/ Immunofluorescence - Anti-FMRP antibody (AB17722)

ab17722 staining FMRP in SK-N-SH (Human neuroblastoma cell line) cells treated with (R,S)-MCPG (ab120033), by ICC/IF. Decrease in FMRP expression correlates with increased concentration of (R,S)-MCPG, as described in literature.
The cells were incubated at 37°C for 2h in media containing different concentrations of ab120033 ((R,S)-MCPG) in DMSO, fixed with 4% formaldehyde for 10 minutes at room temperature and blocked with PBS containing 10% goat serum, 0.3 M glycine, 1% BSA and 0.1% tween for 2h at room temperature. Staining of the treated cells with ab17722 (5 μg/ml) was performed overnight at 4°C in PBS containing 1% BSA and 0.1% tween. A DyLight® 488 goat anti-rabbit polyclonal antibody (ab96899) at 1/250 dilution was used as the secondary antibody. Nuclei were counterstained with DAPI and are shown in blue.

Immunocytochemistry/ Immunofluorescence - Anti-FMRP antibody (AB17722)
  • ICC/IF

PubMed

Immunocytochemistry/ Immunofluorescence - Anti-FMRP antibody (AB17722)

FMRP is localized at various intracellular sites in HeLa cells.

Confocal laser scanning microscopy (cLSM) images of HeLa (Human epithelial cell line from cervix adenocarcinoma) cells depicting endogenous FMRP (ab17722, green channel) costained with various cytosolic (Panel A, not shown) and nuclear (Panel B, shown) markers (red channel). DNA was stained by using DAPI (blue channel). Boxed areas in the merged panels depict enlarged areas of interest. Scale bar : 10 μm.

HeLa cells grown on glass coverslips were fixed with 4% paraformaldehyde for 20 min, permeabilized with 0.25% triton X-100 in PBS for 10 min, and thereafter blocked for 1 h in a solution containing 3% BSA in 0.25% triton-X100/PBS. Cells were incubated with primary and secondary antibodies for 1 h and finally counterstained with DAPI for 5 min and mounted using the prolong gold anti-fade reagent.

Taha et al PLoS One. 2014 Mar 21;9(3):e91465. doi: 10.1371/journal.pone.0091465. eCollection 2014. Fig 1. Reproduced under the Creative Commons license http://creativecommons.org/licenses/by/4.0/

Immunocytochemistry/ Immunofluorescence - Anti-FMRP antibody (AB17722)
  • ICC/IF

Unknown

Immunocytochemistry/ Immunofluorescence - Anti-FMRP antibody (AB17722)

ab17722 staining FMRP in SK-N-SH (Human neuroblastoma cell line) cells treated with (S)-MCPG (ab120059), by ICC/IF. Decrease of FMRP expression correlates with increased concentration of (S)-MCPG, as described in literature.
The cells were incubated at 37°C for 30 minutes in media containing different concentrations of ab120059 ((S)-MCPG) in DMSO, fixed with 4% formaldehyde for 10 minutes at room temperature and blocked with PBS containing 10% goat serum, 0.3 M glycine, 1% BSA and 0.1% tween for 2h at room temperature. Staining of the treated cells with ab17722 (5 μg/ml) was performed overnight at 4°C in PBS containing 1% BSA and 0.1% tween. A DyLight® 488 anti-rabbit polyclonal antibody (ab96899) at 1/250 dilution was used as the secondary antibody. Nuclei were counterstained with DAPI and are shown in blue.

Immunoprecipitation - Anti-FMRP antibody (AB17722)
  • IP

Unknown

Immunoprecipitation - Anti-FMRP antibody (AB17722)

FMRP was immunoprecipitated using 0.5mg HeLa (Human epithelial cell line from cervix adenocarcinoma) whole cell extract, 5μg of Rabbit polyclonal to FMRP and 50μl of protein G magnetic beads (+). No antibody was added to the control (-).
The antibody was incubated under agitation with Protein G beads for 10min, HeLa whole cell extract lysate diluted in RIPA buffer was added to each sample and incubated for a further 10min under agitation.
Proteins were eluted by addition of 40μl SDS loading buffer and incubated for 10min at 70oC; 10μl of each sample was separated on a SDS PAGE gel, transferred to a nitrocellulose membrane, blocked with 5% BSA and probed with ab17722.
Secondary : Mouse monoclonal [SB62a] Secondary Antibody to Rabbit IgG light chain (HRP) (ab99697).
Band : 80kDa : FMRP.

All lanes:

Immunoprecipitation - Anti-FMRP antibody (ab17722)

Predicted band size: 71 kDa

false

Immunohistochemistry (Formalin/PFA-fixed paraffin-embedded sections) - Anti-FMRP antibody (AB17722)
  • IHC-P

AbReview19700****

Immunohistochemistry (Formalin/PFA-fixed paraffin-embedded sections) - Anti-FMRP antibody (AB17722)

IHC image of FMRP staining in mouse frontal cortex section.

The section was pre-treated using heat mediated antigen retrieval with sodium citrate buffer (pH6). The section was then blocked using 1% BSA for 10 mins at 21°C The section was then incubated with ab17722, 1/1500, for 2 hours at 21°C. The section was then counterstained with hematoxylin.

This image is courtesy of an abreview submitted by Carl Hobbs, King's College London, United Kingdom

Western blot - Anti-FMRP antibody (AB17722)
  • WB

Lab

Western blot - Anti-FMRP antibody (AB17722)

False colour image of Western blot : Anti-FMRP antibody staining at 1 ug/ml, shown in green; Mouse anti-GAPDH antibody [6C5] (ab8245) loading control staining at 1/20000 dilution, shown in red. In Western blot, ab17722 was shown to bind specifically to FMRP. A band was observed at 77 kDa in wild-type A549 cell lysates with no signal observed at this size in Fmr1 knockout cell line. To generate this image, wild-type and Fmr1 knockout A549 cell lysates were analysed. First, samples were run on an SDS-PAGE gel then transferred onto a nitrocellulose membrane. Membranes were blocked in 3% milk in TBS-0.1% Tween® 20 (TBS-T) before incubation with primary antibodies overnight at 4°C. Blots were washed four times in TBS-T, incubated with secondary antibodies for 1 h at room temperature, washed again four times then imaged. Secondary antibodies used were Goat anti-Rabbit IgG H&L 800CW and Goat anti-Mouse IgG H&L 680RD at 1/20000 dilution.

All lanes:

Western blot - Anti-FMRP antibody (ab17722) at 1 µg

Lane 1:

Wild-type A549 cell lysate at 20 µg

Lane 2:

Fmr1 knockout A549 cell lysate at 20 µg

Lane 3:

HeLa cell lysate at 20 µg

Lane 4:

Human Brain cell lysate at 20 µg

Observed band size: 77 kDa

false

Western blot - Anti-FMRP antibody (AB17722)
  • WB

Lab

Western blot - Anti-FMRP antibody (AB17722)

Western blot : Anti-FMRP antibody ab17722 staining at 1 µg/mL, shown in green; Mouse anti GAPDH (ab8245) loading control staining at 1/20,000 dilution, shown in magenta. A band was observed at 75 kDa in Wild-type U-87 MG cell lysates with no signal observed at this size in FMR1 knockout U-87 MG cell line. To generate this image, samples were run on an SDS-PAGE gel then transferred onto a nitrocellulose membrane. Membranes were blocked in 5 % Milk in TBS-0.1 % Tween® 20 (TBS-T) before incubation with primary antibodies overnight at 4 °C. Blots were washed four times in TBS-T, incubated with secondary antibodies for 1 h at room temperature, washed again four times then imaged. Secondary antibodies used were Goat anti-Rabbit 800CW & Goat anti-Mouse 680RD at 1/20,000 dilution.

All lanes:

Western blot - Anti-FMRP antibody (ab17722) at 1 µg/mL

Lane 1:

Wild-type U-87 MG at 20 µg

Lane 2:

Western blot - Human FMR1 knockout U-87 MG cell line (<a href='/products/cell-lines/human-fmr1-knockout-u-87-mg-cell-line-ab306664'>ab306664</a>) at 20 µg

Lane 3:

Wild-type A549 at 20 µg

Lane 4:

Western blot - Human FMR1 knockout A549 cell line (<a href='/products/cell-lines/human-fmr1-knockout-a549-cell-line-ab288956'>ab288956</a>) at 20 µg

Secondary

All lanes:

Goat anti-Rabbit 800CW & Goat anti-Mouse 680RD at 1/20000 dilution

Predicted band size: 71 kDa

Observed band size: 75 kDa,36 kDa

false

Western blot - Anti-FMRP antibody (AB17722)
  • WB

PubMed

Western blot - Anti-FMRP antibody (AB17722)

The specificity of the C-terminal, phospho-insensitive FMRP tFMRP antibody (Abcam ab17722) was verified by immunoblotting whole cell cortical lysates from 2 month-old Fmr1y/+ (WT) and Fmr1y/− (KO) mice. Short and long exposures (exp.) are shown. Arrows point to three FMRP-specific bands while asterisks point to nonspecific bands.

All lanes:

Western blot - Anti-FMRP antibody (ab17722)

Predicted band size: 71 kDa

false

Bartley et al PLoS One. 2014 May 7;9(5):e96956. doi: 10.1371/journal.pone.0096956. eCollection 2014. Fig 1. Reproduced under the Creative Commons license http://creativecommons.org/licenses/by/4.0/

Western blot - Anti-FMRP antibody (AB17722)
  • WB

Unknown

Western blot - Anti-FMRP antibody (AB17722)

All lanes:

Western blot - Anti-FMRP antibody (ab17722) at 1 µg/mL

All lanes:

Brain (Mouse) Tissue Lysate at 10 µg

Secondary

All lanes:

Goat polyclonal to Rabbit IgG - H&L - Pre-Adsorbed (HRP) at 1/3000 dilution

Predicted band size: 71 kDa

Observed band size: 105 kDa,23 kDa,75 kDa,80 kDa

true

Exposure time: 4min

Western blot - Anti-FMRP antibody (AB17722)
  • WB

Project

Western blot - Anti-FMRP antibody (AB17722)

All lanes:

Western blot - Anti-FMRP antibody (ab17722) at 1 µg/mL

Lane 1:

HeLa (Human epithelial carcinoma cell line) Whole Cell Lysate at 10 µg

Lane 2:

HeLa (Human epithelial carcinoma cell line) Nuclear Lysate at 10 µg

Secondary

All lanes:

IRDye 680 Conjugated Goat Anti-Rabbit IgG (H+L) at 1/10000 dilution

Predicted band size: 71 kDa

Observed band size: 75 kDa,80 kDa

false

Western blot - Anti-FMRP antibody (AB17722)
  • WB

Ap

Western blot - Anti-FMRP antibody (AB17722)

All lanes:

Western blot - Anti-FMRP antibody (ab17722) at 1 µg/mL

All lanes:

PC-12 (Rat adrenal pheochromocytoma cell line) whole cell lysate at 20 µg

Secondary

All lanes:

Western blot - Goat Anti-Rabbit IgG H&L (HRP) preadsorbed (<a href='/products/secondary-antibodies/goat-rabbit-igg-h-l-hrp-preadsorbed-ab97080'>ab97080</a>) at 1/5000 dilution

Predicted band size: 71 kDa

Observed band size: 13 kDa,32 kDa,68 kDa,80 kDa

true

Exposure time: 2min

Key facts

宿主種

Rabbit

クローン性

Polyclonal

アイソタイプ

IgG

キャリアフリー

No

交差種

Mouse, Rat, Human

アプリケーション

IHC-P, IP, IHC-FoFr, ICC/IF, WB

applications

免疫原

The exact immunogen used to generate this antibody is proprietary information.

Reactivity data

{ "title": "Reactivity Data", "filters": { "stats": ["", "Species", "Dilution Info", "Notes"], "tabs": { "all-applications": {"fullname" : "All Applications", "shortname": "All Applications"}, "IHCP" : {"fullname" : "Immunohistochemistry (Formalin/PFA-fixed paraffin-embedded sections)", "shortname":"IHC-P"}, "IP" : {"fullname" : "Immunoprecipitation", "shortname":"IP"}, "WB" : {"fullname" : "Western blot", "shortname":"WB"}, "IHCFoFr" : {"fullname" : "Immunohistochemistry (PFA perfusion fixed frozen sections)", "shortname":"IHC-FoFr"}, "ICCIF" : {"fullname" : "Immunocytochemistry/ Immunofluorescence", "shortname":"ICC/IF"} }, "product-promise": { "all": "all", "testedAndGuaranteed": "tested", "guaranteed": "expected", "predicted": "predicted", "notRecommended": "not-recommended" } }, "values": { "Human": { "IHCP-species-checked": "testedAndGuaranteed", "IHCP-species-dilution-info": "5 µg/mL", "IHCP-species-notes": "<p></p> Perform heat-mediated antigen retrieval before commencing with IHC staining protocol.", "IP-species-checked": "testedAndGuaranteed", "IP-species-dilution-info": "", "IP-species-notes": "<p></p>", "WB-species-checked": "testedAndGuaranteed", "WB-species-dilution-info": "1 µg/mL", "WB-species-notes": "<p></p>", "IHCFoFr-species-checked": "guaranteed", "IHCFoFr-species-dilution-info": "", "IHCFoFr-species-notes": "<p></p>", "ICCIF-species-checked": "testedAndGuaranteed", "ICCIF-species-dilution-info": "5 µg/mL", "ICCIF-species-notes": "<p></p>" }, "Mouse": { "IHCP-species-checked": "guaranteed", "IHCP-species-dilution-info": "", "IHCP-species-notes": "", "IP-species-checked": "guaranteed", "IP-species-dilution-info": "", "IP-species-notes": "", "WB-species-checked": "testedAndGuaranteed", "WB-species-dilution-info": "1 µg/mL", "WB-species-notes": "<p></p>", "IHCFoFr-species-checked": "guaranteed", "IHCFoFr-species-dilution-info": "", "IHCFoFr-species-notes": "<p></p>", "ICCIF-species-checked": "guaranteed", "ICCIF-species-dilution-info": "", "ICCIF-species-notes": "" }, "Rat": { "IHCP-species-checked": "guaranteed", "IHCP-species-dilution-info": "", "IHCP-species-notes": "", "IP-species-checked": "guaranteed", "IP-species-dilution-info": "", "IP-species-notes": "", "WB-species-checked": "testedAndGuaranteed", "WB-species-dilution-info": "1 µg/mL", "WB-species-notes": "<p></p>", "IHCFoFr-species-checked": "guaranteed", "IHCFoFr-species-dilution-info": "", "IHCFoFr-species-notes": "<p></p>", "ICCIF-species-checked": "guaranteed", "ICCIF-species-dilution-info": "", "ICCIF-species-notes": "" }, "Orangutan": { "IHCP-species-checked": "predicted", "IHCP-species-dilution-info": "", "IHCP-species-notes": "", "IP-species-checked": "predicted", "IP-species-dilution-info": "", "IP-species-notes": "", "WB-species-checked": "predicted", "WB-species-dilution-info": "", "WB-species-notes": "", "IHCFoFr-species-checked": "predicted", "IHCFoFr-species-dilution-info": "", "IHCFoFr-species-notes": "", "ICCIF-species-checked": "predicted", "ICCIF-species-dilution-info": "", "ICCIF-species-notes": "" } } }

製品の詳細

ab27455 does not recognize endogenous FMRP (expected size 71 kDa) in human testis lysate, which may be due to low expression levels of FMRP.

Product Specifications
Anti-FMRP antibody (ab17722) is a rabbit polyclonal antibody and is validated for use in ICC/IF, IHC-FoFr, IHC-P, IP, WB in human, mouse, rat samples.
Anti-FMRP antibody (ab17722) specifically detects FMRP (UniProt ID: Q06787; Molecular weight: 71kDa) and is sold in 100 µg selling sizes.

Quality and Validation
Abcam's high quality validation processes ensure Anti-FMRP antibody (ab17722) has high sensitivity and specificity.
The specificity of Anti-FMRP antibody (ab17722) has been confirmed by testing in knockout samples.
Anti-FMRP antibody (ab17722) has been cited over 87 times in peer reviewed journals and is trusted by the scientific community.
Anti-FMRP antibody (ab17722) has 7 independent reviews from customers.

出荷温度及び保存条件

製品の状態
Liquid
精製方法
Affinity purification Immunogen
バッファー組成
pH: 7.4 Preservative: 0.02% Sodium azide Constituents: PBS, 1% BSA
出荷温度
Blue Ice
短期保存期間
1-2 weeks
短期保存温度
+4°C
長期保存温度
-20°C
分注に関する情報
Upon delivery aliquot
保管に関する情報
Avoid freeze / thaw cycle

製品プロトコール

For this product, it's our understanding that no specific protocols are required. You can visit:

ターゲットの情報

Multifunctional polyribosome-associated RNA-binding protein that plays a central role in neuronal development and synaptic plasticity through the regulation of alternative mRNA splicing, mRNA stability, mRNA dendritic transport and postsynaptic local protein synthesis of target mRNAs (PubMed : 12417522, PubMed : 16631377, PubMed : 18653529, PubMed : 19166269, PubMed : 23235829, PubMed : 25464849). Acts as an mRNA regulator by mediating formation of some phase-separated membraneless compartment : undergoes liquid-liquid phase separation upon binding to target mRNAs, leading to assemble mRNAs into cytoplasmic ribonucleoprotein granules that concentrate mRNAs with associated regulatory factors (PubMed : 12417522, PubMed : 30765518, PubMed : 31439799). Plays a role in the alternative splicing of its own mRNA (PubMed : 18653529). Stabilizes the scaffolding postsynaptic density protein DLG4/PSD-95 and the myelin basic protein (MBP) mRNAs in hippocampal neurons and glial cells, respectively; this stabilization is further increased in response to metabotropic glutamate receptor (mGluR) stimulation (By similarity). Plays a role in selective delivery of a subset of dendritic mRNAs to synaptic sites in response to mGluR activation in a kinesin-dependent manner (By similarity). Undergoes liquid-liquid phase separation following phosphorylation and interaction with CAPRIN1, promoting formation of cytoplasmic ribonucleoprotein granules that concentrate mRNAs with factors that inhibit translation and mediate deadenylation of target mRNAs (PubMed : 31439799). Acts as a repressor of mRNA translation in synaptic regions by mediating formation of neuronal ribonucleoprotein granules and promoting recruitmtent of EIF4EBP2 (PubMed : 30765518). Plays a role as a repressor of mRNA translation during the transport of dendritic mRNAs to postsynaptic dendritic spines (PubMed : 11157796, PubMed : 11532944, PubMed : 12594214, PubMed : 23235829). Component of the CYFIP1-EIF4E-FMR1 complex which blocks cap-dependent mRNA translation initiation (By similarity). Represses mRNA translation by stalling ribosomal translocation during elongation (By similarity). Reports are contradictory with regards to its ability to mediate translation inhibition of MBP mRNA in oligodendrocytes (PubMed : 23891804). Also involved in the recruitment of the RNA helicase MOV10 to a subset of mRNAs and hence regulates microRNA (miRNA)-mediated translational repression by AGO2 (PubMed : 14703574, PubMed : 17057366, PubMed : 25464849). Facilitates the assembly of miRNAs on specific target mRNAs (PubMed : 17057366). Also plays a role as an activator of mRNA translation of a subset of dendritic mRNAs at synapses (PubMed : 19097999, PubMed : 19166269). In response to mGluR stimulation, FMR1-target mRNAs are rapidly derepressed, allowing for local translation at synapses (By similarity). Binds to a large subset of dendritic mRNAs that encode a myriad of proteins involved in pre- and postsynaptic functions (PubMed : 11157796, PubMed : 11719189, PubMed : 12594214, PubMed : 17417632, PubMed : 23235829, PubMed : 24448548, PubMed : 7692601). Binds to 5'-ACU[GU]-3' and/or 5'-[AU]GGA-3' RNA consensus sequences within mRNA targets, mainly at coding sequence (CDS) and 3'-untranslated region (UTR) and less frequently at 5'-UTR (PubMed : 23235829). Binds to intramolecular G-quadruplex structures in the 5'- or 3'-UTRs of mRNA targets (PubMed : 11719189, PubMed : 18579868, PubMed : 25464849, PubMed : 25692235). Binds to G-quadruplex structures in the 3'-UTR of its own mRNA (PubMed : 11532944, PubMed : 12594214, PubMed : 15282548, PubMed : 18653529, PubMed : 7692601). Binds also to RNA ligands harboring a kissing complex (kc) structure; this binding may mediate the association of FMR1 with polyribosomes (PubMed : 15805463). Binds mRNAs containing U-rich target sequences (PubMed : 12927206). Binds to a triple stem-loop RNA structure, called Sod1 stem loop interacting with FMRP (SoSLIP), in the 5'-UTR region of superoxide dismutase SOD1 mRNA (PubMed : 19166269). Binds to the dendritic, small non-coding brain cytoplasmic RNA 1 (BC1); which may increase the association of the CYFIP1-EIF4E-FMR1 complex to FMR1 target mRNAs at synapses (By similarity). Plays a role in mRNA nuclear export (PubMed : 31753916). Specifically recognizes and binds a subset of N6-methyladenosine (m6A)-containing mRNAs, promoting their nuclear export in a XPO1/CRM1-dependent manner (PubMed : 31753916). Together with export factor NXF2, is involved in the regulation of the NXF1 mRNA stability in neurons (By similarity). Associates with export factor NXF1 mRNA-containing ribonucleoprotein particles (mRNPs) in a NXF2-dependent manner (By similarity). Binds to a subset of miRNAs in the brain (PubMed : 14703574, PubMed : 17057366). May associate with nascent transcripts in a nuclear protein NXF1-dependent manner (PubMed : 18936162). In vitro, binds to RNA homomer; preferentially on poly(G) and to a lesser extent on poly(U), but not on poly(A) or poly(C) (PubMed : 12950170, PubMed : 15381419, PubMed : 7688265, PubMed : 7781595, PubMed : 8156595). Moreover, plays a role in the modulation of the sodium-activated potassium channel KCNT1 gating activity (PubMed : 20512134). Negatively regulates the voltage-dependent calcium channel current density in soma and presynaptic terminals of dorsal root ganglion (DRG) neurons, and hence regulates synaptic vesicle exocytosis (By similarity). Modulates the voltage-dependent calcium channel CACNA1B expression at the plasma membrane by targeting the channels for proteasomal degradation (By similarity). Plays a role in regulation of MAP1B-dependent microtubule dynamics during neuronal development (By similarity). Has been shown to play a translation-independent role in the modulation of presynaptic action potential (AP) duration and neurotransmitter release via large-conductance calcium-activated potassium (BK) channels in hippocampal and cortical excitatory neurons (PubMed : 25561520). May be involved in the control of DNA damage response (DDR) mechanisms through the regulation of ATR-dependent signaling pathways such as histone H2AX/H2A.x and BRCA1 phosphorylations (PubMed : 24813610). Forms a cytoplasmic messenger ribonucleoprotein (mRNP) network by packaging long mRNAs, serving as a scaffold that recruits proteins and signaling molecules. This network facilitates signaling reactions by maintaining proximity between kinases and substrates (PubMed : 39106863).. Isoform 10. Binds to RNA homomer; preferentially on poly(G) and to a lesser extent on poly(U), but not on poly(A) or poly(C) (PubMed : 24204304). May bind to RNA in Cajal bodies (PubMed : 24204304).. Isoform 6. Binds to RNA homomer; preferentially on poly(G) and to a lesser extent on poly(U), but not on poly(A) or poly(C) (PubMed : 24204304). May bind to RNA in Cajal bodies (PubMed : 24204304).. (Microbial infection) Acts as a positive regulator of influenza A virus (IAV) replication. Required for the assembly and nuclear export of the viral ribonucleoprotein (vRNP) components.
See full target information FMR1

文献 (118)

Recent publications for all applications. Explore the full list and refine your search

The Journal of biological chemistry 301:110418 PubMed40570961

2025

Functional investigation of the RNA helicase MOV10 with respect to its interplay with factors involved in nonsense-mediated mRNA decay.

Applications

Unspecified application

Species

Unspecified reactive species

Guangpu Xue,Gabriel P Faber,Lea S Pommerening,Megha Mallick,Aditi Gupta,Markus C Wahl,Yaron Shav-Tal,Sutapa Chakrabarti

Prion 19:1-16 PubMed40411539

2025

Functional amyloid protein FXR1 is recruited into neuronal stress granules.

Applications

Unspecified application

Species

Unspecified reactive species

Anna A Valina,Tatyana A Belashova,Anastasia K Yuzman,Sergey P Zadorsky,Evgeniy I Sysoev,Vladimir A Mitkevich,Alexander A Makarov,Alexey P Galkin

Molecular autism 16:17 PubMed40055803

2025

Postnatal downregulation of Fmr1 in microglia promotes microglial reactivity and causes behavioural alterations in female mice.

Applications

Unspecified application

Species

Unspecified reactive species

Mehdi Hooshmandi,David Ho-Tieng,Kevin C Lister,Weihua Cai,Calvin Wong,Nicole Brown,Jonathan Fan,Volodya Hovhannisyan,Sonali Uttam,Masha Prager-Khoutorsky,Nahum Sonenberg,Christos G Gkogkas,Arkady Khoutorsky

Redox biology 77:103382 PubMed39388855

2024

FMRP protects breast cancer cells from ferroptosis by promoting SLC7A11 alternative splicing through interacting with hnRNPM.

Applications

Unspecified application

Species

Unspecified reactive species

Nan Wang,Bin Shi,Lu Ding,Xu Zhang,Xiaolan Ma,Songlin Guo,Xia Qiao,Libin Wang,Duan Ma,Jia Cao

The Journal of cell biology 223: PubMed38652117

2024

UBAP2L ensures homeostasis of nuclear pore complexes at the intact nuclear envelope.

Applications

Unspecified application

Species

Unspecified reactive species

Yongrong Liao,Leonid Andronov,Xiaotian Liu,Junyan Lin,Lucile Guerber,Linjie Lu,Arantxa Agote-Arán,Evanthia Pangou,Li Ran,Charlotte Kleiss,Mengdi Qu,Stephane Schmucker,Luca Cirillo,Zhirong Zhang,Daniel Riveline,Monica Gotta,Bruno P Klaholz,Izabela Sumara

The Journal of cell biology 223: PubMed38587486

2024

LLPS of FXR proteins drives replication organelle clustering for β-coronaviral proliferation.

Applications

Unspecified application

Species

Unspecified reactive species

Meng Li,Yali Hou,Yuzheng Zhou,Zhenni Yang,Hongyu Zhao,Tao Jian,Qianxi Yu,Fuxing Zeng,Xiaotian Liu,Zheng Zhang,Yan G Zhao

Cell reports 43:113904 PubMed38457342

2024

Disease-causing Slack potassium channel mutations produce opposite effects on excitability of excitatory and inhibitory neurons.

Applications

Unspecified application

Species

Unspecified reactive species

Jing Wu,Imran H Quraishi,Yalan Zhang,Mark Bromwich,Leonard K Kaczmarek

PLoS biology 21:e3002417 PubMed38048343

2023

FMRP deficiency leads to multifactorial dysregulation of splicing and mislocalization of MBNL1 to the cytoplasm.

Applications

Unspecified application

Species

Unspecified reactive species

Suna Jung,Sneha Shah,Geongoo Han,Joel D Richter

Molecular cell 83:4304-4317.e8 PubMed37949069

2023

FMRP phosphorylation modulates neuronal translation through YTHDF1.

Applications

Unspecified application

Species

Unspecified reactive species

Zhongyu Zou,Jiangbo Wei,Yantao Chen,Yunhee Kang,Hailing Shi,Fan Yang,Zhuoyue Shi,Shijie Chen,Ying Zhou,Caraline Sepich-Poore,Xiaoxi Zhuang,Xiaoming Zhou,Hualiang Jiang,Zhexing Wen,Peng Jin,Cheng Luo,Chuan He

Neuron 111:3988-4005.e11 PubMed37820724

2023

Species-specific FMRP regulation of RACK1 is critical for prenatal cortical development.

Applications

Unspecified application

Species

Unspecified reactive species

Minjie Shen,Carissa L Sirois,Yu Guo,Meng Li,Qiping Dong,Natasha M Méndez-Albelo,Yu Gao,Saniya Khullar,Lee Kissel,Soraya O Sandoval,Natalie E Wolkoff,Sabrina X Huang,Zhiyan Xu,Jonathan E Bryan,Amaya M Contractor,Tomer Korabelnikov,Ian A Glass,Dan Doherty,Jon E Levine,André M M Sousa,Qiang Chang,Anita Bhattacharyya,Daifeng Wang,Donna M Werling,Xinyu Zhao
View all publications

Abcam product promise

当社は、高品質な試薬を通じてお客様の研究を力強くサポートすることをお約束いたします。ご使用いただく各段階で、常にお客様をサポートできる体制を整えております。万が一、製品が期待通りに機能しない場合は、「Abcam Product Promise」による当社保証制度に基づき、安心してご利用いただけます。
保証に関する詳細については利用規約をご確認ください。

Please note: All products are 'FOR RESEARCH USE ONLY. NOT FOR USE IN DIAGNOSTIC OR THERAPEUTIC PROCEDURES'.

For licensing inquiries, please contact partnerships@abcam.com