JavaScript is disabled in your browser. Please enable JavaScript to view this website.
AB2918

Anti-FKBP12 抗体

Anti-FKBP12 antibody

5

(22 Reviews)

|

(36 Publications)

Anti-FKBP12 antibody (ab2918) is a rabbit polyclonal antibody detecting FKBP12 in IHC-P, ICC/IF. Suitable for Human.

- Over 30 publications
- Trusted since 2003

別名を表示する

FKBP1, FKBP12, FKBP1A, Peptidyl-prolyl cis-trans isomerase FKBP1A, PPIase FKBP1A, 12 kDa FK506-binding protein, Calstabin-1, FK506-binding protein 1A, Immunophilin FKBP12, Rotamase, 12 kDa FKBP, FKBP-12, FKBP-1A

6 Images
Immunohistochemistry (Formalin/PFA-fixed paraffin-embedded sections) - Anti-FKBP12 antibody (AB2918)
  • IHC-P

Unknown

Immunohistochemistry (Formalin/PFA-fixed paraffin-embedded sections) - Anti-FKBP12 antibody (AB2918)

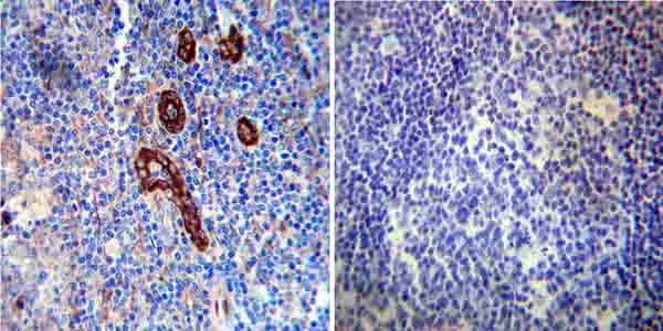
Immunohistochemistry was performed on normal biopsies of deparaffinized human tonsil tissue. To expose target proteins, heat induced antigen retrieval was performed using 10mM sodium citrate (pH 6.0) buffer, microwaved for 8-15 minutes. Following antigen retrieval tissues were blocked in 3% BSA-PBS for 30 minutes at room temperature. Tissues were then probed at a dilution of 1/50 with a rabbit polyclonal antibody recognizing FKBP12 (ab2918) or without primary antibody (negative control) overnight at 4°C in a humidified chamber. Tissues were washed extensively with PBST and endogenous peroxidase activity was quenched with a peroxidase suppressor. Detection was performed using a biotin-conjugated secondary antibody and SA-HRP, followed by colorimetric detection using DAB. Tissues were counterstained with hematoxylin and prepped for mounting.

Immunocytochemistry/ Immunofluorescence - Anti-FKBP12 antibody (AB2918)
  • ICC/IF

Unknown

Immunocytochemistry/ Immunofluorescence - Anti-FKBP12 antibody (AB2918)

ICC/IF image of ab2918 stained HepG2 cells. The cells were 4% formaldehyde fixed (10 min) and then incubated in 1%BSA / 10% normal goat serum / 0.3M glycine in 0.1% PBS-Tween for 1h to permeabilise the cells and block non-specific protein-protein interactions. The cells were then incubated with the antibody (ab2918, 1µg/ml) overnight at +4°C. The secondary antibody (green) was Alexa Fluor® 488 goat anti-rabbit IgG (H+L) used at a 1/1000 dilution for 1h. Alexa Fluor® 594 WGA was used to label plasma membranes (red) at a 1/200 dilution for 1h. DAPI was used to stain the cell nuclei (blue) at a concentration of 1.43µM.

Immunohistochemistry (Formalin/PFA-fixed paraffin-embedded sections) - Anti-FKBP12 antibody (AB2918)
  • IHC-P

Unknown

Immunohistochemistry (Formalin/PFA-fixed paraffin-embedded sections) - Anti-FKBP12 antibody (AB2918)

Immunohistochemistry was performed on cancer biopsies of deparaffinized human colon carcinoma tissue. To expose target proteins, heat induced antigen retrieval was performed using 10mM sodium citrate (pH 6.0) buffer, microwaved for 8-15 minutes. Following antigen retrieval tissues were blocked in 3% BSA-PBS for 30 minutes at room temperature. Tissues were then probed at a dilution of 1/200 with a rabbit polyclonal antibody recognizing FKBP12 (ab2918) or without primary antibody (negative control) overnight at 4°C in a humidified chamber. Tissues were washed extensively with PBST and endogenous peroxidase activity was quenched with a peroxidase suppressor. Detection was performed using a biotin-conjugated secondary antibody and SA-HRP, followed by colorimetric detection using DAB. Tissues were counterstained with hematoxylin and prepped for mounting.

Immunohistochemistry (Formalin/PFA-fixed paraffin-embedded sections) - Anti-FKBP12 antibody (AB2918)
  • IHC-P

AbReview7337****

Immunohistochemistry (Formalin/PFA-fixed paraffin-embedded sections) - Anti-FKBP12 antibody (AB2918)

ab2918 at 1/1000 staining mouse heart tissue sections by IHC-P. The tissue was paraformaldehyde fixed, blocked and then a citrate buffer / heat mediated antigen retireival step was performed. The tissue was incubated with the antibody for 24 hours. An HRP conjugated rabbit polyclonal antibody was used as the secondary.

This image is courtesy of an Abreview submitted by Miss gwen lagoda

Immunohistochemistry (Formalin/PFA-fixed paraffin-embedded sections) - Anti-FKBP12 antibody (AB2918)
  • IHC-P

Unknown

Immunohistochemistry (Formalin/PFA-fixed paraffin-embedded sections) - Anti-FKBP12 antibody (AB2918)

Immunohistochemistry was performed on normal biopsies of deparaffinized human heart tissue. To expose target proteins, heat induced antigen retrieval was performed using 10mM sodium citrate (pH 6.0) buffer, microwaved for 8-15 minutes. Following antigen retrieval tissues were blocked in 3% BSA-PBS for 30 minutes at room temperature. Tissues were then probed at a dilution of 1/20 with a rabbit polyclonal antibody recognizing FKBP12 (ab2918) or without primary antibody (negative control) overnight at 4°C in a humidified chamber. Tissues were washed extensively with PBST and endogenous peroxidase activity was quenched with a peroxidase suppressor. Detection was performed using a biotin-conjugated secondary antibody and SA-HRP, followed by colorimetric detection using DAB. Tissues were counterstained with hematoxylin and prepped for mounting.

Immunohistochemistry (Formalin/PFA-fixed paraffin-embedded sections) - Anti-FKBP12 antibody (AB2918)
  • IHC-P

AbReview6365****

Immunohistochemistry (Formalin/PFA-fixed paraffin-embedded sections) - Anti-FKBP12 antibody (AB2918)

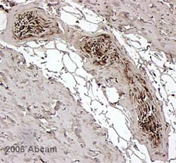
ab2918 at 1/1000 staining FKBP12 from human penis tissue by IHC-P. The tissue was paraformaldehyde fixed and the slides were incubated in citrate buffer for antigen retrieval and heated for 20 minutes. The tissue was incubated with ab2918 for 24 hours. The secondary antibody used was part of the DAKO ENVISON System. The picture depicts staining of nerve fibers within corporal tissue of the human penis.

This image is courtesy of an Abreview submitted by Miss gwen lagoda

Key facts

宿主種

Rabbit

クローン性

Polyclonal

アイソタイプ

IgG

キャリアフリー

No

交差種

Human

アプリケーション

ICC/IF, IHC-P

applications

免疫原

Synthetic Peptide within Human FKBP1A aa 1-50. The exact immunogen used to generate this antibody is proprietary information.

P62942

特異性

Detects FK506 binding protein 12 kDa (FKBP12).

Reactivity data

{ "title": "Reactivity Data", "filters": { "stats": ["", "Species", "Dilution Info", "Notes"], "tabs": { "all-applications": {"fullname" : "All Applications", "shortname": "All Applications"}, "IHCP" : {"fullname" : "Immunohistochemistry (Formalin/PFA-fixed paraffin-embedded sections)", "shortname":"IHC-P"}, "ICCIF" : {"fullname" : "Immunocytochemistry/ Immunofluorescence", "shortname":"ICC/IF"} }, "product-promise": { "all": "all", "testedAndGuaranteed": "tested", "guaranteed": "expected", "predicted": "predicted", "notRecommended": "not-recommended" } }, "values": { "Human": { "IHCP-species-checked": "testedAndGuaranteed", "IHCP-species-dilution-info": "1/1000", "IHCP-species-notes": "<p></p> Perform heat-mediated antigen retrieval before commencing with IHC staining protocol.", "ICCIF-species-checked": "testedAndGuaranteed", "ICCIF-species-dilution-info": "1 µg/mL", "ICCIF-species-notes": "<p></p>" }, "Cow": { "IHCP-species-checked": "predicted", "IHCP-species-dilution-info": "", "IHCP-species-notes": "", "ICCIF-species-checked": "predicted", "ICCIF-species-dilution-info": "", "ICCIF-species-notes": "" }, "Rabbit": { "IHCP-species-checked": "predicted", "IHCP-species-dilution-info": "", "IHCP-species-notes": "", "ICCIF-species-checked": "predicted", "ICCIF-species-dilution-info": "", "ICCIF-species-notes": "" } } }

下記製品にもご興味をお持ちいただけるかもしれません:

AB277418

Human FKBP12 ELISA kit

0

0 Reviews

製品ページを見る
こちらの製品も推奨する理由

この製品は、同様の実験や関連する研究で広く使用されていることから推奨させていただいております。

お客様の実験に適するかご確認いただくため、必ず製品データシートをご確認いただくことをお勧めいたします。ご不明点等ございましたら、テクニカルサポートチームまでお問い合わせください。

製品の詳細

出荷温度及び保存条件

製品の状態
Liquid
精製方法
Affinity purification Immunogen
バッファー組成
Preservative: 0.05% Sodium azide Constituents: 99% PBS, 0.1% BSA
出荷温度
Blue Ice
短期保存期間
1-2 weeks
短期保存温度
+4°C
長期保存温度
-20°C
分注に関する情報
Upon delivery aliquot
保管に関する情報
Avoid freeze / thaw cycle

補足情報

This supplementary information is collated from multiple sources and compiled automatically.

FKBP12 also known as FKBP-12 or FKBP12 protein is a small protein with a molecular weight of approximately 12 kDa. It belongs to the family of immunophilins and acts as a peptidyl-prolyl cis-trans isomerase (PPIase) facilitating the folding of proteins by catalyzing the isomerization of proline residues in polypeptides. The FKBP12 protein is expressed in various tissues throughout the body including the brain heart and skeletal muscles. It plays a mechanical role in binding certain macrolide antibiotics such as FK506 (tacrolimus) influencing their biological effects by altering protein conformation.
Biological function summary

FKBP12 is significant in cellular mechanisms beyond protein folding. It interacts with and forms complexes with other proteins such as ryanodine receptors and transforming growth factor-beta (TGF-Β) receptors impacting calcium signaling and cell growth. FKBP12's interaction with FK506 has been extensively studied because it forms a complex that inhibits calcineurin ultimately leading to immunosuppressive effects. This property of FKBP12 makes it important for modulating the immune response and has importance in transplant medicine.

Pathways

FKBP12 is actively involved in calcium signaling and TGF-Β signaling pathways. FKBP12 influences these pathways by binding to ryanodine receptors affecting calcium release from intracellular stores and also modulating the function of TGF-Β receptors impacting cellular growth and proliferation processes. It is associated with proteins such as calcineurin and Smad proteins in these pathways maintaining cellular homeostasis and regulating immune and inflammatory responses.

FKBP12 plays a role in immunological and proliferative diseases. It is implicated in autoimmune disorders due to its interaction with FK506 leading to the suppression of unwanted immune responses. FKBP12 is also linked to cardiac hypertrophy as its modulation of calcium release through ryanodine receptors can affect heart muscle function. The protein interacts with calcineurin in these contexts contributing to pathological processes in these diseases. Researchers target FKBP12 with ELISA and other assays to investigate its involvement in these disorders and assess therapeutic interventions.

製品プロトコール

For this product, it's our understanding that no specific protocols are required. You can visit:

ターゲットの情報

Keeps in an inactive conformation TGFBR1, the TGF-beta type I serine/threonine kinase receptor, preventing TGF-beta receptor activation in absence of ligand. Recruits SMAD7 to ACVR1B which prevents the association of SMAD2 and SMAD3 with the activin receptor complex, thereby blocking the activin signal. May modulate the RYR1 calcium channel activity. PPIases accelerate the folding of proteins. It catalyzes the cis-trans isomerization of proline imidic peptide bonds in oligopeptides.
See full target information FKBP1A

文献 (36)

Recent publications for all applications. Explore the full list and refine your search

Cells 12: PubMed37190072

2023

Assessment of Covalently Binding Warhead Compounds in the Validation of the Cytomegalovirus Nuclear Egress Complex as an Antiviral Target.

Applications

Unspecified application

Species

Unspecified reactive species

Julia Tillmanns,Sigrun Häge,Eva Maria Borst,Julia Wardin,Jan Eickhoff,Bert Klebl,Sabrina Wagner,Christina Wangen,Friedrich Hahn,Eileen Socher,Manfred Marschall

The EMBO journal 42:e111559 PubMed37038978

2023

A kinesin-based approach for inducing chromosome-specific mis-segregation in human cells.

Applications

Unspecified application

Species

Unspecified reactive species

My Anh Truong,Paula Cané-Gasull,Sippe G de Vries,Wilco Nijenhuis,René Wardenaar,Lukas C Kapitein,Floris Foijer,Susanne Ma Lens

Science advances 8:eadd7377 PubMed36288318

2022

Impact of aging and oxidative stress on specific components of excitation contraction coupling in regulating force generation.

Applications

Unspecified application

Species

Unspecified reactive species

Hongyang Xu,Bumsoo Ahn,Holly Van Remmen

Molecular biology of the cell 33:br16 PubMed35767360

2022

BubR1 recruitment to the kinetochore via Bub1 enhances spindle assembly checkpoint signaling.

Applications

Unspecified application

Species

Unspecified reactive species

Anand Banerjee,Chu Chen,Lauren Humphrey,John J Tyson,Ajit P Joglekar

eLife 11: PubMed35506650

2022

Role of oxidation of excitation-contraction coupling machinery in age-dependent loss of muscle function in .

Applications

Unspecified application

Species

Unspecified reactive species

Haikel Dridi,Frances Forrester,Alisa Umanskaya,Wenjun Xie,Steven Reiken,Alain Lacampagne,Andrew Marks

The Journal of biological chemistry 298:101589 PubMed35033536

2022

Immunosuppressive calcineurin inhibitor cyclosporine A induces proapoptotic endoplasmic reticulum stress in renal tubular cells.

Applications

Unspecified application

Species

Unspecified reactive species

Duygu Elif Yilmaz,Karin Kirschner,Hasan Demirci,Nina Himmerkus,Sebastian Bachmann,Kerim Mutig

Current biology : CB 32:237-247.e6 PubMed34861183

2021

Aurora B phosphorylates Bub1 to promote spindle assembly checkpoint signaling.

Applications

Unspecified application

Species

Unspecified reactive species

Babhrubahan Roy,Simon J Y Han,Adrienne N Fontan,Soubhagyalaxmi Jema,Ajit P Joglekar

Parasitology international 85:102435 PubMed34390881

2021

cAMP-dependent protein kinase regulates secretion of apical membrane antigen 1 (AMA1) in Plasmodium yoelii.

Applications

Unspecified application

Species

Unspecified reactive species

Takahiro Ishizaki,Masahito Asada,Hassan Hakimi,Nattawat Chaiyawong,Yuto Kegawa,Kazuhide Yahata,Osamu Kaneko

Nature chemical biology 17:1065-1074 PubMed34168367

2021

Selective inhibitors of mTORC1 activate 4EBP1 and suppress tumor growth.

Applications

Unspecified application

Species

Unspecified reactive species

Bianca J Lee,Jacob A Boyer,G Leslie Burnett,Arun P Thottumkara,Nidhi Tibrewal,Stacy L Wilson,Tientien Hsieh,Abby Marquez,Edward G Lorenzana,James W Evans,Laura Hulea,Gert Kiss,Hui Liu,Dong Lee,Ola Larsson,Shannon McLaughlan,Ivan Topisirovic,Zhengping Wang,Zhican Wang,Yongyuan Zhao,David Wildes,James B Aggen,Mallika Singh,Adrian L Gill,Jacqueline A M Smith,Neal Rosen

Autophagy 17:4119-4140 PubMed34024231

2021

Modulating FKBP5/FKBP51 and autophagy lowers HTT (huntingtin) levels.

Applications

Unspecified application

Species

Unspecified reactive species

Barbara J Bailus,Stephen M Scheeler,Jesse Simons,Maria A Sanchez,Kizito-Tshitoko Tshilenge,Jordi Creus-Muncunill,Swati Naphade,Alejandro Lopez-Ramirez,Ningzhe Zhang,Kuruwitage Lakshika Madushani,Stanislav Moroz,Ashley Loureiro,Katherine H Schreiber,Felix Hausch,Brian K Kennedy,Michelle E Ehrlich,Lisa M Ellerby
View all publications

Abcam product promise

当社は、高品質な試薬を通じてお客様の研究を力強くサポートすることをお約束いたします。ご使用いただく各段階で、常にお客様をサポートできる体制を整えております。万が一、製品が期待通りに機能しない場合は、「Abcam Product Promise」による当社保証制度に基づき、安心してご利用いただけます。
保証に関する詳細については利用規約をご確認ください。

関連製品

Select an associated product type
Alternative Product
Primary Antibodies

AB24373

Anti-FKBP12 antibody

primary-antibodies

fkbp12-antibody-ab24373

5

(4 reviews)

Alternative Product
Primary Antibodies

AB92459

Anti-FKBP12 antibody [EPR3888]

primary-antibodies

fkbp12-antibody-epr3888-ab92459

4

(2 reviews)

Alternative Product
Primary Antibodies

AB240931

Anti-FKBP12 antibody [EPR3888] - BSA and Azide free

primary-antibodies

fkbp12-antibody-epr3888-bsa-and-azide-free-ab240931

0

(0 reviews)

Alternative Product
Primary Antibodies

AB108420

Anti-FKBP12 antibody [EP3887]

primary-antibodies

fkbp12-antibody-ep3887-ab108420

0

(0 reviews)

Alternative Product
Primary Antibodies

AB58072

Anti-FKBP12 antibody [1E5-A12]

primary-antibodies

fkbp12-antibody-1e5-a12-ab58072

5

(2 reviews)

Please note: All products are 'FOR RESEARCH USE ONLY. NOT FOR USE IN DIAGNOSTIC OR THERAPEUTIC PROCEDURES'.

For licensing inquiries, please contact partnerships@abcam.com