JavaScript is disabled in your browser. Please enable JavaScript to view this website.
AB264184

Anti-Filamin A 抗体

Anti-Filamin A antibody

5

(1 Review)

|

(0 Publication)

Rabbit Polyclonal Filamin A antibody. Suitable for IHC-P, IP, WB and reacts with Human, Mouse samples. Immunogen corresponding to Synthetic Peptide within Human FLNA aa 1700-1800.

別名を表示する

FLN, FLN1, FLNA, Filamin-A, FLN-A, Actin-binding protein 280, Alpha-filamin, Endothelial actin-binding protein, Filamin-1, Non-muscle filamin, ABP-280

3 Images
Western blot - Anti-Filamin A antibody (AB264184)
  • WB

Supplier Data

Western blot - Anti-Filamin A antibody (AB264184)

4 - 8% SDS-PAGE.

All lanes:

Western blot - Anti-Filamin A antibody (ab264184) at 0.04 µg/mL

Lane 1:

HeLa whole cell lysate at 50 µg

Lane 2:

HeLa whole cell lysate at 15 µg

Lane 3:

HeLa whole cell lysate at 5 µg

Lane 4:

HEK-293T whole cell lysate at 50 µg

Lane 5:

NIH/3T3 whole cell lysate at 50 µg

Predicted band size: 281 kDa

true

Exposure time: 1s

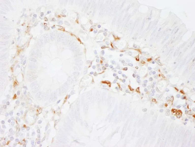
Immunohistochemistry (Formalin/PFA-fixed paraffin-embedded sections) - Anti-Filamin A antibody (AB264184)
  • IHC-P

Unknown

Immunohistochemistry (Formalin/PFA-fixed paraffin-embedded sections) - Anti-Filamin A antibody (AB264184)

Immunohistochemical analysis of formalin/PFA-fixed, paraffin-embedded human colon carcinoma tissue labeling Filamin A with ab264184 at 1/1000 dilution. DAB was used as a counterstain.

Immunoprecipitation - Anti-Filamin A antibody (AB264184)
  • IP

Supplier Data

Immunoprecipitation - Anti-Filamin A antibody (AB264184)

Filamin A was immunoprecipitated from 1mg of HeLa cells (20% of IP loaded) using ab264184 at 3 μg/mg lysate. Western blot was performed on the immunprecipitate using ab264184 at 0.1μg/ml.

Lane 1 : ab264184 in HeLa whole cell lysate

Lane 2 : Control IgG in HeLa whole cell lysate

Detected with chemilimuniscence with exposure time of 1 second.

All lanes:

Immunoprecipitation - Anti-Filamin A antibody (ab264184)

Predicted band size: 281 kDa

false

Key facts

宿主種

Rabbit

クローン性

Polyclonal

アイソタイプ

IgG

キャリアフリー

No

交差種

Mouse, Human

アプリケーション

IP, WB, IHC-P

applications

免疫原

Synthetic Peptide within Human FLNA aa 1700-1800. The exact immunogen used to generate this antibody is proprietary information.

P21333

Reactivity data

{ "title": "Reactivity Data", "filters": { "stats": ["", "Species", "Dilution Info", "Notes"], "tabs": { "all-applications": {"fullname" : "All Applications", "shortname": "All Applications"}, "IHCP" : {"fullname" : "Immunohistochemistry (Formalin/PFA-fixed paraffin-embedded sections)", "shortname":"IHC-P"}, "IP" : {"fullname" : "Immunoprecipitation", "shortname":"IP"}, "WB" : {"fullname" : "Western blot", "shortname":"WB"} }, "product-promise": { "all": "all", "testedAndGuaranteed": "tested", "guaranteed": "expected", "predicted": "predicted", "notRecommended": "not-recommended" } }, "values": { "Human": { "IHCP-species-checked": "testedAndGuaranteed", "IHCP-species-dilution-info": "1/500 - 1/2000", "IHCP-species-notes": "<p></p> Perform heat-mediated antigen retrieval with citrate buffer pH 6 before commencing with IHC staining protocol.", "IP-species-checked": "testedAndGuaranteed", "IP-species-dilution-info": "2-5 µg/mg of lysate", "IP-species-notes": "<p></p>", "WB-species-checked": "testedAndGuaranteed", "WB-species-dilution-info": "1/2000 - 1/10000", "WB-species-notes": "<p></p>" }, "Mouse": { "IHCP-species-checked": "guaranteed", "IHCP-species-dilution-info": "", "IHCP-species-notes": "", "IP-species-checked": "guaranteed", "IP-species-dilution-info": "", "IP-species-notes": "", "WB-species-checked": "testedAndGuaranteed", "WB-species-dilution-info": "1/2000 - 1/10000", "WB-species-notes": "<p></p>" } } }

出荷温度及び保存条件

製品の状態
Liquid
精製方法
Affinity purification Immunogen
バッファー組成
pH: 6.8 - 7.4 Preservative: 0.09% Sodium azide Constituents: Tris buffered saline, 0.1% BSA
出荷温度
Blue Ice
短期保存期間
1-2 weeks
短期保存温度
+4°C
長期保存温度
-20°C
分注に関する情報
Upon delivery aliquot
保管に関する情報
Avoid freeze / thaw cycle

製品プロトコール

For this product, it's our understanding that no specific protocols are required. You can visit:

ターゲットの情報

Promotes orthogonal branching of actin filaments and links actin filaments to membrane glycoproteins. Anchors various transmembrane proteins to the actin cytoskeleton and serves as a scaffold for a wide range of cytoplasmic signaling proteins. Interaction with FLNB may allow neuroblast migration from the ventricular zone into the cortical plate. Tethers cell surface-localized furin, modulates its rate of internalization and directs its intracellular trafficking (By similarity). Involved in ciliogenesis. Plays a role in cell-cell contacts and adherens junctions during the development of blood vessels, heart and brain organs. Plays a role in platelets morphology through interaction with SYK that regulates ITAM- and ITAM-like-containing receptor signaling, resulting in by platelet cytoskeleton organization maintenance (By similarity). During the axon guidance process, required for growth cone collapse induced by SEMA3A-mediated stimulation of neurons (PubMed : 25358863).
See full target information FLNA

Abcam product promise

当社は、高品質な試薬を通じてお客様の研究を力強くサポートすることをお約束いたします。ご使用いただく各段階で、常にお客様をサポートできる体制を整えております。万が一、製品が期待通りに機能しない場合は、「Abcam Product Promise」による当社保証制度に基づき、安心してご利用いただけます。
保証に関する詳細については利用規約をご確認ください。

関連製品

Select an associated product type
Alternative Product
Primary Antibodies

AB246749

Alexa Fluor® 488 Anti-Filamin A antibody [EP2405Y]

primary-antibodies

alexa-fluor-488-filamin-a-antibody-ep2405y-ab246749

0

(0 reviews)

Alternative Product
Primary Antibodies

AB76289

Anti-Filamin A antibody [EP2405Y]

primary-antibodies

filamin-a-antibody-ep2405y-ab76289

4

(6 reviews)

Alternative Product
Primary Antibodies

AB109269

Anti-Filamin A (phospho S1083) antibody [EPR2308]

primary-antibodies

filamin-a-phospho-s1083-antibody-epr2308-ab109269

0

(0 reviews)

Alternative Product
Primary Antibodies

AB247814

Anti-Filamin A (phospho S1083) antibody [EPR2308] - BSA and Azide free

primary-antibodies

filamin-a-phospho-s1083-antibody-epr2308-bsa-and-azide-free-ab247814

0

(0 reviews)

Alternative Product
Primary Antibodies

AB246750

Alexa Fluor® 647 Anti-Filamin A antibody [EP2405Y]

primary-antibodies

alexa-fluor-647-filamin-a-antibody-ep2405y-ab246750

0

(0 reviews)

Alternative Product
Primary Antibodies

AB239881

Anti-Filamin A antibody [EP2405Y] - BSA and Azide free

primary-antibodies

filamin-a-antibody-ep2405y-bsa-and-azide-free-ab239881

0

(0 reviews)

Please note: All products are 'FOR RESEARCH USE ONLY. NOT FOR USE IN DIAGNOSTIC OR THERAPEUTIC PROCEDURES'.

For licensing inquiries, please contact partnerships@abcam.com