JavaScript is disabled in your browser. Please enable JavaScript to view this website.
AB236431

Anti-Filaggrin 抗体 [rFLG/1561] - BSA and Azide free

Anti-Filaggrin antibody [rFLG/1561] - BSA and Azide free

Be the first to review this product! Submit a review

|

(1 Publication)

Mouse Recombinant Monoclonal Filaggrin antibody. Carrier free. Suitable for IHC-P and reacts with Human samples. Cited in 1 publication. Immunogen corresponding to Recombinant Fragment Protein within Human FLG aa 150-300.

別名を表示する

Filaggrin, FLG

1 Images
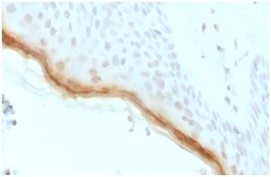
Immunohistochemistry (Formalin/PFA-fixed paraffin-embedded sections) - Anti-Filaggrin antibody [rFLG/1561] - BSA and Azide free (AB236431)
  • IHC-P

Supplier Data

Immunohistochemistry (Formalin/PFA-fixed paraffin-embedded sections) - Anti-Filaggrin antibody [rFLG/1561] - BSA and Azide free (AB236431)

Formalin-fixed, paraffin-embedded human skin tissue stained for Filaggrin using ab234414 at 1 μg/ml in immunohistochemical analysis.

This data was developed using the same antibody clone in a different buffer formulation containing PBS, BSA and sodium azide (ab234414).

関連する標識済み抗体及び組成の異なる製品 (1)

Key facts

宿主種

Mouse

クローン性

Monoclonal

クローン番号

rFLG/1561

アイソタイプ

IgG1

キャリアフリー

Yes

交差種

Human

アプリケーション

IHC-P

applications

免疫原

Recombinant Fragment Protein within Human FLG aa 150-300. The exact immunogen used to generate this antibody is proprietary information.

P20930

Reactivity data

{ "title": "Reactivity Data", "filters": { "stats": ["", "Species", "Dilution Info", "Notes"], "tabs": { "all-applications": {"fullname" : "All Applications", "shortname": "All Applications"}, "IHCP" : {"fullname" : "Immunohistochemistry (Formalin/PFA-fixed paraffin-embedded sections)", "shortname":"IHC-P"} }, "product-promise": { "all": "all", "testedAndGuaranteed": "tested", "guaranteed": "expected", "predicted": "predicted", "notRecommended": "not-recommended" } }, "values": { "Human": { "IHCP-species-checked": "testedAndGuaranteed", "IHCP-species-dilution-info": "0.5-1 µg/mL", "IHCP-species-notes": "<p>Staining of formalin-fixed tissues is enhanced by boiling tissue sections in 10 mM citrate buffer, pH 6.0, for 10-20 minutes followed by cooling at RT for 20 minutes</p><p>Primary incubation for 30 minutes at room temperature.</p>" } } }

出荷温度及び保存条件

製品の状態
Liquid
精製方法
Affinity purification Protein A/G
精製に関する特記事項
Purified from bioreactor concentrate by Protein A/G.
バッファー組成
pH: 7.2 - 7.4 Constituents: PBS
出荷温度
Blue Ice
短期保存期間
1-2 weeks
短期保存温度
+4°C
長期保存温度
-20°C
分注に関する情報
Upon delivery aliquot
保管に関する情報
Avoid freeze / thaw cycle

製品プロトコール

For this product, it's our understanding that no specific protocols are required. You can visit:

ターゲットの情報

Aggregates keratin intermediate filaments and promotes disulfide-bond formation among the intermediate filaments during terminal differentiation of mammalian epidermis.
See full target information FLG

文献 (1)

Recent publications for all applications. Explore the full list and refine your search

Communications biology 8:489 PubMed40133702

2025

PTOV1 interacts with ZNF449 to promote colorectal cancer development.

Applications

Unspecified application

Species

Unspecified reactive species

Zhiyong Wang,Xinwei Qiao,Kaming Xue,Qianzhi Chen,Anshu Li
View all publications

Abcam product promise

当社は、高品質な試薬を通じてお客様の研究を力強くサポートすることをお約束いたします。ご使用いただく各段階で、常にお客様をサポートできる体制を整えております。万が一、製品が期待通りに機能しない場合は、「Abcam Product Promise」による当社保証制度に基づき、安心してご利用いただけます。
保証に関する詳細については利用規約をご確認ください。

Please note: All products are 'FOR RESEARCH USE ONLY. NOT FOR USE IN DIAGNOSTIC OR THERAPEUTIC PROCEDURES'.

For licensing inquiries, please contact partnerships@abcam.com