JavaScript is disabled in your browser. Please enable JavaScript to view this website.
AB268020

Anti-Fibronectin 抗体 [EPR23110-46]

Anti-Fibronectin antibody [EPR23110-46]

  • KO Validated
  • RabMAb
  • Recombinant
  • Lab Essentials
  • 20ul selling size
  • 詳細を見る

4

(5 Reviews)

|

(109 Publications)

Anti-Fibronectin antibody [EPR23110-46] (ab268020) is a rabbit monoclonal antibody detecting Fibronectin in Western Blot, IHC-P, IHC-Fr, ICC/IF. Suitable for Human, Mouse, Rat.

- KO validated for confirmed specificity
- Biophysical QC for unrivalled batch-batch consistency
- Over 40 publications

別名を表示する

FN, FN1, Fibronectin, Cold-insoluble globulin, CIG

13 Images
Immunohistochemistry (Formalin/PFA-fixed paraffin-embedded sections) - Anti-Fibronectin antibody [EPR23110-46] (AB268020)
  • IHC-P

Unknown

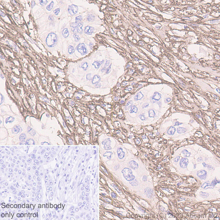
Immunohistochemistry (Formalin/PFA-fixed paraffin-embedded sections) - Anti-Fibronectin antibody [EPR23110-46] (AB268020)

Immunohistochemical analysis of paraffin-embedded human esophageal squamous cell carcinoma tissue labeling Fibronectin with ab268020 at 1/2000 dilution (0.29 μg/ml) followed by a ready to use Goat Anti-Rabbit IgG H&L (HRP). Positive staining in the stroma of human esophageal squamous cell carcinoma (PMID : 30314454). Counterstained with hematoxylin.

Secondary antibody only control : Secondary antibody is a ready to use Goat Anti-Rabbit IgG H&L (HRP).

Heat mediated antigen retrieval using ab93684 (Tris/EDTA buffer, pH 9.0).

Immunocytochemistry/ Immunofluorescence - Anti-Fibronectin antibody [EPR23110-46] (AB268020)
  • ICC/IF

Unknown

Immunocytochemistry/ Immunofluorescence - Anti-Fibronectin antibody [EPR23110-46] (AB268020)

Immunofluorescent analysis of 4% Paraformaldehyde-fixed, 0.1% TritonX-100 permeabilized HepG2 (human hepatocellular carcinoma epithelial cell) cells labeling Fibronectin with ab268020 at 1/50 dilution, followed by ab150077 AlexaFluor®488 Goat anti-Rabbit secondary antibody at 1/1000 dilution (Green). Confocal image showing cytoplasmic staining in HepG2 cells is observed. ab195889 Anti-alpha Tubulin antibody [DM1A] - Microtubule Marker (Alexa Fluor® 594) was used to counterstain tubulin at 1/200 dilution (Red). The nuclear counterstain was DAPI (Blue).

Secondary antibody only control : Secondary antibody is ab150077 AlexaFluor®488 Goat anti-Rabbit secondary at 1/1000 dilution.

Immunohistochemistry (Formalin/PFA-fixed paraffin-embedded sections) - Anti-Fibronectin antibody [EPR23110-46] (AB268020)
  • IHC-P

Unknown

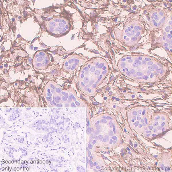
Immunohistochemistry (Formalin/PFA-fixed paraffin-embedded sections) - Anti-Fibronectin antibody [EPR23110-46] (AB268020)

Immunohistochemical analysis of paraffin-embedded human mammary gland tissue labeling Fibronectin with ab268020 at 1/2000 dilution (0.29 μg/ml) followed by a ready to use Goat Anti-Rabbit IgG H&L (HRP). Positive staining in the stroma of human mammary gland (PMID : 650101). Counterstained with hematoxylin.

Secondary antibody only control : Secondary antibody is a ready to use Goat Anti-Rabbit IgG H&L (HRP).

Heat mediated antigen retrieval using ab93684 (Tris/EDTA buffer, pH 9.0).

Immunohistochemistry (Formalin/PFA-fixed paraffin-embedded sections) - Anti-Fibronectin antibody [EPR23110-46] (AB268020)
  • IHC-P

Lab

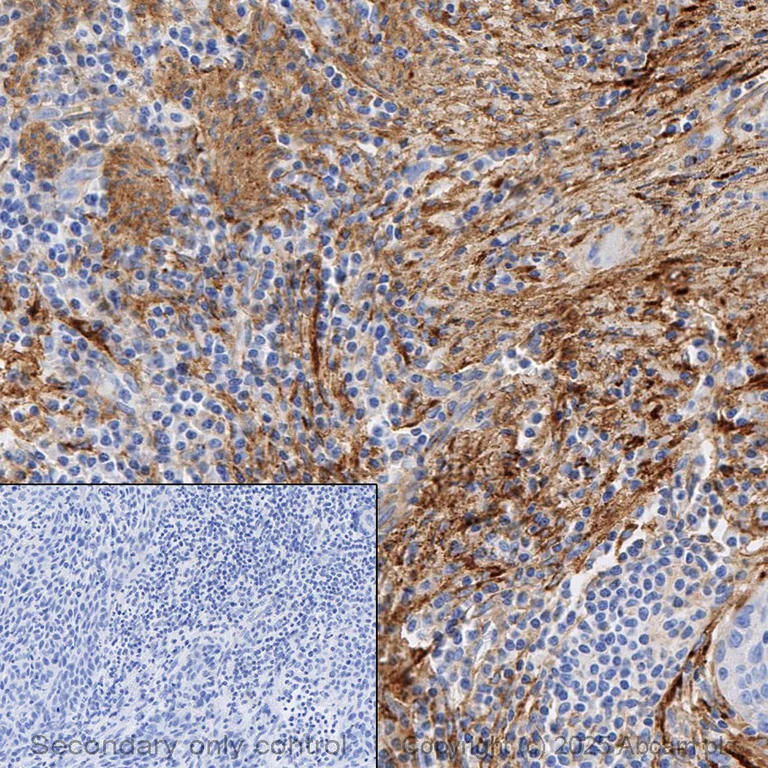
Immunohistochemistry (Formalin/PFA-fixed paraffin-embedded sections) - Anti-Fibronectin antibody [EPR23110-46] (AB268020)

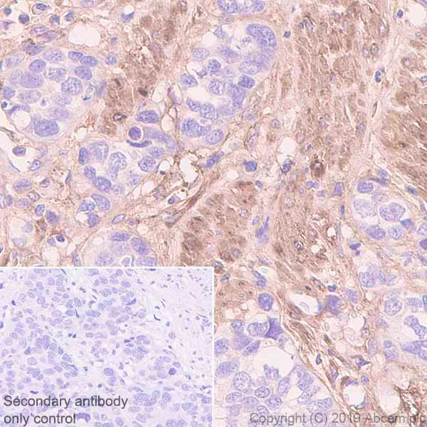
Immunohistochemical analysis of formalin fixed paraffin embedded human esophageal squamus cell carcinoma labelling fibronectin with ab268020 at a concentration of 0.05µg/ml. The immunostaining was performed on a Ventana DISCOVERY ULTRA (Roche Tissue Diagnostics) instrument with a OptiView DAB IHC Detection Kit. Heat mediated antigen retrieval was performed with DISCOVERY cell conditioning solution (CC1) 100°C, pH8.5 for 32mins.

ab268020 anti-fibronectin antibody [EPR23110-46] was incubated for 16mins at 37°C. Sections were counterstained with Hematoxylin II. Image inset shows absence of staining in secondary antibody only control.

Customers are encouraged to optimise antigen retrieval conditions, antibody concentration, incubation times and temperature for best results in their own IHC assay workflow (automated and manual).

Immunohistochemistry (Formalin/PFA-fixed paraffin-embedded sections) - Anti-Fibronectin antibody [EPR23110-46] (AB268020)
  • IHC-P

Supplier Data

Immunohistochemistry (Formalin/PFA-fixed paraffin-embedded sections) - Anti-Fibronectin antibody [EPR23110-46] (AB268020)

Immunohistochemical analysis of paraffin-embedded Human pancreatic carcinoma tissue labeling Fibronectin with ab268020 at 1/4000 dilution (0.146 µg/ml) followed by a ready to use Goat Anti-Rabbit IgG H&L (HRP). The section was incubated with ab268020 at 4°C overnight. Positive staining in the human pancreatic carcinoma counterstained with hematoxylin. Secondary antibody only control : Secondary antibody is a ready to use Goat Anti-Rabbit IgG H&L (HRP)(ab214880) Heat mediated antigen retrieval using ab93684 (Tris/EDTA buffer, pH 9.0).

Immunocytochemistry/ Immunofluorescence - Anti-Fibronectin antibody [EPR23110-46] (AB268020)
  • ICC/IF

Unknown

Immunocytochemistry/ Immunofluorescence - Anti-Fibronectin antibody [EPR23110-46] (AB268020)

Immunofluorescent analysis of 4% Paraformaldehyde-fixed, 0.1% TritonX-100 permeabilized NIH/3T3 (mouse embryonic fibroblast) cells labeling Fibronectin with ab268020 at 1/50 dilution, followed by ab150077 AlexaFluor®488 Goat anti-Rabbit secondary antibody at 1/1000 dilution (Green). Confocal image showing cytoplasmic staining in NIH/3T3 cells is observed. ab195889 Anti-alpha Tubulin antibody [DM1A] - Microtubule Marker (Alexa Fluor® 594) was used to counterstain tubulin at 1/200 dilution (Red). The nuclear counterstain was DAPI (Blue).

Secondary antibody only control : Secondary antibody is ab150077 AlexaFluor®488 Goat anti-Rabbit secondary at 1/1000 dilution.

Immunohistochemistry (Frozen sections) - Anti-Fibronectin antibody [EPR23110-46] (AB268020)
  • IHC-Fr

Unknown

Immunohistochemistry (Frozen sections) - Anti-Fibronectin antibody [EPR23110-46] (AB268020)

Immunohistochemical analysis of frozen section of 4% PFA-fixed, 0.2% Triton X-100 permeabilized rat colon tissue labeling Fibronectin with ab268020 at 1/100 dilution followed by ab150077 AlexaFluor®488 Goat anti-Rabbit secondary at 1/1000 dilution (Green). Positive staining mainly on smooth muscle of rat colon (PMID : 17881565) is observed. The nuclear counterstain is DAPI (Blue).

Secondary antibody only control : Secondary antibody is ab150077 AlexaFluor®488 Goat anti-Rabbit secondary at 1/1000 dilution

Heat mediated antigen retrieval using sodium citrate buffer (10mM citrate pH 6.0 + 0.05% Tween-20).

Immunohistochemistry (Formalin/PFA-fixed paraffin-embedded sections) - Anti-Fibronectin antibody [EPR23110-46] (AB268020)
  • IHC-P

Unknown

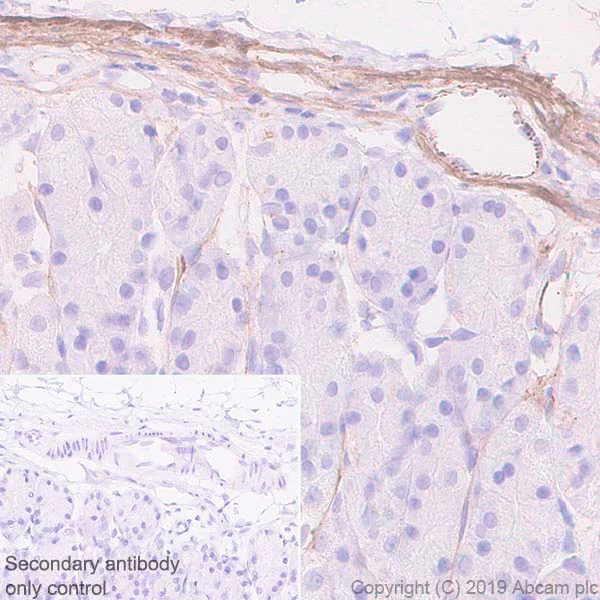
Immunohistochemistry (Formalin/PFA-fixed paraffin-embedded sections) - Anti-Fibronectin antibody [EPR23110-46] (AB268020)

Immunohistochemical analysis of paraffin-embedded mouse stomach tissue labeling Fibronectin with ab268020 at 1/2000 dilution (0.29 μg/ml) followed by a ready to use Goat Anti-Rabbit IgG H&L (HRP). Positive staining in the smooth muscle of mouse stomach (PMID : 650101) Counterstained with hematoxylin.

Secondary antibody only control : Secondary antibody is a ready to use Goat Anti-Rabbit IgG H&L (HRP).

Heat mediated antigen retrieval using ab93684 (Tris/EDTA buffer, pH 9.0).

Immunohistochemistry (Formalin/PFA-fixed paraffin-embedded sections) - Anti-Fibronectin antibody [EPR23110-46] (AB268020)
  • IHC-P

Unknown

Immunohistochemistry (Formalin/PFA-fixed paraffin-embedded sections) - Anti-Fibronectin antibody [EPR23110-46] (AB268020)

Immunohistochemical analysis of paraffin-embedded rat stomach tissue labeling Fibronectin with ab268020 at 1/2000 dilution (0.29 μg/ml) followed by a ready to use Goat Anti-Rabbit IgG H&L (HRP). Positive staining in the smooth muscle of rat stomach (PMID : 650101) Counterstained with hematoxylin.

Secondary antibody only control : Secondary antibody is a ready to use Goat Anti-Rabbit IgG H&L (HRP).

Heat mediated antigen retrieval using ab93684 (Tris/EDTA buffer, pH 9.0).

Immunohistochemistry (Frozen sections) - Anti-Fibronectin antibody [EPR23110-46] (AB268020)
  • IHC-Fr

Unknown

Immunohistochemistry (Frozen sections) - Anti-Fibronectin antibody [EPR23110-46] (AB268020)

Immunohistochemical analysis of frozen section of 4% PFA-fixed, 0.2% Triton X-100 permeabilized mouse colon tissue labeling Fibronectin with ab268020 at 1/100 dilution followed by ab150077 AlexaFluor®488 Goat anti-Rabbit secondary at 1/1000 dilution (Green). Positive staining mainly on smooth muscle of mouse colon (PMID : 17881565) is observed. The nuclear counterstain is DAPI (Blue).

Secondary antibody only control : Secondary antibody is ab150077 AlexaFluor®488 Goat anti-Rabbit secondary at 1/1000 dilution

Heat mediated antigen retrieval using sodium citrate buffer (10mM citrate pH 6.0 + 0.05% Tween-20).

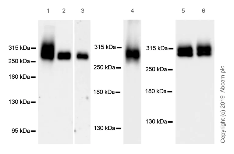
Western blot - Anti-Fibronectin antibody [EPR23110-46] (AB268020)
  • WB

Unknown

Western blot - Anti-Fibronectin antibody [EPR23110-46] (AB268020)

Blocking and dilution buffer : 5% NFDM/TBST.

Exposure times : Lanes 1-2, 5-6 : 3 seconds; Lane 3 : 125 seconds; Lane 4 : 33 seconds.

The expression molecular weight observed is consistent with what has been described in the literature (PMID : 28367057).

All lanes:

Western blot - Anti-Fibronectin antibody [EPR23110-46] (ab268020) at 1/1000 dilution

Lane 1:

Human serum at 20 µg

Lane 2:

Human plasma at 20 µg

Lane 3:

Human kidney tissue lysate at 20 µg

Lane 4:

Human stomach tissue lysate at 20 µg

Lane 5:

Mouse plasma at 20 µg

Lane 6:

Rat plasma at 20 µg

Secondary

Lanes 1 - 4:

Western blot - VeriBlot for IP Detection Reagent (HRP) (<a href='/products/reagents/veriblot-for-ip-detection-reagent-hrp-ab131366'>ab131366</a>) at 1/1000 dilution

Lanes 5 - 6:

Western blot - Goat Anti-Rabbit IgG H&L (HRP) (<a href='/products/secondary-antibodies/goat-rabbit-igg-h-l-hrp-ab97051'>ab97051</a>) at 1/100000 dilution

Predicted band size: 262 kDa

Observed band size: 285 kDa

false

Western blot - Anti-Fibronectin antibody [EPR23110-46] (AB268020)
  • WB

Lab

Western blot - Anti-Fibronectin antibody [EPR23110-46] (AB268020)

Western blot : Rabbit Monoclonal[EPR23110-46] to Fibronectin ab268020 staining at 1/1000 dilution, shown in green; Mouse anti-CANX (ab238078) loading control staining at 1/20,000 dilution, shown in magenta. A band was observed at 238-268 kDa in Wild-type MCF7 cell lysates with no signal observed at this size in FN1 knockout MCF7 cell line. To generate this image, samples were run on an SDS-PAGE gel then transferred onto a nitrocellulose membrane. Membranes were blocked in 3 % Milk in TBS-0.1 % Tween® 20 (TBS-T) before incubation with primary antibodies overnight at 4 °C. Blots were washed four times in TBS-T, incubated with secondary antibodies for 1 h at room temperature, washed again four times then imaged. Secondary antibodies used were Goat anti-Rabbit 800CW & Goat anti-Mouse 680RD at 1/20,000 dilution.

All lanes:

Western blot - Anti-Fibronectin antibody [EPR23110-46] (ab268020) at 1/1000 dilution

Lane 1:

Wild-type MCF7 at 20 µg

Lane 2:

Western blot - Human FN1 knockout MCF7 cell line (ab286324) at 20 µg

Lane 3:

HepG2 at 20 µg

Lane 4:

PC-3 at 20 µg

Secondary

All lanes:

Goat anti-Rabbit 800CW & Goat anti-Mouse 680RD at 1/20000 dilution

Predicted band size: 272 kDa

Observed band size: 238 kDa,268 kDa

false

Western blot - Anti-Fibronectin antibody [EPR23110-46] (AB268020)
  • WB

Lab

Western blot - Anti-Fibronectin antibody [EPR23110-46] (AB268020)

ab268020 was shown to specifically react with Fibronectin in wild-type HAP1 cells as signal was lost in Fibronectin knockout cells. Wild-type and Fibronectin knockout samples were subjected to SDS-PAGE. ab268020 and ab129002 (Rabbit anti-Vinculin loading control) were incubated 1 hour at room temperature at 1/1000 dilution and 1/5000 dilution respectively. Blots were developed with Goat Anti-Rabbit IgG, (H+L), Peroxidase conjugated (ab97051) secondary antibody at 1/100,000 dilution for 1 hour at room temperature before imaging. The blot was developed on a BIO-RAD® ChemiDoc™ MP instrument using the ECL technique.

Exposure time : Lanes 1-2 : 37 seconds; Lanes 3-4 : 3 minutes.

Blocking/diluting buffer and concentration : 5% NFDM/TBST.

All lanes:

Western blot - Anti-Fibronectin antibody [EPR23110-46] (ab268020) at 0.585 µg/mL

Lane 1:

Human stomach tissue lysate at 10 µg

Lane 2:

NIH/3T3 (mouse embryonic fibroblast), whole cell lysate at 10 µg

Lane 3:

Fibronectin-1 knockout HAP1 whole cell lysate at 40 µg

Lane 4:

Wild-type HAP1 whole cell lysate at 40 µg

Predicted band size: 262 kDa

Observed band size: 285 kDa

true

Key facts

宿主種

Rabbit

クローン性

Monoclonal

クローン番号

EPR23110-46

アイソタイプ

IgG

キャリアフリー

No

交差種

Mouse, Rat, Human

アプリケーション

ICC/IF, IHC-Fr, IHC-P, WB

applications

免疫原

The exact immunogen used to generate this antibody is proprietary information.

特異性

This product is not suitable for testing mouse and rat tissue samples in western blot.

Reactivity data

{ "title": "Reactivity Data", "filters": { "stats": ["", "Species", "Dilution Info", "Notes"], "tabs": { "all-applications": {"fullname" : "All Applications", "shortname": "All Applications"}, "IP" : {"fullname" : "Immunoprecipitation", "shortname":"IP"}, "FlowCyt" : {"fullname" : "Flow Cytometry", "shortname":"Flow Cyt"}, "WB" : {"fullname" : "Western blot", "shortname":"WB"}, "ICCIF" : {"fullname" : "Immunocytochemistry/ Immunofluorescence", "shortname":"ICC/IF"}, "IHCFr" : {"fullname" : "Immunohistochemistry (Frozen sections)", "shortname":"IHC-Fr"}, "IHCP" : {"fullname" : "Immunohistochemistry (Formalin/PFA-fixed paraffin-embedded sections)", "shortname":"IHC-P"} }, "product-promise": { "all": "all", "testedAndGuaranteed": "tested", "guaranteed": "expected", "predicted": "predicted", "notRecommended": "not-recommended" } }, "values": { "Human": { "IP-species-checked": "notRecommended", "IP-species-dilution-info": "", "IP-species-notes": "<p></p>", "FlowCyt-species-checked": "notRecommended", "FlowCyt-species-dilution-info": "", "FlowCyt-species-notes": "<p></p>", "WB-species-checked": "testedAndGuaranteed", "WB-species-dilution-info": "1/1000", "WB-species-notes": "<p>This product is not suitable for testing mouse and rat tissue samples in western blot.</p>", "ICCIF-species-checked": "testedAndGuaranteed", "ICCIF-species-dilution-info": "1/50", "ICCIF-species-notes": "<p></p>", "IHCFr-species-checked": "guaranteed", "IHCFr-species-dilution-info": "", "IHCFr-species-notes": "", "IHCP-species-checked": "testedAndGuaranteed", "IHCP-species-dilution-info": "1/2000", "IHCP-species-notes": "<p></p> Perform heat-mediated antigen retrieval with Tris/EDTA buffer pH 9.0 before commencing with IHC staining protocol." }, "Mouse": { "IP-species-checked": "notRecommended", "IP-species-dilution-info": "", "IP-species-notes": "<p></p>", "FlowCyt-species-checked": "notRecommended", "FlowCyt-species-dilution-info": "", "FlowCyt-species-notes": "<p></p>", "WB-species-checked": "testedAndGuaranteed", "WB-species-dilution-info": "1/1000", "WB-species-notes": "<p>This product is not suitable for testing mouse and rat tissue samples in western blot.</p>", "ICCIF-species-checked": "testedAndGuaranteed", "ICCIF-species-dilution-info": "1/50", "ICCIF-species-notes": "<p></p>", "IHCFr-species-checked": "testedAndGuaranteed", "IHCFr-species-dilution-info": "1/500", "IHCFr-species-notes": "<p>Heat mediated antigen retrieval using sodium citrate buffer (10mM citrate pH 6.0 + 0.05% Tween-20).</p>", "IHCP-species-checked": "testedAndGuaranteed", "IHCP-species-dilution-info": "1/2000", "IHCP-species-notes": "<p></p> Perform heat-mediated antigen retrieval with Tris/EDTA buffer pH 9.0 before commencing with IHC staining protocol." }, "Rat": { "IP-species-checked": "notRecommended", "IP-species-dilution-info": "", "IP-species-notes": "<p></p>", "FlowCyt-species-checked": "notRecommended", "FlowCyt-species-dilution-info": "", "FlowCyt-species-notes": "<p></p>", "WB-species-checked": "testedAndGuaranteed", "WB-species-dilution-info": "1/1000", "WB-species-notes": "<p>This product is not suitable for testing mouse and rat tissue samples in western blot.</p>", "ICCIF-species-checked": "guaranteed", "ICCIF-species-dilution-info": "", "ICCIF-species-notes": "", "IHCFr-species-checked": "testedAndGuaranteed", "IHCFr-species-dilution-info": "1/500", "IHCFr-species-notes": "<p>Heat mediated antigen retrieval using sodium citrate buffer (10mM citrate pH 6.0 + 0.05% Tween-20).</p>", "IHCP-species-checked": "testedAndGuaranteed", "IHCP-species-dilution-info": "1/2000", "IHCP-species-notes": "<p></p> Perform heat-mediated antigen retrieval with Tris/EDTA buffer pH 9.0 before commencing with IHC staining protocol." } } }

製品の詳細

Anti-Fibronectin antibody [EPR23110-46] (ab268020) was developed by Abcam using patented rabbit monoclonal antibody technology and is validated for use in ICC/IF, IHC-Fr, IHC-P, WB in human, mouse, rat samples.

Anti-Fibronectin antibody [EPR23110-46] (ab268020) has been cited over 46 times in peer reviewed journals and is trusted by the scientific community.

Abcams high quality manufacturing and validation processes ensure Anti-Fibronectin antibody [EPR23110-46] (ab268020) has high sensitivity and specificity alongside high lot-to-lot consistency and reproducibility.

The specificity of Anti-Fibronectin antibody [EPR23110-46] (ab268020) has been confirmed by testing in knockout samples.

Anti-Fibronectin antibody [EPR23110-46] (ab268020) specifically detects Fibronectin (UniProt ID: P02751; Molecular weight: 269kDa) and is sold in 100 uL and 1 mL selling sizes.

Conjugation-ready, carrier free format available for antibody clone EPR23110-46 - ab26822.

Antibody clone EPR23110-46 is also available pre-conjugated to a variety of labels for your convenience - Alexa Fluor® 594, Alexa Fluor® 568, Alexa Fluor® 555, Alexa Fluor® 647, Alexa Fluor® 488, Alexa Fluor® 75 (ab3964, ab3132, ab313223, ab31335, ab314679, ab321527).

Fibronectin is a crucial extracellular matrix protein that significantly influences tumor development and progression by enhancing tumor growth, metastasis, and angiogenesis. It interacts with integrin receptors to help tumor cells adapt and survive in harsh microenvironments.

Patented technology
Our RabMAb® technology is a patented hybridoma-based technology for making rabbit monoclonal antibodies. For details on our patents, please refer to RabMAb® patents.

What are the advantages of a recombinant monoclonal antibody?
This product is a recombinant monoclonal antibody, which offers several advantages including:

  • - High batch-to-batch consistency and reproducibility
  • - Improved sensitivity and specificity
  • - Long-term security of supply
  • - Animal-free batch production

For more information, read more on recombinant antibodies.

出荷温度及び保存条件

製品の状態
Liquid
精製方法
Affinity purification Protein A
バッファー組成
pH: 7.2 - 7.4 Preservative: 0.01% Sodium azide Constituents: PBS, 40% Glycerol (glycerin, glycerine), 0.05% BSA
出荷温度
Blue Ice
短期保存期間
1-2 weeks
短期保存温度
+4°C
長期保存温度
-20°C
分注に関する情報
Upon delivery aliquot
保管に関する情報
Avoid freeze / thaw cycle

製品プロトコール

For this product, it's our understanding that no specific protocols are required. You can visit:

ターゲットの情報

Fibronectins bind cell surfaces and various compounds including collagen, fibrin, heparin, DNA, and actin (PubMed : 3024962, PubMed : 3593230, PubMed : 3900070, PubMed : 7989369). Fibronectins are involved in cell adhesion, cell motility, opsonization, wound healing, and maintenance of cell shape (PubMed : 3024962, PubMed : 3593230, PubMed : 3900070, PubMed : 7989369). Involved in osteoblast compaction through the fibronectin fibrillogenesis cell-mediated matrix assembly process, essential for osteoblast mineralization (By similarity). Participates in the regulation of type I collagen deposition by osteoblasts (By similarity). Acts as a ligand for the LILRB4 receptor, inhibiting FCGR1A/CD64-mediated monocyte activation (PubMed : 34089617).. Anastellin. Binds fibronectin and induces fibril formation. This fibronectin polymer, named superfibronectin, exhibits enhanced adhesive properties. Both anastellin and superfibronectin inhibit tumor growth, angiogenesis and metastasis. Anastellin activates p38 MAPK and inhibits lysophospholipid signaling.. Secreted by contracting muscle, induces liver autophagy, a degradative pathway for nutrient mobilization and damage removal, and systemic insulin sensitization via hepatic ITGA5 : ITGB1 integrin receptor signaling.
See full target information FN1

文献 (109)

Recent publications for all applications. Explore the full list and refine your search

BMC nephrology 26:526 PubMed41013408

2025

INHBA knockdown inhibits renal fibrosis in mice following ischemia-reperfusion injury by suppressing activation of the TGF-β/Smad signaling pathway.

Applications

Unspecified application

Species

Unspecified reactive species

Yifei Wang,Qiao Tang,Qian Sun

Bioactive materials 54:291-310 PubMed40895236

2025

Three-dimensional cell sheet model improves prediction accuracy of osteogenic potential for biodegradable magnesium-based metals.

Applications

Unspecified application

Species

Unspecified reactive species

Liangwei Chen,Guanxi Wu,Siyu Liu,Ziyu Yan,Honglei Yue,Jianhua Zhu,Na Ge,Yifei Wang,Qingxiang Li,Guanqi Liu,Tingting Zhang,Haowen Zheng,Shaozhe Xin,Guangyunhao Sun,Chuanbin Guo,Jianmin Han

Exploration (Beijing, China) 5:e20240080 PubMed40873634

2025

Hyperbaric Oxygen Regulates Tumor pH to Boost Copper-Doped Hydroxyethyl Starch Conjugate Nanoparticles Against Cancer Stem Cells.

Applications

Unspecified application

Species

Unspecified reactive species

Qingyuan Deng,Ao Hua,Shiyou Li,Zhijie Zhang,Xiang Chen,Qiang Wang,Xing Wang,Zhiqin Chu,Xiangliang Yang,Zifu Li

Molecular medicine (Cambridge, Mass.) 31:281 PubMed40849639

2025

CAF-derived exosomes drive the FGF4/SHH feedback loop by encapsulating GREM1 in non-small cell lung cancer.

Applications

Unspecified application

Species

Unspecified reactive species

Xianqiao Wu,Wei Chen,Tianzheng Fang,Ziyuan Chen,Shuai Fang,Chengwei Zhou

Nature communications 16:7699 PubMed40825974

2025

Noncanonical function of Pannexin1 promotes cellular senescence and renal fibrosis post-acute kidney injury.

Applications

Unspecified application

Species

Unspecified reactive species

Liuwei Huang,Yanting Shen,Xiaoling Pan,Jiaqi Li,Caizhen Li,Lixin Ruan,Sitan He,Lanlan Huang,Kangyi Liu,Xin Zhao,Jian Geng,Jie Guo,Fan Fan Hou,Jun Wang

BMC nephrology 26:422 PubMed40731269

2025

Dioscin regulates oxidative stress and autophagy in uric acid-induced HK-2 cells through the P62-KEAP1-NRF2 signaling pathway.

Applications

Unspecified application

Species

Unspecified reactive species

Jiashu Feng,Weiliang Zhang,Ruiqi Liu,Ting Xiang,Xinlin Wu

PloS one 20:e0328272 PubMed40680000

2025

Vericiguat reduces atrial fibrillation recurrence by alleviating myocardial fibrosis via the TGF-β1/Smad2/3 pathway.

Applications

Unspecified application

Species

Unspecified reactive species

XiaoLin Sun,Yawen Sheng,Pei Xu,Qian Peng,Zhongbao Ruan

Science advances 11:eadv7377 PubMed40632865

2025

Src/FN1 pathway activation drives tumor cell cluster formation and metastasis in lung cancer: A promising therapeutic target.

Applications

Unspecified application

Species

Unspecified reactive species

Zujun Que,Zhichao Xi,Dan Qi,Rongchen Dai,Yang Li,Mengfan Liu,Bin Luo,Jiajun Liu,Pan Yu,Yun Yang,Erxi Wu,Hongxi Xu,Jianhui Tian

Frontiers in pharmacology 16:1532517 PubMed40495890

2025

Xanthohumol ameliorates diabetic kidney disease through suppression of renal fibrosis by regulating SNHG10/miR-378b.

Applications

Unspecified application

Species

Unspecified reactive species

Jian Hao,Hui Li,Weimin Yu

Journal of ovarian research 18:126 PubMed40495228

2025

MACS and acellular autologous non-ovarian tissue scaffolds: a promising strategy for safe and efficient follicle transplantation in hematologic cancer.

Applications

Unspecified application

Species

Unspecified reactive species

Lijun Yin,Yating Zhao,Peiwen Zhang,Tongyun Qi,Peilin Han,Luya Cai,Jun Pan,Yongyi Yang,Jie Shi,Shi Feng,Yinying Zou,Kangxin He,Guoliang Xie,Weihua He,Xinhui Zhou,Jianhua Qian
View all publications

Abcam product promise

当社は、高品質な試薬を通じてお客様の研究を力強くサポートすることをお約束いたします。ご使用いただく各段階で、常にお客様をサポートできる体制を整えております。万が一、製品が期待通りに機能しない場合は、「Abcam Product Promise」による当社保証制度に基づき、安心してご利用いただけます。
保証に関する詳細については利用規約をご確認ください。

Please note: All products are 'FOR RESEARCH USE ONLY. NOT FOR USE IN DIAGNOSTIC OR THERAPEUTIC PROCEDURES'.

For licensing inquiries, please contact partnerships@abcam.com