JavaScript is disabled in your browser. Please enable JavaScript to view this website.
AB23750

Anti-Fibronectin 抗体 - BSA and Azide free

Anti-Fibronectin antibody - BSA and Azide free

4

(20 Reviews)

|

(249 Publications)

Anti-Fibronectin antibody - BSA and Azide free (ab23750) is a rabbit polyclonal antibody provided in a PBS only buffer for easy conjugation detecting Fibronectin in IHC-P. Suitable for Human.

- BSA, sodium azide, and glycerol-free for easy conjugation
- Over 200 publications
- Trusted since 2005

別名を表示する

Fibronectin, FN, Fn1

2 Images
Immunohistochemistry (Formalin/PFA-fixed paraffin-embedded sections) - Anti-Fibronectin antibody - BSA and Azide free (AB23750)
  • IHC-P

Unknown

Immunohistochemistry (Formalin/PFA-fixed paraffin-embedded sections) - Anti-Fibronectin antibody - BSA and Azide free (AB23750)

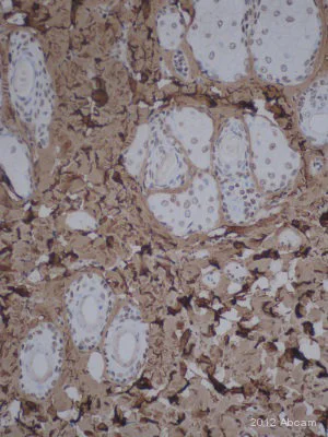
ab23750 (2ug/ml) staining Fibronectin in human aorta using an automated system (DAKO Autostainer Plus). Using this protocol there is strong staining Fibronectin in the cytoplasm and extracellularly in the connective tissue.
Sections were rehydrated and antigen retrieved with the Dako 3 in 1 AR buffer EDTA pH 9.0 in a DAKO PT link. Slides were peroxidase blocked in 3% H2O2 in methanol for 10 mins. They were then blocked with Dako Protein block for 10 minutes (containing casein 0.25% in PBS) then incubated with primary antibody for 20 min and detected with Dako envision flex amplification kit for 30 minutes. Colorimetric detection was completed with Diaminobenzidine for 5 minutes. Slides were counterstained with Haematoxylin and coverslipped under DePeX. Please note that, for manual staining, optimization of primary antibody concentration and incubation time is recommended. Signal amplification may be required.

Immunohistochemistry (Formalin/PFA-fixed paraffin-embedded sections) - Anti-Fibronectin antibody - BSA and Azide free (AB23750)
  • IHC-P

AbReview29290****

Immunohistochemistry (Formalin/PFA-fixed paraffin-embedded sections) - Anti-Fibronectin antibody - BSA and Azide free (AB23750)

ab23750 staining Fibronectin in Rat skin tissue sections by Immunohistochemistry (IHC-P - paraformaldehyde-fixed, paraffin-embedded sections). Tissue was fixed with formaldehyde and blocked with Immunoblock® (5 µg/ml) for 30 minutes at 25°C; antigen retrieval was by heat mediation in a citrate buffer. Samples were incubated with primary antibody (1/500 in diluent) for 1 hour 30 minutes at 25°C. An undiluted Goat anti-rabbit HRP/DAB polydetector polyclonal was used as the secondary antibody.

This image is courtesy of an anonymous abreview.

Key facts

宿主種

Rabbit

クローン性

Polyclonal

アイソタイプ

IgG

キャリアフリー

Yes

交差種

Human

アプリケーション

IHC-P

applications

Reactivity data

{ "title": "Reactivity Data", "filters": { "stats": ["", "Species", "Dilution Info", "Notes"], "tabs": { "all-applications": {"fullname" : "All Applications", "shortname": "All Applications"}, "IHCP" : {"fullname" : "Immunohistochemistry (Formalin/PFA-fixed paraffin-embedded sections)", "shortname":"IHC-P"} }, "product-promise": { "all": "all", "testedAndGuaranteed": "tested", "guaranteed": "expected", "predicted": "predicted", "notRecommended": "not-recommended" } }, "values": { "Human": { "IHCP-species-checked": "testedAndGuaranteed", "IHCP-species-dilution-info": "1/1000", "IHCP-species-notes": "<p></p> Perform heat-mediated antigen retrieval before commencing with IHC staining protocol." }, "Mouse": { "IHCP-species-checked": "predicted", "IHCP-species-dilution-info": "", "IHCP-species-notes": "" }, "Rat": { "IHCP-species-checked": "predicted", "IHCP-species-dilution-info": "", "IHCP-species-notes": "" } } }

製品の詳細

What is this antibody validated in?
Anti-Fibronectin antibody - BSA and Azide free (ab23750) is a rabbit polyclonal antibody and is validated for use in Immunohistochemistry (IHC-P) in Human samples.

Trusted by the scientific community
Anti-Fibronectin - BSA and Azide free (ab23750) was first used in a scientific publication in 2005 and has been cited over 200 times in peer-reviewed journals.

Reviewed by scientists
Anti-Fibronectin - BSA and Azide free (ab23750) has over 15 independent reviews from customers.

出荷温度及び保存条件

製品の状態
Liquid
精製方法
Affinity purification
バッファー組成
Constituents: PBS
出荷温度
Blue Ice
短期保存温度
+4°C
長期保存温度
-20°C
分注に関する情報
Upon delivery aliquot
保管に関する情報
Avoid freeze / thaw cycle

製品プロトコール

For this product, it's our understanding that no specific protocols are required. You can visit:

ターゲットの情報

Fibronectins bind cell surfaces and various compounds including collagen, fibrin, heparin, DNA, and actin (By similarity). Fibronectins are involved in cell adhesion, cell motility, opsonization, wound healing, and maintenance of cell shape healing, and maintenance of cell shape (By similarity). Involved in osteoblast compaction through the fibronectin fibrillogenesis cell-mediated matrix assembly process, essential for osteoblast mineralization (PubMed : 21768292). Participates in the regulation of type I collagen deposition by osteoblasts (PubMed : 21768292). Acts as a ligand for the Lilrb4a receptor, inhibiting Fcgr1/CD64-mediated monocyte activation (PubMed : 34089617).. Secreted by contracting muscle, induces liver autophagy, a degradative pathway for nutrient mobilization and damage removal, and systemic insulin sensitization via hepatic ITGA5 : ITGB1 integrin receptor signaling.. Anastellin. Binds fibronectin and induces fibril formation. This fibronectin polymer, named superfibronectin, exhibits enhanced adhesive properties. Both anastellin and superfibronectin inhibit tumor growth, angiogenesis and metastasis. Anastellin activates p38 MAPK and inhibits lysophospholipid signaling.
See full target information Fn1

文献 (249)

Recent publications for all applications. Explore the full list and refine your search

Nature cardiovascular research 4:1221-1240 PubMed40954306

2025

Single-cell compendium of muscle microenvironment in peripheral artery disease reveals altered endothelial diversity and LYVE1 macrophage activation.

Applications

Unspecified application

Species

Unspecified reactive species

Guillermo Turiel,Thibaut Desgeorges,Evi Masschelein,Zheng Fan,David Lussi,Christophe M Capelle,Giulia Bernardini,Raphaela Ardicoglu,Katharina Schönberger,Manuela Birrer,Sandro F Fucentese,Jing Zhang,Daniela Latorre,Stephan Engelberger,Katrien De Bock

Renal failure 47:2549780 PubMed40858564

2025

Jiawei fangji huangqi decoction inhibits renal fibrosis and inflammation in UUO-induced fibrotic kidneys.

Applications

Unspecified application

Species

Unspecified reactive species

Xiuqin Xu,Hui Wen,Sijun Chen,Di Huang,Ming Wu,Dongping Chen

PloS one 20:e0328898 PubMed40768435

2025

Development of a tissue-specific bioscaffold for intestinal stem cell culture.

Applications

Unspecified application

Species

Unspecified reactive species

Sachin Kakar,Mathieu F Derouet,Liyue Zhang,Connor J Gillis,Frederikke Larsen,Arghya Paul,Lauren E Flynn,Samuel Asfaha

Cells 14: PubMed40710298

2025

Bioengineering a Human Dermal Equivalent Using Induced Pluripotent Stem Cell-Derived Fibroblasts to Support the Formation of a Full-Thickness Skin Construct.

Applications

Unspecified application

Species

Unspecified reactive species

Lucy Smith,David Bunton,Michael Finch,Stefan Przyborski

Frontiers in bioengineering and biotechnology 13:1578467 PubMed40539096

2025

Generation of decellularized human brain tissue for investigating cell-matrix interactions: a proof-of-concept study.

Applications

Unspecified application

Species

Unspecified reactive species

Roemel Jeusep Bueno,Camila Fernández-Zapata,Maren Salla,Juliana Campo Garcia,Aylin Alacam,Oliver Klein,Chotima Böttcher,Helena Radbruch,Friedemann Paul,Sarah C Starossom,Rafaela V Silva,Carmen Infante-Duarte

Chemical biology & drug design 105:e70133 PubMed40490914

2025

Ferulic Acid Inhibits Partial Epithelial-Mesenchymal Transition in Renal Tubular Epithelial Cells and Mitigates Renal Interstitial Fibrosis by Regulating the HIF-1α/Twist Signaling Pathway.

Applications

Unspecified application

Species

Unspecified reactive species

Lin Xu,Dongsheng Yao,Tianying Lan,Yurou Chen,Dongping Chen,Minghai Shao,Yijing Zhou,Chaoyang Ye,Di Huang

The Journal of cell biology 224: PubMed40304687

2025

Extracellular vesicles adhere to cells primarily by interactions of integrins and GM1 with laminin.

Applications

Unspecified application

Species

Unspecified reactive species

Tatsuki Isogai,Koichiro M Hirosawa,Miki Kanno,Ayano Sho,Rinshi S Kasai,Naoko Komura,Hiromune Ando,Keiko Furukawa,Yuhsuke Ohmi,Koichi Furukawa,Yasunari Yokota,Kenichi G N Suzuki

Methods in molecular biology (Clifton, N.J.) 2922:153-172 PubMed40208534

2025

Engineering a Multilayered Skin Equivalent: The Importance of Endogenous Extracellular Matrix and Model Flexibility for Nuanced and Accurate Skin Studies.

Applications

Unspecified application

Species

Unspecified reactive species

Lucy Smith,Victoria Maltman,Paola De Los Santos Gomez,Kirsty Goncalves,Stefan Przyborski

Journal of cerebral blood flow and metabolism : official journal of the International Society of Cerebral Blood Flow and Metabolism 45:1593-1605 PubMed40119683

2025

More severe vascular remodeling in deep brain regions caused by hemodynamic differences is a potential mechanism of hypertensive cerebral small vessel disease.

Applications

Unspecified application

Species

Unspecified reactive species

Na Liu,Nan Li,Xiangyuan Cao,Wang Qin,Qi Huang,Yang Xue,Miaoyi Zhang,Yiheng Zhang,Siying Kang,Gong Chen,Jie Tang,Shengzhang Wang,Jianhui Fu

NPJ biological physics and mechanics 2:4 PubMed39917413

2025

Relaxation of mucosal fibronectin fibers in late gut inflammation following neutrophil infiltration in mice.

Applications

Unspecified application

Species

Unspecified reactive species

Ronja Rappold,Konstantinos Kalogeropoulos,Gianna La Regina,Ulrich Auf dem Keller,Emma Slack,Viola Vogel
View all publications

Abcam product promise

当社は、高品質な試薬を通じてお客様の研究を力強くサポートすることをお約束いたします。ご使用いただく各段階で、常にお客様をサポートできる体制を整えております。万が一、製品が期待通りに機能しない場合は、「Abcam Product Promise」による当社保証制度に基づき、安心してご利用いただけます。
保証に関する詳細については利用規約をご確認ください。

Please note: All products are 'FOR RESEARCH USE ONLY. NOT FOR USE IN DIAGNOSTIC OR THERAPEUTIC PROCEDURES'.

For licensing inquiries, please contact partnerships@abcam.com