JavaScript is disabled in your browser. Please enable JavaScript to view this website.
AB227703

Anti-Fibroblast activation protein, alpha 抗体 [SP325]

Anti-Fibroblast activation protein, alpha antibody [SP325]

1

(4 Reviews)

|

(17 Publications)

Anti-Fibroblast activation protein, alpha antibody [SP325] (ab227703) is a rabbit monoclonal antibody detecting Fibroblast activation protein, alpha in Western Blot, IHC-P. Suitable for Human.

- Biophysical QC for unrivalled batch-batch consistency

別名を表示する

Prolyl endopeptidase FAP, 170 kDa melanoma membrane-bound gelatinase, Dipeptidyl peptidase FAP, Fibroblast activation protein alpha, Gelatine degradation protease FAP, Integral membrane serine protease, Post-proline cleaving enzyme, Serine integral membrane protease, Surface-expressed protease, FAPalpha, SIMP, Seprase, FAP

10 Images
Immunohistochemistry (Formalin/PFA-fixed paraffin-embedded sections) - Anti-Fibroblast activation protein, alpha antibody [SP325] (AB227703)
  • IHC-P

Supplier Data

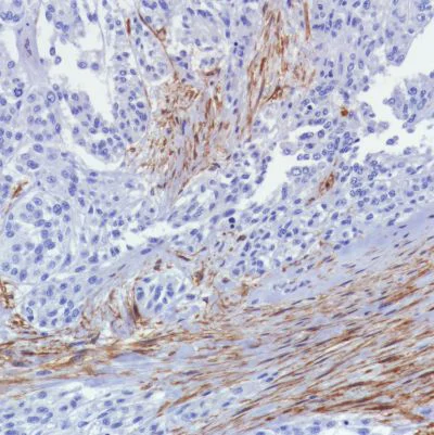
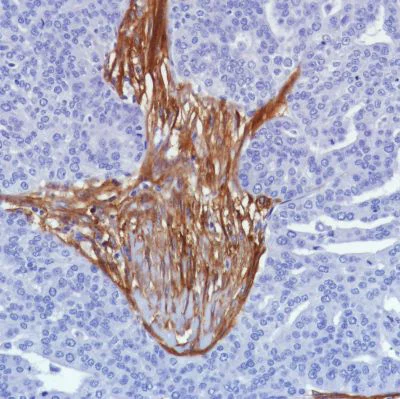
Immunohistochemistry (Formalin/PFA-fixed paraffin-embedded sections) - Anti-Fibroblast activation protein, alpha antibody [SP325] (AB227703)

Formalin-fixed paraffin-embedded human ovarian adenocarcinoma tissue stained for Fibroblast activation protein alpha using ab227703 at 1/100 dilution in immunohistochemical analysis.

Immunohistochemistry (Formalin/PFA-fixed paraffin-embedded sections) - Anti-Fibroblast activation protein, alpha antibody [SP325] (AB227703)
  • IHC-P

Supplier Data

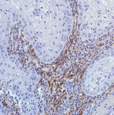
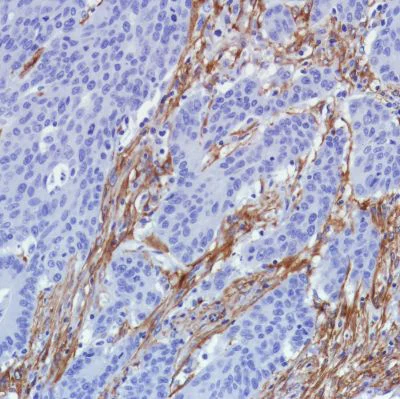
Immunohistochemistry (Formalin/PFA-fixed paraffin-embedded sections) - Anti-Fibroblast activation protein, alpha antibody [SP325] (AB227703)

Formalin-fixed paraffin-embedded human melanoma tissue stained for Fibroblast activation protein alpha using ab227703 at 1/100 dilution in immunohistochemical analysis.

Immunohistochemistry (Formalin/PFA-fixed paraffin-embedded sections) - Anti-Fibroblast activation protein, alpha antibody [SP325] (AB227703)
  • IHC-P

Supplier Data

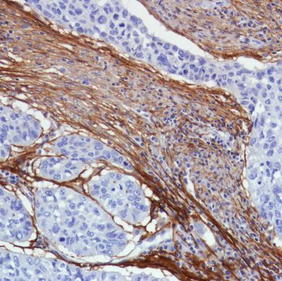
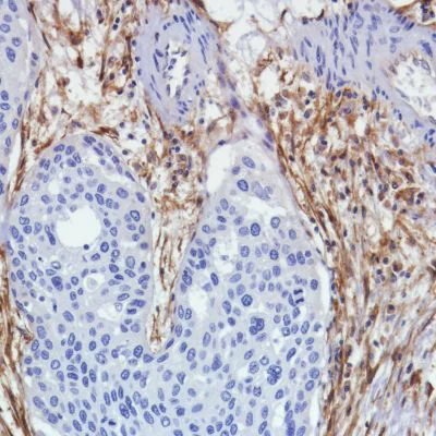
Immunohistochemistry (Formalin/PFA-fixed paraffin-embedded sections) - Anti-Fibroblast activation protein, alpha antibody [SP325] (AB227703)

Formalin-fixed paraffin-embedded human colon adenocarcinoma tissue stained for Fibroblast activation protein alpha using ab227703 at 1/100 dilution in immunohistochemical analysis.

Immunohistochemistry (Formalin/PFA-fixed paraffin-embedded sections) - Anti-Fibroblast activation protein, alpha antibody [SP325] (AB227703)
  • IHC-P

Unknown

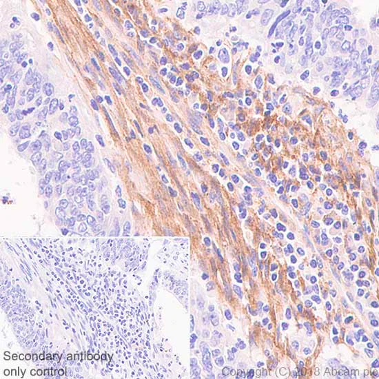
Immunohistochemistry (Formalin/PFA-fixed paraffin-embedded sections) - Anti-Fibroblast activation protein, alpha antibody [SP325] (AB227703)

Immunohistochemistry (Formalin/PFA-fixed paraffin-embedded sections) analysis of Human colon carcinoma tissue sections labeling Fibroblast activation protein, alpha with ab227703 at 1/100 dilution (1.76 μg/ml). Heat mediated antigen retrieval with Tris-EDTA buffer (pH 9.0, epitope retrieval solution 2) for 10 mins. Rabbit specific IHC polymer detection kit HRP/DAB (ab209101) was used as the secondary antibody. Hematoxylin was used as a counterstain. Positive staining on the stroma in the human colon carcinoma, performed on a Leica Biosystems BOND™ RX instrument.
The section was incubated with ab227703 for 10 mins at room temperature.

Immunohistochemistry (Formalin/PFA-fixed paraffin-embedded sections) - Anti-Fibroblast activation protein, alpha antibody [SP325] (AB227703)
  • IHC-P

Supplier Data

Immunohistochemistry (Formalin/PFA-fixed paraffin-embedded sections) - Anti-Fibroblast activation protein, alpha antibody [SP325] (AB227703)

Formalin-fixed paraffin-embedded human skin squamous cell carcinoma tissue stained for Fibroblast activation protein alpha using ab227703 at 1/100 dilution in immunohistochemical analysis.

Immunohistochemistry (Formalin/PFA-fixed paraffin-embedded sections) - Anti-Fibroblast activation protein, alpha antibody [SP325] (AB227703)
  • IHC-P

Supplier Data

Immunohistochemistry (Formalin/PFA-fixed paraffin-embedded sections) - Anti-Fibroblast activation protein, alpha antibody [SP325] (AB227703)

Formalin-fixed paraffin-embedded human pancreatic adenocarcinoma tissue stained for Fibroblast activation protein alpha using ab227703 at 1/100 dilution in immunohistochemical analysis.

Immunohistochemistry (Formalin/PFA-fixed paraffin-embedded sections) - Anti-Fibroblast activation protein, alpha antibody [SP325] (AB227703)
  • IHC-P

Supplier Data

Immunohistochemistry (Formalin/PFA-fixed paraffin-embedded sections) - Anti-Fibroblast activation protein, alpha antibody [SP325] (AB227703)

Formalin-fixed paraffin-embedded human lung squamous cell carcinoma tissue stained for Fibroblast activation protein alpha using ab227703 at 1/100 dilution in immunohistochemical analysis.

Immunohistochemistry (Formalin/PFA-fixed paraffin-embedded sections) - Anti-Fibroblast activation protein, alpha antibody [SP325] (AB227703)
  • IHC-P

Supplier Data

Immunohistochemistry (Formalin/PFA-fixed paraffin-embedded sections) - Anti-Fibroblast activation protein, alpha antibody [SP325] (AB227703)

Formalin-fixed paraffin-embedded human cervical squamous cell carcinoma tissue stained for Fibroblast activation protein alpha using ab227703 at 1/100 dilution in immunohistochemical analysis.

Western blot - Anti-Fibroblast activation protein, alpha antibody [SP325] (AB227703)
  • WB

Lab

Western blot - Anti-Fibroblast activation protein, alpha antibody [SP325] (AB227703)

Western blot : Rabbit Monoclonal[SP325] to Fibroblast activation protein, alpha ab227703 staining at 0.176 µg/mL, shown in green; Mouse anti GAPDH ab8245 loading control staining at 1/20000 dilution, shown in magenta. A band was observed at 90-100 kDa in Wild-type U-87 MG cell lysates with no signal observed at this size in FAP knockout U-87 MG cell line. To generate this image, samples were run on an SDS-PAGE gel then transferred onto a nitrocellulose membrane. Membranes were blocked in 3pc Milk in TBS-0.1 % Tween® 20 (TBS-T) before incubation with primary antibodies overnight at 4 °C. Blots were washed four times in TBS-T, incubated with secondary antibodies for 1 h at room temperature, washed again four times then imaged. Secondary antibodies used were Goat anti-Rabbit 800CW and Goat anti-Mouse 680RD at 1/20,000 dilution.

All lanes:

Western blot - Anti-Fibroblast activation protein, alpha antibody [SP325] (ab227703) at 0.176 µg/mL

Lane 1:

Wild-type U-87 MG at 20 µg

Lane 2:

Western blot - Human FAP knockout U-87 MG cell line (ab306819) at 20 µg

Lane 3:

WI-38 at 20 µg

Lane 4:

A549 at 20 µg

Secondary

All lanes:

Goat anti-Rabbit 800CW & Goat anti-Mouse 680RD at 1/20000 dilution

Predicted band size: 88 kDa

Observed band size: 90-100 kDa,36 kDa

false

Western blot - Anti-Fibroblast activation protein, alpha antibody [SP325] (AB227703)
  • WB

Lab

Western blot - Anti-Fibroblast activation protein, alpha antibody [SP325] (AB227703)

Blocking/Diluting buffer : 5% NFDM /TBST

Lane 1:

Western blot - Anti-Fibroblast activation protein, alpha antibody [SP325] (ab227703) at 0.176 µg/mL

Lane 2:

Western blot - Anti-Fibroblast activation protein, alpha antibody [SP325] (ab227703)

Lane 1:

HFF-1 (Human Skin fibroblast) cell lysates at 20 µg

Lane 2:

HFF-1 (Human Skin fibroblast) at 20 µg

Secondary

Lane 1:

Western blot - Goat Anti-Rabbit IgG H&L (HRP) (<a href='/products/secondary-antibodies/goat-rabbit-igg-h-l-hrp-ab97051'>ab97051</a>) at 0.05 µg/mL

Lane 2:

Western blot - Goat Anti-Rabbit IgG H&L (HRP) (<a href='/products/secondary-antibodies/goat-rabbit-igg-h-l-hrp-ab97051'>ab97051</a>) at 0.05 µg

Predicted band size: 88 kDa

Observed band size: 95 kDa

false

関連する標識済み抗体及び組成の異なる製品 (5)

  • Carrier free

    Anti-Fibroblast activation protein, alpha antibody [SP325] - BSA and Azide free

  • 665 Alexa Fluor® 647

    Alexa Fluor® 647 Anti-Fibroblast activation protein, alpha antibody [SP325]

  • 519 Alexa Fluor® 488

    Alexa Fluor® 488 Anti-Fibroblast activation protein, alpha antibody [SP325]

  • 565 Alexa Fluor® 555

    Alexa Fluor® 555 Anti-Fibroblast activation protein, alpha antibody [SP325]

  • 617 Alexa Fluor® 594

    Alexa Fluor® 594 Anti-Fibroblast activation protein, alpha antibody [SP325]

Key facts

宿主種

Rabbit

クローン性

Monoclonal

クローン番号

SP325

アイソタイプ

IgG

キャリアフリー

No

交差種

Human

アプリケーション

WB, IHC-P

applications

免疫原

The exact immunogen used to generate this antibody is proprietary information.

Reactivity data

{ "title": "Reactivity Data", "filters": { "stats": ["", "Species", "Dilution Info", "Notes"], "tabs": { "all-applications": {"fullname" : "All Applications", "shortname": "All Applications"}, "WB" : {"fullname" : "Western blot", "shortname":"WB"}, "IHCP" : {"fullname" : "Immunohistochemistry (Formalin/PFA-fixed paraffin-embedded sections)", "shortname":"IHC-P"}, "ICC" : {"fullname" : "Immunocytochemistry", "shortname":"ICC"}, "FlowCyt" : {"fullname" : "Flow Cytometry", "shortname":"Flow Cyt"} }, "product-promise": { "all": "all", "testedAndGuaranteed": "tested", "guaranteed": "expected", "predicted": "predicted", "notRecommended": "not-recommended" } }, "values": { "Human": { "WB-species-checked": "testedAndGuaranteed", "WB-species-dilution-info": "0.176 µg/mL", "WB-species-notes": "<p></p>", "IHCP-species-checked": "testedAndGuaranteed", "IHCP-species-dilution-info": "1/100", "IHCP-species-notes": "<p>Perform heat mediated antigen retrieval with EDTA buffer pH 8.0 before commencing with IHC staining protocol.</p><p>Primary antibody incubation for 10 minutes at room temperature.</p>", "ICC-species-checked": "notRecommended", "ICC-species-dilution-info": "", "ICC-species-notes": "<p></p>", "FlowCyt-species-checked": "notRecommended", "FlowCyt-species-dilution-info": "", "FlowCyt-species-notes": "<p></p>" }, "Mouse": { "WB-species-checked": "notRecommended", "WB-species-dilution-info": "", "WB-species-notes": "", "IHCP-species-checked": "notRecommended", "IHCP-species-dilution-info": "", "IHCP-species-notes": "", "ICC-species-checked": "notRecommended", "ICC-species-dilution-info": "", "ICC-species-notes": "<p></p>", "FlowCyt-species-checked": "notRecommended", "FlowCyt-species-dilution-info": "", "FlowCyt-species-notes": "<p></p>" }, "Cow": { "WB-species-checked": "predicted", "WB-species-dilution-info": "", "WB-species-notes": "", "IHCP-species-checked": "predicted", "IHCP-species-dilution-info": "", "IHCP-species-notes": "", "ICC-species-checked": "notRecommended", "ICC-species-dilution-info": "", "ICC-species-notes": "", "FlowCyt-species-checked": "notRecommended", "FlowCyt-species-dilution-info": "", "FlowCyt-species-notes": "" } } }

製品の詳細

What is this antibody validated in?
Anti-Fibroblast activation protein, alpha antibody [SP325] (ab227703) is a rabbit recombinant monoclonal antibody and is validated for use in Western Blot (WB), Immunohistochemistry (IHC-P) in Human samples.

What is the molecular weight of Fibroblast activation protein, alpha?
Anti-Fibroblast activation protein, alpha [SP325] (ab227703) specifically detects a band for Fibroblast activation protein, alpha (UniProt: Q12884) at a molecular weight of 88kDa.

Collaboration
Anti-Fibroblast activation protein, alpha [SP325] (ab227703) is a clone from the portfolio of Spring Bioscience (Roche) SP clones which have been optimised for immunohistochemistry (IHC).

Other related products
We have a range of other formats of antibody clone [SP325] also available for your convenience: ab227703, Carrier free - ab240989, Alexa Fluor® 488 - ab311047, Alexa Fluor® 647 - ab311172, Alexa Fluor® 594 - ab311827, Alexa Fluor® 555 - ab313303

出荷温度及び保存条件

製品の状態
Liquid
精製方法
Affinity purification Protein A/G
精製に関する特記事項
Purified from TCS by protein A/G.
バッファー組成
pH: 7.6 Preservative: 0.1% Sodium azide Constituents: PBS, 1% BSA
出荷温度
Blue Ice
短期保存期間
1-2 weeks
短期保存温度
+4°C
長期保存温度
-20°C
分注に関する情報
Upon delivery aliquot
保管に関する情報
Avoid freeze / thaw cycle

製品プロトコール

For this product, it's our understanding that no specific protocols are required. You can visit:

ターゲットの情報

The protein expressed by the FAP gene is a cell surface glycoprotein serine protease involved in the degradation of the extracellular matrix (ECM) and various cellular processes such as tissue remodeling, fibrosis, wound healing, inflammation, and tumor growth. It exists in both plasma membrane-bound and soluble forms, exhibiting post-proline cleaving endopeptidase activity, specifically targeting Ala/Ser-Gly-Pro-Ser/Asn/Ala sequences in substrates like alpha-2-antiplasmin SERPINF2 and SPRY2. FAP protein degrades gelatin and heat-denatured type I collagen but not native type I and IV collagens, nor vitronectin, tenascin, laminin, fibronectin, fibrin, or casein. It also has dipeptidyl peptidase activity, hydrolyzing prolyl bonds when the penultimate residue is proline, with a preference for sequences such as Ala-Pro and Gly-Pro. It acts on natural neuropeptides like neuropeptide Y, peptide YY, substance P, and brain natriuretic peptide 32. In its membrane form, in association with DPP4, PLAUR, or integrins, FAP is involved in pericellular ECM proteolysis, promoting cell adhesion, migration, invasion, and plays roles in development, wound healing, and cell invasiveness in malignant melanoma. It supports tumor progression by facilitating angiogenesis, collagen degradation, apoptosis, and reducing immune response. Additionally, it promotes glioma cell invasion by degrading brevican and functions as a tumor suppressor in melanocytic cells by regulating cell proliferation and survival independently of its serine protease activity. This supplementary information is collated from multiple sources and compiled automatically.
See full target information FAP

文献 (17)

Recent publications for all applications. Explore the full list and refine your search

Immune network 25:e25 PubMed40917788

2025

Pathotype-Specific Expression of Granzyme-Perforin Pathway Genes and Their Association With Clinical Disease Activity in Early Rheumatoid Arthritis and in a Randomized Clinical Trial.

Applications

Unspecified application

Species

Unspecified reactive species

Francisco G La Rosa,Larry W Moreland,Luigi Nibali,Mike Curtis,Kevin D Deane,Colin Strickland,Jennifer Seifert,Carson Keeter,Dmitri Simberg,Robert I Scheinman,Rachel Lau,Costantino Pitzalis,Myles J Lewis,V Michael Holers,Nirmal K Banda

Cell reports. Medicine 6:102030 PubMed40112808

2025

Practical microenvironment classification in diffuse large B cell lymphoma using digital pathology.

Applications

Unspecified application

Species

Unspecified reactive species

Yu-Qing Wang,Shuo Wang,Hong-Mei Yi,Ying Qian,Yue Wang,Hai-Min Xu,Zijun Y Xu-Monette,Kelly Au,Shuang Tian,Yan Dong,Jing Zhao,Di Fu,Rong-Ji Mu,Shu-Ye Wang,Li Wang,Ken H Young,Peng-Peng Xu,Wei-Li Zhao

Cancer research communications 5:358-368 PubMed39895413

2025

Phase Ib Study of Immunocytokine Simlukafusp Alfa (FAP-IL2v) Combined with Pembrolizumab for Treatment of Advanced and/or Metastatic Melanoma.

Applications

Unspecified application

Species

Unspecified reactive species

Eva Munoz-Couselo,Ainara Soria Rivas,Shahneen Sandhu,Georgina V Long,Miguel F Sanmamed,Anna Spreafico,Elizabeth Buchbinder,Mario Sznol,Hans Prenen,Alexander Fedenko,Mohammed Milhem,Ana Maria Arance Fernandez,Jean-Jacques Grob,Lev Demidov,Caroline Robert,Christin Habigt,Stefan Evers,Nassim Sleiman,David Dejardin,Caroline Ardeshir,Nicole Martin,Christophe Boetsch,Jehad Charo,Volker Teichgräber,Anton Kraxner,Nino Keshelava,Oliver Bechter

Clinical cancer research : an official journal of the American Association for Cancer Research 30:5540-5547 PubMed39422604

2024

Phase Ib Study of the Immunocytokine Simlukafusp Alfa (FAP-IL2v) in Combination with Cetuximab in Patients with Head and Neck Squamous Cell Carcinoma.

Applications

Unspecified application

Species

Unspecified reactive species

Aaron R Hansen,Carlos A Gomez-Roca,Debbie G J Robbrecht,Loic Verlingue,Antoine Italiano,Julie E Bauman,Neeltje Steeghs,Hans Prenen,Jérôme Fayette,James Spicer,Jiaxin Niu,Christin Habigt,Meike Schneider,Stefan Evers,Nassim Sleiman,David Dejardin,Caroline Ardeshir,Daniela Schmid,Christophe Boetsch,Jehad Charo,Anton Kraxner,Volker Teichgräber,Nino Keshelava,Marcelo R Bonomi

Molecular therapy : the journal of the American Society of Gene Therapy 32:3915-3931 PubMed39169622

2024

TALEN-edited allogeneic inducible dual CAR T cells enable effective targeting of solid tumors while mitigating off-tumor toxicity.

Applications

Unspecified application

Species

Unspecified reactive species

Sonal Dharani,Hana Cho,Jorge Postigo Fernandez,Alexandre Juillerat,Julien Valton,Philippe Duchateau,Laurent Poirot,Shipra Das

Frontiers in immunology 15:1352632 PubMed39035007

2024

Investigating the complex interplay between fibroblast activation protein α-positive cancer associated fibroblasts and the tumor microenvironment in the context of cancer immunotherapy.

Applications

Unspecified application

Species

Unspecified reactive species

Anton Kraxner,Franziska Braun,Wei-Yi Cheng,Tai-Hsien Ou Yang,Shweta Pipaliya,Marta Canamero,Emilia Andersson,Suzana Vega Harring,Sebastian Dziadek,Ann-Marie E Bröske,Maurizio Ceppi,Tamara Tanos,Volker Teichgräber,Jehad Charo

Journal of nuclear medicine : official publication, Society of Nuclear Medicine 65:1217-1223 PubMed38960714

2024

The Role of Fibroblast Activation Protein in Glioblastoma and Gliosarcoma: A Comparison of Tissue, Ga-FAPI-46 PET Data, and Survival Data.

Applications

Unspecified application

Species

Unspecified reactive species

Christoph Oster,Lukas Kessler,Tobias Blau,Kathy Keyvani,Kim M Pabst,Wolfgang P Fendler,Pedro Fragoso Costa,Lazaros Lazaridis,Teresa Schmidt,Jonas Feldheim,Daniela Pierscianek,Hans Ulrich Schildhaus,Ulrich Sure,Yahya Ahmadipour,Christoph Kleinschnitz,Nika Guberina,Martin Stuschke,Cornelius Deuschl,Björn Scheffler,Ken Herrmann,Sied Kebir,Martin Glas

Cell reports. Medicine 5:101532 PubMed38670097

2024

Targeting PDGF signaling of cancer-associated fibroblasts blocks feedback activation of HIF-1α and tumor progression of clear cell ovarian cancer.

Applications

Unspecified application

Species

Unspecified reactive species

Yutaro Mori,Yoshie Okimoto,Hiroaki Sakai,Yusuke Kanda,Hirokazu Ohata,Daisuke Shiokawa,Mikiko Suzuki,Hiroshi Yoshida,Haruka Ueda,Tomoyuki Sekizuka,Ryo Tamura,Kaoru Yamawaki,Tatsuya Ishiguro,Raul Nicolas Mateos,Yuichi Shiraishi,Yasushi Yatabe,Akinobu Hamada,Kosuke Yoshihara,Takayuki Enomoto,Koji Okamoto

Heliyon 9:e21412 PubMed37920489

2023

Mechanism of Nrf2/miR338-3p/TRAP-1 pathway involved in hyperactivation of synovial fibroblasts in patients with osteoarthritis.

Applications

Unspecified application

Species

Unspecified reactive species

Peng Jie,Ya Wu,Changzhi Song,Yi Cheng,Yunfei Liu,Kang Chen

Frontiers in immunology 14:1172681 PubMed37251405

2023

Stromal depletion by TALEN-edited universal hypoimmunogenic FAP-CAR T cells enables infiltration and anti-tumor cytotoxicity of tumor antigen-targeted CAR-T immunotherapy.

Applications

Unspecified application

Species

Unspecified reactive species

Shipra Das,Julien Valton,Philippe Duchateau,Laurent Poirot
View all publications

Abcam product promise

当社は、高品質な試薬を通じてお客様の研究を力強くサポートすることをお約束いたします。ご使用いただく各段階で、常にお客様をサポートできる体制を整えております。万が一、製品が期待通りに機能しない場合は、「Abcam Product Promise」による当社保証制度に基づき、安心してご利用いただけます。
保証に関する詳細については利用規約をご確認ください。

Please note: All products are 'FOR RESEARCH USE ONLY. NOT FOR USE IN DIAGNOSTIC OR THERAPEUTIC PROCEDURES'.

For licensing inquiries, please contact partnerships@abcam.com