JavaScript is disabled in your browser. Please enable JavaScript to view this website.
AB217783

Anti-Fibrinogen gamma chain 抗体

Anti-Fibrinogen gamma chain antibody

Be the first to review this product! Submit a review

|

(3 Publications)

Rabbit Polyclonal Fibrinogen gamma chain antibody. Suitable for WB, IHC-P and reacts with Mouse, Rat samples. Cited in 3 publications. Immunogen corresponding to Synthetic Peptide within Human FGG aa 150-200 conjugated to Keyhole Limpet Haemocyanin.

別名を表示する

PRO2061, FGG, Fibrinogen gamma chain

2 Images
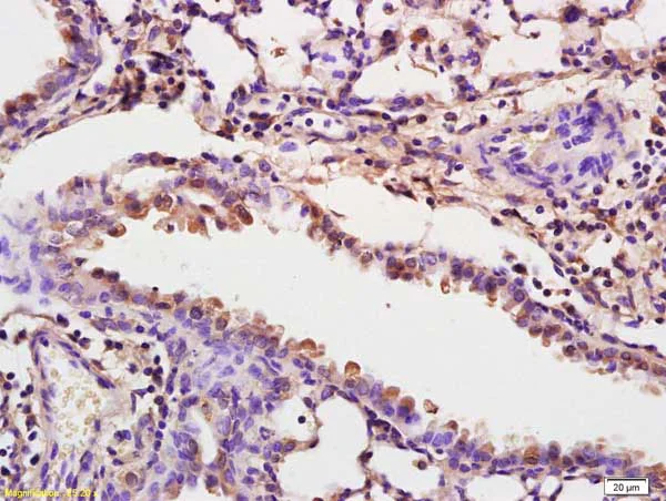
Immunohistochemistry (Formalin/PFA-fixed paraffin-embedded sections) - Anti-Fibrinogen gamma chain antibody (AB217783)
  • IHC-P

Supplier Data

Immunohistochemistry (Formalin/PFA-fixed paraffin-embedded sections) - Anti-Fibrinogen gamma chain antibody (AB217783)

Immunohistochemical analysis of formalin-fixed, paraffin-embedded rat lung tissue labeling Fibrinogen gamma chain with ab217783 at 1/200 dilution, followed by conjugation to the secondary antibody and DAB staining.

Western blot - Anti-Fibrinogen gamma chain antibody (AB217783)
  • WB

Supplier Data

Western blot - Anti-Fibrinogen gamma chain antibody (AB217783)

12% SDS-PAGE gel.

All lanes:

Western blot - Anti-Fibrinogen gamma chain antibody (ab217783) at 1/200 dilution

Lane 1:

Rat brain lysate

Lane 2:

Mouse plasma lysate

Secondary

All lanes:

Goat Anti-Rabbit IgG Antibody (H+L), HRP Conjugated at 1/3000 dilution

Predicted band size: 52 kDa

Observed band size: 45 kDa

false

Key facts

宿主種

Rabbit

クローン性

Polyclonal

アイソタイプ

IgG

キャリアフリー

No

交差種

Mouse, Rat

アプリケーション

IHC-P, WB

applications

免疫原

Synthetic Peptide within Human FGG aa 150-200 conjugated to Keyhole Limpet Haemocyanin. The exact immunogen used to generate this antibody is proprietary information.

P02679

Reactivity data

{ "title": "Reactivity Data", "filters": { "stats": ["", "Species", "Dilution Info", "Notes"], "tabs": { "all-applications": {"fullname" : "All Applications", "shortname": "All Applications"}, "WB" : {"fullname" : "Western blot", "shortname":"WB"}, "IHCP" : {"fullname" : "Immunohistochemistry (Formalin/PFA-fixed paraffin-embedded sections)", "shortname":"IHC-P"} }, "product-promise": { "all": "all", "testedAndGuaranteed": "tested", "guaranteed": "expected", "predicted": "predicted", "notRecommended": "not-recommended" } }, "values": { "Human": { "WB-species-checked": "predicted", "WB-species-dilution-info": "", "WB-species-notes": "", "IHCP-species-checked": "predicted", "IHCP-species-dilution-info": "", "IHCP-species-notes": "" }, "Mouse": { "WB-species-checked": "testedAndGuaranteed", "WB-species-dilution-info": "1/100 - 1/1000", "WB-species-notes": "<p></p>", "IHCP-species-checked": "guaranteed", "IHCP-species-dilution-info": "", "IHCP-species-notes": "" }, "Rat": { "WB-species-checked": "testedAndGuaranteed", "WB-species-dilution-info": "1/100 - 1/1000", "WB-species-notes": "<p></p>", "IHCP-species-checked": "testedAndGuaranteed", "IHCP-species-dilution-info": "1/100 - 1/500", "IHCP-species-notes": "<p></p>" } } }

出荷温度及び保存条件

製品の状態
Liquid
精製方法
Affinity purification Protein A
バッファー組成
pH: 7.4 Preservative: 0.02% Proclin 300 Constituents: 50% Glycerol (glycerin, glycerine), 48.98% TBS, 1X, 1% BSA
出荷温度
Blue Ice
短期保存期間
1-2 weeks
短期保存温度
+4°C
長期保存温度
-20°C
分注に関する情報
Upon delivery aliquot
保管に関する情報
Avoid freeze / thaw cycle

製品プロトコール

For this product, it's our understanding that no specific protocols are required. You can visit:

ターゲットの情報

Together with fibrinogen alpha (FGA) and fibrinogen beta (FGB), polymerizes to form an insoluble fibrin matrix. Has a major function in hemostasis as one of the primary components of blood clots. In addition, functions during the early stages of wound repair to stabilize the lesion and guide cell migration during re-epithelialization. Was originally thought to be essential for platelet aggregation, based on in vitro studies using anticoagulated blood. However, subsequent studies have shown that it is not absolutely required for thrombus formation in vivo. Enhances expression of SELP in activated platelets via an ITGB3-dependent pathway. Maternal fibrinogen is essential for successful pregnancy. Fibrin deposition is also associated with infection, where it protects against IFNG-mediated hemorrhage. May also facilitate the antibacterial immune response via both innate and T-cell mediated pathways.
See full target information FGG

文献 (3)

Recent publications for all applications. Explore the full list and refine your search

Journal of materials chemistry. B 13:11855-11869 PubMed40891293

2025

Evaluation of peripheral analgesia in a rat incisional pain model using degradable hydrophilic microspheres for sustained delivery of buprenorphine.

Applications

Unspecified application

Species

Unspecified reactive species

Laurent Bédouet,Anne Beilvert,Emeline Servais,Florentina Pascale,Saïda Homayra Ghegediban,Michel Wassef,Julien Namur,Laurence Moine

American journal of cancer research 10:939-952 PubMed32266101

2020

Ligustrazine reverts anthracycline chemotherapy resistance of human breast cancer by inhibiting JAK2/STAT3 signaling and decreasing fibrinogen gamma chain (FGG) expression.

Applications

Unspecified application

Species

Unspecified reactive species

Yu-Lin Liu,Ze-Xuan Yan,Yu Xia,Xiao-Ye Xie,Kai Zhou,Li-Li Xu,Yan-Long Shi,Qiang Wang,Jing-Wang Bi

Medicine 98:e17031 PubMed31689742

2019

Alterations in complement and coagulation pathways of human placentae subjected to in vitro fertilization and embryo transfer in the first trimester.

Applications

Unspecified application

Species

Unspecified reactive species

Liang Zhao,Lifang Sun,Xiuli Zheng,Jingfang Liu,Rong Zheng,Rui Yang,Ying Wang
View all publications

Abcam product promise

当社は、高品質な試薬を通じてお客様の研究を力強くサポートすることをお約束いたします。ご使用いただく各段階で、常にお客様をサポートできる体制を整えております。万が一、製品が期待通りに機能しない場合は、「Abcam Product Promise」による当社保証制度に基づき、安心してご利用いただけます。
保証に関する詳細については利用規約をご確認ください。

Please note: All products are 'FOR RESEARCH USE ONLY. NOT FOR USE IN DIAGNOSTIC OR THERAPEUTIC PROCEDURES'.

For licensing inquiries, please contact partnerships@abcam.com