JavaScript is disabled in your browser. Please enable JavaScript to view this website.
AB227683

Anti-FGFR2 抗体 [SP273] - N-terminal

Anti-FGFR2 antibody [SP273] - N-terminal

Be the first to review this product! Submit a review

|

(2 Publications)

Rabbit Recombinant Monoclonal FGFR2 antibody. N-terminal. Suitable for Flow Cyt, I-ELISA, IHC-P and reacts with Human samples. Cited in 2 publications.

別名を表示する

CD332, BEK, KGFR, KSAM, FGFR2, Fibroblast growth factor receptor 2, FGFR-2, K-sam, Keratinocyte growth factor receptor

8 Images
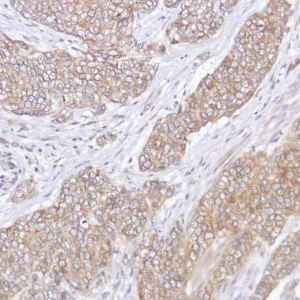
Immunohistochemistry (Formalin/PFA-fixed paraffin-embedded sections) - Anti-FGFR2 antibody [SP273] - N-terminal (AB227683)
  • IHC-P

Supplier Data

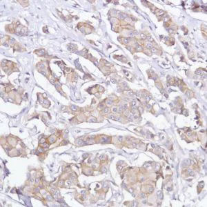
Immunohistochemistry (Formalin/PFA-fixed paraffin-embedded sections) - Anti-FGFR2 antibody [SP273] - N-terminal (AB227683)

Formalin-fixed paraffin-embedded human breast ductal carcinoma tissue stained for FGFR2 using ab227683 at 1/100 dilution in immunohistochemical analysis.

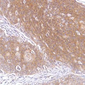
Immunohistochemistry (Formalin/PFA-fixed paraffin-embedded sections) - Anti-FGFR2 antibody [SP273] - N-terminal (AB227683)
  • IHC-P

Supplier Data

Immunohistochemistry (Formalin/PFA-fixed paraffin-embedded sections) - Anti-FGFR2 antibody [SP273] - N-terminal (AB227683)

Formalin-fixed paraffin-embedded human cervical squamous cell carcinoma tissue stained for FGFR2 using ab227683 at 1/100 dilution in immunohistochemical analysis.

Immunohistochemistry (Formalin/PFA-fixed paraffin-embedded sections) - Anti-FGFR2 antibody [SP273] - N-terminal (AB227683)
  • IHC-P

Supplier Data

Immunohistochemistry (Formalin/PFA-fixed paraffin-embedded sections) - Anti-FGFR2 antibody [SP273] - N-terminal (AB227683)

Formalin-fixed paraffin-embedded human bladder transitional cell carcinoma tissue stained for FGFR2 using ab227683 at 1/100 dilution in immunohistochemical analysis.

Immunohistochemistry (Formalin/PFA-fixed paraffin-embedded sections) - Anti-FGFR2 antibody [SP273] - N-terminal (AB227683)
  • IHC-P

Supplier Data

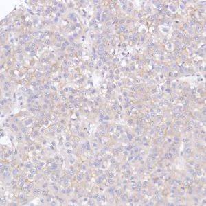
Immunohistochemistry (Formalin/PFA-fixed paraffin-embedded sections) - Anti-FGFR2 antibody [SP273] - N-terminal (AB227683)

Formalin-fixed paraffin-embedded human hepatocellular carcinoma tissue stained for FGFR2 using ab227683 at 1/100 dilution in immunohistochemical analysis.

Immunohistochemistry (Formalin/PFA-fixed paraffin-embedded sections) - Anti-FGFR2 antibody [SP273] - N-terminal (AB227683)
  • IHC-P

Unknown

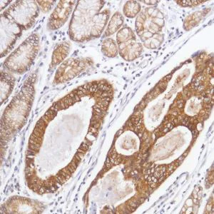
Immunohistochemistry (Formalin/PFA-fixed paraffin-embedded sections) - Anti-FGFR2 antibody [SP273] - N-terminal (AB227683)

Formalin-fixed paraffin-embedded human colon adenocarcinoma tissue stained for FGFR2 using ab227683 at 1/100 dilution in immunohistochemical analysis.

Immunohistochemistry (Formalin/PFA-fixed paraffin-embedded sections) - Anti-FGFR2 antibody [SP273] - N-terminal (AB227683)
  • IHC-P

Supplier Data

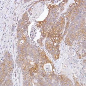
Immunohistochemistry (Formalin/PFA-fixed paraffin-embedded sections) - Anti-FGFR2 antibody [SP273] - N-terminal (AB227683)

Formalin-fixed paraffin-embedded human stomach adenocarcinoma tissue stained for FGFR2 using ab227683 at 1/100 dilution in immunohistochemical analysis.

Flow Cytometry - Anti-FGFR2 antibody [SP273] - N-terminal (AB227683)
  • Flow Cyt

Supplier Data

Flow Cytometry - Anti-FGFR2 antibody [SP273] - N-terminal (AB227683)

Flow Cytometry analysis of Kato III (human gastric carcinoma cell line) cells labeling FGFR2 with ab227683 at 1/400 dilution (green) compared to a Rabbit IgG negative control (blue).

Indirect ELISA - Anti-FGFR2 antibody [SP273] - N-terminal (AB227683)
  • I-ELISA

Unknown

Indirect ELISA - Anti-FGFR2 antibody [SP273] - N-terminal (AB227683)

Indirect ELISA using ab227683 at varying antibody concentrations (4000~0 ng /ml) and FGFR2 antigen at 1000 ng/ml. Alkaline Phosphatase-conjugated AffiniPure Goat Anti-Rabbit IgG (H+L) at 1/2500 dilution dilution was used as a secondary antibody.

関連する標識済み抗体及び組成の異なる製品 (1)

  • Carrier free

    Anti-FGFR2 antibody [SP273] - BSA and Azide free

Key facts

宿主種

Rabbit

クローン性

Monoclonal

クローン番号

SP273

アイソタイプ

IgG

キャリアフリー

No

交差種

Human

アプリケーション

Flow Cyt, IHC-P, I-ELISA

applications

免疫原

The exact immunogen used to generate this antibody is proprietary information.

Reactivity data

{ "title": "Reactivity Data", "filters": { "stats": ["", "Species", "Dilution Info", "Notes"], "tabs": { "all-applications": {"fullname" : "All Applications", "shortname": "All Applications"}, "FlowCyt" : {"fullname" : "Flow Cytometry", "shortname":"Flow Cyt"}, "IELISA" : {"fullname" : "Indirect ELISA", "shortname":"I-ELISA"}, "IHCP" : {"fullname" : "Immunohistochemistry (Formalin/PFA-fixed paraffin-embedded sections)", "shortname":"IHC-P"}, "WB" : {"fullname" : "Western blot", "shortname":"WB"}, "ICCIF" : {"fullname" : "Immunocytochemistry/ Immunofluorescence", "shortname":"ICC/IF"} }, "product-promise": { "all": "all", "testedAndGuaranteed": "tested", "guaranteed": "expected", "predicted": "predicted", "notRecommended": "not-recommended" } }, "values": { "Human": { "FlowCyt-species-checked": "testedAndGuaranteed", "FlowCyt-species-dilution-info": "1/400", "FlowCyt-species-notes": "<p></p>", "IELISA-species-checked": "testedAndGuaranteed", "IELISA-species-dilution-info": "1 µg/mL", "IELISA-species-notes": "<p></p>", "IHCP-species-checked": "testedAndGuaranteed", "IHCP-species-dilution-info": "1/100", "IHCP-species-notes": "<p>Boil tissue section in citrate buffer pH 6.0 for 10 minutes followed by cooling at room temperature for 20 minutes. Incubate with primary antibody for 10 minutes at room temperature.</p>", "WB-species-checked": "notRecommended", "WB-species-dilution-info": "", "WB-species-notes": "<p></p>", "ICCIF-species-checked": "notRecommended", "ICCIF-species-dilution-info": "", "ICCIF-species-notes": "<p></p>" }, "Mouse": { "FlowCyt-species-checked": "predicted", "FlowCyt-species-dilution-info": "", "FlowCyt-species-notes": "", "IELISA-species-checked": "predicted", "IELISA-species-dilution-info": "", "IELISA-species-notes": "", "IHCP-species-checked": "notRecommended", "IHCP-species-dilution-info": "1/100", "IHCP-species-notes": "<p>Boil tissue section in citrate buffer pH 6.0 for 10 minutes followed by cooling at room temperature for 20 minutes. Incubate with primary antibody for 10 minutes at room temperature.</p>", "WB-species-checked": "notRecommended", "WB-species-dilution-info": "", "WB-species-notes": "", "ICCIF-species-checked": "notRecommended", "ICCIF-species-dilution-info": "", "ICCIF-species-notes": "" } } }

製品の詳細

Patented technology
Our RabMAb® technology is a patented hybridoma-based technology for making rabbit monoclonal antibodies. For details on our patents, please refer to RabMAb® patents.

What are the advantages of a recombinant monoclonal antibody?
This product is a recombinant monoclonal antibody, which offers several advantages including:

  • - High batch-to-batch consistency and reproducibility
  • - Improved sensitivity and specificity
  • - Long-term security of supply
  • - Animal-free batch production

For more information, read more on recombinant antibodies.

出荷温度及び保存条件

製品の状態
Liquid
精製方法
Affinity purification Protein A/G
精製に関する特記事項
Purified from TCS by protein A/G.
バッファー組成
pH: 7.6 Preservative: 0.1% Sodium azide Constituents: PBS, 1% BSA
出荷温度
Blue Ice
短期保存期間
1-2 weeks
短期保存温度
+4°C
長期保存温度
-20°C
分注に関する情報
Upon delivery aliquot
保管に関する情報
Avoid freeze / thaw cycle

補足情報

This supplementary information is collated from multiple sources and compiled automatically.

The fibroblast growth factor receptor 2 (FGFR2) also known as CD332 is a protein that functions as a transmembrane receptor tyrosine kinase. FGFR2 is important in signal transduction where it binds to fibroblast growth factors triggering downstream intracellular pathways. FGFR2 has two main isoforms FGFR2b and FGFR2c created through alternative splicing. The molecular weight of FGFR2 varies by isoform typically around 100-110 kDa. It gets expressed in various tissues including epithelial and mesenchymal tissues.
Biological function summary

FGFR2 plays a role in diverse cellular processes like proliferation differentiation and migration. As part of a receptor-ligand complex FGFR2 partners with fibroblast growth factors to initiate signaling cascades. It contributes to embryonic development tissue repair and angiogenesis. FGFR2b expression predominantly appears in epithelial cells while FGFR2c is found in mesenchymal cells reflecting its distinct role in tissue-specific signaling.

Pathways

FGFR2 integrates into key signaling networks especially the MAPK and PI3K/AKT pathways. It interacts with proteins like FRS2 and GRB2 which facilitate the activation of downstream signals promoting cell survival and growth. FGFR2's engagement in these pathways is critical for maintaining normal cellular functions and contributes to its involvement in regulating complex cellular responses.

FGFR2 mutations have connections with certain cancers and craniosynostosis syndromes. Alterations in FGFR2 signaling pathways can lead to aberrant cellular growth and have been found in various cancers including breast and gastric cancer. In craniosynostosis syndromes mutations in FGFR2 affect bone development linking it with disorders like Apert syndrome. These conditions demonstrate the pivotal role of FGFR2 in maintaining cellular homeostasis and the consequences of its dysfunction.

製品プロトコール

For this product, it's our understanding that no specific protocols are required. You can visit:

ターゲットの情報

Tyrosine-protein kinase that acts as a cell-surface receptor for fibroblast growth factors and plays an essential role in the regulation of cell proliferation, differentiation, migration and apoptosis, and in the regulation of embryonic development. Required for normal embryonic patterning, trophoblast function, limb bud development, lung morphogenesis, osteogenesis and skin development. Plays an essential role in the regulation of osteoblast differentiation, proliferation and apoptosis, and is required for normal skeleton development. Promotes cell proliferation in keratinocytes and immature osteoblasts, but promotes apoptosis in differentiated osteoblasts. Phosphorylates PLCG1, FRS2 and PAK4. Ligand binding leads to the activation of several signaling cascades. Activation of PLCG1 leads to the production of the cellular signaling molecules diacylglycerol and inositol 1,4,5-trisphosphate. Phosphorylation of FRS2 triggers recruitment of GRB2, GAB1, PIK3R1 and SOS1, and mediates activation of RAS, MAPK1/ERK2, MAPK3/ERK1 and the MAP kinase signaling pathway, as well as of the AKT1 signaling pathway. FGFR2 signaling is down-regulated by ubiquitination, internalization and degradation. Mutations that lead to constitutive kinase activation or impair normal FGFR2 maturation, internalization and degradation lead to aberrant signaling. Over-expressed FGFR2 promotes activation of STAT1.
See full target information FGFR2

文献 (2)

Recent publications for all applications. Explore the full list and refine your search

Histology and histopathology 38:1129-1143 PubMed36331285

2022

Circ_0000284 facilitates the growth, metastasis and glycolysis of intrahepatic cholangiocarcinoma through miR-152-3p-mediated PDK1 expression.

Applications

Unspecified application

Species

Unspecified reactive species

Jian Sun,Menglong Feng,Huilian Zou,Yanping Mao,Wei Yu

Cell reports 39:110663 PubMed35417692

2022

A mesenchymal to epithelial switch in Fgf10 expression specifies an evolutionary-conserved population of ionocytes in salivary glands.

Applications

Unspecified application

Species

Unspecified reactive species

Olivier Mauduit,Marit H Aure,Vanessa Delcroix,Liana Basova,Amrita Srivastava,Takeshi Umazume,Jacqueline W Mays,Saverio Bellusci,Abigail S Tucker,Mohammad K Hajihosseini,Matthew P Hoffman,Helen P Makarenkova
View all publications

Abcam product promise

当社は、高品質な試薬を通じてお客様の研究を力強くサポートすることをお約束いたします。ご使用いただく各段階で、常にお客様をサポートできる体制を整えております。万が一、製品が期待通りに機能しない場合は、「Abcam Product Promise」による当社保証制度に基づき、安心してご利用いただけます。
保証に関する詳細については利用規約をご確認ください。

Please note: All products are 'FOR RESEARCH USE ONLY. NOT FOR USE IN DIAGNOSTIC OR THERAPEUTIC PROCEDURES'.

For licensing inquiries, please contact partnerships@abcam.com