JavaScript is disabled in your browser. Please enable JavaScript to view this website.
AB289968

Anti-FGFR2 抗体 [EPR24075-418]

Anti-FGFR2 antibody [EPR24075-418]

  • BOND RX™ Validated
  • 20ul selling size
  • RabMAb
  • Recombinant
  • KO Validated
  • 詳細を見る

3

(1 Review)

|

(6 Publications)

Anti-FGFR2 antibody [EPR24075-418] (ab289968) is a rabbit monoclonal antibody detecting FGFR2 in Western Blot, Flow Cytometry, IP, IHC-P, ICC/IF. Suitable for Human.

- KO validated for confirmed specificity
- Biophysical QC for unrivalled batch-batch consistency

別名を表示する

CD332, BEK, KGFR, KSAM, FGFR2, Fibroblast growth factor receptor 2, FGFR-2, K-sam, Keratinocyte growth factor receptor

8 Images
Immunocytochemistry/ Immunofluorescence - Anti-FGFR2 antibody [EPR24075-418] (AB289968)
  • ICC/IF

Lab

Immunocytochemistry/ Immunofluorescence - Anti-FGFR2 antibody [EPR24075-418] (AB289968)

Immunofluorescent analysis of 4% Paraformaldehyde-fixed, 0.1% Triton X-100 permeabilized KATO III cells labeling FGFR2 with ab289968 at 1/50 dilution, followed by ab150081 Goat Anti-Rabbit IgG H&L (Alexa Fluor® 488) preadsorbed antibody at 1/1000 dilution (Green). Confocal image showing membrane staining in the KATO III cell line, while no staining was observed in the SW620 cell line. Negative control : SW620 (PMID : 24968263). ab195889 Anti-alpha Tubulin mouse monoclonal antibody - Microtubule Marker (Alexa Fluor® 594) was used to counterstain tubulin at 1/200 dilution (Red). The Nuclear counterstain was DAPI (Blue).

Immunohistochemistry (Formalin/PFA-fixed paraffin-embedded sections) - Anti-FGFR2 antibody [EPR24075-418] (AB289968)
  • IHC-P

Lab

Immunohistochemistry (Formalin/PFA-fixed paraffin-embedded sections) - Anti-FGFR2 antibody [EPR24075-418] (AB289968)

Immunohistochemical analysis of paraffin-embedded Human breast carcinoma tissue labelling FGFR2 with ab289968 at 1/100 dilution, followed by LeicaDS9800 (Bond™, Polymer Refine Detection). The section was incubated with ab289968 for 30 mins at room temperature. The immunostaining was performed on a Leica Biosystems BOND® RX instrument. Counterstained with Hematoxylin.

Secondary antibody only control : Secondary antibody is LeicaDS9800 (Bond™, Polymer Refine Detection).

Heat mediated antigen retrieval with Tris-EDTA buffer (pH 9.0, epitope retrieval solution2) for 20 mins

Flow Cytometry - Anti-FGFR2 antibody [EPR24075-418] (AB289968)
  • Flow Cyt

Lab

Flow Cytometry - Anti-FGFR2 antibody [EPR24075-418] (AB289968)

Flow cytometric analysis of SW620 (human colorectal adenocarcinoma epithelial cell, Left) / KATO III (human gastric carcinoma, Right) cells labelling FGFR2 with ab289968 at 1/500 dilution (0.1μg) (Red) compared with a Rabbit monoclonal IgG (ab172730) (Black) isotype control and an unlabelled control (cells without incubation with primary antibody and secondary antibody) (Blue). Goat Anti-Rabbit IgG (Alexa Fluor® 488, ab150081) at 1/2000 dilution was used as the secondary antibody. Negative control : SW620 (PMID : 24968263). Gated on viable cells.

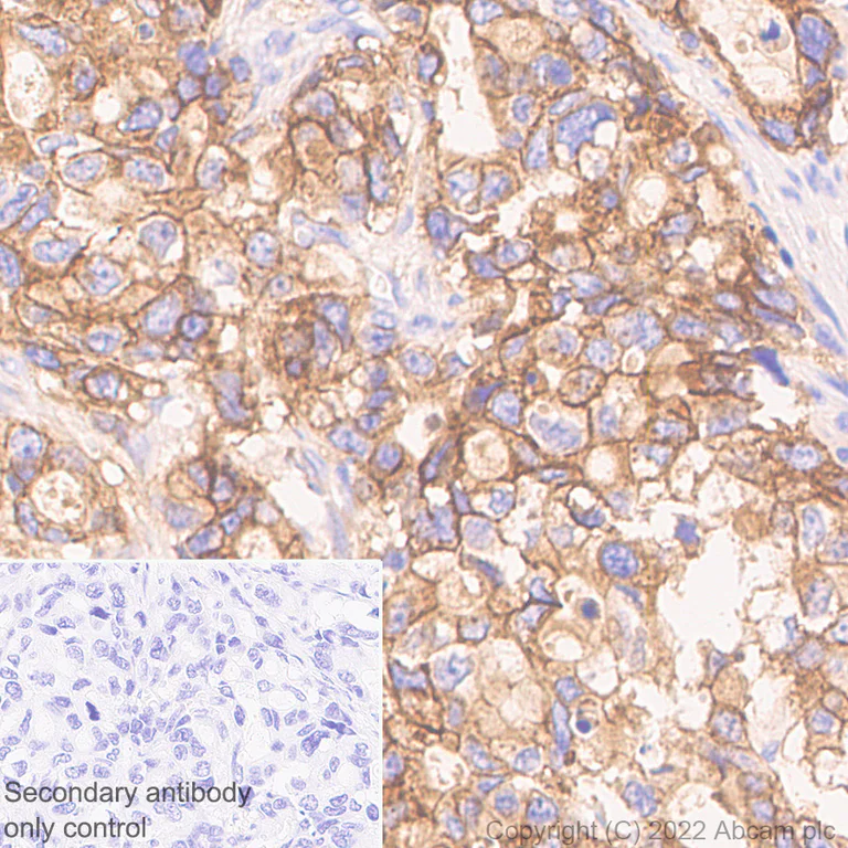
Immunohistochemistry (Formalin/PFA-fixed paraffin-embedded sections) - Anti-FGFR2 antibody [EPR24075-418] (AB289968)
  • IHC-P

Lab

Immunohistochemistry (Formalin/PFA-fixed paraffin-embedded sections) - Anti-FGFR2 antibody [EPR24075-418] (AB289968)

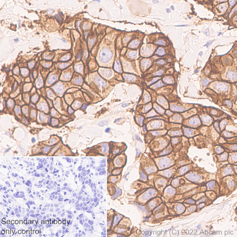
Immunohistochemical analysis of paraffin-embedded Human gastric adenocarcinoma tissue labelling FGFR2 with ab289968 at 1/100 dilution, followed LeicaDS9800 (Bond™, Polymer Refine Detection). Membraneous staining on human gastric adenocarcinoma (PMID : 24518603). The section was incubated with ab289968 for 30 mins at room temperature. The immunostaining was performed on a Leica Biosystems BOND® RX instrument. Counterstained with Hematoxylin.

Secondary antibody only control : Secondary antibody is LeicaDS9800 (Bond™, Polymer Refine Detection).

Heat mediated antigen retrieval with Tris-EDTA buffer (pH 9.0, epitope retrieval solution2) for 20 mins

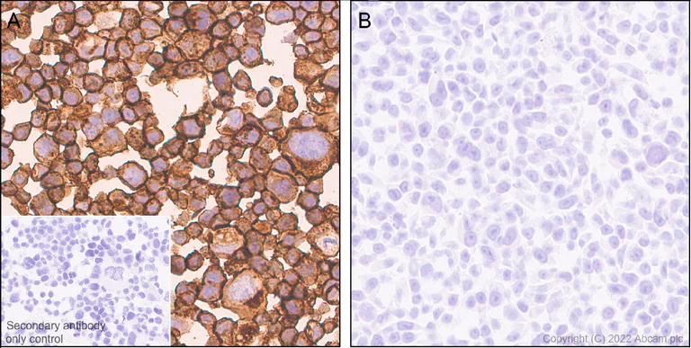
Immunohistochemistry (Formalin/PFA-fixed paraffin-embedded sections) - Anti-FGFR2 antibody [EPR24075-418] (AB289968)
  • IHC-P

Lab

Immunohistochemistry (Formalin/PFA-fixed paraffin-embedded sections) - Anti-FGFR2 antibody [EPR24075-418] (AB289968)

Immunohistochemical analysis of paraffin-embedded (A) KATO III cells labeling FGFR2 with ab289968 at 1/100 dilution followed by LeicaDS9800 (Bond™, Polymer Refine Detection). Positive staining on (A) KATO III cells. Negative control : no staining on (B) SW620 cells (PMID : 24968263). The section was incubated with ab289968 for 30 mins at room temperature. The immunostaining was performed on a Leica Biosystems BOND® RX instrument Counterstained with Hematoxylin.

Secondary antibody only control : Secondary antibody is LeicaDS9800 (Bond™, Polymer Refine Detection).

Heat mediated antigen retrieval with Tris-EDTA buffer (pH 9.0, epitope retrieval solution2) for 20 mins

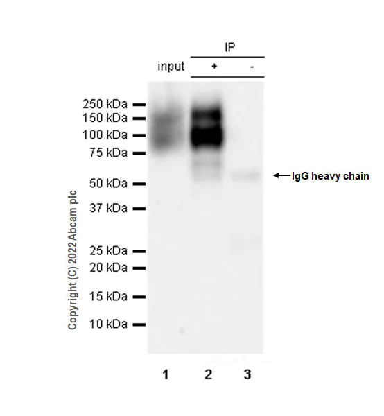
Immunoprecipitation - Anti-FGFR2 antibody [EPR24075-418] (AB289968)
  • IP

Lab

Immunoprecipitation - Anti-FGFR2 antibody [EPR24075-418] (AB289968)

FGFR2 was immunoprecipitated from KATO III (human gastric carcinoma) whole cell lysate with ab289968 at 1/30 dilution (2μg in 0.35mg lysates). Western blot was performed on the immunoprecipitate using ab289968 at 1/1000 dilution. VeriBlot for IP secondary antibody(HRP)(ab131366) was used at 1/5000 dilution.

Lane 1 : KATO III (human gastric carcinoma) whole cell lysate 10 μg

Lane 2 : ab289968 IP in KATO III whole cell lysate

Lane 3 : Rabbit monoclonal IgG (ab172730) instead of ab289968 in KATO III whole cell lysate

Blocking and dilution buffer and concentration : 5% NFDM/TBST.

Exposure time : 5.5 seconds

All lanes:

Immunoprecipitation - Anti-FGFR2 antibody [EPR24075-418] (ab289968)

Predicted band size: 92 kDa

Observed band size: 145 kDa,85 kDa

false

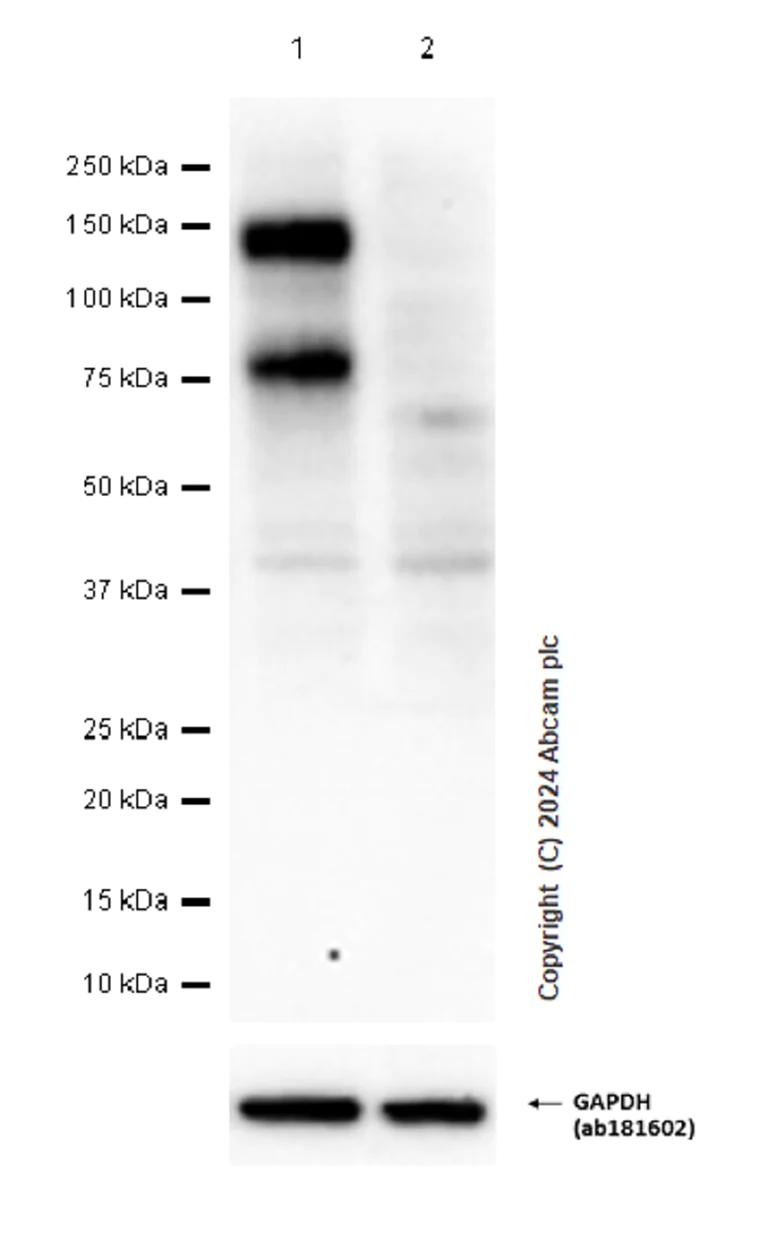
Western blot - Anti-FGFR2 antibody [EPR24075-418] (AB289968)
  • WB

Lab

Western blot - Anti-FGFR2 antibody [EPR24075-418] (AB289968)

In Western blot, Anti-GAPDH antibody [EPR16891] - Loading Control (ab181602) at 1/1000000 dilution.

This blot was developed using a high sensitivity ECL substrate. The high-sensitivity ECL substrate used allows for the detection of proteins in the mid-femtogram range.

All lanes:

Western blot - Anti-FGFR2 antibody [EPR24075-418] (ab289968) at 1/1000 dilution

Lane 1:

Wild-type HAP1 (human chronic myelogenous leukemia near-haploid cell) whole cell lysate at 20 µg

Lane 2:

FGFR2 KO HAP1 whole cell lysate at 20 µg

Secondary

All lanes:

Western blot - Goat Anti-Rabbit IgG H&L (HRP) (<a href='/products/secondary-antibodies/goat-rabbit-igg-h-l-hrp-ab97051'>ab97051</a>) at 1/20000 dilution

Observed band size: 85 kDa,145 kDa

true

Exposure time: 80s

Western blot - Anti-FGFR2 antibody [EPR24075-418] (AB289968)
  • WB

Lab

Western blot - Anti-FGFR2 antibody [EPR24075-418] (AB289968)

Blocking and diluting buffer and concentration : 5% NFDM/TBST

The antibody recognizes endogenous levels of total FGFR2 protein and a C-terminal truncated form K-sam (PMID : 17505008).

Negative control : SW620 (PMID : 24968263)

Exposure time : 10 seconds

All lanes:

Western blot - Anti-FGFR2 antibody [EPR24075-418] (ab289968) at 1/1000 dilution

Lane 1:

KATO III (human gastric carcinoma) whole cell lysate at 20 µg

Lane 2:

SW620 (human colorectal adenocarcinoma epithelial cell) whole cell lysate at 20 µg

Secondary

All lanes:

Goat Anti-Rabbit IgG, (H+L), Peroxidase conjugated (<a href='/products/secondary-antibodies/goat-rabbit-igg-h-l-hrp-ab97051'>ab97051</a>) at 1/100000 dilution

Predicted band size: 92 kDa

Observed band size: 145 kDa,85 kDa

false

関連する標識済み抗体及び組成の異なる製品 (3)

  • Carrier free

    Anti-FGFR2 antibody [EPR24075-418] - BSA and Azide free

  • 519 Alexa Fluor® 488

    Alexa Fluor® 488 Anti-FGFR2 antibody [EPR24075-418]

  • 578 PE

    PE Anti-FGFR2 antibody [EPR24075-418]

Key facts

宿主種

Rabbit

クローン性

Monoclonal

クローン番号

EPR24075-418

アイソタイプ

IgG

キャリアフリー

No

交差種

Human

アプリケーション

ICC/IF, IP, IHC-P, WB, Flow Cyt

applications

免疫原

The exact immunogen used to generate this antibody is proprietary information.

Reactivity data

{ "title": "Reactivity Data", "filters": { "stats": ["", "Species", "Dilution Info", "Notes"], "tabs": { "all-applications": {"fullname" : "All Applications", "shortname": "All Applications"}, "ICCIF" : {"fullname" : "Immunocytochemistry/ Immunofluorescence", "shortname":"ICC/IF"}, "IP" : {"fullname" : "Immunoprecipitation", "shortname":"IP"}, "FlowCyt" : {"fullname" : "Flow Cytometry", "shortname":"Flow Cyt"}, "WB" : {"fullname" : "Western blot", "shortname":"WB"}, "IHCP" : {"fullname" : "Immunohistochemistry (Formalin/PFA-fixed paraffin-embedded sections)", "shortname":"IHC-P"} }, "product-promise": { "all": "all", "testedAndGuaranteed": "tested", "guaranteed": "expected", "predicted": "predicted", "notRecommended": "not-recommended" } }, "values": { "Human": { "ICCIF-species-checked": "testedAndGuaranteed", "ICCIF-species-dilution-info": "1/50", "ICCIF-species-notes": "<p></p>", "IP-species-checked": "testedAndGuaranteed", "IP-species-dilution-info": "1/30", "IP-species-notes": "<p></p>", "FlowCyt-species-checked": "testedAndGuaranteed", "FlowCyt-species-dilution-info": "1/500", "FlowCyt-species-notes": "<p></p>", "WB-species-checked": "testedAndGuaranteed", "WB-species-dilution-info": "1/1000", "WB-species-notes": "<p></p>", "IHCP-species-checked": "testedAndGuaranteed", "IHCP-species-dilution-info": "1/100", "IHCP-species-notes": "<p></p> Perform heat-mediated antigen retrieval with Tris/EDTA buffer pH 9.0 before commencing with IHC staining protocol." }, "Mouse": { "ICCIF-species-checked": "notRecommended", "ICCIF-species-dilution-info": "", "ICCIF-species-notes": "", "IP-species-checked": "notRecommended", "IP-species-dilution-info": "", "IP-species-notes": "", "FlowCyt-species-checked": "notRecommended", "FlowCyt-species-dilution-info": "", "FlowCyt-species-notes": "", "WB-species-checked": "notRecommended", "WB-species-dilution-info": "", "WB-species-notes": "<p></p>", "IHCP-species-checked": "notRecommended", "IHCP-species-dilution-info": "", "IHCP-species-notes": "<p></p> Perform heat-mediated antigen retrieval with Tris/EDTA buffer pH 9.0 before commencing with IHC staining protocol." }, "Rat": { "ICCIF-species-checked": "notRecommended", "ICCIF-species-dilution-info": "", "ICCIF-species-notes": "", "IP-species-checked": "notRecommended", "IP-species-dilution-info": "", "IP-species-notes": "", "FlowCyt-species-checked": "notRecommended", "FlowCyt-species-dilution-info": "", "FlowCyt-species-notes": "", "WB-species-checked": "notRecommended", "WB-species-dilution-info": "", "WB-species-notes": "<p></p>", "IHCP-species-checked": "notRecommended", "IHCP-species-dilution-info": "", "IHCP-species-notes": "<p></p> Perform heat-mediated antigen retrieval with Tris/EDTA buffer pH 9.0 before commencing with IHC staining protocol." } } }

製品の詳細

What is this antibody validated in?
Anti-FGFR2 antibody [EPR24075-418] (ab289968) is a rabbit recombinant monoclonal antibody and is validated for use in Western Blot (WB), Flow Cytometry (Flow Cyt), Immunoprecipitation (IP), Immunohistochemistry (IHC-P), Immunocytochemistry/immunofluorescence (ICC/IF) in Human samples.

What is the molecular weight of FGFR2?
Anti-FGFR2 [EPR24075-418] (ab289968) specifically detects a band for FGFR2 (UniProt: P21802) at a molecular weight of 92kDa.

Trial sizes available!
Test your antibody or perform pre-screening before committing to a larger quantity. Sold in 10µl. Discover our selection of trial-size antibodies.

Specificity confirmed
The specificity of Anti-FGFR2 antibody [EPR24075-418] (ab289968) has been confirmed by Western blot testing in FGFR2 Knockout HAP1 cells.

Other related products
We have a range of other formats of antibody clone [EPR24075-418] also available for your convenience: ab289968, Carrier free - ab289993, Alexa Fluor® 488 - ab309606, PE - ab322671

Patented technology
Our RabMAb® technology is a patented hybridoma-based technology for making rabbit monoclonal antibodies. For details on our patents, please refer to RabMAb® patents.

What are the advantages of a recombinant monoclonal antibody?
This product is a recombinant monoclonal antibody, which offers several advantages including:

  • - High batch-to-batch consistency and reproducibility
  • - Improved sensitivity and specificity
  • - Long-term security of supply
  • - Animal-free batch production

For more information, read more on recombinant antibodies.

出荷温度及び保存条件

製品の状態
Liquid
精製方法
Affinity purification Protein A
バッファー組成
pH: 7.2 - 7.4 Preservative: 0.01% Sodium azide Constituents: PBS, 40% Glycerol (glycerin, glycerine), 0.05% BSA
出荷温度
Blue Ice
短期保存期間
1-2 weeks
短期保存温度
+4°C
長期保存温度
-20°C
分注に関する情報
Upon delivery aliquot
保管に関する情報
Avoid freeze / thaw cycle

補足情報

This supplementary information is collated from multiple sources and compiled automatically.

The fibroblast growth factor receptor 2 (FGFR2) also known as CD332 is a protein that functions as a transmembrane receptor tyrosine kinase. FGFR2 is important in signal transduction where it binds to fibroblast growth factors triggering downstream intracellular pathways. FGFR2 has two main isoforms FGFR2b and FGFR2c created through alternative splicing. The molecular weight of FGFR2 varies by isoform typically around 100-110 kDa. It gets expressed in various tissues including epithelial and mesenchymal tissues.
Biological function summary

FGFR2 plays a role in diverse cellular processes like proliferation differentiation and migration. As part of a receptor-ligand complex FGFR2 partners with fibroblast growth factors to initiate signaling cascades. It contributes to embryonic development tissue repair and angiogenesis. FGFR2b expression predominantly appears in epithelial cells while FGFR2c is found in mesenchymal cells reflecting its distinct role in tissue-specific signaling.

Pathways

FGFR2 integrates into key signaling networks especially the MAPK and PI3K/AKT pathways. It interacts with proteins like FRS2 and GRB2 which facilitate the activation of downstream signals promoting cell survival and growth. FGFR2's engagement in these pathways is critical for maintaining normal cellular functions and contributes to its involvement in regulating complex cellular responses.

FGFR2 mutations have connections with certain cancers and craniosynostosis syndromes. Alterations in FGFR2 signaling pathways can lead to aberrant cellular growth and have been found in various cancers including breast and gastric cancer. In craniosynostosis syndromes mutations in FGFR2 affect bone development linking it with disorders like Apert syndrome. These conditions demonstrate the pivotal role of FGFR2 in maintaining cellular homeostasis and the consequences of its dysfunction.

製品プロトコール

For this product, it's our understanding that no specific protocols are required. You can visit:

ターゲットの情報

Tyrosine-protein kinase that acts as a cell-surface receptor for fibroblast growth factors and plays an essential role in the regulation of cell proliferation, differentiation, migration and apoptosis, and in the regulation of embryonic development. Required for normal embryonic patterning, trophoblast function, limb bud development, lung morphogenesis, osteogenesis and skin development. Plays an essential role in the regulation of osteoblast differentiation, proliferation and apoptosis, and is required for normal skeleton development. Promotes cell proliferation in keratinocytes and immature osteoblasts, but promotes apoptosis in differentiated osteoblasts. Phosphorylates PLCG1, FRS2 and PAK4. Ligand binding leads to the activation of several signaling cascades. Activation of PLCG1 leads to the production of the cellular signaling molecules diacylglycerol and inositol 1,4,5-trisphosphate. Phosphorylation of FRS2 triggers recruitment of GRB2, GAB1, PIK3R1 and SOS1, and mediates activation of RAS, MAPK1/ERK2, MAPK3/ERK1 and the MAP kinase signaling pathway, as well as of the AKT1 signaling pathway. FGFR2 signaling is down-regulated by ubiquitination, internalization and degradation. Mutations that lead to constitutive kinase activation or impair normal FGFR2 maturation, internalization and degradation lead to aberrant signaling. Over-expressed FGFR2 promotes activation of STAT1.
See full target information FGFR2

文献 (6)

Recent publications for all applications. Explore the full list and refine your search

Cancer drug resistance (Alhambra, Calif.) 8:45 PubMed41019981

2025

Cryptotanshinone differentially induces cell death in -deficient pancreatic cancer cells.

Applications

Unspecified application

Species

Unspecified reactive species

Fangquan Chen,Junhao Lin,Xiutao Cai,Hu Tang,Shengfeng Li,Ruirui Liang,Rui Kang,Zhenhui Zhang,Daolin Tang,Jiao Liu

Cell reports. Medicine 6:102217 PubMed40834855

2025

Genomic landscape and immunological profile of glioblastoma in East Asian patients.

Applications

Unspecified application

Species

Unspecified reactive species

Sheng Zhong,Bo Wu,Frank Dubois,Davy Deng,Johann S Bergholz,Wanming Hu,Hao Duan,Yujie Shao,Jingyi Liu,Luwei Liu,Sitong Chen,Yongfei Hu,Zheng Zhao,Maojin Yao,Ke Sai,Jian Wang,Yinsheng Chen,Chao Ke,Xiangheng Zhang,Qunying Yang,Chengcheng Guo,Ji Zhang,Fuhua Lin,Zhenghe Chen,Deipei Li,Zhenqiang He,Chang Li,Xiaobing Jiang,Jie Lu,Wenzhuo Yang,Tao Jiang,Zhongping Chen,Rameen Beroukhim,Jean J Zhao,Yonggao Mou

Stem cell research & therapy 16:253 PubMed40394699

2025

Exosomes derived from adipose-derived stem cells alleviate acute radiation-induced dermatitis through up-regulating hyaluronic acid synthase 1 expression.

Applications

Unspecified application

Species

Unspecified reactive species

Meijia Li,Yuan Tian,Xiaotian Wang,Di Sun,Haiqian Xu,Xinyue Wang,Xinyue Chen,Lijun Hao

Scientific reports 13:13072 PubMed37567936

2023

Taraxasterol suppresses the proliferation and tumor growth of androgen-independent prostate cancer cells through the FGFR2-PI3K/AKT signaling pathway.

Applications

Unspecified application

Species

Unspecified reactive species

Jinqiu Yang,Chulin Xin,Guangfen Yin,Juan Li

Arkhiv patologii 85:40-45 PubMed37272439

2023

[Study of FGFR2 status in gastric cancer by immunohistochemistry and fluorescent in situ hybridization].

Applications

Unspecified application

Species

Unspecified reactive species

G A Raskin,M S Mukhina,E D Kravtsova,I V Tsimafeyeu,S A Tyulandin,N P Belyak,M A Kleshchev,R V Orlova

Investigational new drugs 41:324-332 PubMed36907947

2023

A phase 1b study of the allosteric extracellular FGFR2 inhibitor alofanib in patients with pretreated advanced gastric cancer.

Applications

Unspecified application

Species

Unspecified reactive species

Ilya Tsimafeyeu,Galina Statsenko,Liubov Vladimirova,Natalia Besova,Elena Artamonova,Grigory Raskin,Ivan Rykov,Anastasia Mochalova,Igor Utyashev,Svetlana Gorbacheva,Vasily Kazey,Evgenia Gavrilova,Nadezhda Dragun,Vladimir Moiseyenko,Sergei Tjulandin
View all publications

Abcam product promise

当社は、高品質な試薬を通じてお客様の研究を力強くサポートすることをお約束いたします。ご使用いただく各段階で、常にお客様をサポートできる体制を整えております。万が一、製品が期待通りに機能しない場合は、「Abcam Product Promise」による当社保証制度に基づき、安心してご利用いただけます。
保証に関する詳細については利用規約をご確認ください。

Please note: All products are 'FOR RESEARCH USE ONLY. NOT FOR USE IN DIAGNOSTIC OR THERAPEUTIC PROCEDURES'.

For licensing inquiries, please contact partnerships@abcam.com