JavaScript is disabled in your browser. Please enable JavaScript to view this website.
AB66564

Anti-FGF21 抗体

Anti-FGF21 antibody

Be the first to review this product! Submit a review

|

(5 Publications)

Rabbit Polyclonal FGF21 antibody. Suitable for WB, IHC-P and reacts with Human samples. Cited in 5 publications.

別名を表示する

UNQ3115/PRO10196, FGF21, Fibroblast growth factor 21, FGF-21

2 Images
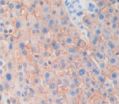
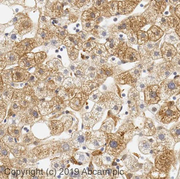
Immunohistochemistry (Formalin/PFA-fixed paraffin-embedded sections) - Anti-FGF21 antibody (AB66564)
  • IHC-P

Lab

Immunohistochemistry (Formalin/PFA-fixed paraffin-embedded sections) - Anti-FGF21 antibody (AB66564)

IHC image of FGF21 antibody staining in a section of formalin-fixed paraffin-embedded human liver HCC* tissue performed on a Leica BONDTM system using the standard protocol. The section was pre-treated using heat mediated antigen retrieval with sodium citrate buffer (pH6, epitope retrieval solution 1) for 20mins. The section was then incubated with ab66564, 5ug/ml, for 15 mins at room temperature and detected using an HRP conjugated compact polymer system. DAB was used as the chromogen. The section was then counterstained with haematoxylin and mounted with DPX.

For other IHC staining systems (automated and non-automated) customers should optimize variable parameters such as antigen retrieval conditions, primary antibody concentration and antibody incubation times.

*Tissue obtained from the Human Research Tissue Bank, supported by the NIHR Cambridge Biomedical Research Centre

Western blot - Anti-FGF21 antibody (AB66564)
  • WB

Project5365****

Western blot - Anti-FGF21 antibody (AB66564)

ab66564 recognizes the full length FGF-21 Human Recombinant Protein which has an expected molecular weight of ~19.5 kDa.

All lanes:

Western blot - Anti-FGF21 antibody (ab66564) at 1 µg/mL

All lanes:

Western blot - Recombinant human FGF21 protein (Active) (<a href='/products/proteins-peptides/recombinant-human-fgf21-protein-active-ab54141'>ab54141</a>) at 0.1 µg

Secondary

All lanes:

Goat polyclonal to Rabbit IgG - H&L - Pre-Adsorbed (HRP) at 1/3000 dilution

Predicted band size: 22 kDa

Observed band size: 24 kDa,45 kDa

false

Key facts

宿主種

Rabbit

クローン性

Polyclonal

アイソタイプ

IgG

キャリアフリー

No

交差種

Human

アプリケーション

IHC-P, WB

applications

免疫原

The exact immunogen used to generate this antibody is proprietary information.

特異性

Expression levels of the target protein vary with sample type and some optimisation may be required (PMID: 27285327). For western blot using cell lines, it may be necessary to collect cell culture supernatant for endogenous FGF21 detection as the target protein is readily secreted (PMID: 24041694; PMID: 26691139).

Reactivity data

{ "title": "Reactivity Data", "filters": { "stats": ["", "Species", "Dilution Info", "Notes"], "tabs": { "all-applications": {"fullname" : "All Applications", "shortname": "All Applications"}, "WB" : {"fullname" : "Western blot", "shortname":"WB"}, "IHCP" : {"fullname" : "Immunohistochemistry (Formalin/PFA-fixed paraffin-embedded sections)", "shortname":"IHC-P"}, "ICCIF" : {"fullname" : "Immunocytochemistry/ Immunofluorescence", "shortname":"ICC/IF"} }, "product-promise": { "all": "all", "testedAndGuaranteed": "tested", "guaranteed": "expected", "predicted": "predicted", "notRecommended": "not-recommended" } }, "values": { "Human": { "WB-species-checked": "testedAndGuaranteed", "WB-species-dilution-info": "1 µg/mL", "WB-species-notes": "<p></p>", "IHCP-species-checked": "testedAndGuaranteed", "IHCP-species-dilution-info": "5 µg/mL", "IHCP-species-notes": "<p></p>", "ICCIF-species-checked": "notRecommended", "ICCIF-species-dilution-info": "", "ICCIF-species-notes": "<p></p>" }, "Mouse": { "WB-species-checked": "predicted", "WB-species-dilution-info": "", "WB-species-notes": "", "IHCP-species-checked": "predicted", "IHCP-species-dilution-info": "", "IHCP-species-notes": "", "ICCIF-species-checked": "notRecommended", "ICCIF-species-dilution-info": "", "ICCIF-species-notes": "" }, "Rat": { "WB-species-checked": "predicted", "WB-species-dilution-info": "", "WB-species-notes": "", "IHCP-species-checked": "predicted", "IHCP-species-dilution-info": "", "IHCP-species-notes": "", "ICCIF-species-checked": "notRecommended", "ICCIF-species-dilution-info": "", "ICCIF-species-notes": "" } } }

出荷温度及び保存条件

製品の状態
Liquid
精製方法
Affinity purification Immunogen
バッファー組成
pH: 7.4 Preservative: 0.02% Sodium azide Constituents: PBS, 1% BSA
出荷温度
Blue Ice
短期保存期間
1-2 weeks
短期保存温度
+4°C
長期保存温度
-20°C
分注に関する情報
Upon delivery aliquot
保管に関する情報
Avoid freeze / thaw cycle

補足情報

This supplementary information is collated from multiple sources and compiled automatically.

FGF21 or fibroblast growth factor 21 is an important metabolic regulator. It is a member of the fibroblast growth factor family but unlike many others FGF21 functions mainly in endocrine signaling. The molecular weight of FGF21 is approximately 22 kDa. This protein is expressed in tissues such as the liver adipose tissue and pancreas. Because of its endocrine roles FGF21 travels through the bloodstream to exert its functions on distant organs.
Biological function summary

FGF21 influences glucose and lipid metabolism. It does not act as part of a larger protein complex. Instead it directly affects metabolic processes enhancing insulin sensitivity and lipid oxidation while reducing body weight. These actions help maintain energy balance and homeostasis making FGF21 an important player in metabolic control.

Pathways

FGF21 plays a significant role in the insulin signaling pathway and PPARγ coactivator 1α (PGC-1α) pathway. These pathways regulate cellular energy metabolism and mitochondrial biogenesis respectively. FGF21 interacts with other molecules such as PPARα (peroxisome proliferator-activated receptor alpha) to exert its effects demonstrating its integration into broader metabolic networks. FGF21's interaction with these pathways highlights its function in energy utilization and storage.

FGF21 has connections to conditions such as obesity and type 2 diabetes. Its role in improving insulin sensitivity and promoting lipid oxidation makes it a molecule of interest in combating metabolic syndrome. FGF21 also has a relationship with hepatic proteins such as insulin receptor substrates (IRS) which play roles in liver functioning. Understanding these relationships offers insights into potential therapeutic strategies targeting metabolic disorders.

製品プロトコール

For this product, it's our understanding that no specific protocols are required. You can visit:

ターゲットの情報

Stimulates glucose uptake in differentiated adipocytes via the induction of glucose transporter SLC2A1/GLUT1 expression (but not SLC2A4/GLUT4 expression). Activity requires the presence of KLB. Regulates systemic glucose homeostasis and insulin sensitivity.
See full target information FGF21

文献 (5)

Recent publications for all applications. Explore the full list and refine your search

United European gastroenterology journal 12:1056-1068 PubMed38894596

2024

Fibroblast growth factor 21 is a hepatokine involved in MASLD progression.

Applications

Unspecified application

Species

Unspecified reactive species

Rocío Gallego-Durán,Javier Ampuero,Douglas Maya-Miles,Helena Pastor-Ramírez,Rocío Montero-Vallejo,Jesús Rivera-Esteban,Leticia Álvarez-Amor,María Jesús Pareja,María Carmen Rico,Raquel Millán,María José Robles-Frías,Rocío Aller,Ángela Rojas,Rocío Muñoz-Hernández,Antonio Gil-Gómez,Sheila Gato,María García-Lozano,María Teresa Arias-Loste,Javier Abad,José Luis Calleja,Raúl J Andrade,Javier Crespo,Águeda González-Rodríguez,Carmelo García-Monzón,Fausto Andreola,Juan Manuel Pericás,Rajiv Jalan,Francisco Martín-Bermudo,Manuel Romero-Gómez

Cell metabolism 30:385-401.e9 PubMed31390551

2019

Generation of Human Fatty Livers Using Custom-Engineered Induced Pluripotent Stem Cells with Modifiable SIRT1 Metabolism.

Applications

Unspecified application

Species

Unspecified reactive species

Alexandra Collin de l'Hortet,Kazuki Takeishi,Jorge Guzman-Lepe,Kazutoyo Morita,Abhinav Achreja,Branimir Popovic,Yang Wang,Kan Handa,Anjali Mittal,Noah Meurs,Ziwen Zhu,Frank Weinberg,Michael Salomon,Ira J Fox,Chu-Xia Deng,Deepak Nagrath,Alejandro Soto-Gutierrez

International journal of molecular medicine 44:469-478 PubMed31173165

2019

Erythropoietin suppresses hepatic steatosis and obesity by inhibiting endoplasmic reticulum stress and upregulating fibroblast growth factor 21.

Applications

Unspecified application

Species

Unspecified reactive species

Ting Hong,Zhijuan Ge,Bingjie Zhang,Ran Meng,Dalong Zhu,Yan Bi

Endocrine 53:97-106 PubMed26758997

2016

Association between insulin resistance and impairment of FGF21 signal transduction in skeletal muscles.

Applications

WB

Species

Unspecified reactive species

Ja Young Jeon,Sung-E Choi,Eun Suk Ha,Tae Ho Kim,Jong Gab Jung,Seung Jin Han,Hae Jin Kim,Dae Jung Kim,Yup Kang,Kwan-Woo Lee

BMC gastroenterology 13:67 PubMed23590285

2013

Activation of Liver FGF21 in hepatocarcinogenesis and during hepatic stress.

Applications

WB, IHC-P

Species

Mouse, Mouse

Chaofeng Yang,Weiqin Lu,Tao Lin,Pan You,Min Ye,Yanqing Huang,Xianhan Jiang,Cong Wang,Fen Wang,Mong-Hong Lee,Sai-Ching J Yeung,Randy L Johnson,Chongjuan Wei,Robert Y Tsai,Marsha L Frazier,Wallace L McKeehan,Yongde Luo
View all publications

Abcam product promise

当社は、高品質な試薬を通じてお客様の研究を力強くサポートすることをお約束いたします。ご使用いただく各段階で、常にお客様をサポートできる体制を整えております。万が一、製品が期待通りに機能しない場合は、「Abcam Product Promise」による当社保証制度に基づき、安心してご利用いただけます。
保証に関する詳細については利用規約をご確認ください。

Please note: All products are 'FOR RESEARCH USE ONLY. NOT FOR USE IN DIAGNOSTIC OR THERAPEUTIC PROCEDURES'.

For licensing inquiries, please contact partnerships@abcam.com