JavaScript is disabled in your browser. Please enable JavaScript to view this website.
AB153825

Anti-FEN1 抗体

Anti-FEN1 antibody

  • JP Deleterious:医薬用外劇物

Be the first to review this product! Submit a review

|

(2 Publications)

Rabbit Polyclonal FEN1 antibody. Suitable for IP, WB, ICC/IF, IHC-P and reacts with Human, Mouse, Rat samples. Cited in 2 publications. Immunogen corresponding to Recombinant Fragment Protein within Human FEN1 aa 150 to C-terminus.

別名を表示する

RAD2, FEN1, Flap endonuclease 1, FEN-1, DNase IV, Flap structure-specific endonuclease 1, Maturation factor 1, MF1, hFEN-1

7 Images
Immunocytochemistry/ Immunofluorescence - Anti-FEN1 antibody (AB153825)
  • ICC/IF

Supplier Data

Immunocytochemistry/ Immunofluorescence - Anti-FEN1 antibody (AB153825)

Immunofluorescence analysis of HeLa cells fixed in 4% paraformaldehyde at RT for 15 min labelling FEN1 protein at nucleus using ab153825 at a 1/500 dilution (Green). alpha Tubulin, a cytoskeleton marker, stained by alpha Tubulin antibody used at a 1/1000 dilution (Red). DAPI was used for nuclear staining (Blue).

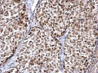
Immunohistochemistry (Formalin/PFA-fixed paraffin-embedded sections) - Anti-FEN1 antibody (AB153825)
  • IHC-P

Supplier Data

Immunohistochemistry (Formalin/PFA-fixed paraffin-embedded sections) - Anti-FEN1 antibody (AB153825)

Immunohistochemical analysis of paraffin embedded human breast carcinoma tissue stained for FEN1 protein at nucleus with ab153825 at a 1/500 dilution.

Antigen retrieval : Trilogy™ (EDTA based, pH 8.0) buffer, 15min

Immunoprecipitation - Anti-FEN1 antibody (AB153825)
  • IP

Supplier Data

Immunoprecipitation - Anti-FEN1 antibody (AB153825)

Samples were separated by 10 % SDS PAGE. The immunoprecipitated FEN1 protein was detected by ab153825 diluted at 1/500.

All lanes:

Immunoprecipitation - Anti-FEN1 antibody (ab153825) at 4 µg

Lane 1:

Jurkat whole cell extract at 30 µg

Lane 2:

Jurkat whole cell extract with Control IgG

Lane 3:

Jurkat whole cell extract with ab153825

Secondary

All lanes:

EasyBlot anti Rabbit IgG

Predicted band size: 43 kDa

false

Western blot - Anti-FEN1 antibody (AB153825)
  • WB

Supplier Data

Western blot - Anti-FEN1 antibody (AB153825)

Samples were separated by 10% SDS-PAGE. The signal was developed with Trident ECL plus Enhanced.

All lanes:

Western blot - Anti-FEN1 antibody (ab153825) at 1/1000 dilution

All lanes:

HepG2 Whole cell extract at 30 µg

Secondary

All lanes:

HRP conjugated anti rabbit IgG antibody

Predicted band size: 43 kDa

true

Western blot - Anti-FEN1 antibody (AB153825)
  • WB

Unknown

Western blot - Anti-FEN1 antibody (AB153825)

10% SDS-PAGE

All lanes:

Western blot - Anti-FEN1 antibody (ab153825) at 1/1000 dilution

Lane 1:

NIH 3T3 whole cell lysate at 30 µg

Lane 2:

JC whole cell lysate at 30 µg

Lane 3:

BCL1 whole cell lysate at 30 µg

Lane 4:

Raw264.7 whole cell lysate at 30 µg

Predicted band size: 43 kDa

false

Western blot - Anti-FEN1 antibody (AB153825)
  • WB

Unknown

Western blot - Anti-FEN1 antibody (AB153825)

10% SDS-PAGE

All lanes:

Western blot - Anti-FEN1 antibody (ab153825) at 1/1000 dilution

All lanes:

PC12 whole cell lysate at 30 µg

Predicted band size: 43 kDa,50 kDa

false

Immunocytochemistry/ Immunofluorescence - Anti-FEN1 antibody (AB153825)
  • ICC/IF

Unknown

Immunocytochemistry/ Immunofluorescence - Anti-FEN1 antibody (AB153825)

Immunofluorescence analysis of paraformaldehyde fixed A549 cells labeling FEN1 with ab153825 at 1/200. The lower panel is merged with DNA probe.

Key facts

宿主種

Rabbit

クローン性

Polyclonal

アイソタイプ

IgG

キャリアフリー

No

交差種

Mouse, Rat, Human

アプリケーション

IHC-P, WB, IP, ICC/IF

applications

免疫原

Recombinant Fragment Protein within Human FEN1 aa 150 to C-terminus. The exact immunogen used to generate this antibody is proprietary information.

P39748

Reactivity data

{ "title": "Reactivity Data", "filters": { "stats": ["", "Species", "Dilution Info", "Notes"], "tabs": { "all-applications": {"fullname" : "All Applications", "shortname": "All Applications"}, "IP" : {"fullname" : "Immunoprecipitation", "shortname":"IP"}, "WB" : {"fullname" : "Western blot", "shortname":"WB"}, "ICCIF" : {"fullname" : "Immunocytochemistry/ Immunofluorescence", "shortname":"ICC/IF"}, "IHCP" : {"fullname" : "Immunohistochemistry (Formalin/PFA-fixed paraffin-embedded sections)", "shortname":"IHC-P"} }, "product-promise": { "all": "all", "testedAndGuaranteed": "tested", "guaranteed": "expected", "predicted": "predicted", "notRecommended": "not-recommended" } }, "values": { "Human": { "IP-species-checked": "testedAndGuaranteed", "IP-species-dilution-info": "1/100 - 1/500", "IP-species-notes": "<p></p>", "WB-species-checked": "testedAndGuaranteed", "WB-species-dilution-info": "1/500 - 1/3000", "WB-species-notes": "<p></p>", "ICCIF-species-checked": "testedAndGuaranteed", "ICCIF-species-dilution-info": "1/100 - 1/1000", "ICCIF-species-notes": "<p></p>", "IHCP-species-checked": "testedAndGuaranteed", "IHCP-species-dilution-info": "1/100 - 1/1000", "IHCP-species-notes": "<p>Perform heat mediated antigen retrieval before commencing with IHC staining protocol using heat mediated 10mM Citrate buffer (pH6.0) or Tris-EDTA buffer (pH8.0).</p>" }, "Mouse": { "IP-species-checked": "guaranteed", "IP-species-dilution-info": "", "IP-species-notes": "", "WB-species-checked": "testedAndGuaranteed", "WB-species-dilution-info": "1/500 - 1/3000", "WB-species-notes": "<p></p>", "ICCIF-species-checked": "guaranteed", "ICCIF-species-dilution-info": "", "ICCIF-species-notes": "", "IHCP-species-checked": "guaranteed", "IHCP-species-dilution-info": "", "IHCP-species-notes": "" }, "Rat": { "IP-species-checked": "guaranteed", "IP-species-dilution-info": "", "IP-species-notes": "", "WB-species-checked": "testedAndGuaranteed", "WB-species-dilution-info": "1/500 - 1/3000", "WB-species-notes": "<p></p>", "ICCIF-species-checked": "guaranteed", "ICCIF-species-dilution-info": "", "ICCIF-species-notes": "", "IHCP-species-checked": "guaranteed", "IHCP-species-dilution-info": "", "IHCP-species-notes": "" } } }

出荷温度及び保存条件

製品の状態
Liquid
精製方法
Affinity purification Immunogen
バッファー組成
pH: 7 Preservative: 0.01% Thimerosal (merthiolate) Constituents: 10% Glycerol (glycerin, glycerine), 1.21% Tris, 0.75% Glycine
出荷温度
Blue Ice
短期保存温度
+4°C
長期保存温度
-20°C
分注に関する情報
Upon delivery aliquot
保管に関する情報
Avoid freeze / thaw cycle

補足情報

This supplementary information is collated from multiple sources and compiled automatically.

Flap Endonuclease 1 known as FEN1 or FEN-1 is an important protein involved in DNA replication and repair. This protein shows a molecular weight of approximately 42 kDa. FEN1 functions as an endonuclease where it removes 5’ overhanging flaps in DNA products that occur during DNA replication and repair processes. It expresses in a wide range of human tissues with significant presence in the nucleus where DNA synthesis mainly occurs.
Biological function summary

FEN1 plays an important role in the Okazaki fragment maturation during lagging strand synthesis and long-patch base excision repair. FEN1 is not a solitary actor; it forms a part of larger complexes essential for maintaining genomic stability. It works closely with proliferating cell nuclear antigen (PCNA) to enhance its function and to interact with other proteins essential for the stability of the DNA.

Pathways

DNA replication and repair processes heavily rely on the activity of FEN1. It’s a component of the DNA replication fork protection and repair pathway and interacts with other proteins such as DNA polymerase and DNA ligase I to complete the repair process. Efficient DNA replication ensures accurate genomic duplication preventing mutations that could lead to severe cellular malfunction.

FEN1 is linked to the development of cancer and neurodegenerative diseases like Huntington's disease. FEN1 mutations or malfunction can result in genomic instability and an increased risk of tumorigenesis. In the context of neurodegenerative diseases deficiencies in FEN1 activity may disrupt the repair of oxidative DNA damage which is an important feature of disorders like Huntington's. These insights highlight the need for further research into FEN1's role and interactions to develop potential therapeutic strategies.

製品プロトコール

For this product, it's our understanding that no specific protocols are required. You can visit:

ターゲットの情報

Structure-specific nuclease with 5'-flap endonuclease and 5'-3' exonuclease activities involved in DNA replication and repair. During DNA replication, cleaves the 5'-overhanging flap structure that is generated by displacement synthesis when DNA polymerase encounters the 5'-end of a downstream Okazaki fragment. It enters the flap from the 5'-end and then tracks to cleave the flap base, leaving a nick for ligation. Also involved in the long patch base excision repair (LP-BER) pathway, by cleaving within the apurinic/apyrimidinic (AP) site-terminated flap. Acts as a genome stabilization factor that prevents flaps from equilibrating into structures that lead to duplications and deletions. Also possesses 5'-3' exonuclease activity on nicked or gapped double-stranded DNA, and exhibits RNase H activity. Also involved in replication and repair of rDNA and in repairing mitochondrial DNA.
See full target information FEN1

文献 (2)

Recent publications for all applications. Explore the full list and refine your search

Journal of ovarian research 15:32 PubMed35246224

2022

miR-4324 inhibits ovarian cancer progression by targeting FEN1.

Applications

Unspecified application

Species

Unspecified reactive species

Haixia Wu,Youliang Yan,Jialin Yuan,Mengze Luo,Yingjian Wang

Nucleic acids research 49:4864-4876 PubMed33928345

2021

Short DNA/RNA heteroduplex oligonucleotide interacting proteins are key regulators of target gene silencing.

Applications

Unspecified application

Species

Unspecified reactive species

Ken Asada,Fumika Sakaue,Tetsuya Nagata,Ji-Chun Zhang,Kie Yoshida-Tanaka,Aya Abe,Makiko Nawa,Kazutaka Nishina,Takanori Yokota
View all publications

Abcam product promise

当社は、高品質な試薬を通じてお客様の研究を力強くサポートすることをお約束いたします。ご使用いただく各段階で、常にお客様をサポートできる体制を整えております。万が一、製品が期待通りに機能しない場合は、「Abcam Product Promise」による当社保証制度に基づき、安心してご利用いただけます。
保証に関する詳細については利用規約をご確認ください。

関連製品

Select an associated product type
Alternative Product
Primary Antibodies

AB109132

Anti-FEN1 antibody [EPR4460(2)]

primary-antibodies

fen1-antibody-epr44602-ab109132

0

(0 reviews)

Alternative Product
Primary Antibodies

AB133311

Anti-FEN1 antibody [EPR4459(2)]

primary-antibodies

fen1-antibody-epr44592-ab133311

0

(0 reviews)

Alternative Product
Primary Antibodies

AB239948

Anti-FEN1 antibody [EPR4460(2)] - BSA and Azide free

primary-antibodies

fen1-antibody-epr44602-bsa-and-azide-free-ab239948

0

(0 reviews)

Alternative Product
Primary Antibodies

AB17994

Anti-FEN1 antibody

primary-antibodies

fen1-antibody-ab17994

3

(2 reviews)

Please note: All products are 'FOR RESEARCH USE ONLY. NOT FOR USE IN DIAGNOSTIC OR THERAPEUTIC PROCEDURES'.

For licensing inquiries, please contact partnerships@abcam.com