JavaScript is disabled in your browser. Please enable JavaScript to view this website.
AB5668

Anti-FE65 抗体

Anti-FE65 antibody

Be the first to review this product! Submit a review

|

(2 Publications)

Rabbit Polyclonal FE65 antibody. Suitable for WB, ICC/IF and reacts with Mouse, Rat, Human samples. Cited in 2 publications.

別名を表示する

Fe65, Rir, Amyloid beta precursor protein binding family B member 1, Amyloid-beta A4 precursor protein-binding family B member 1, Protein Fe65

3 Images
Immunocytochemistry/ Immunofluorescence - Anti-FE65 antibody (AB5668)
  • ICC/IF

Supplier Data

Immunocytochemistry/ Immunofluorescence - Anti-FE65 antibody (AB5668)

Immunofluorescent analysis of 4% paraformaldehyde-fixed, 0.1% Triton™ X-100 permeabilized, 70% confluent log phase SH-SY5Y (Human neuroblastoma cell line from bone marrow) cells, blocked with 1% BSA for 1 hour at room temperature. Labelling Fe65 with ab5668 at 2 μg/mL and incubated for 3 hours at room temperature and then labelled with Goat anti-Rabbit IgG secondary antibody, Alexa Fluor® 488 conjugate at a dilution of 1/2000 for 45 minutes at room temperature (Green). Nuclei were stained with SlowFade® Gold Antifade Mountant with DAPI (Blue). F-actin was stained with Alexa Fluor® 555 Rhodamine Phalloidin at a dilution of 1/300 (Red). Panel e shows the no primary antibody control. The images were captured at 60X magnification.

Western blot - Anti-FE65 antibody (AB5668)
  • WB

Unknown

Western blot - Anti-FE65 antibody (AB5668)

Western blot of Fe65-affinity pulldown materials from mouse brain lysate using ab5668. Lane 1 is an immunopurified sample from a full-length Fe65 Knockout mouse. Lane 2 is an immunopurified sample from an Fe65 wild type mouse.

All lanes:

Western blot - Anti-FE65 antibody (ab5668)

Predicted band size: 77 kDa

false

Western blot - Anti-FE65 antibody (AB5668)
  • WB

Supplier Data

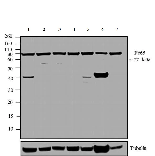
Western blot - Anti-FE65 antibody (AB5668)

Detection : chemiluminescence

All lanes:

Western blot - Anti-FE65 antibody (ab5668) at 2 µg/mL

Lane 1:

U-87 MG (Human glioblastoma-astrocytoma epithelial cell line) whole cell lysate at 30 µg with blocking with 5 % skimmed milk

Lane 2:

SH-SY5Y (Human neuroblastoma cell line from bone marrow) whole cell lysate at 30 µg with blocking with 5 % skimmed milk

Lane 3:

NTERA-2 (Human malignant pluripotent embryonic carcinoma cell line) whole cell lysate at 30 µg with blocking with 5 % skimmed milk

Lane 4:

U-2 OS (Human bone osteosarcoma epithelial cell line) whole cell lysate at 30 µg with blocking with 5 % skimmed milk

Lane 5:

A549 (Human lung carcinoma cell line) whole cell lysate at 30 µg with blocking with 5 % skimmed milk

Lane 6:

Mouse Brain at 30 µg with blocking with 5 % skimmed milk

Lane 7:

PC-12 (Rat adrenal gland pheochromocytoma cell line) whole cell lysate at 30 µg with blocking with 5 % skimmed milk

Secondary

All lanes:

HRP conjugated Goat anti-Rabbit IgG at 1/2500 dilution

Predicted band size: 77 kDa

Observed band size: ~77 kDa

false

Key facts

宿主種

Rabbit

クローン性

Polyclonal

アイソタイプ

IgG

キャリアフリー

No

交差種

Mouse, Rat, Human

アプリケーション

WB, ICC/IF

applications

免疫原

The exact immunogen used to generate this antibody is proprietary information.

特異性

This antibody does not detect endogenous levels of Fe65.

Reactivity data

{ "title": "Reactivity Data", "filters": { "stats": ["", "Species", "Dilution Info", "Notes"], "tabs": { "all-applications": {"fullname" : "All Applications", "shortname": "All Applications"}, "WB" : {"fullname" : "Western blot", "shortname":"WB"}, "ICCIF" : {"fullname" : "Immunocytochemistry/ Immunofluorescence", "shortname":"ICC/IF"} }, "product-promise": { "all": "all", "testedAndGuaranteed": "tested", "guaranteed": "expected", "predicted": "predicted", "notRecommended": "not-recommended" } }, "values": { "Human": { "WB-species-checked": "testedAndGuaranteed", "WB-species-dilution-info": "0.2 µg/mL", "WB-species-notes": "<p></p>", "ICCIF-species-checked": "testedAndGuaranteed", "ICCIF-species-dilution-info": "2 µg/mL", "ICCIF-species-notes": "<p></p>" }, "Mouse": { "WB-species-checked": "testedAndGuaranteed", "WB-species-dilution-info": "0.2 µg/mL", "WB-species-notes": "<p></p>", "ICCIF-species-checked": "guaranteed", "ICCIF-species-dilution-info": "", "ICCIF-species-notes": "" }, "Rat": { "WB-species-checked": "testedAndGuaranteed", "WB-species-dilution-info": "0.2 µg/mL", "WB-species-notes": "<p></p>", "ICCIF-species-checked": "guaranteed", "ICCIF-species-dilution-info": "", "ICCIF-species-notes": "" } } }

出荷温度及び保存条件

製品の状態
Liquid
精製方法
Affinity purification Immunogen
バッファー組成
Preservative: 0.05% Sodium azide Constituents: 99% PBS, 0.1% BSA
出荷温度
Blue Ice
短期保存期間
1-2 weeks
短期保存温度
+4°C
長期保存温度
-20°C
分注に関する情報
Upon delivery aliquot
保管に関する情報
Avoid freeze / thaw cycle

補足情報

This supplementary information is collated from multiple sources and compiled automatically.

FE65 also known as APBB1 is a protein with a molecular mass of approximately 65 kDa. It belongs to the family of adaptor proteins with important roles in different cellular processes. This protein is expressed abundantly in the brain particularly in neurons where it interacts with other proteins to mediate signaling pathways. FE65 contains several conserved domains including a WW domain and two phosphotyrosine-binding (PTB) domains which facilitate its interaction with multiple partners.
Biological function summary

FE65 plays a significant role in neuronal development and cognitive functions. It is part of a protein complex that includes the amyloid precursor protein (APP). This complex is important for the regulation of gene expression and cellular communication. FE65 also affects the nuclear signaling by interacting with the chromatin-remodeling complex. These interactions suggest that FE65 has a hand in influencing transcriptional activities within the cell.

Pathways

FE65 is involved in the APP processing pathway and the development of Alzheimer's disease. It interacts with APP and influences its role in the cleavage and formation of amyloid-beta peptides. These peptides are key factors within the Alzheimer's disease pathway. Moreover FE65 connects with other proteins such as Abl which is involved in cell differentiation and migration processes. Through these pathways FE65 contributes to a broad range of neuronal functions and activities.

FE65 has a close connection to Alzheimer’s disease and cognitive impairments. In Alzheimer's disease FE65 interacts with APP modulating the production of amyloid-beta an important pathological component of the disease. The accumulation of amyloid-beta is linked to the progression of symptoms in Alzheimer’s patients. Additionally FE65 is associated with other proteins related to neuronal dysfunction and synaptic plasticity which may impact cognitive disorders.

製品プロトコール

For this product, it's our understanding that no specific protocols are required. You can visit:

ターゲットの情報

Transcription coregulator that can have both coactivator and corepressor functions (PubMed : 17121854, PubMed : 25342469). Adapter protein that forms a transcriptionally active complex with the gamma-secretase-derived amyloid precursor protein (APP) intracellular domain (PubMed : 17121854, PubMed : 25342469). Plays a central role in the response to DNA damage by translocating to the nucleus and inducing apoptosis. May act by specifically recognizing and binding histone H2AX phosphorylated on 'Tyr-142' (H2AXY142ph) at double-strand breaks (DSBs), recruiting other pro-apoptosis factors such as MAPK8/JNK1. Required for histone H4 acetylation at double-strand breaks (DSBs) (By similarity). Its ability to specifically bind modified histones and chromatin modifying enzymes such as KAT5/TIP60, probably explains its transcription activation activity (By similarity). Functions in association with TSHZ3, SET and HDAC factors as a transcriptional repressor, that inhibits the expression of CASP4. Associates with chromatin in a region surrounding the CASP4 transcriptional start site(s) (By similarity). Involved in hippocampal neurite branching and neuromuscular junction formation, as a result plays a role in spatial memory functioning (PubMed : 27734846). Plays a role in the maintenance of lens transparency (PubMed : 25757569). May play a role in muscle cell strength (PubMed : 25757569, PubMed : 27734846). Acts as a molecular adapter that functions in neurite outgrowth by activating the RAC1-ARF6 axis upon insulin treatment (By similarity).
See full target information Apbb1

文献 (2)

Recent publications for all applications. Explore the full list and refine your search

Acta neuropathologica 144:911-938 PubMed36104602

2022

A CHCHD6-APP axis connects amyloid and mitochondrial pathology in Alzheimer's disease.

Applications

Unspecified application

Species

Unspecified reactive species

Yutong Shang,Xiaoyan Sun,Xiaoqin Chen,Quanqiu Wang,Evan J Wang,Emiko Miller,Rong Xu,Andrew A Pieper,Xin Qi

Proceedings of the National Academy of Sciences of the United States of America 104:10613-8 PubMed17556541

2007

Presenilin/gamma-secretase-dependent processing of beta-amyloid precursor protein regulates EGF receptor expression.

Applications

ChIP

Species

Mouse

Yun-wu Zhang,Ruishan Wang,Qiang Liu,Han Zhang,Francesca-Fang Liao,Huaxi Xu
View all publications

Abcam product promise

当社は、高品質な試薬を通じてお客様の研究を力強くサポートすることをお約束いたします。ご使用いただく各段階で、常にお客様をサポートできる体制を整えております。万が一、製品が期待通りに機能しない場合は、「Abcam Product Promise」による当社保証制度に基づき、安心してご利用いただけます。
保証に関する詳細については利用規約をご確認ください。

Please note: All products are 'FOR RESEARCH USE ONLY. NOT FOR USE IN DIAGNOSTIC OR THERAPEUTIC PROCEDURES'.

For licensing inquiries, please contact partnerships@abcam.com