JavaScript is disabled in your browser. Please enable JavaScript to view this website.
AB303667

Anti-Fas Ligand 抗体 [G247-4] - BSA and Azide Free

Anti-Fas Ligand antibody [G247-4] - BSA and Azide Free

Be the first to review this product! Submit a review

|

(0 Publication)

Mouse Recombinant Monoclonal Fas Ligand antibody. Carrier free. Suitable for WB and reacts with Human samples.

別名を表示する

CD178, APT1LG1, CD95L, FASL, TNFSF6, FASLG, Tumor necrosis factor ligand superfamily member 6, Apoptosis antigen ligand, CD95 ligand, Fas antigen ligand, APTL, CD95-L, Fas ligand, FasL

2 Images
Western blot - Anti-Fas Ligand antibody [G247-4] - BSA and Azide Free (AB303667)
  • WB

Supplier Data

Western blot - Anti-Fas Ligand antibody [G247-4] - BSA and Azide Free (AB303667)

This data was developed using ab303666, the same antibody clone in a different buffer formulation.

Blocking and diluting buffer and concentration : 5% NFDM/TBST

This blot was developed using a high sensitivity ECL substrate. The high-sensitivity ECL substrate used allows for the detection of proteins in the mid-femtogram range.

All lanes:

Western blot - Anti-Fas Ligand antibody [G247-4] (<a href='/products/primary-antibodies/fas-ligand-antibody-g247-4-ab303666'>ab303666</a>) at 1/1000 dilution

Lane 1:

Untreated No-GFP-CD16.NK-92 (natural killer (NK-92®) cell lacking GFP-CD16) whole cell lysate at 30 µg

Lane 2:

No-GFP-CD16.NK-92 treated with 80nM TPA (<a href='/products/biochemicals/phorbol-12-myristate-13-acetate-pma-pkc-activator-ab120297'>ab120297</a>) and 3µM Ionomycin (<a href='/products/biochemicals/ionomycin-ca2-salt-ca2-ionophore-ab120116'>ab120116</a>) for 5 hours, was then added for an additional 300ng/ml BFA for last 4 hours whole cell lysate at 20 µg

Secondary

All lanes:

Peroxidase-Conjugated Goat anti-Mouse IgG (H+L) (ZB-2305) at 1/10000 dilution

Observed band size: 40 kDa

true

Exposure time: 3min

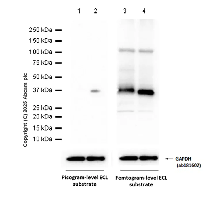
Western blot - Anti-Fas Ligand antibody [G247-4] - BSA and Azide Free (AB303667)
  • WB

Lab

Western blot - Anti-Fas Ligand antibody [G247-4] - BSA and Azide Free (AB303667)

This data was developed using ab303666, the same antibody clone in a different buffer formulation.

In Western blot, Anti-GAPDH antibody [EPR16891] - Loading Control (ab181602) staining at 1/1000000 dilution.

We recommend optimizing the protocol to enhance signal intensity by increasing protein loading (30-50 μg/lane), reducing primary antibody dilution (1 : 500), and utilizing femtogram-level ECL substrates.

All lanes:

Western blot - Anti-Fas Ligand antibody [G247-4] (<a href='/products/primary-antibodies/fas-ligand-antibody-g247-4-ab303666'>ab303666</a>) at 1/1000 dilution

Lanes 1 and 3:

Untreated No-GFP-CD16.NK-92 (natural killer (NK-92®) cell lacking GFP-CD16) whole cell lysate at 20 µg

Lanes 2 and 4:

No-GFP-CD16.NK-92 treated with 80nM TPA (<a href='/products/biochemicals/phorbol-12-myristate-13-acetate-pma-pkc-activator-ab120297'>ab120297</a>) and 3µM Ionomycin (<a href='/products/biochemicals/ionomycin-ca2-salt-ca2-ionophore-ab120116'>ab120116</a>) for 5 hours, was then added for an additional 300ng/ml BFA for last 4 hours whole cell lysate at 20 µg

Secondary

All lanes:

Western blot - Goat Anti-Rabbit IgG H&L (HRP) (<a href='/products/secondary-antibodies/goat-rabbit-igg-h-l-hrp-ab97051'>ab97051</a>) at 1/20000 dilution

Observed band size: 40 kDa

true

Exposure time: 40s

関連する標識済み抗体及び組成の異なる製品 (1)

Key facts

宿主種

Mouse

クローン性

Monoclonal

クローン番号

G247- 4

アイソタイプ

IgG1

キャリアフリー

Yes

交差種

Human

アプリケーション

WB

applications

免疫原

The exact immunogen used to generate this antibody is proprietary information.

Reactivity data

{ "title": "Reactivity Data", "filters": { "stats": ["", "Species", "Dilution Info", "Notes"], "tabs": { "all-applications": {"fullname" : "All Applications", "shortname": "All Applications"}, "WB" : {"fullname" : "Western blot", "shortname":"WB"}, "IHCP" : {"fullname" : "Immunohistochemistry (Formalin/PFA-fixed paraffin-embedded sections)", "shortname":"IHC-P"}, "FlowCyt" : {"fullname" : "Flow Cytometry", "shortname":"Flow Cyt"} }, "product-promise": { "all": "all", "testedAndGuaranteed": "tested", "guaranteed": "expected", "predicted": "predicted", "notRecommended": "not-recommended" } }, "values": { "Human": { "WB-species-checked": "testedAndGuaranteed", "WB-species-dilution-info": "", "WB-species-notes": "<p>We recommend optimizing the protocol to enhance signal intensity by increasing protein loading (30-50 μg/lane), reducing primary antibody dilution (1:500), and utilizing femtogram-level ECL substrates.</p>", "IHCP-species-checked": "notRecommended", "IHCP-species-dilution-info": "", "IHCP-species-notes": "<p></p>", "FlowCyt-species-checked": "notRecommended", "FlowCyt-species-dilution-info": "", "FlowCyt-species-notes": "<p></p>" }, "Mouse": { "WB-species-checked": "notRecommended", "WB-species-dilution-info": "", "WB-species-notes": "<p></p>", "IHCP-species-checked": "notRecommended", "IHCP-species-dilution-info": "", "IHCP-species-notes": "<p></p>", "FlowCyt-species-checked": "notRecommended", "FlowCyt-species-dilution-info": "", "FlowCyt-species-notes": "" }, "Rat": { "WB-species-checked": "notRecommended", "WB-species-dilution-info": "", "WB-species-notes": "<p></p>", "IHCP-species-checked": "notRecommended", "IHCP-species-dilution-info": "", "IHCP-species-notes": "<p></p>", "FlowCyt-species-checked": "notRecommended", "FlowCyt-species-dilution-info": "", "FlowCyt-species-notes": "" } } }

製品の詳細

ab303667 is a carrier free version of ab303666.

What are the advantages of a recombinant monoclonal antibody?
This product is a recombinant monoclonal antibody, which offers several advantages including:

  • - High batch-to-batch consistency and reproducibility
  • - Improved sensitivity and specificity
  • - Long-term security of supply
  • - Animal-free batch production

For more information, read more on recombinant antibodies.

Want a custom formulation?
This antibody clone is manufactured by Abcam. If you require a custom buffer formulation or conjugation for your experiments, please contact orders@abcam.com

Conjugation ready
Our carrier-free antibodies are typically supplied in a PBS-only formulation, purified and free of BSA, sodium azide and glycerol. This conjugation-ready format is designed for use with fluorochromes, metal isotopes, oligonucleotides, and enzymes, which makes them ideal for antibody labelling, functional and cell-based assays, flow-based assays (e.g. mass cytometry) and Multiplex Imaging applications.

Use our conjugation kits for antibody conjugates that are ready-to-use in as little as 20 minutes with 1 minute hands-on-time and 100% antibody recovery: available for fluorescent dyes, HRP, biotin and gold.

Compatibility
This product is compatible with the Maxpar® Antibody Labeling Kit from Fluidigm, without the need for antibody preparation. Maxpar® is a trademark of Fluidigm Canada Inc.

出荷温度及び保存条件

製品の状態
Liquid
精製方法
Affinity purification Protein A
バッファー組成
pH: 7.2 - 7.4 Constituents: PBS
出荷温度
Blue Ice
短期保存温度
+4°C
長期保存温度
+4°C
保管に関する情報
Do Not Freeze

製品プロトコール

For this product, it's our understanding that no specific protocols are required. You can visit:

ターゲットの情報

Cytokine that binds to TNFRSF6/FAS, a receptor that transduces the apoptotic signal into cells (PubMed : 26334989, PubMed : 9228058). Involved in cytotoxic T-cell-mediated apoptosis, natural killer cell-mediated apoptosis and in T-cell development (PubMed : 7528780, PubMed : 9228058, PubMed : 9427603). Initiates fratricidal/suicidal activation-induced cell death (AICD) in antigen-activated T-cells contributing to the termination of immune responses (By similarity). TNFRSF6/FAS-mediated apoptosis has also a role in the induction of peripheral tolerance (By similarity). Binds to TNFRSF6B/DcR3, a decoy receptor that blocks apoptosis (PubMed : 27806260).. Tumor necrosis factor ligand superfamily member 6, soluble form. Induces FAS-mediated activation of NF-kappa-B, initiating non-apoptotic signaling pathways (By similarity). Can induce apoptosis but does not appear to be essential for this process (PubMed : 27806260).. FasL intracellular domain. Cytoplasmic form induces gene transcription inhibition.
See full target information FASLG

Abcam product promise

当社は、高品質な試薬を通じてお客様の研究を力強くサポートすることをお約束いたします。ご使用いただく各段階で、常にお客様をサポートできる体制を整えております。万が一、製品が期待通りに機能しない場合は、「Abcam Product Promise」による当社保証制度に基づき、安心してご利用いただけます。
保証に関する詳細については利用規約をご確認ください。

Please note: All products are 'FOR RESEARCH USE ONLY. NOT FOR USE IN DIAGNOSTIC OR THERAPEUTIC PROCEDURES'.

For licensing inquiries, please contact partnerships@abcam.com