JavaScript is disabled in your browser. Please enable JavaScript to view this website.
AB108928

Anti-FANCD2 抗体 [EPR2302]

Anti-FANCD2 antibody [EPR2302]

5

(4 Reviews)

|

(64 Publications)

Anti-FANCD2 antibody [EPR2302] (ab108928) is a rabbit monoclonal antibody detecting FANCD2 in Western Blot, Flow Cytometry (Intra), IP, IHC-P, ICC/IF. Suitable for Human, Mouse, Rat.

- KO validated for confirmed specificity
- Biophysical QC for unrivalled batch-batch consistency
- Over 40 publications

別名を表示する

FACD, FANCD2, Fanconi anemia group D2 protein, Protein FACD2

12 Images
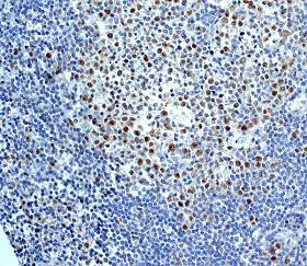
Immunohistochemistry (Formalin/PFA-fixed paraffin-embedded sections) - Anti-FANCD2 antibody [EPR2302] (AB108928)
  • IHC-P

Unknown

Immunohistochemistry (Formalin/PFA-fixed paraffin-embedded sections) - Anti-FANCD2 antibody [EPR2302] (AB108928)

Immunohistochemistry (Formalin/PFA-fixed paraffin-embedded sections) analysis of Human tonsil tissue sections labeling FANCD2 with purified ab108928 at 1/50 dilution (3.6 µg/ml). Perform heat mediated antigen retrieval using ab93684 (Tris/EDTA buffer, pH 9.0). ImmunoHistoProbe one step HRP Polymer (ready to use) was used as the secondary antibody. Negative control : PBS instead of the primary antibody. Hematoxylin was used as a counterstain.

Immunocytochemistry/ Immunofluorescence - Anti-FANCD2 antibody [EPR2302] (AB108928)
  • ICC/IF

Lab

Immunocytochemistry/ Immunofluorescence - Anti-FANCD2 antibody [EPR2302] (AB108928)

ab108928 (unpurified) staining FANCD2 in wild-type HAP1 cells (top panel) and FANCD2 knockout HAP1 cells (bottom panel). The cells were fixed with 4% formaldehyde (10 minutes), permeabilized with 0.1% Triton X-100 for 5 minutes and then blocked with 1% BSA/10% normal goat serum/0.3M glycine in 0.1% PBS-Tween for 1 hour. The cells were then incubated with ab108928 at 1/250 dilution and ab195889 at 1/250 dilution (shown in pseudo colour red) overnight at +4°C, followed by a further incubation at room temperature for 1 hour with a goat secondary antibody to Rabbit IgG (Alexa Fluor® 488) (ab150081) at 2 μg/ml (shown in green). Nuclear DNA was labelled in blue with DAPI.

Immunocytochemistry/ Immunofluorescence - Anti-FANCD2 antibody [EPR2302] (AB108928)
  • ICC/IF

AbReview42329****

Immunocytochemistry/ Immunofluorescence - Anti-FANCD2 antibody [EPR2302] (AB108928)

ab108928 (unpurified) staining FANCD2 in human U2OS osteosarcoma cells by ICC/IF (Immunocytochemistry/immunofluorescence). Cells were fixed with paraformaldehyde, permeabilized with 0.5% Triton X-100 and blocked with 10% goat serum for 1 hour at 20°C. Samples were incubated with primary antibody (1/300) for 18 hours at 4°C. An Alexa Fluor® 488-conjugated goat anti-rabbit IgG monoclonal (1/1000) was used as the secondary antibody.

This image is courtesy of an anonymous Abreview

Flow Cytometry (Intracellular) - Anti-FANCD2 antibody [EPR2302] (AB108928)
  • Flow Cyt (Intra)

Unknown

Flow Cytometry (Intracellular) - Anti-FANCD2 antibody [EPR2302] (AB108928)

Intracellular Flow Cytometry analysis of Jurkat (human acute T cell leukemia) cells labeling FANCD2 (red) with ab108928 (purified) at a 1/200 dilution. Cells were fixed with 4% paraformaldehyde and permeabilized with 90% methanol. A goat anti-rabbit IgG (Alexa Fluorr® 488) (ab150077) was used as the secondary antibody at a 1/2000 dilution. Black - Rabbit monoclonal IgG (ab172730). Blue (unlabeled control) - Cells without incubation with primary and secondary antibodies.

Immunocytochemistry/ Immunofluorescence - Anti-FANCD2 antibody [EPR2302] (AB108928)
  • ICC/IF

Unknown

Immunocytochemistry/ Immunofluorescence - Anti-FANCD2 antibody [EPR2302] (AB108928)

HeLa (human epithelial cell line from cervix adenocarcinoma) cells stained for FANCD2 (green) using ab108928 (unpurified) (1/250 dilution) in ICC/IF.

Immunohistochemistry (Formalin/PFA-fixed paraffin-embedded sections) - Anti-FANCD2 antibody [EPR2302] (AB108928)
  • IHC-P

Unknown

Immunohistochemistry (Formalin/PFA-fixed paraffin-embedded sections) - Anti-FANCD2 antibody [EPR2302] (AB108928)

Immunohistochemical staining of paraffin-embedded human tonsil tissue using ab108928 (unpurified) at a dilution of 1/100.

Perform heat mediated antigen retrieval before commencing with IHC staining protocol.

Immunocytochemistry/ Immunofluorescence - Anti-FANCD2 antibody [EPR2302] (AB108928)
  • ICC/IF

Unknown

Immunocytochemistry/ Immunofluorescence - Anti-FANCD2 antibody [EPR2302] (AB108928)

Immunocytochemistry/ Immunofluorescence analysis of HeLa (Human cervix adenocarcinoma epithelial cell) cells labeling FANCD2 with purified ab108928 at 1/500 dilution (0.4 μg/ml). Cells were fixed in 4% Paraformaldehyde and permeabilized with 0.1% tritonX-100. Cells were counterstained with ab195889 Anti-alpha Tubulin antibody [DM1A] - Microtubule Marker (Alexa Fluor® 594) at 1/200 (2.5 μg/ml) dilution. Goat anti rabbit IgG (Alexa Fluor® 488, ab150077) was used as the secondary antibody at 1/1000 (2 μg/ml) dilution. DAPI (blue) was used as nuclear counterstain. PBS instead of the primary antibody was used as the secondary antibody only control.

Immunoprecipitation - Anti-FANCD2 antibody [EPR2302] (AB108928)
  • IP

Unknown

Immunoprecipitation - Anti-FANCD2 antibody [EPR2302] (AB108928)

ab108928 (purified) at 1/20 dilution (1ug) immunoprecipitating FANCD2 in HeLa whole cell lysates.
Lane 1 : HeLa (Human cervix adenocarcinoma epithelial cell) whole cell lysates 10ug
Lane 2 (+) : ab108928 & HeLa whole cell lysates
Lane 3 (-) : Rabbit monoclonal IgG (ab172730) instead of ab108928 in HeLa whole cell lysates
For western blotting, VeriBlot for IP Detection Reagent (HRP) (ab131366) was used at 1/1000 dilution.
Blocking and diluting buffer : 5% NFDM/TBST.

All lanes:

Immunoprecipitation - Anti-FANCD2 antibody [EPR2302] (ab108928)

Predicted band size: 166 kDa

false

Western blot - Anti-FANCD2 antibody [EPR2302] (AB108928)
  • WB

Lab

Western blot - Anti-FANCD2 antibody [EPR2302] (AB108928)

Western blot : Anti-FANCD2 antibody [EPR2302] (ab108928) staining at 1/1000 dilution, shown in green; Mouse anti-Alpha Tubulin [DM1A] (ab7291) loading control staining at 1/20000 dilution, shown in magenta. In Western blot, ab108928 was shown to bind specifically to FANCD2. A band was observed at 160 kDa in wild-type HCT 116 cell lysates with no signal observed at this size in FANCD2 knockout cell line. To generate this image, wild-type and FANCD2 knockout HCT 116 cell lysates were analysed. First, samples were run on an SDS-PAGE gel then transferred onto a nitrocellulose membrane. Membranes were blocked in 3 % milk in TBS-0.1 % Tween® 20 (TBS-T) before incubation with primary antibodies overnight at 4 °C. Blots were washed four times in TBS-T, incubated with secondary antibodies for 1 h at room temperature, washed again four times then imaged. Secondary antibodies used were Goat anti-Rabbit IgG H&L 800CW and Goat anti-Mouse IgG H&L 680RD at 1/20000 dilution.

All lanes:

Western blot - Anti-FANCD2 antibody [EPR2302] (ab108928) at 1/1000 dilution

Lane 1:

Wild-type HCT 116 cell lysate at 20 µg

Lane 2:

Western blot - Human FANCD2 knockout HCT116 cell line (<a href='/products/cell-lines/human-fancd2-knockout-hct116-cell-line-ab286588'>ab286588</a>)

Lane 2:

FANCD2 knockout HCT 116 cell lysate at 20 µg

Lane 3:

Wild-type HeLa ab255448 cell lysate at 20 µg

Lane 4:

FANCD2 knockout HeLa <a href='/products/cell-lines/human-fancd2-knockout-hela-cell-line-ab261743'>ab261743</a> cell lysate at 20 µg

Secondary

Lanes 1 - 4:

Goat anti-Rabbit IgG H&L 800CW at 1/20000 dilution

Lanes 1 - 4:

Goat anti-Mouse IgG H&L 680RD at 1/20000 dilution

Observed band size: 160 kDa

false

Western blot - Anti-FANCD2 antibody [EPR2302] (AB108928)
  • WB

Lab

Western blot - Anti-FANCD2 antibody [EPR2302] (AB108928)

Lanes 1- 2 : Merged signal (red and green). Green - ab108928 observed at 166 kDa. Red - Anti-alpha Tubulin antibody [DM1A] - Loading Control (ab7291) observed at 50 kDa.

ab108928 was shown to react with FANCD2 in wild-type HeLa cells in western blot. Loss of signal was observed when knockout cell line ab261743 (knockout cell lysate ab257173) was used. Wild-type HeLa and FANCD2 knockout HeLa cell lysates were subjected to SDS-PAGE. Membrane was blocked for 1 hour at room temperature in 0.1% TBST with 3% non-fat dried milk. ab108928 and Anti-alpha Tubulin antibody [DM1A] - Loading Control (ab7291) overnight at 4°C at a 1 in 1000 dilution and a 1 in 20000 dilution respectively. Blots were developed with Goat anti-Rabbit IgG H&L (IRDye®800CW) preadsorbed (ab216773) and Goat anti-Mouse IgG H&L (IRDye®680RD) preadsorbed (ab216776) secondary antibodies at 1 in 20000 dilution for 1 hour at room temperature before imaging.

All lanes:

Western blot - Anti-FANCD2 antibody [EPR2302] (ab108928) at 1/1000 dilution

Lane 1:

Wild-type HeLa cell lysate at 20 µg

Lane 2:

FANCD2 knockout HeLa cell lysate at 20 µg

Lane 2:

Western blot - Human FANCD2 knockout HeLa cell line (<a href='/products/cell-lines/human-fancd2-knockout-hela-cell-line-ab261743'>ab261743</a>)

Predicted band size: 166 kDa

Observed band size: 166 kDa

false

Western blot - Anti-FANCD2 antibody [EPR2302] (AB108928)
  • WB

Lab

Western blot - Anti-FANCD2 antibody [EPR2302] (AB108928)

All lanes:

Western blot - Anti-FANCD2 antibody [EPR2302] (ab108928) at 1/1000 dilution

Lane 1:

HeLa (Human cervix adenocarcinoma epithelial cell) whole cell lysates at 20 µg

Lane 2:

MCF7 (Human breast adenocarcinoma epithelial cell) whole cell lysates at 20 µg

Lane 3:

C6 (Rat glial tumor glial cell) whole cell lysates at 20 µg

Lane 4:

RAW264.7 (Mouse Abelson murine leukemia virus-induced tumor macrophage) whole cell lysates at 20 µg

Lane 5:

NIH/3T3 (Mouse embryonic fibroblast) whole cell lysates at 20 µg

Secondary

All lanes:

Western blot - Goat Anti-Rabbit IgG H&L (HRP) (<a href='/products/secondary-antibodies/goat-rabbit-igg-h-l-hrp-ab97051'>ab97051</a>) at 1/20000 dilution

Predicted band size: 166 kDa

Observed band size: 165 kDa

false

Western blot - Anti-FANCD2 antibody [EPR2302] (AB108928)
  • WB

Lab

Western blot - Anti-FANCD2 antibody [EPR2302] (AB108928)

Lane 1 : Wild-type HAP1 cell lysate (20 μg)
Lane 2 : FANCD2 knockout HAP1 cell lysate (20 μg)
Lane 3 : HeLa cell lysate (20 μg)
Lane 4 : HEK293 cell lysate (20 μg)
Lanes 1 - 4 : Merged signal (red and green). Green - ab108928 (unpurified) observed at 165 kDa. Red - loading control, ab8245, observed at 37 kDa.

ab108928 was shown to specifically react with FANCD2 when FANCD2 knockout samples were used. Wild-type and FANCD2 knockout samples were subjected to SDS-PAGE. ab108928 and ab8245 (loading control to GAPDH) were diluted 1/1000 and 1/2000 respectively and incubated overnight at 4°C. Blots were developed with Goat anti-Rabbit IgG H&L (IRDye® 800CW) preadsorbed (ab216773) and Goat anti-Mouse IgG H&L (IRDye® 680RD) preadsorbed (ab216776) secondary antibodies at 1/10 000 dilution for 1 h at room temperature before imaging.

All lanes:

Western blot - Anti-FANCD2 antibody [EPR2302] (ab108928)

Predicted band size: 166 kDa

false

関連する標識済み抗体及び組成の異なる製品 (10)

  • Carrier free

    Anti-FANCD2 antibody [EPR2302] - BSA and Azide free

  • 665 Alexa Fluor® 647

    Alexa Fluor® 647 Anti-FANCD2 antibody [EPR2302]

  • 578 PE

    PE Anti-FANCD2 antibody [EPR2302]

  • 660 APC

    APC Anti-FANCD2 antibody [EPR2302]

  • 617 Alexa Fluor® 594

    Alexa Fluor® 594 Anti-FANCD2 antibody [EPR2302]

  • 603 Alexa Fluor® 568

    Alexa Fluor® 568 Anti-FANCD2 antibody [EPR2302]

  • 565 Alexa Fluor® 555

    Alexa Fluor® 555 Anti-FANCD2 antibody [EPR2302]

  • 519 Alexa Fluor® 488

    Alexa Fluor® 488 Anti-FANCD2 antibody [EPR2302]

  • HRP

    HRP Anti-FANCD2 antibody [EPR2302]

  • 775 Alexa Fluor® 750

    Alexa Fluor® 750 Anti-FANCD2 antibody [EPR2302]

Key facts

宿主種

Rabbit

クローン性

Monoclonal

クローン番号

EPR2302

アイソタイプ

IgG

キャリアフリー

No

交差種

Mouse, Rat, Human

アプリケーション

WB, IHC-P, Flow Cyt (Intra), ICC/IF, IP

applications

免疫原

The exact immunogen used to generate this antibody is proprietary information.

Reactivity data

{ "title": "Reactivity Data", "filters": { "stats": ["", "Species", "Dilution Info", "Notes"], "tabs": { "all-applications": {"fullname" : "All Applications", "shortname": "All Applications"}, "IHCP" : {"fullname" : "Immunohistochemistry (Formalin/PFA-fixed paraffin-embedded sections)", "shortname":"IHC-P"}, "IP" : {"fullname" : "Immunoprecipitation", "shortname":"IP"}, "WB" : {"fullname" : "Western blot", "shortname":"WB"}, "ICCIF" : {"fullname" : "Immunocytochemistry/ Immunofluorescence", "shortname":"ICC/IF"}, "FlowCytIntra" : {"fullname" : "Flow Cytometry (Intracellular)", "shortname":"Flow Cyt (Intra)"} }, "product-promise": { "all": "all", "testedAndGuaranteed": "tested", "guaranteed": "expected", "predicted": "predicted", "notRecommended": "not-recommended" } }, "values": { "Human": { "IHCP-species-checked": "testedAndGuaranteed", "IHCP-species-dilution-info": "1/50 - 1/250", "IHCP-species-notes": "<p></p> Perform heat-mediated antigen retrieval before commencing with IHC staining protocol.", "IP-species-checked": "testedAndGuaranteed", "IP-species-dilution-info": "1/10 - 1/100", "IP-species-notes": "<p></p>", "WB-species-checked": "testedAndGuaranteed", "WB-species-dilution-info": "1/1000 - 1/10000", "WB-species-notes": "<p></p>", "ICCIF-species-checked": "testedAndGuaranteed", "ICCIF-species-dilution-info": "1/250 - 1/500", "ICCIF-species-notes": "<p></p>", "FlowCytIntra-species-checked": "testedAndGuaranteed", "FlowCytIntra-species-dilution-info": "1/200", "FlowCytIntra-species-notes": "<p></p>" }, "Mouse": { "IHCP-species-checked": "notRecommended", "IHCP-species-dilution-info": "", "IHCP-species-notes": "<p></p>", "IP-species-checked": "guaranteed", "IP-species-dilution-info": "", "IP-species-notes": "", "WB-species-checked": "testedAndGuaranteed", "WB-species-dilution-info": "1/1000 - 1/10000", "WB-species-notes": "<p></p>", "ICCIF-species-checked": "guaranteed", "ICCIF-species-dilution-info": "", "ICCIF-species-notes": "", "FlowCytIntra-species-checked": "guaranteed", "FlowCytIntra-species-dilution-info": "", "FlowCytIntra-species-notes": "" }, "Rat": { "IHCP-species-checked": "notRecommended", "IHCP-species-dilution-info": "", "IHCP-species-notes": "<p></p>", "IP-species-checked": "guaranteed", "IP-species-dilution-info": "", "IP-species-notes": "", "WB-species-checked": "testedAndGuaranteed", "WB-species-dilution-info": "1/1000 - 1/10000", "WB-species-notes": "<p></p>", "ICCIF-species-checked": "guaranteed", "ICCIF-species-dilution-info": "", "ICCIF-species-notes": "", "FlowCytIntra-species-checked": "guaranteed", "FlowCytIntra-species-dilution-info": "", "FlowCytIntra-species-notes": "" } } }

製品の詳細

What is this antibody validated in?
Anti-FANCD2 antibody [EPR2302] (ab108928) is a rabbit recombinant monoclonal antibody and is validated for use in Western Blot (WB), Flow Cytometry (Intra), Flow Cytometry (Flow Cyt), Immunoprecipitation (IP), Immunohistochemistry (IHC-P), Immunocytochemistry/immunofluorescence (ICC/IF) in Human, Mouse, Rat samples.

What is the molecular weight of FANCD2?
Anti-FANCD2 [EPR2302] (ab108928) specifically detects a band for FANCD2 (UniProt: Q9BXW9) at a molecular weight of 166kDa.

Trusted by the scientific community
Anti-FANCD2 [EPR2302] (ab108928) was first used in a scientific publication in 2011 and has been cited over 40 times in peer-reviewed journals.

Trial sizes available!
Test your antibody or perform pre-screening before committing to a larger quantity. Sold in 10µl. Discover our selection of trial-size antibodies.

Specificity confirmed
The specificity of Anti-FANCD2 antibody [EPR2302] (ab108928) has been confirmed by Western blot testing in FANCD2 Knockout HAP1 cells.

Other related products
We have a range of other formats of antibody clone [EPR2302] also available for your convenience: ab108928, Alexa Fluor® 488 - ab200759, Alexa Fluor® 647 - ab200763, Carrier free - ab221932, PE - ab307174, APC - ab307175, HRP - ab307176, Alkaline Phosphatase - ab308832, Alexa Fluor® 594 - ab310563, Alexa Fluor® 555 - ab312092, Alexa Fluor® 568 - ab312572, Alexa Fluor® 750 - ab320916

Patented technology
Our RabMAb® technology is a patented hybridoma-based technology for making rabbit monoclonal antibodies. For details on our patents, please refer to RabMAb® patents.

What are the advantages of a recombinant monoclonal antibody?
This product is a recombinant monoclonal antibody, which offers several advantages including:

  • - High batch-to-batch consistency and reproducibility
  • - Improved sensitivity and specificity
  • - Long-term security of supply
  • - Animal-free batch production

For more information, read more on recombinant antibodies.

出荷温度及び保存条件

製品の状態
Liquid
精製方法
Affinity purification Protein A
バッファー組成
pH: 7.2 - 7.4 Preservative: 0.01% Sodium azide Constituents: PBS, 40% Glycerol (glycerin, glycerine), 0.05% BSA
出荷温度
Blue Ice
短期保存期間
1-2 weeks
短期保存温度
+4°C
長期保存温度
-20°C
分注に関する情報
Upon delivery aliquot
保管に関する情報
Avoid freeze / thaw cycle

補足情報

This supplementary information is collated from multiple sources and compiled automatically.

FANCD2 also known as Fanconi anemia group D2 functions mechanically in DNA repair processes. This protein plays a role in the cellular response to DNA damage specifically interstrand crosslinks. FANCD2 has a molecular weight of approximately 164 kDa. Expression of FANCD2 occurs broadly in various tissues but reaches higher levels in cells that undergo rapid division such as hematopoietic cells.
Biological function summary

FANCD2 collaborates with multiple proteins as part of the Fanconi anemia (FA) complex to ensure genomic stability. The FA complex operates by facilitating the repair of DNA interstrand crosslinks that impede replication. FANCD2 becomes activated through monoubiquitination which serves as a signal for recruitment to DNA damage sites. It essentially functions as a coordinator that brings together important components for repair.

Pathways

FANCD2 integrates into the Fanconi anemia pathway and the homologous recombination repair pathway. These pathways are critical for maintaining DNA integrity and preventing chromosomal instability. Within these pathways interactions with proteins such as BRCA1 and BRCA2 reinforce the repair processes. FANCD2's connection to these proteins exemplifies its role in complex mechanisms that preserve genomic fidelity.

FANCD2 links significantly to Fanconi anemia a genetic disorder that causes bone marrow failure and increased cancer susceptibility. Damage or malfunction of FANCD2 can disrupt DNA repair leading to cellular dysfunction seen in this condition. Additionally there is a connection to breast cancer whereby FANCD2 interacts with BRCA2 indicating a shared pathway involved in tumor suppressor functions. These associations underline the importance of FANCD2 in disease pathology and its potential as a therapeutic target.

製品プロトコール

For this product, it's our understanding that no specific protocols are required. You can visit:

ターゲットの情報

Required for maintenance of chromosomal stability (PubMed : 11239453, PubMed : 14517836). Promotes accurate and efficient pairing of homologs during meiosis (PubMed : 14517836). Involved in the repair of DNA double-strand breaks, both by homologous recombination and single-strand annealing (PubMed : 15671039, PubMed : 15650050, PubMed : 30335751, PubMed : 36385258). The FANCI-FANCD2 complex binds and scans double-stranded DNA (dsDNA) for DNA damage; this complex stalls at DNA junctions between double-stranded DNA and single-stranded DNA (By similarity). May participate in S phase and G2 phase checkpoint activation upon DNA damage (PubMed : 15377654). Plays a role in preventing breakage and loss of missegregating chromatin at the end of cell division, particularly after replication stress (PubMed : 15454491, PubMed : 15661754). Required for the targeting, or stabilization, of BLM to non-centromeric abnormal structures induced by replicative stress (PubMed : 15661754, PubMed : 19465921). Promotes BRCA2/FANCD1 loading onto damaged chromatin (PubMed : 11239454, PubMed : 12239151, PubMed : 12086603, PubMed : 15115758, PubMed : 15199141, PubMed : 15671039, PubMed : 18212739). May also be involved in B-cell immunoglobulin isotype switching.
See full target information FANCD2

文献 (64)

Recent publications for all applications. Explore the full list and refine your search

Nature communications 16:8476 PubMed41006228

2025

EXO1 as a therapeutic target for Fanconi Anaemia, ZRSR2 and BRCA1-A complex deficient cancers.

Applications

Unspecified application

Species

Unspecified reactive species

Marija Maric,Sandra Segura-Bayona,Raviprasad Kuthethur,Tohru Takaki,Valerie Borel,Tyler H Stanage,Miroslav P Ivanov,Nishita Parnandi,Graeme Hewitt,Rhona Millar,Carmen S Fonseca,Harshil Patel,Miriam Llorian,Scott Warchal,Michael Howell,Arnab Ray Chaudhuri,Panagiotis Kotsantis,Simon J Boulton

Nature communications 16:7566 PubMed40813572

2025

Large-scale CRISPR screening in primary human 3D gastric organoids enables comprehensive dissection of gene-drug interactions.

Applications

Unspecified application

Species

Unspecified reactive species

Yuan-Hung Lo,Hudson T Horn,Mo-Fan Huang,Wei-Chieh Yu,Chia-Mei Young,Qing Liu,Madeline Tomaske,Martina Towers,Antonia Dominguez,Michael C Bassik,Dung-Fang Lee,Lei S Qi,Jonathan S Weissman,Jin Chen,Calvin J Kuo

Oncology letters 30:422 PubMed40688582

2025

A FANCD2 gene mutation case analysis providing potential insights into the molecular mechanisms of gastric adenocarcinoma: A case report.

Applications

Unspecified application

Species

Unspecified reactive species

Kexin Zheng,Fengying Du,Yaodong Sang,Kangdi Dong,Kun Xiao,Ronghua Zhang,Changqing Jing,Liang Shang,Leping Li

Nature communications 16:2159 PubMed40038300

2025

Inhibition of the STAT3/Fanconi anemia axis is synthetic lethal with PARP inhibition in breast cancer.

Applications

Unspecified application

Species

Unspecified reactive species

Celia D Rouault,Lucile Bansard,Elena Martínez-Balsalobre,Caroline Bonnet,Julien Wicinski,Shuheng Lin,Ludovic Colombeau,Sylvain Debieu,Guillaume Pinna,Marie Vandamme,Margot Machu,Olivier Rosnet,Véronique Chevrier,Cornel Popovici,Hagay Sobol,Rémy Castellano,Eddy Pasquier,Geraldine Guasch,Raphaël Rodriguez,Julie Pannequin,Jean-Marc Pascussi,Christophe Lachaud,Emmanuelle Charafe-Jauffret,Christophe Ginestier

Cancer medicine 13:e70103 PubMed39149814

2024

A comprehensive study evaluating germline FANCG variants in predisposition to breast and ovarian cancer.

Applications

Unspecified application

Species

Unspecified reactive species

Jana Soukupova,Barbora Stastna,Madiha Kanwal,Jan Hojny,Petra Zemankova,Marianna Borecka,Leona Cerna,Marta Cerna,Monika Cerna,Vaclava Curtisova,Tatana Dolezalova,Petra Duskova,Lenka Foretova,Ondrej Havranek,Klara Horackova,Milena Hovhannisyan,Lucie Hruskova,Stepan Chvojka,Marketa Janatova,Maria Janikova,Sandra Jelinkova,Pavel Just,Marta Kalousova,Petra Kleiblova,Marcela Kosarova,Monika Koudova,Jan Kral,Michaela Krausova,Vera Krutilkova,Eva Machackova,Katerina Matejkova,Renata Michalovska,Petr Nehasil,Barbora Nemcova,Jan Novotny,Matous Palek,Pavel Pesek,Marketa Safarikova,Ondrej Scheinost,Drahomira Springer,Lenka Stolarova,Viktor Stranecky,Ivan Subrt,Spiros Tavandzis,Eva Tureckova,Kamila Vesela,Zdenka Vlckova,Michal Vocka,Tomas Zima,Libor Macurek,Zdenek Kleibl

Nature communications 15:6755 PubMed39117659

2024

Histone-methyltransferase KMT2D deficiency impairs the Fanconi anemia/BRCA pathway upon glycolytic inhibition in squamous cell carcinoma.

Applications

Unspecified application

Species

Unspecified reactive species

Wei Liu,Hongchao Cao,Jing Wang,Areeg Elmusrati,Bing Han,Wei Chen,Ping Zhou,Xiyao Li,Stephen Keysar,Antonio Jimeno,Cun-Yu Wang

Frontiers in oncology 14:1389472 PubMed38711848

2024

RFWD3 modulates response to platinum chemotherapy and promotes cancer associated phenotypes in high grade serous ovarian cancer.

Applications

Unspecified application

Species

Unspecified reactive species

Sarah J Taylor,Robert L Hollis,Charlie Gourley,C Simon Herrington,Simon P Langdon,Mark J Arends

iScience 27:109456 PubMed38591005

2024

The deubiquitinase cofactor UAF1 interacts with USP1 and plays an essential role in spermiogenesis.

Applications

Unspecified application

Species

Unspecified reactive species

Ziqi Wang,Tongtong Li,Dongkai Liu,Mengjing Li,Shangming Liu,Xiaochen Yu,Hanzhen Li,Hui Song,Wei Zhao,Zhaojian Liu,Xiangfeng Chen,Gang Lu,Zi-Jiang Chen,Tao Huang,Hongbin Liu

Nature communications 15:1446 PubMed38365788

2024

PAF1c links S-phase progression to immune evasion and MYC function in pancreatic carcinoma.

Applications

Unspecified application

Species

Unspecified reactive species

Abdallah Gaballa,Anneli Gebhardt-Wolf,Bastian Krenz,Greta Mattavelli,Mara John,Giacomo Cossa,Silvia Andreani,Christina Schülein-Völk,Francisco Montesinos,Raphael Vidal,Carolin Kastner,Carsten P Ade,Burkhard Kneitz,Georg Gasteiger,Peter Gallant,Mathias Rosenfeldt,Angela Riedel,Martin Eilers

Nucleic acids research 52:2389-2415 PubMed38224453

2024

STIM1 translocation to the nucleus protects cells from DNA damage.

Applications

Unspecified application

Species

Unspecified reactive species

Irene Sanchez-Lopez,Yolanda Orantos-Aguilera,Eulalia Pozo-Guisado,Alberto Alvarez-Barrientos,Sergio Lilla,Sara Zanivan,Christophe Lachaud,Francisco Javier Martin-Romero
View all publications

Abcam product promise

当社は、高品質な試薬を通じてお客様の研究を力強くサポートすることをお約束いたします。ご使用いただく各段階で、常にお客様をサポートできる体制を整えております。万が一、製品が期待通りに機能しない場合は、「Abcam Product Promise」による当社保証制度に基づき、安心してご利用いただけます。
保証に関する詳細については利用規約をご確認ください。

Please note: All products are 'FOR RESEARCH USE ONLY. NOT FOR USE IN DIAGNOSTIC OR THERAPEUTIC PROCEDURES'.

For licensing inquiries, please contact partnerships@abcam.com