JavaScript is disabled in your browser. Please enable JavaScript to view this website.
AB179444

Anti-Factor XIIIa 抗体 [EPR10360]

Anti-Factor XIIIa antibody [EPR10360]

Be the first to review this product! Submit a review

|

(3 Publications)

Rabbit Recombinant Monoclonal Factor XIIIa antibody. Suitable for IHC-P, WB, ICC/IF, Flow Cyt (Intra) and reacts with Human samples. Cited in 3 publications.

別名を表示する

F13A, F13A1, Coagulation factor XIII A chain, Coagulation factor XIIIa, Protein-glutamine gamma-glutamyltransferase A chain, Transglutaminase A chain

5 Images
Immunocytochemistry/ Immunofluorescence - Anti-Factor XIIIa antibody [EPR10360] (AB179444)
  • ICC/IF

Supplier Data

Immunocytochemistry/ Immunofluorescence - Anti-Factor XIIIa antibody [EPR10360] (AB179444)

Immunofluorescent analysis of U937 cells labeling Factor XIIIa with ab179444 at 1/50 (green). DAPI nuclear staining (blue).

Flow Cytometry (Intracellular) - Anti-Factor XIIIa antibody [EPR10360] (AB179444)
  • Flow Cyt (Intra)

Supplier Data

Flow Cytometry (Intracellular) - Anti-Factor XIIIa antibody [EPR10360] (AB179444)

Intracellular flow cytometric analysis of permeabilized U937 cells labeling Factor XIIIawith ab179444 at 1/10 (red) or a rabbit IgG (negative) (green).

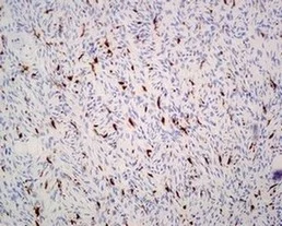
Immunohistochemistry (Formalin/PFA-fixed paraffin-embedded sections) - Anti-Factor XIIIa antibody [EPR10360] (AB179444)
  • IHC-P

Supplier Data

Immunohistochemistry (Formalin/PFA-fixed paraffin-embedded sections) - Anti-Factor XIIIa antibody [EPR10360] (AB179444)

Immunohistochemical analysis of paraffin embedded Human fibrosarcoma tissue labeling Factor XIIIa with ab179444 at 1/100.

Perform heat mediated antigen retrieval before commencing with IHC staining protocol.

Immunohistochemistry (Formalin/PFA-fixed paraffin-embedded sections) - Anti-Factor XIIIa antibody [EPR10360] (AB179444)
  • IHC-P

Supplier Data

Immunohistochemistry (Formalin/PFA-fixed paraffin-embedded sections) - Anti-Factor XIIIa antibody [EPR10360] (AB179444)

Immunohistochemical analysis of paraffin embedded Human placenta tissue labeling Factor XIIIa with ab179444 at 1/100.

Perform heat mediated antigen retrieval before commencing with IHC staining protocol.

Western blot - Anti-Factor XIIIa antibody [EPR10360] (AB179444)
  • WB

Supplier Data

Western blot - Anti-Factor XIIIa antibody [EPR10360] (AB179444)

All lanes:

Western blot - Anti-Factor XIIIa antibody [EPR10360] (ab179444) at 1/1000 dilution

Lane 1:

Human spleen tissue lysate at 10 µg

Lane 2:

Human placenta tissue lysate at 10 µg

Secondary

All lanes:

Goat anti-rabbit HRP conjugated at 1/500 dilution

Predicted band size: 83 kDa

Observed band size: 80 kDa

true

関連する標識済み抗体及び組成の異なる製品 (1)

  • Carrier free

    Anti-Factor XIIIa antibody [EPR10360] - BSA and Azide free

Key facts

宿主種

Rabbit

クローン性

Monoclonal

クローン番号

EPR10360

アイソタイプ

IgG

キャリアフリー

No

交差種

Human

アプリケーション

IHC-P, WB, ICC/IF, Flow Cyt (Intra)

applications

免疫原

The exact immunogen used to generate this antibody is proprietary information.

Reactivity data

{ "title": "Reactivity Data", "filters": { "stats": ["", "Species", "Dilution Info", "Notes"], "tabs": { "all-applications": {"fullname" : "All Applications", "shortname": "All Applications"}, "IHCP" : {"fullname" : "Immunohistochemistry (Formalin/PFA-fixed paraffin-embedded sections)", "shortname":"IHC-P"}, "IP" : {"fullname" : "Immunoprecipitation", "shortname":"IP"}, "WB" : {"fullname" : "Western blot", "shortname":"WB"}, "ICCIF" : {"fullname" : "Immunocytochemistry/ Immunofluorescence", "shortname":"ICC/IF"}, "FlowCytIntra" : {"fullname" : "Flow Cytometry (Intracellular)", "shortname":"Flow Cyt (Intra)"} }, "product-promise": { "all": "all", "testedAndGuaranteed": "tested", "guaranteed": "expected", "predicted": "predicted", "notRecommended": "not-recommended" } }, "values": { "Human": { "IHCP-species-checked": "testedAndGuaranteed", "IHCP-species-dilution-info": "1/100 - 1/250", "IHCP-species-notes": "<p></p> Perform heat-mediated antigen retrieval before commencing with IHC staining protocol.", "IP-species-checked": "notRecommended", "IP-species-dilution-info": "", "IP-species-notes": "<p></p>", "WB-species-checked": "testedAndGuaranteed", "WB-species-dilution-info": "1/1000 - 1/10000", "WB-species-notes": "<p></p>", "ICCIF-species-checked": "testedAndGuaranteed", "ICCIF-species-dilution-info": "1/50 - 1/100", "ICCIF-species-notes": "<p></p>", "FlowCytIntra-species-checked": "testedAndGuaranteed", "FlowCytIntra-species-dilution-info": "1/10 - 1/100", "FlowCytIntra-species-notes": "<p><a href='/products/primary-antibodies/rabbit-igg-monoclonal-epr25a-isotype-control-ab172730'>ab172730</a> - Rabbit monoclonal IgG, is suitable for use as an isotype control with this antibody.</p>" }, "Mouse": { "IHCP-species-checked": "predicted", "IHCP-species-dilution-info": "", "IHCP-species-notes": "", "IP-species-checked": "notRecommended", "IP-species-dilution-info": "", "IP-species-notes": "", "WB-species-checked": "predicted", "WB-species-dilution-info": "", "WB-species-notes": "", "ICCIF-species-checked": "predicted", "ICCIF-species-dilution-info": "", "ICCIF-species-notes": "", "FlowCytIntra-species-checked": "predicted", "FlowCytIntra-species-dilution-info": "", "FlowCytIntra-species-notes": "" }, "Rat": { "IHCP-species-checked": "predicted", "IHCP-species-dilution-info": "", "IHCP-species-notes": "", "IP-species-checked": "notRecommended", "IP-species-dilution-info": "", "IP-species-notes": "", "WB-species-checked": "predicted", "WB-species-dilution-info": "", "WB-species-notes": "", "ICCIF-species-checked": "predicted", "ICCIF-species-dilution-info": "", "ICCIF-species-notes": "", "FlowCytIntra-species-checked": "predicted", "FlowCytIntra-species-dilution-info": "", "FlowCytIntra-species-notes": "" } } }

製品の詳細

Patented technology
Our RabMAb® technology is a patented hybridoma-based technology for making rabbit monoclonal antibodies. For details on our patents, please refer to RabMAb® patents.

What are the advantages of a recombinant monoclonal antibody?
This product is a recombinant monoclonal antibody, which offers several advantages including:

  • - High batch-to-batch consistency and reproducibility
  • - Improved sensitivity and specificity
  • - Long-term security of supply
  • - Animal-free batch production

For more information, read more on recombinant antibodies.

出荷温度及び保存条件

製品の状態
Liquid
精製方法
Affinity purification Protein A
バッファー組成
pH: 7.2 - 7.4 Preservative: 0.01% Sodium azide Constituents: PBS, 50% Tissue culture supernatant, 40% Glycerol (glycerin, glycerine), 0.05% BSA
出荷温度
Blue Ice
短期保存期間
1-2 weeks
短期保存温度
+4°C
長期保存温度
-20°C
分注に関する情報
Upon delivery aliquot
保管に関する情報
Avoid freeze / thaw cycle

補足情報

This supplementary information is collated from multiple sources and compiled automatically.

Factor XIIIa also known as Factor 13a Factor XIII or Factor 13 is an enzyme that plays an important role in blood coagulation. Its mass is approximately 83 kDa. This enzyme is part of the transglutaminase family and is predominantly found in plasma and platelets. Factor XIIIa becomes active when thrombin and calcium ions cleave its A subunits converting it from an inactive zymogen known simply as Factor XIII or Factor 13 to its active form. The best assays for Factor XIIIa often measure its transglutaminase activity which facilitates the cross-linking of fibrin stabilizing blood clots.
Biological function summary

Factor XIIIa is important for hemostasis facilitating the final stages of blood clot formation by cross-linking fibrin polymers. This enzyme does not function in isolation; it forms a tetrameric complex with two A subunits and two B subunits. The active form Factor XIIIa catalyzes the formation of covalent bonds between glutamine and lysine residues in fibrin chains. This enhances the mechanical strength and resistance of the clot preventing premature degradation.

Pathways

Factor XIIIa is part of the coagulation pathway specifically involved in the stabilization of fibrin in the final steps of the cascade. It interacts closely with proteins like fibrinogen and thrombin as these proteins are essential in the conversion of Factor XIII to Factor XIIIa and in clot formation. Factor XIIIa also plays a role in the wound healing process by stabilizing the ECM (extracellular matrix) through cross-linking fibrin fibronectin and collagen.

Factor XIIIa deficiency can lead to bleeding diathesis a condition characterized by poor clot stability and prolonged bleeding. This deficiency is often congenital and involves reduced levels or activity of Factor XIII. Conversely overactivity or dysregulation of Factor XIIIa may contribute to thrombotic disorders where abnormal clot formation can lead to conditions like deep vein thrombosis. Clinically understanding Factor XIIIa interactions especially its functional relationships with fibrinogen and thrombin is critical in managing these bleeding and thrombotic disorders.

製品プロトコール

For this product, it's our understanding that no specific protocols are required. You can visit:

ターゲットの情報

Factor XIII is activated by thrombin and calcium ion to a transglutaminase that catalyzes the formation of gamma-glutamyl-epsilon-lysine cross-links between fibrin chains, thus stabilizing the fibrin clot. Also cross-link alpha-2-plasmin inhibitor, or fibronectin, to the alpha chains of fibrin.
See full target information F13A1

文献 (3)

Recent publications for all applications. Explore the full list and refine your search

BMC pregnancy and childbirth 24:847 PubMed39709373

2024

Identification of hub genes, diagnostic model, and immune infiltration in preeclampsia by integrated bioinformatics analysis and machine learning.

Applications

Unspecified application

Species

Unspecified reactive species

Yihan Zheng,Zhuanji Fang,Xizhu Wu,Huale Zhang,Pengming Sun

Blood 135:145-152 PubMed31697820

2019

Identification of amino acid residues that are crucial for FXIII-A intersubunit interactions and stability.

Applications

Unspecified application

Species

Unspecified reactive species

Bojun Li,Hans P Kohler,Verena Schroeder

Molecular medicine reports 19:4035-4042 PubMed30942417

2019

Inhibition of miR‑214 attenuates the migration and invasion of triple‑negative breast cancer cells.

Applications

Unspecified application

Species

Unspecified reactive species

Yi Zhang,Zhijing Zhao,Siqi Li,Liying Dong,Yan Li,Ying Mao,Ying Liang,Yun Tao,Junfeng Ma
View all publications

Abcam product promise

当社は、高品質な試薬を通じてお客様の研究を力強くサポートすることをお約束いたします。ご使用いただく各段階で、常にお客様をサポートできる体制を整えております。万が一、製品が期待通りに機能しない場合は、「Abcam Product Promise」による当社保証制度に基づき、安心してご利用いただけます。
保証に関する詳細については利用規約をご確認ください。

Please note: All products are 'FOR RESEARCH USE ONLY. NOT FOR USE IN DIAGNOSTIC OR THERAPEUTIC PROCEDURES'.

For licensing inquiries, please contact partnerships@abcam.com