JavaScript is disabled in your browser. Please enable JavaScript to view this website.
AB319992

Anti-EXOSC10/RRP6 抗体 [EPR28902-62]

Anti-EXOSC10/RRP6 antibody [EPR28902-62]

  • BOND RX™ Validated
  • 20ul selling size
  • Recombinant
  • RabMAb
  • 詳細を見る

Be the first to review this product! Submit a review

|

(0 Publication)

Rabbit Recombinant Monoclonal EXOSC10/RRP6 antibody. Suitable for IHC-P, WB, ICC/IF and reacts with Mouse, Rat, Human samples.

別名を表示する

PMSCL, PMSCL2, RRP6, EXOSC10, Exosome complex component 10, Autoantigen PM/Scl 2, P100 polymyositis-scleroderma overlap syndrome-associated autoantigen, Polymyositis/scleroderma autoantigen 100 kDa, Polymyositis/scleroderma autoantigen 2, PM/Scl-100

9 Images
Immunocytochemistry/ Immunofluorescence - Anti-EXOSC10/RRP6 antibody [EPR28902-62] (AB319992)
  • ICC/IF

Supplier Data

Immunocytochemistry/ Immunofluorescence - Anti-EXOSC10/RRP6 antibody [EPR28902-62] (AB319992)

Immunofluorescent analysis of 4% Paraformaldehyde-fixed, 0.1% TritonX-100 permeabilized HeLa (human cervical adenocarcinoma epithelial cell) cells labelling EXOSC10/RRP6 with ab319992 at 1/100 (5.18 ug/ml) dilution, followed by ab150081 Goat Anti-Rabbit IgG H&L (Alexa Fluor® 488) preadsorbed antibody at 1/1000 2 ug/ml dilution (Green).

Confocal image showing nuclear staining in Hela cell line (shown in green). The counterstain was observed in magenta. Nuclear DNA was labelled with DAPI (shown in blue). Image was taken with a confocal microscope (Leica-Microsystems, TCS SP8).

ab195889 Anti-alpha Tubulin mouse monoclonal antibody - Microtubule Marker (Alexa Fluor® 594) was used to counterstain tubulin at 1/200 2.5ug/ml dilution (Magenta). The Nuclear counterstain was DAPI (Blue).

Secondary antibody only control : Secondary antibody is ab150081 Goat Anti-Rabbit IgG H&L (Alexa Fluor® 488) preadsorbed at 1/1000 2 ug/ml dilution.

Immunocytochemistry/ Immunofluorescence - Anti-EXOSC10/RRP6 antibody [EPR28902-62] (AB319992)
  • ICC/IF

Supplier Data

Immunocytochemistry/ Immunofluorescence - Anti-EXOSC10/RRP6 antibody [EPR28902-62] (AB319992)

Immunofluorescent analysis of 4% Paraformaldehyde-fixed, 0.1% TritonX-100 permeabilized McA-RH7777 (rat liver epithelial cell) cells labelling EXOSC10/RRP6 with ab319992 at 1/100 (5.18 ug/ml) dilution, followed by ab150081 Goat Anti-Rabbit IgG H&L (Alexa Fluor® 488) preadsorbed antibody at 1/1000 2 ug/ml dilution (Green).

Confocal image showing nuclear staining in McA-RH7777 cell line (shown in green). The counterstain was observed in magenta. Nuclear DNA was labelled with DAPI (shown in blue). Image was taken with a confocal microscope (Leica-Microsystems, TCS SP8).

ab195889 Anti-alpha Tubulin mouse monoclonal antibody - Microtubule Marker (Alexa Fluor® 594) was used to counterstain tubulin at 1/200 2.5ug/ml dilution (Magenta). The Nuclear counterstain was DAPI (Blue).

Secondary antibody only control : Secondary antibody is ab150081 Goat Anti-Rabbit IgG H&L (Alexa Fluor® 488) preadsorbed at 1/1000 2 ug/ml dilution.

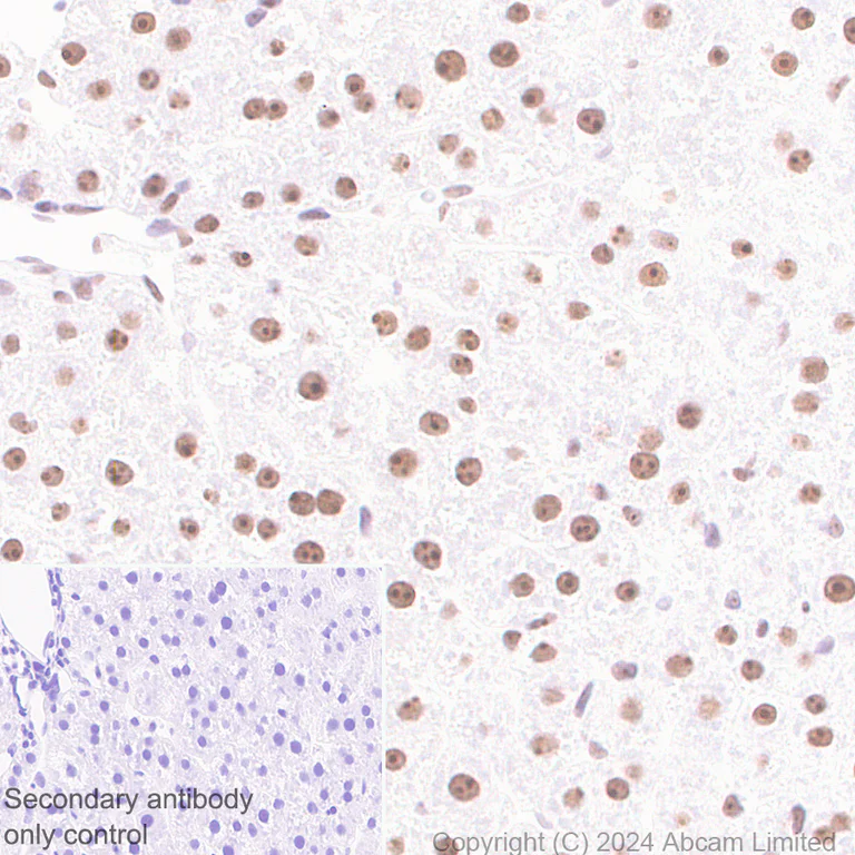
Immunohistochemistry (Formalin/PFA-fixed paraffin-embedded sections) - Anti-EXOSC10/RRP6 antibody [EPR28902-62] (AB319992)
  • IHC-P

Supplier Data

Immunohistochemistry (Formalin/PFA-fixed paraffin-embedded sections) - Anti-EXOSC10/RRP6 antibody [EPR28902-62] (AB319992)

Immunohistochemical analysis of paraffin-embedded Rat liver tissue labeling EXOSC10/RRP6 with ab319992 at 1/1000 (0.518 ug/ml) dilution, followed by a ready to use LeicaDS9800 (Bond™ Polymer Refine Detection).

Positive staining in rat liver.
The section was incubated with ab319992 for 30 mins at room temperature.
The immunostaining was performed on a Leica Biosystems BOND® RX instrument

Counterstained with Hematoxylin.

Secondary antibody only control : Secondary antibody is a ready to use LeicaDS9800 (Bond™ Polymer Refine Detection).

Heat mediated antigen retrieval was performed with Tris-EDTA buffer (pH 9.0, Epitope Retrieval Solution2) for 20 mins

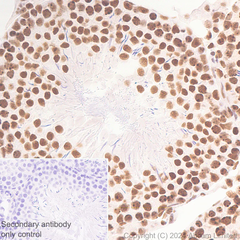
Immunohistochemistry (Formalin/PFA-fixed paraffin-embedded sections) - Anti-EXOSC10/RRP6 antibody [EPR28902-62] (AB319992)
  • IHC-P

Supplier Data

Immunohistochemistry (Formalin/PFA-fixed paraffin-embedded sections) - Anti-EXOSC10/RRP6 antibody [EPR28902-62] (AB319992)

Immunohistochemical analysis of paraffin-embedded Mouse testis tissue labeling EXOSC10/RRP6 with ab319992 at 1/1000 (0.518 ug/ml) dilution, followed by a ready to use LeicaDS9800 (Bond™ Polymer Refine Detection).

Positive staining in mouse testis.
The section was incubated with ab319992 for 30 mins at room temperature.
The immunostaining was performed on a Leica Biosystems BOND® RX instrument

Counterstained with Hematoxylin.

Secondary antibody only control : Secondary antibody is a ready to use LeicaDS9800 (Bond™ Polymer Refine Detection).

Heat mediated antigen retrieval was performed with Tris-EDTA buffer (pH 9.0, Epitope Retrieval Solution2) for 20 mins

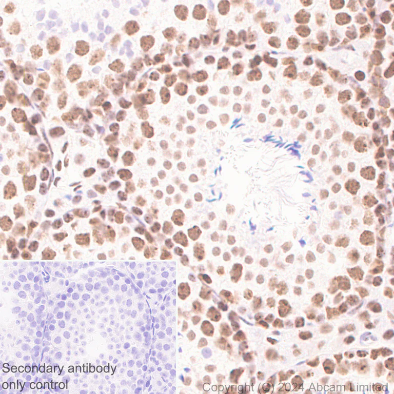
Immunohistochemistry (Formalin/PFA-fixed paraffin-embedded sections) - Anti-EXOSC10/RRP6 antibody [EPR28902-62] (AB319992)
  • IHC-P

Supplier Data

Immunohistochemistry (Formalin/PFA-fixed paraffin-embedded sections) - Anti-EXOSC10/RRP6 antibody [EPR28902-62] (AB319992)

Immunohistochemical analysis of paraffin-embedded Rat testis tissue labeling EXOSC10/RRP6 with ab319992 at 1/1000 (0.518 ug/ml) dilution, followed by a ready to use LeicaDS9800 (Bond™ Polymer Refine Detection).

Positive staining in rat testis.
The section was incubated with ab319992 for 30 mins at room temperature.
The immunostaining was performed on a Leica Biosystems BOND® RX instrument

Counterstained with Hematoxylin.

Secondary antibody only control : Secondary antibody is a ready to use LeicaDS9800 (Bond™ Polymer Refine Detection).

Heat mediated antigen retrieval was performed with Tris-EDTA buffer (pH 9.0, Epitope Retrieval Solution2) for 20 mins

Immunocytochemistry/ Immunofluorescence - Anti-EXOSC10/RRP6 antibody [EPR28902-62] (AB319992)
  • ICC/IF

Supplier Data

Immunocytochemistry/ Immunofluorescence - Anti-EXOSC10/RRP6 antibody [EPR28902-62] (AB319992)

Immunofluorescent analysis of 4% Paraformaldehyde-fixed, 0.1% TritonX-100 permeabilized WEHI-231 (mouse B cell lymphoma B lymphocyte) cells labelling EXOSC10/RRP6 with ab319992 at 1/100 (5.18 ug/ml) dilution, followed by ab150081 Goat Anti-Rabbit IgG H&L (Alexa Fluor® 488) preadsorbed antibody at 1/1000 2 ug/ml dilution (Green).

Confocal image showing nuclear staining in WEHI-231 cell line (shown in green). The counterstain was observed in magenta. Nuclear DNA was labelled with DAPI (shown in blue). Image was taken with a confocal microscope (Leica-Microsystems, TCS SP8).

ab195889 Anti-alpha Tubulin mouse monoclonal antibody - Microtubule Marker (Alexa Fluor® 594) was used to counterstain tubulin at 1/200 2.5ug/ml dilution (Magenta). The Nuclear counterstain was DAPI (Blue).

Secondary antibody only control : Secondary antibody is ab150081 Goat Anti-Rabbit IgG H&L (Alexa Fluor® 488) preadsorbed at 1/1000 2 ug/ml dilution.

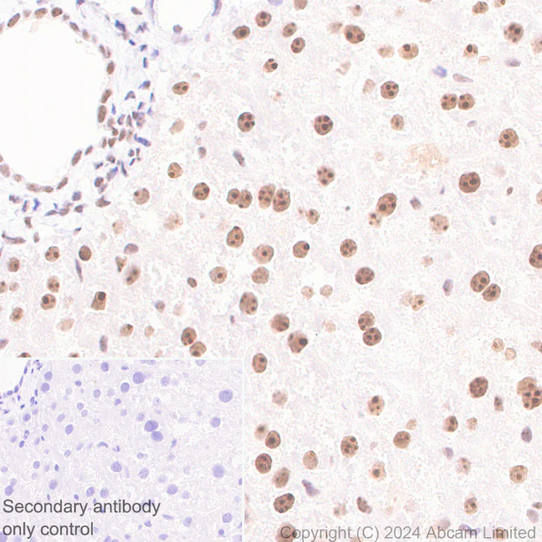
Immunohistochemistry (Formalin/PFA-fixed paraffin-embedded sections) - Anti-EXOSC10/RRP6 antibody [EPR28902-62] (AB319992)
  • IHC-P

Supplier Data

Immunohistochemistry (Formalin/PFA-fixed paraffin-embedded sections) - Anti-EXOSC10/RRP6 antibody [EPR28902-62] (AB319992)

Immunohistochemical analysis of paraffin-embedded Mouse liver tissue labeling EXOSC10/RRP6 with ab319992 at 1/1000 (0.518 ug/ml) dilution, followed by a ready to use LeicaDS9800 (Bond™ Polymer Refine Detection).

Positive staining in mouse liver.
The section was incubated with ab319992 for 30 mins at room temperature.
The immunostaining was performed on a Leica Biosystems BOND® RX instrument

Counterstained with Hematoxylin.

Secondary antibody only control : Secondary antibody is a ready to use LeicaDS9800 (Bond™ Polymer Refine Detection).

Heat mediated antigen retrieval was performed with Tris-EDTA buffer (pH 9.0, Epitope Retrieval Solution2) for 20 mins

Western blot - Anti-EXOSC10/RRP6 antibody [EPR28902-62] (AB319992)
  • WB

Supplier Data

Western blot - Anti-EXOSC10/RRP6 antibody [EPR28902-62] (AB319992)

Blocking and diluting buffer and concentration : 5% NFDM/TBST.

In Western blot, Anti-GAPDH antibody [EPR16891] - Loading Control (ab181602) staining at 1/200000 dilution.

All lanes:

Western blot - Anti-EXOSC10/RRP6 antibody [EPR28902-62] (ab319992) at 1/1000 dilution

Lane 1:

HeLa (human cervical adenocarcinoma epithelial cell) transfected with scrambled siRNA control whole cell lysate at 20 µg

Lane 2:

Hela transfected with siRNA specifically targeting EXOSC10/RRP6 whole cell lysate at 20 µg

Secondary

All lanes:

Western blot - Goat Anti-Rabbit IgG H&L (HRP) (<a href='/products/secondary-antibodies/goat-rabbit-igg-h-l-hrp-ab97051'>ab97051</a>) at 1/100000 dilution

Observed band size: 100 kDa,36 kDa

false

Exposure time: 48s

Western blot - Anti-EXOSC10/RRP6 antibody [EPR28902-62] (AB319992)
  • WB

Supplier Data

Western blot - Anti-EXOSC10/RRP6 antibody [EPR28902-62] (AB319992)

Blocking and diluting buffer and concentration : 5% NFDM/TBST.

The lanes 1-2 were developed using a high sensitivity ECL substrate.

The high-sensitivity ECL substrate allows for the detection of proteins in the mid-femtogram range.

The identity of the lower MW band at approximately 37 kDa in lane 1 is unknown.

Lysates were freshly made and used for Western blotting immediately to minimize protein degradation.

All lanes:

Western blot - Anti-EXOSC10/RRP6 antibody [EPR28902-62] (ab319992) at 1/1000 dilution

Lane 1:

Mouse liver tissue lysate at 20 µg

Lane 2:

Mouse testis tissue lysate at 20 µg

Lane 3:

Rat testis tissue lysate at 20 µg

Secondary

All lanes:

Western blot - Goat Anti-Rabbit IgG H&L (HRP) (<a href='/products/secondary-antibodies/goat-rabbit-igg-h-l-hrp-ab97051'>ab97051</a>) at 1/100000 dilution

Observed band size: 100 kDa

false

Exposure time: 180s

関連する標識済み抗体及び組成の異なる製品 (1)

Key facts

宿主種

Rabbit

クローン性

Monoclonal

クローン番号

EPR28902-62

アイソタイプ

IgG

キャリアフリー

No

交差種

Mouse, Rat, Human

アプリケーション

IHC-P, ICC/IF, WB

applications

免疫原

The exact immunogen used to generate this antibody is proprietary information.

Reactivity data

{ "title": "Reactivity Data", "filters": { "stats": ["", "Species", "Dilution Info", "Notes"], "tabs": { "all-applications": {"fullname" : "All Applications", "shortname": "All Applications"}, "IHCP" : {"fullname" : "Immunohistochemistry (Formalin/PFA-fixed paraffin-embedded sections)", "shortname":"IHC-P"}, "WB" : {"fullname" : "Western blot", "shortname":"WB"}, "ICCIF" : {"fullname" : "Immunocytochemistry/ Immunofluorescence", "shortname":"ICC/IF"}, "IP" : {"fullname" : "Immunoprecipitation", "shortname":"IP"} }, "product-promise": { "all": "all", "testedAndGuaranteed": "tested", "guaranteed": "expected", "predicted": "predicted", "notRecommended": "not-recommended" } }, "values": { "Human": { "IHCP-species-checked": "guaranteed", "IHCP-species-dilution-info": "", "IHCP-species-notes": "", "WB-species-checked": "testedAndGuaranteed", "WB-species-dilution-info": "1/1000", "WB-species-notes": "<p></p>", "ICCIF-species-checked": "testedAndGuaranteed", "ICCIF-species-dilution-info": "1/100", "ICCIF-species-notes": "<p></p>", "IP-species-checked": "notRecommended", "IP-species-dilution-info": "", "IP-species-notes": "<p></p>" }, "Mouse": { "IHCP-species-checked": "testedAndGuaranteed", "IHCP-species-dilution-info": "1/1000", "IHCP-species-notes": "<p></p> Perform heat-mediated antigen retrieval with Tris/EDTA buffer pH 9.0 before commencing with IHC staining protocol.", "WB-species-checked": "testedAndGuaranteed", "WB-species-dilution-info": "1/1000", "WB-species-notes": "<p></p>", "ICCIF-species-checked": "testedAndGuaranteed", "ICCIF-species-dilution-info": "1/100", "ICCIF-species-notes": "<p></p>", "IP-species-checked": "notRecommended", "IP-species-dilution-info": "", "IP-species-notes": "<p></p>" }, "Rat": { "IHCP-species-checked": "testedAndGuaranteed", "IHCP-species-dilution-info": "1/1000", "IHCP-species-notes": "<p></p> Perform heat-mediated antigen retrieval with Tris/EDTA buffer pH 9.0 before commencing with IHC staining protocol.", "WB-species-checked": "testedAndGuaranteed", "WB-species-dilution-info": "1/1000", "WB-species-notes": "<p></p>", "ICCIF-species-checked": "testedAndGuaranteed", "ICCIF-species-dilution-info": "1/100", "ICCIF-species-notes": "<p></p>", "IP-species-checked": "notRecommended", "IP-species-dilution-info": "", "IP-species-notes": "<p></p>" } } }

製品の詳細

Patented technology
Our RabMAb® technology is a patented hybridoma-based technology for making rabbit monoclonal antibodies. For details on our patents, please refer to RabMAb® patents.

What are the advantages of a recombinant monoclonal antibody?
This product is a recombinant monoclonal antibody, which offers several advantages including:

  • - High batch-to-batch consistency and reproducibility
  • - Improved sensitivity and specificity
  • - Long-term security of supply
  • - Animal-free batch production

For more information, read more on recombinant antibodies.

出荷温度及び保存条件

製品の状態
Liquid
精製方法
Affinity purification Protein A
バッファー組成
pH: 7.2 - 7.4 Preservative: 0.01% Sodium azide Constituents: PBS, 40% Glycerol (glycerin, glycerine), 0.05% BSA
出荷温度
Blue Ice
短期保存期間
1-2 weeks
短期保存温度
+4°C
長期保存温度
-20°C
分注に関する情報
Upon delivery aliquot
保管に関する情報
Avoid freeze / thaw cycle

補足情報

This supplementary information is collated from multiple sources and compiled automatically.

EXOSC10 also known as RRP6 is an important component of the RNA exosome complex which plays a role in RNA processing and degradation. This protein is approximately 97 kDa in mass. It is localized mainly in the nucleus with a high expression level in nucleoli. The EXOSC10 protein contributes to the catalytic core of the exosome allowing it to perform 3’ to 5’ exonuclease activity on a variety of RNA substrates.
Biological function summary

Beyond its activity as an exonuclease EXOSC10 participates in the degradation of aberrant RNA molecules and the maturation of stable RNA species like rRNA. As a member of the RNA exosome complex it functions alongside other core exosome components to maintain RNA homeostasis. This assembly is essential for the surveillance and decay of faulty RNA regulatory RNA and the normal turnover of cellular RNA. The process ensures fidelity in gene expression and the prevention of toxic RNA accumulation.

Pathways

EXOSC10 plays a significant role in RNA processing pathways that involve RNA surveillance and degradation mechanisms. It acts in coordination with other proteins such as DIS3 and EXOSC5 in these pathways to ensure the correct maturation and quality control of RNA. The RNA exosome including EXOSC10 intersects with the nonsense-mediated decay pathway a cellular mechanism that identifies and degrades mRNAs containing premature stop codons therefore preventing potential truncated protein production.

Defects in EXOSC10 have been linked to diseases such as various forms of cancer and autoimmunity. The malfunction of EXOSC10 can disrupt RNA processing and degradation leading to the accumulation of defective RNAs and misregulated gene expression contributing to oncogenesis. In autoimmune conditions abnormal RNA processing by EXOSC10 may lead to altered immune responses. Associations with RPL5 and other ribosomal proteins have also been noted in the context of these disorders highlighting the importance of EXOSC10 in maintaining cellular RNA balance and integrity.

製品プロトコール

For this product, it's our understanding that no specific protocols are required. You can visit:

ターゲットの情報

Catalytic component of the RNA exosome complex which has 3'->5' exoribonuclease activity and participates in a multitude of cellular RNA processing and degradation events. In the nucleus, the RNA exosome complex is involved in proper maturation of stable RNA species such as rRNA, snRNA and snoRNA, in the elimination of RNA processing by-products and non-coding 'pervasive' transcripts, such as antisense RNA species and promoter-upstream transcripts (PROMPTs), and of mRNAs with processing defects, thereby limiting or excluding their export to the cytoplasm. Part of the small subunit (SSU) processome, first precursor of the small eukaryotic ribosomal subunit. During the assembly of the SSU processome in the nucleolus, many ribosome biogenesis factors, an RNA chaperone and ribosomal proteins associate with the nascent pre-rRNA and work in concert to generate RNA folding, modifications, rearrangements and cleavage as well as targeted degradation of pre-ribosomal RNA by the RNA exosome (PubMed : 34516797). The RNA exosome may be involved in Ig class switch recombination (CSR) and/or Ig variable region somatic hypermutation (SHM) by targeting AICDA deamination activity to transcribed dsDNA substrates. In the cytoplasm, the RNA exosome complex is involved in general mRNA turnover and specifically degrades inherently unstable mRNAs containing AU-rich elements (AREs) within their 3' untranslated regions, and in RNA surveillance pathways, preventing translation of aberrant mRNAs. It seems to be involved in degradation of histone mRNA. EXOSC10 is required for nucleolar localization of C1D and probably mediates the association of MTREX, C1D and MPHOSPH6 with the RNA exosome involved in the maturation of 5.8S rRNA. Plays a role in the recruitment of replication protein A complex (RPA) and RAD51 to DNA double-strand breaks caused by irradiation, contributing to DNA repair by homologous recombination (PubMed : 25632158, PubMed : 31086179). Regulates levels of damage-induced RNAs in order to prevent DNA-RNA hybrid formation at DNA double-strand breaks and limit DNA end resection after damage (PubMed : 31086179). Plays a role in oocyte development, maturation and survival (By similarity). Required for normal testis development and mitotic division of spermatogonia (By similarity). Plays a role in proper embryo development (By similarity). Required for global protein translation (PubMed : 26857222, PubMed : 36912080). Required for cell proliferation (PubMed : 36912080). Regulates metabolism of C9orf72-derived repeat RNA that can be translated into toxic dipeptide repeat proteins (PubMed : 32830871).
See full target information EXOSC10

Abcam product promise

当社は、高品質な試薬を通じてお客様の研究を力強くサポートすることをお約束いたします。ご使用いただく各段階で、常にお客様をサポートできる体制を整えております。万が一、製品が期待通りに機能しない場合は、「Abcam Product Promise」による当社保証制度に基づき、安心してご利用いただけます。
保証に関する詳細については利用規約をご確認ください。

Please note: All products are 'FOR RESEARCH USE ONLY. NOT FOR USE IN DIAGNOSTIC OR THERAPEUTIC PROCEDURES'.

For licensing inquiries, please contact partnerships@abcam.com