JavaScript is disabled in your browser. Please enable JavaScript to view this website.
AB268118

Anti-Estrogen Inducible Protein pS2 抗体 [TFF1/2133]

Anti-Estrogen Inducible Protein pS2 antibody [TFF1/2133]

Be the first to review this product! Submit a review

|

(2 Publications)

Mouse Monoclonal Estrogen Inducible Protein pS2 antibody. Suitable for Flow Cyt, Protein Array, ICC/IF, IHC-P and reacts with Human, Recombinant full length protein - Human samples. Cited in 2 publications. Immunogen corresponding to Recombinant Full Length Protein corresponding to Human TFF1.

別名を表示する

BCEI, PS2, TFF1, Trefoil factor 1, Breast cancer estrogen-inducible protein, PNR-2, Polypeptide P1.A, Protein pS2, hP1.A

5 Images
Immunocytochemistry/ Immunofluorescence - Anti-Estrogen Inducible Protein pS2 antibody [TFF1/2133] (AB268118)
  • ICC/IF

Unknown

Immunocytochemistry/ Immunofluorescence - Anti-Estrogen Inducible Protein pS2 antibody [TFF1/2133] (AB268118)

Immunofluorescence staining of paraformaldehyde-fixed MCF7 (Human breast adenocarcinoma cell line) cells stained for Estrogen Inducible Protein pS2 with ab268118 at 2 μg/million cells followed by a goat anti-Mouse IgG-CF488 (Green). Nucleus is labeled with Reddot (Red).

Flow Cytometry - Anti-Estrogen Inducible Protein pS2 antibody [TFF1/2133] (AB268118)
  • Flow Cyt

Unknown

Flow Cytometry - Anti-Estrogen Inducible Protein pS2 antibody [TFF1/2133] (AB268118)

Flow Cytometric analysis of PFA-fixed MCF7 (Human breast adenocarcinoma cell line) cells labeling Estrogen Inducible Protein pS2 using ab268118 followed by goat anti-Mouse IgG-CF488 (Blue); Isotype Control (Red).

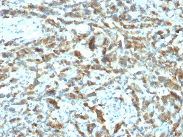
Immunohistochemistry (Formalin/PFA-fixed paraffin-embedded sections) - Anti-Estrogen Inducible Protein pS2 antibody [TFF1/2133] (AB268118)
  • IHC-P

Unknown

Immunohistochemistry (Formalin/PFA-fixed paraffin-embedded sections) - Anti-Estrogen Inducible Protein pS2 antibody [TFF1/2133] (AB268118)

Formalin-fixed, paraffin-embedded human breast carcinoma tissue stained for Estrogen Inducible Protein pS2 using ab268118 at 2 μg/ml in immunohistochemical analysis.

Immunocytochemistry/ Immunofluorescence - Anti-Estrogen Inducible Protein pS2 antibody [TFF1/2133] (AB268118)
  • ICC/IF

Unknown

Immunocytochemistry/ Immunofluorescence - Anti-Estrogen Inducible Protein pS2 antibody [TFF1/2133] (AB268118)

Immunofluorescence staining of paraformaldehyde-fixed MCF7 (Human breast adenocarcinoma cell line) cells stained for Estrogen Inducible Protein pS2 with ab268118 at 2 μg/million cells followed by goat anti-Mouse IgG-CF488 (Green). Membrane are labeled with phalloidin (Red).

Protein Array - Anti-Estrogen Inducible Protein pS2 antibody [TFF1/2133] (AB268118)
  • Protein Array

Unknown

Protein Array - Anti-Estrogen Inducible Protein pS2 antibody [TFF1/2133] (AB268118)

Protein Array containing more than 19,000 full-length human proteins using ab268118.

Z- and S- Score : The Z-score represents the strength of a signal that a monoclonal antibody (MAb) (in combination with a fluorescently-tagged anti-IgG secondary antibody) produces when binding to a particular protein on the HuProtTM array. Z-scores are described in units of standard deviations (SD's) above the mean value of all signals generated on that array. If targets on HuProtTM are arranged in descending order of the Z-score, the S-score is the difference (also in units of SD's) between the Z-score. S-score therefore represents the relative target specificity of a MAb to its intended target. A MAb is considered to specific to its intended target, if the MAb has an S-score of at least 2.5. For example, if a MAb binds to protein X with a Z-score of 43 and to protein Y with a Z-score of 14, then the S-score for the binding of that MAb to protein X is equal to 29.

Key facts

宿主種

Mouse

クローン性

Monoclonal

クローン番号

TFF1/2133

アイソタイプ

IgG2b

軽鎖のタイプ

kappa

キャリアフリー

No

交差種

Human

アプリケーション

Protein Array, Flow Cyt, ICC/IF, IHC-P

applications

免疫原

Recombinant Full Length Protein corresponding to Human TFF1.

P04155

Reactivity data

{ "title": "Reactivity Data", "filters": { "stats": ["", "Species", "Dilution Info", "Notes"], "tabs": { "all-applications": {"fullname" : "All Applications", "shortname": "All Applications"}, "FlowCyt" : {"fullname" : "Flow Cytometry", "shortname":"Flow Cyt"}, "ProteinArray" : {"fullname" : "Protein Array", "shortname":"Protein Array"}, "ICCIF" : {"fullname" : "Immunocytochemistry/ Immunofluorescence", "shortname":"ICC/IF"}, "IHCP" : {"fullname" : "Immunohistochemistry (Formalin/PFA-fixed paraffin-embedded sections)", "shortname":"IHC-P"} }, "product-promise": { "all": "all", "testedAndGuaranteed": "tested", "guaranteed": "expected", "predicted": "predicted", "notRecommended": "not-recommended" } }, "values": { "Human": { "FlowCyt-species-checked": "testedAndGuaranteed", "FlowCyt-species-dilution-info": "1-2 µg for 10^6 Cells", "FlowCyt-species-notes": "<p></p>", "ProteinArray-species-checked": "guaranteed", "ProteinArray-species-dilution-info": "", "ProteinArray-species-notes": "", "ICCIF-species-checked": "testedAndGuaranteed", "ICCIF-species-dilution-info": "1-2 µg/mL", "ICCIF-species-notes": "<p></p>", "IHCP-species-checked": "testedAndGuaranteed", "IHCP-species-dilution-info": "1-2 µg/mL", "IHCP-species-notes": "<p></p> Perform heat-mediated antigen retrieval with Tris/EDTA buffer pH 9.0 before commencing with IHC staining protocol." }, "Recombinant full length protein - Human": { "FlowCyt-species-checked": "notRecommended", "FlowCyt-species-dilution-info": "", "FlowCyt-species-notes": "", "ProteinArray-species-checked": "testedAndGuaranteed", "ProteinArray-species-dilution-info": "", "ProteinArray-species-notes": "<p></p>", "ICCIF-species-checked": "notRecommended", "ICCIF-species-dilution-info": "", "ICCIF-species-notes": "", "IHCP-species-checked": "notRecommended", "IHCP-species-dilution-info": "", "IHCP-species-notes": "" } } }

出荷温度及び保存条件

製品の状態
Liquid
精製方法
Affinity purification Protein A/G
精製に関する特記事項
Purified from bioreactor concentrate.
バッファー組成
pH: 7.2 - 7.4 Preservative: 0.05% Sodium azide Constituents: PBS, 0.05% BSA
出荷温度
Blue Ice
短期保存期間
1-2 weeks
短期保存温度
+4°C
長期保存温度
-20°C
分注に関する情報
Upon delivery aliquot
保管に関する情報
Avoid freeze / thaw cycle

補足情報

This supplementary information is collated from multiple sources and compiled automatically.

The Estrogen Inducible Protein pS2 also known as Trefoil Factor 1 (TFF1) is a small protein with a mass of about 6.6 kDa. It is mainly expressed in the mucosa of the stomach and other tissues responsive to estrogen. pS2 functions mechanically as part of the trefoil factor family known for its role in mucosal protection and repair. pS2 has a distinctive three-loop structure which is key to its interaction with other molecules and substrates in the cellular environment.
Biological function summary

This trefoil factor plays a significant role in the process of epithelial regeneration and maintaining gastrointestinal tract integrity. It is not known to be part of a complex but works through interaction with various growth factors and cytokines. Its expression is regulated by estrogen making pS2 significant in estrogen-responsive tissues. These interactions contribute to maintaining the stability of epithelial lining aiding in cellular migration and wound healing.

Pathways

PS2 influences cellular signaling involved in the gastric mucosal defense mainly interacting with the Epidermal Growth Factor (EGF) pathway. It modulates the pathway's effects on cell proliferation and migration. Its role is linked to the mitigation of tissue damage indicating a connection with other proteins like the EGF receptor contributing to the repair and defense mechanisms of epithelial tissues.

PS2 has gained attention in breast cancer research. Its expression correlates with hormone receptor-positive breast cancer making it a potential biomarker for the disease. Additionally aberrant expression levels of pS2 might relate to gastric cancer where it plays a role in tumor progression and response to therapy. pS2 is closely connected to estrogen receptor proteins which guide its involvement in these cancers influencing prognosis and treatment strategies.

製品プロトコール

For this product, it's our understanding that no specific protocols are required. You can visit:

ターゲットの情報

Stabilizer of the mucous gel overlying the gastrointestinal mucosa that provides a physical barrier against various noxious agents. May inhibit the growth of calcium oxalate crystals in urine.
See full target information TFF1

文献 (2)

Recent publications for all applications. Explore the full list and refine your search

Respiratory research 24:99 PubMed37005656

2023

Morphologically intact airways in lung fibrosis have an abnormal proteome.

Applications

Unspecified application

Species

Unspecified reactive species

Jeremy A Herrera,Lewis A Dingle,M Angeles Monetero,Rajamiyer V Venkateswaran,John F Blaikley,Felice Granato,Stella Pearson,Craig Lawless,David J Thornton

JCI insight 8: PubMed36821371

2023

EPIREGULIN creates a developmental niche for spatially organized human intestinal enteroids.

Applications

Unspecified application

Species

Unspecified reactive species

Charlie J Childs,Emily M Holloway,Caden W Sweet,Yu-Hwai Tsai,Angeline Wu,Abigail Vallie,Madeline K Eiken,Meghan M Capeling,Rachel K Zwick,Brisa Palikuqi,Coralie Trentesaux,Joshua H Wu,Oscar Pellón-Cardenas,Charles J Zhang,Ian Glass,Claudia Loebel,Qianhui Yu,J Gray Camp,Jonathan Z Sexton,Ophir D Klein,Michael P Verzi,Jason R Spence
View all publications

Abcam product promise

当社は、高品質な試薬を通じてお客様の研究を力強くサポートすることをお約束いたします。ご使用いただく各段階で、常にお客様をサポートできる体制を整えております。万が一、製品が期待通りに機能しない場合は、「Abcam Product Promise」による当社保証制度に基づき、安心してご利用いただけます。
保証に関する詳細については利用規約をご確認ください。

Please note: All products are 'FOR RESEARCH USE ONLY. NOT FOR USE IN DIAGNOSTIC OR THERAPEUTIC PROCEDURES'.

For licensing inquiries, please contact partnerships@abcam.com