JavaScript is disabled in your browser. Please enable JavaScript to view this website.
AB15282

Anti-ERK2 抗体

Anti-ERK2 antibody

Be the first to review this product! Submit a review

|

(15 Publications)

Rabbit Polyclonal ERK2 antibody. Suitable for IHC-P and reacts with Human samples. Cited in 15 publications.

別名を表示する

Erk2, Mapk, Prkm1, Mapk1, Mitogen-activated protein kinase 1, MAP kinase 1, MAPK 1, ERT1, Extracellular signal-regulated kinase 2, MAP kinase isoform p42, Mitogen-activated protein kinase 2, ERK-2, p42-MAPK, MAP kinase 2, MAPK 2

1 Images
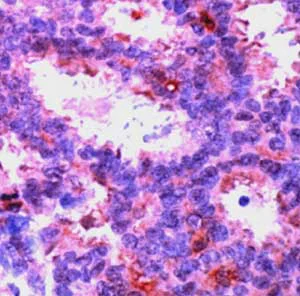
Immunohistochemistry (Formalin/PFA-fixed paraffin-embedded sections) - Anti-ERK2 antibody (AB15282)
  • IHC-P

Unknown

Immunohistochemistry (Formalin/PFA-fixed paraffin-embedded sections) - Anti-ERK2 antibody (AB15282)

ab15282, at 1/200 dilution, staining ERK2 in breast carcinoma by IHC-P.

Key facts

宿主種

Rabbit

クローン性

Polyclonal

アイソタイプ

IgG

キャリアフリー

No

交差種

Human

アプリケーション

IHC-P

applications

免疫原

The exact immunogen used to generate this antibody is proprietary information.

Reactivity data

{ "title": "Reactivity Data", "filters": { "stats": ["", "Species", "Dilution Info", "Notes"], "tabs": { "all-applications": {"fullname" : "All Applications", "shortname": "All Applications"}, "IHCP" : {"fullname" : "Immunohistochemistry (Formalin/PFA-fixed paraffin-embedded sections)", "shortname":"IHC-P"} }, "product-promise": { "all": "all", "testedAndGuaranteed": "tested", "guaranteed": "expected", "predicted": "predicted", "notRecommended": "not-recommended" } }, "values": { "Human": { "IHCP-species-checked": "testedAndGuaranteed", "IHCP-species-dilution-info": "1/200", "IHCP-species-notes": "<p></p> Perform enzymatic antigen retrieval before commencing with IHC staining protocol." }, "Mouse": { "IHCP-species-checked": "predicted", "IHCP-species-dilution-info": "", "IHCP-species-notes": "" }, "Rat": { "IHCP-species-checked": "predicted", "IHCP-species-dilution-info": "", "IHCP-species-notes": "" } } }

出荷温度及び保存条件

製品の状態
Liquid
精製方法
Affinity purification Immunogen
バッファー組成
pH: 7.6 Preservative: 0.1% Sodium azide Constituents: PBS, 1% BSA
出荷温度
Blue Ice
長期保存温度
-20°C
分注に関する情報
Upon delivery aliquot
保管に関する情報
Avoid freeze / thaw cycle

補足情報

This supplementary information is collated from multiple sources and compiled automatically.

ERK2 also known as Extracellular signal-Regulated Kinase 2 is a serine/threonine protein kinase in the mitogen-activated protein kinase (MAPK) family with a mass of approximately 42 kDa. This kinase is expressed in many cell types and tissues including the brain liver and lungs. ERK2 plays a significant role in cellular processes such as proliferation differentiation and survival. It is often analyzed using specific assays including ERK2 ELISA and examination of cell lysate samples to determine expression levels and activity.
Biological function summary

ERK2 influences several key cellular functions. It functions as part of a signaling cascade transmitting signals from the exterior to the cell nucleus. In this cascade ERK2 is often part of a multi-protein complex that undergoes sequential phosphorylation. Through these mechanisms ERK2 regulates gene expression and is a pivotal component of the MAPK/ERK pathway ensuring the proper response to growth signals and stress stimuli.

Pathways

ERK2 is a central component of the MAPK/ERK signaling pathway and the PI3K/AKT pathway. These pathways play critical roles in cell cycle regulation and apoptosis. ERK2 activation leads to its interaction with the MEK1/2 proteins which further allows the transmission of mitogenic signals. The interplay between ERK2 and related proteins like E460 often impacts cellular growth and development as it precisely controls the phosphorylation events within the pathway.

ERK2 is connected to certain types of cancer and neurodegenerative diseases. Aberrations in ERK2 signaling pathways are often linked to tumorigenesis where altered interaction with proteins such as Raf and MEK1/2 disrupts cell cycle regulation and apoptosis. In neurodegenerative disorders dysregulated ERK2 activity has been associated with proteins contributing to Alzheimer’s disease indicating its involvement in neuronal survival and stress response mechanisms.

製品プロトコール

For this product, it's our understanding that no specific protocols are required. You can visit:

ターゲットの情報

Serine/threonine kinase which acts as an essential component of the MAP kinase signal transduction pathway. MAPK1/ERK2 and MAPK3/ERK1 are the 2 MAPKs which play an important role in the MAPK/ERK cascade. They participate also in a signaling cascade initiated by activated KIT and KITLG/SCF. Depending on the cellular context, the MAPK/ERK cascade mediates diverse biological functions such as cell growth, adhesion, survival and differentiation through the regulation of transcription, translation, cytoskeletal rearrangements. The MAPK/ERK cascade also plays a role in initiation and regulation of meiosis, mitosis, and postmitotic functions in differentiated cells by phosphorylating a number of transcription factors. About 160 substrates have already been discovered for ERKs. Many of these substrates are localized in the nucleus, and seem to participate in the regulation of transcription upon stimulation. However, other substrates are found in the cytosol as well as in other cellular organelles, and those are responsible for processes such as translation, mitosis and apoptosis. Moreover, the MAPK/ERK cascade is also involved in the regulation of the endosomal dynamics, including lysosome processing and endosome cycling through the perinuclear recycling compartment (PNRC); as well as in the fragmentation of the Golgi apparatus during mitosis. The substrates include transcription factors (such as ATF2, BCL6, ELK1, ERF, FOS, HSF4 or SPZ1), cytoskeletal elements (such as CANX, CTTN, GJA1, MAP2, MAPT, PXN, SORBS3 or STMN1), regulators of apoptosis (such as BAD, BTG2, CASP9, DAPK1, IER3, MCL1 or PPARG), regulators of translation (such as EIF4EBP1 and FXR1) and a variety of other signaling-related molecules (like ARHGEF2, DCC, FRS2 or GRB10). Protein kinases (such as RAF1, RPS6KA1/RSK1, RPS6KA3/RSK2, RPS6KA2/RSK3, RPS6KA6/RSK4, SYK, MKNK1/MNK1, MKNK2/MNK2, RPS6KA5/MSK1, RPS6KA4/MSK2, MAPKAPK3 or MAPKAPK5) and phosphatases (such as DUSP1, DUSP4, DUSP6 or DUSP16) are other substrates which enable the propagation the MAPK/ERK signal to additional cytosolic and nuclear targets, thereby extending the specificity of the cascade. Mediates phosphorylation of TPR in response to EGF stimulation. May play a role in the spindle assembly checkpoint. Phosphorylates PML and promotes its interaction with PIN1, leading to PML degradation. Phosphorylates CDK2AP2 (By similarity).. Acts as a transcriptional repressor. Binds to a [GC]AAA[GC] consensus sequence. Repress the expression of interferon gamma-induced genes. Seems to bind to the promoter of CCL5, DMP1, IFIH1, IFITM1, IRF7, IRF9, LAMP3, OAS1, OAS2, OAS3 and STAT1. Transcriptional activity is independent of kinase activity.
See full target information Mapk1

文献 (15)

Recent publications for all applications. Explore the full list and refine your search

Molecular medicine reports 25: PubMed35211757

2022

Advanced glycation end products promote osteoporosis by inducing ferroptosis in osteoblasts.

Applications

Unspecified application

Species

Unspecified reactive species

Weiwei Ge,Jian Jie,Jie Yao,Wei Li,Yahui Cheng,Wenjuan Lu

Molecular therapy. Methods & clinical development 22:15-25 PubMed34401402

2021

Substantial restoration of night vision in adult mice with congenital stationary night blindness.

Applications

Unspecified application

Species

Unspecified reactive species

Juliette Varin,Nassima Bouzidi,Gregory Gauvain,Corentin Joffrois,Melissa Desrosiers,Camille Robert,Miguel Miranda De Sousa Dias,Marion Neuillé,Christelle Michiels,Marco Nassisi,José-Alain Sahel,Serge Picaud,Isabelle Audo,Deniz Dalkara,Christina Zeitz

Cell reports 35:109022 PubMed33882303

2021

Restoration of visual function in advanced disease after transplantation of purified human pluripotent stem cell-derived cone photoreceptors.

Applications

Unspecified application

Species

Unspecified reactive species

Joana Ribeiro,Christopher A Procyk,Emma L West,Michelle O'Hara-Wright,Monica F Martins,Majid Moshtagh Khorasani,Aura Hare,Mark Basche,Milan Fernando,Debbie Goh,Neeraj Jumbo,Matteo Rizzi,Kate Powell,Menahil Tariq,Michel Michaelides,James W B Bainbridge,Alexander J Smith,Rachael A Pearson,Anai Gonzalez-Cordero,Robin R Ali

Translational vision science & technology 9:18 PubMed33117609

2020

A Ketogenic & Low-Protein Diet Slows Retinal Degeneration in rd10 Mice.

Applications

Unspecified application

Species

Unspecified reactive species

Renee C Ryals,Samuel J Huang,Dahlia Wafai,Claire Bernert,William Steele,Makayla Six,Shasank Bonthala,Hope Titus,Paul Yang,Melanie Gillingham,Mark E Pennesi

Investigative ophthalmology & visual science 61:24 PubMed32531058

2020

Effects of Cone Connexin-36 Disruption on Light Adaptation and Circadian Regulation of the Photopic ERG.

Applications

Unspecified application

Species

Unspecified reactive species

Shuo Zhang,Polina Lyuboslavsky,Jendayi Azeezah Dixon,Micah A Chrenek,Jana T Sellers,Jessica M Hamm,Christophe P Ribelayga,Zhijing Zhang,Yun Z Le,P Michael Iuvone

Cells 9: PubMed32290532

2020

Differences in the Response to DNA Double-Strand Breaks between Rod Photoreceptors of Rodents, Pigs, and Humans.

Applications

Unspecified application

Species

Unspecified reactive species

Florian Frohns,Antonia Frohns,Johanna Kramer,Katharina Meurer,Carla Rohrer-Bley,Irina Solovei,David Hicks,Paul G Layer,Markus Löbrich

Molecular therapy : the journal of the American So 28:830-844 PubMed32027843

2020

Repair of Retinal Degeneration following Ex Vivo Minicircle DNA Gene Therapy and Transplantation of Corrected Photoreceptor Progenitors.

Applications

Unspecified application

Species

Unspecified reactive species

Alona O Barnea-Cramer,Mandeep Singh,Dominik Fischer,Samantha De Silva,Michelle E McClements,Alun R Barnard,Robert E MacLaren

FASEB journal : official publication of the Federa 33:10177-10192 PubMed31199887

2019

Rescuing cones and daylight vision in retinitis pigmentosa mice.

Applications

Unspecified application

Species

Unspecified reactive species

Viviana Guadagni,Martina Biagioni,Elena Novelli,Paolo Aretini,Chiara Maria Mazzanti,Enrica Strettoi

Cell reports 27:1712-1725.e6 PubMed31067458

2019

Linking YAP to Müller Glia Quiescence Exit in the Degenerative Retina.

Applications

Unspecified application

Species

Unspecified reactive species

Annaïg Hamon,Diana García-García,Divya Ail,Juliette Bitard,Albert Chesneau,Deniz Dalkara,Morgane Locker,Jérôme E Roger,Muriel Perron

Molecular therapy : the journal of the American So 27:1313-1326 PubMed31043342

2019

AKT3 Gene Transfer Promotes Anabolic Reprogramming and Photoreceptor Neuroprotection in a Pre-clinical Model of Retinitis Pigmentosa.

Applications

Unspecified application

Species

Unspecified reactive species

Devin S McDougald,Tyler E Papp,Alexandra U Zezulin,Shangzhen Zhou,Jean Bennett
View all publications

Abcam product promise

当社は、高品質な試薬を通じてお客様の研究を力強くサポートすることをお約束いたします。ご使用いただく各段階で、常にお客様をサポートできる体制を整えております。万が一、製品が期待通りに機能しない場合は、「Abcam Product Promise」による当社保証制度に基づき、安心してご利用いただけます。
保証に関する詳細については利用規約をご確認ください。

Please note: All products are 'FOR RESEARCH USE ONLY. NOT FOR USE IN DIAGNOSTIC OR THERAPEUTIC PROCEDURES'.

For licensing inquiries, please contact partnerships@abcam.com