JavaScript is disabled in your browser. Please enable JavaScript to view this website.
AB214036

Anti-ERK1 (phospho T202) + ERK2 (phospho T185) 抗体 [EPR18444]

Anti-ERK1 (phospho T202) + ERK2 (phospho T185) antibody [EPR18444]

  • RabMAb
  • Recombinant
  • KO Validated
  • Lab Essentials
  • 20ul selling size
  • 詳細を見る

Be the first to review this product! Submit a review

|

(44 Publications)

Rabbit Recombinant Monoclonal ERK1 phospho T202 antibody. Suitable for IP, Dot, WB, ICC/IF, IHC-P and reacts with Rat, Human, Mouse samples. Cited in 44 publications.

別名を表示する

ERK1, PRKM3, MAPK3, Mitogen-activated protein kinase 3, MAP kinase 3, MAPK 3, ERT2, Extracellular signal-regulated kinase 1, Insulin-stimulated MAP2 kinase, MAP kinase isoform p44, Microtubule-associated protein 2 kinase, p44-ERK1, ERK-1, p44-MAPK

14 Images
Immunocytochemistry/ Immunofluorescence - Anti-ERK1 (phospho T202) + ERK2 (phospho T185) antibody [EPR18444] (AB214036)
  • ICC/IF

Supplier Data

Immunocytochemistry/ Immunofluorescence - Anti-ERK1 (phospho T202) + ERK2 (phospho T185) antibody [EPR18444] (AB214036)

Immunofluorescent analysis of 4% paraformaldehyde-fixed, 0.1% Triton X-100 permeabilized Jurkat (Human T cell leukemia cell line from peripheral blood) cells labeling ERK1 (phospho T202) + ERK2 (phospho T185) with ab214036 at 1/100 dilution, followed by Goat Anti-Rabbit IgG (Alexa Fluor® 488) (ab150077) secondary antibody at 1/1000 dilution (green). Confocal image showing cytoplasmic staining increased after PMA treatment (200 ng/ml, 30min), and LP treatment decreased the PMA induced staining. For the "pan" antibody, the signal is unchanged after PMA treatment (200 ng/ml, 30min), and LP treatment. The nuclear counterstain is DAPI (blue).

Tubulin is detected with Anti-alpha Tubulin mouse MAb (ab7291) at 1/1000 dilution and Goat Anti-Mouse IgG H&L (Alexa Fluor® 594) (ab150120) secondary antibody at 1/1000 dilution (red).

Immunohistochemistry (Formalin/PFA-fixed paraffin-embedded sections) - Anti-ERK1 (phospho T202) + ERK2 (phospho T185) antibody [EPR18444] (AB214036)
  • IHC-P

Supplier Data

Immunohistochemistry (Formalin/PFA-fixed paraffin-embedded sections) - Anti-ERK1 (phospho T202) + ERK2 (phospho T185) antibody [EPR18444] (AB214036)

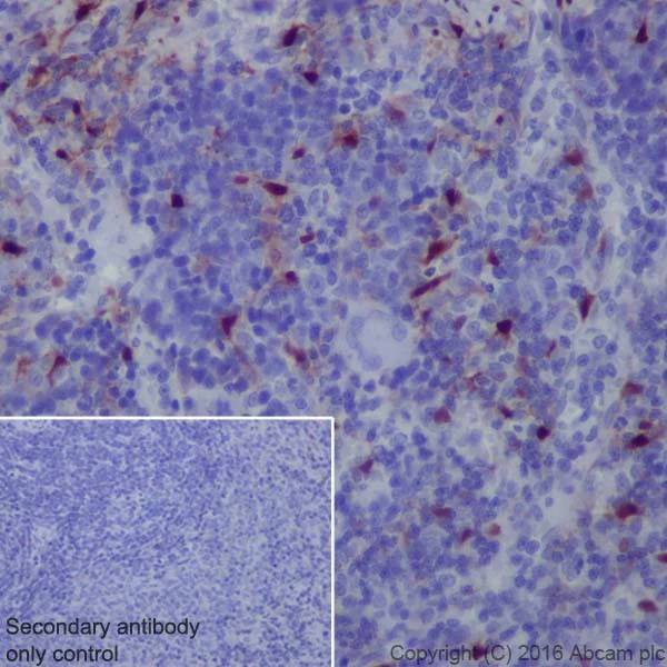
Immunohistochemical analysis of paraffin-embedded human glioma tissue labeling ERK1 (phospho T202) + ERK2 (phospho T185) with ab214036 at 1/500 dilution, followed by Goat Anti-Rabbit IgG H&L (HRP) (ab97051) at 1/500 dilution.

Nuclear and weak cytoplasmic staining on human glioma is observed [PMID : 17487353].

Counter stained with Hematoxylin.

Secondary antibody only control : Used PBS instead of primary antibody, secondary antibody is Goat Anti-Rabbit IgG H&L (HRP) (ab97051) at 1/500 dilution.

Perform heat mediated antigen retrieval with EDTA buffer pH 9 before commencing with IHC staining protocol.

Immunohistochemistry (Formalin/PFA-fixed paraffin-embedded sections) - Anti-ERK1 (phospho T202) + ERK2 (phospho T185) antibody [EPR18444] (AB214036)
  • IHC-P

Supplier Data

Immunohistochemistry (Formalin/PFA-fixed paraffin-embedded sections) - Anti-ERK1 (phospho T202) + ERK2 (phospho T185) antibody [EPR18444] (AB214036)

Immunohistochemical analysis of paraffin-embedded human breast cancer tissue labeling ERK1 (phospho T202) + ERK2 (phospho T185) with ab214036 at 1/500 dilution, followed by Goat Anti-Rabbit IgG H&L (HRP) (ab97051) at 1/500 dilution.

Nuclear and weak cytoplasmic staining on human breast tissue cancer is observed.

Counter stained with Hematoxylin.

Secondary antibody only control : Used PBS instead of primary antibody, secondary antibody is Goat Anti-Rabbit IgG H&L (HRP) (ab97051) at 1/500 dilution.

Perform heat mediated antigen retrieval with EDTA buffer pH 9 before commencing with IHC staining protocol.

Immunohistochemistry (Formalin/PFA-fixed paraffin-embedded sections) - Anti-ERK1 (phospho T202) + ERK2 (phospho T185) antibody [EPR18444] (AB214036)
  • IHC-P

Supplier Data

Immunohistochemistry (Formalin/PFA-fixed paraffin-embedded sections) - Anti-ERK1 (phospho T202) + ERK2 (phospho T185) antibody [EPR18444] (AB214036)

Immunohistochemical analysis of paraffin-embedded human breast tissue labeling ERK1 (phospho T202) + ERK2 (phospho T185) with ab214036 at 1/500 dilution, followed by Goat Anti-Rabbit IgG H&L (HRP) (ab97051) at 1/500 dilution.

Nuclear staining on human normal breast tissue is observed.

Counter stained with Hematoxylin.

Secondary antibody only control : Used PBS instead of primary antibody, secondary antibody is Goat Anti-Rabbit IgG H&L (HRP) (ab97051) at 1/500 dilution.

Perform heat mediated antigen retrieval with EDTA buffer pH 9 before commencing with IHC staining protocol.

Immunohistochemistry (Formalin/PFA-fixed paraffin-embedded sections) - Anti-ERK1 (phospho T202) + ERK2 (phospho T185) antibody [EPR18444] (AB214036)
  • IHC-P

Supplier Data

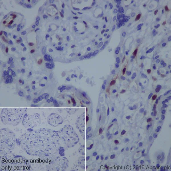
Immunohistochemistry (Formalin/PFA-fixed paraffin-embedded sections) - Anti-ERK1 (phospho T202) + ERK2 (phospho T185) antibody [EPR18444] (AB214036)

Immunohistochemical analysis of paraffin-embedded human placenta tissue labeling ERK1 (phospho T202) + ERK2 (phospho T185) with ab214036 at 1/500 dilution, followed by Goat Anti-Rabbit IgG H&L (HRP) (ab97051) at 1/500 dilution.

Nuclear and weak cytoplasmic staining on scattered cells of human placenta is observed.

Counter stained with Hematoxylin.

Secondary antibody only control : Used PBS instead of primary antibody, secondary antibody is Goat Anti-Rabbit IgG H&L (HRP) (ab97051) at 1/500 dilution.

Perform heat mediated antigen retrieval with EDTA buffer pH 9 before commencing with IHC staining protocol.

Immunocytochemistry/ Immunofluorescence - Anti-ERK1 (phospho T202) + ERK2 (phospho T185) antibody [EPR18444] (AB214036)
  • ICC/IF

Supplier Data

Immunocytochemistry/ Immunofluorescence - Anti-ERK1 (phospho T202) + ERK2 (phospho T185) antibody [EPR18444] (AB214036)

Immunofluorescent analysis of 4% paraformaldehyde-fixed, 0.1% Triton X-100 permeabilized Jurkat (Human T cell leukemia cell line from peripheral blood) cells labeling -ERK1 (phospho T202) + ERK2 (phospho T185) with ab214036 at 1/100 dilution, followed by Goat Anti-Rabbit IgG (Alexa Fluor® 488) (ab150077) secondary antibody at 1/1000 dilution (green). Confocal image showing cytoplasmic staining increased after PMA treatment (200 ng/ml, 30min), and LP treatment decreased the PMA induced staining.

The nuclear counterstain is DAPI (blue).

Tubulin is detected with Anti-alpha Tubulin mouse MAb (ab7291) at 1/1000 dilution, followed by Anti-Mouse IgG H&L (Alexa Fluor® 594) (ab150120) secondary antibody at 1/1000 dilution (red).

The negative controls are as follows : -

-ve control 1 : ab214036 at 1/100 dilution followed by Anti-Mouse IgG H&L (Alexa Fluor® 594) (ab150120) secondary antibody at 1/1000 dilution.

-ve control 2 : Anti-alpha Tubulin mouse MAb (ab7291) at 1/1000 dilution followed by Goat Anti-Rabbit IgG H&L (Alexa Fluor® 488) (ab150077) secondary antibody at 1/1000 dilution.

Immunoprecipitation - Anti-ERK1 (phospho T202) + ERK2 (phospho T185) antibody [EPR18444] (AB214036)
  • IP

Supplier Data

Immunoprecipitation - Anti-ERK1 (phospho T202) + ERK2 (phospho T185) antibody [EPR18444] (AB214036)

ERK1 (phospho T202) + ERK2 (phospho T185) was immunoprecipitated from 0.35 mg of Jurkat (Human T cell leukemia cell line from peripheral blood) treated with 200 ng/ml PMA for 30 minutes whole cell lysate with ab214036 at 1/40 dilution.

Western blot was performed from the immunoprecipitate using ab214036 at 1/1000 dilution.

VeriBlot for IP Detection Reagent (HRP) (ab131366), was used for detection at 1/10,000 dilution

Lane 1 : Jurkat treated with 200 ng/ml PMA for 30 minutes whole cell lysate 10μg (Input).

Lane 2 : ab214036 IP in Jurkat treated with 200 ng/ml PMA for 30 minutes whole cell lysate.

Lane 3 : Rabbit IgG, monoclonal [EPR25A] - Isotype Control (ab172730) instead of ab214036 in Jurkat treated with 200 ng/ml PMA for 30 minutes whole cell lysate.

Blocking and dilution buffer and concentration : 5% NFDM/TBST.

Exposure time : 3 minutes.

All lanes:

Immunoprecipitation - Anti-ERK1 (phospho T202) + ERK2 (phospho T185) antibody [EPR18444] (ab214036)

false

Immunohistochemistry (Formalin/PFA-fixed paraffin-embedded sections) - Anti-ERK1 (phospho T202) + ERK2 (phospho T185) antibody [EPR18444] (AB214036)
  • IHC-P

Supplier Data

Immunohistochemistry (Formalin/PFA-fixed paraffin-embedded sections) - Anti-ERK1 (phospho T202) + ERK2 (phospho T185) antibody [EPR18444] (AB214036)

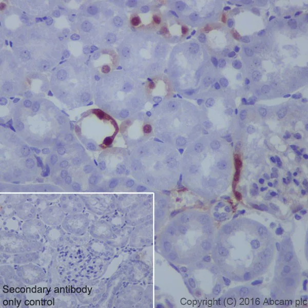
Immunohistochemical analysis of paraffin-embedded mouse kidney tissue labeling ERK1 (phospho T202) + ERK2 (phospho T185) with ab214036 at 1/500 dilution, followed by Goat Anti-Rabbit IgG H&L (HRP) (ab97051) at 1/500 dilution.

Nuclear and weak cytoplasmic staining on scattered cells of mouse kidney is observed.

Counter stained with Hematoxylin.

Secondary antibody only control : Used PBS instead of primary antibody, secondary antibody is Goat Anti-Rabbit IgG H&L (HRP) (ab97051) at 1/500 dilution.

Perform heat mediated antigen retrieval with EDTA buffer pH 9 before commencing with IHC staining protocol.

Immunohistochemistry (Formalin/PFA-fixed paraffin-embedded sections) - Anti-ERK1 (phospho T202) + ERK2 (phospho T185) antibody [EPR18444] (AB214036)
  • IHC-P

Supplier Data

Immunohistochemistry (Formalin/PFA-fixed paraffin-embedded sections) - Anti-ERK1 (phospho T202) + ERK2 (phospho T185) antibody [EPR18444] (AB214036)

Immunohistochemical analysis of paraffin-embedded rat spleen tissue labeling ERK1 (phospho T202) + ERK2 (phospho T185) with ab214036 at 1/500 dilution, followed by Goat Anti-Rabbit IgG H&L (HRP) (ab97051) at 1/500 dilution.

Nuclear and weak cytoplasmic staining on scattered cells of rat spleen is observed.

Counter stained with Hematoxylin.

Secondary antibody only control : Used PBS instead of primary antibody, secondary antibody is Goat Anti-Rabbit IgG H&L (HRP) (ab97051) at 1/500 dilution.

Perform heat mediated antigen retrieval with EDTA buffer pH 9 before commencing with IHC staining protocol.

Immunoprecipitation - Anti-ERK1 (phospho T202) + ERK2 (phospho T185) antibody [EPR18444] (AB214036)
  • IP

Supplier Data

Immunoprecipitation - Anti-ERK1 (phospho T202) + ERK2 (phospho T185) antibody [EPR18444] (AB214036)

ERK1 (phospho T202) + ERK2 (phospho T185) was immunoprecipitated from 0.35 mg of PC-12 (Rat adrenal gland pheochromocytoma cell line) treated with 200 ng/ml NGF for 4 days whole cell lysate with ab214036 at 1/40 dilution.

Western blot was performed from the immunoprecipitate using ab214036 at 1/1000 dilution.

VeriBlot for IP Detection Reagent (HRP) (ab131366), was used for detection at 1/10,000 dilution

Lane 1 : PC-12 treated with 200 ng/ml NGF for 4 days whole cell lysate 10μg (Input).

Lane 2 : ab214036 IP in PC-12 treated with 200 ng/ml NGF for 4 days whole cell lysate.

Lane 3 : Rabbit IgG, monoclonal [EPR25A] - Isotype Control (ab172730) instead of ab214036 in PC-12 treated with 200 ng/ml NGF for 4 days whole cell lysate.

Blocking and dilution buffer and concentration : 5% NFDM/TBST.

Exposure time : 30 seconds.

All lanes:

Immunoprecipitation - Anti-ERK1 (phospho T202) + ERK2 (phospho T185) antibody [EPR18444] (ab214036)

false

Western blot - Anti-ERK1 (phospho T202) + ERK2 (phospho T185) antibody [EPR18444] (AB214036)
  • WB

Supplier Data

Western blot - Anti-ERK1 (phospho T202) + ERK2 (phospho T185) antibody [EPR18444] (AB214036)

Blocking/Dilution buffer : 5% NFDM/TBST.

All lanes:

Western blot - Anti-ERK1 (phospho T202) + ERK2 (phospho T185) antibody [EPR18444] (ab214036) at 1/1000 dilution

Lane 1:

Untreated Jurkat (Human T cell leukemia cell line from peripheral blood) whole cell lysate at 10 µg

Lane 2:

Jurkat (Human T cell leukemia cell line from peripheral blood) treated with 200 ng/ml PMA for 30 minutes whole cell lysate at 10 µg

Secondary

All lanes:

Western blot - Goat Anti-Rabbit IgG H&L (HRP) (<a href='/products/secondary-antibodies/goat-rabbit-igg-h-l-hrp-ab97051'>ab97051</a>) at 1/100000 dilution

Observed band size: 42 kDa,44 kDa

false

Exposure time: 30s

Western blot - Anti-ERK1 (phospho T202) + ERK2 (phospho T185) antibody [EPR18444] (AB214036)
  • WB

Supplier Data

Western blot - Anti-ERK1 (phospho T202) + ERK2 (phospho T185) antibody [EPR18444] (AB214036)

Blocking/Dilution buffer : 5% NFDM/TBST.

All lanes:

Western blot - Anti-ERK1 (phospho T202) + ERK2 (phospho T185) antibody [EPR18444] (ab214036) at 1/1000 dilution

Lane 1:

Untreated PC-12 (Rat adrenal gland pheochromocytoma cell line) whole cell lysate at 10 µg

Lane 2:

PC-12 (Rat adrenal gland pheochromocytoma cell line) treated with 200 ng/ml NGF for 4 days whole cell lysate at 10 µg

Secondary

All lanes:

Western blot - Goat Anti-Rabbit IgG H&L (HRP) (<a href='/products/secondary-antibodies/goat-rabbit-igg-h-l-hrp-ab97051'>ab97051</a>) at 1/100000 dilution

Observed band size: 42 kDa,44 kDa

false

Exposure time: 3min

Western blot - Anti-ERK1 (phospho T202) + ERK2 (phospho T185) antibody [EPR18444] (AB214036)
  • WB

Supplier Data

Western blot - Anti-ERK1 (phospho T202) + ERK2 (phospho T185) antibody [EPR18444] (AB214036)

Blocking/Dilution buffer : 5% NFDM/TBST.

All lanes:

Western blot - Anti-ERK1 (phospho T202) + ERK2 (phospho T185) antibody [EPR18444] (ab214036) at 1/1000 dilution

Lane 1:

Untreated NIH/3T3 (Mouse embryonic fibroblast cell line) whole cell lysate at 10 µg

Lane 2:

NIH/3T3 (Mouse embryonic fibroblast cell line) treated with 50 ng/ml PDGF for 40 minutes whole cell lysate at 10 µg

Secondary

All lanes:

Western blot - Goat Anti-Rabbit IgG H&L (HRP) (<a href='/products/secondary-antibodies/goat-rabbit-igg-h-l-hrp-ab97051'>ab97051</a>) at 1/100000 dilution

Observed band size: 42 kDa,44 kDa

false

Exposure time: 2s

Dot Blot - Anti-ERK1 (phospho T202) + ERK2 (phospho T185) antibody [EPR18444] (AB214036)
  • Dot

Lab

Dot Blot - Anti-ERK1 (phospho T202) + ERK2 (phospho T185) antibody [EPR18444] (AB214036)

Dot blot analysis of ERK1 (pT202) peptide (Lane 1), ERK1 (pT204) peptide (Lane 2), ERK1 (pT202 + pT204) peptide (Lane 3) and ERK1 non-phospho peptide (Lane 4) labelling ERK1 (pT202) with ab214036.

Exposure time : 3 minutes.

関連する標識済み抗体及び組成の異なる製品 (1)

  • Carrier free

    Anti-ERK1 (phospho T202) + ERK2 (phospho T185) antibody [EPR18444] - BSA and Azide free

Key facts

宿主種

Rabbit

クローン性

Monoclonal

クローン番号

EPR18444

アイソタイプ

IgG

キャリアフリー

No

交差種

Mouse, Rat, Human

アプリケーション

IP, ICC/IF, WB, IHC-P, Dot

applications

免疫原

The exact immunogen used to generate this antibody is proprietary information.

特異性

ab214036 does not react with a peptide containing ERK1 pY204 or ERK2 pY187

Reactivity data

{ "title": "Reactivity Data", "filters": { "stats": ["", "Species", "Dilution Info", "Notes"], "tabs": { "all-applications": {"fullname" : "All Applications", "shortname": "All Applications"}, "IP" : {"fullname" : "Immunoprecipitation", "shortname":"IP"}, "Dot" : {"fullname" : "Dot Blot", "shortname":"Dot"}, "WB" : {"fullname" : "Western blot", "shortname":"WB"}, "ICCIF" : {"fullname" : "Immunocytochemistry/ Immunofluorescence", "shortname":"ICC/IF"}, "IHCP" : {"fullname" : "Immunohistochemistry (Formalin/PFA-fixed paraffin-embedded sections)", "shortname":"IHC-P"} }, "product-promise": { "all": "all", "testedAndGuaranteed": "tested", "guaranteed": "expected", "predicted": "predicted", "notRecommended": "not-recommended" } }, "values": { "Human": { "IP-species-checked": "testedAndGuaranteed", "IP-species-dilution-info": "1/40", "IP-species-notes": "<p></p>", "Dot-species-checked": "testedAndGuaranteed", "Dot-species-dilution-info": "", "Dot-species-notes": "<p></p>", "WB-species-checked": "testedAndGuaranteed", "WB-species-dilution-info": "1/1000", "WB-species-notes": "<p></p>", "ICCIF-species-checked": "testedAndGuaranteed", "ICCIF-species-dilution-info": "1/100", "ICCIF-species-notes": "<p></p>", "IHCP-species-checked": "testedAndGuaranteed", "IHCP-species-dilution-info": "1/500", "IHCP-species-notes": "<p></p>" }, "Mouse": { "IP-species-checked": "guaranteed", "IP-species-dilution-info": "", "IP-species-notes": "", "Dot-species-checked": "guaranteed", "Dot-species-dilution-info": "", "Dot-species-notes": "", "WB-species-checked": "testedAndGuaranteed", "WB-species-dilution-info": "1/1000", "WB-species-notes": "<p></p>", "ICCIF-species-checked": "guaranteed", "ICCIF-species-dilution-info": "", "ICCIF-species-notes": "", "IHCP-species-checked": "testedAndGuaranteed", "IHCP-species-dilution-info": "1/500", "IHCP-species-notes": "<p></p>" }, "Rat": { "IP-species-checked": "testedAndGuaranteed", "IP-species-dilution-info": "1/40", "IP-species-notes": "<p></p>", "Dot-species-checked": "guaranteed", "Dot-species-dilution-info": "", "Dot-species-notes": "", "WB-species-checked": "testedAndGuaranteed", "WB-species-dilution-info": "1/1000", "WB-species-notes": "<p></p>", "ICCIF-species-checked": "guaranteed", "ICCIF-species-dilution-info": "", "ICCIF-species-notes": "", "IHCP-species-checked": "testedAndGuaranteed", "IHCP-species-dilution-info": "1/500", "IHCP-species-notes": "<p></p>" } } }

製品の詳細

Patented technology
Our RabMAb® technology is a patented hybridoma-based technology for making rabbit monoclonal antibodies. For details on our patents, please refer to RabMAb® patents.

What are the advantages of a recombinant monoclonal antibody?
This product is a recombinant monoclonal antibody, which offers several advantages including:

  • - High batch-to-batch consistency and reproducibility
  • - Improved sensitivity and specificity
  • - Long-term security of supply
  • - Animal-free batch production

For more information, read more on recombinant antibodies.

出荷温度及び保存条件

製品の状態
Liquid
精製方法
Affinity purification Protein A
バッファー組成
pH: 7.2 - 7.4 Preservative: 0.01% Sodium azide Constituents: PBS, 40% Glycerol (glycerin, glycerine), 0.05% BSA
出荷温度
Blue Ice
短期保存期間
1-2 weeks
短期保存温度
+4°C
長期保存温度
-20°C
分注に関する情報
Upon delivery aliquot
保管に関する情報
Avoid freeze / thaw cycle

補足情報

This supplementary information is collated from multiple sources and compiled automatically.

ERK1 and ERK2 also known as p44 and p42 MAPK respectively are important proteins in the MAP kinase signaling pathway. They are expressed in various tissues with significant presence in the brain lungs and skin. ERK1 has a molecular weight of approximately 44 kDa while ERK2 has a molecular weight of around 42 kDa. Both proteins become activated through phosphorylation which is essential for their function in cellular processes.
Biological function summary

ERK1 and ERK2 serve as key players in cellular growth differentiation and survival. They form part of a complex cascade where they transduce signals from the cell membrane to the nucleus after activation by phosphorylation. This phosphorylation enables them to modify various downstream targets involved in regulating gene expression and cellular response to external stimuli.

Pathways

ERK1 and ERK2 are critical components of the MAPK/ERK pathway and the Ras-Raf-MEK-ERK signaling cascade. These pathways regulate a multitude of cellular activities including proliferation and differentiation. In the MAPK/ERK pathway proteins like Ras and Raf serve as upstream activators of ERK1 and ERK2. Both ERK1 and ERK2 also interact with other signaling proteins such as MEK1/2 which directly phosphorylates and activates them.

Dysregulation of ERK1 and ERK2 is associated with various pathologies including cancer and neurodegenerative diseases. Abnormal activation of these proteins often leads to uncontrolled cell proliferation contributing to oncogenesis. For instance mutations in proteins like Ras which regulate ERK1 and ERK2 can result in continuous activation and lead to tumor formation. Furthermore altered ERK1 and ERK2 signaling is linked to neurodegeneration impacting neuronal survival and function.

製品プロトコール

For this product, it's our understanding that no specific protocols are required. You can visit:

ターゲットの情報

Serine/threonine kinase which acts as an essential component of the MAP kinase signal transduction pathway (PubMed : 34497368). MAPK1/ERK2 and MAPK3/ERK1 are the 2 MAPKs which play an important role in the MAPK/ERK cascade. They participate also in a signaling cascade initiated by activated KIT and KITLG/SCF. Depending on the cellular context, the MAPK/ERK cascade mediates diverse biological functions such as cell growth, adhesion, survival and differentiation through the regulation of transcription, translation, cytoskeletal rearrangements. The MAPK/ERK cascade also plays a role in initiation and regulation of meiosis, mitosis, and postmitotic functions in differentiated cells by phosphorylating a number of transcription factors. About 160 substrates have already been discovered for ERKs. Many of these substrates are localized in the nucleus, and seem to participate in the regulation of transcription upon stimulation. However, other substrates are found in the cytosol as well as in other cellular organelles, and those are responsible for processes such as translation, mitosis and apoptosis. Moreover, the MAPK/ERK cascade is also involved in the regulation of the endosomal dynamics, including lysosome processing and endosome cycling through the perinuclear recycling compartment (PNRC); as well as in the fragmentation of the Golgi apparatus during mitosis. The substrates include transcription factors (such as ATF2, BCL6, ELK1, ERF, FOS, HSF4 or SPZ1), cytoskeletal elements (such as CANX, CTTN, GJA1, MAP2, MAPT, PXN, SORBS3 or STMN1), regulators of apoptosis (such as BAD, BTG2, CASP9, DAPK1, IER3, MCL1 or PPARG), regulators of translation (such as EIF4EBP1) and a variety of other signaling-related molecules (like ARHGEF2, DEPTOR, FRS2 or GRB10) (PubMed : 35216969). Protein kinases (such as RAF1, RPS6KA1/RSK1, RPS6KA3/RSK2, RPS6KA2/RSK3, RPS6KA6/RSK4, SYK, MKNK1/MNK1, MKNK2/MNK2, RPS6KA5/MSK1, RPS6KA4/MSK2, MAPKAPK3 or MAPKAPK5) and phosphatases (such as DUSP1, DUSP4, DUSP6 or DUSP16) are other substrates which enable the propagation the MAPK/ERK signal to additional cytosolic and nuclear targets, thereby extending the specificity of the cascade.
See full target information MAPK3 phospho T202

文献 (44)

Recent publications for all applications. Explore the full list and refine your search

Cell reports 43:114829 PubMed39365700

2024

ERK signaling promotes resistance to TRK kinase inhibition in NTRK fusion-driven glioma mouse models.

Applications

Unspecified application

Species

Unspecified reactive species

Sebastian Schmid,Zachary R Russell,Alex Shimura Yamashita,Madeline E West,Abigail G Parrish,Julia Walker,Dmytro Rudoy,James Z Yan,David C Quist,Betemariyam N Gessesse,Neriah Alvinez,Kimberly D Hill,Larry W Anderson,Patrick J Cimino,Debra K Kumasaka,Ralph E Parchment,Eric C Holland,Frank Szulzewsky

International journal of molecular sciences 25: PubMed39273423

2024

The Neuroprotective Effect of Erythropoietin on the Optic Nerve and Spinal Cord in Rats with Experimental Autoimmune Encephalomyelitis through the Activation of the Extracellular Signal-Regulated Kinase 1/2 Signaling Pathway.

Applications

Unspecified application

Species

Unspecified reactive species

Gloria Aleida Pérez-Carranza,Juliana Marisol Godínez-Rubí,María Guadalupe Márquez-Rosales,Mario Eduardo Flores-Soto,Oscar Kurt Bitzer-Quintero,Ana Cristina Ramírez-Anguiano,Luis Javier Ramírez-Jirano

Nature communications 15:2581 PubMed38519484

2024

Cancer cell genetics shaping of the tumor microenvironment reveals myeloid cell-centric exploitable vulnerabilities in hepatocellular carcinoma.

Applications

Unspecified application

Species

Unspecified reactive species

Christel F A Ramirez,Daniel Taranto,Masami Ando-Kuri,Marnix H P de Groot,Efi Tsouri,Zhijie Huang,Daniel de Groot,Roelof J C Kluin,Daan J Kloosterman,Joanne Verheij,Jing Xu,Serena Vegna,Leila Akkari

Advanced science (Weinheim, Baden-Wurttemberg, Germany) 11:e2305798 PubMed38225757

2024

Decreased Expression of IL-35 and Its Receptor Contributes to Impaired Megakaryopoiesis in the Pathogenesis of Immune Thrombocytopenia.

Applications

Unspecified application

Species

Unspecified reactive species

Xuan Cai,Ruo-Yun Gui,Jin Wu,Chen-Cong Wang,Xiao-Lu Zhu,Hai-Xia Fu,Xiao-Hui Zhang

Biology direct 19:1 PubMed38163864

2024

The oncogenic role and regulatory mechanism of PGK1 in human non-small cell lung cancer.

Applications

Unspecified application

Species

Unspecified reactive species

Tian Tian,Yahui Leng,Bingbing Tang,Xiaoxia Dong,Qiulei Ren,Jingyin Liang,Tianhui Liu,Yanni Liu,Wenxiao Feng,Song Liu,Yang Zhou,Hongyan Zhao,Li Shen

Environmental toxicology 39:869-881 PubMed37886854

2023

The single-cell evolution trajectory presented different hypoxia heterogeneity to reveal the carcinogenesis of genes in clear cell renal cell carcinoma: Based on multiple omics and real experimental verification.

Applications

Unspecified application

Species

Unspecified reactive species

Baoluo Ma,Linghui Qin,Zhou Sun,Jingyu Wang,Lisa Jia Tran,Jing Zhang,Fangdie Ye,Yan Liu,Min Chen

PeerJ 11:e15890 PubMed37637169

2023

CTRP3 attenuates inflammation, oxidative and cell death in cisplatin induced HK-2 cells.

Applications

Unspecified application

Species

Unspecified reactive species

Chenglin Zou,Xun Tang,Tingting Guo,Tingting Jiang,Wenying Zhang,Jun Zhang

Cellular and molecular bioengineering 16:159-171 PubMed37096071

2023

Circ_0004585 Facilitates Tumorigenesis of Colorectal Cancer Modulating the miR-338-3p/ZFX Axis and Activating the MEK/ERK Pathway.

Applications

Unspecified application

Species

Unspecified reactive species

Zenghai Lin,Jianwei Lin

Molecules (Basel, Switzerland) 28: PubMed37175097

2023

L. Alleviates Myocardial Ischemia-Induced Injury via Activation of MAPK/ERK Signaling Pathway.

Applications

Unspecified application

Species

Unspecified reactive species

Changli Fu,Mingjin Wang,Yuan Lu,Jie Pan,Yueting Li,Yongjun Li,Yonglin Wang,Aimin Wang,Yong Huang,Jia Sun,Chunhua Liu

Advanced science (Weinheim, Baden-Wurttemberg, Germany) 10:e2206768 PubMed37013935

2023

ERK Inhibition Promotes Engraftment of Allografts by Reprogramming T-Cell Metabolism.

Applications

Unspecified application

Species

Unspecified reactive species

Xiaosheng Tan,Changxing Qi,Xiangli Zhao,Lingjuan Sun,Mi Wu,Weiguang Sun,Lianghu Gu,Fengqing Wang,Hao Feng,Xia Huang,Bin Xie,Zhengyi Shi,Peiling Xie,Meng Wu,Yonghui Zhang,Gang Chen
View all publications

Abcam product promise

当社は、高品質な試薬を通じてお客様の研究を力強くサポートすることをお約束いたします。ご使用いただく各段階で、常にお客様をサポートできる体制を整えております。万が一、製品が期待通りに機能しない場合は、「Abcam Product Promise」による当社保証制度に基づき、安心してご利用いただけます。
保証に関する詳細については利用規約をご確認ください。

Please note: All products are 'FOR RESEARCH USE ONLY. NOT FOR USE IN DIAGNOSTIC OR THERAPEUTIC PROCEDURES'.

For licensing inquiries, please contact partnerships@abcam.com