JavaScript is disabled in your browser. Please enable JavaScript to view this website.
AB109282

Anti-ERK1 抗体 [EP4967]

Anti-ERK1 antibody [EP4967]

  • KO Validated
  • RabMAb
  • Recombinant
  • Lab Essentials
  • 20ul selling size
  • 詳細を見る

Be the first to review this product! Submit a review

|

(11 Publications)

Rabbit Recombinant Monoclonal ERK1 antibody. Suitable for IHC-P, WB, ICC/IF, Flow Cyt (Intra), IP and reacts with Human, Mouse, Rat samples. Cited in 11 publications.

別名を表示する

ERK1, PRKM3, MAPK3, Mitogen-activated protein kinase 3, MAP kinase 3, MAPK 3, ERT2, Extracellular signal-regulated kinase 1, Insulin-stimulated MAP2 kinase, MAP kinase isoform p44, Microtubule-associated protein 2 kinase, p44-ERK1, ERK-1, p44-MAPK

13 Images
Flow Cytometry (Intracellular) - Anti-ERK1 antibody [EP4967] (AB109282)
  • Flow Cyt (Intra)

Lab

Flow Cytometry (Intracellular) - Anti-ERK1 antibody [EP4967] (AB109282)

Flow cytometry overlay histogram showing wild-type Hap1 (green line) and MAPK3 knockout Hap1 stained with ab109282 (red line). The cells were fixed with 4% formaldehyde (10 min) and then permeabilised with 0.1% PBS-Triton X-100 for 15 min. The cells were then incubated in 1x PBS containing 10% normal goat serum to block non-specific protein-protein interaction followed by the antibody (ab109282) (1x 106 in 100μl at 0.2 μg/ml (1/11400)) for 30min at 22°C.

The secondary antibody Goat Anti-Rabbit IgG H&L (Alexa Fluor® 488) preadsorbed was incubated at 1/4000 for 30min at 22°C

Isotype control antibody Recombinant Rabbit IgG, monoclonal [EPR25A] - Isotype Control was used at the same concentration and conditions as the primary antibody (wild-type Hap1 - black line, MAPK3 knockout Hap1 - grey line). Unlabelled sample was also used as a control (this line is not shown for the purpose of simplicity).

Acquisition of >5000 events were collected using a 50 mW Blue laser (488nm) and 525/40 bandpass filter.

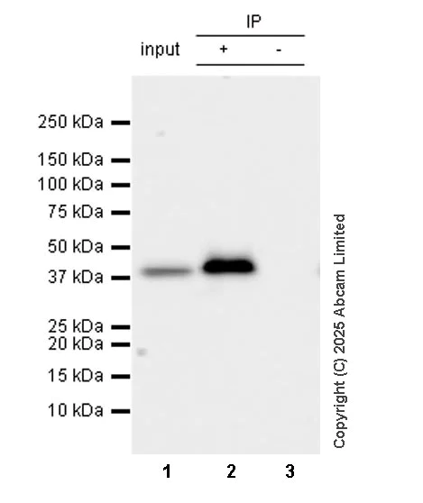
Immunoprecipitation - Anti-ERK1 antibody [EP4967] (AB109282)
  • IP

Lab

Immunoprecipitation - Anti-ERK1 antibody [EP4967] (AB109282)

ERK1 was immunoprecipitated from Jurkat (human T cell leukemia T lymphocyte from peripheral blood) whole cell lysate with ab109282 at 1/50 dilution (2µg in 0.35mg lysates). Western blot was performed on the immunoprecipitate using ab109282 at 1/1000 dilution.

Blocking and dilution buffer and concentration : 5% NFDM/TBST.

All lanes:

Immunoprecipitation - Anti-ERK1 antibody [EP4967] (ab109282) at 1/1000 dilution

Lane 1:

Jurkat (human T cell leukemia T lymphocyte from peripheral blood) whole cell lysate (Input) at 10 µg

Lane 2:

Jurkat (human T cell leukemia T lymphocyte from peripheral blood) whole cell lysate (+)

Lane 3:

Rabbit monoclonal IgG (<a href='/products/primary-antibodies/rabbit-igg-monoclonal-epr25a-isotype-control-ab172730'>ab172730</a>) instead of ab109282 in Jurkat whole cell lysate (-)

Secondary

All lanes:

Immunoprecipitation - VeriBlot for IP Detection Reagent (HRP) (<a href='/products/reagents/veriblot-for-ip-detection-reagent-hrp-ab131366'>ab131366</a>) at 1/5000 dilution

Observed band size: 44 kDa

false

Exposure time: 15s

Immunoprecipitation - Anti-ERK1 antibody [EP4967] (AB109282)
  • IP

Lab

Immunoprecipitation - Anti-ERK1 antibody [EP4967] (AB109282)

ERK1 was immunoprecipitated from NIH/3T3 (mouse embryonic fibroblast) whole cell lysate with ab109282 at 1/50 dilution (2µg in 0.35mg lysates). Western blot was performed on the immunoprecipitate using ab109282 at 1/1000 dilution.

Blocking and dilution buffer and concentration : 5% NFDM/TBST.

All lanes:

Immunoprecipitation - Anti-ERK1 antibody [EP4967] (ab109282) at 1/1000 dilution

Lane 1:

NIH/3T3 (mouse embryonic fibroblast) whole cell lysate at 10 µg

Lane 2:

NIH/3T3 (mouse embryonic fibroblast) whole cell lysate

Lane 3:

Rabbit monoclonal IgG (<a href='/products/primary-antibodies/rabbit-igg-monoclonal-epr25a-isotype-control-ab172730'>ab172730</a>) instead of ab109282 in NIH/3T3 whole cell lysate (-)

Secondary

All lanes:

Immunoprecipitation - VeriBlot for IP Detection Reagent (HRP) (<a href='/products/reagents/veriblot-for-ip-detection-reagent-hrp-ab131366'>ab131366</a>) at 1/5000 dilution

Observed band size: 44 kDa

false

Exposure time: 15s

Western blot - Anti-ERK1 antibody [EP4967] (AB109282)
  • WB

Unknown

Western blot - Anti-ERK1 antibody [EP4967] (AB109282)

All lanes:

Western blot - Anti-ERK1 antibody [EP4967] (ab109282) at 1/1000 dilution

Lane 1:

Jurkat cell lysate at 10 µg

Lane 2:

A375 cell lysate at 10 µg

Lane 3:

A431 cell lysate at 10 µg

Lane 4:

HUVEC cell lysate at 10 µg

Predicted band size: 43 kDa

false

Immunocytochemistry/ Immunofluorescence - Anti-ERK1 antibody [EP4967] (AB109282)
  • ICC/IF

Unknown

Immunocytochemistry/ Immunofluorescence - Anti-ERK1 antibody [EP4967] (AB109282)

Immunocytochemistry/Immunofluorescence analysis of Jurkat (human acute T cell leukemia) cells labelling ERK1 with purified ab109282 at 1/100. Cells were fixed with 4% paraformaldehyde and permeabilized with 0.1% Triton X-100. ab150077, an Alexa Fluor® 488-conjugated goat anti-rabbit IgG (1/500) was used as the secondary antibody. DAPI (blue) was used as the nuclear counterstain. ab7291, a mouse anti-tubulin (1/1000) and ab150120, an Alexa Fluor® 594-conjugated goat anti-mouse IgG (1/1000) were also used.

Control 1 : primary antibody (1/100) and secondary antibody, ab150120, an Alexa Fluor® 594-conjugated goat anti-mouse IgG (1/500).

Control 2 : ab7291 (1/1000) and secondary antibody, ab150077, an Alexa Fluor® 488-conjugated goat anti-rabbit IgG (1/500).

Immunohistochemistry (Formalin/PFA-fixed paraffin-embedded sections) - Anti-ERK1 antibody [EP4967] (AB109282)
  • IHC-P

Unknown

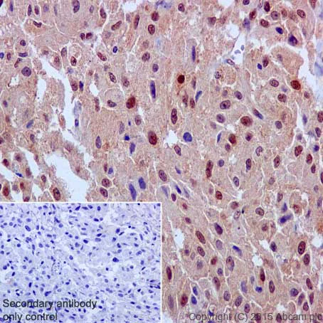
Immunohistochemistry (Formalin/PFA-fixed paraffin-embedded sections) - Anti-ERK1 antibody [EP4967] (AB109282)

Immunohistochemistry (Formalin/PFA-fixed paraffin-embedded sections) analysis of human melanoma tissue labelling ERK1 with purified ab109282 at 1/100. Heat mediated antigen retrieval was performed using Tris/EDTA buffer pH 9. ab97051, a goat anti-rabbit IgG H&L (HRP) was used as the secondary antibody (1/500). Negative control using PBS instead of primary antibody. Counterstained with hematoxylin.

Flow Cytometry (Intracellular) - Anti-ERK1 antibody [EP4967] (AB109282)
  • Flow Cyt (Intra)

Unknown

Flow Cytometry (Intracellular) - Anti-ERK1 antibody [EP4967] (AB109282)

Intracellular Flow Cytometry analysis of Jurkat (human acute T cell leukemia) cells labeling ERK1 with purified ab109282 at 1/30 dilution (red). The secondary antibody was Goat anti rabbit IgG (Alexa Fluorr® 488) at 1/2000 dilution. A Rabbit monoclonal IgG (Black) was used as the isotype control and cells without incubation with primary antibody and secondary antibody (Blue) were used as unlabeled control.

Immunohistochemistry (Formalin/PFA-fixed paraffin-embedded sections) - Anti-ERK1 antibody [EP4967] (AB109282)
  • IHC-P

Unknown

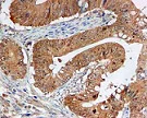
Immunohistochemistry (Formalin/PFA-fixed paraffin-embedded sections) - Anti-ERK1 antibody [EP4967] (AB109282)

Immunohistochemistry (Formalin/PFA-fixed paraffin-embedded sections) analysis of Human colonic adenocarcinoma tissue labelling ERK1 with unpurified ab109282 at 1/100 dilution.

Perform heat mediated antigen retrieval via the pressure cooker method before commencing with IHC staining protocol.

Western blot - Anti-ERK1 antibody [EP4967] (AB109282)
  • WB

Unknown

Western blot - Anti-ERK1 antibody [EP4967] (AB109282)

Blocking buffer and concentration : 5% NFDM/TBST.

Diluting buffer and concentration : 5% NFDM /TBST.

All lanes:

Western blot - Anti-ERK1 antibody [EP4967] (ab109282) at 1/10000 dilution

Lane 1:

Jurkat cell lysate at 20 µg

Lane 2:

A375 cell lysate at 20 µg

Lane 3:

HUVEC cell lysate at 20 µg

Secondary

All lanes:

Western blot - Goat Anti-Rabbit IgG H&L (HRP) (<a href='/products/secondary-antibodies/goat-rabbit-igg-h-l-hrp-ab97051'>ab97051</a>) at 1/10000 dilution

Predicted band size: 114 kDa,15 kDa,18 kDa,21 kDa,34 kDa,43 kDa,55 kDa,68 kDa,83 kDa

Observed band size: 15 kDa,21 kDa,23 kDa,90 kDa

false

Western blot - Anti-ERK1 antibody [EP4967] (AB109282)
  • WB

Unknown

Western blot - Anti-ERK1 antibody [EP4967] (AB109282)

Blocking buffer and concentration : 5% NFDM/TBST.

Diluting buffer and concentration : 5% NFDM /TBST.

All lanes:

Western blot - Anti-ERK1 antibody [EP4967] (ab109282) at 1/10000 dilution

Lane 1:

Mouse brain lysate at 20 µg

Lane 2:

Rat brain lysate at 20 µg

Lane 3:

NIH/3T3 cell lysate at 20 µg

Secondary

All lanes:

Western blot - Goat Anti-Rabbit IgG H&L (HRP) (<a href='/products/secondary-antibodies/goat-rabbit-igg-h-l-hrp-ab97051'>ab97051</a>) at 1/10000 dilution

Predicted band size: 43 kDa

false

Western blot - Anti-ERK1 antibody [EP4967] (AB109282)
  • WB

Unknown

Western blot - Anti-ERK1 antibody [EP4967] (AB109282)

Lanes 1, 3 and 5 : Wild-type HAP1 cell lysate (20 μg)
Lanes 2, 4 and 6 : ERK1 knockout HAP1 cell lysate (20 μg)
Lanes 1 and 2 : Green signal from target - ab109282 observed at 42 kDa
Lanes 3 and 4 : Red signal from loading control - ab8226 observed at 42 kDa
Lanes 5 and 6 : Merged (red and green) signal
ab109282 was shown to specifically react with ERK1 when ERK1 knockout samples were used.
Wild-type and ERK1 knockout samples were subjected to SDS-PAGE. ab109282 and ab8226 (loading control to beta actin) were both diluted 1/1000 and incubated overnight at 4°C. Blots were developed with Goat anti-Rabbit IgG H&L (IRDye® 800CW) preadsorbed (ab216773) and Goat anti-Mouse IgG H&L (IRDye® 680RD) preadsorbed (ab216776) secondary antibodies at 1/10000 dilution for 1 h at room temperature before imaging.

All lanes:

Western blot - Anti-ERK1 antibody [EP4967] (ab109282)

Predicted band size: 43 kDa

false

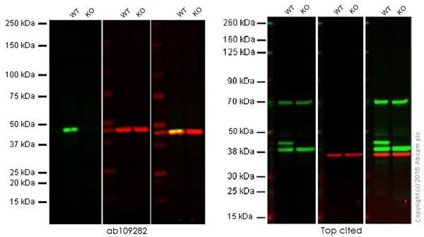
Western blot - Anti-ERK1 antibody [EP4967] (AB109282)
  • WB

Lab

Western blot - Anti-ERK1 antibody [EP4967] (AB109282)

Predicted band size : 43 kDa

Lanes 1, 3 and 5 : Wild-type HAP1 cell lysate (20 μg)
Lanes 2, 4 and 6 : ERK1 knockout HAP1 cell lysate (20 μg)
Lanes 1 and 2 : Green signal from target
Lanes 3 and 4 : Red signal from loading control
Lanes 5 and 6 : Merged (red and green) signal

Red - loading control, ab8226 observed at 42 kDa or ab8245, observed at 37 kDa

This western blot image is a comparison between ab109282 and a competitor's top cited rabbit polyclonal antibody.

All lanes:

Western blot - Anti-ERK1 antibody [EP4967] (ab109282)

Predicted band size: 43 kDa

false

Western blot - Anti-ERK1 antibody [EP4967] (AB109282)
  • WB

Lab

Western blot - Anti-ERK1 antibody [EP4967] (AB109282)

Lanes 1- 2 : Merged signal (red and green). Green - ab109282 observed at 43 kDa. Red - Anti-GAPDH antibody [6C5] - Loading Control (ab8245) observed at 37 kDa.

ab109282 was shown to react with ERK1 in wild-type HEK-293T cells in western blot. Loss of signal was observed when knockout cell line ab266519 (knockout cell lysate ab257099) was used. Wild-type HEK-293T and MAPK3 knockout HEK-293T cell lysates were subjected to SDS-PAGE. Membrane was blocked for 1 hour at room temperature in 0.1% TBST with 3% non-fat dried milk. ab109282 and Anti-GAPDH antibody [6C5] - Loading Control (ab8245) overnight at 4°C at a 1 in 1000 dilution and a 1 in 20000 dilution respectively. Blots were developed with Goat anti-Rabbit IgG H&L (IRDye®800CW) preadsorbed (ab216773) and Goat anti-Mouse IgG H&L (IRDye®680RD) preadsorbed (ab216776) secondary antibodies at 1 in 20000 dilution for 1 hour at room temperature before imaging.

All lanes:

Western blot - Anti-ERK1 antibody [EP4967] (ab109282) at 1/1000 dilution

Lane 1:

Wild-type HEK-293T cell lysate at 20 µg

Lane 2:

MAPK3 knockout HEK-293T cell lysate at 20 µg

Lane 2:

Western blot - Human MAPK3 (ERK1) knockout HEK-293T cell line (<a href='/products/cell-lines/human-mapk3-erk1-knockout-hek-293t-cell-line-ab266519'>ab266519</a>)

Predicted band size: 43 kDa

Observed band size: 43 kDa

false

関連する標識済み抗体及び組成の異なる製品 (3)

Key facts

宿主種

Rabbit

クローン性

Monoclonal

クローン番号

EP4967

アイソタイプ

IgG

キャリアフリー

No

交差種

Rat, Human, Mouse

アプリケーション

IHC-P, ICC/IF, WB, Flow Cyt (Intra), IP

applications

免疫原

The exact immunogen used to generate this antibody is proprietary information.

Reactivity data

{ "title": "Reactivity Data", "filters": { "stats": ["", "Species", "Dilution Info", "Notes"], "tabs": { "all-applications": {"fullname" : "All Applications", "shortname": "All Applications"}, "IHCP" : {"fullname" : "Immunohistochemistry (Formalin/PFA-fixed paraffin-embedded sections)", "shortname":"IHC-P"}, "WB" : {"fullname" : "Western blot", "shortname":"WB"}, "ICCIF" : {"fullname" : "Immunocytochemistry/ Immunofluorescence", "shortname":"ICC/IF"}, "FlowCytIntra" : {"fullname" : "Flow Cytometry (Intracellular)", "shortname":"Flow Cyt (Intra)"}, "IP" : {"fullname" : "Immunoprecipitation", "shortname":"IP"} }, "product-promise": { "all": "all", "testedAndGuaranteed": "tested", "guaranteed": "expected", "predicted": "predicted", "notRecommended": "not-recommended" } }, "values": { "Human": { "IHCP-species-checked": "testedAndGuaranteed", "IHCP-species-dilution-info": "1/100 - 1/250", "IHCP-species-notes": "<p>Heat up to 98°C, below boiling, and then let cool for 10-20 min.</p> Perform heat-mediated antigen retrieval via the pressure cooker method before commencing with IHC staining protocol.", "WB-species-checked": "testedAndGuaranteed", "WB-species-dilution-info": "1/1000 - 1/10000", "WB-species-notes": "<p></p>", "ICCIF-species-checked": "testedAndGuaranteed", "ICCIF-species-dilution-info": "1/100", "ICCIF-species-notes": "<p></p>", "FlowCytIntra-species-checked": "testedAndGuaranteed", "FlowCytIntra-species-dilution-info": "1/30", "FlowCytIntra-species-notes": "<p><a href='/products/primary-antibodies/rabbit-igg-monoclonal-epr25a-isotype-control-ab172730'>ab172730</a>-Rabbit monoclonal IgG, is suitable for use as an isotype control with this antibody.</p>", "IP-species-checked": "testedAndGuaranteed", "IP-species-dilution-info": "", "IP-species-notes": "<p></p>" }, "Mouse": { "IHCP-species-checked": "guaranteed", "IHCP-species-dilution-info": "", "IHCP-species-notes": "", "WB-species-checked": "testedAndGuaranteed", "WB-species-dilution-info": "1/1000 - 1/10000", "WB-species-notes": "<p></p>", "ICCIF-species-checked": "guaranteed", "ICCIF-species-dilution-info": "", "ICCIF-species-notes": "", "FlowCytIntra-species-checked": "guaranteed", "FlowCytIntra-species-dilution-info": "", "FlowCytIntra-species-notes": "", "IP-species-checked": "testedAndGuaranteed", "IP-species-dilution-info": "", "IP-species-notes": "<p></p>" }, "Rat": { "IHCP-species-checked": "guaranteed", "IHCP-species-dilution-info": "", "IHCP-species-notes": "", "WB-species-checked": "testedAndGuaranteed", "WB-species-dilution-info": "1/1000 - 1/10000", "WB-species-notes": "<p></p>", "ICCIF-species-checked": "guaranteed", "ICCIF-species-dilution-info": "", "ICCIF-species-notes": "", "FlowCytIntra-species-checked": "guaranteed", "FlowCytIntra-species-dilution-info": "", "FlowCytIntra-species-notes": "", "IP-species-checked": "guaranteed", "IP-species-dilution-info": "", "IP-species-notes": "" } } }

下記製品にもご興味をお持ちいただけるかもしれません:

AB176641

ERK1/2 ELISA Kit

0

0 Reviews

製品ページを見る
こちらの製品も推奨する理由

この製品は、同様の実験や関連する研究で広く使用されていることから推奨させていただいております。

お客様の実験に適するかご確認いただくため、必ず製品データシートをご確認いただくことをお勧めいたします。ご不明点等ございましたら、テクニカルサポートチームまでお問い合わせください。

製品の詳細

出荷温度及び保存条件

製品の状態
Liquid
精製方法
Affinity purification Protein A
バッファー組成
pH: 7.2 - 7.4 Preservative: 0.01% Sodium azide Constituents: 59% PBS, 40% Glycerol (glycerin, glycerine), 0.05% BSA
出荷温度
Blue Ice
短期保存期間
1-2 weeks
短期保存温度
+4°C
長期保存温度
-20°C
分注に関する情報
Upon delivery aliquot
保管に関する情報
Avoid freeze / thaw cycle

補足情報

This supplementary information is collated from multiple sources and compiled automatically.

ERK1 also known as MAPK3 is an extracellular signal-regulated kinase involved in transmitting signals from the cell surface to the nucleus. This protein has a molecular mass of about 44 kDa. ERK1 expresses in various tissue types with higher expression in the brain heart and skeletal muscle. Researchers often study ERK1 in the context of its role in cellular signaling due to its involvement in critical regulatory functions.
Biological function summary

ERK1 plays a significant role in cell cycle regulation differentiation and proliferation. It forms part of the MAPK signaling cascade becoming activated through a phosphorylation event. In its activated form ERK1 translocates to the nucleus where it phosphorylates target substrates. ERK1 often functions in conjunction with its homolog ERK2 to mediate these cellular processes marking it as an essential player in growth factor signaling.

Pathways

ERK1 functions primarily within the MAPK/ERK signaling pathway a major conduit for transmitting proliferative signals from growth factor receptors. ERK1 interacts with proteins like MEK1/2 which phosphorylate and activate ERK1 in response to extracellular stimuli. Another critical pathway involving ERK1 is the Ras-Raf-MEK-ERK cascade which regulates various cellular outcomes. This connection to the Ras family highlights its importance in signal transduction and reinforces its position in critical cellular processes.

Aberrant activation of ERK1 connects to diseases such as cancer and cardiovascular disorders. In cancer the dysregulation of the MAPK/ERK pathway often through mutations affecting Ras or Raf proteins leads to uncontrolled cell proliferation. ERK1's involvement in cardiovascular diseases links to its role in hypertrophic signaling in cardiac cells where altered ERK1 activity can contribute to pathological cardiac remodeling. Understanding these interactions can aid in developing therapeutic strategies targeting the MAPK/ERK signaling pathway.

製品プロトコール

For this product, it's our understanding that no specific protocols are required. You can visit:

ターゲットの情報

Serine/threonine kinase which acts as an essential component of the MAP kinase signal transduction pathway (PubMed : 34497368). MAPK1/ERK2 and MAPK3/ERK1 are the 2 MAPKs which play an important role in the MAPK/ERK cascade. They participate also in a signaling cascade initiated by activated KIT and KITLG/SCF. Depending on the cellular context, the MAPK/ERK cascade mediates diverse biological functions such as cell growth, adhesion, survival and differentiation through the regulation of transcription, translation, cytoskeletal rearrangements. The MAPK/ERK cascade also plays a role in initiation and regulation of meiosis, mitosis, and postmitotic functions in differentiated cells by phosphorylating a number of transcription factors. About 160 substrates have already been discovered for ERKs. Many of these substrates are localized in the nucleus, and seem to participate in the regulation of transcription upon stimulation. However, other substrates are found in the cytosol as well as in other cellular organelles, and those are responsible for processes such as translation, mitosis and apoptosis. Moreover, the MAPK/ERK cascade is also involved in the regulation of the endosomal dynamics, including lysosome processing and endosome cycling through the perinuclear recycling compartment (PNRC); as well as in the fragmentation of the Golgi apparatus during mitosis. The substrates include transcription factors (such as ATF2, BCL6, ELK1, ERF, FOS, HSF4 or SPZ1), cytoskeletal elements (such as CANX, CTTN, GJA1, MAP2, MAPT, PXN, SORBS3 or STMN1), regulators of apoptosis (such as BAD, BTG2, CASP9, DAPK1, IER3, MCL1 or PPARG), regulators of translation (such as EIF4EBP1) and a variety of other signaling-related molecules (like ARHGEF2, DEPTOR, FRS2 or GRB10) (PubMed : 35216969). Protein kinases (such as RAF1, RPS6KA1/RSK1, RPS6KA3/RSK2, RPS6KA2/RSK3, RPS6KA6/RSK4, SYK, MKNK1/MNK1, MKNK2/MNK2, RPS6KA5/MSK1, RPS6KA4/MSK2, MAPKAPK3 or MAPKAPK5) and phosphatases (such as DUSP1, DUSP4, DUSP6 or DUSP16) are other substrates which enable the propagation the MAPK/ERK signal to additional cytosolic and nuclear targets, thereby extending the specificity of the cascade.
See full target information MAPK3

文献 (11)

Recent publications for all applications. Explore the full list and refine your search

International journal of molecular sciences 23: PubMed36361502

2022

Analysis of Functions in Mediating the Toxic Effects of Deoxynivalenol in Porcine Intestinal Epithelial Cells.

Applications

Unspecified application

Species

Unspecified reactive species

Zhongcheng Gao,Chao Xu,Hairui Fan,Haifei Wang,Zhengchang Wu,Shenglong Wu,Wenbin Bao

Journal of oncology 2022:3888798 PubMed36276278

2022

The lncRNA KIF9-AS1 Accelerates Hepatocellular Carcinoma Growth by Recruiting DNMT1 to Promote RAI2 DNA Methylation.

Applications

Unspecified application

Species

Unspecified reactive species

Yong Yu,Xianghong Lu,Yang Yan,Yonggang Wang,Jiangyun Meng,Shufeng Tian,Jinsong Mu

Molecular neurobiology 59:2629-2641 PubMed35141864

2022

C/EBPβ Participates in Nerve Trauma-Induced TLR7 Upregulation in Primary Sensory Neurons.

Applications

Unspecified application

Species

Unspecified reactive species

Long He,Jing Cao,Bao-Chun Jiang,Jian-Jun Yang,Yuan-Xiang Tao,Yanqiu Ai

Histology and histopathology 37:269-285 PubMed34908156

2021

Downregulation of KIF15 inhibits the tumorigenesis of non-small-cell lung cancer via inactivating Raf/MEK/ERK signaling.

Applications

Unspecified application

Species

Unspecified reactive species

Yingbin Luo,Bo Zhang,Lili Xu,Minghua Li,Jianchun Wu,Yiyang Zhou,Yan Li

Hereditas 158:47 PubMed34876240

2021

TGF-β1/SMOC2/AKT and ERK axis regulates proliferation, migration, and fibroblast to myofibroblast transformation in lung fibroblast, contributing with the asthma progression.

Applications

Unspecified application

Species

Unspecified reactive species

Yuebin Wang,Huike Yang,Xian Su,Anqiang Cao,Feng Chen,Peng Chen,Fangtao Yan,Huirong Hu

Cells 10: PubMed34831041

2021

Chromatin Accessibility and Transcriptomic Alterations in Murine Ovarian Granulosa Cells upon Deoxynivalenol Exposure.

Applications

Unspecified application

Species

Unspecified reactive species

Hairui Fan,Zhanshi Ren,Chao Xu,Haifei Wang,Zhengchang Wu,Zia Ur Rehman,Shenglong Wu,Ming-An Sun,Wenbin Bao

Experimental and therapeutic medicine 22:1301 PubMed34630656

2021

Honokiol combined with curcumin sensitizes multidrug-resistant human lung adenocarcinoma A549/DDP cells to cisplatin.

Applications

Unspecified application

Species

Unspecified reactive species

Mingming Qi,Xiaojin Chen,Liqun Bian,Han Zhang,Jian Ma

Molecular medicine reports 24: PubMed34476507

2021

Sirtuin 2 knockdown inhibits cell proliferation and RAS/ERK signaling, and promotes cell apoptosis and cell cycle arrest in multiple myeloma.

Applications

Unspecified application

Species

Unspecified reactive species

Tianling Ding,Jie Hao

Cell cycle (Georgetown, Tex.) 19:2611-2621 PubMed32897806

2020

Long non-coding RNA GASL1 restrains gastric carcinoma cell proliferation and metastasis by sponging microRNA-106a.

Applications

Unspecified application

Species

Unspecified reactive species

Dengqiang Liu,Peng Xiao,Chao Feng,Hui Meng,Enxu Bi

Cancer science 110:118-134 PubMed30407695

2018

Podocalyxin-like protein promotes gastric cancer progression through interacting with RUN and FYVE domain containing 1 protein.

Applications

Unspecified application

Species

Unspecified reactive species

Qiaoming Zhi,Huo Chen,Fei Liu,Ye Han,Daiwei Wan,Zhihua Xu,Yuting Kuang,Jin Zhou
View all publications

Abcam product promise

当社は、高品質な試薬を通じてお客様の研究を力強くサポートすることをお約束いたします。ご使用いただく各段階で、常にお客様をサポートできる体制を整えております。万が一、製品が期待通りに機能しない場合は、「Abcam Product Promise」による当社保証制度に基づき、安心してご利用いただけます。
保証に関する詳細については利用規約をご確認ください。

関連製品

Select an associated product type
Alternative Product
Primary Antibodies

AB47310

Anti-ERK1 (phospho T202) antibody

primary-antibodies

erk1-phospho-t202-antibody-ab47310

0

(0 reviews)

Alternative Product
Primary Antibodies

AB78918

Anti-ERK1 antibody [E19]

primary-antibodies

erk1-antibody-e19-ab78918

0

(0 reviews)

Alternative Product
Primary Antibodies

AB194776

Anti-ERK1 (phospho T202) antibody

primary-antibodies

erk1-phospho-t202-antibody-ab194776

0

(0 reviews)

Alternative Product
Primary Antibodies

AB119357

Anti-ERK1 antibody [12D11]

primary-antibodies

erk1-antibody-12d11-ab119357

0

(0 reviews)

Alternative Product
Primary Antibodies

AB264269

Anti-ERK1 antibody

primary-antibodies

erk1-antibody-ab264269

0

(0 reviews)

Alternative Product
Primary Antibodies

AB190200

Alexa Fluor® 488 Anti-ERK1 antibody [Y72]

primary-antibodies

alexa-fluor-488-erk1-antibody-y72-ab190200

0

(0 reviews)

Alternative Product
Primary Antibodies

AB210828

PE Anti-ERK1 antibody [Y72]

primary-antibodies

pe-erk1-antibody-y72-ab210828

0

(0 reviews)

Alternative Product
Primary Antibodies

AB190579

Alexa Fluor® 647 Anti-ERK1 antibody [Y72]

primary-antibodies

alexa-fluor-647-erk1-antibody-y72-ab190579

0

(0 reviews)

Alternative Product
Primary Antibodies

AB214635

Alexa Fluor® 555 Anti-ERK1 antibody [Y72]

primary-antibodies

alexa-fluor-555-erk1-antibody-y72-ab214635

0

(0 reviews)

Alternative Product
Primary Antibodies

AB32537

Anti-ERK1 antibody [Y72]

primary-antibodies

erk1-antibody-y72-ab32537

5

(4 reviews)

Alternative Product
Primary Antibodies

AB214168

Anti-ERK1 antibody [Y72] - BSA and Azide free

primary-antibodies

erk1-antibody-y72-bsa-and-azide-free-ab214168

0

(0 reviews)

Alternative Product
Primary Antibodies

AB227179

Anti-ERK1 antibody

primary-antibodies

erk1-antibody-ab227179

0

(0 reviews)

Alternative Product
Primary Antibodies

AB131438

Anti-ERK1 (phospho Y204) antibody

primary-antibodies

erk1-phospho-y204-antibody-ab131438

0

(0 reviews)

Alternative Product
Primary Antibodies

AB194770

Anti-ERK1 (phospho Y204) antibody

primary-antibodies

erk1-phospho-y204-antibody-ab194770

0

(0 reviews)

Please note: All products are 'FOR RESEARCH USE ONLY. NOT FOR USE IN DIAGNOSTIC OR THERAPEUTIC PROCEDURES'.

For licensing inquiries, please contact partnerships@abcam.com