JavaScript is disabled in your browser. Please enable JavaScript to view this website.
AB196869

Anti-ERCC1 抗体

Anti-ERCC1 antibody

Be the first to review this product! Submit a review

|

(0 Publication)

Rabbit Polyclonal ERCC1 antibody. Suitable for WB, IHC-P, ICC/IF and reacts with Human, Mouse samples. Immunogen corresponding to Recombinant Full Length Protein corresponding to Human ERCC1.

別名を表示する

DNA excision repair protein ERCC-1, ERCC1

4 Images
Western blot - Anti-ERCC1 antibody (AB196869)
  • WB

Supplier Data

Western blot - Anti-ERCC1 antibody (AB196869)

All lanes:

Western blot - Anti-ERCC1 antibody (ab196869) at 1/500 dilution

Lane 1:

Raji cell line extract

Lane 2:

MCF7 cell line extract

Lane 3:

PC3 cell line extract

Lane 4:

HepG2 cell line extract

Lane 5:

HeLa cell line extract

Lane 6:

Mouse liver tissue extract

Lane 7:

Mouse brain tissue extract

Predicted band size: 33 kDa

false

Immunocytochemistry/ Immunofluorescence - Anti-ERCC1 antibody (AB196869)
  • ICC/IF

Supplier Data

Immunocytochemistry/ Immunofluorescence - Anti-ERCC1 antibody (AB196869)

Immunofluorescent analysis of U2OS cells labeling ERCC1 with ab196869 at 1/50. Image at the bottom costained with DAPI.

Immunohistochemistry (Formalin/PFA-fixed paraffin-embedded sections) - Anti-ERCC1 antibody (AB196869)
  • IHC-P

Supplier Data

Immunohistochemistry (Formalin/PFA-fixed paraffin-embedded sections) - Anti-ERCC1 antibody (AB196869)

Immunohistochemical analysis of paraffin-embedded Human kidney cancer tissue labeling ERCC1 with ab196869 at 1/50.

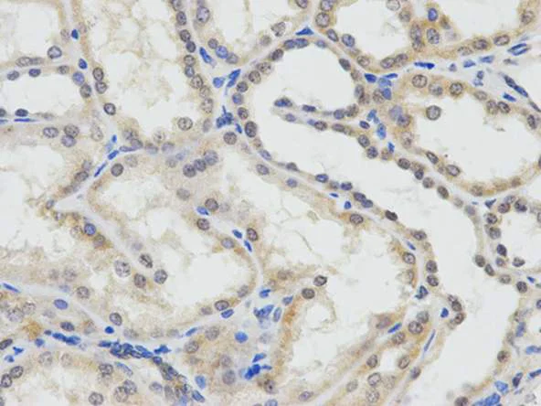
Immunohistochemistry (Formalin/PFA-fixed paraffin-embedded sections) - Anti-ERCC1 antibody (AB196869)
  • IHC-P

Supplier Data

Immunohistochemistry (Formalin/PFA-fixed paraffin-embedded sections) - Anti-ERCC1 antibody (AB196869)

Immunohistochemical analysis of paraffin-embedded Human kidney tissue labeling ERCC1 with ab196869 at 1/50.

Key facts

宿主種

Rabbit

クローン性

Polyclonal

アイソタイプ

IgG

キャリアフリー

No

交差種

Mouse, Human

アプリケーション

IHC-P, WB, ICC/IF

applications

免疫原

Recombinant Full Length Protein corresponding to Human ERCC1.

P07992

Reactivity data

{ "title": "Reactivity Data", "filters": { "stats": ["", "Species", "Dilution Info", "Notes"], "tabs": { "all-applications": {"fullname" : "All Applications", "shortname": "All Applications"}, "WB" : {"fullname" : "Western blot", "shortname":"WB"}, "IHCP" : {"fullname" : "Immunohistochemistry (Formalin/PFA-fixed paraffin-embedded sections)", "shortname":"IHC-P"}, "ICCIF" : {"fullname" : "Immunocytochemistry/ Immunofluorescence", "shortname":"ICC/IF"} }, "product-promise": { "all": "all", "testedAndGuaranteed": "tested", "guaranteed": "expected", "predicted": "predicted", "notRecommended": "not-recommended" } }, "values": { "Human": { "WB-species-checked": "testedAndGuaranteed", "WB-species-dilution-info": "1/500 - 1/2000", "WB-species-notes": "<p></p>", "IHCP-species-checked": "testedAndGuaranteed", "IHCP-species-dilution-info": "1/50 - 1/200", "IHCP-species-notes": "<p></p>", "ICCIF-species-checked": "testedAndGuaranteed", "ICCIF-species-dilution-info": "1/50 - 1/200", "ICCIF-species-notes": "<p></p>" }, "Mouse": { "WB-species-checked": "testedAndGuaranteed", "WB-species-dilution-info": "1/500 - 1/2000", "WB-species-notes": "<p></p>", "IHCP-species-checked": "guaranteed", "IHCP-species-dilution-info": "", "IHCP-species-notes": "", "ICCIF-species-checked": "guaranteed", "ICCIF-species-dilution-info": "", "ICCIF-species-notes": "" } } }

下記製品にもご興味をお持ちいただけるかもしれません:

AB210582

Human ERCC1 ELISA Kit

0

0 Reviews

製品ページを見る
こちらの製品も推奨する理由

この製品は、同様の実験や関連する研究で広く使用されていることから推奨させていただいております。

お客様の実験に適するかご確認いただくため、必ず製品データシートをご確認いただくことをお勧めいたします。ご不明点等ございましたら、テクニカルサポートチームまでお問い合わせください。

出荷温度及び保存条件

製品の状態
Liquid
精製方法
Affinity purification Immunogen
バッファー組成
pH: 7.4 Preservative: 0.02% Sodium azide Constituents: 50% Glycerol (glycerin, glycerine), 49% PBS, 0.87% Sodium chloride
出荷温度
Blue Ice
短期保存期間
1-2 weeks
短期保存温度
+4°C
長期保存温度
-20°C
分注に関する情報
Upon delivery aliquot
保管に関する情報
Avoid freeze / thaw cycle

補足情報

This supplementary information is collated from multiple sources and compiled automatically.

ERCC1 also known as Excision Repair Cross-Complementation Group 1 is an essential protein in DNA repair mechanisms. Weighing approximately 36 kDa ERCC1 is expressed in a variety of tissues throughout an organism. It carries out its function by forming a heterodimer with XPF which is a structure-specific endonuclease playing a vital role in the nucleotide excision repair (NER) pathway that helps maintain genomic stability. The presence of an antibody like 8F1 can be helpful for detecting the ERCC1 protein expression in biological samples through techniques like ELISA.
Biological function summary

ERCC1 plays a significant role in the DNA damage repair process where it interacts with its partner protein XPF to excise damaged DNA. The ERCC1-XPF complex recognizes and cuts both single- and double-stranded DNA therefore enabling the removal of DNA lesions caused by UV radiation or chemical mutagens. This action prevents mutations by ensuring accurate DNA replication and transcription.

Pathways

The ERCC1 protein is primarily involved in the nucleotide excision repair (NER) and interstrand cross-link repair pathways. Within these pathways ERCC1 provides repair capacity to the cell maintaining the functionality of the DNA by partnering with proteins such as XPF and participating in cross-link repair mechanisms. By coordinating with proteins like XPA and RPA ERCC1 assists in identifying and binding the damaged DNA facilitating the recruitment of other repair proteins.

The ERCC1 protein is linked to conditions such as Xeroderma Pigmentosum and Fanconi Anemia largely due to its critical role in DNA repair. Malfunctions or deficiencies in ERCC1 or its partner proteins can lead to compromised DNA repair resulting in susceptibility to cancer and other genomic instability disorders. ERCC1's relationship with proteins that partake in cell cycle regulation further emphasizes its impact on disease progression linking it with potential therapeutic targets for addressing these genetic disorders.

製品プロトコール

For this product, it's our understanding that no specific protocols are required. You can visit:

ターゲットの情報

Isoform 1. Non-catalytic component of a structure-specific DNA repair endonuclease responsible for the 5'-incision during DNA repair. Responsible, in conjunction with SLX4, for the first step in the repair of interstrand cross-links (ICL). Participates in the processing of anaphase bridge-generating DNA structures, which consist in incompletely processed DNA lesions arising during S or G2 phase, and can result in cytokinesis failure. Also required for homology-directed repair (HDR) of DNA double-strand breaks, in conjunction with SLX4.. Isoform 2. Not functional in the nucleotide excision repair pathway.. Isoform 3. Not functional in the nucleotide excision repair pathway.. Isoform 4. Not functional in the nucleotide excision repair pathway.
See full target information ERCC1

Abcam product promise

当社は、高品質な試薬を通じてお客様の研究を力強くサポートすることをお約束いたします。ご使用いただく各段階で、常にお客様をサポートできる体制を整えております。万が一、製品が期待通りに機能しない場合は、「Abcam Product Promise」による当社保証制度に基づき、安心してご利用いただけます。
保証に関する詳細については利用規約をご確認ください。

関連製品

Select an associated product type
Alternative Product
Primary Antibodies

AB206088

Alexa Fluor® 488 Anti-ERCC1 antibody [EPR7277]

primary-antibodies

alexa-fluor-488-ercc1-antibody-epr7277-ab206088

0

(0 reviews)

Alternative Product
Primary Antibodies

AB129093

Anti-ERCC1 antibody [EPR7062]

primary-antibodies

ercc1-antibody-epr7062-ab129093

0

(0 reviews)

Alternative Product
Primary Antibodies

AB129267

Anti-ERCC1 antibody [EPR7277]

primary-antibodies

ercc1-antibody-epr7277-ab129267

4

(2 reviews)

Alternative Product
Primary Antibodies

AB232031

Anti-ERCC1 antibody [EPR7062] - BSA and Azide free

primary-antibodies

ercc1-antibody-epr7062-bsa-and-azide-free-ab232031

0

(0 reviews)

Alternative Product
Primary Antibodies

AB232422

Anti-ERCC1 antibody [EPR7277] - BSA and Azide free

primary-antibodies

ercc1-antibody-epr7277-bsa-and-azide-free-ab232422

1

(1 reviews)

Please note: All products are 'FOR RESEARCH USE ONLY. NOT FOR USE IN DIAGNOSTIC OR THERAPEUTIC PROCEDURES'.

For licensing inquiries, please contact partnerships@abcam.com