JavaScript is disabled in your browser. Please enable JavaScript to view this website.
AB134182

Anti-ErbB2 / HER2 抗体 [EP1045Y]

Anti-ErbB2 / HER2 antibody [EP1045Y]

  • BOND RX™ Validated
  • RabMAb
  • Recombinant
  • KO Validated
  • 20ul selling size
  • 詳細を見る

4

(4 Reviews)

|

(88 Publications)

Anti-ErbB2 / HER2 antibody [EP1045Y] (ab134182) is a rabbit monoclonal antibody detecting ErbB2 / HER2 in Western Blot, IP, IHC-P, ICC/IF. Suitable for Human, Mouse.

- KO validated for confirmed specificity
- Biophysical QC for unrivalled batch-batch consistency
- Over 50 publications

別名を表示する

CD340, HER2, MLN19, NEU, NGL, ERBB2, Receptor tyrosine-protein kinase erbB-2, Metastatic lymph node gene 19 protein, Proto-oncogene Neu, Proto-oncogene c-ErbB-2, Tyrosine kinase-type cell surface receptor HER2, p185erbB2, MLN 19

18 Images
Immunohistochemistry (Formalin/PFA-fixed paraffin-embedded sections) - Anti-ErbB2 / HER2 antibody [EP1045Y] (AB134182)
  • IHC-P

Unknown

Immunohistochemistry (Formalin/PFA-fixed paraffin-embedded sections) - Anti-ErbB2 / HER2 antibody [EP1045Y] (AB134182)

Immunohistochemistry (Formalin/PFA-fixed paraffin-embedded sections) analysis of Human breast carcinoma tissue sections labeling EErbB2 / HER2 with Purified ab134182 at 1 : 1600 dilution (0.68 μg/ml). Heat mediated antigen retrieval was performed using ab93684 (Tris/EDTA buffer, pH 9.0). Tissue was counterstained with Hematoxylin. ImmunoHistoProbe one step HRP Polymer (ready to use) secondary antibody was used at 1 : 0 dilution. PBS instead of the primary antibody was used as the negative control.

Immunohistochemistry (Formalin/PFA-fixed paraffin-embedded sections) - Anti-ErbB2 / HER2 antibody [EP1045Y] (AB134182)
  • IHC-P

Lab

Immunohistochemistry (Formalin/PFA-fixed paraffin-embedded sections) - Anti-ErbB2 / HER2 antibody [EP1045Y] (AB134182)

Negative control image : IHC image of ErbB2 / HER2 staining in a section of formalin-fixed paraffin-embedded MCF7 ErbB2 / HER2 KO cell pellet performed on a Leica Biosystems BOND® RX instrument using the standard protocol. The section was pre-treated using heat mediated antigen retrieval with sodium citrate buffer (pH6, epitope retrieval solution 1) for 20mins. The section was then incubated with ab134182, 1/200 dilution, for 15 mins at room temperature and detected using an HRP conjugated compact polymer system. DAB was used as the chromogen. The section was then counterstained with haematoxylin and mounted with DPX. The inset secondary-only control image is taken from an identical assay without primary antibody.

For other IHC staining systems (automated and non-automated) customers should optimize variable parameters such as antigen retrieval conditions, primary antibody concentration and antibody incubation times.

*Tissue obtained from the Human Research Tissue Bank, supported by the NIHR Cambridge Biomedical Research Centre

Immunohistochemistry (Formalin/PFA-fixed paraffin-embedded sections) - Anti-ErbB2 / HER2 antibody [EP1045Y] (AB134182)
  • IHC-P

Lab

Immunohistochemistry (Formalin/PFA-fixed paraffin-embedded sections) - Anti-ErbB2 / HER2 antibody [EP1045Y] (AB134182)

IHC image of ErbB2 / HER2 staining in a section of formalin-fixed paraffin-embedded MCF7 cell pellet performed on a Leica Biosystems BOND® RX instrument using the standard protocol. The section was pre-treated using heat mediated antigen retrieval with sodium citrate buffer (pH6, epitope retrieval solution 1) for 20mins. The section was then incubated with ab134182, 1/200 dilution, for 15 mins at room temperature and detected using an HRP conjugated compact polymer system. DAB was used as the chromogen. The section was then counterstained with haematoxylin and mounted with DPX. The inset secondary-only control image is taken from an identical assay without primary antibody.

For other IHC staining systems (automated and non-automated) customers should optimize variable parameters such as antigen retrieval conditions, primary antibody concentration and antibody incubation times.

*Tissue obtained from the Human Research Tissue Bank, supported by the NIHR Cambridge Biomedical Research Centre

Immunohistochemistry (Formalin/PFA-fixed paraffin-embedded sections) - Anti-ErbB2 / HER2 antibody [EP1045Y] (AB134182)
  • IHC-P

Unknown

Immunohistochemistry (Formalin/PFA-fixed paraffin-embedded sections) - Anti-ErbB2 / HER2 antibody [EP1045Y] (AB134182)

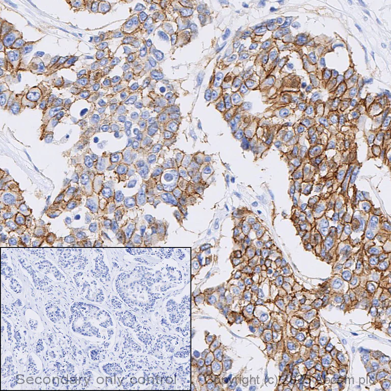
Immunohistochemical analysis of paraffin-embedded Human breast carcinoma tissue labelling ErbB2 / HER2 with ab134182 at 1/100 dilution. Heat mediated antigen retrieval was performed using Tris/EDTA buffer, pH 9.0).

Immunohistochemistry (Formalin/PFA-fixed paraffin-embedded sections) - Anti-ErbB2 / HER2 antibody [EP1045Y] (AB134182)
  • IHC-P

Lab

Immunohistochemistry (Formalin/PFA-fixed paraffin-embedded sections) - Anti-ErbB2 / HER2 antibody [EP1045Y] (AB134182)

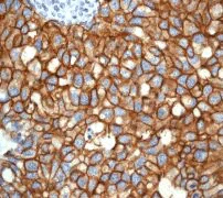
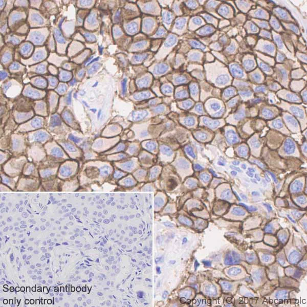
Immunohistochemical analysis of formalin fixed paraffin embedded human breast carcinoma labelling ErbB2/HER2 with ab134182 at a concentration of 0.1µg/ml. The immunostaining was performed on a Ventana DISCOVERY ULTRA (Roche Tissue Diagnostics) instrument with a OptiView DAB IHC Detection Kit. Heat mediated antigen retrieval was performed with DISCOVERY cell conditioning solution (CC1) 100°C, pH8.5 for 32mins.

ab134182 anti-ErbB2 / HER2 antibody [EP1045Y]antibody was incubated for 16mins at 37°C. Sections were counterstained with Hematoxylin II. Image inset shows absence of staining in secondary antibody only control.

Customers are encouraged to optimise antigen retrieval conditions, antibody concentration, incubation times and temperature for best results in their own IHC assay workflow (automated and manual)

Immunocytochemistry/ Immunofluorescence - Anti-ErbB2 / HER2 antibody [EP1045Y] (AB134182)
  • ICC/IF

Unknown

Immunocytochemistry/ Immunofluorescence - Anti-ErbB2 / HER2 antibody [EP1045Y] (AB134182)

Immunofluorescent analysis of SKBR cells labelling ErbB2 / HER2 with ab134182 at 1/250 dilution.

Immunocytochemistry/ Immunofluorescence - Anti-ErbB2 / HER2 antibody [EP1045Y] (AB134182)
  • ICC/IF

Unknown

Immunocytochemistry/ Immunofluorescence - Anti-ErbB2 / HER2 antibody [EP1045Y] (AB134182)

Immunocytochemistry/Immunofluorescence analysis of SK-BR-3 (human mammary gland adenocarcinoma) labelling ErbB2 / HER2 with purified ab134182 at 1/125. Cells were fixed with 4% PFA and permeabilized with 0.1% Triton X-100. An Alexa Fluor® 488-conjugated goat anti-rabbit IgG (1/1000) was used as the secondary antibody (ab150077). Nuclei counterstained with DAPI (blue).

Control : PBS only

Immunoprecipitation - Anti-ErbB2 / HER2 antibody [EP1045Y] (AB134182)
  • IP

Unknown

Immunoprecipitation - Anti-ErbB2 / HER2 antibody [EP1045Y] (AB134182)

ab134182 (purified) at 1 : 30 dilution (2μg) immunoprecipitating ErbB2 / HER2 in HeLa whole cell lysate.
Lane 1 (input) : HeLa (Human cervix adenocarcinoma epithelial cell) whole cell lysate 10μg
Lane 2 (+) : ab134182 & HeLa whole cell lysate
Lane 3 (-) : Rabbit monoclonal IgG (ab172730) instead of ab134182 in HeLa whole cell lysate
For western blotting, VeriBlot for IP Detection Reagent (HRP) (ab131366) was used for detection at 1 : 1000 dilution.
Blocking and diluting buffer : 5% NFDM/TBST.

All lanes:

Immunoprecipitation - Anti-ErbB2 / HER2 antibody [EP1045Y] (ab134182)

Predicted band size: 137 kDa

false

Western blot - Anti-ErbB2 / HER2 antibody [EP1045Y] (AB134182)
  • WB

Unknown

Western blot - Anti-ErbB2 / HER2 antibody [EP1045Y] (AB134182)

Blocking and diluting buffer : 5% NFDM/TBST

All lanes:

Western blot - Anti-ErbB2 / HER2 antibody [EP1045Y] (ab134182) at 1/10000 dilution

All lanes:

SK-BR-3 (Human breast adenocarcinoma epithelial cell) whole cell lysates at 15 µg

Secondary

All lanes:

Western blot - Goat Anti-Rabbit IgG H&L (HRP) (<a href='/products/secondary-antibodies/goat-rabbit-igg-h-l-hrp-ab97051'>ab97051</a>) at 1/20000 dilution

Predicted band size: 137 kDa

false

Western blot - Anti-ErbB2 / HER2 antibody [EP1045Y] (AB134182)
  • WB

Unknown

Western blot - Anti-ErbB2 / HER2 antibody [EP1045Y] (AB134182)

Blocking and diluting buffer : 5% NFDM/TBST

All lanes:

Western blot - Anti-ErbB2 / HER2 antibody [EP1045Y] (ab134182) at 1/1000 dilution

All lanes:

HeLa (Human cervix adenocarcinoma epithelial cell) whole cell lysates at 15 µg

Secondary

All lanes:

Western blot - Goat Anti-Rabbit IgG H&L (HRP) (<a href='/products/secondary-antibodies/goat-rabbit-igg-h-l-hrp-ab97051'>ab97051</a>) at 1/20000 dilution

Predicted band size: 137 kDa

false

Western blot - Anti-ErbB2 / HER2 antibody [EP1045Y] (AB134182)
  • WB

Lab

Western blot - Anti-ErbB2 / HER2 antibody [EP1045Y] (AB134182)

False colour image of Western blot : Anti-ErbB2 / HER2 antibody [EP1045Y] staining at 1/1000 dilution, shown in green; Mouse anti-GAPDH antibody [6C5] (ab8245) loading control staining at 1/20000 dilution, shown in red. In Western blot, ab134182 was shown to bind specifically to ErbB2 / HER2. A band was observed at 180 kDa in wild-type HeLa cell lysates with no signal observed at this size in ERBB2 knockout cell line ab255387 (knockout cell lysate ab263758). To generate this image, wild-type and ERBB2 knockout HeLa cell lysates were analysed. First, samples were run on an SDS-PAGE gel then transferred onto a nitrocellulose membrane. Membranes were blocked in 3 % milk in TBS-0.1 % Tween® 20 (TBS-T) before incubation with primary antibodies overnight at 4 °C. Blots were washed four times in TBS-T, incubated with secondary antibodies for 1 h at room temperature, washed again four times then imaged. Secondary antibodies used were Goat anti-Rabbit IgG H&L (IRDye® 800CW) preabsorbed (ab216773) and Goat anti-Mouse IgG H&L (IRDye® 680RD) preabsorbed (ab216776) at 1/20000 dilution.

All lanes:

Western blot - Anti-ErbB2 / HER2 antibody [EP1045Y] (ab134182) at 1/1000 dilution

Lane 1:

Wild-type HeLa cell lysate at 20 µg

Lane 2:

ERBB2 knockout HeLa cell lysate at 20 µg

Predicted band size: 137 kDa

false

Western blot - Anti-ErbB2 / HER2 antibody [EP1045Y] (AB134182)
  • WB

Unknown

Western blot - Anti-ErbB2 / HER2 antibody [EP1045Y] (AB134182)

All lanes:

Western blot - Anti-ErbB2 / HER2 antibody [EP1045Y] (ab134182) at 1/10000 dilution

All lanes:

SKBR-3 cell lysate at 10 µg

Secondary

All lanes:

HRP labelled goat anti-rabbit at 1/2000 dilution

Predicted band size: 137 kDa

false

Western blot - Anti-ErbB2 / HER2 antibody [EP1045Y] (AB134182)
  • WB

Supplier Data

Western blot - Anti-ErbB2 / HER2 antibody [EP1045Y] (AB134182)

False colour image of Western blot : Anti-ErbB2 / HER2 antibody [EP1045Y] staining at 1/1000 dilution, shown in green; Mouse anti-Alpha Tubulin [DM1A] (ab7291) loading control staining at 1/20000 dilution, shown in red. In Western blot, ab134182 was shown to bind specifically to ErbB2 / HER2. A band was observed at 180 kDa in wild-type HCT 116 cell lysates with no signal observed at this size in ERBB2 knockout cell line. To generate this image, wild-type and ERBB2 knockout HCT 116 cell lysates were analysed. First, samples were run on an SDS-PAGE gel then transferred onto a nitrocellulose membrane. Membranes were blocked in fluorescent western blot (TBS-based) blocking solution before incubation with primary antibodies overnight at 4 °C. Blots were washed four times in TBS-T, incubated with secondary antibodies for 1 h at room temperature, washed again four times then imaged. Secondary antibodies used were Goat anti-Rabbit IgG H&L 800CW and Goat anti-Mouse IgG H&L 680RD at 1/20000 dilution.

All lanes:

Western blot - Anti-ErbB2 / HER2 antibody [EP1045Y] (ab134182) at 1/1000 dilution

Lane 1:

Wild-type HCT 116 cell lysate at 20 µg

Lane 2:

ERBB2 knockout HCT 116 cell lysate at 20 µg

Lane 3:

HeLa cell lysate at 20 µg

Lane 4:

SK-BR-3 cell lysate at 20 µg

Secondary

All lanes:

Goat anti-Rabbit IgG H&L 800CW and Goat anti-Mouse IgG H&L 680RD at 1/20000 dilution

Predicted band size: 137 kDa

Observed band size: 180 kDa

false

Western blot - Anti-ErbB2 / HER2 antibody [EP1045Y] (AB134182)
  • WB

Supplier Data

Western blot - Anti-ErbB2 / HER2 antibody [EP1045Y] (AB134182)

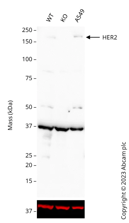
False colour image of Western blot : Anti-ErbB2 / HER2 antibody [EP1045Y] staining at 1/1000 dilution, shown in green; Mouse anti-Alpha Tubulin [DM1A] (ab7291) loading control staining at 1/20000 dilution, shown in red. In Western blot, ab134182 was shown to bind specifically to ErbB2 / HER2. A band was observed at 180 kDa in wild-type A549 cell lysates with no signal observed at this size in ERBB2 knockout cell line. To generate this image, wild-type and ERBB2 knockout A549 cell lysates were analysed. First, samples were run on an SDS-PAGE gel then transferred onto a nitrocellulose membrane. Membranes were blocked in 3 % milk in TBS-0.1 % Tween® 20 (TBS-T) before incubation with primary antibodies overnight at 4 °C. Blots were washed four times in TBS-T, incubated with secondary antibodies for 1 h at room temperature, washed again four times then imaged. Secondary antibodies used were Goat anti-Rabbit IgG H&L 800CW and Goat anti-Mouse IgG H&L 680RD at 1/20000 dilution.

All lanes:

Western blot - Anti-ErbB2 / HER2 antibody [EP1045Y] (ab134182) at 1/1000 dilution

Lane 1:

Wild-type A549 cell lysate at 20 µg

Lane 2:

ERBB2 knockout A549 cell lysate at 20 µg

Lane 3:

HeLa cell lysate at 20 µg

Lane 4:

SK-BR-3 cell lysate at 20 µg

Secondary

All lanes:

Goat anti-Rabbit IgG H&L 800CW and Goat anti-Mouse IgG H&L 680RD at 1/20000 dilution

Predicted band size: 137 kDa

Observed band size: 180 kDa

false

Western blot - Anti-ErbB2 / HER2 antibody [EP1045Y] (AB134182)
  • WB

Lab

Western blot - Anti-ErbB2 / HER2 antibody [EP1045Y] (AB134182)

Western blot : Anti-ErbB2 / HER2 antibody [EP1045Y] staining at 1/500 dilution, shown in black; Mouse anti-Alpha Tubulin [DM1A] (ab7291) loading control staining at 1/20000 dilution, shown in red. In Western blot, ab134182 was shown to bind specifically to ErbB2 / HER2. A band was observed at 180 kDa in wild-type MCF7 cell lysates with no signal observed at this size in ERBB2 knockout cell line ab286260 (knockout cell lysate ab300208). To generate this image, wild-type and ERBB2 knockout MCF7 cell lysates were analysed. First, samples were run on an SDS-PAGE gel then transferred onto a nitrocellulose membrane. Membranes were blocked in 3 % milk in TBS-0.1 % Tween® 20 (TBS-T) before incubation with primary antibodies overnight at 4 °C. Blots were washed four times in TBS-T, incubated with secondary antibodies for 1 h at room temperature and washed again four times. Secondary antibodies used were HRP conjugated Goat anti-Rabbit (H+L) and Goat anti-Mouse IgG H&L 680RD at 1/20000 dilution. This blot was developed with an ultra high-sensitivity ECL substrate kit and imaged with 20 minutes exposure time.

All lanes:

Western blot - Anti-ErbB2 / HER2 antibody [EP1045Y] (ab134182) at 1/500 dilution

Lane 1:

Wild-type MCF7 cell lysate at 32 µg

Lane 2:

Western blot - Human ERBB2 knockout MCF7 cell lysate (ab300208)

Lane 2:

Western blot - Human ErbB2 / HER2 knockout MCF7 cell line (<a href='/products/cell-lines/human-erbb2-her2-knockout-mcf7-cell-line-ab286260'>ab286260</a>)

Lane 2:

ERBB2 knockout MCF7 cell lysate at 32 µg

Lane 3:

A549 cell lysate at 16 µg

Secondary

All lanes:

HRP conjugated Goat anti-Rabbit (H+L) and Goat anti-Mouse IgG H&L 680RD at 1/20000 dilution

Predicted band size: 137 kDa

Observed band size: 180 kDa

false

Western blot - Anti-ErbB2 / HER2 antibody [EP1045Y] (AB134182)
  • WB

Lab

Western blot - Anti-ErbB2 / HER2 antibody [EP1045Y] (AB134182)

All lanes:

Western blot - Anti-ErbB2 / HER2 antibody [EP1045Y] (ab134182) at 1/1000 dilution

All lanes:

4T1(Mouse mammary gland carcinoma epithelial cell) whole cell lysate at 20 µg

Secondary

All lanes:

Western blot - Goat Anti-Rabbit IgG H&L (HRP) (<a href='/products/secondary-antibodies/goat-rabbit-igg-h-l-hrp-ab97051'>ab97051</a>) at 1/20000 dilution

Predicted band size: 137 kDa

Observed band size: 180 kDa

false

OI-RD Scanning - Anti-ErbB2 / HER2 antibody [EP1045Y] (AB134182)
  • OI-RD Scanning

Unknown

OI-RD Scanning - Anti-ErbB2 / HER2 antibody [EP1045Y] (AB134182)

We have systematically measured KD (the equilibrium dissociation constant between the antibody and its antigen), of more than 840 recombinant antibodies to assess not only their individual KD values but also to see the average affinity of antibody. Based on the comparison with published literature values for mouse monoclonal antibodies, Recombinant antibodies appear to be on average 1-2 order of magnitude higher affinity.

Western blot - Anti-ErbB2 / HER2 antibody [EP1045Y] (AB134182)
  • WB

CiteAb

Western blot - Anti-ErbB2 / HER2 antibody [EP1045Y] (AB134182)

ErbB2 / HER2 western blot using anti-ErbB2 / HER2 antibody [EP1045Y] ab134182. Publication image and figure legend from Wang, H., Lu, J., et al., 2017, BMC Cancer, PubMed 28292264.

ab134182 was used in this publication in western blot. This may not be the same as the application(s) guaranteed by Abcam. For a full list of applications guaranteed by Abcam for ab134182 please see the product overview.

AZD4547 and crizotinib synergistically inhibited activation of MAPK/ERK pathway in G03 xenograft derived GC cells. GC cells derived from G03 xenograft were treated with 200nM/L crizotinib or 30nM/L AZD4547, either alone or as a combo treatment(Cri + AZD) for 1 hour. Whole cell lysates were collected and analyzed by western blot. Cell lysates were immunoblotted for phospho- and total protein as indicated

false

関連する標識済み抗体及び組成の異なる製品 (7)

Key facts

宿主種

Rabbit

クローン性

Monoclonal

クローン番号

EP1045Y

アイソタイプ

IgG

キャリアフリー

No

交差種

Mouse, Human

アプリケーション

WB, ICC/IF, IP, IHC-P

applications

免疫原

The exact immunogen used to generate this antibody is proprietary information.

特異性

ab134182 detects ErbB 2 phosphorylated at Tyr1248 as well as unphosphorylated ErbB 2. Mouse species is recommended based on WB results, we do not guarantee IHC-P for mouse.

Reactivity data

{ "title": "Reactivity Data", "filters": { "stats": ["", "Species", "Dilution Info", "Notes"], "tabs": { "all-applications": {"fullname" : "All Applications", "shortname": "All Applications"}, "IP" : {"fullname" : "Immunoprecipitation", "shortname":"IP"}, "FlowCyt" : {"fullname" : "Flow Cytometry", "shortname":"Flow Cyt"}, "WB" : {"fullname" : "Western blot", "shortname":"WB"}, "ICCIF" : {"fullname" : "Immunocytochemistry/ Immunofluorescence", "shortname":"ICC/IF"}, "IHCP" : {"fullname" : "Immunohistochemistry (Formalin/PFA-fixed paraffin-embedded sections)", "shortname":"IHC-P"} }, "product-promise": { "all": "all", "testedAndGuaranteed": "tested", "guaranteed": "expected", "predicted": "predicted", "notRecommended": "not-recommended" } }, "values": { "Human": { "IP-species-checked": "testedAndGuaranteed", "IP-species-dilution-info": "1/30", "IP-species-notes": "<p><strong>For unpurifed use at 1/50.</strong></p>", "FlowCyt-species-checked": "notRecommended", "FlowCyt-species-dilution-info": "", "FlowCyt-species-notes": "", "WB-species-checked": "testedAndGuaranteed", "WB-species-dilution-info": "1/1000", "WB-species-notes": "<p></p>", "ICCIF-species-checked": "testedAndGuaranteed", "ICCIF-species-dilution-info": "1/250 - 1/500", "ICCIF-species-notes": "<p></p>", "IHCP-species-checked": "testedAndGuaranteed", "IHCP-species-dilution-info": "1/1600", "IHCP-species-notes": "<p><strong>For unpurified use at 1/100 -1/250. </strong></p> Perform heat-mediated antigen retrieval with Tris/EDTA buffer pH 9.0 before commencing with IHC staining protocol." }, "Mouse": { "IP-species-checked": "guaranteed", "IP-species-dilution-info": "", "IP-species-notes": "", "FlowCyt-species-checked": "notRecommended", "FlowCyt-species-dilution-info": "1/30", "FlowCyt-species-notes": "<p><a href='/products/primary-antibodies/rabbit-igg-monoclonal-epr25a-isotype-control-ab172730'>ab172730</a> - Rabbit monoclonal IgG, is suitable for use as an isotype control with this antibody.</p>", "WB-species-checked": "testedAndGuaranteed", "WB-species-dilution-info": "1/1000", "WB-species-notes": "<p></p>", "ICCIF-species-checked": "guaranteed", "ICCIF-species-dilution-info": "", "ICCIF-species-notes": "", "IHCP-species-checked": "notRecommended", "IHCP-species-dilution-info": "1/1600", "IHCP-species-notes": "<p><strong>For unpurified use at 1/100 -1/250. </strong></p> Perform heat-mediated antigen retrieval with Tris/EDTA buffer pH 9.0 before commencing with IHC staining protocol." } } }

製品の詳細

Anti-ErbB2 / HER2 antibody [EP1045Y] (ab134182) was developed by Abcam using patented rabbit monoclonal antibody technology and is validated for use in ICC/IF, IHC-P, IP, WB in human, mouse samples.

Anti-ErbB2 / HER2 antibody [EP1045Y] (ab134182) has been cited over 57 times in peer reviewed journals and is trusted by the scientific community.

Abcams high quality manufacturing and validation processes ensure Anti-ErbB2 / HER2 antibody [EP1045Y] (ab134182) has high sensitivity and specificity alongside high lot-to-lot consistency and reproducibility.

The specificity of Anti-ErbB2 / HER2 antibody [EP1045Y] (ab134182) has been confirmed by testing in knockout samples.

Anti-ErbB2 / HER2 antibody [EP1045Y] (ab134182) specifically detects ErbB2 / HER2 (UniProt ID: P04626; Molecular weight: 136kDa) and is sold in 100 uL and 1 mL selling sizes.

Conjugation-ready, carrier free format available for antibody clone EP1045Y - ab194979.

Antibody clone EP1045Y is also available pre-conjugated to a variety of labels for your convenience - Alexa Fluor® 488, Alexa Fluor® 647, Alexa Fluor® 555, Alexa Fluor® 594, Alexa Fluor® 568, Alexa Fluor® 75 (ab275994, ab281578, ab281782, ab311741, ab31321, ab32187).

ErbB2, also known as HER2, is a protein that plays a critical role in the development and progression of certain aggressive cancers, particularly breast cancer. HER2-positive cancers are characterized by the overexpression of this protein, leading to rapid growth and spread of cancer cells.

Species reactivity
Mouse, Rat: We have preliminary internal testing data to indicate this antibody may not react with these species.
Please contact us for more information.

Patented technology
Our RabMAb® technology is a patented hybridoma-based technology for making rabbit monoclonal antibodies. For details on our patents, please refer to RabMAb® patents.

What are the advantages of a recombinant monoclonal antibody?
This product is a recombinant monoclonal antibody, which offers several advantages including:

  • - High batch-to-batch consistency and reproducibility
  • - Improved sensitivity and specificity
  • - Long-term security of supply
  • - Animal-free batch production

For more information, read more on recombinant antibodies.

出荷温度及び保存条件

製品の状態
Liquid
精製方法
Affinity purification Protein A
バッファー組成
pH: 7.2 - 7.4 Preservative: 0.01% Sodium azide Constituents: PBS, 40% Glycerol (glycerin, glycerine), 0.05% BSA
出荷温度
Blue Ice
短期保存期間
1-2 weeks
短期保存温度
+4°C
長期保存温度
-20°C
分注に関する情報
Upon delivery aliquot
保管に関する情報
Avoid freeze / thaw cycle

補足情報

This supplementary information is collated from multiple sources and compiled automatically.

The ErbB2 also known as HER2 or HER2 protein is a transmembrane receptor protein with a molecular weight of about 185 kDa. It serves as part of the epidermal growth factor receptor (EGFR) family of receptor tyrosine kinases. The ErbB2 protein is expressed mainly in epithelial tissues including those of the breast and the gastrointestinal tract. It lacks a known ligand-binding domain which sets it apart from other members of its family. Due to its structure ErbB2 dimerizes with other members of the EGFR family to exert its effects in cellular signaling.
Biological function summary

The role of ErbB2 extends beyond a singular function. It becomes an active component when forming heterodimers with other EGFR family members such as ErbB3 to initiate various downstream signaling cascades. The dimerization activates intracellular pathways leading to cell proliferation survival differentiation and migration. Within cells ErbB2 influences processes critical for normal development and tissue homeostasis contributing significantly to signal transduction networks.

Pathways

ErbB2 plays a pivotal role in pathways such as the PI3K/Akt and MAPK/ERK pathways. These pathways are important in mediating cellular responses to growth signals. The PI3K/Akt pathway activated by HER2 signaling regulates cell growth and survival while the MAPK/ERK pathway contributes to cell differentiation and proliferation. ErbB2's interaction with proteins like ErbB3 is fundamental in these pathways increasing the amplitude and diversity of downstream signals.

ErbB2 is significantly associated with breast cancer and gastric cancer. The overexpression or gene amplification of HER2 is observed in approximately 20% of breast cancer cases correlating with aggressive tumor growth and poor prognosis. ErbB2-related signaling contributes to oncogenic processes by promoting excessive cell proliferation. Targeting ErbB2 in these cancers is common using therapies such as monoclonal antibodies like trastuzumab. In the context of gastric cancer the role of ErbB2 mirrors its function in breast cancer and targeting HER2 holds therapeutic potential.

製品プロトコール

For this product, it's our understanding that no specific protocols are required. You can visit:

ターゲットの情報

The protein expressed by the ERBB2 gene is a protein tyrosine kinase involved in several cell surface receptor complexes, requiring a coreceptor for ligand binding. It is an essential component of a neuregulin-receptor complex, although neuregulins do not bind to it directly. GP30 is a potential ligand for this receptor. ERBB2 regulates the outgrowth and stabilization of peripheral microtubules (MTs) via the MEMO1-RHOA-DIAPH1 signaling pathway, which, upon activation, phosphorylates and inhibits GSK3B at the cell membrane. This prevents APC and CLASP2 phosphorylation, allowing their association with the cell membrane, facilitating MACF1 localization necessary for microtubule capture and stabilization. In the nucleus, ERBB2 is involved in transcriptional regulation, associating with the 5'-TCAAATTC-3' sequence in the PTGS2/COX-2 promoter to activate transcription. It is implicated in the transcriptional activation of CDKN1A, involving STAT3 and SRC, and participates in the transcription of rRNA genes by RNA Pol I, thereby enhancing protein synthesis and cell growth. This supplementary information is collated from multiple sources and compiled automatically.
See full target information ERBB2

文献 (88)

Recent publications for all applications. Explore the full list and refine your search

Scientific reports 15:28579 PubMed40764324

2025

Investigation of ribociclib, abemaciclib and palbociclib resistance in ER+ breast cancer cells reveal potential therapeutic opportunities`.

Applications

Unspecified application

Species

Unspecified reactive species

Mashael Algethami,Ahmed Shoqafi,Ayat Lashen,Shatha Alqahtani,Jake Spicer,Ahmad ALtayyar,Çağla Tosun,Jennie N Jeyapalan,Nigel P Mongan,Victoria James,Emad A Rakha,Srinivasan Madhusudan

Journal of translational medicine 23:863 PubMed40764989

2025

Enhanced homing and efficacy of HER2-CAR T cells via CXCR5/CCR6 co-expression for HER2-positive NSCLC.

Applications

Unspecified application

Species

Unspecified reactive species

Xiaoyuan Hu,Chunlei Ge,Caixiu Huang,Dan He,Xiaoxuan Yao,Jiaxing Cheng,Jiyin Guo,Ke Li,Yunshan Ye,Li Li,Jianchuan Xia,Tao Li,Hong Yao

Scientific reports 15:25454 PubMed40659811

2025

Identification of host cell surface proteins inhibiting furin dependent proteolytic processing of viral glycoproteins.

Applications

Unspecified application

Species

Unspecified reactive species

Nathalia Williams,Mehdi Chabert,Alicia Besomi,Filo Silva,Karolina Sobiech,Mirco Schmolke

Acta oncologica (Stockholm, Sweden) 64:715-728 PubMed40426308

2025

Hedgehog inhibitors exert anti-proliferation effects and synergistically interact with trastuzumab in HER2-positive gastric cancer models.

Applications

Unspecified application

Species

Unspecified reactive species

Zixin Yang,Ren Niu,Jinzhu Han,Jie Guo,Yingqian Lv

Drug design, development and therapy 19:4123-4138 PubMed40416794

2025

Potential of Sivelestat for Pulmonary Arterial Hypertension Treatment: Network Pharmacology-Based Target Identification and Mechanistic Exploration.

Applications

Unspecified application

Species

Unspecified reactive species

Xiaodong Deng,Pengcheng Qiu,Xin Li,Yukun Hu,Qing Que,Kunchi Zhang,Tianlin Deng,Yi Liu

Discover oncology 16:814 PubMed40388071

2025

Mucinous breast cancer organoids: an in vitro research model.

Applications

Unspecified application

Species

Unspecified reactive species

Dongyi Zhao,Shida Zhu,Xue Bai,Xuelu Li,Zuowei Zhao

Journal of ovarian research 18:95 PubMed40325478

2025

Restoration of TP53 strategy via specific nanoparticles for ovarian cancer therapy.

Applications

Unspecified application

Species

Unspecified reactive species

Menglei Zhang,Yuanyuan Gu,Fang Shen,Yingxin Gong,Zheng Gu,Keqin Hua,Guannan Zhou,Jingxin Ding

eLife 13: PubMed40213945

2025

Loss function of tumor suppressor FRMD8 confers resistance to tamoxifen therapy via a dual mechanism.

Applications

Unspecified application

Species

Unspecified reactive species

Weijie Wu,Miao Yu,Qianchen Li,Yiqian Zhao,Lei Zhang,Yi Sun,Zhenbin Wang,Yuqing Gong,Wenjing Wang,Chenying Liu,Jing Zhang,Yan Tang,Xiaojie Xu,Xiaojing Guo,Jun Zhan,Hongquan Zhang

Scientific reports 15:8852 PubMed40087289

2025

Dynamic culture system advances the applications of breast cancer organoids for precision medicine.

Applications

Unspecified application

Species

Unspecified reactive species

Jun Yang,Junyuan Qu,Mei Zhang,Xiang Li,Qian Jiang,Jinxiu Kang,Pan Nie,Na Jing,Xianling Wang

The Journal of biological chemistry 301:108304 PubMed39947472

2025

BANCR-containing extracellular vesicles enhance breast cancer resistance.

Applications

Unspecified application

Species

Unspecified reactive species

Xinming Song,Shen Liu,Ying Zeng,Yilin Cai,Haiqing Luo
View all publications
enhancedValidationDataWebsite
en

Abcam product promise

当社は、高品質な試薬を通じてお客様の研究を力強くサポートすることをお約束いたします。ご使用いただく各段階で、常にお客様をサポートできる体制を整えております。万が一、製品が期待通りに機能しない場合は、「Abcam Product Promise」による当社保証制度に基づき、安心してご利用いただけます。
保証に関する詳細については利用規約をご確認ください。

Please note: All products are 'FOR RESEARCH USE ONLY. NOT FOR USE IN DIAGNOSTIC OR THERAPEUTIC PROCEDURES'.

For licensing inquiries, please contact partnerships@abcam.com