JavaScript is disabled in your browser. Please enable JavaScript to view this website.
AB108600

Anti-EPF 抗体 [EPR4476]

Anti-EPF antibody [EPR4476]

4

(5 Reviews)

|

(8 Publications)

Rabbit Recombinant Monoclonal EPF antibody. Suitable for IHC-P, WB, ICC/IF and reacts with Human, Mouse samples. Cited in 8 publications.

別名を表示する

Hsp10, 10 kDa chaperonin, Chaperonin 10, Early-pregnancy factor, Heat shock protein family E member 1, CPN10, EPF, HSPE1

9 Images
Western blot - Anti-EPF antibody [EPR4476] (AB108600)
  • WB

Unknown

Western blot - Anti-EPF antibody [EPR4476] (AB108600)

All lanes:

Western blot - Anti-EPF antibody [EPR4476] (ab108600) at 1/10000 dilution

Lane 1:

A431 cell lysate at 10 µg

Lane 2:

Neuro-2a cell lysate at 10 µg

Lane 3:

A549 cell lysate at 10 µg

Lane 4:

MCF7 cell lysate at 10 µg

Predicted band size: 10 kDa

Observed band size: 11 kDa

false

Immunohistochemistry (Formalin/PFA-fixed paraffin-embedded sections) - Anti-EPF antibody [EPR4476] (AB108600)
  • IHC-P

Unknown

Immunohistochemistry (Formalin/PFA-fixed paraffin-embedded sections) - Anti-EPF antibody [EPR4476] (AB108600)

ab108600 showing positive staining in Ovarian carcinoma tissue.

Perform heat mediated antigen retrieval with citrate buffer pH 6 before commencing with IHC staining protocol.

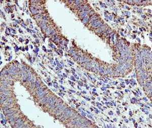
Immunohistochemistry (Formalin/PFA-fixed paraffin-embedded sections) - Anti-EPF antibody [EPR4476] (AB108600)
  • IHC-P

Unknown

Immunohistochemistry (Formalin/PFA-fixed paraffin-embedded sections) - Anti-EPF antibody [EPR4476] (AB108600)

ab108600 showing positive staining in Normal stomach tissue.

Perform heat mediated antigen retrieval with citrate buffer pH 6 before commencing with IHC staining protocol.

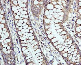
Immunohistochemistry (Formalin/PFA-fixed paraffin-embedded sections) - Anti-EPF antibody [EPR4476] (AB108600)
  • IHC-P

Unknown

Immunohistochemistry (Formalin/PFA-fixed paraffin-embedded sections) - Anti-EPF antibody [EPR4476] (AB108600)

Immunohistochemical staining of EPF in paraffin embedded Human colon tissue using ab108600 at a dilution of 1/250.

Perform heat mediated antigen retrieval with citrate buffer pH 6 before commencing with IHC staining protocol.

Immunohistochemistry (Formalin/PFA-fixed paraffin-embedded sections) - Anti-EPF antibody [EPR4476] (AB108600)
  • IHC-P

Unknown

Immunohistochemistry (Formalin/PFA-fixed paraffin-embedded sections) - Anti-EPF antibody [EPR4476] (AB108600)

ab108600 showing positive staining in Normal uterus tissue.

Perform heat mediated antigen retrieval with citrate buffer pH 6 before commencing with IHC staining protocol.

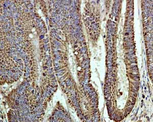
Immunohistochemistry (Formalin/PFA-fixed paraffin-embedded sections) - Anti-EPF antibody [EPR4476] (AB108600)
  • IHC-P

Unknown

Immunohistochemistry (Formalin/PFA-fixed paraffin-embedded sections) - Anti-EPF antibody [EPR4476] (AB108600)

ab108600 showing positive staining in Colonic adenocarcinoma tissue.

Perform heat mediated antigen retrieval with citrate buffer pH 6 before commencing with IHC staining protocol.

Immunohistochemistry (Formalin/PFA-fixed paraffin-embedded sections) - Anti-EPF antibody [EPR4476] (AB108600)
  • IHC-P

Unknown

Immunohistochemistry (Formalin/PFA-fixed paraffin-embedded sections) - Anti-EPF antibody [EPR4476] (AB108600)

Immunohistochemical staining of EPF in paraffin embedded Human kidney tissue using ab108600 at a dilution of 1/250.

Perform heat mediated antigen retrieval with citrate buffer pH 6 before commencing with IHC staining protocol.

Immunocytochemistry/ Immunofluorescence - Anti-EPF antibody [EPR4476] (AB108600)
  • ICC/IF

Unknown

Immunocytochemistry/ Immunofluorescence - Anti-EPF antibody [EPR4476] (AB108600)

Immunofluorescent staining of EPF in HeLa cells using ab108600 at a dilution of 1/100.

Immunohistochemistry (Formalin/PFA-fixed paraffin-embedded sections) - Anti-EPF antibody [EPR4476] (AB108600)
  • IHC-P

Unknown

Immunohistochemistry (Formalin/PFA-fixed paraffin-embedded sections) - Anti-EPF antibody [EPR4476] (AB108600)

ab108600 showing positive staining in Normal breast tissue.

Perform heat mediated antigen retrieval with citrate buffer pH 6 before commencing with IHC staining protocol.

関連する標識済み抗体及び組成の異なる製品 (3)

Key facts

宿主種

Rabbit

クローン性

Monoclonal

クローン番号

EPR4476

アイソタイプ

IgG

キャリアフリー

No

交差種

Mouse, Human

アプリケーション

WB, ICC/IF, IHC-P

applications

免疫原

The exact immunogen used to generate this antibody is proprietary information.

Reactivity data

{ "title": "Reactivity Data", "filters": { "stats": ["", "Species", "Dilution Info", "Notes"], "tabs": { "all-applications": {"fullname" : "All Applications", "shortname": "All Applications"}, "IHCP" : {"fullname" : "Immunohistochemistry (Formalin/PFA-fixed paraffin-embedded sections)", "shortname":"IHC-P"}, "FlowCyt" : {"fullname" : "Flow Cytometry", "shortname":"Flow Cyt"}, "WB" : {"fullname" : "Western blot", "shortname":"WB"}, "ICCIF" : {"fullname" : "Immunocytochemistry/ Immunofluorescence", "shortname":"ICC/IF"} }, "product-promise": { "all": "all", "testedAndGuaranteed": "tested", "guaranteed": "expected", "predicted": "predicted", "notRecommended": "not-recommended" } }, "values": { "Human": { "IHCP-species-checked": "testedAndGuaranteed", "IHCP-species-dilution-info": "1/250 - 1/500", "IHCP-species-notes": "<p></p> Perform heat-mediated antigen retrieval with citrate buffer pH 6 before commencing with IHC staining protocol.", "FlowCyt-species-checked": "notRecommended", "FlowCyt-species-dilution-info": "", "FlowCyt-species-notes": "<p></p>", "WB-species-checked": "testedAndGuaranteed", "WB-species-dilution-info": "1/10000 - 1/50000", "WB-species-notes": "<p></p>", "ICCIF-species-checked": "testedAndGuaranteed", "ICCIF-species-dilution-info": "1/100 - 1/250", "ICCIF-species-notes": "<p></p>" }, "Mouse": { "IHCP-species-checked": "guaranteed", "IHCP-species-dilution-info": "", "IHCP-species-notes": "", "FlowCyt-species-checked": "notRecommended", "FlowCyt-species-dilution-info": "", "FlowCyt-species-notes": "<p></p>", "WB-species-checked": "testedAndGuaranteed", "WB-species-dilution-info": "1/10000 - 1/50000", "WB-species-notes": "<p></p>", "ICCIF-species-checked": "guaranteed", "ICCIF-species-dilution-info": "", "ICCIF-species-notes": "" }, "Rat": { "IHCP-species-checked": "predicted", "IHCP-species-dilution-info": "", "IHCP-species-notes": "", "FlowCyt-species-checked": "notRecommended", "FlowCyt-species-dilution-info": "", "FlowCyt-species-notes": "", "WB-species-checked": "predicted", "WB-species-dilution-info": "", "WB-species-notes": "", "ICCIF-species-checked": "predicted", "ICCIF-species-dilution-info": "", "ICCIF-species-notes": "" } } }

製品の詳細

出荷温度及び保存条件

製品の状態
Liquid
精製方法
Affinity purification Protein A
バッファー組成
pH: 7.2 - 7.4 Preservative: 0.05% Sodium azide Constituents: 50% Tissue culture supernatant, 40% Glycerol (glycerin, glycerine), 9.85% Tris glycine, 0.1% BSA
出荷温度
Blue Ice
短期保存温度
+4°C
長期保存温度
-20°C
保管に関する情報
Stable for 12 months at -20°C

補足情報

This supplementary information is collated from multiple sources and compiled automatically.

EPF also known as Embryo Paracrine Factor is a protein with a mass of approximately 18-20 kDa. This protein primarily expresses in embryonic tissues and certain adult tissues with regeneration and repair abilities. EPF functions as a signaling molecule and plays a role in cellular communication influencing different cellular behaviors like proliferation differentiation and migration.
Biological function summary

EPF impacts multiple cellular processes during embryogenesis and tissue regeneration. It does not function as a part of a larger protein complex but interacts directly with surface receptors to initiate signal transduction pathways. EPF activities help in regulating cell cycle transitions balancing cell growth with apoptosis for proper tissue formation and healing. By mediating these activities EPF is critical for normal development and efficient repair processes.

Pathways

Several molecular networks engage with EPF to exert its influence. One of the primary pathways involving EPF is the Wnt signaling pathway which contributes to the regulation of gene expression cellular growth and differentiation. Through this pathway EPF interacts with proteins like β-catenin. Additionally EPF also associates with the PI3K/Akt pathway which further highlights its involvement in controlling cellular survival and growth dynamics.

Abnormal EPF function is linked with cancer progression and regenerative disorders. Dysregulation of EPF can lead to uncontrolled cell proliferation and has been observed in certain cancers such as colorectal cancer. Furthermore impaired EPF signaling might affect wound healing processes leading to chronic wounds. During these disease processes EPF interacts with other important signaling molecules such as p53 in cancer to influence disease outcomes.

製品プロトコール

For this product, it's our understanding that no specific protocols are required. You can visit:

ターゲットの情報

Co-chaperonin implicated in mitochondrial protein import and macromolecular assembly. Together with Hsp60, facilitates the correct folding of imported proteins. May also prevent misfolding and promote the refolding and proper assembly of unfolded polypeptides generated under stress conditions in the mitochondrial matrix (PubMed : 11422376, PubMed : 1346131, PubMed : 7912672). The functional units of these chaperonins consist of heptameric rings of the large subunit Hsp60, which function as a back-to-back double ring. In a cyclic reaction, Hsp60 ring complexes bind one unfolded substrate protein per ring, followed by the binding of ATP and association with 2 heptameric rings of the co-chaperonin Hsp10. This leads to sequestration of the substrate protein in the inner cavity of Hsp60 where, for a certain period of time, it can fold undisturbed by other cell components. Synchronous hydrolysis of ATP in all Hsp60 subunits results in the dissociation of the chaperonin rings and the release of ADP and the folded substrate protein (Probable).
See full target information HSPE1

文献 (8)

Recent publications for all applications. Explore the full list and refine your search

Discover. Oncology 14:107 PubMed37351671

2023

HSF1 is a novel prognostic biomarker in high-risk prostate cancer that correlates with ferroptosis.

Applications

Unspecified application

Species

Unspecified reactive species

GaoZhen Jia,WenBo Wu,Lei Chen,Yang Yu,QiLin Tang,HaiTao Liu,Qi Jiang,BangMin Han

Journal of the College of Physicians and Surgeons--Pakistan : JCPSP 30:1321-1325 PubMed33397061

2021

Tissue Nuclear Matrix Protein Expression 22 in Various Grades and Stages of Bladder Cancer.

Applications

Unspecified application

Species

Unspecified reactive species

Quratulain Mati,Samina Qamar,Sobia Ashraf,Muhammad Abbas Khokhar,Usma Arshad

Signal transduction and targeted therapy 4:40 PubMed31637018

2019

Global profiling of O-GlcNAcylated and/or phosphorylated proteins in hepatoblastoma.

Applications

Unspecified application

Species

Unspecified reactive species

Hang Song,Ji Ma,Zhixuan Bian,Shuhua Chen,Jiabei Zhu,Jing Wang,Nan Huang,Minzhi Yin,Fenyong Sun,Min Xu,Qiuhui Pan

Archivum immunologiae et therapiae experimentalis 67:401-414 PubMed31324924

2019

Mitochondrial Heat Shock Response Induced by Ectromelia Virus is Accompanied by Reduced Apoptotic Potential in Murine L929 Fibroblasts.

Applications

Unspecified application

Species

Unspecified reactive species

Zbigniew Wyżewski,Karolina P Gregorczyk-Zboroch,Matylda B Mielcarska,Magdalena Bossowska-Nowicka,Justyna Struzik,Joanna Szczepanowska,Felix N Toka,Marek G Niemiałtowski,Lidia Szulc-Dąbrowska

Cell death & disease 10:147 PubMed30770797

2019

Fhit-Fdxr interaction in the mitochondria: modulation of reactive oxygen species generation and apoptosis in cancer cells.

Applications

Unspecified application

Species

Unspecified reactive species

Teresa Druck,Douglas G Cheung,Dongju Park,Francesco Trapasso,Flavia Pichiorri,Marco Gaspari,Tiziana Palumbo,Rami I Aqeilan,Eugenio Gaudio,Hiroshi Okumura,Rodolfo Iuliano,Cinzia Raso,Kari Green,Kay Huebner,Carlo M Croce

Oncotarget 9:30731-30747 PubMed30112103

2018

Systematic verification of bladder cancer-associated tissue protein biomarker candidates in clinical urine specimens.

Applications

Unspecified application

Species

Unspecified reactive species

Cheng-Han Tsai,Yi-Ting Chen,Ying-Hsu Chang,Chuen Hsueh,Chung-Yi Liu,Yu-Sun Chang,Chien-Lun Chen,Jau-Song Yu

FASEB journal : official publication of the Federation of American Societies for Experimental Biology 28:1666-81 PubMed24378874

2014

Neuron-specific expression of CuZnSOD prevents the loss of muscle mass and function that occurs in homozygous CuZnSOD-knockout mice.

Applications

WB

Species

Mouse

Giorgos K Sakellariou,Carol S Davis,Yun Shi,Maxim V Ivannikov,Yiqiang Zhang,Aphrodite Vasilaki,Gregory T Macleod,Arlan Richardson,Holly Van Remmen,Malcolm J Jackson,Anne McArdle,Susan V Brooks

Human molecular genetics 22:4871-87 PubMed23851121

2013

Loss of mitochondrial peptidase Clpp leads to infertility, hearing loss plus growth retardation via accumulation of CLPX, mtDNA and inflammatory factors.

Applications

Unspecified application

Species

Unspecified reactive species

Suzana Gispert,Dajana Parganlija,Michael Klinkenberg,Stefan Dröse,Ilka Wittig,Michel Mittelbronn,Pawel Grzmil,Sebastian Koob,Andrea Hamann,Michael Walter,Finja Büchel,Thure Adler,Martin Hrabé de Angelis,Dirk H Busch,Andreas Zell,Andreas S Reichert,Ulrich Brandt,Heinz D Osiewacz,Marina Jendrach,Georg Auburger
View all publications

Abcam product promise

当社は、高品質な試薬を通じてお客様の研究を力強くサポートすることをお約束いたします。ご使用いただく各段階で、常にお客様をサポートできる体制を整えております。万が一、製品が期待通りに機能しない場合は、「Abcam Product Promise」による当社保証制度に基づき、安心してご利用いただけます。
保証に関する詳細については利用規約をご確認ください。

関連製品

Select an associated product type
Alternative Product
Primary Antibodies

AB227428

Anti-EPF antibody

primary-antibodies

epf-antibody-ab227428

1

(1 reviews)

Alternative Product
Primary Antibodies

AB108611

Anti-EPF antibody [EPR4475]

primary-antibodies

epf-antibody-epr4475-ab108611

0

(0 reviews)

Please note: All products are 'FOR RESEARCH USE ONLY. NOT FOR USE IN DIAGNOSTIC OR THERAPEUTIC PROCEDURES'.

For licensing inquiries, please contact partnerships@abcam.com