JavaScript is disabled in your browser. Please enable JavaScript to view this website.
AB112043

Anti-EPC1 抗体

Anti-EPC1 antibody

Be the first to review this product! Submit a review

|

(1 Publication)

Rabbit Polyclonal EPC1 antibody. Suitable for IP, WB and reacts with Human samples. Cited in 1 publication. Immunogen corresponding to Synthetic Peptide within Human EPC1 aa 300-400.

別名を表示する

Enhancer of polycomb homolog 1, EPC1

2 Images
Immunoprecipitation - Anti-EPC1 antibody (AB112043)
  • IP

Unknown

Immunoprecipitation - Anti-EPC1 antibody (AB112043)

Detection of EPC1 by Western Blot of Immunprecipitate.
ab112043 at 1µg/ml staining EPC1 in HeLa whole cell lysate immunoprecipitated using ab112043 at 6µg/mg lysate (1 mg/IP; 20% of IP loaded/lane). Detection : Chemiluminescence with exposure time of 10 seconds.

All lanes:

Immunoprecipitation - Anti-EPC1 antibody (ab112043)

Predicted band size: 93 kDa

false

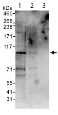
Western blot - Anti-EPC1 antibody (AB112043)
  • WB

Unknown

Western blot - Anti-EPC1 antibody (AB112043)

All lanes:

Western blot - Anti-EPC1 antibody (ab112043) at 0.1 µg/mL

Lane 1:

HeLa whole cell lysate at 50 µg

Lane 2:

HeLa whole cell lysate at 15 µg

Lane 3:

HeLa whole cell lysate at 5 µg

Predicted band size: 93 kDa

true

Exposure time: 3min

Key facts

宿主種

Rabbit

クローン性

Polyclonal

アイソタイプ

IgG

キャリアフリー

No

交差種

Human

アプリケーション

IP, WB

applications

免疫原

Synthetic Peptide within Human EPC1 aa 300-400. The exact immunogen used to generate this antibody is proprietary information.

Q9H2F5

Reactivity data

{ "title": "Reactivity Data", "filters": { "stats": ["", "Species", "Dilution Info", "Notes"], "tabs": { "all-applications": {"fullname" : "All Applications", "shortname": "All Applications"}, "IP" : {"fullname" : "Immunoprecipitation", "shortname":"IP"}, "WB" : {"fullname" : "Western blot", "shortname":"WB"} }, "product-promise": { "all": "all", "testedAndGuaranteed": "tested", "guaranteed": "expected", "predicted": "predicted", "notRecommended": "not-recommended" } }, "values": { "Human": { "IP-species-checked": "testedAndGuaranteed", "IP-species-dilution-info": "2-10 µg/mg of lysate", "IP-species-notes": "<p></p>", "WB-species-checked": "testedAndGuaranteed", "WB-species-dilution-info": "1/2000 - 1/10000", "WB-species-notes": "<p></p>" }, "Mouse": { "IP-species-checked": "predicted", "IP-species-dilution-info": "", "IP-species-notes": "", "WB-species-checked": "predicted", "WB-species-dilution-info": "", "WB-species-notes": "" }, "Rat": { "IP-species-checked": "predicted", "IP-species-dilution-info": "", "IP-species-notes": "", "WB-species-checked": "predicted", "WB-species-dilution-info": "", "WB-species-notes": "" }, "Chimpanzee": { "IP-species-checked": "predicted", "IP-species-dilution-info": "", "IP-species-notes": "", "WB-species-checked": "predicted", "WB-species-dilution-info": "", "WB-species-notes": "" }, "Cow": { "IP-species-checked": "predicted", "IP-species-dilution-info": "", "IP-species-notes": "", "WB-species-checked": "predicted", "WB-species-dilution-info": "", "WB-species-notes": "" }, "Dog": { "IP-species-checked": "predicted", "IP-species-dilution-info": "", "IP-species-notes": "", "WB-species-checked": "predicted", "WB-species-dilution-info": "", "WB-species-notes": "" }, "Elephant": { "IP-species-checked": "predicted", "IP-species-dilution-info": "", "IP-species-notes": "", "WB-species-checked": "predicted", "WB-species-dilution-info": "", "WB-species-notes": "" }, "Gorilla": { "IP-species-checked": "predicted", "IP-species-dilution-info": "", "IP-species-notes": "", "WB-species-checked": "predicted", "WB-species-dilution-info": "", "WB-species-notes": "" }, "Horse": { "IP-species-checked": "predicted", "IP-species-dilution-info": "", "IP-species-notes": "", "WB-species-checked": "predicted", "WB-species-dilution-info": "", "WB-species-notes": "" }, "Orangutan": { "IP-species-checked": "predicted", "IP-species-dilution-info": "", "IP-species-notes": "", "WB-species-checked": "predicted", "WB-species-dilution-info": "", "WB-species-notes": "" }, "Rabbit": { "IP-species-checked": "predicted", "IP-species-dilution-info": "", "IP-species-notes": "", "WB-species-checked": "predicted", "WB-species-dilution-info": "", "WB-species-notes": "" }, "Rhesus monkey": { "IP-species-checked": "predicted", "IP-species-dilution-info": "", "IP-species-notes": "", "WB-species-checked": "predicted", "WB-species-dilution-info": "", "WB-species-notes": "" } } }

出荷温度及び保存条件

製品の状態
Liquid
精製方法
Affinity purification Immunogen
バッファー組成
pH: 7 - 8 Preservative: 0.09% Sodium azide Constituents: 99% Tris citrate/phosphate
出荷温度
Blue Ice
短期保存温度
+4°C
長期保存温度
+4°C
分注に関する情報
Upon delivery aliquot
保管に関する情報
Avoid freeze / thaw cycle

補足情報

This supplementary information is collated from multiple sources and compiled automatically.

EPC1 also called Enhancer of Polycomb homolog 1 is a nuclear protein with a mass of approximately 89 kDa. It plays a role in chromatin remodeling as part of the NuA4 histone acetyltransferase complex. EPC1 is expressed in various tissues with notable expression in embryonic tissues and somatic cells undergoing differentiation. There is significant involvement of EPC1 in transcriptional regulation through modification of chromatin structure.
Biological function summary

As a component of the NuA4 complex EPC1 contributes to the acetylation of histones impacting gene expression. This complex is involved in chromatin modification and facilitates transcriptional activation of genes related to cell cycle progression DNA repair and development. By influencing these vital processes EPC1 affects cell proliferation and differentiation highlighting its role in maintaining genomic stability and cellular integrity.

Pathways

EPC1 engages in key signaling pathways such as the Notch signaling pathway and the DNA damage response pathway. These pathways are critical in regulating cell fate decisions and maintaining genomic stability. EPC1 interacts with proteins like EP400 which is part of the same complex as well as other transcription factors and co-factors that mediate its effects on gene expression and chromatin dynamics.

EPC1 shows association with certain cancers particularly those with dysregulated chromatin structures and developmental disorders. Aberrant function or expression of EPC1 may contribute to tumorigenesis especially in hematological malignancies. Mutations or dysregulation in associated proteins like EP400 and others within the NuA4 complex can further impact disease progression implicating EPC1 as a potential target for therapeutic intervention in these contexts.

製品プロトコール

For this product, it's our understanding that no specific protocols are required. You can visit:

ターゲットの情報

Component of the NuA4 histone acetyltransferase (HAT) complex, a multiprotein complex involved in transcriptional activation of select genes principally by acetylation of nucleosomal histones H4 and H2A (PubMed : 14966270). The NuA4 complex plays a direct role in repair of DNA double-strand breaks (DSBs) by promoting homologous recombination (HR) (PubMed : 27153538). The NuA4 complex is also required for spermatid development by promoting acetylation of histones : histone acetylation is required for histone replacement during the transition from round to elongating spermatids (By similarity). In the NuA4 complex, EPC1 is required to recruit MBTD1 into the complex (PubMed : 32209463).
See full target information EPC1

文献 (1)

Recent publications for all applications. Explore the full list and refine your search

Nucleic acids research 44:117-33 PubMed26350215

2015

Epigenetic factor EPC1 is a master regulator of DNA damage response by interacting with E2F1 to silence death and activate metastasis-related gene signatures.

Applications

ChIP

Species

Unspecified reactive species

Yajie Wang,Vijay Alla,Deborah Goody,Shailendra K Gupta,Alf Spitschak,Olaf Wolkenhauer,Brigitte M Pützer,David Engelmann
View all publications

Abcam product promise

当社は、高品質な試薬を通じてお客様の研究を力強くサポートすることをお約束いたします。ご使用いただく各段階で、常にお客様をサポートできる体制を整えております。万が一、製品が期待通りに機能しない場合は、「Abcam Product Promise」による当社保証制度に基づき、安心してご利用いただけます。
保証に関する詳細については利用規約をご確認ください。

Please note: All products are 'FOR RESEARCH USE ONLY. NOT FOR USE IN DIAGNOSTIC OR THERAPEUTIC PROCEDURES'.

For licensing inquiries, please contact partnerships@abcam.com