JavaScript is disabled in your browser. Please enable JavaScript to view this website.
AB32443

Anti-eIF5A 抗体 [EP526Y]

Anti-eIF5A antibody [EP526Y]

4

(1 Review)

|

(25 Publications)

Anti-eIF5A antibody [EP526Y] (ab32443) is a rabbit monoclonal antibody detecting eIF5A in Western Blot, Flow Cytometry (Intra), Flow Cytometry, IHC-P, ICC/IF. Suitable for Human, Mouse, Rat,.

- Biophysical QC for unrivalled batch-batch consistency
- Over 10 publications
- Trusted since 2006

別名を表示する

Eukaryotic translation initiation factor 5A-1, eIF-5A-1, eIF-5A1, Eukaryotic initiation factor 5A isoform 1, Rev-binding factor, eIF-4D, eIF-5A, EIF5A

11 Images
Immunocytochemistry/ Immunofluorescence - Anti-eIF5A antibody [EP526Y] (AB32443)
  • ICC/IF

Unknown

Immunocytochemistry/ Immunofluorescence - Anti-eIF5A antibody [EP526Y] (AB32443)

Immunocytochemistry/Immunofluorescence analysis of HeLa (human cervix adenocarcinoma) cells labelling eIF5A with purified ab32443 at 1/500. Cells were fixed with 4% Paraformaldehyde. An Alexa Fluor® 488-conjugated goat anti-rabbit IgG (ab150077) at 1/1000 dilution was used as the secondary antibody. Nuclei couterstained with DAPI (blue).

Secondary Only Control : PBS was used instead of the primary antibody as the negative control

Immunohistochemistry (Formalin/PFA-fixed paraffin-embedded sections) - Anti-eIF5A antibody [EP526Y] (AB32443)
  • IHC-P

Unknown

Immunohistochemistry (Formalin/PFA-fixed paraffin-embedded sections) - Anti-eIF5A antibody [EP526Y] (AB32443)

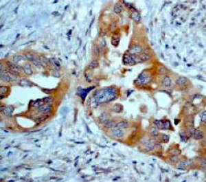
ab32443 at a 1 : 250 dilution staining eIF5A in human adenocarcinoma of uterus using Immunohistochemistry, Paraffin Embedded Tissue.

Perform heat mediated antigen retrieval with citrate buffer pH 6 before commencing with IHC staining protocol.

Flow Cytometry (Intracellular) - Anti-eIF5A antibody [EP526Y] (AB32443)
  • Flow Cyt (Intra)

Unknown

Flow Cytometry (Intracellular) - Anti-eIF5A antibody [EP526Y] (AB32443)

Overlay histogram showing Jurkat cells stained with ab32443 (red line). The cells were fixed with methanol (5 min) and then permeabilized with 0.1% PBS-Tween for 20 min. The cells were then incubated in 1x PBS / 10% normal goat serum / 0.3M glycine to block non-specific protein-protein interactions followed by the antibody (ab32443, 1/50 dilution) for 30 min at 22°C. The secondary antibody used was DyLight® 488 goat anti-rabbit IgG (H+L) (ab96899) at 1/500 dilution for 30 min at 22°C. Isotype control antibody (black line) was rabbit monoclonal IgG (0.5μg/1x106 cells) used under the same conditions. Acquisition of >5,000 events was performed. This antibody gave a positive signal in Jurkat cells fixed with 4% paraformaldehyde (10 min)/permeabilized in 0.1% PBS-Tween used under the same conditions.

Immunocytochemistry/ Immunofluorescence - Anti-eIF5A antibody [EP526Y] (AB32443)
  • ICC/IF

Supplier Data

Immunocytochemistry/ Immunofluorescence - Anti-eIF5A antibody [EP526Y] (AB32443)

Immunofluorescent analysis of 4% Paraformaldehyde-fixed, 0.1% TritonX-100 permeabilized C6 (rat glial tumor glial cell) labelling eIF5A with ab32443 at 1/250 dilution (Green).

Confocal image showing Mitochondria staining in C6 cell line.

Nuclear DNA was labelled with DAPI (shown in blue).

Secondary used was ab150081 Goat Anti-Rabbit IgG H&L (Alexa Fluor® 488) preadsorbed at 1/1000 (2 µg/ml).

ab195889 Anti-alpha Tubulin mouse monoclonal antibody -Microtubule Marker (Alexa Fluor® 594) was used as a counterstain at 1/200 (2.5 µg/ml) dilution.

Image was taken with a confocal microscope (Leica-Microsystems, TCS SP8).

Immunocytochemistry/ Immunofluorescence - Anti-eIF5A antibody [EP526Y] (AB32443)
  • ICC/IF

Supplier Data

Immunocytochemistry/ Immunofluorescence - Anti-eIF5A antibody [EP526Y] (AB32443)

Immunofluorescent analysis of 4% Paraformaldehyde-fixed, 0.1% TritonX-100 permeabilized NIH/3T3 (mouse embryonic fibroblast) labelling eIF5A with ab32443 at 1/250 dilution (Green).

Confocal image showing Mitochondria staining in NIH/3T3 cell line.

Nuclear DNA was labelled with DAPI (shown in blue).

Secondary used was ab150081 Goat Anti-Rabbit IgG H&L (Alexa Fluor® 488) preadsorbed at 1/1000 (2 µg/ml).

ab195889 Anti-alpha Tubulin mouse monoclonal antibody -Microtubule Marker (Alexa Fluor® 594) was used as a counterstain at 1/200 (2.5 µg/ml) dilution.

Image was taken with a confocal microscope(Leica-Microsystems, TCS SP8).

Immunohistochemistry (Formalin/PFA-fixed paraffin-embedded sections) - Anti-eIF5A antibody [EP526Y] (AB32443)
  • IHC-P

Supplier Data

Immunohistochemistry (Formalin/PFA-fixed paraffin-embedded sections) - Anti-eIF5A antibody [EP526Y] (AB32443)

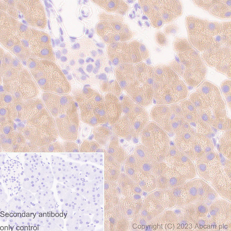
Immunohistochemical analysis of paraffin-embedded Mouse pancreas labeling eIF5A with ab32443 at 1/1000 dilution (0.101 ug/ml) followed by a ready to use LeicaDS9800 (Bond™ Polymer Refine Detection). Positive staining on the Mouse pancreas. The section was incubated with ab32443 for 30 mins at room temperature. The immunostaining was performed on a Leica Biosystems BOND® RX instrument. Secondary antibody only control : Secondary antibody is a ready to use LeicaDS9800 (Bond™ Polymer Refine Detection). Heat mediated antigen retrieval was performed with Tris-EDTA buffer (pH 9.0, Epitope Retrieval Solution2) for 20 mins.

Immunohistochemistry (Formalin/PFA-fixed paraffin-embedded sections) - Anti-eIF5A antibody [EP526Y] (AB32443)
  • IHC-P

Supplier Data

Immunohistochemistry (Formalin/PFA-fixed paraffin-embedded sections) - Anti-eIF5A antibody [EP526Y] (AB32443)

Immunohistochemical analysis of paraffin-embedded Rat pancreas labeling eIF5A with ab32443 at 1/1000 dilution (0.101 ug/ml) followed by a ready to use LeicaDS9800 (Bond™ Polymer Refine Detection). Positive staining on the Rat pancreas. The section was incubated with ab32443 for 30 mins at room temperature. The immunostaining was performed on a Leica Biosystems BOND® RX instrument. Secondary antibody only control : Secondary antibody is a ready to use LeicaDS9800 (Bond™ Polymer Refine Detection). Heat mediated antigen retrieval was performed with Tris-EDTA buffer (pH 9.0, Epitope Retrieval Solution2) for 20 mins.

Immunohistochemistry (Formalin/PFA-fixed paraffin-embedded sections) - Anti-eIF5A antibody [EP526Y] (AB32443)
  • IHC-P

Supplier Data

Immunohistochemistry (Formalin/PFA-fixed paraffin-embedded sections) - Anti-eIF5A antibody [EP526Y] (AB32443)

Immunohistochemical analysis of paraffin-embedded Mouse cardiac muscle labeling eIF5A with ab32443 at 1/1000 dilution (0.101 ug/ml) followed by a ready to use LeicaDS9800 (Bond™ Polymer Refine Detection). Negative control : Negligible staining on the mouse cardiac muscle. The section was incubated with ab32443 for 30 mins at room temperature. The immunostaining was performed on a Leica Biosystems BOND® RX instrument. Secondary antibody only control : Secondary antibody is a ready to use LeicaDS9800 (Bond™ Polymer Refine Detection). Heat mediated antigen retrieval was performed with Tris-EDTA buffer (pH 9.0, Epitope Retrieval Solution2) for 20 mins.

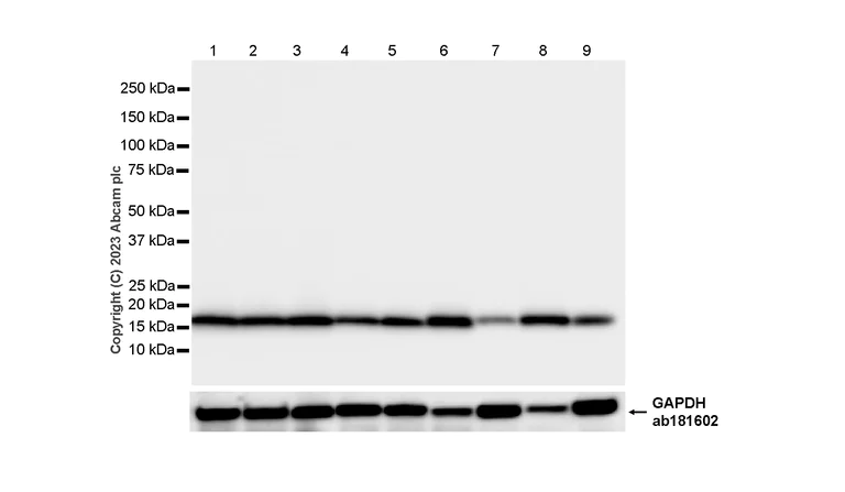
Western blot - Anti-eIF5A antibody [EP526Y] (AB32443)
  • WB

Supplier Data

Western blot - Anti-eIF5A antibody [EP526Y] (AB32443)

Blocking and Diluting buffer and concentration : 5% NFDM/TBST.

Low expression control : mouse and rat heart.

In Western blot, anti-GAPDH antibody (ab181602) loading control staining at 1/200000 dilution.

All lanes:

Western blot - Anti-eIF5A antibody [EP526Y] (ab32443) at 1/1000 dilution

Lane 1:

Jurkat (human T cell leukemia T lymphocyte from peripheral blood) whole cell lysate  at 20 µg

Lane 2:

NIH/3T3 (mouse embryonic fibroblast) whole cell lysate at 20 µg

Lane 3:

RAW 264.7 (mouse Abelson murine leukemia virus-induced tumor macrophage) whole cell lysate at 20 µg

Lane 4:

C6 (rat glial tumor glial cell) whole cell lysate at 20 µg

Lane 5:

PC-12 (rat adrenal gland pheochromocytoma cell) whole cell lysate at 20 µg

Lane 6:

Mouse pancreas tissue lysate at 20 µg

Lane 7:

Mouse heart tissue lysate at 20 µg

Lane 8:

Rat pancreas tissue lysate at 20 µg

Lane 9:

Rat heart tissue lysate at 20 µg

Secondary

All lanes:

Western blot - Goat Anti-Rabbit IgG H&L (HRP) (<a href='/products/secondary-antibodies/goat-rabbit-igg-h-l-hrp-ab97051'>ab97051</a>) at 1/20000 dilution

Predicted band size: 16 kDa

Observed band size: 16 kDa

false

Exposure time: 1s

Western blot - Anti-eIF5A antibody [EP526Y] (AB32443)
  • WB

Unknown

Western blot - Anti-eIF5A antibody [EP526Y] (AB32443)

All lanes:

Western blot - Anti-eIF5A antibody [EP526Y] (ab32443) at 1/10000 dilution

All lanes:

Jurkat cell lysate

Predicted band size: 16 kDa

Observed band size: 18 kDa

false

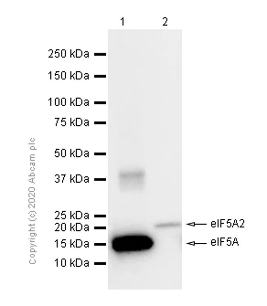
Western blot - Anti-eIF5A antibody [EP526Y] (AB32443)
  • WB

Lab

Western blot - Anti-eIF5A antibody [EP526Y] (AB32443)

Blocking buffer : 5% NFDM/TBST

This antibody shows low affinity in recognizing eIF5A2 recombinant protein.

All lanes:

Western blot - Anti-eIF5A antibody [EP526Y] (ab32443) at 1/2000 dilution

Lane 1:

Western blot - Recombinant Human eIF5A protein (<a href='/products/proteins-peptides/recombinant-human-eif5a-protein-ab87457'>ab87457</a>) at 0.01 µg

Lane 2:

Western blot - Recombinant Human eIF5A2 protein (<a href='/products/proteins-peptides/recombinant-human-eif5a2-protein-ab99140'>ab99140</a>) at 0.01 µg

Secondary

All lanes:

Western blot - Goat Anti-Rabbit IgG H&L (HRP) (<a href='/products/secondary-antibodies/goat-rabbit-igg-h-l-hrp-ab97051'>ab97051</a>) at 1/20000 dilution

Predicted band size: 16 kDa

Observed band size: 15 kDa,20 kDa

true

Exposure time: 20s

関連する標識済み抗体及び組成の異なる製品 (1)

  • Carrier free

    Anti-eIF5A antibody [EP526Y] - BSA and Azide free

Key facts

宿主種

Rabbit

クローン性

Monoclonal

クローン番号

EP526Y

アイソタイプ

IgG

キャリアフリー

No

交差種

Mouse, Rat, Human

アプリケーション

WB, ICC/IF, Flow Cyt (Intra), IHC-P

applications

免疫原

The exact immunogen used to generate this antibody is proprietary information.

特異性

This antibody shows low affinity in recognizing eIF5A2 recombinant protein.

Reactivity data

{ "title": "Reactivity Data", "filters": { "stats": ["", "Species", "Dilution Info", "Notes"], "tabs": { "all-applications": {"fullname" : "All Applications", "shortname": "All Applications"}, "IHCP" : {"fullname" : "Immunohistochemistry (Formalin/PFA-fixed paraffin-embedded sections)", "shortname":"IHC-P"}, "WB" : {"fullname" : "Western blot", "shortname":"WB"}, "ICCIF" : {"fullname" : "Immunocytochemistry/ Immunofluorescence", "shortname":"ICC/IF"}, "FlowCytIntra" : {"fullname" : "Flow Cytometry (Intracellular)", "shortname":"Flow Cyt (Intra)"} }, "product-promise": { "all": "all", "testedAndGuaranteed": "tested", "guaranteed": "expected", "predicted": "predicted", "notRecommended": "not-recommended" } }, "values": { "Human": { "IHCP-species-checked": "testedAndGuaranteed", "IHCP-species-dilution-info": "", "IHCP-species-notes": "<p></p> Perform heat-mediated antigen retrieval with citrate buffer pH 6 before commencing with IHC staining protocol.", "WB-species-checked": "testedAndGuaranteed", "WB-species-dilution-info": "1/5000 - 1/10000", "WB-species-notes": "<p></p>", "ICCIF-species-checked": "testedAndGuaranteed", "ICCIF-species-dilution-info": "1/500", "ICCIF-species-notes": "<p></p>", "FlowCytIntra-species-checked": "testedAndGuaranteed", "FlowCytIntra-species-dilution-info": "1/50 - 1/80", "FlowCytIntra-species-notes": "<p><a href='/products/primary-antibodies/rabbit-igg-monoclonal-epr25a-isotype-control-ab172730'>ab172730</a> - Rabbit monoclonal IgG, is suitable for use as an isotype control with this antibody.</p>" }, "Mouse": { "IHCP-species-checked": "testedAndGuaranteed", "IHCP-species-dilution-info": "1/1000", "IHCP-species-notes": "<p></p>", "WB-species-checked": "testedAndGuaranteed", "WB-species-dilution-info": "1/1000", "WB-species-notes": "<p></p>", "ICCIF-species-checked": "testedAndGuaranteed", "ICCIF-species-dilution-info": "1/250", "ICCIF-species-notes": "<p></p>", "FlowCytIntra-species-checked": "guaranteed", "FlowCytIntra-species-dilution-info": "", "FlowCytIntra-species-notes": "" }, "Rat": { "IHCP-species-checked": "testedAndGuaranteed", "IHCP-species-dilution-info": "1/1000", "IHCP-species-notes": "<p></p>", "WB-species-checked": "testedAndGuaranteed", "WB-species-dilution-info": "1/1000", "WB-species-notes": "<p></p>", "ICCIF-species-checked": "testedAndGuaranteed", "ICCIF-species-dilution-info": "1/250", "ICCIF-species-notes": "<p></p>", "FlowCytIntra-species-checked": "guaranteed", "FlowCytIntra-species-dilution-info": "", "FlowCytIntra-species-notes": "" }, "Synthetic peptide - Human": { "IHCP-species-checked": "notRecommended", "IHCP-species-dilution-info": "", "IHCP-species-notes": "", "WB-species-checked": "testedAndGuaranteed", "WB-species-dilution-info": "1/5000 - 1/10000", "WB-species-notes": "<p></p>", "ICCIF-species-checked": "notRecommended", "ICCIF-species-dilution-info": "", "ICCIF-species-notes": "", "FlowCytIntra-species-checked": "notRecommended", "FlowCytIntra-species-dilution-info": "", "FlowCytIntra-species-notes": "" } } }

製品の詳細

What is this antibody validated in?
Anti-eIF5A antibody [EP526Y] (ab32443) is a rabbit recombinant monoclonal antibody and is validated for use in Western Blot (WB), Flow Cytometry (Intra), Flow Cytometry (Flow Cyt), Immunohistochemistry (IHC-P), Immunocytochemistry/immunofluorescence (ICC/IF) in Human, Mouse, Rat, samples.

What is the molecular weight of eIF5A?
Anti-eIF5A [EP526Y] (ab32443) specifically detects a band for eIF5A (UniProt: P63241) at a molecular weight of 18kDa.

Trusted by the scientific community
Anti-eIF5A [EP526Y] (ab32443) was first used in a scientific publication in 2006 and has been cited over 10 times in peer-reviewed journals.

Trial sizes available!
Test your antibody or perform pre-screening before committing to a larger quantity. Sold in 10µl. Discover our selection of trial-size antibodies.

Other related products
We have a range of other formats of antibody clone [EP526Y] also available for your convenience: ab32443, Carrier free - ab239816

Patented technology
Our RabMAb® technology is a patented hybridoma-based technology for making rabbit monoclonal antibodies. For details on our patents, please refer to RabMAb® patents.

What are the advantages of a recombinant monoclonal antibody?
This product is a recombinant monoclonal antibody, which offers several advantages including:

  • - High batch-to-batch consistency and reproducibility
  • - Improved sensitivity and specificity
  • - Long-term security of supply
  • - Animal-free batch production

For more information, read more on recombinant antibodies.

出荷温度及び保存条件

製品の状態
Liquid
精製方法
Affinity purification Protein A
バッファー組成
pH: 7.2 - 7.4 Preservative: 0.01% Sodium azide Constituents: PBS, 50% Glycerol (glycerin, glycerine), 0.05% BSA
出荷温度
Blue Ice
短期保存温度
+4°C
長期保存温度
-20°C
分注に関する情報
Upon delivery aliquot
保管に関する情報
Avoid freeze / thaw cycle

補足情報

This supplementary information is collated from multiple sources and compiled automatically.

EIF5A also known as eukaryotic translation initiation factor 5A is a small protein with a molecular mass of approximately 18 kDa. It plays a significant mechanical role in the translation process by facilitating the formation of the first peptide bond in protein synthesis. eIF5A is expressed ubiquitously across various tissues and is noted for being the only protein known to undergo the unique post-translational modification called hypusination which is necessary for its function.
Biological function summary

EIF5A participates in regulating translation cell proliferation and apoptosis. eIF5A functions as part of a complex involved in ribosome-associated protein synthesis supporting the elongation of polyproline-containing peptides. It helps in maintaining cellular homeostasis by modulating the translation of specific sets of mRNAs that are critical for various cellular responses.

Pathways

EIF5A's role is particularly relevant in translation elongation and mRNA turnover pathways. It interacts closely with the elongation factors eEF2 and eEF1A to promote efficient protein synthesis. In the mRNA turnover pathway eIF5A has connections with proteins such as Dcp2 and Xrn1 which play a role in the degradation of mRNA thereby influencing mRNA stability and turnover.

EIF5A is linked to cancer and neurodegenerative diseases. Alterations in its function and expression levels have been observed in several cancer types highlighting its role in tumor progression. The protein's connection to apoptosis pathways suggests its involvement in neurodegenerative disorders such as Alzheimer's disease where cell death and tissue degeneration are prevalent. eIF5A associates with proteins like Bcl-2 in cancer and Tau in neurodegeneration indicating its varied impact on disease processes.

製品プロトコール

For this product, it's our understanding that no specific protocols are required. You can visit:

ターゲットの情報

Translation factor that promotes translation elongation and termination, particularly upon ribosome stalling at specific amino acid sequence contexts (PubMed : 33547280). Binds between the exit (E) and peptidyl (P) site of the ribosome and promotes rescue of stalled ribosome : specifically required for efficient translation of polyproline-containing peptides as well as other motifs that stall the ribosome (By similarity). Acts as a ribosome quality control (RQC) cofactor by joining the RQC complex to facilitate peptidyl transfer during CAT tailing step (By similarity). Also involved in actin dynamics and cell cycle progression, mRNA decay and probably in a pathway involved in stress response and maintenance of cell wall integrity (PubMed : 16987817). With syntenin SDCBP, functions as a regulator of p53/TP53 and p53/TP53-dependent apoptosis (PubMed : 15371445). Regulates also TNF-alpha-mediated apoptosis (PubMed : 15452064, PubMed : 17187778). Mediates effects of polyamines on neuronal process extension and survival (PubMed : 17360499). Is required for autophagy by assisting the ribosome in translating the ATG3 protein at a specific amino acid sequence, the 'ASP-ASP-Gly' motif, leading to the increase of the efficiency of ATG3 translation and facilitation of LC3B lipidation and autophagosome formation (PubMed : 29712776).. (Microbial infection) Cellular cofactor of human T-cell leukemia virus type I (HTLV-1) Rex protein and of human immunodeficiency virus type 1 (HIV-1) Rev protein, essential for mRNA export of retroviral transcripts.
See full target information EIF5A

文献 (25)

Recent publications for all applications. Explore the full list and refine your search

The Journal of biological chemistry 301:108352 PubMed40015634

2025

Spermine attenuates TGF-β-induced EMT by downregulating fibronectin.

Applications

Unspecified application

Species

Unspecified reactive species

Huidong Liu,Ye-Guang Chen

Frontiers in immunology 15:1466226 PubMed39290702

2024

Deciphering colorectal cancer radioresistance and immune microrenvironment: unraveling the role of EIF5A through single-cell RNA sequencing and machine learning.

Applications

Unspecified application

Species

Unspecified reactive species

Yaqi Zhong,Xingte Chen,Shiji Wu,Huipeng Fang,Liang Hong,Lingdong Shao,Lei Wang,Junxin Wu

Breast cancer research : BCR 26:70 PubMed38654332

2024

AMD1 promotes breast cancer aggressiveness via a spermidine-eIF5A hypusination-TCF4 axis.

Applications

Unspecified application

Species

Unspecified reactive species

Ruocen Liao,Xingyu Chen,Qianhua Cao,Longchang Bai,Chenglong Ma,Zhijun Dai,Chenfang Dong

Cellular & molecular biology letters 29:15 PubMed38229033

2024

SUMOylation modulates eIF5A activities in both yeast and pancreatic ductal adenocarcinoma cells.

Applications

Unspecified application

Species

Unspecified reactive species

Rocío Seoane,Tomás Lama-Díaz,Antonia María Romero,Ahmed El Motiam,Arantxa Martínez-Férriz,Santiago Vidal,Yanis H Bouzaher,María Blanquer,Rocío M Tolosa,Juan Castillo Mewa,Manuel S Rodríguez,Adolfo García-Sastre,Dimitris Xirodimas,James D Sutherland,Rosa Barrio,Paula Alepuz,Miguel G Blanco,Rosa Farràs,Carmen Rivas

Cancer letters 559:216120 PubMed36893894

2023

Combined inhibition of polyamine metabolism and eIF5A hypusination suppresses colorectal cancer growth through a converging effect on MYC translation.

Applications

Unspecified application

Species

Unspecified reactive species

Sonia Coni,Rosa Bordone,Devon Michael Ivy,Zuleyha Nihan Yurtsever,Laura Di Magno,Rodrigo D'Amico,Bianca Cesaro,Alessandro Fatica,Francesca Belardinilli,Francesca Bufalieri,Marella Maroder,Enrico De Smaele,Lucia Di Marcotullio,Giuseppe Giannini,Enzo Agostinelli,Gianluca Canettieri

Acta cirurgica brasileira 38:e380323 PubMed36888755

2023

Circular RNA protein tyrosine kinase 2 aggravates pyroptosis and inflammation in septic lung tissue by promoting microRNA-766/eukaryotic initiation factor 5A axis-mediated ATP efflux.

Applications

Unspecified application

Species

Unspecified reactive species

FuYan Ding,JiaLu Zhu,YanLei Hu

Cell reports 40:111234 PubMed35977517

2022

Herpesvirus-induced spermidine synthesis and eIF5A hypusination for viral episomal maintenance.

Applications

Unspecified application

Species

Unspecified reactive species

Un Yung Choi,Jae Jin Lee,Angela Park,Kyle L Jung,Shin-Ae Lee,Youn Jung Choi,Hye-Ra Lee,Chih-Jen Lai,Hyungjin Eoh,Jae U Jung

Frontiers in cellular and infection microbiology 12:960138 PubMed35967877

2022

eIF5A is activated by virus infection or dsRNA and facilitates virus replication through modulation of interferon production.

Applications

Unspecified application

Species

Unspecified reactive species

Rocío Seoane,Yessica Y Llamas-González,Santiago Vidal,Ahmed El Motiam,Yanis Hichem Bouzaher,Danae Fonseca,Rosa Farrás,Adolfo García-Sastre,José González-Santamaría,Carmen Rivas

Journal of oncology 2022:4250531 PubMed35874632

2022

Eukaryotic Translation Initiation Factor 5A Independently Predicts Poor Prognosis of Cholangiocarcinoma Patients and Regulates the Ferroptosis and Mitochondrial Apoptosis.

Applications

Unspecified application

Species

Unspecified reactive species

Ping Wan,Taiyuan Li,Longfei Zhou,Jun Zhang,Xuefeng Rao

Cancer cell international 21:425 PubMed34389018

2021

LncRNA OGFRP1 acts as an oncogene in NSCLC via miR-4640-5p/eIF5A axis.

Applications

Unspecified application

Species

Unspecified reactive species

Xiaojing Liu,Na Niu,Pibao Li,Liping Zhai,Ke Xiao,Wendan Chen,Xuewei Zhuang
View all publications

Abcam product promise

当社は、高品質な試薬を通じてお客様の研究を力強くサポートすることをお約束いたします。ご使用いただく各段階で、常にお客様をサポートできる体制を整えております。万が一、製品が期待通りに機能しない場合は、「Abcam Product Promise」による当社保証制度に基づき、安心してご利用いただけます。
保証に関する詳細については利用規約をご確認ください。

Please note: All products are 'FOR RESEARCH USE ONLY. NOT FOR USE IN DIAGNOSTIC OR THERAPEUTIC PROCEDURES'.

For licensing inquiries, please contact partnerships@abcam.com