JavaScript is disabled in your browser. Please enable JavaScript to view this website.
AB228693

Anti-eIF4A2 抗体

Anti-eIF4A2 antibody

  • JP Deleterious:医薬用外劇物

Be the first to review this product! Submit a review

|

(1 Publication)

Rabbit Polyclonal eIF4A2 antibody. Suitable for WB, IHC-P, ICC/IF and reacts with Human samples. Cited in 1 publication. Immunogen corresponding to Recombinant Fragment Protein within Human EIF4A2.

別名を表示する

DDX2B, EIF4F, EIF4A2, Eukaryotic initiation factor 4A-II, eIF-4A-II, eIF4A-II, ATP-dependent RNA helicase eIF4A-2

3 Images
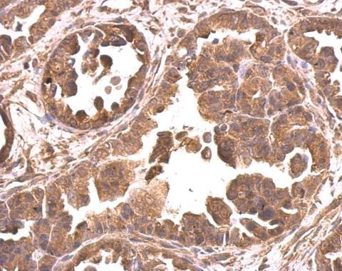
Immunohistochemistry (Formalin/PFA-fixed paraffin-embedded sections) - Anti-eIF4A2 antibody (AB228693)
  • IHC-P

Supplier Data

Immunohistochemistry (Formalin/PFA-fixed paraffin-embedded sections) - Anti-eIF4A2 antibody (AB228693)

Paraffin-embedded human ovarian carcinoma tissue stained for eIF4A2 using ab228693 at 1/500 dilution in immunohistochemical analysis.

Immunocytochemistry/ Immunofluorescence - Anti-eIF4A2 antibody (AB228693)
  • ICC/IF

Supplier Data

Immunocytochemistry/ Immunofluorescence - Anti-eIF4A2 antibody (AB228693)

Methanol-fixed A431 (Human epidermoid carcinoma cell line) cells stained for eIF4A2 (green) using ab228693 at 1/500 dilution in ICC/IF.

Nuclear counterstain : Hoechst 33342 (blue)

Western blot - Anti-eIF4A2 antibody (AB228693)
  • WB

Supplier Data

Western blot - Anti-eIF4A2 antibody (AB228693)

10% SDS-PAGE gel.

All lanes:

Western blot - Anti-eIF4A2 antibody (ab228693) at 1/10000 dilution

Lane 1:

HeLa (Human epithelial cell line from cervix adenocarcinoma) whole cell lysate at 30 µg

Lane 2:

HepG2 (Human liver hepatocellular carcinoma cell line) whole cell lysate at 30 µg

Predicted band size: 46 kDa

true

Key facts

宿主種

Rabbit

クローン性

Polyclonal

アイソタイプ

IgG

キャリアフリー

No

交差種

Human

アプリケーション

IHC-P, ICC/IF, WB

applications

免疫原

Recombinant Fragment Protein within Human EIF4A2. The exact immunogen used to generate this antibody is proprietary information.

Q14240

Reactivity data

{ "title": "Reactivity Data", "filters": { "stats": ["", "Species", "Dilution Info", "Notes"], "tabs": { "all-applications": {"fullname" : "All Applications", "shortname": "All Applications"}, "WB" : {"fullname" : "Western blot", "shortname":"WB"}, "IHCP" : {"fullname" : "Immunohistochemistry (Formalin/PFA-fixed paraffin-embedded sections)", "shortname":"IHC-P"}, "ICCIF" : {"fullname" : "Immunocytochemistry/ Immunofluorescence", "shortname":"ICC/IF"} }, "product-promise": { "all": "all", "testedAndGuaranteed": "tested", "guaranteed": "expected", "predicted": "predicted", "notRecommended": "not-recommended" } }, "values": { "Human": { "WB-species-checked": "testedAndGuaranteed", "WB-species-dilution-info": "1/1000 - 1/20000", "WB-species-notes": "<p></p>", "IHCP-species-checked": "testedAndGuaranteed", "IHCP-species-dilution-info": "1/100 - 1/1000", "IHCP-species-notes": "<p></p>", "ICCIF-species-checked": "testedAndGuaranteed", "ICCIF-species-dilution-info": "1/100 - 1/1000", "ICCIF-species-notes": "<p></p>" }, "Mouse": { "WB-species-checked": "predicted", "WB-species-dilution-info": "", "WB-species-notes": "", "IHCP-species-checked": "predicted", "IHCP-species-dilution-info": "", "IHCP-species-notes": "", "ICCIF-species-checked": "predicted", "ICCIF-species-dilution-info": "", "ICCIF-species-notes": "" }, "Rat": { "WB-species-checked": "predicted", "WB-species-dilution-info": "", "WB-species-notes": "", "IHCP-species-checked": "predicted", "IHCP-species-dilution-info": "", "IHCP-species-notes": "", "ICCIF-species-checked": "predicted", "ICCIF-species-dilution-info": "", "ICCIF-species-notes": "" }, "Chicken": { "WB-species-checked": "predicted", "WB-species-dilution-info": "", "WB-species-notes": "", "IHCP-species-checked": "predicted", "IHCP-species-dilution-info": "", "IHCP-species-notes": "", "ICCIF-species-checked": "predicted", "ICCIF-species-dilution-info": "", "ICCIF-species-notes": "" }, "Chimpanzee": { "WB-species-checked": "predicted", "WB-species-dilution-info": "", "WB-species-notes": "", "IHCP-species-checked": "predicted", "IHCP-species-dilution-info": "", "IHCP-species-notes": "", "ICCIF-species-checked": "predicted", "ICCIF-species-dilution-info": "", "ICCIF-species-notes": "" }, "Cow": { "WB-species-checked": "predicted", "WB-species-dilution-info": "", "WB-species-notes": "", "IHCP-species-checked": "predicted", "IHCP-species-dilution-info": "", "IHCP-species-notes": "", "ICCIF-species-checked": "predicted", "ICCIF-species-dilution-info": "", "ICCIF-species-notes": "" }, "Pig": { "WB-species-checked": "predicted", "WB-species-dilution-info": "", "WB-species-notes": "", "IHCP-species-checked": "predicted", "IHCP-species-dilution-info": "", "IHCP-species-notes": "", "ICCIF-species-checked": "predicted", "ICCIF-species-dilution-info": "", "ICCIF-species-notes": "" }, "Rhesus monkey": { "WB-species-checked": "predicted", "WB-species-dilution-info": "", "WB-species-notes": "", "IHCP-species-checked": "predicted", "IHCP-species-dilution-info": "", "IHCP-species-notes": "", "ICCIF-species-checked": "predicted", "ICCIF-species-dilution-info": "", "ICCIF-species-notes": "" }, "Zebrafish": { "WB-species-checked": "predicted", "WB-species-dilution-info": "", "WB-species-notes": "", "IHCP-species-checked": "predicted", "IHCP-species-dilution-info": "", "IHCP-species-notes": "", "ICCIF-species-checked": "predicted", "ICCIF-species-dilution-info": "", "ICCIF-species-notes": "" } } }

出荷温度及び保存条件

製品の状態
Liquid
精製方法
Affinity purification Immunogen
バッファー組成
pH: 7 Preservative: 0.01% Thimerosal (merthiolate) Constituents: PBS, 20% Glycerol (glycerin, glycerine), 1% BSA
出荷温度
Blue Ice
短期保存期間
1-2 weeks
短期保存温度
+4°C
長期保存温度
-20°C
分注に関する情報
Upon delivery aliquot
保管に関する情報
Avoid freeze / thaw cycle

補足情報

This supplementary information is collated from multiple sources and compiled automatically.

The eIF4A2 also known as DDX2B functions as an RNA helicase with an ATP-dependent mechanism. It unwinds RNA secondary structures in the 5'UTR of mRNAs to facilitate ribosome binding. eIF4A2 belongs to the DEAD-box family of proteins and it has a molecular mass of approximately 46 kDa. It is ubiquitously expressed in various tissues indicating its broad role in cellular processes.
Biological function summary

EIF4A2 is integral to the initiation of protein synthesis. It acts as a core member of the eIF4F complex along with the cap-binding protein eIF4E and scaffold protein eIF4G. This complex enables the recruitment of ribosomes to mRNA an important step in translation initiation. eIF4A2 helps regulate the translation of specific mRNAs that are important for cell growth and proliferation affecting how cells respond to environmental stimuli.

Pathways

EIF4A2 plays a significant role in the mTOR and MAPK signaling pathways. In the mTOR pathway eIF4A2 controls the translation of mRNAs that drive cell growth and metabolism. It also interacts with other proteins such as mTORC1 and S6K which modulate these processes. Its involvement in the MAPK pathway links it with cell survival and stress responses emphasizing its interaction with proteins like MEK1/2 and ERK1/2 that further propagate these signals.

EIF4A2 has implications in cancer and neurodegenerative diseases. eIF4A2's overexpression has been associated with various cancers whereby it encourages oncogenic transformation through its role in synthesis of growth-related proteins. Moreover the helicase has links to Alzheimer's disease where it may influence disease progression by modulating synaptic plasticity proteins such as APP and tau important for neuronal function. The regulation by eIF4A2 of these proteins highlights its potential as a therapeutic target.

製品プロトコール

For this product, it's our understanding that no specific protocols are required. You can visit:

ターゲットの情報

ATP-dependent RNA helicase which is a subunit of the eIF4F complex involved in cap recognition and is required for mRNA binding to ribosome. In the current model of translation initiation, eIF4A unwinds RNA secondary structures in the 5'-UTR of mRNAs which is necessary to allow efficient binding of the small ribosomal subunit, and subsequent scanning for the initiator codon.
See full target information EIF4A2

文献 (1)

Recent publications for all applications. Explore the full list and refine your search

Cell communication and signaling : CCS 23:345 PubMed40676611

2025

Dexamethasone induces transgenerational inheritance of fetal-derived glomerulosclerosis phenotype in offspring through GR/DNMT3a mediated alterations of the lncRNA-Meg3/Notch signaling pathway.

Applications

Unspecified application

Species

Unspecified reactive species

Xiaoqi Zhao,Zhaojun Wang,Zhiping Xia,Haiyun Chen,Yanan Zhu,Songdi Wang,Yan Bao,Yutang Liu,Hui Wang,Ying Ao
View all publications

Abcam product promise

当社は、高品質な試薬を通じてお客様の研究を力強くサポートすることをお約束いたします。ご使用いただく各段階で、常にお客様をサポートできる体制を整えております。万が一、製品が期待通りに機能しない場合は、「Abcam Product Promise」による当社保証制度に基づき、安心してご利用いただけます。
保証に関する詳細については利用規約をご確認ください。

Please note: All products are 'FOR RESEARCH USE ONLY. NOT FOR USE IN DIAGNOSTIC OR THERAPEUTIC PROCEDURES'.

For licensing inquiries, please contact partnerships@abcam.com