JavaScript is disabled in your browser. Please enable JavaScript to view this website.
AB52894

Anti-EGFR 抗体 [EP38Y]

Anti-EGFR antibody [EP38Y]

  • BOND RX™ Validated
  • KO Validated
  • RabMAb
  • Lab Essentials
  • 20ul selling size
  • Recombinant
  • 詳細を見る

5

(24 Reviews)

|

(464 Publications)

Anti-EGFR antibody [EP38Y] (ab52894) is a rabbit monoclonal antibody detecting EGFR in Western Blot, Flow Cytometry (Intra), IP, IHC-P, ICC/IF, ELISA. Suitable for Human, Mouse, Rat.

- KO validated for confirmed specificity
- Biophysical QC for unrivalled batch-batch consistency
- Over 340 publications
- Trusted since 2007

別名を表示する

ERBB, ERBB1, HER1, EGFR, Epidermal growth factor receptor, Proto-oncogene c-ErbB-1, Receptor tyrosine-protein kinase erbB-1

21 Images
Immunohistochemistry (Formalin/PFA-fixed paraffin-embedded sections) - Anti-EGFR antibody [EP38Y] (AB52894)
  • IHC-P

Lab

Immunohistochemistry (Formalin/PFA-fixed paraffin-embedded sections) - Anti-EGFR antibody [EP38Y] (AB52894)

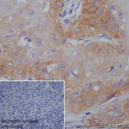
Immunohistochemical analysis of formalin fixed paraffin embedded human placenta labelling EGFR with ab52894 at a concentration of 0.21 µg/ml. The immunostaining was performed on a Leica Biosystems BOND® RX instrument with a Bond™ Polymer Refine Detection kit. Heat mediated antigen retrieval was performed with Tris-EDTA buffer (pH 9.0, Epitope Retrieval Solution 2) for 20 mins. ab52894 Anti-EGFR antibody [EP38Y] was incubated for 30 mins at room temperature. Sections were counterstained with Hematoxylin. Image inset shows absence of staining in secondary antibody only control.

Immunocytochemistry/ Immunofluorescence - Anti-EGFR antibody [EP38Y] (AB52894)
  • ICC/IF

Unknown

Immunocytochemistry/ Immunofluorescence - Anti-EGFR antibody [EP38Y] (AB52894)

Immunocytochemistry/ Immunofluorescence analysis of A431 (Human epidermoid carcinoma epithelial cell) cells labeling EGFR with purified ab52894 at 1 : 250 dilution (0.4 μg/ml).

Cells were fixed in 4% paraformaldehyde and permeabilized with 0.1% Triton X-100. Cells were counterstained with ab195889 Anti-alpha Tubulin antibody [DM1A] - Microtubule Marker (Alexa Fluor® 594) 1 : 200 (2.5 μg/ml). ab150077 Goat anti rabbit IgG(Alexa Fluor® 488) was used as the secondary antibody at 1 : 1000 dilution. DAPI nuclear counterstain.

PBS instead of the primary antibody was used as the secondary antibody only control.

Flow Cytometry (Intracellular) - Anti-EGFR antibody [EP38Y] (AB52894)
  • Flow Cyt (Intra)

Unknown

Flow Cytometry (Intracellular) - Anti-EGFR antibody [EP38Y] (AB52894)

Intracellular Flow Cytometry analysis of A431 (Human epidermoid carcinoma epithelial cell) cells labeling EGFR with purified ab52894.

Cells were fixed with 4% paraformaldehyde (10 mins) and permeabilized with 90% methanol for 30 mins. Then incubated in 1x PBS / 10% normal goat serum to block non-specific protein-protein interactions followed by ab52894 at 1/20 dilution (red) for 30 mins. A Goat anti rabbit IgG (Alexa Fluorr® 488) secondary antibody was used at 1/2000 dilution. Isotype control - Rabbit monoclonal IgG (Black). Unlabeled control - Cell without incubation with primary antibody and secondary antibody (Blue).

Immunohistochemistry (Formalin/PFA-fixed paraffin-embedded sections) - Anti-EGFR antibody [EP38Y] (AB52894)
  • IHC-P

Unknown

Immunohistochemistry (Formalin/PFA-fixed paraffin-embedded sections) - Anti-EGFR antibody [EP38Y] (AB52894)

Immunohistochemistry (Formalin/PFA-fixed paraffin-embedded sections) analysis of human cervical carcinoma tissue sections labeling EGFR with purified ab52894 at 1 : 100 dilution (0.95 μg/ml).

Heat mediated antigen retrieval was performed using EDTA buffer, pH 9.0. Tissue was counterstained with hematoxylin. ab97051 Goat Anti-Rabbit IgG H&L (HRP) secondary antibody was used at 1 : 500 dilution. PBS instead of the primary antibody was used as the negative control.

Immunohistochemistry (Formalin/PFA-fixed paraffin-embedded sections) - Anti-EGFR antibody [EP38Y] (AB52894)
  • IHC-P

Lab

Immunohistochemistry (Formalin/PFA-fixed paraffin-embedded sections) - Anti-EGFR antibody [EP38Y] (AB52894)

Immunohistochemical analysis of formalin fixed paraffin-embedded human glioblastoma and placenta tissues labelling EGFRvIII with ab313646 and EGFR with ab52894 at a concentration of 2.5 µg/ml and 0.5 µg/ml.

The immunostaining was performed on a Leica Biosystems BOND® RX instrument with a Bond™ Polymer Refine Detection kit. Heat mediated antigen retrieval was performed with Tris-EDTA buffer (pH 9.0, Epitope Retrieval Solution 2) for 20 mins. Primary antibodies were incubated for 30 mins at room temperature. Sections were counterstained with Hematoxylin.

Tissue obtained from the Human Research Tissue Bank, supported by the NHR Cambridge Biomedical Research Centre.

Immunohistochemistry (Formalin/PFA-fixed paraffin-embedded sections) - Anti-EGFR antibody [EP38Y] (AB52894)
  • IHC-P

Lab

Immunohistochemistry (Formalin/PFA-fixed paraffin-embedded sections) - Anti-EGFR antibody [EP38Y] (AB52894)

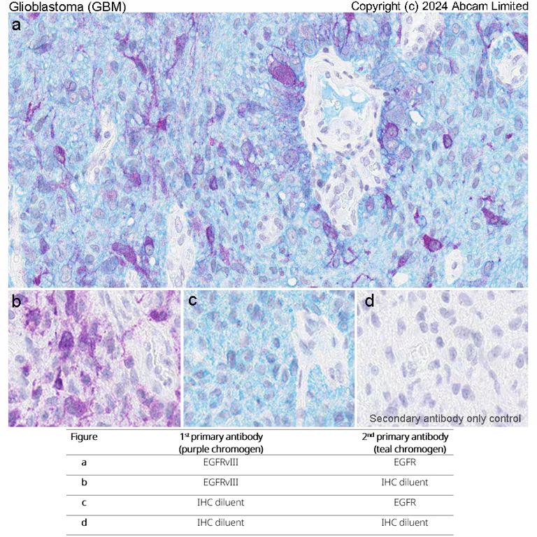
Chromogenic duplex (2-plex) immunohistochemical staining of formalin fixed paraffin-embedded human glioblastoma tissue performed on a Roche Ventana Discovery Ultra instrument.

Heat mediated antigen retrieval was performed with CC1 solution for 64 min at 95°C. Two rounds of primary antibody incubation were performed each for 16 min at 37°C. anti-EGFRvIII (ab313646; 1st primary antibody; 3 µg/ml) and anti-EGFR (ab52894; 2nd primary antibody; 0.5 µg/ml). Antibody denaturation was conducted after the first round of staining using Ultra CC2 solution for 8 min at 100°C to avoid cross reactivity.

Signal was developed with anti-rabbit HQ followed by anti-HQ HRP coupled with purple (Discovery purple kit (RUO) #760-229) and teal (Discovery teal kit (RUO) #760-247) chromogens and counterstained with haematoxylin II.

Tissue obtained from the Human Research Tissue Bank, supported by the NHR Cambridge Biomedical Research Centre.

Immunohistochemistry (Formalin/PFA-fixed paraffin-embedded sections) - Anti-EGFR antibody [EP38Y] (AB52894)
  • IHC-P

Lab

Immunohistochemistry (Formalin/PFA-fixed paraffin-embedded sections) - Anti-EGFR antibody [EP38Y] (AB52894)

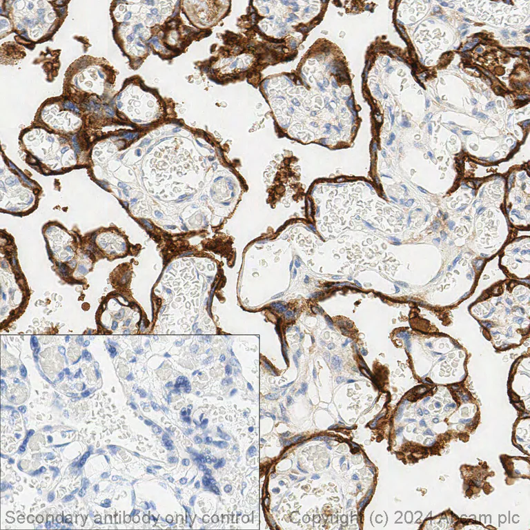
Immunohistochemical analysis of formalin fixed paraffin embedded human placenta labelling EGFR with ab52894 at a concentration of 0.1 µg/ml. The immunostaining was performed on a Ventana DISCOVERY ULTRA (Roche Tissue Diagnostics) instrument with an OptiView DAB IHC Detection Kit. Heat mediated antigen retrieval was conducted for 32 mins at 100°C with ULTRA cell conditioning solution (CC1, pH 8.5). ab52894 Anti-EGFR antibody [EP38Y] was incubated at 37°C for 16 mins. Sections were counterstained with Hematoxylin II. Image inset shows absence of staining in secondary antibody only control.

Immunocytochemistry/ Immunofluorescence - Anti-EGFR antibody [EP38Y] (AB52894)
  • ICC/IF

Lab

Immunocytochemistry/ Immunofluorescence - Anti-EGFR antibody [EP38Y] (AB52894)

ab52894 staining of EGFR in a HCT116 cell spheroid. The cells were fixed with 4% formaldehyde (10 min), permeabilised with 0.5% Triton X-100 for 1h and then blocked with 1% BSA/10% normal goat serum/0.3M glycine in 0.1% PBS-Tween overnight at room temperature. The spheroids were then incubated overnight at room temperature with ab52894 at 2 μg/ml and ab7291, Mouse monoclonal [DM1A] to alpha Tubulin at 2 μg/ml. DAPI was used as nuclear counterstain (shown in blue). As secondary antibodies ab150081 Goat anti-Rabbit (Alexa Fluor® 488) (shown in green) and ab150120 Goat anti-Mouse (Alexa Fluor® 594) (shown in magenta) were used, incubated overnight at room temperature. All permeabilization, blocking and antibody incubation steps were performed using a rotary shaker.

Image was acquired with a high-content analyser (Operetta CLS, Perkin Elmer) and a maximum intensity projection of confocal sections is shown.

The antibody ab52894 also worked using 100% methanol (5 min).

Immunohistochemistry (Formalin/PFA-fixed paraffin-embedded sections) - Anti-EGFR antibody [EP38Y] (AB52894)
  • IHC-P

Lab

Immunohistochemistry (Formalin/PFA-fixed paraffin-embedded sections) - Anti-EGFR antibody [EP38Y] (AB52894)

Tissue microarrays stained for Anti-EGFR antibody [EP38Y] using ab52894 in immunohistochemical analysis. This table provides a detailed overview of positive (tick mark) and negative (cross mark) staining per sample type tested. The sections were pre-treated using heat mediated antigen retrieval was performed with Tris-EDTA buffer (pH 9.0, Epitope Retrieval Solution2) for 20 mins. The section was incubated with ab52894 for 30 mins at room temperature. The immunostaining was performed on a Leica Biosystems BOND® RX instrument

Indirect ELISA - Anti-EGFR antibody [EP38Y] (AB52894)
  • I-ELISA

Unknown

Indirect ELISA - Anti-EGFR antibody [EP38Y] (AB52894)

ELISA analysis of Human EGFR recombinant protein at 1000 ng/ml with ab52894. An Alkaline Phosphatase-conjugated AffiniPure Goat Anti-Rabbit IgG (H+L) at 1/2500 dilution was used as the secondary antibody.

Immunoprecipitation - Anti-EGFR antibody [EP38Y] (AB52894)
  • IP

Unknown

Immunoprecipitation - Anti-EGFR antibody [EP38Y] (AB52894)

ab52894 (purified) at 1 : 20 dilution (0.5 μg) immunoprecipitating EGFR in HeLa (Human cervix adenocarcinoma epithelial cell) whole cell lysate.

Lane 1 (input) : HeLa whole cell lysate 10 μg

Lane 2 (+) : ab52894 in HeLa whole cell lysate

Lane 3 (-) : Rabbit monoclonal IgG (ab172730) instead of ab52894 in HeLa whole cell lysate

For western blotting, VeriBlot for IP Detection Reagent (HRP) (ab131366) was used for detection at 1 : 1000 dilution.

Blocking and diluting buffer : 5% NFDM/TBST.

All lanes:

Immunoprecipitation - Anti-EGFR antibody [EP38Y] (ab52894)

Predicted band size: 134 kDa

Observed band size: 175 kDa

false

Western blot - Anti-EGFR antibody [EP38Y] (AB52894)
  • WB

Supplier Data

Western blot - Anti-EGFR antibody [EP38Y] (AB52894)

Blocking and diluting buffer and concentration : 5% NFDM/TBST.

In Western blot, ab319113 was shown to bind specifically to EGFR. Target of interest was observed at 175kDa, in wild-type HeLa cell lysates (lane 1/2/5/6) with no signal observed at this size in EGFR knockout cell line (lane 3/4/7/8) (knockout cell line ab255385 / knockout cell lysate ab263845).

In Western blot, Anti-GAPDH antibody [EPR16891] - Loading Control (ab181602) staining at 1/200000 dilution.

In Western blot, Anti-EGFR antibody [EP38Y] (ab52894) staining at 1/1000 dilution.

All lanes:

Western blot - Anti-EGFR (phospho Y845 + Y1068 + Y1086) antibody [RM1132] (<a href='/products/primary-antibodies/egfr-phospho-y845-y1068-y1086-antibody-rm1132-ab319113'>ab319113</a>) at 1/1000 dilution

Lane 1:

Untreated wild-type HeLa (human cervical adenocarcinoma epithelial cell) whole cell lysate (untreated membrane) at 20 µg

Lane 2:

Wild-type HeLa treated with 100ng/ml EGF for 30 minutes whole cell lysate (untreated membrane) at 20 µg

Lane 3:

Untreated EGFR knockout HeLa whole cell lysate (untreated membrane) at 20 µg

Lane 4:

EGFR knockout HeLa treated with 100ng/ml EGF for 30 minutes whole cell lysate (untreated membrane) at 20 µg

Lane 5:

Untreated wild-type HeLa (human cervical adenocarcinoma epithelial cell) whole cell lysate (alkaline phosphatase treated membrane) at 20 µg

Lane 6:

Wild-type HeLa treated with 100ng/ml EGF for 30 minutes whole cell lysate (alkaline phosphatase treated membrane) at 20 µg

Lane 7:

Untreated EGFR knockout HeLa whole cell lysate (alkaline phosphatase treated membrane) at 20 µg

Lane 8:

EGFR knockout HeLa treated with 100ng/ml EGF for 30 minutes whole cell lysate (alkaline phosphatase treated membrane) at 20 µg

Secondary

All lanes:

Western blot - Goat Anti-Rabbit IgG H&L (HRP) (<a href='/products/secondary-antibodies/goat-rabbit-igg-h-l-hrp-ab97051'>ab97051</a>) at 1/100000 dilution

Observed band size: 175 kDa,36 kDa

false

Exposure time: 180s

Western blot - Anti-EGFR antibody [EP38Y] (AB52894)
  • WB

Lab

Western blot - Anti-EGFR antibody [EP38Y] (AB52894)

False colour image of Western blot : Anti-EGFR antibody [EP38Y] staining at 1/1000 dilution, shown in green; Mouse anti-Alpha Tubulin [DM1A] (ab7291) loading control staining at 1/20000 dilution, shown in red. In Western blot, ab52894 was shown to bind specifically to EGFR. A band was observed at 160 kDa in wild-type HCT 116 cell lysates with no signal observed at this size in Egfr CRISPR-Cas9 edited cell line ab281597 (CRISPR-Cas9 edited cell lysate ab282949). The band observed in the CRISPR-Cas9 edited lysate lane below 160 kDa is likely to represent a truncated form of EGFR. This has not been investigated further and the functional properties of the gene product have not been determined. To generate this image, wild-type and Egfr CRISPR-Cas9 edited HCT 116 cell lysates were analysed. First, samples were run on an SDS-PAGE gel then transferred onto a nitrocellulose membrane. Membranes were blocked in 3 % milk in TBS-0.1 % Tween® 20 (TBS-T) before incubation with primary antibodies overnight at 4°C. Blots were washed four times in TBS-T, incubated with secondary antibodies for 1 h at room temperature, washed again four times then imaged. Secondary antibodies used were Goat anti-Rabbit IgG H&L (IRDye® 800CW) preabsorbed (ab216773) and Goat anti-Mouse IgG H&L (IRDye® 680RD) preabsorbed (ab216776) at 1/20000 dilution.

All lanes:

Western blot - Anti-EGFR antibody [EP38Y] (ab52894) at 1/1000 dilution

Lane 1:

Wild-type HCT 116 cell lysate at 20 µg

Lane 2:

EGFR CRISPR-Cas9 edited HCT 116 cell lysate at 20 µg

Lane 3:

Caco-2 cell lysate at 20 µg

Predicted band size: 134 kDa

Observed band size: 160 kDa

false

Western blot - Anti-EGFR antibody [EP38Y] (AB52894)
  • WB

Lab

Western blot - Anti-EGFR antibody [EP38Y] (AB52894)

Different batches of ab52894 were tested on HeLa (Human cervix adenocarcinoma epithelial cell) lysate at 1.0 µg/ml. 15 µg of lysate was loaded in each lane. Bands observed at 175 kDa.

All lanes:

Western blot - Anti-EGFR antibody [EP38Y] (ab52894)

Predicted band size: 134 kDa

false

Western blot - Anti-EGFR antibody [EP38Y] (AB52894)
  • WB

Lab

Western blot - Anti-EGFR antibody [EP38Y] (AB52894)

Blocking and diluting buffer : 5% NFDM/TBST

All lanes:

Western blot - Anti-EGFR antibody [EP38Y] (ab52894) at 1/2000 dilution

All lanes:

HeLa (Human cervix adenocarcinoma epithelial cell) whole cell lysates at 20 µg

Secondary

All lanes:

Western blot - Goat Anti-Rabbit IgG H&L (HRP) (<a href='/products/secondary-antibodies/goat-rabbit-igg-h-l-hrp-ab97051'>ab97051</a>) at 1/20000 dilution

Predicted band size: 134 kDa

Observed band size: 175 kDa

false

Western blot - Anti-EGFR antibody [EP38Y] (AB52894)
  • WB

Lab

Western blot - Anti-EGFR antibody [EP38Y] (AB52894)

This blot was produced using a 4-12% Bis-tris gel under the MOPS buffer system. The gel was run at 200V for 50 mins before being transferred onto a Nitrocellulose membrane at 30V for 70 mins. The membrane was then blocked for an hour before being incubated with unpurified ab52894 overnight at 4°C in the presence of loading control ab18058 (Mouse monoclonal [SPM227] to Vinculin diluted 1 : 10000). Antibody binding was detected using IR-labeled goat anti-Rabbit Ab at a 1 : 10,000 dilution for one hour at room temperature before imaging.

This product yielded a strong signal in western blot using A431 (human squamous carcinoma) lysate which naturally overexpresses the EGFR protein. Western blot conditions may need to be optimised for cell lines and tissues that express lower levels of endogenous EGFR.

All lanes:

Western blot - Anti-EGFR antibody [EP38Y] (ab52894) at 1/1000 dilution

Lane 1:

Caco-2 (Human colorectal adenocarcinoma cell line) cell lysate at 20 µg

Lane 2:

A431 (Human epidermoid carcinoma cell line) cell lysate at 20 µg

Lane 3:

Mouse skin cell lysate at 20 µg

Lane 4:

Rat skin cell lysate at 20 µg

Predicted band size: 134 kDa

false

Western blot - Anti-EGFR antibody [EP38Y] (AB52894)
  • WB

Lab

Western blot - Anti-EGFR antibody [EP38Y] (AB52894)

Western blot : Anti-EGFR antibody [EP38Y] (ab52894) staining at 1/1000 dilution, shown in green; Mouse anti-Alpha Tubulin [DM1A] (ab7291) loading control staining at 1/20000 dilution, shown in magenta. In Western blot, ab52894 was shown to bind specifically to EGFR. A band was observed at 175 kDa in wild-type A549 cell lysates with no signal observed at this size in EGFR knockout cell line. To generate this image, wild-type and EGFR knockout A549 cell lysates were analysed. First, samples were run on an SDS-PAGE gel then transferred onto a nitrocellulose membrane. Membranes were blocked in 5% milk in TBS-0.1% Tween® 20 (TBS-T) before incubation with primary antibodies overnight at 4°C. Blots were washed four times in TBS-T, incubated with secondary antibodies for 1 h at room temperature, washed again four times then imaged. Secondary antibodies used were Goat anti-Rabbit IgG H&L 800CW and Goat anti-Mouse IgG H&L 680RD at 1/20000 dilution.

All lanes:

Western blot - Anti-EGFR antibody [EP38Y] - BSA and Azide free (<a href='/products/primary-antibodies/egfr-antibody-ep38y-bsa-and-azide-free-ab272293'>ab272293</a>)

Lane 1:

Wild-type A549 cell lysate at 20 µg

Lane 2:

EGFR knockout A549 cell lysate at 20 µg

Lane 3:

Wild-type HeLa cell lysate at 20 µg

Lane 4:

EGFR knockout HeLa cell lysate at 20 µg

Observed band size: 175 kDa

true

Western blot - Anti-EGFR antibody [EP38Y] (AB52894)
  • WB

Supplier Data

Western blot - Anti-EGFR antibody [EP38Y] (AB52894)

Blocking and diluting buffer and concentration : 5% NFDM/TBST.

In Western blot, Anti-Vinculin antibody [EPR8185] (ab129002) staining at 1/10000 dilution.

In Western blot, Anti-EGFR antibody [EP38Y] (ab52894) staining at 1/1000 dilution.

All lanes:

Western blot - Anti-EGFR (phospho Y845 + Y1068 + Y1086) antibody [RM1132] (<a href='/products/primary-antibodies/egfr-phospho-y845-y1068-y1086-antibody-rm1132-ab319113'>ab319113</a>) at 1/5000 dilution

Lane 1:

Untreated A431 (human epidermoid carcinoma epithelial cell) whole cell lysate (untreated membrane) at 10 µg

Lane 2:

A431 treated with 100ng/ml EGF for 30 minutes whole cell lysate (untreated membrane) at 10 µg

Lane 3:

Untreated A431 whole cell lysate (alkaline phosphatase treated membrane) at 10 µg

Lane 4:

A431 treated with 100ng/ml EGF for 30 minutes whole cell lysate (alkaline phosphatase treated membrane) at 10 µg

Secondary

All lanes:

Western blot - Goat Anti-Rabbit IgG H&L (HRP) (<a href='/products/secondary-antibodies/goat-rabbit-igg-h-l-hrp-ab97051'>ab97051</a>) at 1/100000 dilution

Observed band size: 175 kDa,124 kDa

false

Exposure time: 169s

Western blot - Anti-EGFR antibody [EP38Y] (AB52894)
  • WB

Lab

Western blot - Anti-EGFR antibody [EP38Y] (AB52894)

Lanes 1 - 4 : Merged signal (red and green). Green - ab52894 observed at 175 kDa. Red - loading control, ab130007 observed at 125 kDa.

ab52894 was shown to react with EGFR in wild-type HeLa. Loss of signal was observed when knockout cell line ab255385 (knockout cell lysate ab263845) was used. Wild-type and EGFR knockout samples were subjected to SDS-PAGE. ab52894 and Anti-Vinculin antibody [VIN-54] (ab130007) were incubated overnight at 4°C at 1 in 1000 dilution and 1 in 20000 dilution respectively. Blots were developed with Goat anti-Rabbit IgG H&L (IRDye® 800CW) preadsorbed (ab216773) and Goat anti-Mouse IgG H&L (IRDye® 680RD) preadsorbed (ab216776) secondary antibodies at 1 in 20000 dilution for 1 hour at room temperature before imaging.

All lanes:

Western blot - Anti-EGFR antibody [EP38Y] (ab52894) at 1/1000 dilution

Lane 1:

A431 cell lysate at 20 µg

Lane 2:

MDA-MB-468 cell lysate at 20 µg

Lane 3:

Wild-type HeLa cell lysate at 20 µg

Lane 4:

EGFR knockout HeLa cell lysate at 20 µg

Secondary

All lanes:

Western blot - Goat anti-Rabbit IgG H&L (IRDye® 800CW) preadsorbed (<a href='/products/secondary-antibodies/goat-rabbit-igg-h-l-irdye-800cw-preadsorbed-ab216773'>ab216773</a>) at 1/20000 dilution

Predicted band size: 134 kDa

Observed band size: 124 kDa,134 kDa

false

Western blot - Anti-EGFR antibody [EP38Y] (AB52894)
  • WB

Lab

Western blot - Anti-EGFR antibody [EP38Y] (AB52894)

Blocking and diluting buffer : 5% NFDM/TBST

All lanes:

Western blot - Anti-EGFR antibody [EP38Y] (ab52894) at 1/10000 dilution

Lane 1:

Rat liver lysates at 15 µg

Lane 2:

Mouse lung lysates at 15 µg

Secondary

All lanes:

Western blot - Goat Anti-Rabbit IgG H&L (HRP) (<a href='/products/secondary-antibodies/goat-rabbit-igg-h-l-hrp-ab97051'>ab97051</a>) at 1/20000 dilution

Predicted band size: 134 kDa

Observed band size: 175 kDa

false

OI-RD Scanning - Anti-EGFR antibody [EP38Y] (AB52894)
  • OI-RD Scanning

Unknown

OI-RD Scanning - Anti-EGFR antibody [EP38Y] (AB52894)

We have systematically measured KD (the equilibrium dissociation constant between the antibody and its antigen), of more than 840 recombinant antibodies to assess not only their individual KD values but also to see the average affinity of antibody. Based on the comparison with published literature values for mouse monoclonal antibodies, Recombinant antibodies appear to be on average 1-2 order of magnitude higher affinity.

関連する標識済み抗体及び組成の異なる製品 (10)

Key facts

宿主種

Rabbit

クローン性

Monoclonal

クローン番号

EP38Y

アイソタイプ

IgG

キャリアフリー

No

交差種

Mouse, Rat, Human

アプリケーション

IHC-P, ICC/IF, Flow Cyt (Intra), WB, IP, I-ELISA

applications

免疫原

The exact immunogen used to generate this antibody is proprietary information.

特異性

The immunogen for this product is a synthetic phospho-peptide corresponding to residues surrounding Tyr1068 of human EGFR. After screening, clone EP38Y was found to recognize total EGFR and is not specific to phosphorylated-Tyr1068 EGFR. This product yielded a strong signal in western blot using A431 (human squamous carcinoma) lysate which naturally overexpresses the EGFR protein. Western blot conditions may need to be optimised for cell lines and tissues that express lower levels of endogenous EGFR.

Reactivity data

{ "title": "Reactivity Data", "filters": { "stats": ["", "Species", "Dilution Info", "Notes"], "tabs": { "all-applications": {"fullname" : "All Applications", "shortname": "All Applications"}, "IP" : {"fullname" : "Immunoprecipitation", "shortname":"IP"}, "IELISA" : {"fullname" : "Indirect ELISA", "shortname":"I-ELISA"}, "WB" : {"fullname" : "Western blot", "shortname":"WB"}, "ICCIF" : {"fullname" : "Immunocytochemistry/ Immunofluorescence", "shortname":"ICC/IF"}, "FlowCytIntra" : {"fullname" : "Flow Cytometry (Intracellular)", "shortname":"Flow Cyt (Intra)"}, "IHCP" : {"fullname" : "Immunohistochemistry (Formalin/PFA-fixed paraffin-embedded sections)", "shortname":"IHC-P"} }, "product-promise": { "all": "all", "testedAndGuaranteed": "tested", "guaranteed": "expected", "predicted": "predicted", "notRecommended": "not-recommended" } }, "values": { "Human": { "IP-species-checked": "testedAndGuaranteed", "IP-species-dilution-info": "1/20", "IP-species-notes": "<p></p>", "IELISA-species-checked": "guaranteed", "IELISA-species-dilution-info": "", "IELISA-species-notes": "", "WB-species-checked": "testedAndGuaranteed", "WB-species-dilution-info": "1/1000 - 1/10000", "WB-species-notes": "<p>This product yielded a strong signal in western blot using A431 (human squamous carcinoma) lysate which naturally overexpresses the EGFR protein. Western blot conditions may need to be optimised for cell lines and tissues that express lower levels of endogenous EGFR</p>", "ICCIF-species-checked": "testedAndGuaranteed", "ICCIF-species-dilution-info": "1/250 - 1/500", "ICCIF-species-notes": "<p></p>", "FlowCytIntra-species-checked": "testedAndGuaranteed", "FlowCytIntra-species-dilution-info": "1/20", "FlowCytIntra-species-notes": "<p><a href='/products/primary-antibodies/rabbit-igg-monoclonal-epr25a-isotype-control-ab172730'>ab172730</a> - Rabbit monoclonal IgG, is suitable for use as an isotype control with this antibody.</p>", "IHCP-species-checked": "testedAndGuaranteed", "IHCP-species-dilution-info": "1/100", "IHCP-species-notes": "<p></p> Perform heat-mediated antigen retrieval before commencing with IHC staining protocol." }, "Mouse": { "IP-species-checked": "guaranteed", "IP-species-dilution-info": "", "IP-species-notes": "", "IELISA-species-checked": "guaranteed", "IELISA-species-dilution-info": "", "IELISA-species-notes": "", "WB-species-checked": "testedAndGuaranteed", "WB-species-dilution-info": "1/1000 - 1/10000", "WB-species-notes": "<p>This product yielded a strong signal in western blot using A431 (human squamous carcinoma) lysate which naturally overexpresses the EGFR protein. Western blot conditions may need to be optimised for cell lines and tissues that express lower levels of endogenous EGFR</p>", "ICCIF-species-checked": "guaranteed", "ICCIF-species-dilution-info": "", "ICCIF-species-notes": "", "FlowCytIntra-species-checked": "guaranteed", "FlowCytIntra-species-dilution-info": "", "FlowCytIntra-species-notes": "", "IHCP-species-checked": "notRecommended", "IHCP-species-dilution-info": "", "IHCP-species-notes": "<p></p>" }, "Rat": { "IP-species-checked": "guaranteed", "IP-species-dilution-info": "", "IP-species-notes": "", "IELISA-species-checked": "guaranteed", "IELISA-species-dilution-info": "", "IELISA-species-notes": "", "WB-species-checked": "testedAndGuaranteed", "WB-species-dilution-info": "1/1000 - 1/10000", "WB-species-notes": "<p>This product yielded a strong signal in western blot using A431 (human squamous carcinoma) lysate which naturally overexpresses the EGFR protein. Western blot conditions may need to be optimised for cell lines and tissues that express lower levels of endogenous EGFR</p>", "ICCIF-species-checked": "guaranteed", "ICCIF-species-dilution-info": "", "ICCIF-species-notes": "", "FlowCytIntra-species-checked": "guaranteed", "FlowCytIntra-species-dilution-info": "", "FlowCytIntra-species-notes": "", "IHCP-species-checked": "notRecommended", "IHCP-species-dilution-info": "", "IHCP-species-notes": "<p></p>" }, "Recombinant full length protein - Human": { "IP-species-checked": "notRecommended", "IP-species-dilution-info": "", "IP-species-notes": "", "IELISA-species-checked": "testedAndGuaranteed", "IELISA-species-dilution-info": "1/2500", "IELISA-species-notes": "<p></p>", "WB-species-checked": "notRecommended", "WB-species-dilution-info": "", "WB-species-notes": "", "ICCIF-species-checked": "notRecommended", "ICCIF-species-dilution-info": "", "ICCIF-species-notes": "", "FlowCytIntra-species-checked": "notRecommended", "FlowCytIntra-species-dilution-info": "", "FlowCytIntra-species-notes": "", "IHCP-species-checked": "notRecommended", "IHCP-species-dilution-info": "", "IHCP-species-notes": "" } } }

製品の詳細

Anti-EGFR antibody [EP38Y] (ab52894) was developed by Abcam using patented rabbit monoclonal antibody technology and is validated for use in Flow Cyt (Intra), I-ELISA, ICC/IF, IHC-P, IP and WB.

Anti-EGFR antibody [EP38Y] (ab52894) was first used in a scientific publication in 2010 and has been cited over 342 times in peer reviewed journals. It's performance in Western Blot and IHC in human samples is trusted by the scientific community.

Abcam's high quality manufacturing and validation processes ensure Anti-EGFR antibody [EP38Y] (ab52894) has high sensitivity and specificity alongside high lot-to-lot consistency and reproducibility.

The specificity of Anti-EGFR antibody [EP38Y] (ab52894) has been confirmed by Western Blot testing in EGFR knockout HeLa cells (ab255385).

Anti-EGFR antibody [EP38Y] (ab52894) has 22 independent reviews from customers.

Anti-EGFR antibody [EP38Y] (ab52894) specifically detects EGFR (UniProt ID: P00533; Molecular weight: 133kDa) and is sold in a convenient trial size to enable initial testing (20 µL) and larger sizes for subsequent scaling up experiments (100 µL and 1 mL).

Conjugation-ready, carrier free format available for antibody clone EP38Y - ab174481.

Antibody clone EP38Y is also available pre-conjugated to a variety of labels for your convenience - Alexa Fluor® 647, Alexa Fluor® 488, HRP, Alexa Fluor® 594, PE, Alexa Fluor® 555, Biotin, Alexa Fluor® 750 (ab192982, ab193244, ab193602, ab207870, ab208753, ab274892, ab314262, ab321669).

The epidermal growth factor receptor (EGFR) is a critical player in oncology due to its role in cell proliferation, survival and differentiation. It is a receptor tyrosine kinase that, when mutated or overexpressed, can drive the development and progression of various cancers, including non-small cell lung cancer (NSCLC) and glioblastoma.

Patented technology
Our RabMAb® technology is a patented hybridoma-based technology for making rabbit monoclonal antibodies. For details on our patents, please refer to RabMAb® patents.

What are the advantages of a recombinant monoclonal antibody?
This product is a recombinant monoclonal antibody, which offers several advantages including:

  • - High batch-to-batch consistency and reproducibility
  • - Improved sensitivity and specificity
  • - Long-term security of supply
  • - Animal-free batch production

For more information, read more on recombinant antibodies.

出荷温度及び保存条件

製品の状態
Liquid
精製方法
Affinity purification Protein A
バッファー組成
pH: 7.2 - 7.4 Preservative: 0.01% Sodium azide Constituents: PBS, 40% Glycerol (glycerin, glycerine), 0.05% BSA
出荷温度
Blue Ice
短期保存期間
1-2 weeks
短期保存温度
+4°C
長期保存温度
-20°C
分注に関する情報
Upon delivery aliquot
保管に関する情報
Avoid freeze / thaw cycle

補足情報

This supplementary information is collated from multiple sources and compiled automatically.

EGFR or Epidermal Growth Factor Receptor is a transmembrane glycoprotein that acts as a receptor for members of the epidermal growth factor family. Known alternatively as ErbB1 or HER1 this receptor has an approximate molecular weight of 170 kDa. EGFR is expressed in various cell types notably on epithelial cells and can influence multiple cellular processes through its kinase activity. It participates in the regulation of cell growth multiplication and survival by activating its kinase domain upon ligand binding.
Biological function summary

The EGFR protein plays an important role in cellular communication and signaling processes. EGFR pairs with other receptor family members to form active dimers or even higher-order complexes which in turn initiate intracellular signaling cascades. Through these complexes EGFR influences many processes including cell differentiation and repair. This function of EGFR makes it an integral part of mammalian biology affecting how cells respond to their environment by mediating changes in gene expression.

Pathways

EGFR is a central player in the MAPK and PI3K/Akt signaling pathways. Alongside other protein partners like KRAS and PI3 kinase it contributes to transmitting signals from the cell surface to the nucleus affecting gene transcription and cell behavior. These pathways are important for normal cell growth and division and aberrations in these pathways can lead to excessive or insufficient cell proliferation.

EGFR is pertinent to cancer biology including non-small cell lung cancer and glioblastoma where mutations or overexpression of the receptor frequently occur. It connects to proteins such as PTEN and BRAF which influence tumor progression and response to targeted therapies. EGFR's involvement in these disorders highlights its significance as a therapeutic target since it can be manipulated to alter disease progression.

製品プロトコール

For this product, it's our understanding that no specific protocols are required. You can visit:

ターゲットの情報

Receptor tyrosine kinase binding ligands of the EGF family and activating several signaling cascades to convert extracellular cues into appropriate cellular responses (PubMed : 10805725, PubMed : 27153536, PubMed : 2790960, PubMed : 35538033). Known ligands include EGF, TGFA/TGF-alpha, AREG, epigen/EPGN, BTC/betacellulin, epiregulin/EREG and HBEGF/heparin-binding EGF (PubMed : 12297049, PubMed : 15611079, PubMed : 17909029, PubMed : 20837704, PubMed : 27153536, PubMed : 2790960, PubMed : 7679104, PubMed : 8144591, PubMed : 9419975). Ligand binding triggers receptor homo- and/or heterodimerization and autophosphorylation on key cytoplasmic residues. The phosphorylated receptor recruits adapter proteins like GRB2 which in turn activates complex downstream signaling cascades. Activates at least 4 major downstream signaling cascades including the RAS-RAF-MEK-ERK, PI3 kinase-AKT, PLCgamma-PKC and STATs modules (PubMed : 27153536). May also activate the NF-kappa-B signaling cascade (PubMed : 11116146). Also directly phosphorylates other proteins like RGS16, activating its GTPase activity and probably coupling the EGF receptor signaling to the G protein-coupled receptor signaling (PubMed : 11602604). Also phosphorylates MUC1 and increases its interaction with SRC and CTNNB1/beta-catenin (PubMed : 11483589). Positively regulates cell migration via interaction with CCDC88A/GIV which retains EGFR at the cell membrane following ligand stimulation, promoting EGFR signaling which triggers cell migration (PubMed : 20462955). Plays a role in enhancing learning and memory performance (By similarity). Plays a role in mammalian pain signaling (long-lasting hypersensitivity) (By similarity).. Isoform 2 may act as an antagonist of EGF action.. (Microbial infection) Acts as a receptor for hepatitis C virus (HCV) in hepatocytes and facilitates its cell entry. Mediates HCV entry by promoting the formation of the CD81-CLDN1 receptor complexes that are essential for HCV entry and by enhancing membrane fusion of cells expressing HCV envelope glycoproteins.
See full target information EGFR

文献 (464)

Recent publications for all applications. Explore the full list and refine your search

NPJ precision oncology 9:305 PubMed40877429

2025

Restoration of Osimertinib sensitivity in lung cancer through BRD4 inhibitor-mediated depalmitoylation of mutant EGFR via APT1.

Applications

Unspecified application

Species

Unspecified reactive species

Wolong Zhou,Shaoqiang Wang,Zhenyu Zhang,Linfeng Li,Jiebo Zhu,Hang Lin,Heng Zhang

Animal models and experimental medicine 8:1513-1523 PubMed40879041

2025

Establishment of a patient-derived drug-resistant oral squamous cell carcinoma animal model.

Applications

Unspecified application

Species

Unspecified reactive species

Chuanni Feng,Hao Liu,Yalan Lu,Yanfeng Xu,Xinghan Wu,Jinlong Wang,Chuan Qin,Binbin Li,Yanhong Li

World journal of gastrointestinal oncology 17:108535 PubMed40837778

2025

Interleukin-22 promotes cancer stemness and chemotherapy resistance in colorectal cancer epidermal growth factor receptor/extracellular signal-regulated kinase pathway.

Applications

Unspecified application

Species

Unspecified reactive species

Hong-Xun Ruan,Yan-Le Fang,Xiao-Ning Qin,Lin Lin

NPJ precision oncology 9:255 PubMed40707718

2025

LINE1 insertion into the NACC2 locus disrupts the HDM2 axis and activates lung oncogenic signaling.

Applications

Unspecified application

Species

Unspecified reactive species

Pasano Bojang,Yingshan Wang,Kenneth S Ramos

Nature communications 16:6451 PubMed40651942

2025

Androgen receptor promotes arachidonic acid metabolism and angiogenic microenvironment in AFP-negative hepatocellular carcinoma.

Applications

Unspecified application

Species

Unspecified reactive species

Zhilong Lin,Xiaofei Liu,Houwei Wang,Shumin Li,Ziqiang Miao,Jing Yang,Yuting Zhang,Kai Lei,Yifan Wu,Youmei Kang,Ruoyin Zheng,Zonglin Xie,Yixi Wen,Xiaoxue Ren,Chunxiao Liu,Alfred Sze-Lok Cheng,Yubin Xie,Shuling Chen,Ming Kuang,Sui Peng,Zhenwei Peng,Zihao Dai

The Journal of biological chemistry 301:110447 PubMed40615043

2025

Vacuole protein sorting 18 (Vps18) suppresses epithelial growth factor receptor (EGFR) expression and lung tumorigenesis.

Applications

Unspecified application

Species

Unspecified reactive species

Wuhou Dai,Shujing Zhang,Shunfei Yan,Hao Zhang,Sha Zou,Tonglu Yu,Wufan Tao,Hengning Ke,Xingrong Du

Scientific reports 15:23497 PubMed40603406

2025

Investigation of the mechanism of euphornin against cervical cancer using network pharmacology.

Applications

Unspecified application

Species

Unspecified reactive species

Yan Jin,Shuhua Liu

Scientific reports 15:23651 PubMed40603466

2025

TARG1 affects EGFR signaling through the regulation of RNA metabolism.

Applications

Unspecified application

Species

Unspecified reactive species

Mihály Mérey,Roberta Fajka-Boja,Gergely Imre,Péter Gudmann,Zsolt Török,Lajos Mátés,Ágnes Czibula,Gyula Timinszky

Cells 14: PubMed40558556

2025

A Novel Modulator of Resistance for Oxaliplatin-Based Therapy for Colorectal Cancer: The ESCRT Family Member VPS4A.

Applications

Unspecified application

Species

Unspecified reactive species

Noha M Abdelrazik,Anjana Patel,Andrew Conn,Christopher W Sutton,Sriharsha Kantamneni,Steven D Shnyder

Breast cancer research : BCR 27:113 PubMed40551232

2025

Anti-cancer drug sensitivity testing and preclinical evaluation of the anti-cancer potential of WEE1 inhibitor in triple-negative breast cancer patient-derived organoids and xenograft models.

Applications

Unspecified application

Species

Unspecified reactive species

Seungyeon Ryu,Hoe Suk Kim,Sangeun Lee,So-Hyun Yoon,Moonjou Baek,A Young Park,Han-Byoel Lee,Ga Yeon Kim,Kyung Hyeun Park,Ji-Jung Jung,Yireh Han,Dong Woo Lee,Bosung Ku,Wonshik Han
View all publications

Abcam product promise

当社は、高品質な試薬を通じてお客様の研究を力強くサポートすることをお約束いたします。ご使用いただく各段階で、常にお客様をサポートできる体制を整えております。万が一、製品が期待通りに機能しない場合は、「Abcam Product Promise」による当社保証制度に基づき、安心してご利用いただけます。
保証に関する詳細については利用規約をご確認ください。

Please note: All products are 'FOR RESEARCH USE ONLY. NOT FOR USE IN DIAGNOSTIC OR THERAPEUTIC PROCEDURES'.

For licensing inquiries, please contact partnerships@abcam.com