JavaScript is disabled in your browser. Please enable JavaScript to view this website.
AB70311

Anti-EDD 抗体

Anti-EDD antibody

5

(1 Review)

|

(12 Publications)

Rabbit Polyclonal EDD antibody. Suitable for IHC-P, IP, WB, ICC/IF and reacts with Human, Mouse samples. Cited in 12 publications. Immunogen corresponding to Synthetic Peptide within Human UBR5.

別名を表示する

EDD, EDD1, HYD, KIAA0896, UBR5, E3 ubiquitin-protein ligase UBR5, Hyperplastic discs protein homolog, Progestin-induced protein, hHYD

4 Images
Immunohistochemistry (Formalin/PFA-fixed paraffin-embedded sections) - Anti-EDD antibody (AB70311)
  • IHC-P

Supplier Data

Immunohistochemistry (Formalin/PFA-fixed paraffin-embedded sections) - Anti-EDD antibody (AB70311)

Immunohistochemistry analysis of formalin-fixed paraffin-embedded sections of human lung carcinoma staining EDD with ab70311 at 1/1000 dilution

Immunoprecipitation - Anti-EDD antibody (AB70311)
  • IP

Supplier Data

Immunoprecipitation - Anti-EDD antibody (AB70311)

Immunoprecipitation of HeLa cells using ab70311

Lane 1 : ab70311 current lot

Lane 2 : ab70311 previous lot

Lane 3 : Control IgG

All lanes:

Immunoprecipitation - Anti-EDD antibody (ab70311)

Predicted band size: 309 kDa

false

Exposure time: 3min

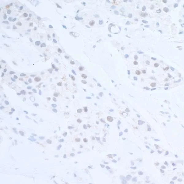
Immunohistochemistry (Formalin/PFA-fixed paraffin-embedded sections) - Anti-EDD antibody (AB70311)
  • IHC-P

Supplier Data

Immunohistochemistry (Formalin/PFA-fixed paraffin-embedded sections) - Anti-EDD antibody (AB70311)

Immunohistochemistry analysis of formalin-fixed paraffin-embedded sections of mouse plasmacytoma staining EDD with ab70311 at 1/1000 dilution

Western blot - Anti-EDD antibody (AB70311)
  • WB

Supplier Data

Western blot - Anti-EDD antibody (AB70311)

All lanes:

Western blot - Anti-EDD antibody (ab70311) at 0.4 µg/mL

Lane 1:

HEK293T whole cell lysate at 50 µg

Lane 2:

Jurkat whole cell lysate at 50 µg

Lane 3:

LNCaP whole cell lysate at 50 µg

Predicted band size: 309 kDa

false

Exposure time: 3min

Key facts

宿主種

Rabbit

クローン性

Polyclonal

アイソタイプ

IgG

キャリアフリー

No

交差種

Mouse, Human

アプリケーション

WB, IHC-P, ICC/IF, IP

applications

免疫原

Synthetic Peptide within Human UBR5. The exact immunogen used to generate this antibody is proprietary information.

O95071

Reactivity data

{ "title": "Reactivity Data", "filters": { "stats": ["", "Species", "Dilution Info", "Notes"], "tabs": { "all-applications": {"fullname" : "All Applications", "shortname": "All Applications"}, "IHCP" : {"fullname" : "Immunohistochemistry (Formalin/PFA-fixed paraffin-embedded sections)", "shortname":"IHC-P"}, "IP" : {"fullname" : "Immunoprecipitation", "shortname":"IP"}, "WB" : {"fullname" : "Western blot", "shortname":"WB"}, "ICCIF" : {"fullname" : "Immunocytochemistry/ Immunofluorescence", "shortname":"ICC/IF"} }, "product-promise": { "all": "all", "testedAndGuaranteed": "tested", "guaranteed": "expected", "predicted": "predicted", "notRecommended": "not-recommended" } }, "values": { "Human": { "IHCP-species-checked": "testedAndGuaranteed", "IHCP-species-dilution-info": "1/500 - 1/2000", "IHCP-species-notes": "<p></p> Perform heat-mediated antigen retrieval with citrate buffer pH 6 before commencing with IHC staining protocol.", "IP-species-checked": "testedAndGuaranteed", "IP-species-dilution-info": "2-10 µg/mg of lysate", "IP-species-notes": "<p></p>", "WB-species-checked": "testedAndGuaranteed", "WB-species-dilution-info": "1/2000 - 1/10000", "WB-species-notes": "<p></p>", "ICCIF-species-checked": "guaranteed", "ICCIF-species-dilution-info": "", "ICCIF-species-notes": "<p></p>" }, "Mouse": { "IHCP-species-checked": "predicted", "IHCP-species-dilution-info": "", "IHCP-species-notes": "", "IP-species-checked": "predicted", "IP-species-dilution-info": "", "IP-species-notes": "", "WB-species-checked": "predicted", "WB-species-dilution-info": "", "WB-species-notes": "", "ICCIF-species-checked": "guaranteed", "ICCIF-species-dilution-info": "", "ICCIF-species-notes": "<p></p>" }, "Rat": { "IHCP-species-checked": "predicted", "IHCP-species-dilution-info": "", "IHCP-species-notes": "", "IP-species-checked": "predicted", "IP-species-dilution-info": "", "IP-species-notes": "", "WB-species-checked": "predicted", "WB-species-dilution-info": "", "WB-species-notes": "", "ICCIF-species-checked": "predicted", "ICCIF-species-dilution-info": "", "ICCIF-species-notes": "" }, "Chicken": { "IHCP-species-checked": "predicted", "IHCP-species-dilution-info": "", "IHCP-species-notes": "", "IP-species-checked": "predicted", "IP-species-dilution-info": "", "IP-species-notes": "", "WB-species-checked": "predicted", "WB-species-dilution-info": "", "WB-species-notes": "", "ICCIF-species-checked": "predicted", "ICCIF-species-dilution-info": "", "ICCIF-species-notes": "" }, "Chimpanzee": { "IHCP-species-checked": "predicted", "IHCP-species-dilution-info": "", "IHCP-species-notes": "", "IP-species-checked": "predicted", "IP-species-dilution-info": "", "IP-species-notes": "", "WB-species-checked": "predicted", "WB-species-dilution-info": "", "WB-species-notes": "", "ICCIF-species-checked": "predicted", "ICCIF-species-dilution-info": "", "ICCIF-species-notes": "" }, "Cow": { "IHCP-species-checked": "predicted", "IHCP-species-dilution-info": "", "IHCP-species-notes": "", "IP-species-checked": "predicted", "IP-species-dilution-info": "", "IP-species-notes": "", "WB-species-checked": "predicted", "WB-species-dilution-info": "", "WB-species-notes": "", "ICCIF-species-checked": "predicted", "ICCIF-species-dilution-info": "", "ICCIF-species-notes": "" }, "Dog": { "IHCP-species-checked": "predicted", "IHCP-species-dilution-info": "", "IHCP-species-notes": "", "IP-species-checked": "predicted", "IP-species-dilution-info": "", "IP-species-notes": "", "WB-species-checked": "predicted", "WB-species-dilution-info": "", "WB-species-notes": "", "ICCIF-species-checked": "predicted", "ICCIF-species-dilution-info": "", "ICCIF-species-notes": "" }, "Gorilla": { "IHCP-species-checked": "predicted", "IHCP-species-dilution-info": "", "IHCP-species-notes": "", "IP-species-checked": "predicted", "IP-species-dilution-info": "", "IP-species-notes": "", "WB-species-checked": "predicted", "WB-species-dilution-info": "", "WB-species-notes": "", "ICCIF-species-checked": "predicted", "ICCIF-species-dilution-info": "", "ICCIF-species-notes": "" }, "Horse": { "IHCP-species-checked": "predicted", "IHCP-species-dilution-info": "", "IHCP-species-notes": "", "IP-species-checked": "predicted", "IP-species-dilution-info": "", "IP-species-notes": "", "WB-species-checked": "predicted", "WB-species-dilution-info": "", "WB-species-notes": "", "ICCIF-species-checked": "predicted", "ICCIF-species-dilution-info": "", "ICCIF-species-notes": "" }, "Orangutan": { "IHCP-species-checked": "predicted", "IHCP-species-dilution-info": "", "IHCP-species-notes": "", "IP-species-checked": "predicted", "IP-species-dilution-info": "", "IP-species-notes": "", "WB-species-checked": "predicted", "WB-species-dilution-info": "", "WB-species-notes": "", "ICCIF-species-checked": "predicted", "ICCIF-species-dilution-info": "", "ICCIF-species-notes": "" }, "Pig": { "IHCP-species-checked": "predicted", "IHCP-species-dilution-info": "", "IHCP-species-notes": "", "IP-species-checked": "predicted", "IP-species-dilution-info": "", "IP-species-notes": "", "WB-species-checked": "predicted", "WB-species-dilution-info": "", "WB-species-notes": "", "ICCIF-species-checked": "predicted", "ICCIF-species-dilution-info": "", "ICCIF-species-notes": "" }, "Platypus": { "IHCP-species-checked": "predicted", "IHCP-species-dilution-info": "", "IHCP-species-notes": "", "IP-species-checked": "predicted", "IP-species-dilution-info": "", "IP-species-notes": "", "WB-species-checked": "predicted", "WB-species-dilution-info": "", "WB-species-notes": "", "ICCIF-species-checked": "predicted", "ICCIF-species-dilution-info": "", "ICCIF-species-notes": "" }, "Rhesus monkey": { "IHCP-species-checked": "predicted", "IHCP-species-dilution-info": "", "IHCP-species-notes": "", "IP-species-checked": "predicted", "IP-species-dilution-info": "", "IP-species-notes": "", "WB-species-checked": "predicted", "WB-species-dilution-info": "", "WB-species-notes": "", "ICCIF-species-checked": "predicted", "ICCIF-species-dilution-info": "", "ICCIF-species-notes": "" }, "Turkey": { "IHCP-species-checked": "predicted", "IHCP-species-dilution-info": "", "IHCP-species-notes": "", "IP-species-checked": "predicted", "IP-species-dilution-info": "", "IP-species-notes": "", "WB-species-checked": "predicted", "WB-species-dilution-info": "", "WB-species-notes": "", "ICCIF-species-checked": "predicted", "ICCIF-species-dilution-info": "", "ICCIF-species-notes": "" }, "Xenopus tropicalis": { "IHCP-species-checked": "predicted", "IHCP-species-dilution-info": "", "IHCP-species-notes": "", "IP-species-checked": "predicted", "IP-species-dilution-info": "", "IP-species-notes": "", "WB-species-checked": "predicted", "WB-species-dilution-info": "", "WB-species-notes": "", "ICCIF-species-checked": "predicted", "ICCIF-species-dilution-info": "", "ICCIF-species-notes": "" } } }

出荷温度及び保存条件

製品の状態
Liquid
精製方法
Affinity purification Immunogen
精製に関する特記事項
ab70311 was affinity purified using an epitope specific to EDD immobilized on solid support.
バッファー組成
pH: 7 - 8 Preservative: 0.09% Sodium azide Constituents: PBS, 1.815% Tris, 1.764% Sodium citrate
出荷温度
Blue Ice
短期保存温度
+4°C
長期保存温度
+4°C
分注に関する情報
Upon delivery aliquot
保管に関する情報
Avoid freeze / thaw cycle

補足情報

This supplementary information is collated from multiple sources and compiled automatically.

EDD also known as EDD1 or EDDC is a significant target within cellular processes. This protein possesses a molecular mass of approximately 300 kDa and functions as a ubiquitin-protein ligase. EDD is highly expressed in many tissues with noticeable levels in reproductive tissues brain and pancreas. It plays a mechanical role in tagging proteins for degradation via the ubiquitin-proteasome pathway contributing to protein turnover and regulation.
Biological function summary

EDD or EDDC acts as a central regulator of cell cycle progression and DNA damage response. It is part of the complex known as EDD-BA where it interacts with other proteins to control cellular processes. One main function of EDD lies in mediating the degradation of proteins preventing the accumulation of destructive or malfunctioning proteins that could harm cell integrity. Through its ligase activity EDD modifies target proteins with ubiquitin guiding them toward their respective cellular fates.

Pathways

EDD interacts with several essential cellular pathways including the cell cycle and the TGF-beta signaling pathway. In the cell cycle pathway EDD collaborates with proteins like p53 to ensure proper cell cycle arrest and DNA repair when damage is detected. The involvement of EDD in the TGF-beta pathway highlights its role in cellular growth and apoptosis. Through these interactions EDD maintains cellular order and helps respond to cellular stress and damage.

EDD has associations with cancer and developmental disorders. Abnormalities in EDD expression or function can lead to uncontrolled cell proliferation linking it to various cancers. Its interaction with p53 reinforces this connection as p53 mutations are common in cancers. Furthermore mutations in EDD have been implicated in developmental disorders where disrupted protein regulation impacts cellular growth and differentiation processes. Understanding EDD's role in these contexts provides insights into therapeutic targets and disease mechanisms.

製品プロトコール

For this product, it's our understanding that no specific protocols are required. You can visit:

ターゲットの情報

E3 ubiquitin-protein ligase involved in different protein quality control pathways in the cytoplasm and nucleus (PubMed : 29033132, PubMed : 33208877, PubMed : 37478846, PubMed : 37478862). Mainly acts as a ubiquitin chain elongator that extends pre-ubiquitinated substrates (PubMed : 29033132, PubMed : 37409633). Component of the N-end rule pathway : ubiquitinates proteins bearing specific N-terminal residues that are destabilizing according to the N-end rule, leading to their degradation (By similarity). Recognizes type-1 N-degrons, containing positively charged amino acids (Arg, Lys and His) (By similarity). Together with UBR4, part of a cytoplasm protein quality control pathway that prevents protein aggregation by catalyzing assembly of heterotypic 'Lys-11'-/'Lys-48'-linked branched ubiquitin chains on aggregated proteins, leading to substrate recognition by the segregase p97/VCP and degradation by the proteasome : UBR5 is probably branching multiple 'Lys-48'-linked chains of substrates initially modified with mixed conjugates by UBR4 (PubMed : 29033132). Together with ITCH, catalyzes 'Lys-48'-/'Lys-63'-branched ubiquitination of TXNIP, leading to its degradation : UBR5 mediates branching of 'Lys-48'-linked chains of substrates initially modified with 'Lys-63'-linked conjugates by ITCH (PubMed : 29378950). Catalytic component of a nuclear protein quality control pathway that mediates ubiquitination and degradation of unpaired transcription factors (i.e. transcription factors that are not assembled into functional multiprotein complexes) : specifically recognizes and binds degrons that are not accessible when transcription regulators are associated with their coactivators (PubMed : 37478846, PubMed : 37478862). Ubiquitinates various unpaired transcription regulator (MYC, SUPT4H1, SUPT5H, CDC20 and MCRS1), as well as ligand-bound nuclear receptors (ESR1, NR1H3, NR3C1, PGR, RARA, RXRA AND VDR) that are not associated with their nuclear receptor coactivators (NCOAs) (PubMed : 33208877, PubMed : 37478846, PubMed : 37478862). Involved in maturation and/or transcriptional regulation of mRNA by mediating polyubiquitination and activation of CDK9 (PubMed : 21127351). Also acts as a regulator of DNA damage response by acting as a suppressor of RNF168, an E3 ubiquitin-protein ligase that promotes accumulation of 'Lys-63'-linked histone H2A and H2AX at DNA damage sites, thereby acting as a guard against excessive spreading of ubiquitinated chromatin at damaged chromosomes (PubMed : 22884692). Regulates DNA topoisomerase II binding protein (TopBP1) in the DNA damage response (PubMed : 11714696). Ubiquitinates acetylated PCK1 (PubMed : 21726808). Acts as a positive regulator of the canonical Wnt signaling pathway by mediating (1) ubiquitination and stabilization of CTNNB1, and (2) 'Lys-48'-linked ubiquitination and degradation of TLE3 (PubMed : 21118991, PubMed : 28689657). Promotes disassembly of the mitotic checkpoint complex (MCC) from the APC/C complex by catalyzing ubiquitination of BUB1B, BUB3 and CDC20 (PubMed : 35217622). Plays an essential role in extraembryonic development (By similarity). Required for the maintenance of skeletal tissue homeostasis by acting as an inhibitor of hedgehog (HH) signaling (By similarity).
See full target information UBR5

文献 (12)

Recent publications for all applications. Explore the full list and refine your search

Autophagy 21:1019-1038 PubMed39723606

2024

Regulation of N-degron recognin-mediated autophagy by the SARS-CoV-2 PLpro ubiquitin deconjugase.

Applications

Unspecified application

Species

Unspecified reactive species

Carlos Ayala-Torres,Jiangnan Liu,Nico P Dantuma,Maria G Masucci

MedComm 4:e237 PubMed37035133

2023

Targeted therapy for cisplatin-resistant lung cancer via aptamer-guided nano-zinc carriers containing USP14 siRNA.

Applications

Unspecified application

Species

Unspecified reactive species

Xinmin Zhao,Xianghua Wu,Huijie Wang,Songtao Lai,Jialei Wang

Cellular & molecular biology letters 27:92 PubMed36224534

2022

Targeting UBR5 in hepatocellular carcinoma cells and precise treatment via echinacoside nanodelivery.

Applications

Unspecified application

Species

Unspecified reactive species

Menghan Wang,Xing Ma,Guoyu Wang,Yanan Song,Miao Zhang,Zhongchao Mai,Borong Zhou,Ying Ye,Wei Xia

Current research in immunology 1:10-22 PubMed33817627

2021

Protein interactome of the Cancerous Inhibitor of protein phosphatase 2A (CIP2A) in Th17 cells.

Applications

Unspecified application

Species

Unspecified reactive species

Mohd Moin Khan,Tommi Välikangas,Meraj Hasan Khan,Robert Moulder,Ubaid Ullah,Santosh Dilip Bhosale,Elina Komsi,Umar Butt,Xi Qiao,Jukka Westermarck,Laura L Elo,Riitta Lahesmaa

Experimental and therapeutic medicine 20:7 PubMed32934672

2020

UBR5 oncogene as an indicator of poor prognosis in gastric cancer.

Applications

Unspecified application

Species

Unspecified reactive species

Fanghui Ding,Xiaoliang Zhu,Xiaojing Song,Pei Yuan,Longfei Ren,Changpeng Chai,Wence Zhou,Xun Li

Oncology reports 44:685-697 PubMed32468011

2020

UBR5 regulates proliferation and radiosensitivity in human laryngeal carcinoma via the p38/MAPK signaling pathway.

Applications

Unspecified application

Species

Unspecified reactive species

Kai Wang,Jun Tang,Xiaolei Liu,Yuejian Wang,Weixiong Chen,Rui Zheng

Virulence 11:607-635 PubMed32420802

2020

TMT-based quantitative proteomics analysis reveals the attenuated replication mechanism of Newcastle disease virus caused by nuclear localization signal mutation in viral matrix protein.

Applications

Unspecified application

Species

Unspecified reactive species

Zhiqiang Duan,Chao Yuan,Yifan Han,Lei Zhou,Jiafu Zhao,Yong Ruan,Jiaqi Chen,Mengmeng Ni,Xinqin Ji

Oncotarget 8:108079-108092 PubMed29296225

2017

Significance of the E3 ubiquitin protein UBR5 as an oncogene and a prognostic biomarker in colorectal cancer.

Applications

Unspecified application

Species

Unspecified reactive species

Zhongdong Xie,Han Liang,Jinmeng Wang,Xiaowen Xu,Yan Zhu,Aizhen Guo,Xian Shen,Fuao Cao,Wenjun Chang

Molecular cell 67:181-193.e5 PubMed28689657

2017

Wnt-Dependent Inactivation of the Groucho/TLE Co-repressor by the HECT E3 Ubiquitin Ligase Hyd/UBR5.

Applications

Unspecified application

Species

Unspecified reactive species

Joshua E Flack,Juliusz Mieszczanek,Nikola Novcic,Mariann Bienz

Cancer research 77:2090-2101 PubMed28330927

2017

E3 Ubiquitin Ligase UBR5 Drives the Growth and Metastasis of Triple-Negative Breast Cancer.

Applications

Unspecified application

Species

Unspecified reactive species

Liqiu Liao,Mei Song,Xin Li,Lili Tang,Tuo Zhang,Lixing Zhang,Yihang Pan,Lotfi Chouchane,Xiaojing Ma
View all publications

Abcam product promise

当社は、高品質な試薬を通じてお客様の研究を力強くサポートすることをお約束いたします。ご使用いただく各段階で、常にお客様をサポートできる体制を整えております。万が一、製品が期待通りに機能しない場合は、「Abcam Product Promise」による当社保証制度に基づき、安心してご利用いただけます。
保証に関する詳細については利用規約をご確認ください。

Please note: All products are 'FOR RESEARCH USE ONLY. NOT FOR USE IN DIAGNOSTIC OR THERAPEUTIC PROCEDURES'.

For licensing inquiries, please contact partnerships@abcam.com