JavaScript is disabled in your browser. Please enable JavaScript to view this website.
AB228631

Anti-ECHS1 抗体

Anti-ECHS1 antibody

  • JP Deleterious:医薬用外劇物

Be the first to review this product! Submit a review

|

(2 Publications)

Rabbit Polyclonal ECHS1 antibody. Suitable for IP, WB, IHC-P, ICC/IF and reacts with Human, Mouse samples. Cited in 2 publications. Immunogen corresponding to Recombinant Fragment Protein within Human Enoyl-CoA hydratase, mitochondrial.

別名を表示する

mECH, mECH1, Enoyl-CoA hydratase 1, Short-chain enoyl-CoA hydratase, ECHS1, SCEH

9 Images
Immunocytochemistry/ Immunofluorescence - Anti-ECHS1 antibody (AB228631)
  • ICC/IF

Supplier Data

Immunocytochemistry/ Immunofluorescence - Anti-ECHS1 antibody (AB228631)

A431 (human epidermoid carcinoma cell line) cells stained for ECHS1 (green) using ab228631 at 1/200 dilution in ICC/IF. Cells were fixed in 2% paraformaldehyde/culture medium at RT for 30 minutes.

Blue : Hoechst 33342 staining.

Immunocytochemistry/ Immunofluorescence - Anti-ECHS1 antibody (AB228631)
  • ICC/IF

Supplier Data

Immunocytochemistry/ Immunofluorescence - Anti-ECHS1 antibody (AB228631)

HeLa (human epithelial cell line from cervix adenocarcinoma) cells stained for ECHS1 (green) using ab228631 at 1/500 dilution in ICC/IF. Cells were fixed in ice-cold methanol for 5 minutes.

Blue : Hoechst 33342 staining.

Immunoprecipitation - Anti-ECHS1 antibody (AB228631)
  • IP

Supplier Data

Immunoprecipitation - Anti-ECHS1 antibody (AB228631)

ECHS1 was immunoprecipitated from HEK-293T (human epithelial cell line from embryonic kidney transformed with large T antigen) whole cell extract with 5 μg ab228631. Western blot was performed from the immunoprecipitate using ab228631.

Lane 1 : HEK-293T whole cell extract (Input).

Lane 2 : Control IgG instead of ab228631 in HEK-293T whole cell extract.

Lane 3 : ab228631 IP in HEK-293T whole cell extract.

All lanes:

Immunoprecipitation - Anti-ECHS1 antibody (ab228631)

Predicted band size: 31 kDa

true

Immunohistochemistry (Formalin/PFA-fixed paraffin-embedded sections) - Anti-ECHS1 antibody (AB228631)
  • IHC-P

Supplier Data

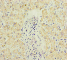
Immunohistochemistry (Formalin/PFA-fixed paraffin-embedded sections) - Anti-ECHS1 antibody (AB228631)

Paraffin-embedded mouse ovary tissue stained for ECHS1 with ab228631 at 1/500 dilution in immunohistochemical analysis.

Immunohistochemistry (Formalin/PFA-fixed paraffin-embedded sections) - Anti-ECHS1 antibody (AB228631)
  • IHC-P

Supplier Data

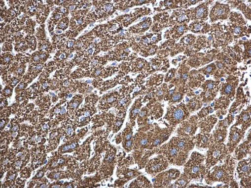
Immunohistochemistry (Formalin/PFA-fixed paraffin-embedded sections) - Anti-ECHS1 antibody (AB228631)

Paraffin-embedded mouse liver tissue stained for ECHS1 with ab228631 at 1/500 dilution in immunohistochemical analysis.

Immunohistochemistry (Formalin/PFA-fixed paraffin-embedded sections) - Anti-ECHS1 antibody (AB228631)
  • IHC-P

Supplier Data

Immunohistochemistry (Formalin/PFA-fixed paraffin-embedded sections) - Anti-ECHS1 antibody (AB228631)

Paraffin-embedded mouse heart tissue stained for ECHS1 with ab228631 at 1/500 dilution in immunohistochemical analysis.

Immunohistochemistry (Formalin/PFA-fixed paraffin-embedded sections) - Anti-ECHS1 antibody (AB228631)
  • IHC-P

Supplier Data

Immunohistochemistry (Formalin/PFA-fixed paraffin-embedded sections) - Anti-ECHS1 antibody (AB228631)

Paraffin-embedded mouse liver tissue stained for ECHS1 with ab228631 at 1/500 dilution in immunohistochemical analysis.

Western blot - Anti-ECHS1 antibody (AB228631)
  • WB

Supplier Data

Western blot - Anti-ECHS1 antibody (AB228631)

12% SDS-PAGE

All lanes:

Western blot - Anti-ECHS1 antibody (ab228631) at 1/5000 dilution

Lane 1:

HEK-293T (human epithelial cell line from embryonic kidney transformed with large T antigen) whole cell extract at 30 µg

Lane 2:

A431 (human epidermoid carcinoma cell line) whole cell extract at 30 µg

Lane 3:

HeLa (human epithelial cell line from cervix adenocarcinoma) whole cell extract at 30 µg

Lane 4:

HepG2 (human liver hepatocellular carcinoma cell line) whole cell extract at 30 µg

Predicted band size: 31 kDa

true

Western blot - Anti-ECHS1 antibody (AB228631)
  • WB

Supplier Data

Western blot - Anti-ECHS1 antibody (AB228631)

12% SDS-PAGE

All lanes:

Western blot - Anti-ECHS1 antibody (ab228631) at 1/1000 dilution

All lanes:

Mouse brain tissue whole cell lysate at 50 µg

Predicted band size: 31 kDa

true

Key facts

宿主種

Rabbit

クローン性

Polyclonal

アイソタイプ

IgG

キャリアフリー

No

交差種

Mouse, Human

アプリケーション

ICC/IF, WB, IP, IHC-P

applications

免疫原

Recombinant Fragment Protein within Human Enoyl-CoA hydratase, mitochondrial. The exact immunogen used to generate this antibody is proprietary information.

P30084

Reactivity data

{ "title": "Reactivity Data", "filters": { "stats": ["", "Species", "Dilution Info", "Notes"], "tabs": { "all-applications": {"fullname" : "All Applications", "shortname": "All Applications"}, "IP" : {"fullname" : "Immunoprecipitation", "shortname":"IP"}, "WB" : {"fullname" : "Western blot", "shortname":"WB"}, "IHCP" : {"fullname" : "Immunohistochemistry (Formalin/PFA-fixed paraffin-embedded sections)", "shortname":"IHC-P"}, "ICCIF" : {"fullname" : "Immunocytochemistry/ Immunofluorescence", "shortname":"ICC/IF"} }, "product-promise": { "all": "all", "testedAndGuaranteed": "tested", "guaranteed": "expected", "predicted": "predicted", "notRecommended": "not-recommended" } }, "values": { "Human": { "IP-species-checked": "testedAndGuaranteed", "IP-species-dilution-info": "1/100 - 1/500", "IP-species-notes": "<p></p>", "WB-species-checked": "testedAndGuaranteed", "WB-species-dilution-info": "1/500 - 1/10000", "WB-species-notes": "<p></p>", "IHCP-species-checked": "guaranteed", "IHCP-species-dilution-info": "", "IHCP-species-notes": "", "ICCIF-species-checked": "testedAndGuaranteed", "ICCIF-species-dilution-info": "1/100 - 1/1000", "ICCIF-species-notes": "<p></p>" }, "Mouse": { "IP-species-checked": "guaranteed", "IP-species-dilution-info": "", "IP-species-notes": "", "WB-species-checked": "testedAndGuaranteed", "WB-species-dilution-info": "1/500 - 1/10000", "WB-species-notes": "<p></p>", "IHCP-species-checked": "testedAndGuaranteed", "IHCP-species-dilution-info": "1/100 - 1/1000", "IHCP-species-notes": "<p></p>", "ICCIF-species-checked": "guaranteed", "ICCIF-species-dilution-info": "", "ICCIF-species-notes": "" } } }

出荷温度及び保存条件

製品の状態
Liquid
精製方法
Affinity purification Immunogen
バッファー組成
pH: 7 Preservative: 0.01% Thimerosal (merthiolate) Constituents: 20% Glycerol (glycerin, glycerine), 1.21% Tris, 0.75% Glycine
出荷温度
Blue Ice
短期保存期間
1-2 weeks
短期保存温度
+4°C
長期保存温度
-20°C
分注に関する情報
Upon delivery aliquot
保管に関する情報
Avoid freeze / thaw cycle

補足情報

This supplementary information is collated from multiple sources and compiled automatically.

ECHS1 Enoyl-CoA Hydratase mitochondrial also known as short-chain enoyl-CoA hydratase 1 is a mitochondrial enzyme involved in fatty acid metabolism. It has a molecular mass of approximately 30 kDa. This protein is expressed predominantly in tissues with high energy demands like heart and skeletal muscle. ECHS1 catalyzes the hydration of enoyl-CoA to 3-hydroxyacyl-CoA playing a significant role in the beta-oxidation pathway of fatty acid breakdown.
Biological function summary

ECHS1 functions as an important enzyme in the mitochondrial fatty acid degradation pathway. It participates as a component of the fatty acid beta-oxidation complex where it collaborates with other enzymes to facilitate energy production through lipids. ECHS1 ensures the conversion of unsaturated fatty acids into metabolites usable in subsequent steps of the energy cycle supporting cellular metabolism.

Pathways

ECHS1 lies within the beta-oxidation pathway of fatty acids important for the energy supply in mitochondria. This pathway directly links to the citric acid cycle (Krebs cycle) where acetyl-CoA produced through beta-oxidation gets further oxidized for energy generation. ECHS1 functions in concert with other enzymes such as Acyl-CoA dehydrogenases that precede its action in the pathway ensuring complete fatty acid degradation.

Defects in ECHS1 activity associate with rare metabolic disorders like short-chain enoyl-CoA hydratase deficiency. This deficiency leads to a build-up of toxic metabolites affecting the nervous system and muscle function. Moreover abnormalities in ECHS1 expression can relate to mitochondrial diseases impacting proteins such as Pyruvate dehydrogenase which further disrupts energy metabolism. Understanding ECHS1's role in these processes has important implications for diagnosing and developing treatments for metabolic conditions.

製品プロトコール

For this product, it's our understanding that no specific protocols are required. You can visit:

ターゲットの情報

Converts unsaturated trans-2-enoyl-CoA species ((2E)-enoyl-CoA) to the corresponding (3S)-3hydroxyacyl-CoA species through addition of a water molecule to the double bond (PubMed : 25125611, PubMed : 26251176). Catalyzes the hydration of medium- and short-chained fatty enoyl-CoA thioesters from 4 carbons long (C4) up to C16 (PubMed : 26251176). Has high substrate specificity for crotonyl-CoA ((2E)-butenoyl-CoA) and moderate specificity for acryloyl-CoA, 3-methylcrotonyl-CoA (3-methyl-(2E)-butenoyl-CoA) and methacrylyl-CoA ((2E)-2-methylpropenoyl-CoA) (PubMed : 26251176). Can bind tiglyl-CoA (2-methylcrotonoyl-CoA), but hydrates only a small amount of this substrate (PubMed : 26251176). Plays a key role in the beta-oxidation spiral of short- and medium-chain fatty acid oxidation (PubMed : 25125611, PubMed : 26251176). At a lower rate than the hydratase reaction, catalyzes the isomerase reaction of trans-3-enoyl-CoA species (such as (3E)-hexenoyl-CoA) to trans-2-enoyl-CoA species (such as (2E)-hexenoyl-CoA), which are subsequently hydrated to 3(S)-3-hydroxyacyl-CoA species (such as (3S)-hydroxyhexanoyl-CoA) (By similarity).
See full target information Enoyl-CoA hydratase, mitochondrial

文献 (2)

Recent publications for all applications. Explore the full list and refine your search

Acta pharmaceutica Sinica. B 14:5451-5463 PubMed39807314

2025

Dual alarmin-receptor-specific targeting peptide systems for treatment of sepsis.

Applications

Unspecified application

Species

Unspecified reactive species

Seok-Jun Mun,Euni Cho,Woo Jin Gil,Seong Jae Kim,Hyo Keun Kim,Yu Seong Ham,Chul-Su Yang

Journal of pineal research 76:e70010 PubMed39618344

2024

OPA1 Mediated Fatty Acid β-Oxidation in Hepatocyte: The Novel Insight for Melatonin Attenuated Apoptosis in Concanavalin A Induced Acute Liver Injury.

Applications

Unspecified application

Species

Unspecified reactive species

Tong Chen,Ruonan Shuang,Tiantian Gao,Lijun Ai,Jichen Diao,Xinyi Yuan,Ling He,Weiwei Tao,Xin Huang
View all publications

Abcam product promise

当社は、高品質な試薬を通じてお客様の研究を力強くサポートすることをお約束いたします。ご使用いただく各段階で、常にお客様をサポートできる体制を整えております。万が一、製品が期待通りに機能しない場合は、「Abcam Product Promise」による当社保証制度に基づき、安心してご利用いただけます。
保証に関する詳細については利用規約をご確認ください。

Please note: All products are 'FOR RESEARCH USE ONLY. NOT FOR USE IN DIAGNOSTIC OR THERAPEUTIC PROCEDURES'.

For licensing inquiries, please contact partnerships@abcam.com